JavaScript is disabled in your browser. Please enable JavaScript to view this website.
AB11723

Anti-PKC alpha antibody [133]

4

(1 Review)

|

(24 Publications)

Mouse Recombinant Monoclonal KPCA antibody. Suitable for WB, IHC-P and reacts with Mouse, Rat, Human samples. Cited in 24 publications. Immunogen corresponding to Recombinant Full Length Protein corresponding to Human PRKCA aa 1 to C-terminus.

View Alternative Names

PKCA, PRKACA, PRKCA, Protein kinase C alpha type, PKC-A, PKC-alpha

9 Images
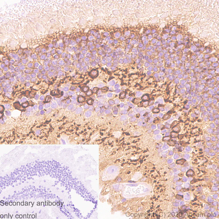
Immunohistochemistry (Formalin/PFA-fixed paraffin-embedded sections) - Anti-PKC alpha antibody [133] (AB11723)
  • IHC-P

Lab

Immunohistochemistry (Formalin/PFA-fixed paraffin-embedded sections) - Anti-PKC alpha antibody [133] (AB11723)

Immunohistochemical analysis of Paraffin-embedded human retina tissue labelling PKC alpha with ab11723 at 1/500 dilution, followed by ready to use secondary antibody Goat Anti-Mouse IgG H&L (HRP polymer) (ab214879). Positive staining on human retina is observed. Counter stained with Hematoxylin. Heat mediated antigen retrieval was performed using ab93684 (Tris/EDTA buffer, pH 9.0).

Secondary antibody only control : Used PBS instead of primary antibody, secondary antibody is ready to use Goat Anti-Mouse IgG H&L (HRP polymer) ab214879.

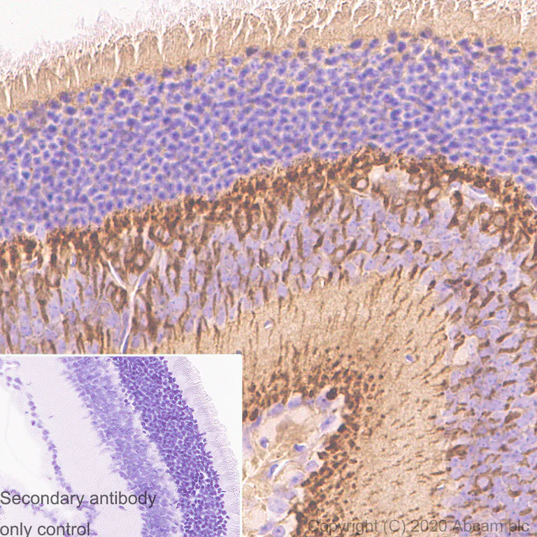
Immunohistochemistry (Formalin/PFA-fixed paraffin-embedded sections) - Anti-PKC alpha antibody [133] (AB11723)
  • IHC-P

Lab

Immunohistochemistry (Formalin/PFA-fixed paraffin-embedded sections) - Anti-PKC alpha antibody [133] (AB11723)

Immunohistochemical analysis of paraffin-embedded rat retina tissue labelling PKC alpha with ab11723 at 1/500 dilution, followed by ready to use secondary antibody Goat Anti-Mouse IgG H&L (HRP polymer) (ab214879). Positive staining on rat retina is observed. Counter stained with Hematoxylin. Heat mediated antigen retrieval was performed using ab93684 (Tris/EDTA buffer, pH 9.0)

Secondary antibody only control : Used PBS instead of primary antibody, secondary antibody is ready to use Goat Anti-Mouse IgG H&L (HRP polymer) ab214879.

Immunohistochemistry (Formalin/PFA-fixed paraffin-embedded sections) - Anti-PKC alpha antibody [133] (AB11723)
  • IHC-P

Lab

Immunohistochemistry (Formalin/PFA-fixed paraffin-embedded sections) - Anti-PKC alpha antibody [133] (AB11723)

Immunohistochemical analysis of paraffin-embedded mouse retina tissue labelling PKC alpha with ab11723 at 1/500 dilution, followed by ready to use secondary antibody Goat Anti-Mouse IgG H&L (HRP polymer) (ab214879). Positive staining on mouse retina is observed. Counter stained with Hematoxylin. Heat mediated antigen retrieval was performed using ab93684 (Tris/EDTA buffer, pH 9.0).

Secondary antibody only control : Used PBS instead of primary antibody, secondary antibody is ready to use Goat Anti-Mouse IgG H&L (HRP polymer) ab214879.

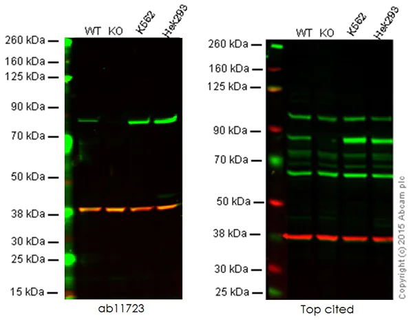
Western blot - Anti-PKC alpha antibody [133] (AB11723)
  • WB

Lab

Western blot - Anti-PKC alpha antibody [133] (AB11723)

This image was generated from the hybridoma version of the product.

Lanes 1, 5 and 9 : Wild-type HAP1 cell lysate (20 μg)
Lanes 2, 6 and 10 : PKC alpha knockout HAP1 cell lysate (20 μg)
Lanes 3, 7 and 11 : K562 cell lysate (20 μg)
Lanes 4, 8 and 12 : HEK293 cell lysate (20 μg)
Lanes 1, 2, 3 and 4 : Green signal from target – ab11723 observed at 77 kDa
Lanes 5, 6, 7 and 8 : Red signal from loading control – ab8245 observed at 37 kDa
Lanes 9, 10, 11 and 12 : Merged (red and green) signal

ab11723 was shown to specifically react with PKC alpha in wild-type HAP1 cells. No band was observed when PKC alpha knockout samples were examined. Wild-type and PKC alpha knockout samples were subjected to SDS-PAGE. ab11723 and ab8245 (loading control to GAPDH) were diluted 1/500 and 1/2000 respectively and incubated overnight at 4°C. Blots were developed with Goat anti-Mouse IgG H&L (IRDye® 800CW) preadsorbed (ab216772) and Goat Anti-Rabbit IgG H&L (IRDye® 680RD) preadsorbed (ab216777) secondary antibodies at 1/10,000 dilution for 1 hour at room temperature before imaging.

All lanes:

Western blot - Anti-PKC alpha antibody [133] (ab11723)

Predicted band size: 76 kDa

false

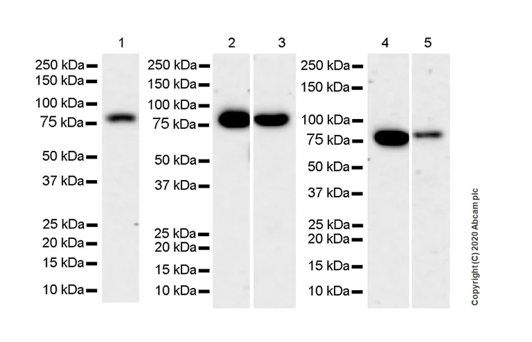
Western blot - Anti-PKC alpha antibody [133] (AB11723)
  • WB

Lab

Western blot - Anti-PKC alpha antibody [133] (AB11723)

Exposure time

Lane 1 : 136 seconds
Lane 2 and 3 : 15 seconds

Fresh lysates were used in lane 2 and 3.

All lanes:

Western blot - Anti-PKC alpha antibody [133] (ab11723) at 1/1000 dilution

Lane 1:

C6 (rat glial tumor glial cell), whole cell lysate 20 μg

Lane 2:

HeLa (human cervix adenocarcinoma epithelial cell ), whole cell lysate 20 μg

Lane 3:

NIH/3T3 (mouse embryonic fibroblast), whole cell lysate 20 μg

Secondary

All lanes:

Peroxidase-Conjugated Goat anti-Mouse IgG (H+L) at 1/5000 dilution

Predicted band size: 76 kDa

false

Western blot - Anti-PKC alpha antibody [133] (AB11723)
  • WB

Lab

Western blot - Anti-PKC alpha antibody [133] (AB11723)

5% NFDM/TBST

All lanes:

Western blot - Anti-PKC alpha antibody [133] (ab11723) at 1/1000 dilution

Lane 1:

Human kidney tissue lysate at 20 µg

Lane 2:

Mouse brain tissue lysate at 20 µg

Lane 3:

Mouse spleen tissue lysate at 20 µg

Lane 4:

Rat brain tissue lysate at 20 µg

Lane 5:

Rat spleen tissue lysate at 20 µg

Secondary

All lanes:

Peroxidase-Conjugated Goat anti-Mouse IgG (H+L) at 1/5000 dilution

Predicted band size: 76 kDa

false

Exposure time: 180s

Western blot - Anti-PKC alpha antibody [133] (AB11723)
  • WB

Lab

Western blot - Anti-PKC alpha antibody [133] (AB11723)

This image was generated from the hybridoma version of the product.

Lane 1 : Wild-type HAP1 cell lysate (20 μg)
Lane 2 : PKC alpha knockout HAP1 cell lysate (20 μg)
Lane 3 : K562 cell lysate (20 μg)
Lane 4 : HEK293 cell lysate (20 μg)

Lanes 1 - 4 : Merged signal (red and green). Green - ab11723 observed at 77 kDa. Red - loading control, ab8245, observed at 37 kDa.

This western blot image is a comparison between ab11723 and a competitor's top cited rabbit polyclonal antibody.

All lanes:

Western blot - Anti-PKC alpha antibody [133] (ab11723)

Predicted band size: 76 kDa

false

Western blot - Anti-PKC alpha antibody [133] (AB11723)
  • WB

Lab

Western blot - Anti-PKC alpha antibody [133] (AB11723)

5% NFDM/TBST

All lanes:

Western blot - Anti-PKC alpha antibody [133] (ab11723) at 1/1000 dilution

Lane 1:

Western blot - Recombinant human PKC alpha protein (Active) (<a href='/en-us/products/proteins-peptides/recombinant-human-pkc-alpha-protein-active-ab55672'>ab55672</a>)

Lane 2:

Western blot - Recombinant human PKC delta protein (<a href='/en-us/products/proteins-peptides/recombinant-human-pkc-delta-protein-ab60844'>ab60844</a>)

Secondary

All lanes:

Peroxidase-Conjugated Goat anti-Mouse IgG (H+L) at 1/5000 dilution

Predicted band size: 76 kDa

false

Exposure time: 180s

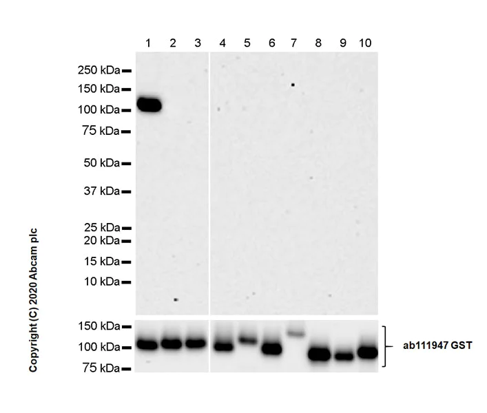
Western blot - Anti-PKC alpha antibody [133] (AB11723)
  • WB

Supplier Data

Western blot - Anti-PKC alpha antibody [133] (AB11723)

5% NFDM/TBST

All positive controls 10 ng

All lanes:

Western blot - Anti-PKC alpha antibody [133] (ab11723) at 1/1000 dilution

Lane 1:

Western blot - Recombinant human PKC alpha protein (Active) (<a href='/en-us/products/proteins-peptides/recombinant-human-pkc-alpha-protein-active-ab55672'>ab55672</a>)

Lane 2:

Western blot - Recombinant human PKC beta 1 protein (<a href='/en-us/products/proteins-peptides/recombinant-human-pkc-beta-1-protein-ab60840'>ab60840</a>)

Lane 3:

Western blot - Recombinant human PKC beta 2 protein (<a href='/en-us/products/proteins-peptides/recombinant-human-pkc-beta-2-protein-ab60841'>ab60841</a>)

Lane 4:

Western blot - Recombinant human PKC eta protein (<a href='/en-us/products/proteins-peptides/recombinant-human-pkc-eta-protein-ab60849'>ab60849</a>)

Lane 5:

Western blot - Recombinant human PKC epsilon protein (<a href='/en-us/products/proteins-peptides/recombinant-human-pkc-epsilon-protein-ab60847'>ab60847</a>)

Lane 6:

Western blot - Recombinant human PKC theta/PRKCQ protein (<a href='/en-us/products/proteins-peptides/recombinant-human-pkc-theta-prkcq-protein-ab56641'>ab56641</a>)

Lane 7:

Western blot - Recombinant human PKC mu/PKD protein (<a href='/en-us/products/proteins-peptides/recombinant-human-pkc-mu-pkd-protein-ab60873'>ab60873</a>)

Lane 8:

Western blot - Recombinant human PKC zeta protein (<a href='/en-us/products/proteins-peptides/recombinant-human-pkc-zeta-protein-ab60848'>ab60848</a>)

Lane 9:

Western blot - Recombinant human PKC iota protein (<a href='/en-us/products/proteins-peptides/recombinant-human-pkc-iota-protein-ab60850'>ab60850</a>)

Lane 10:

Western blot - Recombinant human PKC gamma protein (<a href='/en-us/products/proteins-peptides/recombinant-human-pkc-gamma-protein-ab60842'>ab60842</a>)

Secondary

All lanes:

Peroxidase-Conjugated Goat anti-Mouse IgG (H+L) at 1/5000 dilution

Predicted band size: 76 kDa

false

  • Carrier free

    Anti-PKC alpha antibody [133] - BSA and Azide free

Key facts

Host species

Mouse

Clonality

Monoclonal

Clone number

133

Isotype

IgG1

Carrier free

No

Reacts with

Human, Mouse, Rat

Applications

IHC-P, WB

applications

Immunogen

Recombinant Full Length Protein corresponding to Human PRKCA aa 1 to C-terminus. The exact immunogen used to generate this antibody is proprietary information.

P17252

Specificity

ab11723 recognises the alpha isoform of PKC.

Reactivity data

{ "title": "Reactivity Data", "filters": { "stats": ["", "Species", "Dilution Info", "Notes"], "tabs": { "all-applications": {"fullname" : "All Applications", "shortname": "All Applications"}, "ICC" : {"fullname" : "Immunocytochemistry", "shortname":"ICC"}, "WB" : {"fullname" : "Western blot", "shortname":"WB"}, "IHCP" : {"fullname" : "Immunohistochemistry (Formalin/PFA-fixed paraffin-embedded sections)", "shortname":"IHC-P"}, "ICCIF" : {"fullname" : "Immunocytochemistry/ Immunofluorescence", "shortname":"ICC/IF"} }, "product-promise": { "all": "all", "testedAndGuaranteed": "tested", "guaranteed": "expected", "predicted": "predicted", "notRecommended": "not-recommended" } }, "values": { "Human": { "ICC-species-checked": "notRecommended", "ICC-species-dilution-info": "", "ICC-species-notes": "<p></p>", "WB-species-checked": "testedAndGuaranteed", "WB-species-dilution-info": "1/500 - 1/1000", "WB-species-notes": "<p></p>", "IHCP-species-checked": "testedAndGuaranteed", "IHCP-species-dilution-info": "1/1 - 1/500", "IHCP-species-notes": "<p></p> Perform heat-mediated antigen retrieval with Tris/EDTA buffer pH 9.0 before commencing with IHC staining protocol.", "ICCIF-species-checked": "notRecommended", "ICCIF-species-dilution-info": "", "ICCIF-species-notes": "<p></p>" }, "Mouse": { "ICC-species-checked": "notRecommended", "ICC-species-dilution-info": "", "ICC-species-notes": "", "WB-species-checked": "testedAndGuaranteed", "WB-species-dilution-info": "1/500 - 1/1000", "WB-species-notes": "<p></p>", "IHCP-species-checked": "testedAndGuaranteed", "IHCP-species-dilution-info": "1/1 - 1/500", "IHCP-species-notes": "<p></p> Perform heat-mediated antigen retrieval with Tris/EDTA buffer pH 9.0 before commencing with IHC staining protocol.", "ICCIF-species-checked": "notRecommended", "ICCIF-species-dilution-info": "", "ICCIF-species-notes": "" }, "Rat": { "ICC-species-checked": "notRecommended", "ICC-species-dilution-info": "", "ICC-species-notes": "", "WB-species-checked": "testedAndGuaranteed", "WB-species-dilution-info": "1/500 - 1/1000", "WB-species-notes": "<p></p>", "IHCP-species-checked": "testedAndGuaranteed", "IHCP-species-dilution-info": "1/1 - 1/500", "IHCP-species-notes": "<p></p> Perform heat-mediated antigen retrieval with Tris/EDTA buffer pH 9.0 before commencing with IHC staining protocol.", "ICCIF-species-checked": "notRecommended", "ICCIF-species-dilution-info": "", "ICCIF-species-notes": "" } } }

Product details

This product has switched from a hybridoma to recombinant production method on 25th July 2021.

What are the advantages of a recombinant monoclonal antibody?
This product is a recombinant monoclonal antibody, which offers several advantages including:

  • - High batch-to-batch consistency and reproducibility
  • - Improved sensitivity and specificity
  • - Long-term security of supply
  • - Animal-free batch production

For more information, read more on recombinant antibodies.

Want a custom formulation?
This antibody clone is manufactured by Abcam. If you require a custom buffer formulation or conjugation for your experiments, please contact orders@abcam.com

Properties and storage information

Form
Liquid
Purification technique
Affinity purification Protein A
Storage buffer
pH: 7.2 - 7.4 Preservative: 0.01% Sodium azide Constituents: PBS, 40% Glycerol (glycerin, glycerine), 0.05% BSA
Shipped at conditions
Blue Ice
Appropriate short-term storage duration
1-2 weeks
Appropriate short-term storage conditions
+4°C
Appropriate long-term storage conditions
-20°C
Aliquoting information
Upon delivery aliquot
Storage information
Avoid freeze / thaw cycle

Supplementary information

This supplementary information is collated from multiple sources and compiled automatically.

PKC alpha known as Protein Kinase C alpha is a serine/threonine-specific protein kinase involved in various cellular processes. The molecular mass of PKC alpha is approximately 80 kDa. Alternately called PKCA or PRKC alpha it is expressed in many tissues with high expression in the brain heart and lungs. PKC alpha plays a role in signal transduction by phosphorylating serine and threonine residues on target proteins.
Biological function summary

PKC alpha regulates cellular functions including proliferation differentiation and apoptosis. It often acts as part of a larger protein complex modulating various biological responses by interacting with substrates and co-factors. Its activity is dependent on calcium ions and diacylglycerol emphasizing its role in calcium and lipid signaling pathways.

Pathways

PKC alpha plays a vital role in the MAPK/ERK pathway and the PI3K/AKT pathway which are critical for the cellular stress response and growth regulation. PKC alpha interacts with several proteins in these pathways including RAF1 and AKT1 facilitating signal transmission that influences cell fate decisions.

PKC alpha has been implicated in cancer and cardiac hypertrophy. In cancers aberrant PKC alpha signaling is linked to increased cell proliferation and survival. In cardiac hypertrophy it is associated with abnormal heart growth due to impaired signaling involving AKT1 and GSK3B. These connections highlight PKC alpha's influence in pathological as well as physiological conditions.

Product protocols

For this product, it's our understanding that no specific protocols are required. You can visit:

Target data

Calcium-activated, phospholipid- and diacylglycerol (DAG)-dependent serine/threonine-protein kinase that is involved in positive and negative regulation of cell proliferation, apoptosis, differentiation, migration and adhesion, tumorigenesis, cardiac hypertrophy, angiogenesis, platelet function and inflammation, by directly phosphorylating targets such as RAF1, BCL2, CSPG4, TNNT2/CTNT, or activating signaling cascade involving MAPK1/3 (ERK1/2) and RAP1GAP. Involved in cell proliferation and cell growth arrest by positive and negative regulation of the cell cycle. Can promote cell growth by phosphorylating and activating RAF1, which mediates the activation of the MAPK/ERK signaling cascade, and/or by up-regulating CDKN1A, which facilitates active cyclin-dependent kinase (CDK) complex formation in glioma cells. In intestinal cells stimulated by the phorbol ester PMA, can trigger a cell cycle arrest program which is associated with the accumulation of the hyper-phosphorylated growth-suppressive form of RB1 and induction of the CDK inhibitors CDKN1A and CDKN1B. Exhibits anti-apoptotic function in glioma cells and protects them from apoptosis by suppressing the p53/TP53-mediated activation of IGFBP3, and in leukemia cells mediates anti-apoptotic action by phosphorylating BCL2. During macrophage differentiation induced by macrophage colony-stimulating factor (CSF1), is translocated to the nucleus and is associated with macrophage development. After wounding, translocates from focal contacts to lamellipodia and participates in the modulation of desmosomal adhesion. Plays a role in cell motility by phosphorylating CSPG4, which induces association of CSPG4 with extensive lamellipodia at the cell periphery and polarization of the cell accompanied by increases in cell motility. During chemokine-induced CD4(+) T cell migration, phosphorylates CDC42-guanine exchange factor DOCK8 resulting in its dissociation from LRCH1 and the activation of GTPase CDC42 (PubMed : 28028151). Is highly expressed in a number of cancer cells where it can act as a tumor promoter and is implicated in malignant phenotypes of several tumors such as gliomas and breast cancers. Negatively regulates myocardial contractility and positively regulates angiogenesis, platelet aggregation and thrombus formation in arteries. Mediates hypertrophic growth of neonatal cardiomyocytes, in part through a MAPK1/3 (ERK1/2)-dependent signaling pathway, and upon PMA treatment, is required to induce cardiomyocyte hypertrophy up to heart failure and death, by increasing protein synthesis, protein-DNA ratio and cell surface area. Regulates cardiomyocyte function by phosphorylating cardiac troponin T (TNNT2/CTNT), which induces significant reduction in actomyosin ATPase activity, myofilament calcium sensitivity and myocardial contractility. In angiogenesis, is required for full endothelial cell migration, adhesion to vitronectin (VTN), and vascular endothelial growth factor A (VEGFA)-dependent regulation of kinase activation and vascular tube formation. Involved in the stabilization of VEGFA mRNA at post-transcriptional level and mediates VEGFA-induced cell proliferation. In the regulation of calcium-induced platelet aggregation, mediates signals from the CD36/GP4 receptor for granule release, and activates the integrin heterodimer ITGA2B-ITGB3 through the RAP1GAP pathway for adhesion. During response to lipopolysaccharides (LPS), may regulate selective LPS-induced macrophage functions involved in host defense and inflammation. But in some inflammatory responses, may negatively regulate NF-kappa-B-induced genes, through IL1A-dependent induction of NF-kappa-B inhibitor alpha (NFKBIA/IKBA). Upon stimulation with 12-O-tetradecanoylphorbol-13-acetate (TPA), phosphorylates EIF4G1, which modulates EIF4G1 binding to MKNK1 and may be involved in the regulation of EIF4E phosphorylation. Phosphorylates KIT, leading to inhibition of KIT activity. Phosphorylates ATF2 which promotes cooperation between ATF2 and JUN, activating transcription. Phosphorylates SOCS2 at 'Ser-52' facilitating its ubiquitination and proteasomal degradation (By similarity). Phosphorylates KLHL3 in response to angiotensin II signaling, decreasing the interaction between KLHL3 and WNK4 (PubMed : 25313067). Phosphorylates and activates LRRK1, which phosphorylates RAB proteins involved in intracellular trafficking (PubMed : 36040231).
See full target information PRKCA

Publications (24)

Recent publications for all applications. Explore the full list and refine your search

Journal of neuroinflammation 21:328 PubMed39716335

2024

Regulatory T cell expansion prevents retinal degeneration in type 2 diabetes.

Applications

Unspecified application

Species

Unspecified reactive species

María Llorián-Salvador,Daniel Pérez-Martínez,Miao Tang,Anna Duarri,Marta García-Ramirez,Anna Deàs-Just,Anna Álvarez-Guaita,Lorena Ramos-Pérez,Patricia Bogdanov,Jose A Gomez-Sanchez,Alan W Stitt,Cristina Hernández,Alerie G de la Fuente,Rafael Simó

Molecular neurodegeneration 19:32 PubMed38581053

2024

Regulatory T cells limit age-associated retinal inflammation and neurodegeneration.

Applications

Unspecified application

Species

Unspecified reactive species

María Llorián-Salvador,Alerie G de la Fuente,Christopher E McMurran,Amy Dashwood,James Dooley,Adrian Liston,Rosana Penalva,Yvonne Dombrowski,Alan W Stitt,Denise C Fitzgerald

Cells 12: PubMed37296607

2023

Phosphorylation of PACSIN2 at S313 Regulates Podocyte Architecture in Coordination with N-WASP.

Applications

Unspecified application

Species

Unspecified reactive species

Rim Bouslama,Vincent Dumont,Sonja Lindfors,Lassi Paavolainen,Jukka Tienari,Harry Nisen,Tuomas Mirtti,Moin A Saleem,Daniel Gordin,Per-Henrik Groop,Shiro Suetsugu,Sanna Lehtonen

Infection and immunity 91:e0046522 PubMed36448837

2022

PRKCA Promotes Mitophagy through the miR-15a-5p/PDK4 Axis to Relieve Sepsis-Induced Acute Lung Injury.

Applications

Unspecified application

Species

Unspecified reactive species

Qiu-Jiao Zhu,Jian Wang,Ying Li,Zhen-Jiang Bai,Xu-Bei Guo,Tao Pan

Current biology : CB 32:4783-4796.e3 PubMed36179691

2022

Post-developmental plasticity of the primary rod pathway allows restoration of visually guided behaviors.

Applications

Unspecified application

Species

Unspecified reactive species

Yan Cao,Diego Fajardo,Debbie Guerrero-Given,Melanie A Samuel,Toshihisa Ohtsuka,Shannon E Boye,Naomi Kamasawa,Kirill A Martemyanov

Frontiers in cell and developmental biology 10:801302 PubMed35223834

2022

Human Umbilical Cord Blood-Derived CD133CD34 Cells Protect Retinal Endothelial Cells and Ganglion Cells in X-Irradiated Rats through Angioprotective and Neurotrophic Factors.

Applications

Unspecified application

Species

Unspecified reactive species

Siyu Chen,Minghui Li,Jianguo Sun,Dan Wang,Chuanhuang Weng,Yuxiao Zeng,Yijian Li,Shujia Huo,Xiaona Huang,Shiying Li,Ting Zou,Haiwei Xu

Oncology reports 45: PubMed33907837

2021

AB4 inhibits Notch signaling and promotes cancer cell apoptosis in liver cancer.

Applications

Unspecified application

Species

Unspecified reactive species

Zhuo Xiang,Qing Miao,Jin Zhang,Guoxin Liu,Shuyi Xue,Xu Liu,Zhe Zhang,Lixia Shen,Bangguo Liu,Yu Zhou,Ting Miao,Yang Liu

Investigative ophthalmology & visual science 61:31 PubMed32330228

2020

In Vivo CRISPR/Cas9-Mediated Genome Editing Mitigates Photoreceptor Degeneration in a Mouse Model of X-Linked Retinitis Pigmentosa.

Applications

Unspecified application

Species

Unspecified reactive species

Shuang Hu,Juan Du,Ningning Chen,Ruixuan Jia,Jinlu Zhang,Xiaozhen Liu,Liping Yang

Frontiers in cellular neuroscience 13:361 PubMed31481876

2019

Modeling Retinitis Pigmentosa: Retinal Organoids Generated From the iPSCs of a Patient With the USH2A Mutation Show Early Developmental Abnormalities.

Applications

Unspecified application

Species

Unspecified reactive species

Yonglong Guo,Peiyuan Wang,Jacey Hongjie Ma,Zekai Cui,Quan Yu,Shiwei Liu,Yunxia Xue,Deliang Zhu,Jixing Cao,Zhijie Li,Shibo Tang,Jiansu Chen

Cell reports 25:130-145.e5 PubMed30282023

2018

Transsynaptic Binding of Orphan Receptor GPR179 to Dystroglycan-Pikachurin Complex Is Essential for the Synaptic Organization of Photoreceptors.

Applications

Unspecified application

Species

Unspecified reactive species

Cesare Orlandi,Yoshihiro Omori,Yuchen Wang,Yan Cao,Akiko Ueno,Michel J Roux,Giuseppe Condomitti,Joris de Wit,Motoi Kanagawa,Takahisa Furukawa,Kirill A Martemyanov
View all publications

Product promise

We are committed to supporting your work with high-quality reagents, and we're here for you every step of the way. In the unlikely event that one of our products does not perform as expected, you're protected by our Product Promise.
For full details, please see our Terms & Conditions

Please note: All products are 'FOR RESEARCH USE ONLY. NOT FOR USE IN DIAGNOSTIC OR THERAPEUTIC PROCEDURES'.

For licensing inquiries, please contact partnerships@abcam.com