JavaScript is disabled in your browser. Please enable JavaScript to view this website.
AB180848

Anti-PKC alpha (phospho S657) antibody [EPR1901(2)]

  • BOND RX™ Validated
  • RabMAb
  • Recombinant
  • 20ul selling size
  • What is this?

Be the first to review this product! Submit a review

|

(29 Publications)

Rabbit Recombinant Monoclonal KPCA phospho S657 antibody. Suitable for IHC-P, Dot, WB and reacts with Human, Synthetic peptide, Rat, Mouse, Recombinant full length protein - Human samples. Cited in 29 publications.

View Alternative Names

PKCA, PRKACA, PRKCA, Protein kinase C alpha type, PKC-A, PKC-alpha

6 Images
Immunohistochemistry (Formalin/PFA-fixed paraffin-embedded sections) - Anti-PKC alpha (phospho S657) antibody [EPR1901(2)] (AB180848)
  • IHC-P

Supplier Data

Immunohistochemistry (Formalin/PFA-fixed paraffin-embedded sections) - Anti-PKC alpha (phospho S657) antibody [EPR1901(2)] (AB180848)

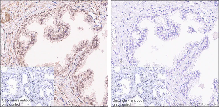
Immunohistochemistry (Formalin/PFA-fixed paraffin-embedded sections) analysis of human prostatic hyperplasia tissue sections labeling PKC alpha with purified ab180848 at 1 : 5000 (0.23 μg/ml). Heat mediated antigen retrieval was performed using Bond™ Epitope Retrieval Solution 2 (pH 9.0). Tissue was counterstained with Hematoxylin. Rabbit specific IHC polymer detection kit HRP/DAB (ab209101) was used. PBS instead of the primary antibody was used as the negative control. Postive staining on human prostatic hyperplasia without alkaline phosphatase treatment (image A). No staining on human prostatic hyperplasia with alkaline phosphatase treatment (image B). The immunostaining was performed on a Leica Biosystems BOND® RX instrument.

Western blot - Anti-PKC alpha (phospho S657) antibody [EPR1901(2)] (AB180848)
  • WB

Lab

Western blot - Anti-PKC alpha (phospho S657) antibody [EPR1901(2)] (AB180848)

Blocking and diluting buffer : 5% NFDM/TBST

All lanes:

Western blot - Anti-PKC alpha (phospho S657) antibody [EPR1901(2)] (ab180848) at 1/10000 dilution

Lane 1:

Untreated Jurkat (human acute T cell leukemia) whole cell lysate at 15 µg

Lane 2:

Jurkat (human acute T cell leukemia) treated with 200ng/ml phorbol-12,13-dibutyrate for 45 minutes, whole cell lysate at 15 µg

Secondary

All lanes:

Western blot - Goat Anti-Rabbit IgG H&L (HRP) (<a href='/en-us/products/secondary-antibodies/goat-rabbit-igg-h-l-hrp-ab97051'>ab97051</a>) at 1/20000 dilution

Predicted band size: 76 kDa

Observed band size: 77 kDa

false

Western blot - Anti-PKC alpha (phospho S657) antibody [EPR1901(2)] (AB180848)
  • WB

Lab

Western blot - Anti-PKC alpha (phospho S657) antibody [EPR1901(2)] (AB180848)

Blocking and diluting buffer : 5% NFDM/TBST

All lanes:

Western blot - Anti-PKC alpha (phospho S657) antibody [EPR1901(2)] (ab180848) at 1/10000 dilution

Lane 1:

Untreated C6 (rat glioma) whole cell lysate at 15 µg

Lane 2:

C6 (rat glioma) treated with 80nM Phorbol-12-myristate-13-acetate, whole cell lysate at 15 µg

Secondary

All lanes:

Western blot - Goat Anti-Rabbit IgG H&L (HRP) (<a href='/en-us/products/secondary-antibodies/goat-rabbit-igg-h-l-hrp-ab97051'>ab97051</a>) at 1/20000 dilution

Predicted band size: 76 kDa

Observed band size: 77 kDa

false

Western blot - Anti-PKC alpha (phospho S657) antibody [EPR1901(2)] (AB180848)
  • WB

Supplier Data

Western blot - Anti-PKC alpha (phospho S657) antibody [EPR1901(2)] (AB180848)

All lanes:

Western blot - Anti-PKC alpha (phospho S657) antibody [EPR1901(2)] (ab180848) at 1/1000 dilution

Lane 1:

NIH/3T3 (Mouse embryonic fibroblast) whole cell lysate at 15 µg

Lane 2:

NIH/3T3 (Mouse embryonic fibroblast) whole cell lysate, then the membrane treated with Alkaline Phosphatase for 1 hour at 15 µg

Secondary

All lanes:

Western blot - Goat Anti-Rabbit IgG H&L (HRP) (<a href='/en-us/products/secondary-antibodies/goat-rabbit-igg-h-l-hrp-ab97051'>ab97051</a>) at 1/20000 dilution

Predicted band size: 76 kDa

Observed band size: 77 kDa

false

Western blot - Anti-PKC alpha (phospho S657) antibody [EPR1901(2)] (AB180848)
  • WB

Supplier Data

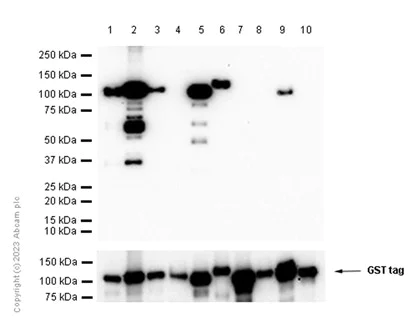
Western blot - Anti-PKC alpha (phospho S657) antibody [EPR1901(2)] (AB180848)

Blocking and diluting buffer and concentration : 5% NFDM/TBST.

All lanes:

Western blot - Anti-PKC alpha (phospho S657) antibody [EPR1901(2)] (ab180848) at 1/1000 dilution

Lane 1:

Western blot - Recombinant human PKC alpha protein (Active) (<a href='/en-us/products/proteins-peptides/recombinant-human-pkc-alpha-protein-active-ab55672'>ab55672</a>)

Lane 2:

Western blot - Recombinant human PKC beta 1 protein (<a href='/en-us/products/proteins-peptides/recombinant-human-pkc-beta-1-protein-ab60840'>ab60840</a>)

Lane 3:

Western blot - Recombinant human PKC beta 2 protein (<a href='/en-us/products/proteins-peptides/recombinant-human-pkc-beta-2-protein-ab60841'>ab60841</a>)

Lane 4:

Western blot - Recombinant human PKC gamma protein (<a href='/en-us/products/proteins-peptides/recombinant-human-pkc-gamma-protein-ab60842'>ab60842</a>)

Lane 5:

Western blot - Recombinant human PKC delta protein (<a href='/en-us/products/proteins-peptides/recombinant-human-pkc-delta-protein-ab60844'>ab60844</a>)

Lane 6:

Western blot - Recombinant human PKC epsilon protein (<a href='/en-us/products/proteins-peptides/recombinant-human-pkc-epsilon-protein-ab60847'>ab60847</a>)

Lane 7:

Western blot - Recombinant human PKC zeta protein (<a href='/en-us/products/proteins-peptides/recombinant-human-pkc-zeta-protein-ab60848'>ab60848</a>)

Lane 8:

Western blot - Recombinant human PKC eta protein (<a href='/en-us/products/proteins-peptides/recombinant-human-pkc-eta-protein-ab60849'>ab60849</a>)

Lane 9:

Western blot - Recombinant human PKC theta/PRKCQ protein (<a href='/en-us/products/proteins-peptides/recombinant-human-pkc-theta-prkcq-protein-ab56641'>ab56641</a>)

Lane 10:

Western blot - Recombinant human PKC iota protein (<a href='/en-us/products/proteins-peptides/recombinant-human-pkc-iota-protein-ab60850'>ab60850</a>)

Secondary

All lanes:

Western blot - Goat Anti-Rabbit IgG H&L (HRP) (<a href='/en-us/products/secondary-antibodies/goat-rabbit-igg-h-l-hrp-ab97051'>ab97051</a>) at 1/20000 dilution

Predicted band size: 76 kDa

Observed band size: 105 kDa

false

Exposure time: 60s

Dot Blot - Anti-PKC alpha (phospho S657) antibody [EPR1901(2)] (AB180848)
  • Dot

Supplier Data

Dot Blot - Anti-PKC alpha (phospho S657) antibody [EPR1901(2)] (AB180848)

Dot blot analysis of PKC alpha (pS657) phospho peptide (Lane 1) and PKC alpha non-phospho peptide (Lane 2) using ab180848 at 1/1000 dilution followed by Goat Anti-Rabbit IgG (H+L) Peroxidase conjugated (ab97051) at 1/100000 dilution.

Blocking and Diluting buffer and concentration : 5% NFDM /TBST.

Exposure time : 10 seconds.

  • Carrier free

    Anti-PKC alpha (phospho S657) antibody [EPR1901(2)] - BSA and Azide free

  • 660 APC

    APC Anti-PKC alpha (phospho S657) antibody [EPR1901(2)]

  • 617 Alexa Fluor® 594

    Alexa Fluor® 594 Anti-PKC alpha (phospho S657) antibody [EPR1901(2)]

  • 519 Alexa Fluor® 488

    Alexa Fluor® 488 Anti-PKC alpha (phospho S657) antibody [EPR1901(2)]

  • 665 Alexa Fluor® 647

    Alexa Fluor® 647 Anti-PKC alpha (phospho S657) antibody [EPR1901(2)]

  • 565 Alexa Fluor® 555

    Alexa Fluor® 555 Anti-PKC alpha (phospho S657) antibody [EPR1901(2)]

  • 578 PE

    PE Anti-PKC alpha (phospho S657) antibody [EPR1901(2)]

  • 775 Alexa Fluor® 750

    Alexa Fluor® 750 Anti-PKC alpha (phospho S657) antibody [EPR1901(2)]

Key facts

Host species

Rabbit

Clonality

Monoclonal

Clone number

EPR1901(2)

Isotype

IgG

Carrier free

No

Reacts with

Rat, Human, Mouse

Applications

Dot, WB, IHC-P

applications

Immunogen

The exact immunogen used to generate this antibody is proprietary information.

Specificity

The mouse and rat recommendation is based on the WB results. We do not guarantee IHC-P for mouse and rat.

ab180848 detects various PKC phosphorylated isoforms

Reactivity data

{ "title": "Reactivity Data", "filters": { "stats": ["", "Species", "Dilution Info", "Notes"], "tabs": { "all-applications": {"fullname" : "All Applications", "shortname": "All Applications"}, "IHCP" : {"fullname" : "Immunohistochemistry (Formalin/PFA-fixed paraffin-embedded sections)", "shortname":"IHC-P"}, "Dot" : {"fullname" : "Dot Blot", "shortname":"Dot"}, "WB" : {"fullname" : "Western blot", "shortname":"WB"} }, "product-promise": { "all": "all", "testedAndGuaranteed": "tested", "guaranteed": "expected", "predicted": "predicted", "notRecommended": "not-recommended" } }, "values": { "Human": { "IHCP-species-checked": "testedAndGuaranteed", "IHCP-species-dilution-info": "1/5000", "IHCP-species-notes": "<p>The use of an HRP/AP polymerized secondary antibody is recommended.</p><p>The mouse and rat recommendation is based on the WB results. We do not guarantee IHC-P for mouse and rat.</p><p>For unpurified use at 1/1500.</p> Perform heat-mediated antigen retrieval with citrate buffer pH 6 before commencing with IHC staining protocol.", "Dot-species-checked": "guaranteed", "Dot-species-dilution-info": "", "Dot-species-notes": "", "WB-species-checked": "testedAndGuaranteed", "WB-species-dilution-info": "1/1000", "WB-species-notes": "<p></p>" }, "Mouse": { "IHCP-species-checked": "notRecommended", "IHCP-species-dilution-info": "", "IHCP-species-notes": "<p></p>", "Dot-species-checked": "guaranteed", "Dot-species-dilution-info": "", "Dot-species-notes": "", "WB-species-checked": "testedAndGuaranteed", "WB-species-dilution-info": "1/1000", "WB-species-notes": "<p></p>" }, "Rat": { "IHCP-species-checked": "notRecommended", "IHCP-species-dilution-info": "", "IHCP-species-notes": "<p></p>", "Dot-species-checked": "guaranteed", "Dot-species-dilution-info": "", "Dot-species-notes": "", "WB-species-checked": "testedAndGuaranteed", "WB-species-dilution-info": "1/1000", "WB-species-notes": "<p></p>" }, "Recombinant full length protein - Human": { "IHCP-species-checked": "notRecommended", "IHCP-species-dilution-info": "", "IHCP-species-notes": "", "Dot-species-checked": "notRecommended", "Dot-species-dilution-info": "", "Dot-species-notes": "", "WB-species-checked": "testedAndGuaranteed", "WB-species-dilution-info": "1/1000", "WB-species-notes": "<p></p>" }, "Synthetic peptide": { "IHCP-species-checked": "notRecommended", "IHCP-species-dilution-info": "", "IHCP-species-notes": "", "Dot-species-checked": "testedAndGuaranteed", "Dot-species-dilution-info": "1/1000", "Dot-species-notes": "<p></p>", "WB-species-checked": "notRecommended", "WB-species-dilution-info": "", "WB-species-notes": "" } } }

Product details

Patented technology
Our RabMAb® technology is a patented hybridoma-based technology for making rabbit monoclonal antibodies. For details on our patents, please refer to RabMAb® patents.

What are the advantages of a recombinant monoclonal antibody?
This product is a recombinant monoclonal antibody, which offers several advantages including:

  • - High batch-to-batch consistency and reproducibility
  • - Improved sensitivity and specificity
  • - Long-term security of supply
  • - Animal-free batch production

For more information, read more on recombinant antibodies.

Properties and storage information

Form
Liquid
Purification technique
Affinity purification Protein A
Storage buffer
Preservative: 0.01% Sodium azide Constituents: PBS, 40% Glycerol (glycerin, glycerine), 0.05% BSA
Shipped at conditions
Blue Ice
Appropriate short-term storage duration
1-2 weeks
Appropriate short-term storage conditions
+4°C
Appropriate long-term storage conditions
-20°C
Aliquoting information
Upon delivery aliquot
Storage information
Avoid freeze / thaw cycle

Supplementary information

This supplementary information is collated from multiple sources and compiled automatically.

PKC alpha known as Protein Kinase C alpha is a serine/threonine-specific protein kinase involved in various cellular processes. The molecular mass of PKC alpha is approximately 80 kDa. Alternately called PKCA or PRKC alpha it is expressed in many tissues with high expression in the brain heart and lungs. PKC alpha plays a role in signal transduction by phosphorylating serine and threonine residues on target proteins.
Biological function summary

PKC alpha regulates cellular functions including proliferation differentiation and apoptosis. It often acts as part of a larger protein complex modulating various biological responses by interacting with substrates and co-factors. Its activity is dependent on calcium ions and diacylglycerol emphasizing its role in calcium and lipid signaling pathways.

Pathways

PKC alpha plays a vital role in the MAPK/ERK pathway and the PI3K/AKT pathway which are critical for the cellular stress response and growth regulation. PKC alpha interacts with several proteins in these pathways including RAF1 and AKT1 facilitating signal transmission that influences cell fate decisions.

PKC alpha has been implicated in cancer and cardiac hypertrophy. In cancers aberrant PKC alpha signaling is linked to increased cell proliferation and survival. In cardiac hypertrophy it is associated with abnormal heart growth due to impaired signaling involving AKT1 and GSK3B. These connections highlight PKC alpha's influence in pathological as well as physiological conditions.

Product protocols

For this product, it's our understanding that no specific protocols are required. You can visit:

Target data

Calcium-activated, phospholipid- and diacylglycerol (DAG)-dependent serine/threonine-protein kinase that is involved in positive and negative regulation of cell proliferation, apoptosis, differentiation, migration and adhesion, tumorigenesis, cardiac hypertrophy, angiogenesis, platelet function and inflammation, by directly phosphorylating targets such as RAF1, BCL2, CSPG4, TNNT2/CTNT, or activating signaling cascade involving MAPK1/3 (ERK1/2) and RAP1GAP. Involved in cell proliferation and cell growth arrest by positive and negative regulation of the cell cycle. Can promote cell growth by phosphorylating and activating RAF1, which mediates the activation of the MAPK/ERK signaling cascade, and/or by up-regulating CDKN1A, which facilitates active cyclin-dependent kinase (CDK) complex formation in glioma cells. In intestinal cells stimulated by the phorbol ester PMA, can trigger a cell cycle arrest program which is associated with the accumulation of the hyper-phosphorylated growth-suppressive form of RB1 and induction of the CDK inhibitors CDKN1A and CDKN1B. Exhibits anti-apoptotic function in glioma cells and protects them from apoptosis by suppressing the p53/TP53-mediated activation of IGFBP3, and in leukemia cells mediates anti-apoptotic action by phosphorylating BCL2. During macrophage differentiation induced by macrophage colony-stimulating factor (CSF1), is translocated to the nucleus and is associated with macrophage development. After wounding, translocates from focal contacts to lamellipodia and participates in the modulation of desmosomal adhesion. Plays a role in cell motility by phosphorylating CSPG4, which induces association of CSPG4 with extensive lamellipodia at the cell periphery and polarization of the cell accompanied by increases in cell motility. During chemokine-induced CD4(+) T cell migration, phosphorylates CDC42-guanine exchange factor DOCK8 resulting in its dissociation from LRCH1 and the activation of GTPase CDC42 (PubMed : 28028151). Is highly expressed in a number of cancer cells where it can act as a tumor promoter and is implicated in malignant phenotypes of several tumors such as gliomas and breast cancers. Negatively regulates myocardial contractility and positively regulates angiogenesis, platelet aggregation and thrombus formation in arteries. Mediates hypertrophic growth of neonatal cardiomyocytes, in part through a MAPK1/3 (ERK1/2)-dependent signaling pathway, and upon PMA treatment, is required to induce cardiomyocyte hypertrophy up to heart failure and death, by increasing protein synthesis, protein-DNA ratio and cell surface area. Regulates cardiomyocyte function by phosphorylating cardiac troponin T (TNNT2/CTNT), which induces significant reduction in actomyosin ATPase activity, myofilament calcium sensitivity and myocardial contractility. In angiogenesis, is required for full endothelial cell migration, adhesion to vitronectin (VTN), and vascular endothelial growth factor A (VEGFA)-dependent regulation of kinase activation and vascular tube formation. Involved in the stabilization of VEGFA mRNA at post-transcriptional level and mediates VEGFA-induced cell proliferation. In the regulation of calcium-induced platelet aggregation, mediates signals from the CD36/GP4 receptor for granule release, and activates the integrin heterodimer ITGA2B-ITGB3 through the RAP1GAP pathway for adhesion. During response to lipopolysaccharides (LPS), may regulate selective LPS-induced macrophage functions involved in host defense and inflammation. But in some inflammatory responses, may negatively regulate NF-kappa-B-induced genes, through IL1A-dependent induction of NF-kappa-B inhibitor alpha (NFKBIA/IKBA). Upon stimulation with 12-O-tetradecanoylphorbol-13-acetate (TPA), phosphorylates EIF4G1, which modulates EIF4G1 binding to MKNK1 and may be involved in the regulation of EIF4E phosphorylation. Phosphorylates KIT, leading to inhibition of KIT activity. Phosphorylates ATF2 which promotes cooperation between ATF2 and JUN, activating transcription. Phosphorylates SOCS2 at 'Ser-52' facilitating its ubiquitination and proteasomal degradation (By similarity). Phosphorylates KLHL3 in response to angiotensin II signaling, decreasing the interaction between KLHL3 and WNK4 (PubMed : 25313067). Phosphorylates and activates LRRK1, which phosphorylates RAB proteins involved in intracellular trafficking (PubMed : 36040231).
See full target information PRKCA phospho S657

Publications (29)

Recent publications for all applications. Explore the full list and refine your search

International journal of biological sciences 20:3956-3971 PubMed39113702

2024

PKCα Induced the Generation of Extracellular Vesicles in Activated Platelets to Promote Breast Cancer Metastasis.

Applications

Unspecified application

Species

Unspecified reactive species

Jinghua Zhao,Huan Tian,Xiaona Zhao,Lan Lan,Huanhuan Liu,Yi Sun,Fengyan Yu

Heliyon 10:e33996 PubMed39055838

2024

3-methyladenine ameliorates acute lung injury by inhibiting oxidative damage and apoptosis.

Applications

Unspecified application

Species

Unspecified reactive species

Xiong Lei,Xiling Liu,Jia Yu,Kai Li,Lijing Xia,Shanshan Su,Pengcheng Lin,Dan Zhang,Yuping Li

Cerebrovascular diseases (Basel, Switzerland) 54:215-227 PubMed38688248

2024

Impinging Flow Mediates Vascular Endothelial Cell Injury through the PKCα/ERK/PPARγ Pathway in vitro.

Applications

Unspecified application

Species

Unspecified reactive species

Zelong Xing,Zheng Hao,Yanyang Zeng,Jiacong Tan,Zhixiong Zhang,Yeyu Zhao,Huaxin Zhu,Meihua Li

Science advances 10:eadj9479 PubMed38295180

2024

Folate depletion induces erythroid differentiation through perturbation of de novo purine synthesis.

Applications

Unspecified application

Species

Unspecified reactive species

Adam G Maynard,Nancy K Pohl,Annabel P Mueller,Boryana Petrova,Alan Y L Wong,Peng Wang,Andrew J Culhane,Jeannette R Brook,Leah M Hirsch,Ngoc Hoang,Orville Kirkland,Tatum Braun,Sarah Ducamp,Mark D Fleming,Hojun Li,Naama Kanarek

Biology of reproduction 110:154-168 PubMed37815939

2023

Phoenixin-14 as a novel direct regulator of porcine luteal cell functions†.

Applications

Unspecified application

Species

Unspecified reactive species

Ewa Mlyczyńska,Patrycja Kurowska,Dominika Wachowska,Małgorzata Grzesiak,Joelle Dupont,Agnieszka Rak

American journal of physiology. Endocrinology and metabolism 325:E214-E226 PubMed37467022

2023

Inhibition of protein kinase C-α and activation of ezrin by restore Na/H exchange activity and fluid absorption in mice.

Applications

Unspecified application

Species

Unspecified reactive species

Yiran Han,Shanthi Srinivasan,C Chris Yun

Cell cycle (Georgetown, Tex.) 22:1637-1653 PubMed37345432

2023

p18INK4C and BRCA1 inhibit follicular cell proliferation and dedifferentiation in thyroid cancer.

Applications

Unspecified application

Species

Unspecified reactive species

Feng Bai,Xiong Liu,Xu Zhang,Zhuo Mao,He Wen,Jinshan Ma,Xin-Hai Pei

Molecular nutrition & food research 66:e2200186 PubMed36189894

2022

Cystine Induced-mTORC2 Activation through Promoting Sin1 Phosphorylation to Suppress Cancer Cell Ferroptosis.

Applications

Unspecified application

Species

Unspecified reactive species

GuoYan Wang,Lei Chen,SenLin Qin,YiNing Zheng,Chao Xia,JunHu Yao,Ping Wang,Lu Deng

Frontiers in endocrinology 13:1010092 PubMed36329884

2022

PKC-mediated phosphorylation and activation of the MEK/ERK pathway as a mechanism of acquired trastuzumab resistance in HER2-positive breast cancer.

Applications

Unspecified application

Species

Unspecified reactive species

Jeanesse Scerri,Christian Scerri,Felix Schäfer-Ruoff,Simon Fink,Markus Templin,Godfrey Grech

iScience 25:104923 PubMed36065189

2022

STAT6 in mitochondrial outer membrane impairs mitochondrial fusion by inhibiting MFN2 dimerization.

Applications

Unspecified application

Species

Unspecified reactive species

Hyunmi Kim,Soo Jung Park,Ilo Jou
View all publications

Product promise

We are committed to supporting your work with high-quality reagents, and we're here for you every step of the way. In the unlikely event that one of our products does not perform as expected, you're protected by our Product Promise.
For full details, please see our Terms & Conditions

Please note: All products are 'FOR RESEARCH USE ONLY. NOT FOR USE IN DIAGNOSTIC OR THERAPEUTIC PROCEDURES'.

For licensing inquiries, please contact partnerships@abcam.com