JavaScript is disabled in your browser. Please enable JavaScript to view this website.
AB32390

Anti-PKA R2/PKR2 (phospho S99) antibody [E151]

4

(1 Review)

|

(52 Publications)

Rabbit Recombinant Monoclonal PKA R2/PKR2 phospho S99 antibody. Suitable for WB, ICC/IF, IHC-P and reacts with Mouse, Rat, Pig, Human samples. Cited in 52 publications.

View Alternative Names

PKR2, PRKAR2, PRKAR2A, cAMP-dependent protein kinase type II-alpha regulatory subunit

10 Images
Immunohistochemistry (Formalin/PFA-fixed paraffin-embedded sections) - Anti-PKA R2/PKR2 (phospho S99) antibody [E151] (AB32390)
  • IHC-P

Unknown

Immunohistochemistry (Formalin/PFA-fixed paraffin-embedded sections) - Anti-PKA R2/PKR2 (phospho S99) antibody [E151] (AB32390)

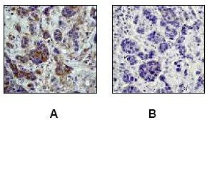
ab32390, at a 1/250 dilution, staining (A) untreated (B) Phosphatase treated lymph node metastatic by immunohistochemistry, Paraffin embedded human tissue

Immunohistochemistry (Formalin/PFA-fixed paraffin-embedded sections) - Anti-PKA R2/PKR2 (phospho S99) antibody [E151] (AB32390)
  • IHC-P

Unknown

Immunohistochemistry (Formalin/PFA-fixed paraffin-embedded sections) - Anti-PKA R2/PKR2 (phospho S99) antibody [E151] (AB32390)

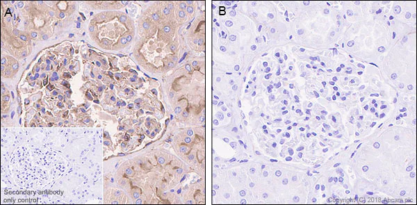
Immunohistochemistry (Formalin/PFA-fixed paraffin-embedded sections) analysis of Human kidney without Lambda Protein Phosphatase treatment (image A) and treated with Lambda Protein Phosphatase (image B). tissue sections labeling PKA R2/PKR2 with purified ab32390 at 1 : 500 dilution (0.75 μg/ml). Heat mediated antigen retrieval was performed Perform heat mediated antigen retrieval using ab93684 (Tris/EDTA buffer, pH 9.0). ImmunoHistoProbe one step HRP Polymer (ready to use)was used as the secondary antibody. Negative control : PBS instead of the primary antibody. Hematoxylin was used as a counterstain.

Immunohistochemistry (Formalin/PFA-fixed paraffin-embedded sections) - Anti-PKA R2/PKR2 (phospho S99) antibody [E151] (AB32390)
  • IHC-P

Unknown

Immunohistochemistry (Formalin/PFA-fixed paraffin-embedded sections) - Anti-PKA R2/PKR2 (phospho S99) antibody [E151] (AB32390)

Immunohistochemistry (Formalin/PFA-fixed paraffin-embedded sections) analysis of Rat kidney without Lambda Protein Phosphatase treatment (image A) and treated with Lambda Protein Phosphatase (image B). tissue sections labeling PKA R2/PKR2 with purified ab32390 at 1 : 500 dilution (0.75 μg/ml). Heat mediated antigen retrieval was performed Perform heat mediated antigen retrieval using ab93684 (Tris/EDTA buffer, pH 9.0). ImmunoHistoProbe one step HRP Polymer (ready to use)was used as the secondary antibody. Negative control : PBS instead of the primary antibody. Hematoxylin was used as a counterstain.

Western blot - Anti-PKA R2/PKR2 (phospho S99) antibody [E151] (AB32390)
  • WB

Lab

Western blot - Anti-PKA R2/PKR2 (phospho S99) antibody [E151] (AB32390)

Blocking and dilution buffer : 5% NFDM/TBST.

All lanes:

Western blot - Anti-PKA R2/PKR2 (phospho S99) antibody [E151] (ab32390) at 1/10000 dilution

Lane 1:

Untreated K562 whole cell lysate at 10 µg

Lane 2:

K562 whole cell lysate - treated with alkaline phosphatase at 10 µg

Secondary

All lanes:

Peroxidase-conjugated goat anti-rabbit IgG (H+L) at 1/1000 dilution

Predicted band size: 45 kDa

Observed band size: 51 kDa

false

Exposure time: 3min

Western blot - Anti-PKA R2/PKR2 (phospho S99) antibody [E151] (AB32390)
  • WB

Lab

Western blot - Anti-PKA R2/PKR2 (phospho S99) antibody [E151] (AB32390)

All lanes:

Western blot - Anti-PKA R2/PKR2 (phospho S99) antibody [E151] (ab32390) at 1/1000 dilution

Lane 1:

HeLa (Human cervix adenocarcinoma epithelial cell) whole cell lysates at 15 µg

Lane 2:

HeLa (Human cervix adenocarcinoma epithelial cell) were starved for 3 hours and then treated with 100 nM Calyculin A for 30 minutes at 15 µg

Lane 3:

HeLa (Human cervix adenocarcinoma epithelial cell) treated with 100 nM Calyculin A for 30 minutes. Then the membrane was incubated with phosphatase at 15 µg

Secondary

All lanes:

Western blot - Goat Anti-Rabbit IgG H&L (HRP) (<a href='/en-us/products/secondary-antibodies/goat-rabbit-igg-h-l-hrp-ab97051'>ab97051</a>) at 1/20000 dilution

Predicted band size: 45 kDa

Observed band size: 51 kDa

false

Western blot - Anti-PKA R2/PKR2 (phospho S99) antibody [E151] (AB32390)
  • WB

Lab

Western blot - Anti-PKA R2/PKR2 (phospho S99) antibody [E151] (AB32390)

Blocking and dilution buffer : 5% NFDM/TBST.

All lanes:

Western blot - Anti-PKA R2/PKR2 (phospho S99) antibody [E151] (ab32390) at 1/2000 dilution

Lane 1:

K562 whole cell lysate with PKA R2/PKR2 (pS99) phospho peptide

Lane 2:

K562 whole cell lysate with PKA R2/PKR2 non-phospho peptide

Secondary

All lanes:

Western blot - Goat Anti-Rabbit IgG H&L (HRP) (<a href='/en-us/products/secondary-antibodies/goat-rabbit-igg-h-l-hrp-ab97051'>ab97051</a>) at 1/20000 dilution

Predicted band size: 45 kDa

Observed band size: 51 kDa

false

Exposure time: 3min

Western blot - Anti-PKA R2/PKR2 (phospho S99) antibody [E151] (AB32390)
  • WB

Lab

Western blot - Anti-PKA R2/PKR2 (phospho S99) antibody [E151] (AB32390)

All lanes:

Western blot - Anti-PKA R2/PKR2 (phospho S99) antibody [E151] (ab32390) at 1/1000 dilution

Lane 1:

NIH/3T3 (Mouse embryonic fibroblast) whole cell lysates at 15 µg

Lane 2:

NIH/3T3 (Mouse embryonic fibroblast) treated with Calyculin A at 15 µg

Lane 3:

NIH/3T3 (Mouse embryonic fibroblast) treated with Calyculin A. Then the membrane was incubated with phosphatase at 15 µg

Secondary

All lanes:

Western blot - Goat Anti-Rabbit IgG H&L (HRP) (<a href='/en-us/products/secondary-antibodies/goat-rabbit-igg-h-l-hrp-ab97051'>ab97051</a>) at 1/20000 dilution

Predicted band size: 45 kDa

Observed band size: 51 kDa

false

Western blot - Anti-PKA R2/PKR2 (phospho S99) antibody [E151] (AB32390)
  • WB

Lab

Western blot - Anti-PKA R2/PKR2 (phospho S99) antibody [E151] (AB32390)

All lanes:

Western blot - Anti-PKA R2/PKR2 (phospho S99) antibody [E151] (ab32390) at 1/1000 dilution

Lane 1:

Pig heart lysates at 15 µg

Lane 2:

Pig heart. Then the membrane was incubated with phosphatase at 15 µg

Secondary

All lanes:

Western blot - Goat Anti-Rabbit IgG H&L (HRP) (<a href='/en-us/products/secondary-antibodies/goat-rabbit-igg-h-l-hrp-ab97051'>ab97051</a>) at 1/20000 dilution

Predicted band size: 45 kDa

Observed band size: 51 kDa

false

Western blot - Anti-PKA R2/PKR2 (phospho S99) antibody [E151] (AB32390)
  • WB

Lab

Western blot - Anti-PKA R2/PKR2 (phospho S99) antibody [E151] (AB32390)

All lanes:

Western blot - Anti-PKA R2/PKR2 (phospho S99) antibody [E151] (ab32390) at 1/1000 dilution

Lane 1:

C6 (Rat glial tumor glial cell) whole cell lysates at 15 µg

Lane 2:

C6 (Rat glial tumor glial cell) treated with 100ng/ml Calyculin A for 1 hour at 15 µg

Lane 3:

C6 (Rat glial tumor glial cell) treated with 100ng/ml Calyculin A for 1 hour.Then the membrane was incubated with phosphatase at 15 µg

Secondary

All lanes:

Western blot - Goat Anti-Rabbit IgG H&L (HRP) (<a href='/en-us/products/secondary-antibodies/goat-rabbit-igg-h-l-hrp-ab97051'>ab97051</a>) at 1/20000 dilution

Predicted band size: 45 kDa

Observed band size: 51 kDa

false

Western blot - Anti-PKA R2/PKR2 (phospho S99) antibody [E151] (AB32390)
  • WB

CiteAb

Western blot - Anti-PKA R2/PKR2 (phospho S99) antibody [E151] (AB32390)

PKA R2/PKR2 (phospho S99) western blot using anti-PKA R2/PKR2 (phospho S99) antibody [E151] ab32390. Publication image and figure legend from Tang, Y., Shao, S., et al., 2019, Neural Plast, PubMed 31223308.

ab32390 was used in this publication in western blot. This may not be the same as the application(s) guaranteed by Abcam. For a full list of applications guaranteed by Abcam for ab32390 please see the product overview.

Effects of EA treatment on the expression levels of hippocampal APP, BACE1, and p-PKA in APP/PS1 mice using WB. (a) The effects of EA treatment on the relative expression of hippocampal APP in APP/PS1 mice. (b) The effects of EA treatment on the relative expression of hippocampal BACE1 in APP/PS1 mice. (c) The effects of EA treatment on the phosphorylation of PKA in the hippocampus of APP/PS1 mice. Data are presented as means ± SD; n = 7 per group. #p < 0.05 vs. the C group, ##p < 0.01 vs. the C group, and *p < 0.05 vs. the M group (C : control; M : model; EA : electroacupuncture).

false

  • Carrier free

    Anti-PKA R2/PKR2 (phospho S99) antibody [E151] - BSA and Azide free

Key facts

Host species

Rabbit

Clonality

Monoclonal

Clone number

E151

Isotype

IgG

Carrier free

No

Reacts with

Mouse, Rat, Human, Pig

Applications

ICC/IF, WB, IHC-P

applications

Immunogen

The exact immunogen used to generate this antibody is proprietary information.

Specificity

The antibody only detects PKA R2/PKR2 phosphorylated on Serine 99. Phosphoserine 99 in Human corresponds to phosphoserine 96 in mouse.

The mouse and pig recommendation is based on the WB results. We do not guarantee IHC-P for mouse and pig.

Reactivity data

{ "title": "Reactivity Data", "filters": { "stats": ["", "Species", "Dilution Info", "Notes"], "tabs": { "all-applications": {"fullname" : "All Applications", "shortname": "All Applications"}, "FlowCyt" : {"fullname" : "Flow Cytometry", "shortname":"Flow Cyt"}, "WB" : {"fullname" : "Western blot", "shortname":"WB"}, "ICCIF" : {"fullname" : "Immunocytochemistry/ Immunofluorescence", "shortname":"ICC/IF"}, "IHCP" : {"fullname" : "Immunohistochemistry (Formalin/PFA-fixed paraffin-embedded sections)", "shortname":"IHC-P"} }, "product-promise": { "all": "all", "testedAndGuaranteed": "tested", "guaranteed": "expected", "predicted": "predicted", "notRecommended": "not-recommended" } }, "values": { "Human": { "FlowCyt-species-checked": "notRecommended", "FlowCyt-species-dilution-info": "", "FlowCyt-species-notes": "<p></p>", "WB-species-checked": "testedAndGuaranteed", "WB-species-dilution-info": "1/1000", "WB-species-notes": "<p><strong>For unpurified use at 1/2500</strong></p>", "ICCIF-species-checked": "testedAndGuaranteed", "ICCIF-species-dilution-info": "1/500", "ICCIF-species-notes": "<p></p>", "IHCP-species-checked": "testedAndGuaranteed", "IHCP-species-dilution-info": "1/500", "IHCP-species-notes": "<p>The mouse and pig recommendation is based on the WB results. We do not guarantee IHC-P for mouse and pig.</p><p><strong>For unpurified use at 1/250</strong></p>" }, "Mouse": { "FlowCyt-species-checked": "notRecommended", "FlowCyt-species-dilution-info": "", "FlowCyt-species-notes": "<p></p>", "WB-species-checked": "testedAndGuaranteed", "WB-species-dilution-info": "1/1000", "WB-species-notes": "<p><strong>For unpurified use at 1/2500</strong></p>", "ICCIF-species-checked": "guaranteed", "ICCIF-species-dilution-info": "", "ICCIF-species-notes": "", "IHCP-species-checked": "guaranteed", "IHCP-species-dilution-info": "", "IHCP-species-notes": "" }, "Rat": { "FlowCyt-species-checked": "notRecommended", "FlowCyt-species-dilution-info": "", "FlowCyt-species-notes": "<p></p>", "WB-species-checked": "testedAndGuaranteed", "WB-species-dilution-info": "1/1000", "WB-species-notes": "<p><strong>For unpurified use at 1/2500</strong></p>", "ICCIF-species-checked": "guaranteed", "ICCIF-species-dilution-info": "", "ICCIF-species-notes": "", "IHCP-species-checked": "testedAndGuaranteed", "IHCP-species-dilution-info": "1/500", "IHCP-species-notes": "<p>The mouse and pig recommendation is based on the WB results. We do not guarantee IHC-P for mouse and pig.</p><p><strong>For unpurified use at 1/250</strong></p>" }, "Pig": { "FlowCyt-species-checked": "notRecommended", "FlowCyt-species-dilution-info": "", "FlowCyt-species-notes": "<p></p>", "WB-species-checked": "testedAndGuaranteed", "WB-species-dilution-info": "1/1000", "WB-species-notes": "<p><strong>For unpurified use at 1/2500</strong></p>", "ICCIF-species-checked": "guaranteed", "ICCIF-species-dilution-info": "", "ICCIF-species-notes": "", "IHCP-species-checked": "guaranteed", "IHCP-species-dilution-info": "", "IHCP-species-notes": "" } } }

Product details

Patented technology
Our RabMAb® technology is a patented hybridoma-based technology for making rabbit monoclonal antibodies. For details on our patents, please refer to RabMAb® patents.

What are the advantages of a recombinant monoclonal antibody?
This product is a recombinant monoclonal antibody, which offers several advantages including:

  • - High batch-to-batch consistency and reproducibility
  • - Improved sensitivity and specificity
  • - Long-term security of supply
  • - Animal-free batch production

For more information, read more on recombinant antibodies.

Properties and storage information

Form
Liquid
Purification technique
Affinity purification Protein A
Storage buffer
pH: 7.2 - 7.4 Preservative: 0.01% Sodium azide Constituents: PBS, 40% Glycerol (glycerin, glycerine), 0.05% BSA
Shipped at conditions
Blue Ice
Appropriate short-term storage duration
1-2 weeks
Appropriate short-term storage conditions
+4°C
Appropriate long-term storage conditions
-20°C
Aliquoting information
Upon delivery aliquot
Storage information
Avoid freeze / thaw cycle

Supplementary information

This supplementary information is collated from multiple sources and compiled automatically.

Protein Kinase A R2 (PKR2) also known as PRKAR2A is a regulatory subunit of Protein Kinase A (PKA). PKA is part of a larger complex known as the cAMP-dependent protein kinase which plays an important role in cellular signaling. PKA consists of regulatory and catalytic subunits with PKR2 serving as one of its regulatory forms. PKR2 possesses a molecular mass of approximately 47 kDa and is available in various human tissues with notable expression in the brain and cardiovascular system.
Biological function summary

PKR2 regulates the activity of PKA by binding to the catalytic subunit in the absence of cAMP therefore inhibiting its activity. When cAMP is present it binds to the regulatory subunit PKR2 leading to the release and activation of the catalytic subunit of PKA. PKR2 is an integral part of the PKA holoenzyme complex which plays a critical role in mediating cellular responses to hormonal stimulation.

Pathways

PKR2 is heavily involved in the cAMP-dependent signaling pathway. This pathway is essential for translating extracellular signals into cellular actions. It interacts with various effector proteins including adenylate cyclases and phosphodiesterases to modulate responses such as gene transcription metabolism and memory formation. PKR2-related activity influences pathways shared with proteins like the G-protein subunits which facilitate the effects of neurotransmitters.

PKR2 irregularities can impact conditions like heart failure and neurodegenerative diseases. Disrupted PKA pathway signaling involving PKR2 can contribute to cardiac dysfunction by affecting heart muscle contractility and hypertrophy. In neurodegenerative diseases the improper functioning of PKR2 can exacerbate disruptions in neural signaling. A connection exists between PKR2 and proteins such as CREB (cAMP response element-binding protein) which links PKR2's role to memory deficits observed in neurodegeneration.

Product protocols

For this product, it's our understanding that no specific protocols are required. You can visit:

Target data

Regulatory subunit of the cAMP-dependent protein kinases involved in cAMP signaling in cells. Type II regulatory chains mediate membrane association by binding to anchoring proteins, including the MAP2 kinase.
See full target information PRKAR2A phospho S99

Publications (52)

Recent publications for all applications. Explore the full list and refine your search

Scientific reports 15:27498 PubMed40721586

2025

Guilu erxian glue improves sperm quality in oligasthenospermia mice by promoting TDRP methylation and regulating the cAMP/PKA pathway.

Applications

Unspecified application

Species

Unspecified reactive species

Congxu Zhu,Yingqiu Li,Lumei Liu,Jing Xie,Zongren Hu,Qinghu He,Wen Sheng

Drug design, development and therapy 19:911-929 PubMed39959122

2025

Danggui-Shaoyao-San Can Ameliorate Alzheimer's Disease by Inhibiting Hippocampal Neuron Apoptosis: Findings from Serum Pharmacology.

Applications

Unspecified application

Species

Unspecified reactive species

Kai-Xin Zhang,Ji-Wei Zhang,Yan-Hong Jiang,Yi-Ran Wang,Zhen-Ling Liu,Peng-Li Ding,Xiang-Ying Wang,Wen-Qiang Cui,Xiang-Qing Xu,Ya-Han Wang

The Journal of biological chemistry 301:108183 PubMed39814226

2025

Enhanced kinase translocation reporters for simultaneous real-time measurement of PKA, ERK, and calcium.

Applications

Unspecified application

Species

Unspecified reactive species

Shang-Jui Tsai,Yijing Gong,Austin Dabbs,Fiddia Zahra,Junhao Xu,Aleksander Geske,Michael J Caterina,Stephen J Gould

International journal of biological sciences 20:4532-4550 PubMed39247808

2024

The Essential Role of Angiogenesis in Adenosine 2A Receptor Deficiency-mediated Impairment of Wound Healing Involving c-Ski via the ERK/CREB Pathways.

Applications

Unspecified application

Species

Unspecified reactive species

Yan Peng,Renping Xiong,Bo Wang,Xing Chen,Yalei Ning,Yan Zhao,Nan Yang,Jing Zhang,Changhong Li,Yuanguo Zhou,Ping Li

The Journal of neuroscience : the official journal of the Society for Neuroscience 44: PubMed39134419

2024

Amyloid-β Causes NMDA Receptor Dysfunction and Dendritic Spine Loss through mGluR1 and AKAP150-Anchored Calcineurin Signaling.

Applications

Unspecified application

Species

Unspecified reactive species

Olga Prikhodko,Ronald K Freund,Emily Sullivan,Matthew J Kennedy,Mark L Dell'Acqua

The Journal of biological chemistry 300:107234 PubMed38552737

2024

Protein kinase A is a functional component of focal adhesions.

Applications

Unspecified application

Species

Unspecified reactive species

Mingu Kang,Amanda J Senatore,Hannah Naughton,Madeline McTigue,Rachel J Beltman,Andrew A Herppich,Mary Kay H Pflum,Alan K Howe

iScience 26:107771 PubMed37731607

2023

C-Myc-induced hypersialylation of small cell lung cancer facilitates pro-tumoral phenotypes of macrophages.

Applications

Unspecified application

Species

Unspecified reactive species

Lin Tian,Hui Li,Peiyan Zhao,Yan Liu,Yuanhua Lu,Rui Zhong,Yulong Jin,Tianyu Tan,Ying Cheng

PloS one 18:e0289133 PubMed37585373

2023

Ketogenic diet ameliorates attention deficit hyperactivity disorder in rats via regulating gut microbiota.

Applications

Unspecified application

Species

Unspecified reactive species

Yu Liu,Changhong Yang,Yingxue Meng,Yonghui Dang,Lin Yang

CNS neuroscience & therapeutics 30:e14362 PubMed37469037

2023

MPP2 interacts with SK2 to rescue the excitability of glutamatergic neurons in the BLA and facilitate the extinction of conditioned fear in mice.

Applications

Unspecified application

Species

Unspecified reactive species

Xiaohan Peng,Panpan Chen,Yang Zhang,Ke Wu,Ningning Ji,Jinghua Gao,Hui Wang,Yong-Mei Zhang,Tie Xu,Rong Hua

Pain 164:1718-1733 PubMed36727909

2023

Emergence of nociceptive functionality and opioid signaling in human induced pluripotent stem cell-derived sensory neurons.

Applications

Unspecified application

Species

Unspecified reactive species

Pascal Röderer,Andreea Belu,Luzia Heidrich,Maike Siobal,Jörg Isensee,Jonathan Prolingheuer,Elke Janocha,Markus Valdor,Silke Hagendorf,Gregor Bahrenberg,Thoralf Opitz,Michaela Segschneider,Simone Haupt,Anja Nitzsche,Oliver Brüstle,Tim Hucho
View all publications

Product promise

We are committed to supporting your work with high-quality reagents, and we're here for you every step of the way. In the unlikely event that one of our products does not perform as expected, you're protected by our Product Promise.
For full details, please see our Terms & Conditions

Please note: All products are 'FOR RESEARCH USE ONLY. NOT FOR USE IN DIAGNOSTIC OR THERAPEUTIC PROCEDURES'.

For licensing inquiries, please contact partnerships@abcam.com