JavaScript is disabled in your browser. Please enable JavaScript to view this website.
AB250107

Anti-PKC antibody [EPR16794] - BSA and Azide free

Be the first to review this product! Submit a review

|

(0 Publication)

Rabbit Recombinant Monoclonal KPCB antibody. Carrier free. Suitable for ICC/IF, IP, WB, IHC-P and reacts with Human, Mouse, Rat, Recombinant full length protein - Human samples.

View Alternative Names

PKCB, PRKCB1, PRKCB, Protein kinase C beta type, PKC-B, PKC-beta

10 Images
Immunohistochemistry (Formalin/PFA-fixed paraffin-embedded sections) - Anti-PKC antibody [EPR16794] - BSA and Azide free (AB250107)
  • IHC-P

Supplier Data

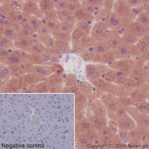
Immunohistochemistry (Formalin/PFA-fixed paraffin-embedded sections) - Anti-PKC antibody [EPR16794] - BSA and Azide free (AB250107)

This data was developed using ab179521, the same antibody clone in a different buffer formulation.

Immunohistochemical analysis of paraffin-embedded mouse liver tissue labeling PKC alpha+beta1+beta2 with ab179521 at 1/500 dilution, followed by Goat Anti-Rabbit IgG H&L (HRP) (ab97051) at 1/500 dilution. Cytoplasmic staining on mouse liver is observed. Counter stained with Hematoxylin.

Negative control : Used PBS instead of primary antibody, secondary antibody is Goat Anti-Rabbit IgG H&L (HRP) (ab97051) at 1/500 dilution.

Perform heat mediated antigen retrieval with Tris/EDTA buffer pH 9.0 before commencing with IHC staining protocol.

Western blot - Anti-PKC antibody [EPR16794] - BSA and Azide free (AB250107)
  • WB

Supplier Data

Western blot - Anti-PKC antibody [EPR16794] - BSA and Azide free (AB250107)

This data was developed using ab179521, the same antibody clone in a different buffer formulation.

Blocking and dilution buffer : 5% NFDM/TBST.

All lanes:

Western blot - Anti-PKC antibody [EPR16794] (<a href='/en-us/products/primary-antibodies/pkc-antibody-epr16794-ab179521'>ab179521</a>) at 1/5000 dilution

Lane 1:

Human fetal brain lysate at 20 µg

Lane 2:

Human fetal kidney lysate at 20 µg

Lane 3:

Jurkat (Human T cell leukemia cell line from peripheral blood) whole cell lysate at 20 µg

Lane 4:

SH-SY5Y (Human neuroblastoma cell line from bone marrow) whole cell lysate at 20 µg

Secondary

All lanes:

Anti-Rabbit IgG (HRP), specific to the non-reduced form of IgG at 1/1000 dilution

Predicted band size: 77 kDa

Observed band size: 78 kDa

false

Immunohistochemistry (Formalin/PFA-fixed paraffin-embedded sections) - Anti-PKC antibody [EPR16794] - BSA and Azide free (AB250107)
  • IHC-P

Supplier Data

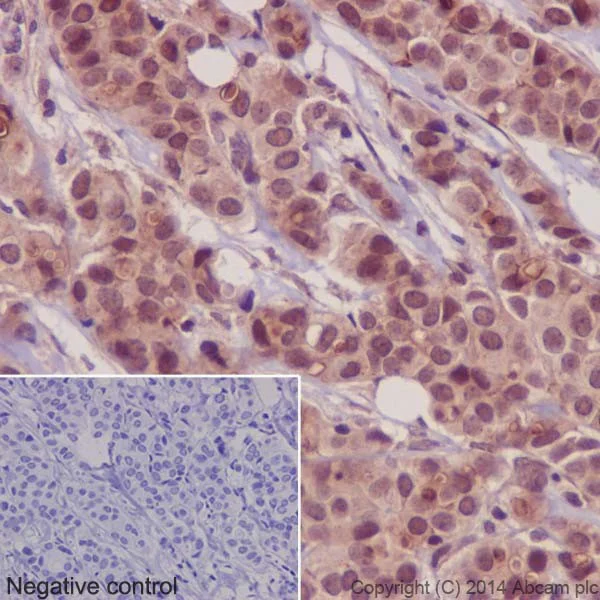
Immunohistochemistry (Formalin/PFA-fixed paraffin-embedded sections) - Anti-PKC antibody [EPR16794] - BSA and Azide free (AB250107)

This data was developed using ab179521, the same antibody clone in a different buffer formulation.

Immunohistochemical analysis of paraffin-embedded Human breast cancer tissue labeling PKC alpha+beta1+beta2 with ab179521 at 1/500 dilution, followed by Goat Anti-Rabbit IgG H&L (HRP) (ab97051) at 1/500 dilution. Nuclear and cytoplasmic staining on Human breast cancer is observed. Counter stained with Hematoxylin.

Negative control : Used PBS instead of primary antibody, secondary antibody is Goat Anti-Rabbit IgG H&L (HRP) (ab97051) at 1/500 dilution.

Perform heat mediated antigen retrieval with Tris/EDTA buffer pH 9.0 before commencing with IHC staining protocol.

Immunocytochemistry/ Immunofluorescence - Anti-PKC antibody [EPR16794] - BSA and Azide free (AB250107)
  • ICC/IF

Supplier Data

Immunocytochemistry/ Immunofluorescence - Anti-PKC antibody [EPR16794] - BSA and Azide free (AB250107)

This data was developed using ab179521, the same antibody clone in a different buffer formulation.

Immunofluorescent analysis of 4% paraformaldehyde-fixed, 0.1% Triton X-100 permeabilized HeLa (Human epithelial cell line from cervix adenocarcinoma) cells labeling PKC alpha+beta1+beta2 with ab179521 at 1/100 dilution, followed by Goat anti-rabbit IgG (Alexa Fluor® 488) (ab150077) secondary antibody at 1/500 dilution (green). Confocal image showing nuclear and cytoplasm staining on HeLa cell line. The nuclear counter stain is DAPI (blue). Tubulin is detected with ab7291 (anti-Tubulin mouse mAb) at 1/1000 dilution and ab150120 (AlexaFluor®594 Goat anti-Mouse secondary) at 1/500 dilution (red).

The negative controls are as follows :
-ve control 1 : ab179521 at 1/100 dilution followed by ab150120 (AlexaFluor®594 Goat anti-Mouse secondary) at 1/500 dilution.
-ve control 2 : ab7291 (anti-Tubulin mouse mAb) at 1/1000 dilution followed by ab150077 (Alexa Fluor®488 Goat Anti-Rabbit IgG H&L) at 1/500 dilution.

Immunohistochemistry (Formalin/PFA-fixed paraffin-embedded sections) - Anti-PKC antibody [EPR16794] - BSA and Azide free (AB250107)
  • IHC-P

Supplier Data

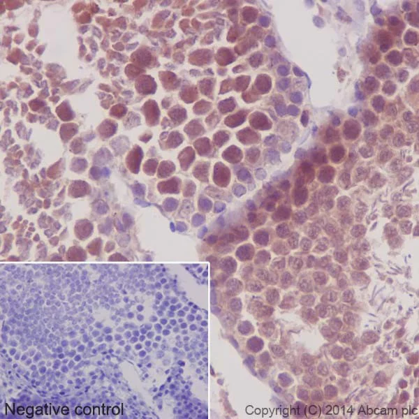
Immunohistochemistry (Formalin/PFA-fixed paraffin-embedded sections) - Anti-PKC antibody [EPR16794] - BSA and Azide free (AB250107)

This data was developed using ab179521, the same antibody clone in a different buffer formulation.

Immunohistochemical analysis of paraffin-embedded Rat testis tissue labeling PKC alpha+beta1+beta2 with ab179521 at 1/500 dilution, followed by Goat Anti-Rabbit IgG H&L (HRP) (ab97051) at 1/500 dilution. Nuclear and cytoplasmic staining on rat testis is observed. Counter stained with Hematoxylin.

Negative control : Used PBS instead of primary antibody, secondary antibody is Goat Anti-Rabbit IgG H&L (HRP) (ab97051) at 1/500 dilution.

Perform heat mediated antigen retrieval with Tris/EDTA buffer pH 9.0 before commencing with IHC staining protocol.

Immunoprecipitation - Anti-PKC antibody [EPR16794] - BSA and Azide free (AB250107)
  • IP

Supplier Data

Immunoprecipitation - Anti-PKC antibody [EPR16794] - BSA and Azide free (AB250107)

This data was developed using ab179521, the same antibody clone in a different buffer formulation.

PKC alpha+beta1+beta2 was immunoprecipitated from 1mg of Mouse brain whole cell lysate with ab179521 at 1/80 dilution. Western blot was performed from the immunoprecipitate using ab179521 at 1/1000 dilution. VeriBlot for IP Detection Reagent (HRP) (ab131366), was used for detection at 1/10000 dilution.
Lane 1 : Mouse brain whole cell lysate 10μg (Input).
Lane 2 : ab179521 IP in Mouse brain whole cell lysate.
Lane 3 : Rabbit monoclonal IgG (ab172730) instead of ab179521 in Mouse brain whole cell lysate.
Blocking and dilution buffer and concentration : 5% NFDM/TBST.
Exposure time : 1 second.

All lanes:

Immunoprecipitation - Anti-PKC antibody [EPR16794] (<a href='/en-us/products/primary-antibodies/pkc-antibody-epr16794-ab179521'>ab179521</a>)

Predicted band size: 77 kDa

false

Western blot - Anti-PKC antibody [EPR16794] - BSA and Azide free (AB250107)
  • WB

Unknown

Western blot - Anti-PKC antibody [EPR16794] - BSA and Azide free (AB250107)

This data was developed using ab179521, the same antibody clone in a different buffer formulation.

Recombinant PKC isoforms were tested for reactivity by western blot, and are marked as positive (+) or negative (-).

All lanes:

Western blot - Anti-PKC antibody [EPR16794] (<a href='/en-us/products/primary-antibodies/pkc-antibody-epr16794-ab179521'>ab179521</a>)

Predicted band size: 77 kDa

false

Western blot - Anti-PKC antibody [EPR16794] - BSA and Azide free (AB250107)
  • WB

Supplier Data

Western blot - Anti-PKC antibody [EPR16794] - BSA and Azide free (AB250107)

This data was developed using ab179521, the same antibody clone in a different buffer formulation.

Blocking and dilution buffer : 5% NFDM/TBST.

All lanes:

Western blot - Anti-PKC antibody [EPR16794] (<a href='/en-us/products/primary-antibodies/pkc-antibody-epr16794-ab179521'>ab179521</a>) at 1/5000 dilution

Lane 1:

L-929 (Mouse connective tissue fibroblast cell line) whole cell lysate at 10 µg

Lane 2:

Rat thymus lysate at 10 µg

Lane 3:

Mouse thymus lysate at 10 µg

Secondary

All lanes:

Goat Anti-Rabbit IgG, (H+L),Peroxidase conjugated at 1/1000 dilution

Predicted band size: 27 kDa,77 kDa

Observed band size: 27 kDa,78 kDa

false

Western blot - Anti-PKC antibody [EPR16794] - BSA and Azide free (AB250107)
  • WB

Supplier Data

Western blot - Anti-PKC antibody [EPR16794] - BSA and Azide free (AB250107)

This data was developed using ab179521, the same antibody clone in a different buffer formulation.

Blocking and dilution buffer : 5% NFDM/TBST.

Active human PKC alpha full length protein (ab55672) contains aa1-672 with GST-tag; Active human PKC beta 1 full length protein (ab60840) contains aa1-671 with GST-tag; Active human PKC beta 2 full length protein (ab60841) contains aa1-673 with GST-tag; Active human PKC gamma full length protein (ab60842) contains aa1-677 with GST-tag; Active human PKC delta full length protein (ab60844) contains aa1-676 with GST-tag; Active human PKC eta full length protein (ab60849) contains aa1-683 with GST-tag; Active human PKC epsilon full length protein (ab60847) contains aa1-737 with GST-tag; Active human PKC theta full length protein (ab56641) contains aa1-706 with GST-tag; Active human PKC mu full length protein (ab60873) contains aa1-912 with GST-tag.

All lanes:

Western blot - Anti-PKC antibody [EPR16794] (<a href='/en-us/products/primary-antibodies/pkc-antibody-epr16794-ab179521'>ab179521</a>) at 1/2000 dilution

Lane 1:

Active human PKC alpha full length protein at 0.02 µg

Lane 2:

Active human PKC beta 1 full length protein at 0.02 µg

Lane 3:

Active human PKC beta 2 full length protein at 0.02 µg

Lane 4:

Active human PKC gamma full length protein at 0.02 µg

Lane 5:

Active human PKC delta full length protein at 0.02 µg

Lane 6:

Active human PKC eta full length protein at 0.02 µg

Lane 7:

Active human PKC epsilon full length protein at 0.02 µg

Lane 8:

Active human PKC theta full length protein at 0.02 µg

Lane 9:

Active human PKC mu full length protein at 0.02 µg

Secondary

All lanes:

Western blot - Goat Anti-Rabbit IgG H&L (HRP) (<a href='/en-us/products/secondary-antibodies/goat-rabbit-igg-h-l-hrp-ab97051'>ab97051</a>) at 1/50000 dilution

Predicted band size: 77 kDa

false

Exposure time: 5s

Western blot - Anti-PKC antibody [EPR16794] - BSA and Azide free (AB250107)
  • WB

Supplier Data

Western blot - Anti-PKC antibody [EPR16794] - BSA and Azide free (AB250107)

This data was developed using ab179521, the same antibody clone in a different buffer formulation.

Blocking and dilution buffer : 5% NFDM/TBST.

Active human PKC gamma full length protein (ab60842) contains aa1-677 with GST-tag.

ab179521 weakly recognizes PKC gamma, and is only evident at long exposure times.

All lanes:

Western blot - Anti-PKC antibody [EPR16794] (<a href='/en-us/products/primary-antibodies/pkc-antibody-epr16794-ab179521'>ab179521</a>) at 1/2000 dilution

All lanes:

Active human PKC gamma full length protein at 0.02 µg

Secondary

All lanes:

Western blot - Goat Anti-Rabbit IgG H&L (HRP) (<a href='/en-us/products/secondary-antibodies/goat-rabbit-igg-h-l-hrp-ab97051'>ab97051</a>) at 1/50000 dilution

Predicted band size: 77 kDa

false

Exposure time: 3min

Key facts

Host species

Rabbit

Clonality

Monoclonal

Clone number

EPR16794

Isotype

IgG

Carrier free

Yes

Reacts with

Mouse, Rat, Human

Applications

IHC-P, IP, WB, ICC/IF

applications

Immunogen

The exact immunogen used to generate this antibody is proprietary information.

Reactivity data

{ "title": "Reactivity Data", "filters": { "stats": ["", "Species", "Dilution Info", "Notes"], "tabs": { "all-applications": {"fullname" : "All Applications", "shortname": "All Applications"}, "ICCIF" : {"fullname" : "Immunocytochemistry/ Immunofluorescence", "shortname":"ICC/IF"}, "IP" : {"fullname" : "Immunoprecipitation", "shortname":"IP"}, "WB" : {"fullname" : "Western blot", "shortname":"WB"}, "IHCP" : {"fullname" : "Immunohistochemistry (Formalin/PFA-fixed paraffin-embedded sections)", "shortname":"IHC-P"} }, "product-promise": { "all": "all", "testedAndGuaranteed": "tested", "guaranteed": "expected", "predicted": "predicted", "notRecommended": "not-recommended" } }, "values": { "Human": { "ICCIF-species-checked": "testedAndGuaranteed", "ICCIF-species-dilution-info": "", "ICCIF-species-notes": "<p></p> Perform heat-mediated antigen retrieval with Tris/EDTA buffer pH 9.0 before commencing with IHC staining protocol.", "IP-species-checked": "guaranteed", "IP-species-dilution-info": "", "IP-species-notes": "", "WB-species-checked": "testedAndGuaranteed", "WB-species-dilution-info": "", "WB-species-notes": "<p></p> Perform heat-mediated antigen retrieval with Tris/EDTA buffer pH 9.0 before commencing with IHC staining protocol.", "IHCP-species-checked": "testedAndGuaranteed", "IHCP-species-dilution-info": "", "IHCP-species-notes": "<p></p> Perform heat-mediated antigen retrieval with Tris/EDTA buffer pH 9.0 before commencing with IHC staining protocol." }, "Mouse": { "ICCIF-species-checked": "guaranteed", "ICCIF-species-dilution-info": "", "ICCIF-species-notes": "", "IP-species-checked": "testedAndGuaranteed", "IP-species-dilution-info": "", "IP-species-notes": "<p></p> Perform heat-mediated antigen retrieval with Tris/EDTA buffer pH 9.0 before commencing with IHC staining protocol.", "WB-species-checked": "testedAndGuaranteed", "WB-species-dilution-info": "", "WB-species-notes": "<p></p>", "IHCP-species-checked": "testedAndGuaranteed", "IHCP-species-dilution-info": "", "IHCP-species-notes": "<p></p> Perform heat-mediated antigen retrieval with Tris/EDTA buffer pH 9.0 before commencing with IHC staining protocol." }, "Rat": { "ICCIF-species-checked": "guaranteed", "ICCIF-species-dilution-info": "", "ICCIF-species-notes": "", "IP-species-checked": "guaranteed", "IP-species-dilution-info": "", "IP-species-notes": "", "WB-species-checked": "testedAndGuaranteed", "WB-species-dilution-info": "", "WB-species-notes": "<p></p>", "IHCP-species-checked": "testedAndGuaranteed", "IHCP-species-dilution-info": "", "IHCP-species-notes": "<p></p> Perform heat-mediated antigen retrieval with Tris/EDTA buffer pH 9.0 before commencing with IHC staining protocol." }, "Recombinant full length protein - Human": { "ICCIF-species-checked": "notRecommended", "ICCIF-species-dilution-info": "", "ICCIF-species-notes": "", "IP-species-checked": "notRecommended", "IP-species-dilution-info": "", "IP-species-notes": "", "WB-species-checked": "testedAndGuaranteed", "WB-species-dilution-info": "", "WB-species-notes": "<p></p>", "IHCP-species-checked": "notRecommended", "IHCP-species-dilution-info": "", "IHCP-species-notes": "" } } }

Product details

ab250107 is the carrier-free version of ab179521.

Recombinant PKC isoforms were tested for reactivity to ab179521 by western blot, and are marked as positive (+) or negative (-).

Patented technology
Our RabMAb® technology is a patented hybridoma-based technology for making rabbit monoclonal antibodies. For details on our patents, please refer to RabMAb® patents.

What are the advantages of a recombinant monoclonal antibody?
This product is a recombinant monoclonal antibody, which offers several advantages including:

  • - High batch-to-batch consistency and reproducibility
  • - Improved sensitivity and specificity
  • - Long-term security of supply
  • - Animal-free batch production

For more information, read more on recombinant antibodies.

Conjugation ready
Our carrier-free antibodies are typically supplied in a PBS-only formulation, purified and free of BSA, sodium azide and glycerol. This conjugation-ready format is designed for use with fluorochromes, metal isotopes, oligonucleotides, and enzymes, which makes them ideal for antibody labelling, functional and cell-based assays, flow-based assays (e.g. mass cytometry) and Multiplex Imaging applications.

Use our conjugation kits for antibody conjugates that are ready-to-use in as little as 20 minutes with 1 minute hands-on-time and 100% antibody recovery: available for fluorescent dyes, HRP, biotin and gold.

Compatibility
This product is compatible with the Maxpar® Antibody Labeling Kit from Fluidigm, without the need for antibody preparation. Maxpar® is a trademark of Fluidigm Canada Inc.

Properties and storage information

Form
Liquid
Purification technique
Affinity purification Protein A
Storage buffer
pH: 7.2 - 7.4 Constituents: PBS
Shipped at conditions
Blue Ice
Appropriate short-term storage conditions
+4°C
Appropriate long-term storage conditions
+4°C
Storage information
Do Not Freeze

Supplementary information

This supplementary information is collated from multiple sources and compiled automatically.

Protein kinase C (PKC) comprises a family of serine/threonine kinases with several isoforms such as PKC alpha beta and gamma among others. PKC enzymes play key roles in intracellular signaling particularly in mediating responses to growth factors hormones and other signals. PKC exhibits a molecular weight generally ranging around 77 to 97 kDa depending on the isoform. These enzymes show expression in many tissues but have high concentrations in the brain heart and lung. PKC activation often involves translocation to cellular membranes which is important for their signaling roles.
Biological function summary

PKC influences various cellular processes such as cell proliferation differentiation apoptosis and immune responses. It acts within larger protein complexes serving as a modulator of cellular functions. The activation of PKC leads to its association with different scaffolding proteins impacting a wide array of cell activities. PKC notably affects the function of other kinases and transcription factors demonstrating its integral role in managing cellular behavior and homeostasis.

Pathways

PKC participates in the phosphoinositide signaling pathway and the mitogen-activated protein kinase (MAPK) pathway. In these contexts PKC activation impacts proteins like Ras and Raf kinases which play roles in cellular growth and differentiation. By modulating these pathways PKC becomes an important component in signal transduction cascades influencing cell fate decisions. Understanding the interaction between PKC and these pathways helps in elucidating its role in maintaining normal cellular activities and responses to external stimuli.

PKC is linked to cancer and cardiovascular diseases. In cancer dysregulation of PKC activity often contributes to tumor growth and progression by altering pathways that control cell division and survival. PKC abnormally interacts with proteins like Bcl-2 promoting cell survival. In cardiovascular diseases changes in PKC signaling can impact heart function contributing to conditions like heart failure through interactions with proteins such as troponin. Research on PKC and these diseases can provide insights into developing targeted therapies.

Product protocols

For this product, it's our understanding that no specific protocols are required. You can visit:

Target data

Calcium-activated, phospholipid- and diacylglycerol (DAG)-dependent serine/threonine-protein kinase involved in various cellular processes such as regulation of the B-cell receptor (BCR) signalosome, oxidative stress-induced apoptosis, androgen receptor-dependent transcription regulation, insulin signaling and endothelial cells proliferation. Plays a key role in B-cell activation by regulating BCR-induced NF-kappa-B activation. Mediates the activation of the canonical NF-kappa-B pathway (NFKB1) by direct phosphorylation of CARD11/CARMA1 at 'Ser-559', 'Ser-644' and 'Ser-652'. Phosphorylation induces CARD11/CARMA1 association with lipid rafts and recruitment of the BCL10-MALT1 complex as well as MAP3K7/TAK1, which then activates IKK complex, resulting in nuclear translocation and activation of NFKB1. Plays a direct role in the negative feedback regulation of the BCR signaling, by down-modulating BTK function via direct phosphorylation of BTK at 'Ser-180', which results in the alteration of BTK plasma membrane localization and in turn inhibition of BTK activity (PubMed : 11598012). Involved in apoptosis following oxidative damage : in case of oxidative conditions, specifically phosphorylates 'Ser-36' of isoform p66Shc of SHC1, leading to mitochondrial accumulation of p66Shc, where p66Shc acts as a reactive oxygen species producer. Acts as a coactivator of androgen receptor (AR)-dependent transcription, by being recruited to AR target genes and specifically mediating phosphorylation of 'Thr-6' of histone H3 (H3T6ph), a specific tag for epigenetic transcriptional activation that prevents demethylation of histone H3 'Lys-4' (H3K4me) by LSD1/KDM1A (PubMed : 20228790). In insulin signaling, may function downstream of IRS1 in muscle cells and mediate insulin-dependent DNA synthesis through the RAF1-MAPK/ERK signaling cascade. Participates in the regulation of glucose transport in adipocytes by negatively modulating the insulin-stimulated translocation of the glucose transporter SLC2A4/GLUT4. Phosphorylates SLC2A1/GLUT1, promoting glucose uptake by SLC2A1/GLUT1 (PubMed : 25982116). Under high glucose in pancreatic beta-cells, is probably involved in the inhibition of the insulin gene transcription, via regulation of MYC expression. In endothelial cells, activation of PRKCB induces increased phosphorylation of RB1, increased VEGFA-induced cell proliferation, and inhibits PI3K/AKT-dependent nitric oxide synthase (NOS3/eNOS) regulation by insulin, which causes endothelial dysfunction. Also involved in triglyceride homeostasis (By similarity). Phosphorylates ATF2 which promotes cooperation between ATF2 and JUN, activating transcription (PubMed : 19176525). Phosphorylates KLHL3 in response to angiotensin II signaling, decreasing the interaction between KLHL3 and WNK4 (PubMed : 25313067). Phosphorylates and activates LRRK1, which phosphorylates RAB proteins involved in intracellular trafficking (PubMed : 36040231).
See full target information PRKCB

Product promise

We are committed to supporting your work with high-quality reagents, and we're here for you every step of the way. In the unlikely event that one of our products does not perform as expected, you're protected by our Product Promise.
For full details, please see our Terms & Conditions

Please note: All products are 'FOR RESEARCH USE ONLY. NOT FOR USE IN DIAGNOSTIC OR THERAPEUTIC PROCEDURES'.

For licensing inquiries, please contact partnerships@abcam.com