JavaScript is disabled in your browser. Please enable JavaScript to view this website.
AB221611

Anti-PKC alpha antibody [Y124] - BSA and Azide free

Be the first to review this product! Submit a review

|

(29 Publications)

Rabbit Recombinant Monoclonal KPCA antibody. Carrier free. Suitable for IP, WB, ICC/IF, Flow Cyt (Intra), IHC-P and reacts with Human, Rat, Mouse, Recombinant full length protein - Human, Pig samples. Cited in 29 publications.

View Alternative Names

PKCA, PRKACA, PRKCA, Protein kinase C alpha type, PKC-A, PKC-alpha

14 Images
Immunocytochemistry/ Immunofluorescence - Anti-PKC alpha antibody [Y124] - BSA and Azide free (AB221611)
  • ICC/IF

Unknown

Immunocytochemistry/ Immunofluorescence - Anti-PKC alpha antibody [Y124] - BSA and Azide free (AB221611)

Unpurified ab32376 staining PKCα in 200nM PMA-treated wild-type HAP1 cells (top panel) and PKCα in 200nM PMA-treated knockout HAP1 cells (bottom panel). The cells were treated with 200nM PMA for 30 minutes to induce translocation of PKCα to the cell membrane. The cells were then fixed with 100% methanol (5min), permeabilized with 0.1% Triton X-100 for 5 minutes and then blocked with 1% BSA/10% normal goat serum/0.3M glycine in 0.1% PBS-Tween for 1h. The cells were then incubated with ab32376 at 1/200 dilution and ab7291 at 1ug/ml concentration overnight at +4°C, followed by a further incubation at room temperature for 1h with a goat secondary antibody to Rabbit IgG (Alexa Fluor® 488) (ab150081) at 2 μg/ml (shown in green) and a goat secondary antibody to Mouse IgG (Alexa Fluor® 594) (ab150117) at 2ug/ml (shown in pseudo-color red). Nuclear DNA was labelled in blue with DAPI.

This product also gave a positive signal under the same testing conditions in HAP1 cells fixed with 4% formaldehyde (10 min).

Image was taken with a confocal microscope (Leica-Microsystems, TCS SP8).

This data was developed using the same antibody clone in a different buffer formulation containing PBS, BSA, glycerol, and sodium azide (ab32376).

Flow Cytometry (Intracellular) - Anti-PKC alpha antibody [Y124] - BSA and Azide free (AB221611)
  • Flow Cyt (Intra)

Unknown

Flow Cytometry (Intracellular) - Anti-PKC alpha antibody [Y124] - BSA and Azide free (AB221611)

Overlay histogram showing HeLa cells stained with unpurified ab32376 (red line). The cells were fixed with 4% paraformaldehyde (10 min) and then permeabilized with 0.1% PBS-Tween for 20 min. The cells were then incubated in 1x PBS / 10% normal goat serum / 0.3M glycine to block non-specific protein-protein interactions followed by the antibody (ab32376, 1/100 dilution) for 30 min at 22°C. The secondary antibody used was DyLight® 488 goat anti-rabbit IgG (H+L) (ab96899) at 1/500 dilution for 30 min at 22°C. Isotype control antibody (black line) was rabbit monoclonal IgG (1μg/1x106 cells) used under the same conditions. Acquisition of >5,000 events was performed. This antibody gave a positive signal in HeLa cells fixed with methanol (5 min)/permeabilized in 0.1% PBS-Tween used under the same conditions.

This data was developed using the same antibody clone in a different buffer formulation containing PBS, BSA, glycerol, and sodium azide (ab32376).

Immunohistochemistry (Formalin/PFA-fixed paraffin-embedded sections) - Anti-PKC alpha antibody [Y124] - BSA and Azide free (AB221611)
  • IHC-P

Unknown

Immunohistochemistry (Formalin/PFA-fixed paraffin-embedded sections) - Anti-PKC alpha antibody [Y124] - BSA and Azide free (AB221611)

Immunohistochemistry (Formalin/PFA-fixed paraffin-embedded sections) analysis of Human glioma tissue sections labeling PKC alpha with purified ab32376 at 1 : 100 dilution (1.01 μg/ml). Heat mediated antigen retrieval was performed using EDTA Buffer, pH9.0. Tissue was counterstained with Hematoxylin. ImmunoHistoProbe one step HRP Polymer (ready to use) secondary antibody was used at 1 : 0 dilution. PBS instead of the primary antibody was used as the negative control.

This data was developed using the same antibody clone in a different buffer formulation containing PBS, BSA, glycerol, and sodium azide (ab32376).

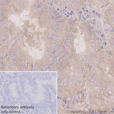
Immunohistochemistry (Formalin/PFA-fixed paraffin-embedded sections) - Anti-PKC alpha antibody [Y124] - BSA and Azide free (AB221611)
  • IHC-P

Unknown

Immunohistochemistry (Formalin/PFA-fixed paraffin-embedded sections) - Anti-PKC alpha antibody [Y124] - BSA and Azide free (AB221611)

Immunohistochemistry (Formalin/PFA-fixed paraffin-embedded sections) analysis of Human endometrium carcinoma tissue sections labeling PKC alpha with purified ab32376 at 1 : 100 dilution (1.01 μg/ml). Heat mediated antigen retrieval was performed using EDTA Buffer, pH9.0. Tissue was counterstained with Hematoxylin. ImmunoHistoProbe one step HRP Polymer (ready to use) secondary antibody was used at 1 : 0 dilution. PBS instead of the primary antibody was used as the negative control.

This data was developed using the same antibody clone in a different buffer formulation containing PBS, BSA, glycerol, and sodium azide (ab32376).

Immunocytochemistry/ Immunofluorescence - Anti-PKC alpha antibody [Y124] - BSA and Azide free (AB221611)
  • ICC/IF

Unknown

Immunocytochemistry/ Immunofluorescence - Anti-PKC alpha antibody [Y124] - BSA and Azide free (AB221611)

This ICC/IF data was generated using the same anti-PKC alpha antibody clone, Y124, in a different buffer formulation (cat# ab32376).

Unpurified ab32376 staining PKCα in wild-type HAP1 cells (top panel) and PKCα in knockout HAP1 cells (bottom panel). In untreated conditions, PKCα is expressed in the cytoplasm of the cells. The cells were then fixed with 100% methanol (5min), permeabilized with 0.1% Triton X-100 for 5 minutes and then blocked with 1% BSA/10% normal goat serum/0.3M glycine in 0.1% PBS-Tween for 1h. The cells were then incubated with ab32376 at 1/200 dilution and ab7291 at 1ug/ml concentration overnight at +4°C, followed by a further incubation at room temperature for 1h with a goat secondary antibody to Rabbit IgG (Alexa Fluor® 488) (ab150081) at 2 μg/ml (shown in green) and a goat secondary antibody to Mouse IgG (Alexa Fluor® 594) (ab150117) at 2ug/ml (shown in pseudo-color red). Nuclear DNA was labelled in blue with DAPI.

This product also gave a positive signal under the same testing conditions in HAP1 cells fixed with 4% formaldehyde (10 min).

Image was taken with a confocal microscope (Leica-Microsystems, TCS SP8).

Flow Cytometry (Intracellular) - Anti-PKC alpha antibody [Y124] - BSA and Azide free (AB221611)
  • Flow Cyt (Intra)

Lab

Flow Cytometry (Intracellular) - Anti-PKC alpha antibody [Y124] - BSA and Azide free (AB221611)

Intracellular Flow Cytometry analysis of HeLa (Human cervix adenocarcinoma epithelial cell) cells labeling PKC alpha with purified ab32376 at 1/20 dilution (5 ug/ml) (red). Cells were fixed with 4% Paraformaldehyde. A Goat anti rabbit IgG (Alexa Fluor® 488) secondary antibody was used at 1/2000 dilution. Isotype control - 90% methanol. Unlabeled control - Rabbit monoclonal IgG (Black). Cell without incubation with primary antibody and secondary antibody (Blue).

This data was developed using the same antibody clone in a different buffer formulation containing PBS, BSA, glycerol, and sodium azide (ab32376).

Immunocytochemistry/ Immunofluorescence - Anti-PKC alpha antibody [Y124] - BSA and Azide free (AB221611)
  • ICC/IF

Unknown

Immunocytochemistry/ Immunofluorescence - Anti-PKC alpha antibody [Y124] - BSA and Azide free (AB221611)

Immunocytochemistry/ Immunofluorescence analysis of HeLa (Human cervix adenocarcinoma epithelial cell) cells labeling PKC alpha with Purified ab32376 at 1 : 250 dilution (0.4μg/ml). Cells were fixed in 4% Paraformaldehyde and permeabilized with 0.1% tritonX-100. Cells were counterstained with ab195889 Anti-alpha Tubulin antibody [DM1A] - Microtubule Marker (Alexa Fluor® 594) 1 : 200 (2.5 μg/ml). ab150077 Goat anti rabbit IgG(Alexa Fluor® 488) was used as the secondary antibody at 1 : 1000 dilution. DAPI nuclear counterstain. PBS instead of the primary antibody was used as the secondary antibody only control.

This data was developed using the same antibody clone in a different buffer formulation containing PBS, BSA, glycerol, and sodium azide (ab32376).

Immunoprecipitation - Anti-PKC alpha antibody [Y124] - BSA and Azide free (AB221611)
  • IP

Unknown

Immunoprecipitation - Anti-PKC alpha antibody [Y124] - BSA and Azide free (AB221611)

ab32376 (purified) at 1 : 20 dilution (0.5ug) immunoprecipitating PKC alpha in Jurkat (Human T cell leukemia T lymphocyte) whole cell lysate.

Lane 1 (input) : Jurkat (Human T cell leukemia T lymphocyte) whole cell lysate 10ug

Lane 2 (+) : ab32376 & Jurkat (Human T cell leukemia T lymphocyte) whole cell lysate

Lane 3 (-) : Rabbit monoclonal IgG (ab172730) instead of ab32376 in Jurkat (Human T cell leukemia T lymphocyte) whole cell lysate

For western blotting, VeriBlot for IP Detection Reagent (HRP) (ab131366) was used for detection at 1 : 1000 dilution.

Blocking and diluting buffer : 5% NFDM/TBST.

The band between 37kDa and 50kDa might be the C-term fragment. (PMID : 10381525)

This data was developed using the same antibody clone in a different buffer formulation containing PBS, BSA, glycerol, and sodium azide (ab32376).

All lanes:

Immunoprecipitation - Anti-PKC alpha antibody [Y124] (<a href='/en-us/products/primary-antibodies/pkc-alpha-antibody-y124-ab32376'>ab32376</a>)

Predicted band size: 76 kDa

false

Immunoprecipitation - Anti-PKC alpha antibody [Y124] - BSA and Azide free (AB221611)
  • IP

Unknown

Immunoprecipitation - Anti-PKC alpha antibody [Y124] - BSA and Azide free (AB221611)

ab32376 (purified) at 1 : 20 dilution (0.5ug) immunoprecipitating PKC alpha in 293 (Human embryonic kidney epithelial cell) whole cell lysate.

Lane 1 (input) : 293 (Human embryonic kidney epithelial cell) whole cell lysate 10ug

Lane 2 (+) : ab32376 & 293 (Human embryonic kidney epithelial cell) whole cell lysate

Lane 3 (-) : Rabbit monoclonal IgG (ab172730) instead of ab32376 in 293 (Human embryonic kidney epithelial cell) whole cell lysate

For western blotting, VeriBlot for IP Detection Reagent (HRP) (ab131366) was used for detection at 1 : 1000 dilution.

Blocking and diluting buffer : 5% NFDM/TBST.

The band between 37kDa and 50kDa might be the C-term fragment. (PMID : 10381525)

This data was developed using the same antibody clone in a different buffer formulation containing PBS, BSA, glycerol, and sodium azide (ab32376).

All lanes:

Immunoprecipitation - Anti-PKC alpha antibody [Y124] (<a href='/en-us/products/primary-antibodies/pkc-alpha-antibody-y124-ab32376'>ab32376</a>)

Predicted band size: 76 kDa

false

Immunohistochemistry (Formalin/PFA-fixed paraffin-embedded sections) - Anti-PKC alpha antibody [Y124] - BSA and Azide free (AB221611)
  • IHC-P

Unknown

Immunohistochemistry (Formalin/PFA-fixed paraffin-embedded sections) - Anti-PKC alpha antibody [Y124] - BSA and Azide free (AB221611)

Immunohistochemistry (Formalin/PFA-fixed paraffin-embedded sections) analysis of Rat liver tissue sections labeling PKC alpha with purified ab32376 at 1 : 100 dilution (1.01 μg/ml). Heat mediated antigen retrieval was performed using EDTA Buffer, pH9.0. Tissue was counterstained with Hematoxylin. ImmunoHistoProbe one step HRP Polymer (ready to use) secondary antibody was used at 1 : 0 dilution. PBS instead of the primary antibody was used as the negative control.

This data was developed using the same antibody clone in a different buffer formulation containing PBS, BSA, glycerol, and sodium azide (ab32376).

Immunocytochemistry/ Immunofluorescence - Anti-PKC alpha antibody [Y124] - BSA and Azide free (AB221611)
  • ICC/IF

AbReview17096****

Immunocytochemistry/ Immunofluorescence - Anti-PKC alpha antibody [Y124] - BSA and Azide free (AB221611)

ab32376 staining PKC in the HT1080 Cell line by ICC/IF (Immunocytochemistry/immunofluorescence). Cells were fixed with paraformaldehyde, permeabilized with 0.1% Triton X-100. Samples were incubated with primary antibody (1/400 in PBS) for 1 hour at 22°C. An Alexa Fluor® 488-conjugated Goat anti-rabbit IgG polyclonal was used as the secondary antibody (1/1000).This data was developed using the same antibody clone in a different buffer formulation containing PBS, BSA, glycerol, and sodium azide (ab32376).

This image is courtesy of an anonymous Abreview.

Immunohistochemistry (Formalin/PFA-fixed paraffin-embedded sections) - Anti-PKC alpha antibody [Y124] - BSA and Azide free (AB221611)
  • IHC-P

Unknown

Immunohistochemistry (Formalin/PFA-fixed paraffin-embedded sections) - Anti-PKC alpha antibody [Y124] - BSA and Azide free (AB221611)

Immunohistochemistry (Formalin/PFA-fixed paraffin-embedded sections) analysis of Mouse liver tissue sections labeling PKC alpha with purified ab32376 at 1 : 100 dilution (1.01 μg/ml). Heat mediated antigen retrieval was performed using EDTA Buffer, pH9.0. Tissue was counterstained with Hematoxylin. ImmunoHistoProbe one step HRP Polymer (ready to use) secondary antibody was used at 1 : 0 dilution. PBS instead of the primary antibody was used as the negative control.

This data was developed using the same antibody clone in a different buffer formulation containing PBS, BSA, glycerol, and sodium azide (ab32376).

Western blot - Anti-PKC alpha antibody [Y124] - BSA and Azide free (AB221611)
  • WB

Unknown

Western blot - Anti-PKC alpha antibody [Y124] - BSA and Azide free (AB221611)

This WB data was generated using the same anti-PKC alpha antibody clone, Y124, in a different buffer formulation (cat# ab32376).

Lane 1 : Wild-type HAP1 cell lysate (20 μg)
Lane 2 : PKC alpha knockout HAP1 cell lysate (20 μg)
Lane 3 : K562 cell lysate (20 μg)
Lane 4 : HEK293 cell lysate (20 μg)
Lanes 1 - 4 : Merged signal (red and green). Green - ab32376 observed at 77 kDa. Red - loading control, ab8245, observed at 37 kDa.

Unpurified ab32376 was shown to specifically react with PKC alpha when PKC alpha knockout samples were used. Wild-type and PKC alpha knockout samples were subjected to SDS-PAGE. ab32376 and ab8245 (loading control to GAPDH) were diluted 1/5000 and 1/1000 respectively and incubated overnight at 4°C. Blots were developed with Goat anti-Rabbit IgG H&L (IRDye® 800CW) preadsorbed (ab216773) and Goat anti-Mouse IgG H&L (IRDye® 680RD) preadsorbed (ab216776) secondary antibodies at 1/10 000 dilution for 1 h at room temperature before imaging.

All lanes:

Western blot - Anti-PKC alpha antibody [Y124] - BSA and Azide free (ab221611)

Predicted band size: 76 kDa

false

Western blot - Anti-PKC alpha antibody [Y124] - BSA and Azide free (AB221611)
  • WB

Supplier Data

Western blot - Anti-PKC alpha antibody [Y124] - BSA and Azide free (AB221611)

This data was developed using the same antibody clone in a different buffer formulation containing PBS, BSA, glycerol, and sodium azide (ab32376). Blocking and diluting buffer and concentration : 5% NFDM/TBST.

All lanes:

Western blot - Anti-PKC alpha antibody [Y124] (<a href='/en-us/products/primary-antibodies/pkc-alpha-antibody-y124-ab32376'>ab32376</a>) at 1/2000 dilution

Lane 1:

Western blot - Recombinant human PKC alpha protein (Active) (<a href='/en-us/products/proteins-peptides/recombinant-human-pkc-alpha-protein-active-ab55672'>ab55672</a>)

Lane 2:

Western blot - Recombinant human PKC beta 1 protein (<a href='/en-us/products/proteins-peptides/recombinant-human-pkc-beta-1-protein-ab60840'>ab60840</a>)

Lane 3:

Western blot - Recombinant human PKC beta 2 protein (<a href='/en-us/products/proteins-peptides/recombinant-human-pkc-beta-2-protein-ab60841'>ab60841</a>)

Lane 4:

Western blot - Recombinant human PKC gamma protein (<a href='/en-us/products/proteins-peptides/recombinant-human-pkc-gamma-protein-ab60842'>ab60842</a>)

Lane 5:

Western blot - Recombinant human PKC delta protein (<a href='/en-us/products/proteins-peptides/recombinant-human-pkc-delta-protein-ab60844'>ab60844</a>)

Lane 6:

Western blot - Recombinant human PKC epsilon protein (<a href='/en-us/products/proteins-peptides/recombinant-human-pkc-epsilon-protein-ab60847'>ab60847</a>)

Lane 7:

Western blot - Recombinant human PKC zeta protein (<a href='/en-us/products/proteins-peptides/recombinant-human-pkc-zeta-protein-ab60848'>ab60848</a>)

Lane 8:

Western blot - Recombinant human PKC eta protein (<a href='/en-us/products/proteins-peptides/recombinant-human-pkc-eta-protein-ab60849'>ab60849</a>)

Lane 9:

Western blot - Recombinant human PKC theta/PRKCQ protein (<a href='/en-us/products/proteins-peptides/recombinant-human-pkc-theta-prkcq-protein-ab56641'>ab56641</a>)

Lane 10:

Western blot - Recombinant human PKC iota protein (<a href='/en-us/products/proteins-peptides/recombinant-human-pkc-iota-protein-ab60850'>ab60850</a>)

Secondary

All lanes:

Western blot - Goat Anti-Rabbit IgG H&L (HRP) (<a href='/en-us/products/secondary-antibodies/goat-rabbit-igg-h-l-hrp-ab97051'>ab97051</a>) at 1/20000 dilution

Predicted band size: 76 kDa

Observed band size: 105 kDa

false

Exposure time: 20s

Key facts

Host species

Rabbit

Clonality

Monoclonal

Clone number

Y124

Isotype

IgG

Carrier free

Yes

Reacts with

Mouse, Rat, Human, Pig

Applications

ICC/IF, WB, Flow Cyt (Intra), IP, IHC-P

applications

Immunogen

The exact immunogen used to generate this antibody is proprietary information.

Reactivity data

{ "title": "Reactivity Data", "filters": { "stats": ["", "Species", "Dilution Info", "Notes"], "tabs": { "all-applications": {"fullname" : "All Applications", "shortname": "All Applications"}, "IP" : {"fullname" : "Immunoprecipitation", "shortname":"IP"}, "WB" : {"fullname" : "Western blot", "shortname":"WB"}, "ICCIF" : {"fullname" : "Immunocytochemistry/ Immunofluorescence", "shortname":"ICC/IF"}, "FlowCytIntra" : {"fullname" : "Flow Cytometry (Intracellular)", "shortname":"Flow Cyt (Intra)"}, "IHCP" : {"fullname" : "Immunohistochemistry (Formalin/PFA-fixed paraffin-embedded sections)", "shortname":"IHC-P"} }, "product-promise": { "all": "all", "testedAndGuaranteed": "tested", "guaranteed": "expected", "predicted": "predicted", "notRecommended": "not-recommended" } }, "values": { "Human": { "IP-species-checked": "testedAndGuaranteed", "IP-species-dilution-info": "", "IP-species-notes": "<p></p>", "WB-species-checked": "testedAndGuaranteed", "WB-species-dilution-info": "", "WB-species-notes": "<p></p>", "ICCIF-species-checked": "testedAndGuaranteed", "ICCIF-species-dilution-info": "", "ICCIF-species-notes": "<p>Treatment with 200nM PMA for 30 minutes induces translocation of PKC alpha to the membrane.</p>", "FlowCytIntra-species-checked": "testedAndGuaranteed", "FlowCytIntra-species-dilution-info": "", "FlowCytIntra-species-notes": "<p><a href='/en-us/products/primary-antibodies/rabbit-igg-monoclonal-epr25a-isotype-control-low-endotoxin-azide-free-ab199376'>ab199376</a> - Rabbit monoclonal IgG, is suitable for use as an isotype control with this antibody.</p>", "IHCP-species-checked": "testedAndGuaranteed", "IHCP-species-dilution-info": "", "IHCP-species-notes": "<p></p>" }, "Mouse": { "IP-species-checked": "guaranteed", "IP-species-dilution-info": "", "IP-species-notes": "", "WB-species-checked": "testedAndGuaranteed", "WB-species-dilution-info": "", "WB-species-notes": "<p></p>", "ICCIF-species-checked": "guaranteed", "ICCIF-species-dilution-info": "", "ICCIF-species-notes": "", "FlowCytIntra-species-checked": "guaranteed", "FlowCytIntra-species-dilution-info": "", "FlowCytIntra-species-notes": "", "IHCP-species-checked": "testedAndGuaranteed", "IHCP-species-dilution-info": "", "IHCP-species-notes": "<p></p>" }, "Rat": { "IP-species-checked": "guaranteed", "IP-species-dilution-info": "", "IP-species-notes": "", "WB-species-checked": "testedAndGuaranteed", "WB-species-dilution-info": "", "WB-species-notes": "<p></p>", "ICCIF-species-checked": "guaranteed", "ICCIF-species-dilution-info": "", "ICCIF-species-notes": "", "FlowCytIntra-species-checked": "guaranteed", "FlowCytIntra-species-dilution-info": "", "FlowCytIntra-species-notes": "", "IHCP-species-checked": "testedAndGuaranteed", "IHCP-species-dilution-info": "", "IHCP-species-notes": "<p></p>" }, "Goldfish": { "IP-species-checked": "predicted", "IP-species-dilution-info": "", "IP-species-notes": "", "WB-species-checked": "predicted", "WB-species-dilution-info": "", "WB-species-notes": "", "ICCIF-species-checked": "predicted", "ICCIF-species-dilution-info": "", "ICCIF-species-notes": "", "FlowCytIntra-species-checked": "predicted", "FlowCytIntra-species-dilution-info": "", "FlowCytIntra-species-notes": "", "IHCP-species-checked": "predicted", "IHCP-species-dilution-info": "", "IHCP-species-notes": "" }, "Pig": { "IP-species-checked": "predicted", "IP-species-dilution-info": "", "IP-species-notes": "", "WB-species-checked": "guaranteed", "WB-species-dilution-info": "", "WB-species-notes": "<p></p>", "ICCIF-species-checked": "predicted", "ICCIF-species-dilution-info": "", "ICCIF-species-notes": "", "FlowCytIntra-species-checked": "predicted", "FlowCytIntra-species-dilution-info": "", "FlowCytIntra-species-notes": "", "IHCP-species-checked": "predicted", "IHCP-species-dilution-info": "", "IHCP-species-notes": "" }, "Recombinant full length protein - Human": { "IP-species-checked": "notRecommended", "IP-species-dilution-info": "", "IP-species-notes": "", "WB-species-checked": "testedAndGuaranteed", "WB-species-dilution-info": "", "WB-species-notes": "<p></p>", "ICCIF-species-checked": "notRecommended", "ICCIF-species-dilution-info": "", "ICCIF-species-notes": "", "FlowCytIntra-species-checked": "notRecommended", "FlowCytIntra-species-dilution-info": "", "FlowCytIntra-species-notes": "", "IHCP-species-checked": "notRecommended", "IHCP-species-dilution-info": "", "IHCP-species-notes": "" } } }

Product details

ab221611 is the carrier-free version of ab32376.

Conjugation ready
Our carrier-free antibodies are typically supplied in a PBS-only formulation, purified and free of BSA, sodium azide and glycerol. This conjugation-ready format is designed for use with fluorochromes, metal isotopes, oligonucleotides, and enzymes, which makes them ideal for antibody labelling, functional and cell-based assays, flow-based assays (e.g. mass cytometry) and Multiplex Imaging applications.

Use our conjugation kits for antibody conjugates that are ready-to-use in as little as 20 minutes with 1 minute hands-on-time and 100% antibody recovery: available for fluorescent dyes, HRP, biotin and gold.

Compatibility
This product is compatible with the Maxpar® Antibody Labeling Kit from Fluidigm, without the need for antibody preparation. Maxpar® is a trademark of Fluidigm Canada Inc.

Properties and storage information

Form
Liquid
Purification technique
Affinity purification Protein A
Storage buffer
pH: 7.2 - 7.4 Constituents: PBS
Shipped at conditions
Blue Ice
Appropriate short-term storage conditions
+4°C
Appropriate long-term storage conditions
+4°C
Storage information
Do Not Freeze

Supplementary information

This supplementary information is collated from multiple sources and compiled automatically.

PKC alpha known as Protein Kinase C alpha is a serine/threonine-specific protein kinase involved in various cellular processes. The molecular mass of PKC alpha is approximately 80 kDa. Alternately called PKCA or PRKC alpha it is expressed in many tissues with high expression in the brain heart and lungs. PKC alpha plays a role in signal transduction by phosphorylating serine and threonine residues on target proteins.
Biological function summary

PKC alpha regulates cellular functions including proliferation differentiation and apoptosis. It often acts as part of a larger protein complex modulating various biological responses by interacting with substrates and co-factors. Its activity is dependent on calcium ions and diacylglycerol emphasizing its role in calcium and lipid signaling pathways.

Pathways

PKC alpha plays a vital role in the MAPK/ERK pathway and the PI3K/AKT pathway which are critical for the cellular stress response and growth regulation. PKC alpha interacts with several proteins in these pathways including RAF1 and AKT1 facilitating signal transmission that influences cell fate decisions.

PKC alpha has been implicated in cancer and cardiac hypertrophy. In cancers aberrant PKC alpha signaling is linked to increased cell proliferation and survival. In cardiac hypertrophy it is associated with abnormal heart growth due to impaired signaling involving AKT1 and GSK3B. These connections highlight PKC alpha's influence in pathological as well as physiological conditions.

Product protocols

For this product, it's our understanding that no specific protocols are required. You can visit:

Target data

Calcium-activated, phospholipid- and diacylglycerol (DAG)-dependent serine/threonine-protein kinase that is involved in positive and negative regulation of cell proliferation, apoptosis, differentiation, migration and adhesion, tumorigenesis, cardiac hypertrophy, angiogenesis, platelet function and inflammation, by directly phosphorylating targets such as RAF1, BCL2, CSPG4, TNNT2/CTNT, or activating signaling cascade involving MAPK1/3 (ERK1/2) and RAP1GAP. Involved in cell proliferation and cell growth arrest by positive and negative regulation of the cell cycle. Can promote cell growth by phosphorylating and activating RAF1, which mediates the activation of the MAPK/ERK signaling cascade, and/or by up-regulating CDKN1A, which facilitates active cyclin-dependent kinase (CDK) complex formation in glioma cells. In intestinal cells stimulated by the phorbol ester PMA, can trigger a cell cycle arrest program which is associated with the accumulation of the hyper-phosphorylated growth-suppressive form of RB1 and induction of the CDK inhibitors CDKN1A and CDKN1B. Exhibits anti-apoptotic function in glioma cells and protects them from apoptosis by suppressing the p53/TP53-mediated activation of IGFBP3, and in leukemia cells mediates anti-apoptotic action by phosphorylating BCL2. During macrophage differentiation induced by macrophage colony-stimulating factor (CSF1), is translocated to the nucleus and is associated with macrophage development. After wounding, translocates from focal contacts to lamellipodia and participates in the modulation of desmosomal adhesion. Plays a role in cell motility by phosphorylating CSPG4, which induces association of CSPG4 with extensive lamellipodia at the cell periphery and polarization of the cell accompanied by increases in cell motility. During chemokine-induced CD4(+) T cell migration, phosphorylates CDC42-guanine exchange factor DOCK8 resulting in its dissociation from LRCH1 and the activation of GTPase CDC42 (PubMed : 28028151). Is highly expressed in a number of cancer cells where it can act as a tumor promoter and is implicated in malignant phenotypes of several tumors such as gliomas and breast cancers. Negatively regulates myocardial contractility and positively regulates angiogenesis, platelet aggregation and thrombus formation in arteries. Mediates hypertrophic growth of neonatal cardiomyocytes, in part through a MAPK1/3 (ERK1/2)-dependent signaling pathway, and upon PMA treatment, is required to induce cardiomyocyte hypertrophy up to heart failure and death, by increasing protein synthesis, protein-DNA ratio and cell surface area. Regulates cardiomyocyte function by phosphorylating cardiac troponin T (TNNT2/CTNT), which induces significant reduction in actomyosin ATPase activity, myofilament calcium sensitivity and myocardial contractility. In angiogenesis, is required for full endothelial cell migration, adhesion to vitronectin (VTN), and vascular endothelial growth factor A (VEGFA)-dependent regulation of kinase activation and vascular tube formation. Involved in the stabilization of VEGFA mRNA at post-transcriptional level and mediates VEGFA-induced cell proliferation. In the regulation of calcium-induced platelet aggregation, mediates signals from the CD36/GP4 receptor for granule release, and activates the integrin heterodimer ITGA2B-ITGB3 through the RAP1GAP pathway for adhesion. During response to lipopolysaccharides (LPS), may regulate selective LPS-induced macrophage functions involved in host defense and inflammation. But in some inflammatory responses, may negatively regulate NF-kappa-B-induced genes, through IL1A-dependent induction of NF-kappa-B inhibitor alpha (NFKBIA/IKBA). Upon stimulation with 12-O-tetradecanoylphorbol-13-acetate (TPA), phosphorylates EIF4G1, which modulates EIF4G1 binding to MKNK1 and may be involved in the regulation of EIF4E phosphorylation. Phosphorylates KIT, leading to inhibition of KIT activity. Phosphorylates ATF2 which promotes cooperation between ATF2 and JUN, activating transcription. Phosphorylates SOCS2 at 'Ser-52' facilitating its ubiquitination and proteasomal degradation (By similarity). Phosphorylates KLHL3 in response to angiotensin II signaling, decreasing the interaction between KLHL3 and WNK4 (PubMed : 25313067). Phosphorylates and activates LRRK1, which phosphorylates RAB proteins involved in intracellular trafficking (PubMed : 36040231).
See full target information PRKCA

Publications (29)

Recent publications for all applications. Explore the full list and refine your search

The Journal of biological chemistry 298:102121 PubMed35697074

2022

A novel antiproliferative PKCα-Ras-ERK signaling axis in intestinal epithelial cells.

Applications

Unspecified application

Species

Unspecified reactive species

Navneet Kaur,Michelle A Lum,Robert E Lewis,Adrian R Black,Jennifer D Black

FEBS open bio 11:75-84 PubMed33125833

2020

Aquaporin 1 mediates early responses to osmotic stimuli in endothelial cells via the calmodulin pathway.

Applications

Unspecified application

Species

Unspecified reactive species

Yong Jiang,Chengqi Wang,Rui Ma,Ying Zhao,Xinyue Ma,Jiaxin Wan,Chunxiang Li,Fanghao Chen,Fang Fang,Mingguang Li

The Journal of clinical investigation 126:3104-16 PubMed27427986

2016

Reprogramming Müller glia via in vivo cell fusion regenerates murine photoreceptors.

Applications

IHC-P

Species

Mouse

Daniela Sanges,Giacoma Simonte,Umberto Di Vicino,Neus Romo,Isabel Pinilla,Marta Nicolás,Maria Pia Cosma

Veterinary research 47:71 PubMed27424033

2016

Influence of orally fed a select mixture of Bacillus probiotics on intestinal T-cell migration in weaned MUC4 resistant pigs following Escherichia coli challenge.

Applications

WB

Species

Unspecified reactive species

Gui-Yan Yang,Yao-Hong Zhu,Wei Zhang,Dong Zhou,Cong-Cong Zhai,Jiu-Feng Wang

Scientific reports 6:29859 PubMed27417454

2016

Tetraspanin CD82 Regulates the Spatiotemporal Dynamics of PKCα in Acute Myeloid Leukemia.

Applications

IHC-P

Species

Human

Christina M Termini,Keith A Lidke,Jennifer M Gillette

The Journal of biological chemistry 291:6331-46 PubMed26769967

2016

Protein Kinase Cα (PKCα) Is Resistant to Long Term Desensitization/Down-regulation by Prolonged Diacylglycerol Stimulation.

Applications

ICC/IF, WB, WB, ICC/IF, IHC, IHC

Species

Rat, Rat, Human, Human, Rat, Human

Michelle A Lum,Carter J Barger,Alice H Hsu,Olga V Leontieva,Adrian R Black,Jennifer D Black

The Journal of general physiology 146:109-17 PubMed26123197

2015

A marginal band of microtubules transports and organizes mitochondria in retinal bipolar synaptic terminals.

Applications

ICC/IF

Species

Goldfish

Malkolm Graffe,David Zenisek,Justin W Taraska

PloS one 10:e0125717 PubMed25915861

2015

A Selected Lactobacillus rhamnosus Strain Promotes EGFR-Independent Akt Activation in an Enterotoxigenic Escherichia coli K88-Infected IPEC-J2 Cell Model.

Applications

WB

Species

Pig

Wei Zhang,Yao-Hong Zhu,Jin-Cai Yang,Gui-Yan Yang,Dong Zhou,Jiu-Feng Wang

Cell stress & chaperones 20:527-35 PubMed25716072

2015

TLR4 mutation and HSP60-induced cell death in adult mouse cardiac myocytes.

Applications

WB

Species

Mouse

J P Heiserman,L Chen,B S Kim,S C Kim,A L Tran,N Siebenborn,A A Knowlton

Molecular cancer research : MCR 13:713-20 PubMed25667133

2015

Adapting a drug screening platform to discover associations of molecular targeted radiosensitizers with genomic biomarkers.

Applications

WB

Species

Human

Qi Liu,Meng Wang,Ashley M Kern,Saman Khaled,Jing Han,Beow Y Yeap,Theodore S Hong,Jeff Settleman,Cyril H Benes,Kathryn D Held,Jason A Efstathiou,Henning Willers
View all publications

Product promise

We are committed to supporting your work with high-quality reagents, and we're here for you every step of the way. In the unlikely event that one of our products does not perform as expected, you're protected by our Product Promise.
For full details, please see our Terms & Conditions

Please note: All products are 'FOR RESEARCH USE ONLY. NOT FOR USE IN DIAGNOSTIC OR THERAPEUTIC PROCEDURES'.

For licensing inquiries, please contact partnerships@abcam.com