JavaScript is disabled in your browser. Please enable JavaScript to view this website.
AB227848

Anti-PKA alpha/beta/gamma (catalytic subunit) (phospho T197) antibody [EP2606Y] - BSA and Azide free

Be the first to review this product! Submit a review

|

(8 Publications)

Rabbit Recombinant Monoclonal cAMP Protein Kinase Catalytic subunit phospho T197 antibody. Carrier free. Suitable for IHC-P, Dot, WB and reacts with Human, Mouse, Rat, Synthetic peptide samples. Cited in 8 publications.

View Alternative Names

PKACA, PRKACA, cAMP-dependent protein kinase catalytic subunit alpha, PKA C-alpha

6 Images
Immunohistochemistry (Formalin/PFA-fixed paraffin-embedded sections) - Anti-PKA alpha/beta/gamma (catalytic subunit) (phospho T197) antibody [EP2606Y] - BSA and Azide free (AB227848)
  • IHC-P

Lab

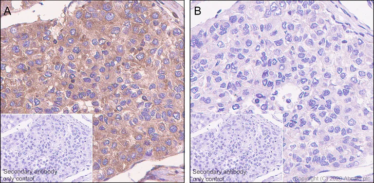
Immunohistochemistry (Formalin/PFA-fixed paraffin-embedded sections) - Anti-PKA alpha/beta/gamma (catalytic subunit) (phospho T197) antibody [EP2606Y] - BSA and Azide free (AB227848)

Immunohistochemistry (Formalin/PFA-fixed paraffin-embedded sections) analysis of human liver carcinoma tissue sections labeling PKA alpha/beta/gamma (catalytic subunit) with Purified ab75991 at 1/5000 dilution (0.05 μg/mL). Heat mediated antigen retrieval was performed using Heat mediated antigen retrieval using Bond™ Epitope Retrieval Solution 2 (pH 9.0) . Tissue was counterstained with Hematoxylin. Rabbit specific IHC polymer detection kit HRP/DAB (ab209101) secondary antibody was used at 1/0 dilution. PBS instead of the primary antibody was used as the negative control. M3

This data was developed using ab75991, the same antibody clone in a different buffer formulation.

Immunohistochemistry (Formalin/PFA-fixed paraffin-embedded sections) - Anti-PKA alpha/beta/gamma (catalytic subunit) (phospho T197) antibody [EP2606Y] - BSA and Azide free (AB227848)
  • IHC-P

Lab

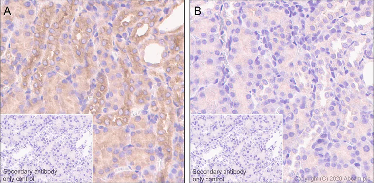
Immunohistochemistry (Formalin/PFA-fixed paraffin-embedded sections) - Anti-PKA alpha/beta/gamma (catalytic subunit) (phospho T197) antibody [EP2606Y] - BSA and Azide free (AB227848)

Immunohistochemistry (Formalin/PFA-fixed paraffin-embedded sections) analysis of mouse kidney tissue sections labeling PKA alpha/beta/gamma (catalytic subunit) with Purified ab75991 at 1/5000 dilution (0.05 μg/mL). Heat mediated antigen retrieval was performed using Heat mediated antigen retrieval using Bond™ Epitope Retrieval Solution 2 (pH 9.0) . Tissue was counterstained with Hematoxylin. Rabbit specific IHC polymer detection kit HRP/DAB (ab209101) secondary antibody was used at 1/0 dilution. PBS instead of the primary antibody was used as the negative control. M3

This data was developed using ab75991, the same antibody clone in a different buffer formulation.

Immunohistochemistry (Formalin/PFA-fixed paraffin-embedded sections) - Anti-PKA alpha/beta/gamma (catalytic subunit) (phospho T197) antibody [EP2606Y] - BSA and Azide free (AB227848)
  • IHC-P

Lab

Immunohistochemistry (Formalin/PFA-fixed paraffin-embedded sections) - Anti-PKA alpha/beta/gamma (catalytic subunit) (phospho T197) antibody [EP2606Y] - BSA and Azide free (AB227848)

Immunohistochemistry (Formalin/PFA-fixed paraffin-embedded sections) analysis of rat kidney tissue sections labeling PKA alpha/beta/gamma (catalytic subunit) with Purified ab75991 at 1/5000 dilution (0.05 μg/mL). Heat mediated antigen retrieval was performed using Heat mediated antigen retrieval using Bond™ Epitope Retrieval Solution 2 (pH 9.0) . Tissue was counterstained with Hematoxylin. Rabbit specific IHC polymer detection kit HRP/DAB (ab209101) secondary antibody was used at 1/0 dilution. PBS instead of the primary antibody was used as the negative control. M3

This data was developed using ab75991, the same antibody clone in a different buffer formulation.

Western blot - Anti-PKA alpha/beta/gamma (catalytic subunit) (phospho T197) antibody [EP2606Y] - BSA and Azide free (AB227848)
  • WB

Unknown

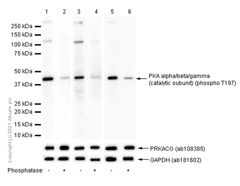
Western blot - Anti-PKA alpha/beta/gamma (catalytic subunit) (phospho T197) antibody [EP2606Y] - BSA and Azide free (AB227848)

This data was developed using ab75991, the same antibody clone in a different buffer formulation.

All lanes:

Western blot - Anti-PKA alpha/beta/gamma (catalytic subunit) (phospho T197) antibody [EP2606Y] (<a href='/en-us/products/primary-antibodies/pka-alpha-beta-gamma-catalytic-subunit-phospho-t197-antibody-ep2606y-ab75991'>ab75991</a>) at 1/1000 dilution

Lane 1:

HeLa (Human cervix adenocarcinoma epithelial cell) whole cell lysate at 15 µg

Lane 2:

HeLa (Human cervix adenocarcinoma epithelial cell) whole cell lysate, then the membrane treated with Lambda Phosphatase for 1 hour at 15 µg

Lane 3:

NIH/3T3 (Mouse embryonic fibroblast) whole cell lysate at 15 µg

Lane 4:

NIH/3T3 (Mouse embryonic fibroblast) whole cell lysate, then the membrane treated with Lambda Phosphatase for 1 hour at 15 µg

Lane 5:

C6 (Rat glial tumor glial cell) whole cell lysate at 15 µg

Lane 6:

C6 (Rat glial tumor glial cell) whole cell lysate, then the membrane treated with Lambda Phosphatase for 1 hour at 15 µg

Secondary

All lanes:

Western blot - Goat Anti-Rabbit IgG H&L (HRP) (<a href='/en-us/products/secondary-antibodies/goat-rabbit-igg-h-l-hrp-ab97051'>ab97051</a>) at 1/20000 dilution

Predicted band size: 40 kDa

Observed band size: 40 kDa

false

Western blot - Anti-PKA alpha/beta/gamma (catalytic subunit) (phospho T197) antibody [EP2606Y] - BSA and Azide free (AB227848)
  • WB

Unknown

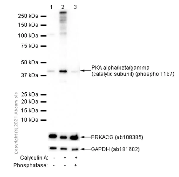
Western blot - Anti-PKA alpha/beta/gamma (catalytic subunit) (phospho T197) antibody [EP2606Y] - BSA and Azide free (AB227848)

This data was developed using ab75991, the same antibody clone in a different buffer formulation.

All lanes:

Western blot - Anti-PKA alpha/beta/gamma (catalytic subunit) (phospho T197) antibody [EP2606Y] (<a href='/en-us/products/primary-antibodies/pka-alpha-beta-gamma-catalytic-subunit-phospho-t197-antibody-ep2606y-ab75991'>ab75991</a>) at 1/1000 dilution

Lane 1:

Untreated HeLa (Human cervix adenocarcinoma epithelial cell) whole cell lysate at 15 µg

Lane 2:

HeLa (Human cervix adenocarcinoma epithelial cell) starved overnight, then treated with 100nM Calyculin A for 30 minutes, whole cell lysate at 15 µg

Lane 3:

HeLa (Human cervix adenocarcinoma epithelial cell) starved overnight, then treated with 100nM Calyculin A for 30 minutes whole cell lysate, then the membrane treated with Lambda Phosphatase for 1 hour at 15 µg

Secondary

All lanes:

Western blot - Goat Anti-Rabbit IgG H&L (HRP) (<a href='/en-us/products/secondary-antibodies/goat-rabbit-igg-h-l-hrp-ab97051'>ab97051</a>) at 1/20000 dilution

Predicted band size: 40 kDa

Observed band size: 40 kDa

false

Dot Blot - Anti-PKA alpha/beta/gamma (catalytic subunit) (phospho T197) antibody [EP2606Y] - BSA and Azide free (AB227848)
  • Dot

Unknown

Dot Blot - Anti-PKA alpha/beta/gamma (catalytic subunit) (phospho T197) antibody [EP2606Y] - BSA and Azide free (AB227848)

Dot blot analysis of various peptides labelling PKA gamma (catalytic subunit) (phospho T197) with ab75991 at a dilution of 1/1000. ab97051, a peroxidase-conjugated goat anti-rabbit IgG (H+L) was used as the secondary antibody (1/100000).

Lane 1 - PKA alpha/beta/gamma (catalytic subunit) (pT197) phospho peptide.

Lane 2 - PKA alpha/beta/gamma (catalytic subunit) non-phospho peptide.

Lane 3 - PRKX/Y (pT203) phospho peptide.

Lane 4 - PRKX/Y non-phospho peptide.

Blocking and dilution buffer : 5% NFDM/TBST.

Exposure time : 3 minutes.

This data was developed using the same antibody clone in a different buffer formulation containing PBS, BSA, glycerol, and sodium azide (ab75991).

Key facts

Host species

Rabbit

Clonality

Monoclonal

Clone number

EP2606Y

Isotype

IgG

Carrier free

Yes

Reacts with

Human, Mouse, Rat

Applications

Dot, IHC-P, WB

applications

Immunogen

The exact immunogen used to generate this antibody is proprietary information.

Specificity

This antibody recognizes the T197 phospho-site, which is the same site as the T198 on Uniprot P22612.

Detects PKA alpha/beta/gamma (catalytic subunit) phosphorylated on threonine 197. Moreover, the antibody will cross-react with PRKX/Y (pT203).

Reactivity data

{ "title": "Reactivity Data", "filters": { "stats": ["", "Species", "Dilution Info", "Notes"], "tabs": { "all-applications": {"fullname" : "All Applications", "shortname": "All Applications"}, "IHCP" : {"fullname" : "Immunohistochemistry (Formalin/PFA-fixed paraffin-embedded sections)", "shortname":"IHC-P"}, "Dot" : {"fullname" : "Dot Blot", "shortname":"Dot"}, "WB" : {"fullname" : "Western blot", "shortname":"WB"} }, "product-promise": { "all": "all", "testedAndGuaranteed": "tested", "guaranteed": "expected", "predicted": "predicted", "notRecommended": "not-recommended" } }, "values": { "Human": { "IHCP-species-checked": "testedAndGuaranteed", "IHCP-species-dilution-info": "", "IHCP-species-notes": "<p>Use of HRP-conjugated or polymerized HRP secondary antibodies recommended, stronger signals have been found using the polymerized HRP secondary.</p>", "Dot-species-checked": "guaranteed", "Dot-species-dilution-info": "", "Dot-species-notes": "", "WB-species-checked": "testedAndGuaranteed", "WB-species-dilution-info": "", "WB-species-notes": "<p></p>" }, "Mouse": { "IHCP-species-checked": "guaranteed", "IHCP-species-dilution-info": "", "IHCP-species-notes": "", "Dot-species-checked": "guaranteed", "Dot-species-dilution-info": "", "Dot-species-notes": "", "WB-species-checked": "testedAndGuaranteed", "WB-species-dilution-info": "", "WB-species-notes": "<p></p>" }, "Rat": { "IHCP-species-checked": "guaranteed", "IHCP-species-dilution-info": "", "IHCP-species-notes": "", "Dot-species-checked": "guaranteed", "Dot-species-dilution-info": "", "Dot-species-notes": "", "WB-species-checked": "testedAndGuaranteed", "WB-species-dilution-info": "", "WB-species-notes": "<p></p>" }, "Synthetic peptide": { "IHCP-species-checked": "notRecommended", "IHCP-species-dilution-info": "", "IHCP-species-notes": "", "Dot-species-checked": "testedAndGuaranteed", "Dot-species-dilution-info": "", "Dot-species-notes": "<p></p>", "WB-species-checked": "notRecommended", "WB-species-dilution-info": "", "WB-species-notes": "" } } }

Product details

ab227848 is the carrier-free version of ab75991.

We are constantly working hard to ensure we provide our customers with best in class antibodies. As a result of this work we are pleased to now offer this antibody in purified format. We are in the process of updating our datasheets. The purified format is designated 'PUR' on our product labels. If you have any questions regarding this update, please contact our Scientific Support team.

Patented technology
Our RabMAb® technology is a patented hybridoma-based technology for making rabbit monoclonal antibodies. For details on our patents, please refer to RabMAb® patents.

What are the advantages of a recombinant monoclonal antibody?
This product is a recombinant monoclonal antibody, which offers several advantages including:

  • - High batch-to-batch consistency and reproducibility
  • - Improved sensitivity and specificity
  • - Long-term security of supply
  • - Animal-free batch production

For more information, read more on recombinant antibodies.

Conjugation ready
Our carrier-free antibodies are typically supplied in a PBS-only formulation, purified and free of BSA, sodium azide and glycerol. This conjugation-ready format is designed for use with fluorochromes, metal isotopes, oligonucleotides, and enzymes, which makes them ideal for antibody labelling, functional and cell-based assays, flow-based assays (e.g. mass cytometry) and Multiplex Imaging applications.

Use our conjugation kits for antibody conjugates that are ready-to-use in as little as 20 minutes with 1 minute hands-on-time and 100% antibody recovery: available for fluorescent dyes, HRP, biotin and gold.

Compatibility
This product is compatible with the Maxpar® Antibody Labeling Kit from Fluidigm, without the need for antibody preparation. Maxpar® is a trademark of Fluidigm Canada Inc.

Properties and storage information

Form
Liquid
Purification technique
Affinity purification Protein A
Storage buffer
pH: 7.2 - 7.4 Constituents: PBS
Shipped at conditions
Blue Ice
Appropriate short-term storage conditions
+4°C
Appropriate long-term storage conditions
+4°C
Storage information
Do Not Freeze

Supplementary information

This supplementary information is collated from multiple sources and compiled automatically.

The protein kinase A (PKA) alpha/beta/gamma also known as the PKA catalytic subunit plays a significant role in the regulation of cellular functions through phosphorylation. It has alternate names including phospho PKA and PKA C alpha with an approximate molecular weight of 40 kDa. The PKA catalytic subunit is expressed in various tissues throughout the body. This distribution highlights its broad physiological impact given PKA's involvement in numerous cellular processes.
Biological function summary

PKA alpha/beta/gamma acts as an important regulatory molecule in signal transduction pathways. It functions by phosphorylating serine and threonine residues on target proteins which alters the activity protein interactions or localization of these substrates. PKA functions as part of the cAMP-dependent PKA holoenzyme complex which includes two regulatory (R) and two catalytic (C) subunits. Activation requires the binding of cAMP to the R subunits causing dissociation and releasing the active C subunits to exert their effects.

Pathways

PKA alpha/beta/gamma integrates into the cAMP signaling pathway which modulates numerous physiological processes such as metabolism gene expression and cell growth. In the cAMP pathway PKA interacts closely with proteins like adenylyl cyclase and phosphodiesterases which respectively increase and decrease cAMP levels affecting PKA activation state and subsequent cellular responses. PKA also plays roles within the MAPK/ERK pathway where it intersects with other kinases to influence cell cycle progression and differentiation.

PKA alpha/beta/gamma has connections to cancer and cardiovascular diseases. Mutations or dysregulation of PKA activity can lead to abnormal cell proliferation and survival contributing to tumorigenesis. The catalytic subunit is also linked to cardiovascular disorders through its impact on heart rate and contractility. Interaction with proteins such as AKAPs (A-kinase anchoring proteins) can localize PKA activity affecting local signaling cascades that influence disease pathology.

Product protocols

For this product, it's our understanding that no specific protocols are required. You can visit:

Target data

Phosphorylates a large number of substrates in the cytoplasm and the nucleus (PubMed : 15642694, PubMed : 15905176, PubMed : 16387847, PubMed : 17333334, PubMed : 17565987, PubMed : 17693412, PubMed : 18836454, PubMed : 19949837, PubMed : 20356841, PubMed : 21085490, PubMed : 21514275, PubMed : 21812984, PubMed : 31112131). Phosphorylates CDC25B, ABL1, NFKB1, CLDN3, PSMC5/RPT6, PJA2, RYR2, RORA, SOX9 and VASP (PubMed : 15642694, PubMed : 15905176, PubMed : 16387847, PubMed : 17333334, PubMed : 17565987, PubMed : 17693412, PubMed : 18836454, PubMed : 19949837, PubMed : 20356841, PubMed : 21085490, PubMed : 21514275, PubMed : 21812984). Regulates the abundance of compartmentalized pools of its regulatory subunits through phosphorylation of PJA2 which binds and ubiquitinates these subunits, leading to their subsequent proteolysis (PubMed : 21423175). RORA is activated by phosphorylation (PubMed : 21514275). Required for glucose-mediated adipogenic differentiation increase and osteogenic differentiation inhibition from osteoblasts (PubMed : 19949837). Involved in chondrogenesis by mediating phosphorylation of SOX9 (By similarity). Involved in the regulation of platelets in response to thrombin and collagen; maintains circulating platelets in a resting state by phosphorylating proteins in numerous platelet inhibitory pathways when in complex with NF-kappa-B (NFKB1 and NFKB2) and I-kappa-B-alpha (NFKBIA), but thrombin and collagen disrupt these complexes and free active PRKACA stimulates platelets and leads to platelet aggregation by phosphorylating VASP (PubMed : 15642694, PubMed : 20356841). Prevents the antiproliferative and anti-invasive effects of alpha-difluoromethylornithine in breast cancer cells when activated (PubMed : 17333334). RYR2 channel activity is potentiated by phosphorylation in presence of luminal Ca(2+), leading to reduced amplitude and increased frequency of store overload-induced Ca(2+) release (SOICR) characterized by an increased rate of Ca(2+) release and propagation velocity of spontaneous Ca(2+) waves, despite reduced wave amplitude and resting cytosolic Ca(2+) (PubMed : 17693412). PSMC5/RPT6 activation by phosphorylation stimulates proteasome (PubMed : 17565987). Negatively regulates tight junctions (TJs) in ovarian cancer cells via CLDN3 phosphorylation (PubMed : 15905176). NFKB1 phosphorylation promotes NF-kappa-B p50-p50 DNA binding (PubMed : 15642694). Required for phosphorylation of GLI transcription factors which inhibits them and prevents transcriptional activation of Hedgehog signaling pathway target genes (By similarity). GLI transcription factor phosphorylation is inhibited by interaction of PRKACA with SMO which sequesters PRKACA at the cell membrane (By similarity). Involved in embryonic development by down-regulating the Hedgehog (Hh) signaling pathway that determines embryo pattern formation and morphogenesis most probably through the regulation of OFD1 in ciliogenesis (PubMed : 33934390). Prevents meiosis resumption in prophase-arrested oocytes via CDC25B inactivation by phosphorylation (By similarity). May also regulate rapid eye movement (REM) sleep in the pedunculopontine tegmental (PPT) (By similarity). Phosphorylates APOBEC3G and AICDA (PubMed : 16387847, PubMed : 18836454). Phosphorylates HSF1; this phosphorylation promotes HSF1 nuclear localization and transcriptional activity upon heat shock (PubMed : 21085490). Acts as a negative regulator of mTORC1 by mediating phosphorylation of RPTOR (PubMed : 31112131).. Isoform 2. Phosphorylates and activates ABL1 in sperm flagellum to promote spermatozoa capacitation.
See full target information PRKACA phospho T197

Additional targets

PRKACB,cAMP-dependent protein kinase catalytic subunit gamma

Publications (8)

Recent publications for all applications. Explore the full list and refine your search

Experimental dermatology 31:1253-1263 PubMed35514241

2022

Silencing of Rab23 by siRNA inhibits ultraviolet B-induced melanogenesis via downregulation of PKA/CREB/MITF.

Applications

Unspecified application

Species

Unspecified reactive species

Xuanjin Wei,Min Huang,Yi Yang,Yali Liu,Sumin Chi,Chengxin Li

Nature communications 10:5643 PubMed31822662

2019

Sensory innervation in porous endplates by Netrin-1 from osteoclasts mediates PGE2-induced spinal hypersensitivity in mice.

Applications

Unspecified application

Species

Unspecified reactive species

Shuangfei Ni,Zemin Ling,Xiao Wang,Yong Cao,Tianding Wu,Ruoxian Deng,Janet L Crane,Richard Skolasky,Shadpour Demehri,Gehua Zhen,Amit Jain,Panfeng Wu,Dayu Pan,Bo Hu,Xiao Lyu,Yusheng Li,Hao Chen,Huabin Qi,Yun Guan,Xinzhong Dong,Mei Wan,Xuenong Zou,Hongbin Lu,Jianzhong Hu,Xu Cao

The Journal of physiology 594:4945-66 PubMed27068441

2016

SPAK and OSR1 play essential roles in potassium homeostasis through actions on the distal convoluted tubule.

Applications

Unspecified application

Species

Unspecified reactive species

Mohammed Z Ferdaus,Karl W Barber,Karen I López-Cayuqueo,Andrew S Terker,Eduardo R Argaiz,Brandon M Gassaway,Régine Chambrey,Gerardo Gamba,Jesse Rinehart,James A McCormick

International journal of molecular medicine 37:901-10 PubMed26935542

2016

Linarin promotes osteogenic differentiation by activating the BMP-2/RUNX2 pathway via protein kinase A signaling.

Applications

Unspecified application

Species

Unspecified reactive species

Jia Li,Lingyu Hao,Junhua Wu,Jiquan Zhang,Jiansheng Su

Archives of biochemistry and biophysics 538:25-33 PubMed23942052

2013

Human heart failure is accompanied by altered protein kinase A subunit expression and post-translational state.

Applications

Unspecified application

Species

Unspecified reactive species

Young Soo Han,Jennifer Arroyo,Ozgur Ogut

Molecular medicine (Cambridge, Mass.) 18:1412-9 PubMed23154639

2012

STAT1, STAT6 and adenosine 3',5'-cyclic monophosphate (cAMP) signaling drive SOCS3 expression in inactive ulcerative colitis.

Applications

Unspecified application

Species

Unspecified reactive species

Yi Li,Jasper Deuring,Maikel P Peppelenbosch,Ernst J Kuipers,Colin de Haar,C Janneke van der Woude

Nature cell biology 14:1105-12 PubMed22983116

2012

Wolfram syndrome 1 and adenylyl cyclase 8 interact at the plasma membrane to regulate insulin production and secretion.

Applications

Unspecified application

Species

Unspecified reactive species

Sonya G Fonseca,Fumihiko Urano,Gordon C Weir,Jesper Gromada,Mark Burcin

Biochemical and biophysical research communication 415:497-502 PubMed22056562

2011

Apolipoprotein A-I stimulates cholesteryl ester transfer protein and apolipoprotein E secretion from lipid-loaded macrophages; the role of NF-κB and PKA signaling pathways.

Applications

WB

Species

Human

Loredan S Niculescu,Marius R Robciuc,Gabriela M Sanda,Anca V Sima
View all publications

Product promise

We are committed to supporting your work with high-quality reagents, and we're here for you every step of the way. In the unlikely event that one of our products does not perform as expected, you're protected by our Product Promise.
For full details, please see our Terms & Conditions

Please note: All products are 'FOR RESEARCH USE ONLY. NOT FOR USE IN DIAGNOSTIC OR THERAPEUTIC PROCEDURES'.

For licensing inquiries, please contact partnerships@abcam.com