JavaScript is disabled in your browser. Please enable JavaScript to view this website.
AB151398

Anti-PIWIL2 antibody [87/3]

1

(1 Review)

|

(2 Publications)

Mouse Monoclonal PIWIL2 antibody. Suitable for IHC-P, ICC/IF and reacts with Human samples. Cited in 2 publications.

View Alternative Names

HILI, PIWIL2, Piwi-like protein 2, Cancer/testis antigen 80, CT80

2 Images
Immunocytochemistry/ Immunofluorescence - Anti-PIWIL2 antibody [87/3] (AB151398)
  • ICC/IF

Ap

Immunocytochemistry/ Immunofluorescence - Anti-PIWIL2 antibody [87/3] (AB151398)

ab151398 stained MDAMB231 cells. The cells were 100% methanol fixed (5 min) and then incubated in 1%BSA / 10% normal goat serum / 0.3M glycine in 0.1% PBS-Tween for 1h to permeabilise the cells and block non-specific protein-protein interactions. The cells were then incubated with the antibody ab151398 at 10μg/ml overnight at +4°C. The secondary antibody (green) was DyLight® 488 goat anti- mouse (ab98674) IgM (H+L) used at a 1/250 dilution for 1h. Alexa Fluor® 594 WGA was used to label plasma membranes (red) at a 1/200 dilution for 1h. DAPI was used to stain the cell nuclei (blue) at a concentration of 1.43μM.

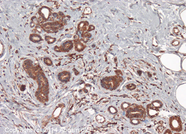
Immunohistochemistry (Formalin/PFA-fixed paraffin-embedded sections) - Anti-PIWIL2 antibody [87/3] (AB151398)
  • IHC-P

Unknown

Immunohistochemistry (Formalin/PFA-fixed paraffin-embedded sections) - Anti-PIWIL2 antibody [87/3] (AB151398)

IHC image of PIWIL2 staining in human breast ductal carcinoma formalin fixed paraffin embedded tissue section*. The section was pre-treated using pressure cooker heat mediated antigen retrieval with sodium citrate buffer (pH6) for 30mins. The section was incubated with ab151398, 10μg/ml overnight at +4°C. An HRP-conjugated secondary (ab97040, 1/1000 dilution) was used for 1hr at room temperature. The section was counterstained with haematoxylin and mounted with DPX.

*Tissue obtained from the Human Research Tissue Bank, supported by the NIHR Cambridge Biomedical Research Centre

Key facts

Host species

Mouse

Clonality

Monoclonal

Clone number

87/3

Isotype

IgM

Carrier free

No

Reacts with

Human

Applications

IHC-P, ICC/IF

applications

Immunogen

The exact immunogen used to generate this antibody is proprietary information.

Reactivity data

{ "title": "Reactivity Data", "filters": { "stats": ["", "Species", "Dilution Info", "Notes"], "tabs": { "all-applications": {"fullname" : "All Applications", "shortname": "All Applications"}, "IHCP" : {"fullname" : "Immunohistochemistry (Formalin/PFA-fixed paraffin-embedded sections)", "shortname":"IHC-P"}, "ICCIF" : {"fullname" : "Immunocytochemistry/ Immunofluorescence", "shortname":"ICC/IF"} }, "product-promise": { "all": "all", "testedAndGuaranteed": "tested", "guaranteed": "expected", "predicted": "predicted", "notRecommended": "not-recommended" } }, "values": { "Human": { "IHCP-species-checked": "testedAndGuaranteed", "IHCP-species-dilution-info": "10 µg/mL", "IHCP-species-notes": "<p></p>", "ICCIF-species-checked": "testedAndGuaranteed", "ICCIF-species-dilution-info": "10 µg/mL", "ICCIF-species-notes": "<p></p>" } } }

Product details

Want a custom formulation?
This antibody clone is manufactured by Abcam. If you require a custom buffer formulation or conjugation for your experiments, please contact orders@abcam.com

Properties and storage information

Supplementary information

This supplementary information is collated from multiple sources and compiled automatically.

PIWIL2 also known as piwi-like RNA-mediated gene silencing 2 is a protein with a mass of approximately 98 kDa. This protein belongs to the PIWI subfamily of Argonaute proteins and is expressed across various tissues including testis and several somatic cells. PIWIL2 plays an important role in regulating gene expression through the RNA interference pathway engaging in the formation of piRNA complexes that facilitate the silencing of transposons especially in spermatogenesis.
Biological function summary

PIWIL2 functions to maintain genomic integrity and stem cell self-renewal by interacting with piRNA to suppress the activity of mobile genetic elements. It forms a ribonucleoprotein complex that is necessary for piRNA processing and function. This complex formation is vital in the regulation of transposable elements influencing processes like germ cell development and stem cell maintenance.

Pathways

PIWIL2 participates in both the RNA interference and piRNA pathway impacting gene regulatory networks critical for cell division and differentiation. In the piRNA pathway PIWIL2 associates with other proteins such as MILI and MIWI to ensure correct piRNA maturation and function. The presence of PIWIL2 in these pathways is non-redundant and important for facilitating silencing mechanisms that protect genome stability.

Altered PIWIL2 expression or function links to several types of cancer including testicular and breast cancer. PIWIL2’s interaction with other cancer-related proteins like p53 may influence tumorigenesis through the modulation of gene silencing. This association highlights its potential as a biomarker for cancer prognosis and as a target for therapeutic intervention.

Product protocols

For this product, it's our understanding that no specific protocols are required. You can visit:

Target data

Endoribonuclease that plays a central role during spermatogenesis by repressing transposable elements and preventing their mobilization, which is essential for the germline integrity (By similarity). Plays an essential role in meiotic differentiation of spermatocytes, germ cell differentiation and in self-renewal of spermatogonial stem cells (By similarity). Acts via the piRNA metabolic process, which mediates the repression of transposable elements during meiosis by forming complexes composed of piRNAs and Piwi proteins and govern the methylation and subsequent repression of transposons (By similarity). During piRNA biosynthesis, plays a key role in the piRNA amplification loop, also named ping-pong amplification cycle, by acting as a 'slicer-competent' piRNA endoribonuclease that cleaves primary piRNAs, which are then loaded onto 'slicer-incompetent' PIWIL4 (By similarity). PIWIL2 slicing produces a pre-miRNA intermediate, which is then processed in mature piRNAs, and as well as a 16 nucleotide by-product that is degraded (By similarity). Required for PIWIL4/MIWI2 nuclear localization and association with secondary piRNAs antisense (By similarity). Besides their function in transposable elements repression, piRNAs are probably involved in other processes during meiosis such as translation regulation (By similarity). Indirectly modulates expression of genes such as PDGFRB, SLC2A1, ITGA6, GJA7, THY1, CD9 and STRA8 (By similarity). When overexpressed, acts as an oncogene by inhibition of apoptosis and promotion of proliferation in tumors (PubMed : 16377660). Represses circadian rhythms by promoting the stability and activity of core clock components BMAL1 and CLOCK by inhibiting GSK3B-mediated phosphorylation and ubiquitination-dependent degradation of these proteins (PubMed : 28903391).
See full target information PIWIL2

Publications (2)

Recent publications for all applications. Explore the full list and refine your search

Acta pharmaceutica Sinica. B 12:735-746 PubMed35256943

2022

The cell cycle inhibitor P21 promotes the development of pulmonary fibrosis by suppressing lung alveolar regeneration.

Applications

Unspecified application

Species

Unspecified reactive species

Xiaoxi Lv,Chang Liu,Shanshan Liu,Yunxuan Li,Wanyu Wang,Ke Li,Fang Hua,Bing Cui,Xiaowei Zhang,Jiaojiao Yu,Jinmei Yu,ZhuoWei Hu

Journal of translational medicine 20:51 PubMed35093098

2022

piRNA-14633 promotes cervical cancer cell malignancy in a METTL14-dependent m6A RNA methylation manner.

Applications

Unspecified application

Species

Unspecified reactive species

Qi Xie,Zhen Li,Xiao Luo,Dan Wang,Yao Zhou,Jingge Zhao,Suhua Gao,Yongguang Yang,Wanying Fu,Lingfei Kong,Tingyi Sun
View all publications

Product promise

We are committed to supporting your work with high-quality reagents, and we're here for you every step of the way. In the unlikely event that one of our products does not perform as expected, you're protected by our Product Promise.
For full details, please see our Terms & Conditions

Please note: All products are 'FOR RESEARCH USE ONLY. NOT FOR USE IN DIAGNOSTIC OR THERAPEUTIC PROCEDURES'.

For licensing inquiries, please contact partnerships@abcam.com