JavaScript is disabled in your browser. Please enable JavaScript to view this website.
AB131118

Anti-PJA2 antibody

Be the first to review this product! Submit a review

|

(2 Publications)

Rabbit Polyclonal PJA2 antibody. Suitable for IHC-P, WB and reacts with Human samples. Cited in 2 publications. Immunogen corresponding to Synthetic Peptide within Human PJA2.

View Alternative Names

KIAA0438, RNF131, PJA2, E3 ubiquitin-protein ligase Praja-2, Praja2, RING finger protein 131, RING-type E3 ubiquitin transferase Praja-2

2 Images
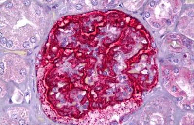
Immunohistochemistry (Formalin/PFA-fixed paraffin-embedded sections) - Anti-PJA2 antibody (AB131118)
  • IHC-P

Unknown

Immunohistochemistry (Formalin/PFA-fixed paraffin-embedded sections) - Anti-PJA2 antibody (AB131118)

Immunohistochemical analysis of formalin-fixed, paraffin-embedded Human kidney glomeruli staining PJA2 with ab131118 at 10 μg/ml.

Western blot - Anti-PJA2 antibody (AB131118)
  • WB

Unknown

Western blot - Anti-PJA2 antibody (AB131118)

All lanes:

Western blot - Anti-PJA2 antibody (ab131118) at 1/500 dilution

Lane 1:

Jurkat cell extract

Lane 2:

Jurkat cell extract with immunising peptide

Predicted band size: 78 kDa

false

Key facts

Host species

Rabbit

Clonality

Polyclonal

Isotype

IgG

Carrier free

No

Reacts with

Human

Applications

IHC-P, WB

applications

Immunogen

Synthetic Peptide within Human PJA2. The exact immunogen used to generate this antibody is proprietary information.

O43164

Reactivity data

{ "title": "Reactivity Data", "filters": { "stats": ["", "Species", "Dilution Info", "Notes"], "tabs": { "all-applications": {"fullname" : "All Applications", "shortname": "All Applications"}, "IHCP" : {"fullname" : "Immunohistochemistry (Formalin/PFA-fixed paraffin-embedded sections)", "shortname":"IHC-P"}, "WB" : {"fullname" : "Western blot", "shortname":"WB"} }, "product-promise": { "all": "all", "testedAndGuaranteed": "tested", "guaranteed": "expected", "predicted": "predicted", "notRecommended": "not-recommended" } }, "values": { "Human": { "IHCP-species-checked": "testedAndGuaranteed", "IHCP-species-dilution-info": "10 µg/mL", "IHCP-species-notes": "<p></p> Perform heat-mediated antigen retrieval with citrate buffer pH 6 before commencing with IHC staining protocol.", "WB-species-checked": "testedAndGuaranteed", "WB-species-dilution-info": "1/500 - 1/1000", "WB-species-notes": "<p></p>" } } }

Properties and storage information

Form
Liquid
Purification technique
Affinity purification Immunogen
Storage buffer
pH: 7.4 Preservative: 0.02% Sodium azide Constituents: PBS, 50% Glycerol (glycerin, glycerine), 0.88% Sodium chloride
Shipped at conditions
Blue Ice
Appropriate short-term storage duration
1-2 weeks
Appropriate short-term storage conditions
+4°C
Appropriate long-term storage conditions
-20°C

Supplementary information

This supplementary information is collated from multiple sources and compiled automatically.

PJA2 also known as Praja Ring Finger Protein 2 acts as an E3 ubiquitin ligase. It has an approximate mass of 55 kDa. Researchers have observed its expression in several tissues including the brain and neural tissues. PJA2 plays a significant role in tagging particular proteins with ubiquitin marking them for degradation. This protein participates in maintaining protein homeostasis and regulating various cellular processes.
Biological function summary

PJA2 contributes to cellular processes by mediating protein degradation. It is part of a complex involved in the regulation of signal transduction. This includes interacting with proteins requiring ubiquitination for degradation fine-tuning levels of certain proteins within the cell. PJA2's function in managing protein stability impacts cell cycle regulation and apoptosis by controlling the abundance of specific target proteins.

Pathways

Several signal transduction pathways benefit from PJA2's ubiquitin ligase activity. PJA2 participates in the Wnt signaling pathway often interacting with Dvl2 to regulate protein stability. It is also linked to the MAPK signaling pathway where it interacts with other E3 ligases to influence cell growth and differentiation. These pathways are essential for normal cell function and are often harnessed during development and stress responses.

PJA2 is linked to neurodegenerative diseases and certain cancers. Its dysregulation in ubiquitination can affect protein degradation balance leading to protein aggregation or uncontrolled cell proliferation. In Alzheimer's disease for example altered PJA2 activity may contribute to the accumulation of tau proteins. Similarly in some cancers changes in PJA2 function or expression may influence tumor suppressor degradation involving p53 and therefore affect cell cycle control and apoptosis.

Product protocols

For this product, it's our understanding that no specific protocols are required. You can visit:

Target data

Has E2-dependent E3 ubiquitin-protein ligase activity (PubMed : 12036302, PubMed : 21423175). Responsible for ubiquitination of cAMP-dependent protein kinase type I and type II-alpha/beta regulatory subunits and for targeting them for proteasomal degradation. Essential for PKA-mediated long-term memory processes (PubMed : 21423175). Through the ubiquitination of MFHAS1, positively regulates the TLR2 signaling pathway that leads to the activation of the downstream p38 and JNK MAP kinases and promotes the polarization of macrophages toward the pro-inflammatory M1 phenotype (PubMed : 28471450). Plays a role in ciliogenesis by ubiquitinating OFD1 (PubMed : 33934390).
See full target information PJA2

Publications (2)

Recent publications for all applications. Explore the full list and refine your search

Journal of translational medicine 19:342 PubMed34372882

2021

ELK4 promotes the development of gastric cancer by inducing M2 polarization of macrophages through regulation of the KDM5A-PJA2-KSR1 axis.

Applications

Unspecified application

Species

Unspecified reactive species

Lei Zheng,Hongmei Xu,Ya Di,Lanlan Chen,Jiao Liu,Liying Kang,Liming Gao

Journal of molecular signaling 8:10 PubMed24083380

2013

Differential PKA activation and AKAP association determines cell fate in cancer cells.

Applications

Unspecified application

Species

Human

Erik D Hedrick,Ekta Agarwal,Premila D Leiphrakpam,Katie L Haferbier,Michael G Brattain,Sanjib Chowdhury
View all publications

Product promise

We are committed to supporting your work with high-quality reagents, and we're here for you every step of the way. In the unlikely event that one of our products does not perform as expected, you're protected by our Product Promise.
For full details, please see our Terms & Conditions

Please note: All products are 'FOR RESEARCH USE ONLY. NOT FOR USE IN DIAGNOSTIC OR THERAPEUTIC PROCEDURES'.

For licensing inquiries, please contact partnerships@abcam.com