JavaScript is disabled in your browser. Please enable JavaScript to view this website.
AB5815

Anti-PKA alpha + beta (catalytic subunits) (phospho T197) antibody

Be the first to review this product! Submit a review

|

(13 Publications)

Rabbit Polyclonal cAMP Protein Kinase Catalytic subunit phospho T197 antibody. Suitable for WB and reacts with Mouse samples. Cited in 13 publications. Immunogen corresponding to Synthetic Peptide within Human PRKACB.

View Alternative Names

PKACA, PRKACA, cAMP-dependent protein kinase catalytic subunit alpha, PKA C-alpha

1 Images
Western blot - Anti-PKA alpha + beta (catalytic subunits) (phospho T197) antibody (AB5815)
  • WB

Unknown

Western blot - Anti-PKA alpha + beta (catalytic subunits) (phospho T197) antibody (AB5815)

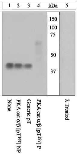
Peptide Competition and Phosphatase Treatment : Lysates prepared from Y1 Adrenocortical cells were resolved by SDS-PAGE on a 10% polyacrylamide gel and transferred to PVDF. Membranes were either left untreated (1-4) or treated with lambda phosphatase (5), blocked with a 5% BSA-TBST buffer for two hours at room temperature, then incubated with 0.35 μg/mL ab5815 antibody for two hours at room temperature in a 3% BSA-TBST buffer, following prior incubation with : no peptide (1, 5), the non-phosphopeptide corresponding to the immunogen (2), a generic phosphothreonine containing peptide (3), or, the phosphopeptide immunogen (4). After washing, membranes were incubated with goat F(ab’ 2 anti-rabbit IgG HRP conjugate and bands were detected using the Pierce SuperSignalTM method. The data show that the peptide corresponding to PKA [pT197] blocks the antibody signal, thereby demonstrating the specificity of the antibody. The data also show that phosphatase st

All lanes:

Western blot - Anti-PKA alpha + beta (catalytic subunits) (phospho T197) antibody (ab5815)

false

Key facts

Host species

Rabbit

Clonality

Polyclonal

Isotype

IgG

Carrier free

No

Reacts with

Mouse

Applications

WB

applications

Immunogen

Synthetic Peptide within Human PRKACB. The exact immunogen used to generate this antibody is proprietary information.

P22694

Specificity

This antibody exibited a preference for PKA catalytic subunit beta in some tested cell lines.

Reactivity data

{ "title": "Reactivity Data", "filters": { "stats": ["", "Species", "Dilution Info", "Notes"], "tabs": { "all-applications": {"fullname" : "All Applications", "shortname": "All Applications"}, "WB" : {"fullname" : "Western blot", "shortname":"WB"} }, "product-promise": { "all": "all", "testedAndGuaranteed": "tested", "guaranteed": "expected", "predicted": "predicted", "notRecommended": "not-recommended" } }, "values": { "Mouse": { "WB-species-checked": "testedAndGuaranteed", "WB-species-dilution-info": "", "WB-species-notes": "<p></p>" }, "Cow": { "WB-species-checked": "predicted", "WB-species-dilution-info": "", "WB-species-notes": "" }, "Pig": { "WB-species-checked": "predicted", "WB-species-dilution-info": "", "WB-species-notes": "" } } }

Properties and storage information

Form
Liquid
Purification technique
Affinity purification Immunogen
Purification notes
The antibody has been negatively preadsorbed using a non-phosphopeptide corresponding to the site of phosphorylation to remove antibody that is reactive with non-phosphorylated PKA. The final product is generated by affinity chromatography using a PKA-derived peptide that is phosphorylated at threonine 197.
Storage buffer
pH: 7.3 Preservative: 0.05% Sodium azide Constituents: PBS, 0.1% BSA
Shipped at conditions
Blue Ice
Appropriate short-term storage conditions
+4°C
Appropriate long-term storage conditions
-20°C
Aliquoting information
Upon delivery aliquot
Storage information
Avoid freeze / thaw cycle

Supplementary information

This supplementary information is collated from multiple sources and compiled automatically.

Protein Kinase A (PKA) alpha and beta catalytic subunits are essential components in cellular signaling. PKA also known as cAMP-dependent protein kinase has its catalytic subunits encoded by PRKACA (alpha) and PRKACB (beta) genes. Alpha subunit has a mass of approximately 40-45 kDa. These proteins are expressed in various tissues including the brain heart and skeletal muscle. They play an important role in phosphorylating target proteins in response to increased cellular levels of cyclic adenosine monophosphate (cAMP).
Biological function summary

PKA alpha and beta catalytic subunits participate in many cellular processes. They are part of a larger complex with regulatory subunits that inhibit their activity. The complex remains inactive until cAMP binds to the regulatory subunits causing a conformational change that activates the catalytic subunits. Once activated PKA subunits phosphorylate various substrates to modulate functions such as metabolism transcription and memory.

Pathways

PKA catalytic subunits serve as key mediators in the cAMP signaling pathway. This pathway influences cellular responses to hormones like adrenaline and glucagon. As such PKA often interacts with proteins such as CREB (cAMP response element-binding protein) to regulate gene expression. PKA also has a role in the regulation of glycogen sugar and lipid metabolism working in concert with proteins like phosphorylase kinase.

Aberrant regulation of PKA catalytic subunits can lead to various conditions. Overactive or dysregulated PKA is associated with Cushing's syndrome often due to mutations in PRKACA. Additionally these catalytic subunits are implicated in certain cancers through alterations in the cAMP signaling pathway. The interaction between PKA and other proteins such as RII-beta (a regulatory subunit) is critical in understanding the molecular basis of these diseases.

Product protocols

For this product, it's our understanding that no specific protocols are required. You can visit:

Target data

Phosphorylates a large number of substrates in the cytoplasm and the nucleus (PubMed : 15642694, PubMed : 15905176, PubMed : 16387847, PubMed : 17333334, PubMed : 17565987, PubMed : 17693412, PubMed : 18836454, PubMed : 19949837, PubMed : 20356841, PubMed : 21085490, PubMed : 21514275, PubMed : 21812984, PubMed : 31112131). Phosphorylates CDC25B, ABL1, NFKB1, CLDN3, PSMC5/RPT6, PJA2, RYR2, RORA, SOX9 and VASP (PubMed : 15642694, PubMed : 15905176, PubMed : 16387847, PubMed : 17333334, PubMed : 17565987, PubMed : 17693412, PubMed : 18836454, PubMed : 19949837, PubMed : 20356841, PubMed : 21085490, PubMed : 21514275, PubMed : 21812984). Regulates the abundance of compartmentalized pools of its regulatory subunits through phosphorylation of PJA2 which binds and ubiquitinates these subunits, leading to their subsequent proteolysis (PubMed : 21423175). RORA is activated by phosphorylation (PubMed : 21514275). Required for glucose-mediated adipogenic differentiation increase and osteogenic differentiation inhibition from osteoblasts (PubMed : 19949837). Involved in chondrogenesis by mediating phosphorylation of SOX9 (By similarity). Involved in the regulation of platelets in response to thrombin and collagen; maintains circulating platelets in a resting state by phosphorylating proteins in numerous platelet inhibitory pathways when in complex with NF-kappa-B (NFKB1 and NFKB2) and I-kappa-B-alpha (NFKBIA), but thrombin and collagen disrupt these complexes and free active PRKACA stimulates platelets and leads to platelet aggregation by phosphorylating VASP (PubMed : 15642694, PubMed : 20356841). Prevents the antiproliferative and anti-invasive effects of alpha-difluoromethylornithine in breast cancer cells when activated (PubMed : 17333334). RYR2 channel activity is potentiated by phosphorylation in presence of luminal Ca(2+), leading to reduced amplitude and increased frequency of store overload-induced Ca(2+) release (SOICR) characterized by an increased rate of Ca(2+) release and propagation velocity of spontaneous Ca(2+) waves, despite reduced wave amplitude and resting cytosolic Ca(2+) (PubMed : 17693412). PSMC5/RPT6 activation by phosphorylation stimulates proteasome (PubMed : 17565987). Negatively regulates tight junctions (TJs) in ovarian cancer cells via CLDN3 phosphorylation (PubMed : 15905176). NFKB1 phosphorylation promotes NF-kappa-B p50-p50 DNA binding (PubMed : 15642694). Required for phosphorylation of GLI transcription factors which inhibits them and prevents transcriptional activation of Hedgehog signaling pathway target genes (By similarity). GLI transcription factor phosphorylation is inhibited by interaction of PRKACA with SMO which sequesters PRKACA at the cell membrane (By similarity). Involved in embryonic development by down-regulating the Hedgehog (Hh) signaling pathway that determines embryo pattern formation and morphogenesis most probably through the regulation of OFD1 in ciliogenesis (PubMed : 33934390). Prevents meiosis resumption in prophase-arrested oocytes via CDC25B inactivation by phosphorylation (By similarity). May also regulate rapid eye movement (REM) sleep in the pedunculopontine tegmental (PPT) (By similarity). Phosphorylates APOBEC3G and AICDA (PubMed : 16387847, PubMed : 18836454). Phosphorylates HSF1; this phosphorylation promotes HSF1 nuclear localization and transcriptional activity upon heat shock (PubMed : 21085490). Acts as a negative regulator of mTORC1 by mediating phosphorylation of RPTOR (PubMed : 31112131).. Isoform 2. Phosphorylates and activates ABL1 in sperm flagellum to promote spermatozoa capacitation.
See full target information PRKACA phospho T197

Additional targets

PRKACB

Publications (13)

Recent publications for all applications. Explore the full list and refine your search

Biology of reproduction 110:154-168 PubMed37815939

2023

Phoenixin-14 as a novel direct regulator of porcine luteal cell functions†.

Applications

Unspecified application

Species

Unspecified reactive species

Ewa Mlyczyńska,Patrycja Kurowska,Dominika Wachowska,Małgorzata Grzesiak,Joelle Dupont,Agnieszka Rak

Cells 11: PubMed35563897

2022

The Effects of Taurocholic Acid on Biliary Damage and Liver Fibrosis Are Mediated by Calcitonin-Gene-Related Peptide Signaling.

Applications

Unspecified application

Species

Unspecified reactive species

Romina Mancinelli,Ludovica Ceci,Lindsey Kennedy,Heather Francis,Vik Meadows,Lixian Chen,Guido Carpino,Konstantina Kyritsi,Nan Wu,Tianhao Zhou,Keisaku Sato,Luigi Pannarale,Shannon Glaser,Sanjukta Chakraborty,Gianfranco Alpini,Eugenio Gaudio,Paolo Onori,Antonio Franchitto

Experimental and therapeutic medicine 22:1442 PubMed34721684

2021

Repeated exposure to sevoflurane in neonatal rats impairs cognition in adulthood via the PKA-CREB-BDNF signaling pathway.

Applications

Unspecified application

Species

Unspecified reactive species

Jili Zhao,Jinyu Ren,Shuang Liu,Yanan Gong,Ping Meng,Haitao Tan,Yonggang Chen

The Journal of endocrinology 247:283-294 PubMed33108345

2020

The role of vaspin in porcine corpus luteum.

Applications

Unspecified application

Species

Unspecified reactive species

Patrycja Kurowska,Ewa Mlyczyńska,Monika Dawid,Małgorzata Grzesiak,Joelle Dupont,Agnieszka Rak

Biology of reproduction 102:1290-1305 PubMed32149334

2020

Role of vaspin in porcine ovary: effect on signaling pathways and steroid synthesis via GRP78 receptor and protein kinase A†.

Applications

Unspecified application

Species

Unspecified reactive species

Patrycja Kurowska,Ewa Mlyczyńska,Monika Dawid,Joelle Dupont,Agnieszka Rak

Journal of physiology and pharmacology : an official journal of the Polish Physiological Society 70: PubMed32084650

2020

Apelin decreased placental hormone secretion by human trophoblast BeWo cells via apelin receptor, protein kinase A and extracellular signal-regulated kinases 1/2 activation.

Applications

Unspecified application

Species

Unspecified reactive species

M Dawid,E Mlyczynska,P Kurowska,M Sierpowski,A Rak

Science signaling 12: PubMed31387938

2019

Disruption of SynGAP-dopamine D1 receptor complexes alters actin and microtubule dynamics and impairs GABAergic interneuron migration.

Applications

Unspecified application

Species

Unspecified reactive species

Ping Su,Terence K Y Lai,Frankie H F Lee,Andrew R Abela,Paul J Fletcher,Fang Liu

Medical science monitor basic research 25:15-25 PubMed30662060

2019

G-Protein-Coupled Receptor 5 (LGR5) Overexpression Activates β-Catenin Signaling in Breast Cancer Cells via Protein Kinase A.

Applications

Unspecified application

Species

Unspecified reactive species

Zhishui Chen,Chengjun Xue

American journal of physiology. Regulatory, integr 311:R307-14 PubMed27280431

2016

Differential glucose metabolism in mice and humans affected by McArdle disease.

Applications

Unspecified application

Species

Unspecified reactive species

Thomas O Krag,Tomàs Pinós,Tue L Nielsen,Jordi Duran,Mar García-Rocha,Antoni L Andreu,John Vissing

International journal of cancer 138:2013-20 PubMed26566757

2015

Blocking mammalian target of rapamycin alleviates bone cancer pain and morphine tolerance via µ-opioid receptor.

Applications

WB

Species

Rat

Zongming Jiang,Shaoyong Wu,Xiujuan Wu,Junfeng Zhong,Anqing Lv,Jing Jiao,Zhonghua Chen
View all publications

Product promise

We are committed to supporting your work with high-quality reagents, and we're here for you every step of the way. In the unlikely event that one of our products does not perform as expected, you're protected by our Product Promise.
For full details, please see our Terms & Conditions

Please note: All products are 'FOR RESEARCH USE ONLY. NOT FOR USE IN DIAGNOSTIC OR THERAPEUTIC PROCEDURES'.

For licensing inquiries, please contact partnerships@abcam.com