JavaScript is disabled in your browser. Please enable JavaScript to view this website.
AB221142

Anti-PITX2/RGS antibody [EPR22417]

Be the first to review this product! Submit a review

|

(7 Publications)

Rabbit Recombinant Monoclonal PITX2/RGS antibody. Suitable for WB, IHC-P and reacts with Mouse, Rat samples. Cited in 7 publications.

View Alternative Names

ARP1, RGS, RIEG, RIEG1, PITX2, Pituitary homeobox 2, ALL1-responsive protein ARP1, Homeobox protein PITX2, Paired-like homeodomain transcription factor 2, RIEG bicoid-related homeobox transcription factor, Solurshin

5 Images
Immunohistochemistry (Formalin/PFA-fixed paraffin-embedded sections) - Anti-PITX2/RGS antibody [EPR22417] (AB221142)
  • IHC-P

Unknown

Immunohistochemistry (Formalin/PFA-fixed paraffin-embedded sections) - Anti-PITX2/RGS antibody [EPR22417] (AB221142)

Immunohistochemical analysis of paraffin-embedded rat pituitary gland tissue labeling PITX2/RGS with ab221142 at 1/2000 dilution, followed by a ready to use Goat Anti-Rabbit IgG H&L (HRP) secondary antibody. Nuclear staining on rat pituitary (PMID : 15761027, PMID : 16859901, PMID : 11807026) is observed. Counterstained with Hematoxylin.

Secondary antibody only control : Used PBS instead of primary antibody, secondary antibody is a ready to use Goat Anti-Rabbit IgG H&L (HRP).

Perform heat mediated antigen retrieval with Tris/EDTA buffer pH 9.0 before commencing with IHC staining protocol.

Immunohistochemistry (Formalin/PFA-fixed paraffin-embedded sections) - Anti-PITX2/RGS antibody [EPR22417] (AB221142)
  • IHC-P

Unknown

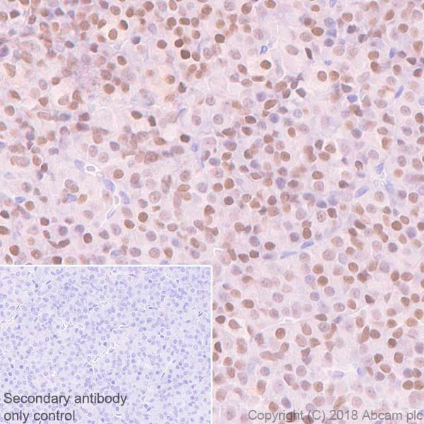
Immunohistochemistry (Formalin/PFA-fixed paraffin-embedded sections) - Anti-PITX2/RGS antibody [EPR22417] (AB221142)

Immunohistochemical analysis of paraffin-embedded mouse pituitary gland tissue labeling PITX2/RGS with ab221142 at 1/2000 dilution, followed by a ready to use Goat Anti-Rabbit IgG H&L (HRP) secondary antibody. Nuclear staining on mouse pituitary (PMID : 15761027, PMID : 16859901, PMID : 11807026) is observed. Counterstained with Hematoxylin.

Secondary antibody only control : Used PBS instead of primary antibody, secondary antibody is a ready to use Goat Anti-Rabbit IgG H&L (HRP).

Perform heat mediated antigen retrieval with Tris/EDTA buffer pH 9.0 before commencing with IHC staining protocol.

Immunohistochemistry (Formalin/PFA-fixed paraffin-embedded sections) - Anti-PITX2/RGS antibody [EPR22417] (AB221142)
  • IHC-P

Unknown

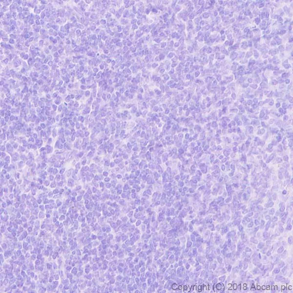
Immunohistochemistry (Formalin/PFA-fixed paraffin-embedded sections) - Anti-PITX2/RGS antibody [EPR22417] (AB221142)

Negative control.

Immunohistochemical analysis of paraffin-embedded mouse spleen tissue labeling PITX2/RGS with ab221142 at 1/2000 dilution, followed by a ready to use Goat Anti-Rabbit IgG H&L (HRP) secondary antibody. Negative control, no staining on mouse spleen (PMID : 11157981) is observed. Counterstained with Hematoxylin.

Secondary antibody only control : Used PBS instead of primary antibody, secondary antibody is a ready to use Goat Anti-Rabbit IgG H&L (HRP).

Perform heat mediated antigen retrieval with Tris/EDTA buffer pH 9.0 before commencing with IHC staining protocol.

Immunohistochemistry (Formalin/PFA-fixed paraffin-embedded sections) - Anti-PITX2/RGS antibody [EPR22417] (AB221142)
  • IHC-P

Unknown

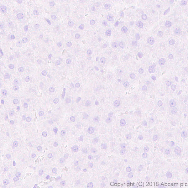
Immunohistochemistry (Formalin/PFA-fixed paraffin-embedded sections) - Anti-PITX2/RGS antibody [EPR22417] (AB221142)

Negative control.

Immunohistochemical analysis of paraffin-embedded rat liver tissue labeling PITX2/RGS with ab221142 at 1/2000 dilution, followed by a ready to use Goat Anti-Rabbit IgG H&L (HRP) secondary antibody. Negative control, no staining on rat liver (PMID : 11157981) is observed. Counterstained with Hematoxylin.

Secondary antibody only control : Used PBS instead of primary antibody, secondary antibody is a ready to use Goat Anti-Rabbit IgG H&L (HRP).

Perform heat mediated antigen retrieval with Tris/EDTA buffer pH 9.0 before commencing with IHC staining protocol.

Western blot - Anti-PITX2/RGS antibody [EPR22417] (AB221142)
  • WB

Unknown

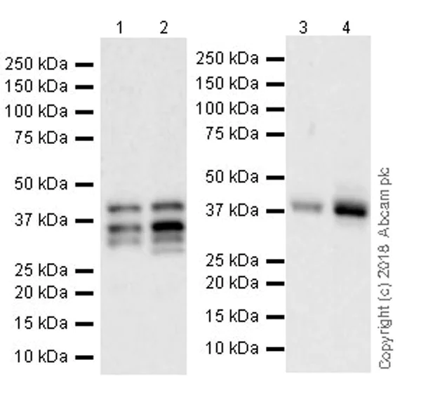
Western blot - Anti-PITX2/RGS antibody [EPR22417] (AB221142)

Blovking/Diluting buffer and concentration : 5% NFDM/TBST

These multiple bands observed in pituitary represent different PITX2/RGS isoforms (PITX2A, PITX2B, PITX2C, PITX2D).

All lanes:

Western blot - Anti-PITX2/RGS antibody [EPR22417] (ab221142) at 1/1000 dilution

Lane 1:

Mouse pituitary gland tissue at 20 µg

Lane 2:

Rat pituitary gland tissue at 20 µg

Lane 3:

Mouse skeletal Muscle tissue lysate at 20 µg

Lane 4:

Rat skeletal muscle tissue lysate at 20 µg

Secondary

All lanes:

Western blot - Goat Anti-Rabbit IgG H&L (HRP) (<a href='/en-us/products/secondary-antibodies/goat-rabbit-igg-h-l-hrp-ab97051'>ab97051</a>) at 1/20000 dilution

Predicted band size: 35 kDa

Observed band size: 30-38 kDa

false

Exposure time: 3min

  • Carrier free

    Anti-PITX2/RGS antibody [EPR22417] - BSA and Azide free

Key facts

Host species

Rabbit

Clonality

Monoclonal

Clone number

EPR22417

Isotype

IgG

Carrier free

No

Reacts with

Mouse, Rat

Applications

IHC-P, WB

applications

Immunogen

The exact immunogen used to generate this antibody is proprietary information.

Reactivity data

{ "title": "Reactivity Data", "filters": { "stats": ["", "Species", "Dilution Info", "Notes"], "tabs": { "all-applications": {"fullname" : "All Applications", "shortname": "All Applications"}, "IP" : {"fullname" : "Immunoprecipitation", "shortname":"IP"}, "WB" : {"fullname" : "Western blot", "shortname":"WB"}, "IHCFr" : {"fullname" : "Immunohistochemistry (Frozen sections)", "shortname":"IHC-Fr"}, "IHCP" : {"fullname" : "Immunohistochemistry (Formalin/PFA-fixed paraffin-embedded sections)", "shortname":"IHC-P"} }, "product-promise": { "all": "all", "testedAndGuaranteed": "tested", "guaranteed": "expected", "predicted": "predicted", "notRecommended": "not-recommended" } }, "values": { "Mouse": { "IP-species-checked": "notRecommended", "IP-species-dilution-info": "", "IP-species-notes": "<p></p>", "WB-species-checked": "testedAndGuaranteed", "WB-species-dilution-info": "1/1000", "WB-species-notes": "<p></p>", "IHCFr-species-checked": "notRecommended", "IHCFr-species-dilution-info": "", "IHCFr-species-notes": "<p></p>", "IHCP-species-checked": "testedAndGuaranteed", "IHCP-species-dilution-info": "1/2000", "IHCP-species-notes": "<p></p>" }, "Rat": { "IP-species-checked": "notRecommended", "IP-species-dilution-info": "", "IP-species-notes": "<p></p>", "WB-species-checked": "testedAndGuaranteed", "WB-species-dilution-info": "1/1000", "WB-species-notes": "<p></p>", "IHCFr-species-checked": "notRecommended", "IHCFr-species-dilution-info": "", "IHCFr-species-notes": "<p></p>", "IHCP-species-checked": "testedAndGuaranteed", "IHCP-species-dilution-info": "1/2000", "IHCP-species-notes": "<p></p>" } } }

Product details

Patented technology
Our RabMAb® technology is a patented hybridoma-based technology for making rabbit monoclonal antibodies. For details on our patents, please refer to RabMAb® patents.

What are the advantages of a recombinant monoclonal antibody?
This product is a recombinant monoclonal antibody, which offers several advantages including:

  • - High batch-to-batch consistency and reproducibility
  • - Improved sensitivity and specificity
  • - Long-term security of supply
  • - Animal-free batch production

For more information, read more on recombinant antibodies.

Properties and storage information

Form
Liquid
Purification technique
Affinity purification Protein A
Storage buffer
pH: 7.2 - 7.4 Preservative: 0.01% Sodium azide Constituents: PBS, 40% Glycerol (glycerin, glycerine), 0.05% BSA
Shipped at conditions
Blue Ice
Appropriate short-term storage duration
1-2 weeks
Appropriate short-term storage conditions
+4°C
Appropriate long-term storage conditions
-20°C
Aliquoting information
Upon delivery aliquot
Storage information
Avoid freeze / thaw cycle

Supplementary information

This supplementary information is collated from multiple sources and compiled automatically.

The PITX2 protein also known as paired-like homeodomain 2 plays a critical role in transcription regulation influencing gene expression. As a transcription factor PITX2 belongs to the bicoid-like homeobox transcription factor family and weighs approximately 32 kDa. It is expressed in several tissues including the eye brain heart and pituitary gland. This expression pattern suggests its involvement in various developmental processes and functions.
Biological function summary

PITX2 influences the development of several organs and is pivotal in left-right asymmetry during embryogenesis. By regulating gene expression it helps form structural components while ensuring proper tissue differentiation. PITX2 acts as a part of a transcriptional complex that facilitates its role in these developmental pathways. It interacts with other transcription factors and coactivators fine-tuning the transcriptional activities that guide embryonic organ development.

Pathways

PITX2 is an essential component of the Wnt signaling and heart development pathways. Within these pathways PITX2 regulates genes that participate in important cellular processes affecting cell fate and organ positioning. The protein interacts with other pathway members including β-catenin which mediates its transcriptional activities. These interactions allow it to influence the signaling cascades dictating correct cellular responses necessary for development.

PITX2 is associated with Axenfeld-Rieger syndrome and atrial fibrillation. Mutations or dysregulation of PITX2 can cause improper development of eye and craniofacial structures leading to Axenfeld-Rieger syndrome where it may act in concert with FOXC1 another transcription factor. Additionally abnormal PITX2 function links to atrial fibrillation where it affects the rhythmic patterns of the heart. This connection to cardiac regulation highlights its importance in maintaining normal physiological functions.

Product protocols

For this product, it's our understanding that no specific protocols are required. You can visit:

Target data

May play a role in myoblast differentiation. When unphosphorylated, associates with an ELAVL1-containing complex, which stabilizes cyclin mRNA and ensuring cell proliferation. Phosphorylation by AKT2 impairs this association, leading to CCND1 mRNA destabilization and progression towards differentiation.. Isoform PTX2C. Involved in the establishment of left-right asymmetry in the developing embryo.
See full target information PITX2

Publications (7)

Recent publications for all applications. Explore the full list and refine your search

Journal of biochemical and molecular toxicology 38:e23736 PubMed38769691

2024

Tumor formation at ileocecal junction associated with interleukin-1β upregulation in aryl hydrocarbon receptor-deficient mouse.

Applications

Unspecified application

Species

Unspecified reactive species

Togo Ikuta,Hiroaki Kanda

JCI insight 9: PubMed38592784

2024

Intergenic sequences harboring potential enhancer elements contribute to Axenfeld-Rieger syndrome by regulating PITX2.

Applications

Unspecified application

Species

Unspecified reactive species

Yizheng Jiang,Yu Peng,Qi Tian,Zhe Cheng,Bei Feng,Junping Hu,Lu Xia,Hui Guo,Kun Xia,Liang Zhou,Zhengmao Hu

PLoS genetics 19:e1010781 PubMed37267426

2023

Overlapping functions of SIX homeoproteins during embryonic myogenesis.

Applications

Unspecified application

Species

Unspecified reactive species

Maud Wurmser,Rouba Madani,Nathalie Chaverot,Stéphanie Backer,Matthew Borok,Matthieu Dos Santos,Glenda Comai,Shahragim Tajbakhsh,Frédéric Relaix,Marc Santolini,Ramkumar Sambasivan,Rulang Jiang,Pascal Maire

Antioxidants (Basel, Switzerland) 11: PubMed35740026

2022

Bioenergetic and Autophagic Characterization of Skin Fibroblasts from Patients.

Applications

Unspecified application

Species

Unspecified reactive species

Maria Isabel Alvarez-Mora,Gloria Garrabou,Tamara Barcos,Francisco Garcia-Garcia,Ruben Grillo-Risco,Emma Peruga,Laura Gort,Sergi Borrego-Écija,Raquel Sanchez-Valle,Judith Canto-Santos,Paula Navarro-Navarro,Laia Rodriguez-Revenga

Integrative zoology 18:543-551 PubMed35639924

2022

Pitx2 suppression at meiotic stages associates with seasonal inhibition of testis development in Rattus norvegicus caraco.

Applications

Unspecified application

Species

Unspecified reactive species

Lin Tian,Xixuan Li,Yaqi Ying,Lewen Wang,Yanting Qiao,Dawei Wang,Ying Song,Ning Li,Xiaohui Liu

Frontiers in cell and developmental biology 10:777887 PubMed35127681

2022

Deficient Mice Recapitulate Craniofacial Phenotype and Reveal Developmental Basis of -Related Frontonasal Dysplasia.

Applications

Unspecified application

Species

Unspecified reactive species

Paul P R Iyyanar,Zhaoming Wu,Yu Lan,Yueh-Chiang Hu,Rulang Jiang

Biomedical engineering online 20:81 PubMed34372865

2021

The significance of homeodomain transcription factor 2 in colon cancer cells.

Applications

Unspecified application

Species

Unspecified reactive species

Yang He,Peng Gong,Sitong Wang,Qing Xu,Jianhua Chen
View all publications

Product promise

We are committed to supporting your work with high-quality reagents, and we're here for you every step of the way. In the unlikely event that one of our products does not perform as expected, you're protected by our Product Promise.
For full details, please see our Terms & Conditions

Please note: All products are 'FOR RESEARCH USE ONLY. NOT FOR USE IN DIAGNOSTIC OR THERAPEUTIC PROCEDURES'.

For licensing inquiries, please contact partnerships@abcam.com