JavaScript is disabled in your browser. Please enable JavaScript to view this website.
AB32514

Anti-PKA R2/PKR2 antibody [Y116]

  • BOND RX™ Validated
  • RabMAb
  • Recombinant
  • KO Validated
  • What is this?

1

(1 Review)

|

(15 Publications)

Rabbit Recombinant Monoclonal PKA R2/PKR2 antibody. Suitable for IHC-P, ICC/IF, IP, WB, Flow Cyt (Intra) and reacts with Human samples. Cited in 15 publications.

View Alternative Names

PKR2, PRKAR2, PRKAR2A, cAMP-dependent protein kinase type II-alpha regulatory subunit

5 Images
Flow Cytometry (Intracellular) - Anti-PKA R2/PKR2 antibody [Y116] (AB32514)
  • Flow Cyt (Intra)

Unknown

Flow Cytometry (Intracellular) - Anti-PKA R2/PKR2 antibody [Y116] (AB32514)

Intracellular Flow Cytometry analysis of MCF7 (Human breast adenocarcinoma epithelial cell) cells labeling PKA R2/PKR2 with purified ab32514 at 1/20 dilution (10 μg/mL) (Red). Cells were fixed with 4% Paraformaldehyde and permeabilised with 90% Methanol. A Goat anti rabbit IgG (Alexa Fluor® 488, ab150077) secondary antibody was used at 1/2000. Isotype control - Rabbit monoclonal IgG (Black). Unlabeled control - Cell without incubation with primary antibody and secondary antibody (Blue).

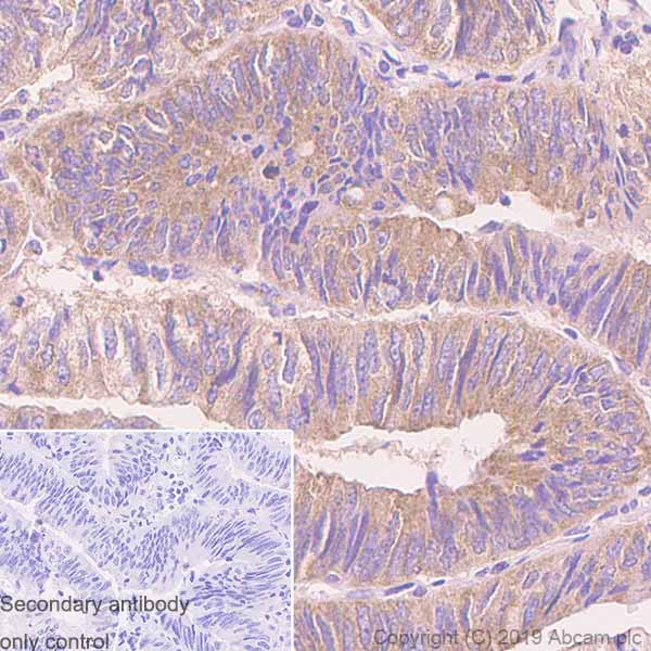
Immunohistochemistry (Formalin/PFA-fixed paraffin-embedded sections) - Anti-PKA R2/PKR2 antibody [Y116] (AB32514)
  • IHC-P

Unknown

Immunohistochemistry (Formalin/PFA-fixed paraffin-embedded sections) - Anti-PKA R2/PKR2 antibody [Y116] (AB32514)

Immunohistochemistry (Formalin/PFA-fixed paraffin-embedded sections) analysis of human colon cancer tissue sections labeling PKA R2/PKR2 with purified ab32514 at 1/100 dilution (0.84 µg/mL). Heat mediated antigen retrieval using Bond™ Epitope Retrieval Solution 2 (pH 9.0). Rabbit specific IHC polymer detection kit HRP/DAB (ab209101) was used as the secondary antibody. Negative control : PBS instead of the primary antibody. Hematoxylin was used as a counterstain.

Immunoprecipitation - Anti-PKA R2/PKR2 antibody [Y116] (AB32514)
  • IP

Unknown

Immunoprecipitation - Anti-PKA R2/PKR2 antibody [Y116] (AB32514)

Purified ab32514 at 1/20 dilution (0.5μg) immunoprecipitating PKA R2/PKR2 in K-562 whole cell lysate.
Lane 1 (input) : K-562 (Human chronic myelogenous leukemia lymphoblast) whole cell lysate 10μg
Lane 2 (+) : ab32514 + K-562 whole cell lysate.
Lane 3 (-) : Rabbit monoclonal IgG (ab172730) instead of ab32514 in K-562 whole cell lysate.
VeriBlot for IP Detection Reagent (HRP) (ab131366) (1/1000 dilution) was used for Western blotting.
Blocking Buffer and concentration : 5% NFDM/TBST.
Diluting buffer and concentration : 5% NFDM/TBST.
Observed band size : 50 kDa

All lanes:

Immunoprecipitation - Anti-PKA R2/PKR2 antibody [Y116] (ab32514)

Predicted band size: 45 kDa

false

Western blot - Anti-PKA R2/PKR2 antibody [Y116] (AB32514)
  • WB

Unknown

Western blot - Anti-PKA R2/PKR2 antibody [Y116] (AB32514)

All lanes:

Western blot - Anti-PKA R2/PKR2 antibody [Y116] (ab32514) at 1/10000 dilution

Lane 1:

K-562 (Human chronic myelogenous leukemia lymphoblast) whole cell lysate at 20 µg

Lane 2:

HeLa (Human cervix adenocarcinoma epithelial cell) whole cell lysate at 20 µg

Lane 3:

Jurkat (Human T cell leukemia T lymphocyte) whole cell lysate at 20 µg

Secondary

All lanes:

Western blot - Goat Anti-Rabbit IgG H&L (HRP) (<a href='/en-us/products/secondary-antibodies/goat-rabbit-igg-h-l-hrp-ab97051'>ab97051</a>) at 1/20000 dilution

Predicted band size: 45 kDa

Observed band size: 50 kDa

false

Western blot - Anti-PKA R2/PKR2 antibody [Y116] (AB32514)
  • WB

Lab

Western blot - Anti-PKA R2/PKR2 antibody [Y116] (AB32514)

Lanes 1-3 : Merged signal (red and green). Green - ab32514 observed at 50 kDa. Red - loading control ab8245 observed at 36 kDa.

Unpurified ab32514 Anti-PKA R2/PKR2 antibody [Y116] was shown to specifically react with PKA R2/PKR2 in wild-type HeLa cells. Loss of signal was observed when knockout cell line ab265748 (knockout cell lysate ab257607) was used. Wild-type and PKA R2/PKR2 knockout samples were subjected to SDS-PAGE. ab32514 and Anti-GAPDH antibody [6C5] - Loading Control (ab8245) were incubated at room temperature for 2. 5 hours at 1 in 1000 dilution and 1 in 20000 dilution respectively. Blots were developed with Goat anti-Rabbit IgG H&L (IRDye® 800CW) preadsorbed (ab216773) and Goat anti-Mouse IgG H&L (IRDye® 680RD) preadsorbed (ab216776) secondary antibodies at 1 in 20000 dilution for 1 hour at room temperature before imaging.

All lanes:

Western blot - Anti-PKA R2/PKR2 antibody [Y116] (ab32514) at 1/1000 dilution

Lane 1:

Wild-type HeLa cell lysate at 20 µg

Lane 2:

PRKAR2A knockout HeLa cell lysate at 20 µg

Lane 2:

Western blot - Human PRKAR2A (PKA R2/PKR2) knockout HeLa cell line (<a href='/en-us/products/cell-lines/human-prkar2a-pka-r2-pkr2-knockout-hela-cell-line-ab265748'>ab265748</a>)

Lane 3:

K-562 cell lysate at 20 µg

Secondary

All lanes:

Western blot - Goat anti-Rabbit IgG H&L (IRDye® 800CW) preadsorbed (<a href='/en-us/products/secondary-antibodies/goat-rabbit-igg-h-l-irdye-800cw-preadsorbed-ab216773'>ab216773</a>) at 1/10000 dilution

Predicted band size: 45 kDa

Observed band size: 50 kDa

false

  • Carrier free

    Anti-PKA R2/PKR2 antibody [Y116] - BSA and Azide free

Key facts

Host species

Rabbit

Clonality

Monoclonal

Clone number

Y116

Isotype

IgG

Carrier free

No

Reacts with

Human

Applications

Flow Cyt (Intra), IP, IHC-P, ICC/IF, WB

applications

Immunogen

The exact immunogen used to generate this antibody is proprietary information.

Specificity

The antibody recognises PKA RII. It does not cross-react with other cAMP-dependent kinase.

Reactivity data

{ "title": "Reactivity Data", "filters": { "stats": ["", "Species", "Dilution Info", "Notes"], "tabs": { "all-applications": {"fullname" : "All Applications", "shortname": "All Applications"}, "IHCP" : {"fullname" : "Immunohistochemistry (Formalin/PFA-fixed paraffin-embedded sections)", "shortname":"IHC-P"}, "ICCIF" : {"fullname" : "Immunocytochemistry/ Immunofluorescence", "shortname":"ICC/IF"}, "IP" : {"fullname" : "Immunoprecipitation", "shortname":"IP"}, "WB" : {"fullname" : "Western blot", "shortname":"WB"}, "FlowCytIntra" : {"fullname" : "Flow Cytometry (Intracellular)", "shortname":"Flow Cyt (Intra)"} }, "product-promise": { "all": "all", "testedAndGuaranteed": "tested", "guaranteed": "expected", "predicted": "predicted", "notRecommended": "not-recommended" } }, "values": { "Human": { "IHCP-species-checked": "testedAndGuaranteed", "IHCP-species-dilution-info": "1/100", "IHCP-species-notes": "<p><strong>For unpurified use at 1/100 - 1/250.</strong></p>", "ICCIF-species-checked": "testedAndGuaranteed", "ICCIF-species-dilution-info": "1/500", "ICCIF-species-notes": "<p><strong>For unpurified use at 1/100 - 1/250.</strong></p>", "IP-species-checked": "testedAndGuaranteed", "IP-species-dilution-info": "1/20", "IP-species-notes": "<p></p>", "WB-species-checked": "testedAndGuaranteed", "WB-species-dilution-info": "1/10000", "WB-species-notes": "<p><strong>For unpurified use at 1/10000 - 1/50000.</strong></p>", "FlowCytIntra-species-checked": "testedAndGuaranteed", "FlowCytIntra-species-dilution-info": "1/20", "FlowCytIntra-species-notes": "<p></p>" }, "Cow": { "IHCP-species-checked": "predicted", "IHCP-species-dilution-info": "", "IHCP-species-notes": "", "ICCIF-species-checked": "predicted", "ICCIF-species-dilution-info": "", "ICCIF-species-notes": "", "IP-species-checked": "predicted", "IP-species-dilution-info": "", "IP-species-notes": "", "WB-species-checked": "predicted", "WB-species-dilution-info": "", "WB-species-notes": "", "FlowCytIntra-species-checked": "predicted", "FlowCytIntra-species-dilution-info": "", "FlowCytIntra-species-notes": "" } } }

Product details

Species reactivity
Mouse, Rat: We have preliminary internal testing data to indicate this antibody may not react with these species.
Please contact us for more information.

Patented technology
Our RabMAb® technology is a patented hybridoma-based technology for making rabbit monoclonal antibodies. For details on our patents, please refer to RabMAb® patents.

What are the advantages of a recombinant monoclonal antibody?
This product is a recombinant monoclonal antibody, which offers several advantages including:

  • - High batch-to-batch consistency and reproducibility
  • - Improved sensitivity and specificity
  • - Long-term security of supply
  • - Animal-free batch production

For more information, read more on recombinant antibodies.

Properties and storage information

Form
Liquid
Purification technique
Affinity purification Protein A
Storage buffer
pH: 7.2 - 7.4 Preservative: 0.01% Sodium azide Constituents: PBS, 40% Glycerol (glycerin, glycerine), 0.05% BSA
Shipped at conditions
Blue Ice
Appropriate short-term storage duration
1-2 weeks
Appropriate short-term storage conditions
+4°C
Appropriate long-term storage conditions
-20°C
Aliquoting information
Upon delivery aliquot
Storage information
Avoid freeze / thaw cycle

Supplementary information

This supplementary information is collated from multiple sources and compiled automatically.

Protein Kinase A R2 (PKR2) also known as PRKAR2A is a regulatory subunit of Protein Kinase A (PKA). PKA is part of a larger complex known as the cAMP-dependent protein kinase which plays an important role in cellular signaling. PKA consists of regulatory and catalytic subunits with PKR2 serving as one of its regulatory forms. PKR2 possesses a molecular mass of approximately 47 kDa and is available in various human tissues with notable expression in the brain and cardiovascular system.
Biological function summary

PKR2 regulates the activity of PKA by binding to the catalytic subunit in the absence of cAMP therefore inhibiting its activity. When cAMP is present it binds to the regulatory subunit PKR2 leading to the release and activation of the catalytic subunit of PKA. PKR2 is an integral part of the PKA holoenzyme complex which plays a critical role in mediating cellular responses to hormonal stimulation.

Pathways

PKR2 is heavily involved in the cAMP-dependent signaling pathway. This pathway is essential for translating extracellular signals into cellular actions. It interacts with various effector proteins including adenylate cyclases and phosphodiesterases to modulate responses such as gene transcription metabolism and memory formation. PKR2-related activity influences pathways shared with proteins like the G-protein subunits which facilitate the effects of neurotransmitters.

PKR2 irregularities can impact conditions like heart failure and neurodegenerative diseases. Disrupted PKA pathway signaling involving PKR2 can contribute to cardiac dysfunction by affecting heart muscle contractility and hypertrophy. In neurodegenerative diseases the improper functioning of PKR2 can exacerbate disruptions in neural signaling. A connection exists between PKR2 and proteins such as CREB (cAMP response element-binding protein) which links PKR2's role to memory deficits observed in neurodegeneration.

Product protocols

For this product, it's our understanding that no specific protocols are required. You can visit:

Target data

Regulatory subunit of the cAMP-dependent protein kinases involved in cAMP signaling in cells. Type II regulatory chains mediate membrane association by binding to anchoring proteins, including the MAP2 kinase.
See full target information PRKAR2A

Publications (15)

Recent publications for all applications. Explore the full list and refine your search

Scientific reports 15:27498 PubMed40721586

2025

Guilu erxian glue improves sperm quality in oligasthenospermia mice by promoting TDRP methylation and regulating the cAMP/PKA pathway.

Applications

Unspecified application

Species

Unspecified reactive species

Congxu Zhu,Yingqiu Li,Lumei Liu,Jing Xie,Zongren Hu,Qinghu He,Wen Sheng

Food science & nutrition 13:e70408 PubMed40491976

2025

Molecular Mechanisms Underlying Apple Extract Ameliorates Depression-Incident Cognitive Dysfunction Based on Network Pharmacology.

Applications

Unspecified application

Species

Unspecified reactive species

Yue Chen,Shunqiang Yang,Huihuang Shi,Jizhe Cui,Zhu Li

Frontiers in pharmacology 16:1592187 PubMed40453656

2025

The regulation and mechanism of the cAMP-PKA pathway on PTSD-like behaviors exacerbated by alcohol exposure.

Applications

Unspecified application

Species

Unspecified reactive species

Shuang Zhao,Wei Zhao,Ziqi Wang,Xiaofei Chen,Fangjiao Zong,Hanting Zhang

The international journal of neuropsychopharmacology 27: PubMed39099166

2024

Identification of Phosphodiesterase-7A (PDE7A) as a Novel Target for Reducing Ethanol Consumption in Mice.

Applications

Unspecified application

Species

Unspecified reactive species

Ran Wei,Fangjiao Zong,Jiahao Dong,Wei Zhao,Fangfang Zhang,Wei Wang,Shuang Zhao,Ziqi Wang,Fang Zhang,Han-Ting Zhang

BMC cardiovascular disorders 24:197 PubMed38580957

2024

HAPLN1 knockdown inhibits heart failure development via activating the PKA signaling pathway.

Applications

Unspecified application

Species

Unspecified reactive species

Tao Yan,Shushuai Song,Wendong Sun,Yiping Ge

Journal of clinical laboratory analysis 36:e24604 PubMed35989517

2022

GLP1R inhibits the progression of endometrial carcinoma through activation of cAMP/PKA pathway.

Applications

Unspecified application

Species

Unspecified reactive species

Wu Li,Yanpin Gu,Songjun Liu,Fan Ruan,Wen Lv

The FEBS journal 289:2865-2876 PubMed34839588

2021

Type IIB PKA is highly expressed in β cells and controls cell proliferation via regulating Cyclin D1 expression.

Applications

Unspecified application

Species

Unspecified reactive species

Yaojing Jiang,Lu Zhu,Di Wu,Yunzhi Ni,Chuxin Huang,Hongying Ye,Yehong Yang,Rui Liu,Yiming Li

iScience 24:103271 PubMed34761190

2021

miR-1307 promotes hepatocarcinogenesis by CALR-OSTC-endoplasmic reticulum protein folding pathway.

Applications

Unspecified application

Species

Unspecified reactive species

Sijie Xie,Xiaoxue Jiang,Rushi Qin,Shuting Song,Yanan Lu,Liyan Wang,Yingjie Chen,Dongdong Lu

International journal of molecular sciences 22: PubMed34502044

2021

Prostaglandin E2 Receptor 4 (EP4) Affects Trophoblast Functions via Activating the cAMP-PKA-pCREB Signaling Pathway at the Maternal-Fetal Interface in Unexplained Recurrent Miscarriage.

Applications

Unspecified application

Species

Unspecified reactive species

Lin Peng,Anca Chelariu-Raicu,Yao Ye,Zhi Ma,Huixia Yang,Hellen Ishikawa-Ankerhold,Martina Rahmeh,Sven Mahner,Udo Jeschke,Viktoria von Schönfeldt

International journal of molecular sciences 21: PubMed32486305

2020

Norepinephrine Inhibits the Proliferation of Bone Marrow-Derived Mesenchymal Stem Cells via β2-Adrenoceptor-Mediated ERK1/2 and PKA Phosphorylation.

Applications

Unspecified application

Species

Unspecified reactive species

Jessica Hedderich,Karima El Bagdadi,Peter Angele,Susanne Grässel,Andrea Meurer,Rainer H Straub,Frank Zaucke,Zsuzsa Jenei-Lanzl
View all publications

Product promise

We are committed to supporting your work with high-quality reagents, and we're here for you every step of the way. In the unlikely event that one of our products does not perform as expected, you're protected by our Product Promise.
For full details, please see our Terms & Conditions

Please note: All products are 'FOR RESEARCH USE ONLY. NOT FOR USE IN DIAGNOSTIC OR THERAPEUTIC PROCEDURES'.

For licensing inquiries, please contact partnerships@abcam.com