JavaScript is disabled in your browser. Please enable JavaScript to view this website.
AB247265

Anti-PKA R2/PKR2 antibody [Y116] - BSA and Azide free

  • BOND RX™ Validated
  • RabMAb
  • Recombinant
  • KO Validated
  • What is this?

Be the first to review this product! Submit a review

|

(1 Publication)

Rabbit Recombinant Monoclonal PKA R2/PKR2 antibody. Carrier free. Suitable for IHC-P, ICC/IF, IP, WB, Flow Cyt (Intra) and reacts with Human samples. Cited in 1 publication.

View Alternative Names

PKR2, PRKAR2, PRKAR2A, cAMP-dependent protein kinase type II-alpha regulatory subunit

5 Images
Flow Cytometry (Intracellular) - Anti-PKA R2/PKR2 antibody [Y116] - BSA and Azide free (AB247265)
  • Flow Cyt (Intra)

Unknown

Flow Cytometry (Intracellular) - Anti-PKA R2/PKR2 antibody [Y116] - BSA and Azide free (AB247265)

This data was developed using ab32514, the same antibody clone in a different buffer formulation. Intracellular Flow Cytometry analysis of MCF7 (Human breast adenocarcinoma epithelial cell) cells labeling PKA R2/PKR2 with purified ab32514 at 1/20 dilution (10 μg/mL) (Red). Cells were fixed with 4% Paraformaldehyde and permeabilised with 90% Methanol. A Goat anti rabbit IgG (Alexa Fluor® 488, ab150077) secondary antibody was used at 1/2000. Isotype control - Rabbit monoclonal IgG (Black). Unlabeled control - Cell without incubation with primary antibody and secondary antibody (Blue).

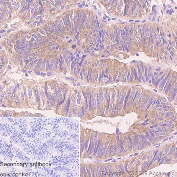
Immunohistochemistry (Formalin/PFA-fixed paraffin-embedded sections) - Anti-PKA R2/PKR2 antibody [Y116] - BSA and Azide free (AB247265)
  • IHC-P

Unknown

Immunohistochemistry (Formalin/PFA-fixed paraffin-embedded sections) - Anti-PKA R2/PKR2 antibody [Y116] - BSA and Azide free (AB247265)

This data was developed using ab32514, the same antibody clone in a different buffer formulation.
Immunohistochemistry (Formalin/PFA-fixed paraffin-embedded sections) analysis of human colon cancer tissue sections labeling PKA R2/PKR2 with purified ab32514 at 1/100 dilution (0.84 µg/mL). Heat mediated antigen retrieval using Bond™ Epitope Retrieval Solution 2 (pH 9.0). Rabbit specific IHC polymer detection kit HRP/DAB (ab209101) was used as the secondary antibody. Negative control : PBS instead of the primary antibody. Hematoxylin was used as a counterstain.

Immunoprecipitation - Anti-PKA R2/PKR2 antibody [Y116] - BSA and Azide free (AB247265)
  • IP

Unknown

Immunoprecipitation - Anti-PKA R2/PKR2 antibody [Y116] - BSA and Azide free (AB247265)

This data was developed using ab32514, the same antibody clone in a different buffer formulation.
Purified ab32514 at 1/20 dilution (0.5μg) immunoprecipitating PKA R2/PKR2 in K-562 whole cell lysate.
Lane 1 (input) : K-562 (Human chronic myelogenous leukemia lymphoblast) whole cell lysate 10μg
Lane 2 (+) : ab32514 + K-562 whole cell lysate.
Lane 3 (-) : Rabbit monoclonal IgG (ab172730) instead of ab32514 in K-562 whole cell lysate.
VeriBlot for IP Detection Reagent (HRP) (ab131366) (1/1000 dilution) was used for Western blotting.
Blocking Buffer and concentration : 5% NFDM/TBST.
Diluting buffer and concentration : 5% NFDM/TBST.
Observed band size : 50 kDa

All lanes:

Immunoprecipitation - Anti-PKA R2/PKR2 antibody [Y116] (<a href='/en-us/products/primary-antibodies/pka-r2-pkr2-antibody-y116-ab32514'>ab32514</a>)

Predicted band size: 45 kDa

false

Western blot - Anti-PKA R2/PKR2 antibody [Y116] - BSA and Azide free (AB247265)
  • WB

Lab

Western blot - Anti-PKA R2/PKR2 antibody [Y116] - BSA and Azide free (AB247265)

This data was developed using the same antibody clone in a different buffer formulation (ab32514).

Lanes 1-3 : Merged signal (red and green). Green - ab32514 observed at 50 kDa. Red - loading control ab8245 observed at 36 kDa.

Unpurified ab32514 Anti-PKA R2/PKR2 antibody [Y116] was shown to specifically react with PKA R2/PKR2 in wild-type HeLa cells. Loss of signal was observed when knockout cell line ab265748 (knockout cell lysate ab257607) was used. Wild-type and PKA R2/PKR2 knockout samples were subjected to SDS-PAGE. ab32514 and Anti-GAPDH antibody [6C5] - Loading Control (ab8245) were incubated at room temperature for 2. 5 hours at 1 in 1000 dilution and 1 in 20000 dilution respectively. Blots were developed with Goat anti-Rabbit IgG H&L (IRDye® 800CW) preadsorbed (ab216773) and Goat anti-Mouse IgG H&L (IRDye® 680RD) preadsorbed (ab216776) secondary antibodies at 1 in 20000 dilution for 1 hour at room temperature before imaging.

All lanes:

Western blot - Anti-PKA R2/PKR2 antibody [Y116] (<a href='/en-us/products/primary-antibodies/pka-r2-pkr2-antibody-y116-ab32514'>ab32514</a>) at 1/1000 dilution

Lane 1:

Wild-type HeLa cell lysate at 20 µg

Lane 2:

PRKAR2A knockout HeLa cell lysate at 20 µg

Lane 2:

Western blot - Human PRKAR2A (PKA R2/PKR2) knockout HeLa cell line (<a href='/en-us/products/cell-lines/human-prkar2a-pka-r2-pkr2-knockout-hela-cell-line-ab265748'>ab265748</a>)

Lane 3:

K-562 cell lysate at 20 µg

Secondary

All lanes:

Western blot - Goat anti-Rabbit IgG H&L (IRDye® 800CW) preadsorbed (<a href='/en-us/products/secondary-antibodies/goat-rabbit-igg-h-l-irdye-800cw-preadsorbed-ab216773'>ab216773</a>) at 1/10000 dilution

Predicted band size: 45 kDa

Observed band size: 50 kDa

false

Western blot - Anti-PKA R2/PKR2 antibody [Y116] - BSA and Azide free (AB247265)
  • WB

Unknown

Western blot - Anti-PKA R2/PKR2 antibody [Y116] - BSA and Azide free (AB247265)

This data was developed using ab32514, the same antibody clone in a different buffer formulation.

All lanes:

Western blot - Anti-PKA R2/PKR2 antibody [Y116] (<a href='/en-us/products/primary-antibodies/pka-r2-pkr2-antibody-y116-ab32514'>ab32514</a>) at 1/10000 dilution

Lane 1:

K-562 (Human chronic myelogenous leukemia lymphoblast) whole cell lysate at 20 µg

Lane 2:

HeLa (Human cervix adenocarcinoma epithelial cell) whole cell lysate at 20 µg

Lane 3:

Jurkat (Human T cell leukemia T lymphocyte) whole cell lysate at 20 µg

Secondary

All lanes:

Western blot - Goat Anti-Rabbit IgG H&L (HRP) (<a href='/en-us/products/secondary-antibodies/goat-rabbit-igg-h-l-hrp-ab97051'>ab97051</a>) at 1/20000 dilution

Predicted band size: 45 kDa

Observed band size: 50 kDa

false

Key facts

Host species

Rabbit

Clonality

Monoclonal

Clone number

Y116

Isotype

IgG

Carrier free

Yes

Reacts with

Human

Applications

ICC/IF, WB, IP, Flow Cyt (Intra), IHC-P

applications

Immunogen

The exact immunogen used to generate this antibody is proprietary information.

Specificity

The antibody recognises PKA RII. It does not cross-react with other cAMP-dependent kinase.

Reactivity data

{ "title": "Reactivity Data", "filters": { "stats": ["", "Species", "Dilution Info", "Notes"], "tabs": { "all-applications": {"fullname" : "All Applications", "shortname": "All Applications"}, "IHCP" : {"fullname" : "Immunohistochemistry (Formalin/PFA-fixed paraffin-embedded sections)", "shortname":"IHC-P"}, "ICCIF" : {"fullname" : "Immunocytochemistry/ Immunofluorescence", "shortname":"ICC/IF"}, "IP" : {"fullname" : "Immunoprecipitation", "shortname":"IP"}, "WB" : {"fullname" : "Western blot", "shortname":"WB"}, "FlowCytIntra" : {"fullname" : "Flow Cytometry (Intracellular)", "shortname":"Flow Cyt (Intra)"} }, "product-promise": { "all": "all", "testedAndGuaranteed": "tested", "guaranteed": "expected", "predicted": "predicted", "notRecommended": "not-recommended" } }, "values": { "Human": { "IHCP-species-checked": "testedAndGuaranteed", "IHCP-species-dilution-info": "", "IHCP-species-notes": "<p></p>", "ICCIF-species-checked": "testedAndGuaranteed", "ICCIF-species-dilution-info": "", "ICCIF-species-notes": "<p></p>", "IP-species-checked": "testedAndGuaranteed", "IP-species-dilution-info": "", "IP-species-notes": "<p></p>", "WB-species-checked": "testedAndGuaranteed", "WB-species-dilution-info": "", "WB-species-notes": "<p></p>", "FlowCytIntra-species-checked": "testedAndGuaranteed", "FlowCytIntra-species-dilution-info": "", "FlowCytIntra-species-notes": "<p></p>" }, "Cow": { "IHCP-species-checked": "predicted", "IHCP-species-dilution-info": "", "IHCP-species-notes": "", "ICCIF-species-checked": "predicted", "ICCIF-species-dilution-info": "", "ICCIF-species-notes": "", "IP-species-checked": "predicted", "IP-species-dilution-info": "", "IP-species-notes": "", "WB-species-checked": "predicted", "WB-species-dilution-info": "", "WB-species-notes": "", "FlowCytIntra-species-checked": "predicted", "FlowCytIntra-species-dilution-info": "", "FlowCytIntra-species-notes": "" } } }

Product details

ab247265 is the carrier-free version of ab32514.

Species reactivity
Mouse, Rat: We have preliminary internal testing data to indicate this antibody may not react with these species.
Please contact us for more information.

Patented technology
Our RabMAb® technology is a patented hybridoma-based technology for making rabbit monoclonal antibodies. For details on our patents, please refer to RabMAb® patents.

What are the advantages of a recombinant monoclonal antibody?
This product is a recombinant monoclonal antibody, which offers several advantages including:

  • - High batch-to-batch consistency and reproducibility
  • - Improved sensitivity and specificity
  • - Long-term security of supply
  • - Animal-free batch production

For more information, read more on recombinant antibodies.

Conjugation ready
Our carrier-free antibodies are typically supplied in a PBS-only formulation, purified and free of BSA, sodium azide and glycerol. This conjugation-ready format is designed for use with fluorochromes, metal isotopes, oligonucleotides, and enzymes, which makes them ideal for antibody labelling, functional and cell-based assays, flow-based assays (e.g. mass cytometry) and Multiplex Imaging applications.

Use our conjugation kits for antibody conjugates that are ready-to-use in as little as 20 minutes with 1 minute hands-on-time and 100% antibody recovery: available for fluorescent dyes, HRP, biotin and gold.

Compatibility
This product is compatible with the Maxpar® Antibody Labeling Kit from Fluidigm, without the need for antibody preparation. Maxpar® is a trademark of Fluidigm Canada Inc.

Properties and storage information

Form
Liquid
Purification technique
Affinity purification Protein A
Storage buffer
pH: 7.2 - 7.4 Constituents: PBS
Shipped at conditions
Blue Ice
Appropriate short-term storage duration
1-2 weeks
Appropriate short-term storage conditions
+4°C
Appropriate long-term storage conditions
-20°C
Aliquoting information
Upon delivery aliquot
Storage information
Avoid freeze / thaw cycle

Supplementary information

This supplementary information is collated from multiple sources and compiled automatically.

Protein Kinase A R2 (PKR2) also known as PRKAR2A is a regulatory subunit of Protein Kinase A (PKA). PKA is part of a larger complex known as the cAMP-dependent protein kinase which plays an important role in cellular signaling. PKA consists of regulatory and catalytic subunits with PKR2 serving as one of its regulatory forms. PKR2 possesses a molecular mass of approximately 47 kDa and is available in various human tissues with notable expression in the brain and cardiovascular system.
Biological function summary

PKR2 regulates the activity of PKA by binding to the catalytic subunit in the absence of cAMP therefore inhibiting its activity. When cAMP is present it binds to the regulatory subunit PKR2 leading to the release and activation of the catalytic subunit of PKA. PKR2 is an integral part of the PKA holoenzyme complex which plays a critical role in mediating cellular responses to hormonal stimulation.

Pathways

PKR2 is heavily involved in the cAMP-dependent signaling pathway. This pathway is essential for translating extracellular signals into cellular actions. It interacts with various effector proteins including adenylate cyclases and phosphodiesterases to modulate responses such as gene transcription metabolism and memory formation. PKR2-related activity influences pathways shared with proteins like the G-protein subunits which facilitate the effects of neurotransmitters.

PKR2 irregularities can impact conditions like heart failure and neurodegenerative diseases. Disrupted PKA pathway signaling involving PKR2 can contribute to cardiac dysfunction by affecting heart muscle contractility and hypertrophy. In neurodegenerative diseases the improper functioning of PKR2 can exacerbate disruptions in neural signaling. A connection exists between PKR2 and proteins such as CREB (cAMP response element-binding protein) which links PKR2's role to memory deficits observed in neurodegeneration.

Product protocols

For this product, it's our understanding that no specific protocols are required. You can visit:

Target data

Regulatory subunit of the cAMP-dependent protein kinases involved in cAMP signaling in cells. Type II regulatory chains mediate membrane association by binding to anchoring proteins, including the MAP2 kinase.
See full target information PRKAR2A

Publications (1)

Recent publications for all applications. Explore the full list and refine your search

OncoTargets and therapy 18:1093-1105 PubMed41019790

2025

Ebp1 p48 Promotes Oncogenic Properties in Non-Small Cell Lung Cancer Through PI3K/Akt Signaling Pathways.

Applications

Unspecified application

Species

Unspecified reactive species

Lina Ma,Shuyuan Wang,Jia Zhang,Mengyuan Xin,Dongyuan Xu,Lan Liu,Xiangdan Li
View all publications

Product promise

We are committed to supporting your work with high-quality reagents, and we're here for you every step of the way. In the unlikely event that one of our products does not perform as expected, you're protected by our Product Promise.
For full details, please see our Terms & Conditions

Please note: All products are 'FOR RESEARCH USE ONLY. NOT FOR USE IN DIAGNOSTIC OR THERAPEUTIC PROCEDURES'.

For licensing inquiries, please contact partnerships@abcam.com