JavaScript is disabled in your browser. Please enable JavaScript to view this website.
AB76016

Anti-PKC alpha (phospho T497) antibody [EP2608Y]

0

(1 Review)

|

(23 Publications)

Rabbit Monoclonal KPCA phospho T497 antibody. Suitable for IHC-P, Dot, WB and reacts with Human, Mouse, Rat, Synthetic peptide samples. Cited in 23 publications.

View Alternative Names

PKCA, PRKACA, PRKCA, Protein kinase C alpha type, PKC-A, PKC-alpha

7 Images
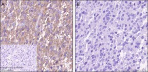
Immunohistochemistry (Formalin/PFA-fixed paraffin-embedded sections) - Anti-PKC alpha (phospho T497) antibody [EP2608Y] (AB76016)
  • IHC-P

Lab

Immunohistochemistry (Formalin/PFA-fixed paraffin-embedded sections) - Anti-PKC alpha (phospho T497) antibody [EP2608Y] (AB76016)

Immunohistochemical analysis of paraffin-embedded Human glioma tissue labeling PKC alpha with ab76016 at 1/10000 dilution (0.134 µg/ml), with or without Lambda phosphatase treatment, then followed by Rabbit specific IHC polymer detection kit HRP/DAB (ab209101). Positive staining on human glioma. No signal was detected when tissue was treated with Lambda phosphatase. The immunostaining was performed on a Leica Biosystems BOND® RX instrument. Counterstained with Hematoxylin. Heat mediated antigen retrieval was performed with Tris-EDTA buffer (pH 9.0, epitope retrieval solution2) for 30 mins.

Immunohistochemistry (Formalin/PFA-fixed paraffin-embedded sections) - Anti-PKC alpha (phospho T497) antibody [EP2608Y] (AB76016)
  • IHC-P

Lab

Immunohistochemistry (Formalin/PFA-fixed paraffin-embedded sections) - Anti-PKC alpha (phospho T497) antibody [EP2608Y] (AB76016)

Immunohistochemical analysis of paraffin-embedded Rat kidney tissue labeling PKC alpha with ab76016 at 1/10000 dilution (0.134 µg/ml), with or without Lambda phosphatase treatment, then followed by Rabbit specific IHC polymer detection kit HRP/DAB (ab209101). Positive staining on Rat kidney. No signal was detected when tissue was treated with Lambda phosphatase. The immunostaining was performed on a Leica Biosystems BOND® RX instrument. Counterstained with Hematoxylin. Heat mediated antigen retrieval was performed with Tris-EDTA buffer (pH 9.0, epitope retrieval solution2) for 30 mins.

Immunohistochemistry (Formalin/PFA-fixed paraffin-embedded sections) - Anti-PKC alpha (phospho T497) antibody [EP2608Y] (AB76016)
  • IHC-P

Lab

Immunohistochemistry (Formalin/PFA-fixed paraffin-embedded sections) - Anti-PKC alpha (phospho T497) antibody [EP2608Y] (AB76016)

Immunohistochemical analysis of paraffin-embedded Mouse kidney tissue labeling PKC alpha with ab76016 at 1/10000 dilution (0.134 µg/ml), with or without Lambda phosphatase treatment, then followed by Rabbit specific IHC polymer detection kit HRP/DAB (ab209101). Positive staining on Mouse kidney. No signal was detected when tissue was treated with Lambda phosphatase. The immunostaining was performed on a Leica Biosystems BOND® RX instrument. Counterstained with Hematoxylin. Heat mediated antigen retrieval was performed with Tris-EDTA buffer (pH 9.0, epitope retrieval solution2) for 30 mins.

Western blot - Anti-PKC alpha (phospho T497) antibody [EP2608Y] (AB76016)
  • WB

Lab

Western blot - Anti-PKC alpha (phospho T497) antibody [EP2608Y] (AB76016)

Blocking and diluting buffer and concentration : 5% NFDM/TBST.

All lanes:

Western blot - Anti-PKC alpha (phospho T497) antibody [EP2608Y] (ab76016) at 1/10000 dilution

Lane 1:

HeLa (Human cervix adenocarcinoma epithelial cell) whole cell lysate

Lane 2:

HeLa (Human cervix adenocarcinoma epithelial cell) whole cell lysate, then the membrane was incubated with Alkaline phosphatase

Secondary

All lanes:

Western blot - Goat Anti-Rabbit IgG H&L (HRP) (<a href='/en-us/products/secondary-antibodies/goat-rabbit-igg-h-l-hrp-ab97051'>ab97051</a>) at 1/20000 dilution

Observed band size: 77 kDa

false

Exposure time: 10s

Western blot - Anti-PKC alpha (phospho T497) antibody [EP2608Y] (AB76016)
  • WB

Lab

Western blot - Anti-PKC alpha (phospho T497) antibody [EP2608Y] (AB76016)

Blocking and diluting buffer and concentration : 5% NFDM/TBST.

All lanes:

Western blot - Anti-PKC alpha (phospho T497) antibody [EP2608Y] (ab76016) at 1/10000 dilution

Lane 1:

NIH/3T3 (Mouse embryonic fibroblast) whole cell lysate

Lane 2:

NIH/3T3 (Mouse embryonic fibroblast) whole cell lysate, then the membrane was incubated with Alkaline phosphatase

Secondary

All lanes:

Western blot - Goat Anti-Rabbit IgG H&L (HRP) (<a href='/en-us/products/secondary-antibodies/goat-rabbit-igg-h-l-hrp-ab97051'>ab97051</a>) at 1/20000 dilution

Observed band size: 77 kDa

false

Exposure time: 10s

Western blot - Anti-PKC alpha (phospho T497) antibody [EP2608Y] (AB76016)
  • WB

Lab

Western blot - Anti-PKC alpha (phospho T497) antibody [EP2608Y] (AB76016)

Blocking and diluting buffer and concentration : 5% NFDM/TBST.

All lanes:

Western blot - Anti-PKC alpha (phospho T497) antibody [EP2608Y] (ab76016) at 1/10000 dilution

Lane 1:

C6 (Rat glial tumor glial cell) whole cell lysate

Lane 2:

C6 (Rat glial tumor glial cell) whole cell lysate, then the membrane was incubated with Alkaline phosphatase

Secondary

All lanes:

Western blot - Goat Anti-Rabbit IgG H&L (HRP) (<a href='/en-us/products/secondary-antibodies/goat-rabbit-igg-h-l-hrp-ab97051'>ab97051</a>) at 1/20000 dilution

Observed band size: 77 kDa

false

Exposure time: 5s

Dot Blot - Anti-PKC alpha (phospho T497) antibody [EP2608Y] (AB76016)
  • Dot

Lab

Dot Blot - Anti-PKC alpha (phospho T497) antibody [EP2608Y] (AB76016)

Dot blot analysis of PKC alpha (pT497) using ab76016 at 1 : 1000 (1.34 ug/ml) followed by a Goat Anti-Rabbit IgG, (H+L), Peroxidase conjugated (ab97051) at 1 : 20000 dilution. Lane 1 : PKC alpha non-phospho peptide. Lane 2 : PKC alpha (phospho T497). Blocking and dilution buffer : 5% NFDM/TBST. Exposure time : 10 seconds.

  • Carrier free

    Anti-PKC alpha (phospho T497) antibody [EP2608Y] - BSA and Azide free

Key facts

Host species

Rabbit

Clonality

Monoclonal

Clone number

EP2608Y

Isotype

IgG

Carrier free

No

Reacts with

Mouse, Rat, Human

Applications

IHC-P, WB, Dot

applications

Immunogen

The exact immunogen used to generate this antibody is proprietary information.

Reactivity data

{ "title": "Reactivity Data", "filters": { "stats": ["", "Species", "Dilution Info", "Notes"], "tabs": { "all-applications": {"fullname" : "All Applications", "shortname": "All Applications"}, "IHCP" : {"fullname" : "Immunohistochemistry (Formalin/PFA-fixed paraffin-embedded sections)", "shortname":"IHC-P"}, "Dot" : {"fullname" : "Dot Blot", "shortname":"Dot"}, "WB" : {"fullname" : "Western blot", "shortname":"WB"}, "ICCIF" : {"fullname" : "Immunocytochemistry/ Immunofluorescence", "shortname":"ICC/IF"}, "FlowCyt" : {"fullname" : "Flow Cytometry", "shortname":"Flow Cyt"} }, "product-promise": { "all": "all", "testedAndGuaranteed": "tested", "guaranteed": "expected", "predicted": "predicted", "notRecommended": "not-recommended" } }, "values": { "Human": { "IHCP-species-checked": "testedAndGuaranteed", "IHCP-species-dilution-info": "1/10000", "IHCP-species-notes": "<p></p>", "Dot-species-checked": "guaranteed", "Dot-species-dilution-info": "", "Dot-species-notes": "", "WB-species-checked": "testedAndGuaranteed", "WB-species-dilution-info": "1/10000", "WB-species-notes": "<p></p>", "ICCIF-species-checked": "notRecommended", "ICCIF-species-dilution-info": "", "ICCIF-species-notes": "<p></p>", "FlowCyt-species-checked": "notRecommended", "FlowCyt-species-dilution-info": "", "FlowCyt-species-notes": "<p></p>" }, "Mouse": { "IHCP-species-checked": "testedAndGuaranteed", "IHCP-species-dilution-info": "1/10090", "IHCP-species-notes": "<p></p>", "Dot-species-checked": "guaranteed", "Dot-species-dilution-info": "", "Dot-species-notes": "", "WB-species-checked": "testedAndGuaranteed", "WB-species-dilution-info": "1/10000", "WB-species-notes": "<p></p>", "ICCIF-species-checked": "notRecommended", "ICCIF-species-dilution-info": "", "ICCIF-species-notes": "", "FlowCyt-species-checked": "notRecommended", "FlowCyt-species-dilution-info": "", "FlowCyt-species-notes": "" }, "Rat": { "IHCP-species-checked": "testedAndGuaranteed", "IHCP-species-dilution-info": "1/10000", "IHCP-species-notes": "<p></p>", "Dot-species-checked": "guaranteed", "Dot-species-dilution-info": "", "Dot-species-notes": "", "WB-species-checked": "testedAndGuaranteed", "WB-species-dilution-info": "1/10000", "WB-species-notes": "<p></p>", "ICCIF-species-checked": "notRecommended", "ICCIF-species-dilution-info": "", "ICCIF-species-notes": "", "FlowCyt-species-checked": "notRecommended", "FlowCyt-species-dilution-info": "", "FlowCyt-species-notes": "" }, "Synthetic peptide": { "IHCP-species-checked": "notRecommended", "IHCP-species-dilution-info": "", "IHCP-species-notes": "", "Dot-species-checked": "testedAndGuaranteed", "Dot-species-dilution-info": "1/1000", "Dot-species-notes": "<p></p>", "WB-species-checked": "notRecommended", "WB-species-dilution-info": "", "WB-species-notes": "", "ICCIF-species-checked": "notRecommended", "ICCIF-species-dilution-info": "", "ICCIF-species-notes": "", "FlowCyt-species-checked": "notRecommended", "FlowCyt-species-dilution-info": "", "FlowCyt-species-notes": "" } } }

Product details

This product has switched from a hybridoma to recombinant production method on 2nd August 2023.

Patented technology
Our RabMAb® technology is a patented hybridoma-based technology for making rabbit monoclonal antibodies. For details on our patents, please refer to RabMAb® patents.

What are the advantages of a recombinant monoclonal antibody?
This product is a recombinant monoclonal antibody, which offers several advantages including:

  • - High batch-to-batch consistency and reproducibility
  • - Improved sensitivity and specificity
  • - Long-term security of supply
  • - Animal-free batch production

For more information, read more on recombinant antibodies.

Properties and storage information

Form
Liquid
Purification technique
Affinity purification Protein A
Storage buffer
pH: 7.2 - 7.4 Preservative: 0.01% Sodium azide Constituents: PBS, 40% Glycerol (glycerin, glycerine), 0.05% BSA
Shipped at conditions
Blue Ice
Appropriate short-term storage conditions
+4°C
Appropriate long-term storage conditions
-20°C
Storage information
Stable for 12 months at -20°C

Supplementary information

This supplementary information is collated from multiple sources and compiled automatically.

PKC alpha known as Protein Kinase C alpha is a serine/threonine-specific protein kinase involved in various cellular processes. The molecular mass of PKC alpha is approximately 80 kDa. Alternately called PKCA or PRKC alpha it is expressed in many tissues with high expression in the brain heart and lungs. PKC alpha plays a role in signal transduction by phosphorylating serine and threonine residues on target proteins.
Biological function summary

PKC alpha regulates cellular functions including proliferation differentiation and apoptosis. It often acts as part of a larger protein complex modulating various biological responses by interacting with substrates and co-factors. Its activity is dependent on calcium ions and diacylglycerol emphasizing its role in calcium and lipid signaling pathways.

Pathways

PKC alpha plays a vital role in the MAPK/ERK pathway and the PI3K/AKT pathway which are critical for the cellular stress response and growth regulation. PKC alpha interacts with several proteins in these pathways including RAF1 and AKT1 facilitating signal transmission that influences cell fate decisions.

PKC alpha has been implicated in cancer and cardiac hypertrophy. In cancers aberrant PKC alpha signaling is linked to increased cell proliferation and survival. In cardiac hypertrophy it is associated with abnormal heart growth due to impaired signaling involving AKT1 and GSK3B. These connections highlight PKC alpha's influence in pathological as well as physiological conditions.

Product protocols

For this product, it's our understanding that no specific protocols are required. You can visit:

Target data

Calcium-activated, phospholipid- and diacylglycerol (DAG)-dependent serine/threonine-protein kinase that is involved in positive and negative regulation of cell proliferation, apoptosis, differentiation, migration and adhesion, tumorigenesis, cardiac hypertrophy, angiogenesis, platelet function and inflammation, by directly phosphorylating targets such as RAF1, BCL2, CSPG4, TNNT2/CTNT, or activating signaling cascade involving MAPK1/3 (ERK1/2) and RAP1GAP. Involved in cell proliferation and cell growth arrest by positive and negative regulation of the cell cycle. Can promote cell growth by phosphorylating and activating RAF1, which mediates the activation of the MAPK/ERK signaling cascade, and/or by up-regulating CDKN1A, which facilitates active cyclin-dependent kinase (CDK) complex formation in glioma cells. In intestinal cells stimulated by the phorbol ester PMA, can trigger a cell cycle arrest program which is associated with the accumulation of the hyper-phosphorylated growth-suppressive form of RB1 and induction of the CDK inhibitors CDKN1A and CDKN1B. Exhibits anti-apoptotic function in glioma cells and protects them from apoptosis by suppressing the p53/TP53-mediated activation of IGFBP3, and in leukemia cells mediates anti-apoptotic action by phosphorylating BCL2. During macrophage differentiation induced by macrophage colony-stimulating factor (CSF1), is translocated to the nucleus and is associated with macrophage development. After wounding, translocates from focal contacts to lamellipodia and participates in the modulation of desmosomal adhesion. Plays a role in cell motility by phosphorylating CSPG4, which induces association of CSPG4 with extensive lamellipodia at the cell periphery and polarization of the cell accompanied by increases in cell motility. During chemokine-induced CD4(+) T cell migration, phosphorylates CDC42-guanine exchange factor DOCK8 resulting in its dissociation from LRCH1 and the activation of GTPase CDC42 (PubMed : 28028151). Is highly expressed in a number of cancer cells where it can act as a tumor promoter and is implicated in malignant phenotypes of several tumors such as gliomas and breast cancers. Negatively regulates myocardial contractility and positively regulates angiogenesis, platelet aggregation and thrombus formation in arteries. Mediates hypertrophic growth of neonatal cardiomyocytes, in part through a MAPK1/3 (ERK1/2)-dependent signaling pathway, and upon PMA treatment, is required to induce cardiomyocyte hypertrophy up to heart failure and death, by increasing protein synthesis, protein-DNA ratio and cell surface area. Regulates cardiomyocyte function by phosphorylating cardiac troponin T (TNNT2/CTNT), which induces significant reduction in actomyosin ATPase activity, myofilament calcium sensitivity and myocardial contractility. In angiogenesis, is required for full endothelial cell migration, adhesion to vitronectin (VTN), and vascular endothelial growth factor A (VEGFA)-dependent regulation of kinase activation and vascular tube formation. Involved in the stabilization of VEGFA mRNA at post-transcriptional level and mediates VEGFA-induced cell proliferation. In the regulation of calcium-induced platelet aggregation, mediates signals from the CD36/GP4 receptor for granule release, and activates the integrin heterodimer ITGA2B-ITGB3 through the RAP1GAP pathway for adhesion. During response to lipopolysaccharides (LPS), may regulate selective LPS-induced macrophage functions involved in host defense and inflammation. But in some inflammatory responses, may negatively regulate NF-kappa-B-induced genes, through IL1A-dependent induction of NF-kappa-B inhibitor alpha (NFKBIA/IKBA). Upon stimulation with 12-O-tetradecanoylphorbol-13-acetate (TPA), phosphorylates EIF4G1, which modulates EIF4G1 binding to MKNK1 and may be involved in the regulation of EIF4E phosphorylation. Phosphorylates KIT, leading to inhibition of KIT activity. Phosphorylates ATF2 which promotes cooperation between ATF2 and JUN, activating transcription. Phosphorylates SOCS2 at 'Ser-52' facilitating its ubiquitination and proteasomal degradation (By similarity). Phosphorylates KLHL3 in response to angiotensin II signaling, decreasing the interaction between KLHL3 and WNK4 (PubMed : 25313067). Phosphorylates and activates LRRK1, which phosphorylates RAB proteins involved in intracellular trafficking (PubMed : 36040231).
See full target information PRKCA phospho T497

Publications (23)

Recent publications for all applications. Explore the full list and refine your search

Advanced science (Weinheim, Baden-Wurttemberg, Germany) 12:e2410728 PubMed39661696

2024

Neuroligin 1 Regulates Autistic-Like Repetitive Behavior through Modulating the Activity of Striatal D2 Receptor-Expressing Medium Spiny Neurons.

Applications

Unspecified application

Species

Unspecified reactive species

Dandan Lv,An Liu,Ziyue Yi,Mingdao Mu,Miao Wu,Xingcan Li,Kun Cao,Ruining Liu,Zhengping Jia,Junhai Han,Wei Xie

Cell biology international 49:92-100 PubMed39400417

2024

Rotigaptide inhibits spontaneous contractions of gastric smooth muscle in diabetic rats via the PKCα-Cx43 pathway.

Applications

Unspecified application

Species

Unspecified reactive species

Lu Changri,Haibei Sun,Yitegele Bao,Mohan Zhang

Basic research in cardiology 119:853-868 PubMed39110173

2024

Deficiency of the sphingosine-1-phosphate (S1P) transporter Mfsd2b protects the heart against hypertension-induced cardiac remodeling by suppressing the L-type-Ca channel.

Applications

Unspecified application

Species

Unspecified reactive species

Dragos Andrei Duse,Nathalie Hannelore Schröder,Tanu Srivastava,Marcel Benkhoff,Jens Vogt,Melissa Kim Nowak,Florian Funk,Nina Semleit,Philipp Wollnitzke,Ralf Erkens,Sebastian Kötter,Sven Günther Meuth,Petra Keul,Webster Santos,Amin Polzin,Malte Kelm,Martina Krüger,Joachim Schmitt,Bodo Levkau

Antioxidants (Basel, Switzerland) 13: PubMed38247525

2024

C2CD4B Evokes Oxidative Stress and Vascular Dysfunction via a PI3K/Akt/PKCα-Signaling Pathway.

Applications

Unspecified application

Species

Unspecified reactive species

Paola Di Pietro,Angela Carmelita Abate,Valeria Prete,Antonio Damato,Eleonora Venturini,Maria Rosaria Rusciano,Carmine Izzo,Valeria Visco,Michele Ciccarelli,Carmine Vecchione,Albino Carrizzo

Scientific reports 13:13927 PubMed37626185

2023

PDI augments kainic acid-induced seizure activity and neuronal death by inhibiting PP2A-GluA2-PICK1-mediated AMPA receptor internalization in the mouse hippocampus.

Applications

Unspecified application

Species

Unspecified reactive species

Duk-Shin Lee,Tae-Hyun Kim,Hana Park,Ji-Eun Kim

Frontiers in endocrinology 13:1010092 PubMed36329884

2022

PKC-mediated phosphorylation and activation of the MEK/ERK pathway as a mechanism of acquired trastuzumab resistance in HER2-positive breast cancer.

Applications

Unspecified application

Species

Unspecified reactive species

Jeanesse Scerri,Christian Scerri,Felix Schäfer-Ruoff,Simon Fink,Markus Templin,Godfrey Grech

Frontiers in molecular biosciences 8:787008 PubMed35242811

2022

A Global Phosphorylation Atlas of Proteins Within Pathological Site of Rotator Cuff Tendinopathy.

Applications

Unspecified application

Species

Unspecified reactive species

Yezhou Wang,Jiawei Zhang,Yuan Lin,Shi Cheng,Duanyang Wang,Man Rao,Yuheng Jiang,Xiang Huang,Ruijing Chen,Yong Xie,Pengbin Yin,Biao Cheng

Physiological reports 10:e15177 PubMed35179826

2022

Cardiomyocyte stromal interaction molecule 1 is a key regulator of Ca -dependent kinase and phosphatase activity in the mouse heart.

Applications

Unspecified application

Species

Unspecified reactive species

Helen E Collins,Joshua C Anderson,Adam R Wende,John C Chatham

The Journal of clinical investigation 132: PubMed35104805

2022

Targeting the ASMase/S1P pathway protects from sortilin-evoked vascular damage in hypertension.

Applications

Unspecified application

Species

Unspecified reactive species

Paola Di Pietro,Albino Carrizzo,Eduardo Sommella,Marco Oliveti,Licia Iacoviello,Augusto Di Castelnuovo,Fausto Acernese,Antonio Damato,Massimiliano De Lucia,Fabrizio Merciai,Paola Iesu,Eleonora Venturini,Raffaele Izzo,Valentina Trimarco,Michele Ciccarelli,Giuseppe Giugliano,Roberto Carnevale,Vittoria Cammisotto,Serena Migliarino,Nicola Virtuoso,Andrea Strianese,Viviana Izzo,Pietro Campiglia,Elena Ciaglia,Bodo Levkau,Annibale A Puca,Carmine Vecchione

Biomedicines 9: PubMed33919872

2021

Inhibition of AKT/GSK3β/CREB Pathway Improves the Responsiveness to AMPA Receptor Antagonists by Regulating GRIA1 Surface Expression in Chronic Epilepsy Rats.

Applications

Unspecified application

Species

Unspecified reactive species

Ji-Eun Kim,Duk-Shin Lee,Hana Park,Tae-Hyun Kim,Tae-Cheon Kang
View all publications

Product promise

We are committed to supporting your work with high-quality reagents, and we're here for you every step of the way. In the unlikely event that one of our products does not perform as expected, you're protected by our Product Promise.
For full details, please see our Terms & Conditions

Please note: All products are 'FOR RESEARCH USE ONLY. NOT FOR USE IN DIAGNOSTIC OR THERAPEUTIC PROCEDURES'.

For licensing inquiries, please contact partnerships@abcam.com