JavaScript is disabled in your browser. Please enable JavaScript to view this website.
AB244343

Anti-PITX2/RGS antibody [EPR22417] - BSA and Azide free

Be the first to review this product! Submit a review

|

(1 Publication)

Rabbit Recombinant Monoclonal PITX2/RGS antibody. Carrier free. Suitable for WB, IHC-P and reacts with Mouse, Rat samples. Cited in 1 publication.

View Alternative Names

ARP1, RGS, RIEG, RIEG1, PITX2, Pituitary homeobox 2, ALL1-responsive protein ARP1, Homeobox protein PITX2, Paired-like homeodomain transcription factor 2, RIEG bicoid-related homeobox transcription factor, Solurshin

4 Images
Immunohistochemistry (Formalin/PFA-fixed paraffin-embedded sections) - Anti-PITX2/RGS antibody [EPR22417] - BSA and Azide free (AB244343)
  • IHC-P

Unknown

Immunohistochemistry (Formalin/PFA-fixed paraffin-embedded sections) - Anti-PITX2/RGS antibody [EPR22417] - BSA and Azide free (AB244343)

Immunohistochemical analysis of paraffin-embedded rat pituitary gland tissue labeling PITX2/RGS with ab221142 at 1/2000 dilution, followed by a ready to use Goat Anti-Rabbit IgG H&L (HRP) secondary antibody. Nuclear staining on rat pituitary (PMID : 15761027, PMID : 16859901, PMID : 11807026) is observed. Counterstained with Hematoxylin.

Secondary antibody only control : Used PBS instead of primary antibody, secondary antibody is a ready to use Goat Anti-Rabbit IgG H&L (HRP).

This data was developed using the same antibody clone in a different buffer formulation containing PBS, BSA, glycerol, and sodium azide (ab221142).

Perform heat mediated antigen retrieval with Tris/EDTA buffer pH 9.0 before commencing with IHC staining protocol.

Immunohistochemistry (Formalin/PFA-fixed paraffin-embedded sections) - Anti-PITX2/RGS antibody [EPR22417] - BSA and Azide free (AB244343)
  • IHC-P

Unknown

Immunohistochemistry (Formalin/PFA-fixed paraffin-embedded sections) - Anti-PITX2/RGS antibody [EPR22417] - BSA and Azide free (AB244343)

Immunohistochemical analysis of paraffin-embedded mouse pituitary gland tissue labeling PITX2/RGS with ab221142 at 1/2000 dilution, followed by a ready to use Goat Anti-Rabbit IgG H&L (HRP) secondary antibody. Nuclear staining on mouse pituitary (PMID : 15761027, PMID : 16859901, PMID : 11807026) is observed. Counterstained with Hematoxylin.

Secondary antibody only control : Used PBS instead of primary antibody, secondary antibody is a ready to use Goat Anti-Rabbit IgG H&L (HRP).

This data was developed using the same antibody clone in a different buffer formulation containing PBS, BSA, glycerol, and sodium azide (ab221142).

Perform heat mediated antigen retrieval with Tris/EDTA buffer pH 9.0 before commencing with IHC staining protocol.

Immunohistochemistry (Formalin/PFA-fixed paraffin-embedded sections) - Anti-PITX2/RGS antibody [EPR22417] - BSA and Azide free (AB244343)
  • IHC-P

Unknown

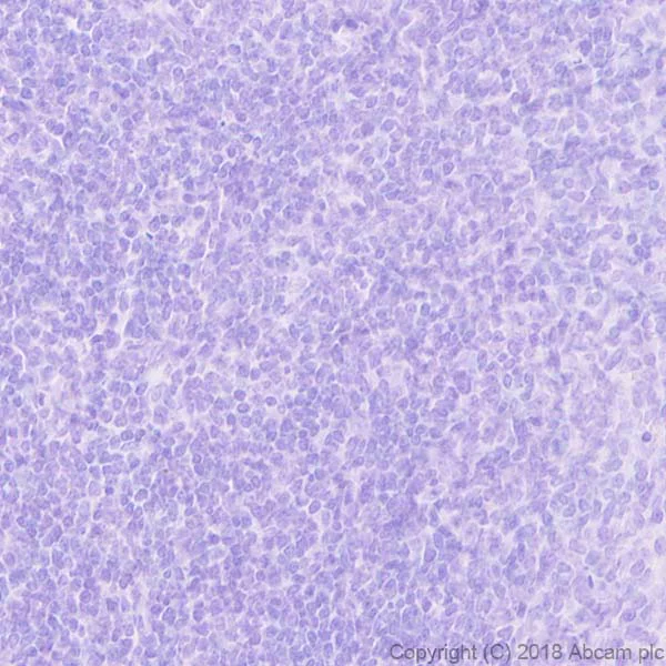
Immunohistochemistry (Formalin/PFA-fixed paraffin-embedded sections) - Anti-PITX2/RGS antibody [EPR22417] - BSA and Azide free (AB244343)

Negative control.

Immunohistochemical analysis of paraffin-embedded mouse spleen tissue labeling PITX2/RGS with ab221142 at 1/2000 dilution, followed by a ready to use Goat Anti-Rabbit IgG H&L (HRP) secondary antibody. Negative control,no staining on mouse spleen (PMID : 11157981) is observed. Counterstained with Hematoxylin.

Secondary antibody only control : Used PBS instead of primary antibody, secondary antibody is a ready to use Goat Anti-Rabbit IgG H&L (HRP).

This data was developed using the same antibody clone in a different buffer formulation containing PBS, BSA, glycerol, and sodium azide (ab221142).

Perform heat mediated antigen retrieval with Tris/EDTA buffer pH 9.0 before commencing with IHC staining protocol.

Immunohistochemistry (Formalin/PFA-fixed paraffin-embedded sections) - Anti-PITX2/RGS antibody [EPR22417] - BSA and Azide free (AB244343)
  • IHC-P

Unknown

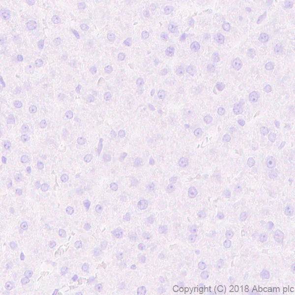
Immunohistochemistry (Formalin/PFA-fixed paraffin-embedded sections) - Anti-PITX2/RGS antibody [EPR22417] - BSA and Azide free (AB244343)

Negative control.

Immunohistochemical analysis of paraffin-embedded rat liver tissue labeling PITX2/RGS with ab221142 at 1/2000 dilution, followed by a ready to use Goat Anti-Rabbit IgG H&L (HRP) secondary antibody. Negative control no staining on rat liver (PMID : 11157981) is observed. Counterstained with Hematoxylin.

Secondary antibody only control : Used PBS instead of primary antibody, secondary antibody is a ready to use Goat Anti-Rabbit IgG H&L (HRP).

This data was developed using the same antibody clone in a different buffer formulation containing PBS, BSA, glycerol, and sodium azide (ab221142).

Perform heat mediated antigen retrieval with Tris/EDTA buffer pH 9.0 before commencing with IHC staining protocol.

Key facts

Host species

Rabbit

Clonality

Monoclonal

Clone number

EPR22417

Isotype

IgG

Carrier free

Yes

Reacts with

Mouse, Rat

Applications

IHC-P, WB

applications

Immunogen

The exact immunogen used to generate this antibody is proprietary information.

Reactivity data

{ "title": "Reactivity Data", "filters": { "stats": ["", "Species", "Dilution Info", "Notes"], "tabs": { "all-applications": {"fullname" : "All Applications", "shortname": "All Applications"}, "IP" : {"fullname" : "Immunoprecipitation", "shortname":"IP"}, "WB" : {"fullname" : "Western blot", "shortname":"WB"}, "IHCFr" : {"fullname" : "Immunohistochemistry (Frozen sections)", "shortname":"IHC-Fr"}, "IHCP" : {"fullname" : "Immunohistochemistry (Formalin/PFA-fixed paraffin-embedded sections)", "shortname":"IHC-P"} }, "product-promise": { "all": "all", "testedAndGuaranteed": "tested", "guaranteed": "expected", "predicted": "predicted", "notRecommended": "not-recommended" } }, "values": { "Mouse": { "IP-species-checked": "notRecommended", "IP-species-dilution-info": "", "IP-species-notes": "<p></p>", "WB-species-checked": "guaranteed", "WB-species-dilution-info": "", "WB-species-notes": "<p></p>", "IHCFr-species-checked": "notRecommended", "IHCFr-species-dilution-info": "", "IHCFr-species-notes": "<p></p>", "IHCP-species-checked": "testedAndGuaranteed", "IHCP-species-dilution-info": "", "IHCP-species-notes": "<p></p>" }, "Rat": { "IP-species-checked": "notRecommended", "IP-species-dilution-info": "", "IP-species-notes": "<p></p>", "WB-species-checked": "guaranteed", "WB-species-dilution-info": "", "WB-species-notes": "<p></p>", "IHCFr-species-checked": "notRecommended", "IHCFr-species-dilution-info": "", "IHCFr-species-notes": "<p></p>", "IHCP-species-checked": "predicted", "IHCP-species-dilution-info": "", "IHCP-species-notes": "" } } }

Product details

ab244343 is the carrier-free version of ab221142.

Patented technology
Our RabMAb® technology is a patented hybridoma-based technology for making rabbit monoclonal antibodies. For details on our patents, please refer to RabMAb® patents.

What are the advantages of a recombinant monoclonal antibody?
This product is a recombinant monoclonal antibody, which offers several advantages including:

  • - High batch-to-batch consistency and reproducibility
  • - Improved sensitivity and specificity
  • - Long-term security of supply
  • - Animal-free batch production

For more information, read more on recombinant antibodies.

Conjugation ready
Our carrier-free antibodies are typically supplied in a PBS-only formulation, purified and free of BSA, sodium azide and glycerol. This conjugation-ready format is designed for use with fluorochromes, metal isotopes, oligonucleotides, and enzymes, which makes them ideal for antibody labelling, functional and cell-based assays, flow-based assays (e.g. mass cytometry) and Multiplex Imaging applications.

Use our conjugation kits for antibody conjugates that are ready-to-use in as little as 20 minutes with 1 minute hands-on-time and 100% antibody recovery: available for fluorescent dyes, HRP, biotin and gold.

Compatibility
This product is compatible with the Maxpar® Antibody Labeling Kit from Fluidigm, without the need for antibody preparation. Maxpar® is a trademark of Fluidigm Canada Inc.

Properties and storage information

Form
Liquid
Purification technique
Affinity purification Protein A
Storage buffer
pH: 7.2 - 7.4 Constituents: PBS
Shipped at conditions
Blue Ice
Appropriate short-term storage conditions
+4°C
Appropriate long-term storage conditions
+4°C
Storage information
Do Not Freeze

Supplementary information

This supplementary information is collated from multiple sources and compiled automatically.

The PITX2 protein also known as paired-like homeodomain 2 plays a critical role in transcription regulation influencing gene expression. As a transcription factor PITX2 belongs to the bicoid-like homeobox transcription factor family and weighs approximately 32 kDa. It is expressed in several tissues including the eye brain heart and pituitary gland. This expression pattern suggests its involvement in various developmental processes and functions.
Biological function summary

PITX2 influences the development of several organs and is pivotal in left-right asymmetry during embryogenesis. By regulating gene expression it helps form structural components while ensuring proper tissue differentiation. PITX2 acts as a part of a transcriptional complex that facilitates its role in these developmental pathways. It interacts with other transcription factors and coactivators fine-tuning the transcriptional activities that guide embryonic organ development.

Pathways

PITX2 is an essential component of the Wnt signaling and heart development pathways. Within these pathways PITX2 regulates genes that participate in important cellular processes affecting cell fate and organ positioning. The protein interacts with other pathway members including β-catenin which mediates its transcriptional activities. These interactions allow it to influence the signaling cascades dictating correct cellular responses necessary for development.

PITX2 is associated with Axenfeld-Rieger syndrome and atrial fibrillation. Mutations or dysregulation of PITX2 can cause improper development of eye and craniofacial structures leading to Axenfeld-Rieger syndrome where it may act in concert with FOXC1 another transcription factor. Additionally abnormal PITX2 function links to atrial fibrillation where it affects the rhythmic patterns of the heart. This connection to cardiac regulation highlights its importance in maintaining normal physiological functions.

Product protocols

For this product, it's our understanding that no specific protocols are required. You can visit:

Target data

May play a role in myoblast differentiation. When unphosphorylated, associates with an ELAVL1-containing complex, which stabilizes cyclin mRNA and ensuring cell proliferation. Phosphorylation by AKT2 impairs this association, leading to CCND1 mRNA destabilization and progression towards differentiation.. Isoform PTX2C. Involved in the establishment of left-right asymmetry in the developing embryo.
See full target information PITX2

Publications (1)

Recent publications for all applications. Explore the full list and refine your search

Circulation. Heart failure 17:e011504 PubMed38910562

2024

Overexpression of in Cardiomyocytes Promotes Cardiac Reverse Remodeling.

Applications

Unspecified application

Species

Unspecified reactive species

Mengda Xu,Hang Zhang,Yuan Chang,Xiumeng Hua,Xiao Chen,Yixuan Sheng,Dan Shan,Mengni Bao,Shengshou Hu,Jiangping Song
View all publications

Product promise

We are committed to supporting your work with high-quality reagents, and we're here for you every step of the way. In the unlikely event that one of our products does not perform as expected, you're protected by our Product Promise.
For full details, please see our Terms & Conditions

Please note: All products are 'FOR RESEARCH USE ONLY. NOT FOR USE IN DIAGNOSTIC OR THERAPEUTIC PROCEDURES'.

For licensing inquiries, please contact partnerships@abcam.com