JavaScript is disabled in your browser. Please enable JavaScript to view this website.
AB238951

Anti-PKA R2/PKR2 (phospho S99) antibody [E151] - BSA and Azide free

Be the first to review this product! Submit a review

|

(3 Publications)

Rabbit Recombinant Monoclonal PKA R2/PKR2 phospho S99 antibody. Carrier free. Suitable for WB, ICC/IF, IHC-P and reacts with Mouse, Rat, Pig, Human samples. Cited in 3 publications.

View Alternative Names

PKR2, PRKAR2, PRKAR2A, cAMP-dependent protein kinase type II-alpha regulatory subunit

4 Images
Immunocytochemistry/ Immunofluorescence - Anti-PKA R2/PKR2 (phospho S99) antibody [E151] - BSA and Azide free (AB238951)
  • ICC/IF

Supplier Data

Immunocytochemistry/ Immunofluorescence - Anti-PKA R2/PKR2 (phospho S99) antibody [E151] - BSA and Azide free (AB238951)

Cell line : HeLa (human cervix adenocarcinoma)

Target AbID : ab32390 anti-PKA R2/PKR2 (phospho S99)

Target Secondary : ab150077 AlexaFluor®488 goat anti-rabbit

Counterstain AbID : ab7291 anti-Tubulin (mouse mAb)

Target Secondary : ab150120 AlexaFluor®594 goat anti-mouse

Fixative : 4% PFA

Permeabilization : 0.1% Triton-X

Nuclear counter stain : DAPI

Other comments : Confocal image showed increased cytoplasmic staining after CA (100ng/ml, 10min) treatment on Hela cells. The LP treatment decreased the increased cytoplasmic staining caused by CA. ab32514 was used as a Pan control for ab32390. The results showed cytoplasmic staining on untreated, CA and CA+LP treated Hela cells.

This data was developed using the same antibody clone in a different buffer formulation containing PBS, BSA, glycerol, and sodium azide (ab32390).

Immunohistochemistry (Formalin/PFA-fixed paraffin-embedded sections) - Anti-PKA R2/PKR2 (phospho S99) antibody [E151] - BSA and Azide free (AB238951)
  • IHC-P

Unknown

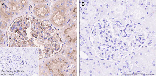
Immunohistochemistry (Formalin/PFA-fixed paraffin-embedded sections) - Anti-PKA R2/PKR2 (phospho S99) antibody [E151] - BSA and Azide free (AB238951)

Immunohistochemistry (Formalin/PFA-fixed paraffin-embedded sections) analysis of Human kidney without Lambda Protein Phosphatase treatment (image A) and treated with Lambda Protein Phosphatase (image B). tissue sections labeling PKA R2/PKR2 with purified ab32390 at 1 : 500 dilution (0.75 μg/ml). Heat mediated antigen retrieval was performed using ab93684 (Tris/EDTA buffer, pH 9.0). ImmunoHistoProbe one step HRP Polymer (ready to use)was used as the secondary antibody. Negative control : PBS instead of the primary antibody. Hematoxylin was used as a counterstain.

Immunohistochemistry (Formalin/PFA-fixed paraffin-embedded sections) - Anti-PKA R2/PKR2 (phospho S99) antibody [E151] - BSA and Azide free (AB238951)
  • IHC-P

Unknown

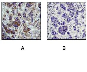
Immunohistochemistry (Formalin/PFA-fixed paraffin-embedded sections) - Anti-PKA R2/PKR2 (phospho S99) antibody [E151] - BSA and Azide free (AB238951)

ab32390, at a 1/250 dilution, staining (A) untreated (B) Phosphatase treated lymph node metastatic by immunohistochemistry, Paraffin embedded human tissue

This data was developed using the same antibody clone in a different buffer formulation containing PBS, BSA, glycerol, and sodium azide (ab32390).

Immunohistochemistry (Formalin/PFA-fixed paraffin-embedded sections) - Anti-PKA R2/PKR2 (phospho S99) antibody [E151] - BSA and Azide free (AB238951)
  • IHC-P

Unknown

Immunohistochemistry (Formalin/PFA-fixed paraffin-embedded sections) - Anti-PKA R2/PKR2 (phospho S99) antibody [E151] - BSA and Azide free (AB238951)

Immunohistochemistry (Formalin/PFA-fixed paraffin-embedded sections) analysis of Rat kidney without Lambda Protein Phosphatase treatment (image A) and treated with Lambda Protein Phosphatase (image B). tissue sections labeling PKA R2/PKR2 with purified ab32390 at 1 : 500 dilution (0.75 μg/ml). Heat mediated antigen retrieval was performed using ab93684 (Tris/EDTA buffer, pH 9.0). ImmunoHistoProbe one step HRP Polymer (ready to use)was used as the secondary antibody. Negative control : PBS instead of the primary antibody. Hematoxylin was used as a counterstain.

Key facts

Host species

Rabbit

Clonality

Monoclonal

Clone number

E151

Isotype

IgG

Carrier free

Yes

Reacts with

Mouse, Rat, Human, Pig

Applications

WB, IHC-P, ICC/IF

applications

Immunogen

The exact immunogen used to generate this antibody is proprietary information.

Specificity

The antibody only detects PKA R2/PKR2 phosphorylated on Serine 99. Phosphoserine 99 in Human corresponds to phosphoserine 96 in mouse.

The mouse and pig recommendation is based on the WB results. We do not guarantee IHC-P for mouse and pig.

Reactivity data

{ "title": "Reactivity Data", "filters": { "stats": ["", "Species", "Dilution Info", "Notes"], "tabs": { "all-applications": {"fullname" : "All Applications", "shortname": "All Applications"}, "FlowCyt" : {"fullname" : "Flow Cytometry", "shortname":"Flow Cyt"}, "WB" : {"fullname" : "Western blot", "shortname":"WB"}, "ICCIF" : {"fullname" : "Immunocytochemistry/ Immunofluorescence", "shortname":"ICC/IF"}, "IHCP" : {"fullname" : "Immunohistochemistry (Formalin/PFA-fixed paraffin-embedded sections)", "shortname":"IHC-P"} }, "product-promise": { "all": "all", "testedAndGuaranteed": "tested", "guaranteed": "expected", "predicted": "predicted", "notRecommended": "not-recommended" } }, "values": { "Human": { "FlowCyt-species-checked": "notRecommended", "FlowCyt-species-dilution-info": "", "FlowCyt-species-notes": "<p></p>", "WB-species-checked": "guaranteed", "WB-species-dilution-info": "", "WB-species-notes": "<p></p>", "ICCIF-species-checked": "testedAndGuaranteed", "ICCIF-species-dilution-info": "", "ICCIF-species-notes": "<p></p>", "IHCP-species-checked": "guaranteed", "IHCP-species-dilution-info": "", "IHCP-species-notes": "" }, "Mouse": { "FlowCyt-species-checked": "notRecommended", "FlowCyt-species-dilution-info": "", "FlowCyt-species-notes": "<p></p>", "WB-species-checked": "guaranteed", "WB-species-dilution-info": "", "WB-species-notes": "<p></p>", "ICCIF-species-checked": "predicted", "ICCIF-species-dilution-info": "", "ICCIF-species-notes": "", "IHCP-species-checked": "predicted", "IHCP-species-dilution-info": "", "IHCP-species-notes": "" }, "Rat": { "FlowCyt-species-checked": "notRecommended", "FlowCyt-species-dilution-info": "", "FlowCyt-species-notes": "<p></p>", "WB-species-checked": "guaranteed", "WB-species-dilution-info": "", "WB-species-notes": "<p></p>", "ICCIF-species-checked": "guaranteed", "ICCIF-species-dilution-info": "", "ICCIF-species-notes": "", "IHCP-species-checked": "testedAndGuaranteed", "IHCP-species-dilution-info": "", "IHCP-species-notes": "<p>The mouse and pig recommendation is based on the WB results. We do not guarantee IHC-P for mouse and pig.</p>" }, "Pig": { "FlowCyt-species-checked": "notRecommended", "FlowCyt-species-dilution-info": "", "FlowCyt-species-notes": "<p></p>", "WB-species-checked": "guaranteed", "WB-species-dilution-info": "", "WB-species-notes": "<p></p>", "ICCIF-species-checked": "predicted", "ICCIF-species-dilution-info": "", "ICCIF-species-notes": "", "IHCP-species-checked": "predicted", "IHCP-species-dilution-info": "", "IHCP-species-notes": "" } } }

Product details

ab238951 is the carrier-free version of ab32390.

Patented technology
Our RabMAb® technology is a patented hybridoma-based technology for making rabbit monoclonal antibodies. For details on our patents, please refer to RabMAb® patents.

What are the advantages of a recombinant monoclonal antibody?
This product is a recombinant monoclonal antibody, which offers several advantages including:

  • - High batch-to-batch consistency and reproducibility
  • - Improved sensitivity and specificity
  • - Long-term security of supply
  • - Animal-free batch production

For more information, read more on recombinant antibodies.

Conjugation ready
Our carrier-free antibodies are typically supplied in a PBS-only formulation, purified and free of BSA, sodium azide and glycerol. This conjugation-ready format is designed for use with fluorochromes, metal isotopes, oligonucleotides, and enzymes, which makes them ideal for antibody labelling, functional and cell-based assays, flow-based assays (e.g. mass cytometry) and Multiplex Imaging applications.

Use our conjugation kits for antibody conjugates that are ready-to-use in as little as 20 minutes with 1 minute hands-on-time and 100% antibody recovery: available for fluorescent dyes, HRP, biotin and gold.

Compatibility
This product is compatible with the Maxpar® Antibody Labeling Kit from Fluidigm, without the need for antibody preparation. Maxpar® is a trademark of Fluidigm Canada Inc.

Properties and storage information

Form
Liquid
Purification technique
Affinity purification Protein A
Storage buffer
pH: 7.2 - 7.4 Constituents: PBS
Shipped at conditions
Blue Ice
Appropriate short-term storage conditions
+4°C
Appropriate long-term storage conditions
+4°C
Storage information
Do Not Freeze

Supplementary information

This supplementary information is collated from multiple sources and compiled automatically.

Protein Kinase A R2 (PKR2) also known as PRKAR2A is a regulatory subunit of Protein Kinase A (PKA). PKA is part of a larger complex known as the cAMP-dependent protein kinase which plays an important role in cellular signaling. PKA consists of regulatory and catalytic subunits with PKR2 serving as one of its regulatory forms. PKR2 possesses a molecular mass of approximately 47 kDa and is available in various human tissues with notable expression in the brain and cardiovascular system.
Biological function summary

PKR2 regulates the activity of PKA by binding to the catalytic subunit in the absence of cAMP therefore inhibiting its activity. When cAMP is present it binds to the regulatory subunit PKR2 leading to the release and activation of the catalytic subunit of PKA. PKR2 is an integral part of the PKA holoenzyme complex which plays a critical role in mediating cellular responses to hormonal stimulation.

Pathways

PKR2 is heavily involved in the cAMP-dependent signaling pathway. This pathway is essential for translating extracellular signals into cellular actions. It interacts with various effector proteins including adenylate cyclases and phosphodiesterases to modulate responses such as gene transcription metabolism and memory formation. PKR2-related activity influences pathways shared with proteins like the G-protein subunits which facilitate the effects of neurotransmitters.

PKR2 irregularities can impact conditions like heart failure and neurodegenerative diseases. Disrupted PKA pathway signaling involving PKR2 can contribute to cardiac dysfunction by affecting heart muscle contractility and hypertrophy. In neurodegenerative diseases the improper functioning of PKR2 can exacerbate disruptions in neural signaling. A connection exists between PKR2 and proteins such as CREB (cAMP response element-binding protein) which links PKR2's role to memory deficits observed in neurodegeneration.

Product protocols

For this product, it's our understanding that no specific protocols are required. You can visit:

Target data

Regulatory subunit of the cAMP-dependent protein kinases involved in cAMP signaling in cells. Type II regulatory chains mediate membrane association by binding to anchoring proteins, including the MAP2 kinase.
See full target information PRKAR2A phospho S99

Publications (3)

Recent publications for all applications. Explore the full list and refine your search

Food science & nutrition 13:e70408 PubMed40491976

2025

Molecular Mechanisms Underlying Apple Extract Ameliorates Depression-Incident Cognitive Dysfunction Based on Network Pharmacology.

Applications

Unspecified application

Species

Unspecified reactive species

Yue Chen,Shunqiang Yang,Huihuang Shi,Jizhe Cui,Zhu Li

Respiratory research 24:233 PubMed37759281

2023

Mesenchymal stem cell-derived extracellular vesicles prevent the formation of pulmonary arterial hypertension through a microRNA-200b-dependent mechanism.

Applications

Unspecified application

Species

Unspecified reactive species

Mengzhi Wan,Caiju Lu,Yu Liu,Feng Luo,Jing Zhou,Fei Xu

Cell cycle (Georgetown, Tex.) 20:1935-1952 PubMed34424812

2021

Up-regulation of miR-663a inhibits the cancer stem cell-like properties of glioma via repressing the KDM2A-mediated TGF-β/SMAD signaling pathway.

Applications

Unspecified application

Species

Unspecified reactive species

Lei Wang,Bojuan Lang,Youdong Zhou,Jinyang Ma,Keqi Hu
View all publications

Product promise

We are committed to supporting your work with high-quality reagents, and we're here for you every step of the way. In the unlikely event that one of our products does not perform as expected, you're protected by our Product Promise.
For full details, please see our Terms & Conditions

Please note: All products are 'FOR RESEARCH USE ONLY. NOT FOR USE IN DIAGNOSTIC OR THERAPEUTIC PROCEDURES'.

For licensing inquiries, please contact partnerships@abcam.com