JavaScript is disabled in your browser. Please enable JavaScript to view this website.
AB179522

Anti-PKC antibody [EPR16898]

Be the first to review this product! Submit a review

|

(10 Publications)

Rabbit Recombinant Monoclonal KPCB antibody. Suitable for IP, WB, ICC/IF, Flow Cyt (Intra) and reacts with Rat, Mouse, Human, Recombinant full length protein - Human samples. Cited in 10 publications.

View Alternative Names

PKCB, PRKCB1, PRKCB, Protein kinase C beta type, PKC-B, PKC-beta

11 Images
Immunocytochemistry/ Immunofluorescence - Anti-PKC antibody [EPR16898] (AB179522)
  • ICC/IF

Supplier Data

Immunocytochemistry/ Immunofluorescence - Anti-PKC antibody [EPR16898] (AB179522)

Immunofluorescent analysis of 4% paraformaldehyde-fixed, 0.1% Triton X-100 permeabilized K562 (Human chronic myelogenous leukemia cells from bone marrow) cells labeling PKC alpha + beta + gamma with ab179522 at 1/200 dilution, followed by Goat anti-rabbit IAlexa Fluor® 488 (IgG) (ab150077) secondary antibody at 1/400 dilution (green). Confocal image shows cytoplasmic staining on K562 cell line. The nuclear counterstain is DAPI (blue). Tubulin is detected with ab7291 (anti-Tubulin mouse mAb) at 1/500 dilution and ab150120 (goat anti-mouse AlexaFluor®594 secondary antibody) at 1/500 dilution (red).

The negative controls are as follows : -ve control 1 : ab179522 at 1/200 dilution followed by ab150120 (AlexaFluor®594 Goat anti-Mouse secondary) at 1/500 dilution.-ve control 2 : ab7291 (anti-Tubulin mouse mAb) at 1/500 dilution followed by ab150077 (Alexa Fluor®488 Goat Anti-Rabbit IgG H&L) at 1/400 dilution.

Flow Cytometry (Intracellular) - Anti-PKC antibody [EPR16898] (AB179522)
  • Flow Cyt (Intra)

Supplier Data

Flow Cytometry (Intracellular) - Anti-PKC antibody [EPR16898] (AB179522)

Intracellular flow cytometric analysis of2% paraformaldehyde-fixed NIH/3T3 (Mouse embyro fibroblast cells) cells labeling PKC alpha + beta + gamma with ab179522 at 1/360 dilution (red) compared with a rabbit monoclonal IgG isotype control (black) and an unlabelled control (cells without incubation with primary antibody and secondary antibody; blue). Goat anti rabbit IgG (FITC) at 1/150 dilution was used as the secondary antibody.

Immunoprecipitation - Anti-PKC antibody [EPR16898] (AB179522)
  • IP

Supplier Data

Immunoprecipitation - Anti-PKC antibody [EPR16898] (AB179522)

PKC alpha + beta + gamma was immunoprecipitated from 1mg of Rat brain extract with ab179522 at 1/100 dilution. Western blot was performed from the immunoprecipitate using ab179522 at 1/1000 dilution. Goat Anti-Rabbit IgG, (H+L), Peroxidase conjugated antibody was used as secondary antibody at 1/1000 dilution.

Blocking and dilution buffer and concentration : 5% NFDM/TBST.

All lanes:

Immunoprecipitation - Anti-PKC antibody [EPR16898] (ab179522)

Predicted band size: 77 kDa

false

Western blot - Anti-PKC antibody [EPR16898] (AB179522)
  • WB

Lab

Western blot - Anti-PKC antibody [EPR16898] (AB179522)

Active human PKC zeta full length protein (Catalog# ab60848) contains aa1-592 with GST-tag; Active human PKC iota full length protein (Catalog#ab60850) contains aa1-596 with GST-tag.

Blocking/Diluting buffer 5% NFDM/TBST

All lanes:

Western blot - Anti-PKC antibody [EPR16898] (ab179522) at 1/2000 dilution

Lane 1:

Active human PKC zeta full length protein at 0.02 µg

Lane 2:

Active human PKC iota full length protein at 0.02 µg

Secondary

All lanes:

Western blot - Goat Anti-Rabbit IgG H&L (HRP) (<a href='/en-us/products/secondary-antibodies/goat-rabbit-igg-h-l-hrp-ab97051'>ab97051</a>) at 1/50000 dilution

false

Exposure time: 3min

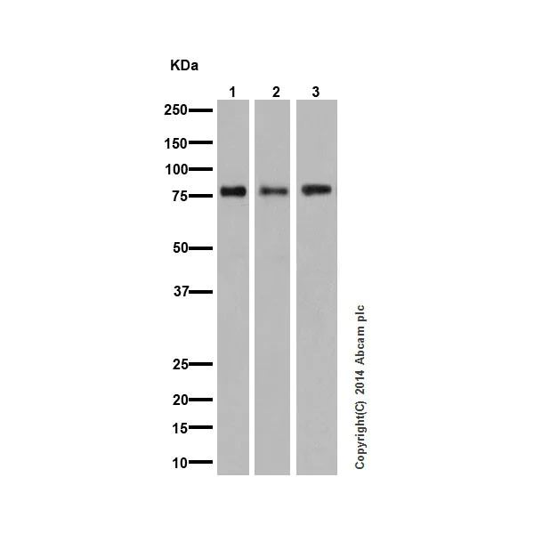
Western blot - Anti-PKC antibody [EPR16898] (AB179522)
  • WB

Supplier Data

Western blot - Anti-PKC antibody [EPR16898] (AB179522)

Blocking/Dilution buffer : 5% NFDM/TBST.

All lanes:

Western blot - Anti-PKC antibody [EPR16898] (ab179522) at 1/1000 dilution

Lane 1:

Human fetal brain tissue lysate at 10 µg

Lane 2:

Human fetal heart tissue lysate at 10 µg

Lane 3:

Human fetal kidney tissue lysate at 10 µg

Secondary

All lanes:

Anti-Rabbit IgG (HRP), specific to the non-reduced form of IgG at 1/1000 dilution

Predicted band size: 77 kDa

Observed band size: 77 kDa

false

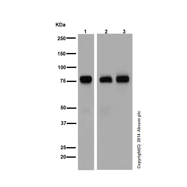
Western blot - Anti-PKC antibody [EPR16898] (AB179522)
  • WB

Supplier Data

Western blot - Anti-PKC antibody [EPR16898] (AB179522)

Blocking/Dilution buffer : 5% NFDM/TBST.

All lanes:

Western blot - Anti-PKC antibody [EPR16898] (ab179522) at 1/10000 dilution

Lane 1:

HeLa (Human epithelial cells from cervix adenocarcinoma) whole cell lysate at 20 µg

Lane 2:

293T (Human epithelial cells from embryonic kidney) whole cell lysate at 10 µg

Lane 3:

SH-SY5Y (Human neuroblastoma from bone marrow cells) whole cell lysate at 10 µg

Secondary

All lanes:

Goat Anti-Rabbit IgG, (H+L),Peroxidase conjugated at 1/1000 dilution

Predicted band size: 77 kDa

Observed band size: 77 kDa

false

Western blot - Anti-PKC antibody [EPR16898] (AB179522)
  • WB

Lab

Western blot - Anti-PKC antibody [EPR16898] (AB179522)

Active human PKC alpha full length protein (Catalog#ab55672) contains aa1-672 with GST-tag; Active human PKC beta 1 full length protein(Catalog#ab60840) contains aa1-671 with GST-tag; Active human PKC beta 2 full length protein(Catalog#ab60841) contains aa1-673 with GST-tag; Active human PKC gamma full length protein(Catalog#ab60842) contains aa1-677 with GST-tag; Active human PKC delta full length protein(Catalog#ab60844) contains aa1-676 with GST-tag; Active human PKC eta full length protein(Catalog#ab60849) contains aa1-683 with GST-tag; Active human PKC epsilon full length protein(Catalog#ab60847) contains aa1-737 with GST-tag; Active human PKC theta full length protein(Catalog#ab56641) contains aa1-706 with GST-tag; Active human PKC mu full length protein(Catalog#ab60873) contains aa1-912 with GST-tag.

Blocking/Diluting buffer 5% NFDM/TBST

All lanes:

Western blot - Anti-PKC antibody [EPR16898] (ab179522) at 1/2000 dilution

Lane 1:

Active human PKC alpha full length protein at 0.02 µg

Lane 2:

Active human PKC beta 1 full length protein at 0.02 µg

Lane 3:

Active human PKC beta 2 full length protein at 0.02 µg

Lane 4:

Active human PKC gamma full length protein at 0.02 µg

Lane 5:

Active human PKC delta full length protein at 0.02 µg

Lane 6:

Active human PKC eta full length protein at 0.02 µg

Lane 7:

Active human PKC epsilon full length protein at 0.02 µg

Lane 8:

Active human PKC theta full length protein at 0.02 µg

Lane 9:

Active human PKC mu full length protein at 0.02 µg

Secondary

All lanes:

Western blot - Goat Anti-Rabbit IgG H&L (HRP) (<a href='/en-us/products/secondary-antibodies/goat-rabbit-igg-h-l-hrp-ab97051'>ab97051</a>) at 1/50000 dilution

Predicted band size: 77 kDa

false

Exposure time: 2s

Western blot - Anti-PKC antibody [EPR16898] (AB179522)
  • WB

Supplier Data

Western blot - Anti-PKC antibody [EPR16898] (AB179522)

Blocking/Dilution buffer : 5% NFDM/TBST.

All lanes:

Western blot - Anti-PKC antibody [EPR16898] (ab179522) at 1/1000 dilution

Lane 1:

K562 (Human chronic myelogenous leukemia cells from bone marrow) whole cell lysate at 20 µg

Lane 2:

A431 (Human epidermoid carcinoma) whole cell lysate at 10 µg

Secondary

All lanes:

Goat Anti-Rabbit IgG, (H+L),Peroxidase conjugated at 1/1000 dilution

Predicted band size: 77 kDa

Observed band size: 77 kDa

false

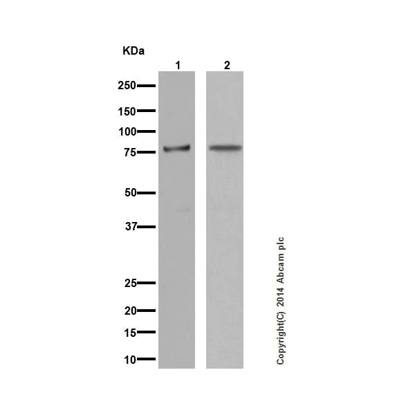
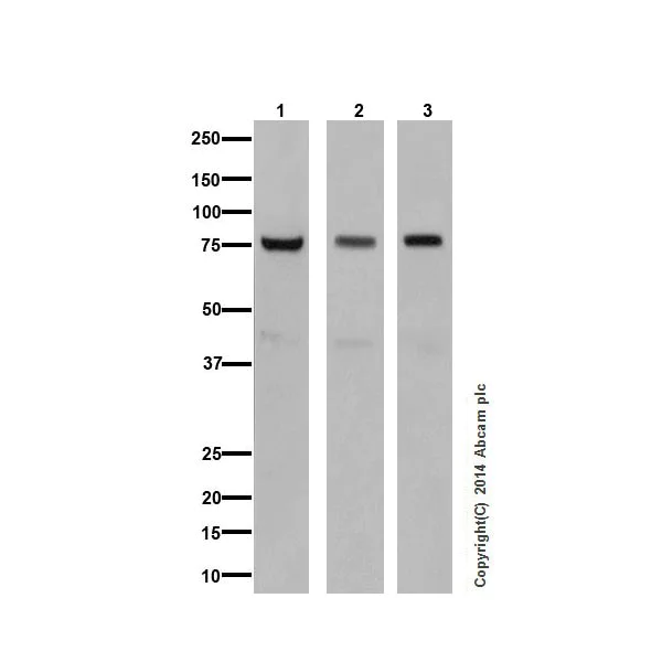
Western blot - Anti-PKC antibody [EPR16898] (AB179522)
  • WB

Supplier Data

Western blot - Anti-PKC antibody [EPR16898] (AB179522)

Blocking/Dilution buffer : 5% NFDM/TBST.

All lanes:

Western blot - Anti-PKC antibody [EPR16898] (ab179522) at 1/5000 dilution

Lane 1:

L6 (Rat skeletal muscle cell line) whole cell lysate at 10 µg

Lane 2:

Neuro-2a (Mouse neuroblastoma cells) whole cell lysate at 10 µg

Lane 3:

L-929 (Mouse connective tissue fibroblast cells) whole cell lysate at 10 µg

Secondary

All lanes:

Goat Anti-Rabbit IgG, (H+L), Peroxidase conjugated at 1/1000 dilution

Predicted band size: 77 kDa

Observed band size: 77 kDa

false

Western blot - Anti-PKC antibody [EPR16898] (AB179522)
  • WB

Supplier Data

Western blot - Anti-PKC antibody [EPR16898] (AB179522)

Blocking/Dilution buffer : 5% NFDM/TBST.

All lanes:

Western blot - Anti-PKC antibody [EPR16898] (ab179522) at 1/1000 dilution

All lanes:

Rat brain whole tissue lysate at 10 µg

Secondary

All lanes:

Goat Anti-Rabbit IgG, (H+L),Peroxidase conjugated at 1/1000 dilution

Predicted band size: 77 kDa

Observed band size: 77 kDa

false

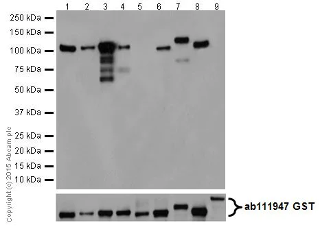
Western blot - Anti-PKC antibody [EPR16898] (AB179522)
  • WB

Unknown

Western blot - Anti-PKC antibody [EPR16898] (AB179522)

Recombinant PKC isoforms were tested for reactivity by western blot, and are marked as positive (+) or negative (-).

All lanes:

Western blot - Anti-PKC antibody [EPR16898] (ab179522)

false

  • Carrier free

    Anti-PKC antibody [EPR16898] - BSA and Azide free

Key facts

Host species

Rabbit

Clonality

Monoclonal

Clone number

EPR16898

Isotype

IgG

Carrier free

No

Reacts with

Mouse, Rat, Human

Applications

ICC/IF, WB, Flow Cyt (Intra), IP

applications

Immunogen

The exact immunogen used to generate this antibody is proprietary information.

Reactivity data

{ "title": "Reactivity Data", "filters": { "stats": ["", "Species", "Dilution Info", "Notes"], "tabs": { "all-applications": {"fullname" : "All Applications", "shortname": "All Applications"}, "IP" : {"fullname" : "Immunoprecipitation", "shortname":"IP"}, "WB" : {"fullname" : "Western blot", "shortname":"WB"}, "ICCIF" : {"fullname" : "Immunocytochemistry/ Immunofluorescence", "shortname":"ICC/IF"}, "FlowCytIntra" : {"fullname" : "Flow Cytometry (Intracellular)", "shortname":"Flow Cyt (Intra)"} }, "product-promise": { "all": "all", "testedAndGuaranteed": "tested", "guaranteed": "expected", "predicted": "predicted", "notRecommended": "not-recommended" } }, "values": { "Human": { "IP-species-checked": "guaranteed", "IP-species-dilution-info": "", "IP-species-notes": "", "WB-species-checked": "testedAndGuaranteed", "WB-species-dilution-info": "1/1000", "WB-species-notes": "<p></p>", "ICCIF-species-checked": "testedAndGuaranteed", "ICCIF-species-dilution-info": "1/200", "ICCIF-species-notes": "<p></p>", "FlowCytIntra-species-checked": "guaranteed", "FlowCytIntra-species-dilution-info": "", "FlowCytIntra-species-notes": "" }, "Mouse": { "IP-species-checked": "guaranteed", "IP-species-dilution-info": "", "IP-species-notes": "", "WB-species-checked": "testedAndGuaranteed", "WB-species-dilution-info": "1/1000", "WB-species-notes": "<p></p>", "ICCIF-species-checked": "guaranteed", "ICCIF-species-dilution-info": "", "ICCIF-species-notes": "", "FlowCytIntra-species-checked": "testedAndGuaranteed", "FlowCytIntra-species-dilution-info": "1/360", "FlowCytIntra-species-notes": "<p><a href='/en-us/products/primary-antibodies/rabbit-igg-monoclonal-epr25a-isotype-control-ab172730'>ab172730</a> - Rabbit monoclonal IgG, is suitable for use as an isotype control with this antibody.</p>" }, "Rat": { "IP-species-checked": "testedAndGuaranteed", "IP-species-dilution-info": "1/100", "IP-species-notes": "<p></p>", "WB-species-checked": "testedAndGuaranteed", "WB-species-dilution-info": "1/1000", "WB-species-notes": "<p></p>", "ICCIF-species-checked": "guaranteed", "ICCIF-species-dilution-info": "", "ICCIF-species-notes": "", "FlowCytIntra-species-checked": "guaranteed", "FlowCytIntra-species-dilution-info": "", "FlowCytIntra-species-notes": "" }, "Recombinant full length protein - Human": { "IP-species-checked": "notRecommended", "IP-species-dilution-info": "", "IP-species-notes": "", "WB-species-checked": "testedAndGuaranteed", "WB-species-dilution-info": "1/1000", "WB-species-notes": "<p></p>", "ICCIF-species-checked": "notRecommended", "ICCIF-species-dilution-info": "", "ICCIF-species-notes": "", "FlowCytIntra-species-checked": "notRecommended", "FlowCytIntra-species-dilution-info": "", "FlowCytIntra-species-notes": "" } } }

Product details

Patented technology
Our RabMAb® technology is a patented hybridoma-based technology for making rabbit monoclonal antibodies. For details on our patents, please refer to RabMAb® patents.

What are the advantages of a recombinant monoclonal antibody?
This product is a recombinant monoclonal antibody, which offers several advantages including:

  • - High batch-to-batch consistency and reproducibility
  • - Improved sensitivity and specificity
  • - Long-term security of supply
  • - Animal-free batch production

For more information, read more on recombinant antibodies.

Properties and storage information

Form
Liquid
Purification technique
Affinity purification Protein A
Storage buffer
Preservative: 0.01% Sodium azide Constituents: PBS, 40% Glycerol (glycerin, glycerine), 0.05% BSA
Shipped at conditions
Blue Ice
Appropriate short-term storage duration
1-2 weeks
Appropriate short-term storage conditions
+4°C
Appropriate long-term storage conditions
-20°C
Aliquoting information
Upon delivery aliquot
Storage information
Avoid freeze / thaw cycle

Supplementary information

This supplementary information is collated from multiple sources and compiled automatically.

Protein kinase C (PKC) comprises a family of serine/threonine kinases with several isoforms such as PKC alpha beta and gamma among others. PKC enzymes play key roles in intracellular signaling particularly in mediating responses to growth factors hormones and other signals. PKC exhibits a molecular weight generally ranging around 77 to 97 kDa depending on the isoform. These enzymes show expression in many tissues but have high concentrations in the brain heart and lung. PKC activation often involves translocation to cellular membranes which is important for their signaling roles.
Biological function summary

PKC influences various cellular processes such as cell proliferation differentiation apoptosis and immune responses. It acts within larger protein complexes serving as a modulator of cellular functions. The activation of PKC leads to its association with different scaffolding proteins impacting a wide array of cell activities. PKC notably affects the function of other kinases and transcription factors demonstrating its integral role in managing cellular behavior and homeostasis.

Pathways

PKC participates in the phosphoinositide signaling pathway and the mitogen-activated protein kinase (MAPK) pathway. In these contexts PKC activation impacts proteins like Ras and Raf kinases which play roles in cellular growth and differentiation. By modulating these pathways PKC becomes an important component in signal transduction cascades influencing cell fate decisions. Understanding the interaction between PKC and these pathways helps in elucidating its role in maintaining normal cellular activities and responses to external stimuli.

PKC is linked to cancer and cardiovascular diseases. In cancer dysregulation of PKC activity often contributes to tumor growth and progression by altering pathways that control cell division and survival. PKC abnormally interacts with proteins like Bcl-2 promoting cell survival. In cardiovascular diseases changes in PKC signaling can impact heart function contributing to conditions like heart failure through interactions with proteins such as troponin. Research on PKC and these diseases can provide insights into developing targeted therapies.

Product protocols

For this product, it's our understanding that no specific protocols are required. You can visit:

Target data

Calcium-activated, phospholipid- and diacylglycerol (DAG)-dependent serine/threonine-protein kinase involved in various cellular processes such as regulation of the B-cell receptor (BCR) signalosome, oxidative stress-induced apoptosis, androgen receptor-dependent transcription regulation, insulin signaling and endothelial cells proliferation. Plays a key role in B-cell activation by regulating BCR-induced NF-kappa-B activation. Mediates the activation of the canonical NF-kappa-B pathway (NFKB1) by direct phosphorylation of CARD11/CARMA1 at 'Ser-559', 'Ser-644' and 'Ser-652'. Phosphorylation induces CARD11/CARMA1 association with lipid rafts and recruitment of the BCL10-MALT1 complex as well as MAP3K7/TAK1, which then activates IKK complex, resulting in nuclear translocation and activation of NFKB1. Plays a direct role in the negative feedback regulation of the BCR signaling, by down-modulating BTK function via direct phosphorylation of BTK at 'Ser-180', which results in the alteration of BTK plasma membrane localization and in turn inhibition of BTK activity (PubMed : 11598012). Involved in apoptosis following oxidative damage : in case of oxidative conditions, specifically phosphorylates 'Ser-36' of isoform p66Shc of SHC1, leading to mitochondrial accumulation of p66Shc, where p66Shc acts as a reactive oxygen species producer. Acts as a coactivator of androgen receptor (AR)-dependent transcription, by being recruited to AR target genes and specifically mediating phosphorylation of 'Thr-6' of histone H3 (H3T6ph), a specific tag for epigenetic transcriptional activation that prevents demethylation of histone H3 'Lys-4' (H3K4me) by LSD1/KDM1A (PubMed : 20228790). In insulin signaling, may function downstream of IRS1 in muscle cells and mediate insulin-dependent DNA synthesis through the RAF1-MAPK/ERK signaling cascade. Participates in the regulation of glucose transport in adipocytes by negatively modulating the insulin-stimulated translocation of the glucose transporter SLC2A4/GLUT4. Phosphorylates SLC2A1/GLUT1, promoting glucose uptake by SLC2A1/GLUT1 (PubMed : 25982116). Under high glucose in pancreatic beta-cells, is probably involved in the inhibition of the insulin gene transcription, via regulation of MYC expression. In endothelial cells, activation of PRKCB induces increased phosphorylation of RB1, increased VEGFA-induced cell proliferation, and inhibits PI3K/AKT-dependent nitric oxide synthase (NOS3/eNOS) regulation by insulin, which causes endothelial dysfunction. Also involved in triglyceride homeostasis (By similarity). Phosphorylates ATF2 which promotes cooperation between ATF2 and JUN, activating transcription (PubMed : 19176525). Phosphorylates KLHL3 in response to angiotensin II signaling, decreasing the interaction between KLHL3 and WNK4 (PubMed : 25313067). Phosphorylates and activates LRRK1, which phosphorylates RAB proteins involved in intracellular trafficking (PubMed : 36040231).
See full target information PRKCB

Additional targets

PRKCG,PRKCA

Publications (10)

Recent publications for all applications. Explore the full list and refine your search

Nature communications 13:3301 PubMed35676256

2022

Targeting parvalbumin promotes M2 macrophage polarization and energy expenditure in mice.

Applications

Unspecified application

Species

Unspecified reactive species

Shaojian Lin,Anke Zhang,Ling Yuan,Yufan Wang,Chuan Zhang,Junkun Jiang,Houshi Xu,Huiwen Yuan,Hui Yao,Qianying Zhang,Yong Zhang,Meiqing Lou,Ping Wang,Zhen-Ning Zhang,Bing Luan

Theranostics 11:9089-9106 PubMed34522228

2021

Monoethanolamine-induced glucose deprivation promotes apoptosis through metabolic rewiring in prostate cancer.

Applications

Unspecified application

Species

Unspecified reactive species

Chakravarthy Garlapati,Shriya Joshi,Ravi Chakra Turaga,Manjari Mishra,Michelle D Reid,Shobhna Kapoor,Liana Artinian,Vincent Rehder,Ritu Aneja

Journal of biochemical and molecular toxicology 34:e22493 PubMed32319158

2020

Bilobalide assuages morphine-induced addiction in hippocampal neuron cells through upregulation of microRNA-101.

Applications

Unspecified application

Species

Unspecified reactive species

Yan Zhang,Hongyin Zhai

General and comparative endocrinology 288:113371 PubMed31857076

2019

Neuromedin B regulates steroidogenesis, cell viability and apoptosis in rabbit Leydig cells.

Applications

Unspecified application

Species

Unspecified reactive species

Zhiyu Ma,Junpei Guo,Ying Zhang,Youwen Zhang,Miao Zhang,Rongling Zong,Fenglei Chen,Jinlong Zhang

American journal of physiology. Renal physiology 318:F457-F467 PubMed31760768

2019

Nitro-oleic acid inhibits the high glucose-induced epithelial-mesenchymal transition in peritoneal mesothelial cells and attenuates peritoneal fibrosis.

Applications

Unspecified application

Species

Unspecified reactive species

Wenyan Su,Haiping Wang,ZiYan Feng,Jing Sun

Diabetes, metabolic syndrome and obesity : targets 12:2289-2302 PubMed31807042

2019

Essential Role Of High Glucose-Induced Overexpression Of PKCβ And PKCδ In GLP-1 Resistance In Rodent Cardiomyocytes.

Applications

Unspecified application

Species

Unspecified reactive species

Xietian Pan,Jiangwei Chen,Tingting Wang,Mingming Zhang,Haichang Wang,Haokao Gao

Biochemistry and biophysics reports 13:99-108 PubMed29556564

2018

The role of the ShcD and RET interaction in neuroblastoma survival and migration.

Applications

Unspecified application

Species

Unspecified reactive species

Zeanap A Mabruk,Samrein B M Ahmed,Asha Caroline Thomas,Sally A Prigent

Oncotarget 8:88630-88644 PubMed29179463

2017

Olaquindox disrupts tight junction integrity and cytoskeleton architecture in mouse Sertoli cells.

Applications

WB

Species

Mouse

Di Wu,Chun-Jie Huang,Xiao-Fei Jiao,Zhi-Ming Ding,Jia-Yu Zhang,Fan Chen,Yong-Sheng Wang,Xiang Li,Li-Jun Huo

Cell death & disease 7:e2487 PubMed27882945

2016

Adiponectin reduces ER stress-induced apoptosis through PPARα transcriptional regulation of ATF2 in mouse adipose.

Applications

WB

Species

Mouse

Zhenjiang Liu,Lu Gan,Tianjiao Wu,Fei Feng,Dan Luo,Huihui Gu,Shimin Liu,Chao Sun

The Journal of neuroscience : the official journal of the Society for Neuroscience 36:6393-402 PubMed27307229

2016

Calcium-Dependent Protein Kinase C Is Not Required for Post-Tetanic Potentiation at the Hippocampal CA3 to CA1 Synapse.

Applications

Unspecified application

Species

Unspecified reactive species

Chih-Chieh Wang,Christopher Weyrer,Mounica Paturu,Diasynou Fioravante,Wade G Regehr
View all publications

Product promise

We are committed to supporting your work with high-quality reagents, and we're here for you every step of the way. In the unlikely event that one of our products does not perform as expected, you're protected by our Product Promise.
For full details, please see our Terms & Conditions

Please note: All products are 'FOR RESEARCH USE ONLY. NOT FOR USE IN DIAGNOSTIC OR THERAPEUTIC PROCEDURES'.

For licensing inquiries, please contact partnerships@abcam.com