JavaScript is disabled in your browser. Please enable JavaScript to view this website.
AB250508

Anti-PKC antibody [EPR17368] - BSA and Azide free

Be the first to review this product! Submit a review

|

(0 Publication)

Rabbit Recombinant Monoclonal KPCZ antibody. Carrier free. Suitable for ICC/IF, IP, WB, Flow Cyt (Intra), IHC-P and reacts with Human, Mouse, Rat, Recombinant full length protein - Human samples.

View Alternative Names

PKC2, PRKCZ, Protein kinase C zeta type, nPKC-zeta

14 Images
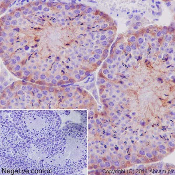
Immunohistochemistry (Formalin/PFA-fixed paraffin-embedded sections) - Anti-PKC antibody [EPR17368] - BSA and Azide free (AB250508)
  • IHC-P

Supplier Data

Immunohistochemistry (Formalin/PFA-fixed paraffin-embedded sections) - Anti-PKC antibody [EPR17368] - BSA and Azide free (AB250508)

This data was developed using ab181558, the same antibody clone in a different buffer formulation.

Immunohistochemical analysis of paraffin-embedded Mouse testis tissue labeling PKC (various isoforms) with ab181558 at 1/1000 dilution, followed by Goat Anti-Rabbit IgG H&L (HRP) (ab97051) at 1/500 dilution.

Cytoplasmic staining on testis seminiferous tubule is observed.

Counter stained with Hematoxylin.

Secondary antibody only control : Used PBS instead of primary antibody, secondary antibody is ab97051 at 1/500 dilution.

Perform heat mediated antigen retrieval with Tris/EDTA buffer pH 9.0 before commencing with IHC staining protocol.

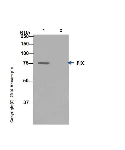
Western blot - Anti-PKC antibody [EPR17368] - BSA and Azide free (AB250508)
  • WB

Supplier Data

Western blot - Anti-PKC antibody [EPR17368] - BSA and Azide free (AB250508)

This data was developed using ab181558, the same antibody clone in a different buffer formulation.

Blocking and dilution buffer : 5% NFDM/TBST.

All lanes:

Western blot - Anti-PKC antibody [EPR17368] (<a href='/en-us/products/primary-antibodies/pkc-antibody-epr17368-ab181558'>ab181558</a>) at 1/2000 dilution

Lane 1:

A431 (Human epidermoid carcinoma cell line) whole cell lysate at 20 µg

Lane 2:

HeLa (Human epithelial cell line from cervix adenocarcinoma) whole cell lysate at 20 µg

Lane 3:

293T (Human epithelial cell line from embryonic kidney) whole cell lysate at 20 µg

Secondary

All lanes:

Goat Anti-Rabbit IgG, (H+L),Peroxidase conjugated at 1/1000 dilution

Predicted band size: 77 kDa

Observed band size: 75 kDa

false

Western blot - Anti-PKC antibody [EPR17368] - BSA and Azide free (AB250508)
  • WB

Supplier Data

Western blot - Anti-PKC antibody [EPR17368] - BSA and Azide free (AB250508)

This data was developed using ab181558, the same antibody clone in a different buffer formulation.

Blocking and dilution buffer : 5% NFDM/TBST.

All lanes:

Western blot - Anti-PKC antibody [EPR17368] (<a href='/en-us/products/primary-antibodies/pkc-antibody-epr17368-ab181558'>ab181558</a>) at 1/50000 dilution

Lane 1:

Rat pancreas lysate at 10 µg

Lane 2:

Mouse pancreas lysate at 10 µg

Lane 3:

Mouse lung lysate at 10 µg

Secondary

All lanes:

Goat Anti-Rabbit IgG, (H+L),Peroxidase conjugated at 1/1000 dilution

Predicted band size: 77 kDa

Observed band size: 75 kDa

false

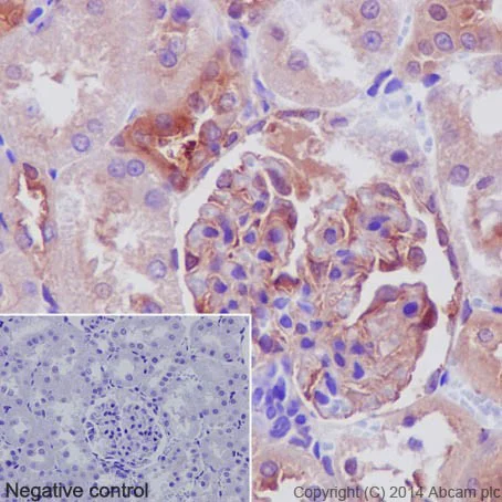
Immunohistochemistry (Formalin/PFA-fixed paraffin-embedded sections) - Anti-PKC antibody [EPR17368] - BSA and Azide free (AB250508)
  • IHC-P

Supplier Data

Immunohistochemistry (Formalin/PFA-fixed paraffin-embedded sections) - Anti-PKC antibody [EPR17368] - BSA and Azide free (AB250508)

This data was developed using ab181558, the same antibody clone in a different buffer formulation.

Immunohistochemical analysis of paraffin-embedded Human kidney tissue labeling PKC (various isoforms) with ab181558 at 1/1000 dilution, followed by Goat Anti-Rabbit IgG H&L (HRP) (ab97051) at 1/500 dilution.

Cytoplasmic and weak nuclear staining on glomerular and renal tubule is observed.

Reference :

1 : Y Mizukam,T Hirata,et.al.(1997) Nuclear translocation of PKC zeta during ischemia and its inhibition by wortmannin, an inhibitor of phosphatidylinositol

2 : Jose A. Crespo,Petra Stockl,et.al(2012) Activation of PKCzeta and PKMzeta in the Nucleus Accumbens Core Is Necessary for the Retrieval,Consolidation and Reconsolidation of Drug Memory.Plos One 7(2) : e30502.

3-kinase.FEBS Lett 401 (2-3) : 247-251.

Counter stained with Hematoxylin.

Secondary antibody only control : Used PBS instead of primary antibody, secondary antibody is ab97051 at 1/500 dilution.

Perform heat mediated antigen retrieval with Tris/EDTA buffer pH 9.0 before commencing with IHC staining protocol.

Flow Cytometry (Intracellular) - Anti-PKC antibody [EPR17368] - BSA and Azide free (AB250508)
  • Flow Cyt (Intra)

Supplier Data

Flow Cytometry (Intracellular) - Anti-PKC antibody [EPR17368] - BSA and Azide free (AB250508)

This data was developed using ab181558, the same antibody clone in a different buffer formulation.

Intracellular flow cytometric analysis of 2% paraformaldehyde-fixed NIH/3T3 (Mouse embryonic fibroblast cell line) cells labeling PKC (various isoforms) with ab181558 at 1/410 dilution (red) compared with a Rabbit IgG,monoclonal[EPR25A]-Isotype control (ab172730) (black) and an unlabelled control (cells without incubation with primary antibody and secondary antibody) (blue). Goat anti Rabbit IgG (FITC) at 1/150 dilution was used as the secondary antibody.

Immunohistochemistry (Formalin/PFA-fixed paraffin-embedded sections) - Anti-PKC antibody [EPR17368] - BSA and Azide free (AB250508)
  • IHC-P

Supplier Data

Immunohistochemistry (Formalin/PFA-fixed paraffin-embedded sections) - Anti-PKC antibody [EPR17368] - BSA and Azide free (AB250508)

This data was developed using ab181558, the same antibody clone in a different buffer formulation.

Immunohistochemical analysis of paraffin-embedded Human gastric adenocarcinoma tissue labeling PKC (various isoforms) with ab181558 at 1/1000 dilution, followed by Goat Anti-Rabbit IgG H&L (HRP) (ab97051) at 1/500 dilution.

Cytoplasmic and weak nuclear staining on Human gastric adenocarcinoma is observed.

Counter stained with Hematoxylin.

Secondary antibody only control : Used PBS instead of primary antibody, secondary antibody is ab97051 at 1/500 dilution.

Perform heat mediated antigen retrieval with Tris/EDTA buffer pH 9.0 before commencing with IHC staining protocol.

Immunocytochemistry/ Immunofluorescence - Anti-PKC antibody [EPR17368] - BSA and Azide free (AB250508)
  • ICC/IF

Supplier Data

Immunocytochemistry/ Immunofluorescence - Anti-PKC antibody [EPR17368] - BSA and Azide free (AB250508)

This data was developed using ab181558, the same antibody clone in a different buffer formulation.

Immunofluorescent analysis of 4% paraformaldehyde-fixed, 0.1% Triton X-100 permeabilized A431 (Human epidermoid carcinoma cell line) cells labeling PKC (various isoforms) with ab181558 at 1/500 dilution, followed by Goat Anti-Rabbit IgG (Alexa Fluor® 488) (ab150077) secondary antibody at 1/400 dilution (green).

Confocal image showing cytoplasm staining on A431 cell line. The nuclear counter stain is DAPI (blue).

Tubulin is detected with Anti-alpha Tubulin antibody [DM1A] - Loading Control (ab7291) at 1/1000 dilution and Goat Anti-Mouse IgG H&L (Alexa Fluor® 594) preadsorbed (ab150120) at 1/1000 dilution (red).

The negative controls are as follows :
-ve control 1 : ab181558 at 1/500 dilution followed by ab150120 at 1/500 dilution.
-ve control 2 : ab7291 at 1/500 dilution followed by ab150077 at 1/400 dilution.

Immunohistochemistry (Formalin/PFA-fixed paraffin-embedded sections) - Anti-PKC antibody [EPR17368] - BSA and Azide free (AB250508)
  • IHC-P

Supplier Data

Immunohistochemistry (Formalin/PFA-fixed paraffin-embedded sections) - Anti-PKC antibody [EPR17368] - BSA and Azide free (AB250508)

This data was developed using ab181558, the same antibody clone in a different buffer formulation.

Immunohistochemical analysis of paraffin-embedded Rat kidney tissue labeling PKC (various isoforms) with ab181558 at 1/1000 dilution, followed by Goat Anti-Rabbit IgG H&L (HRP) (ab97051) at 1/500 dilution.

Cytoplasmic and weak nuclear staining on glomerular and renal tubule is observed.

Counter stained with Hematoxylin.

Secondary antibody only control : Used PBS instead of primary antibody, secondary antibody is ab97051 at 1/500 dilution.

Perform heat mediated antigen retrieval with Tris/EDTA buffer pH 9.0 before commencing with IHC staining protocol.

Immunoprecipitation - Anti-PKC antibody [EPR17368] - BSA and Azide free (AB250508)
  • IP

Supplier Data

Immunoprecipitation - Anti-PKC antibody [EPR17368] - BSA and Azide free (AB250508)

This data was developed using ab181558, the same antibody clone in a different buffer formulation.

PKC was immunoprecipitated from 1 mg of A431 (Human epidermoid carcinoma cell line) whole cell extract with ab181558 at 1/100 dilution. Western blot was performed from the immunoprecipitate using ab181558 at 1/5000 dilution. Anti-Rabbit IgG (HRP), specific to the non-reduced form of IgG was used as secondary antibody at 1/1500 dilution.

Lane 1 : A431 whole cell extract.
Lane 2 : PBS.

Blocking and dilution buffer and concentration : 5% NFDM/TBST.

All lanes:

Immunoprecipitation - Anti-PKC antibody [EPR17368] (<a href='/en-us/products/primary-antibodies/pkc-antibody-epr17368-ab181558'>ab181558</a>)

Predicted band size: 77 kDa

false

Western blot - Anti-PKC antibody [EPR17368] - BSA and Azide free (AB250508)
  • WB

Supplier Data

Western blot - Anti-PKC antibody [EPR17368] - BSA and Azide free (AB250508)

This data was developed using ab181558, the same antibody clone in a different buffer formulation.

Blocking and dilution buffer : 5% NFDM/TBST.

All lanes:

Western blot - Anti-PKC antibody [EPR17368] (<a href='/en-us/products/primary-antibodies/pkc-antibody-epr17368-ab181558'>ab181558</a>) at 1/10000 dilution

Lane 1:

Mouse spleen lysate at 10 µg

Lane 2:

Rat spleen lysate at 10 µg

Secondary

All lanes:

Goat Anti-Rabbit IgG, (H+L),Peroxidase conjugated at 1/1000 dilution

Predicted band size: 77 kDa

Observed band size: 75 kDa

false

Western blot - Anti-PKC antibody [EPR17368] - BSA and Azide free (AB250508)
  • WB

Unknown

Western blot - Anti-PKC antibody [EPR17368] - BSA and Azide free (AB250508)

This data was developed using ab181558, the same antibody clone in a different buffer formulation.

Blocking and dilution buffer : 5% NFDM/TBST.

All lanes:

Western blot - Anti-PKC antibody [EPR17368] (<a href='/en-us/products/primary-antibodies/pkc-antibody-epr17368-ab181558'>ab181558</a>) at 1/2000 dilution

Lane 1:

C6 (Rat glial tumor cell line) whole cell lysate at 10 µg

Lane 2:

RAW 264.7 (Mouse macrophage cell line transformed with Abelson murine leukemia virus) whole cell lysate at 10 µg

Lane 3:

PC-12 (Rat adrenal gland pheochromocytoma cell line) whole cell lysate at 10 µg

Lane 4:

NIH/3T3 (Mouse embryonic fibroblast cell line) whole cell lysate at 10 µg

Secondary

All lanes:

Goat Anti-Rabbit IgG, (H+L),Peroxidase conjugated at 1/1000 dilution

Predicted band size: 77 kDa

Observed band size: 75 kDa

false

Western blot - Anti-PKC antibody [EPR17368] - BSA and Azide free (AB250508)
  • WB

Supplier Data

Western blot - Anti-PKC antibody [EPR17368] - BSA and Azide free (AB250508)

This data was developed using ab181558, the same antibody clone in a different buffer formulation.

Blocking and dilution buffer : 5% NFDM/TBST.

Exposure time : Lane 1 : 10 seconds; Lanes 2 and 3 : 3 seconds.

Active human PKC alpha full length protein (ab55672) contains aa1-672 with GST-tag; Active human PKC zeta full length protein (ab60848) contains aa1-592 with GST-tag; Active human PKC iota full length protein (ab60850) contains aa1-596 with GST-tag.

All lanes:

Western blot - Anti-PKC antibody [EPR17368] (<a href='/en-us/products/primary-antibodies/pkc-antibody-epr17368-ab181558'>ab181558</a>) at 1/2000 dilution

Lane 1:

Active human PKC alpha full length protein at 0.02 µg

Lane 2:

Active human PKC zeta full length protein at 0.02 µg

Lane 3:

Active human PKC iota full length protein at 0.02 µg

Secondary

All lanes:

Western blot - Goat Anti-Rabbit IgG H&L (HRP) (<a href='/en-us/products/secondary-antibodies/goat-rabbit-igg-h-l-hrp-ab97051'>ab97051</a>) at 1/50000 dilution

Predicted band size: 77 kDa

false

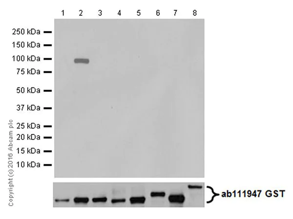
Western blot - Anti-PKC antibody [EPR17368] - BSA and Azide free (AB250508)
  • WB

Supplier Data

Western blot - Anti-PKC antibody [EPR17368] - BSA and Azide free (AB250508)

This data was developed using ab181558, the same antibody clone in a different buffer formulation.

Blocking and dilution buffer : 5% NFDM/TBST.

Exposure time : 2 seconds

Active human PKC beta 1 full length protein (ab60840) contains aa1-671 with GST-tag; Active human PKC beta 2 full length protein (ab60841) contains aa1-673 with GST-tag; Active human PKC gamma full length protein (ab60842) contains aa1-677 with GST-tag; Active human PKC delta full length protein (ab60844) contains aa1-676 with GST-tag; Active human PKC eta full length protein (ab60849) contains aa1-683 with GST-tag; Active human PKC epsilon full length protein (ab60847) contains aa1-737 with GST-tag; Active human PKC theta full length protein (ab56641) contains aa1-706 with GST-tag; Active human PKC mu full length protein (ab60873) contains aa1-912 with GST-tag.

All lanes:

Western blot - Anti-PKC antibody [EPR17368] (<a href='/en-us/products/primary-antibodies/pkc-antibody-epr17368-ab181558'>ab181558</a>) at 1/2000 dilution

Lane 1:

Active human PKC beta 1 full length protein at 0.02 µg

Lane 2:

Active human PKC beta 2 full length protein at 0.02 µg

Lane 3:

Active human PKC gamma full length protein at 0.02 µg

Lane 4:

Active human PKC delta full length protein at 0.02 µg

Lane 5:

Active human PKC eta full length protein at 0.02 µg

Lane 6:

Active human PKC epsilon full length protein at 0.02 µg

Lane 7:

Active human PKC theta full length protein at 0.02 µg

Lane 8:

Active human PKC mu full length protein at 0.02 µg

Secondary

All lanes:

Western blot - Goat Anti-Rabbit IgG H&L (HRP) (<a href='/en-us/products/secondary-antibodies/goat-rabbit-igg-h-l-hrp-ab97051'>ab97051</a>) at 1/50000 dilution

Predicted band size: 77 kDa

false

Exposure time: 2s

Western blot - Anti-PKC antibody [EPR17368] - BSA and Azide free (AB250508)
  • WB

Supplier Data

Western blot - Anti-PKC antibody [EPR17368] - BSA and Azide free (AB250508)

This data was developed using ab181558, the same antibody clone in a different buffer formulation.

Blocking and dilution buffer : 5% NFDM/TBST.

All lanes:

Western blot - Anti-PKC antibody [EPR17368] (<a href='/en-us/products/primary-antibodies/pkc-antibody-epr17368-ab181558'>ab181558</a>) at 1/10000 dilution

Lane 1:

Human fetal kidney lysate at 10 µg

Lane 2:

Human fetal brain lysate at 10 µg

Secondary

All lanes:

Anti-Rabbit IgG (HRP), specific to the non-reduced form of IgG at 1/1000 dilution

Predicted band size: 77 kDa

Observed band size: 75 kDa

false

Key facts

Host species

Rabbit

Clonality

Monoclonal

Clone number

EPR17368

Isotype

IgG

Carrier free

Yes

Reacts with

Mouse, Rat, Human

Applications

IHC-P, WB, Flow Cyt (Intra), ICC/IF, IP

applications

Immunogen

The exact immunogen used to generate this antibody is proprietary information.

Reactivity data

{ "title": "Reactivity Data", "filters": { "stats": ["", "Species", "Dilution Info", "Notes"], "tabs": { "all-applications": {"fullname" : "All Applications", "shortname": "All Applications"}, "ICCIF" : {"fullname" : "Immunocytochemistry/ Immunofluorescence", "shortname":"ICC/IF"}, "IP" : {"fullname" : "Immunoprecipitation", "shortname":"IP"}, "WB" : {"fullname" : "Western blot", "shortname":"WB"}, "FlowCytIntra" : {"fullname" : "Flow Cytometry (Intracellular)", "shortname":"Flow Cyt (Intra)"}, "IHCP" : {"fullname" : "Immunohistochemistry (Formalin/PFA-fixed paraffin-embedded sections)", "shortname":"IHC-P"} }, "product-promise": { "all": "all", "testedAndGuaranteed": "tested", "guaranteed": "expected", "predicted": "predicted", "notRecommended": "not-recommended" } }, "values": { "Human": { "ICCIF-species-checked": "testedAndGuaranteed", "ICCIF-species-dilution-info": "", "ICCIF-species-notes": "<p></p> Perform heat-mediated antigen retrieval with Tris/EDTA buffer pH 9.0 before commencing with IHC staining protocol.", "IP-species-checked": "testedAndGuaranteed", "IP-species-dilution-info": "", "IP-species-notes": "<p></p> Perform heat-mediated antigen retrieval with Tris/EDTA buffer pH 9.0 before commencing with IHC staining protocol.", "WB-species-checked": "testedAndGuaranteed", "WB-species-dilution-info": "", "WB-species-notes": "<p></p> Perform heat-mediated antigen retrieval with Tris/EDTA buffer pH 9.0 before commencing with IHC staining protocol.", "FlowCytIntra-species-checked": "guaranteed", "FlowCytIntra-species-dilution-info": "", "FlowCytIntra-species-notes": "", "IHCP-species-checked": "testedAndGuaranteed", "IHCP-species-dilution-info": "", "IHCP-species-notes": "<p></p> Perform heat-mediated antigen retrieval with Tris/EDTA buffer pH 9.0 before commencing with IHC staining protocol." }, "Mouse": { "ICCIF-species-checked": "guaranteed", "ICCIF-species-dilution-info": "", "ICCIF-species-notes": "", "IP-species-checked": "guaranteed", "IP-species-dilution-info": "", "IP-species-notes": "", "WB-species-checked": "testedAndGuaranteed", "WB-species-dilution-info": "", "WB-species-notes": "<p></p>", "FlowCytIntra-species-checked": "testedAndGuaranteed", "FlowCytIntra-species-dilution-info": "", "FlowCytIntra-species-notes": "<p></p>", "IHCP-species-checked": "testedAndGuaranteed", "IHCP-species-dilution-info": "", "IHCP-species-notes": "<p></p> Perform heat-mediated antigen retrieval with Tris/EDTA buffer pH 9.0 before commencing with IHC staining protocol." }, "Rat": { "ICCIF-species-checked": "guaranteed", "ICCIF-species-dilution-info": "", "ICCIF-species-notes": "", "IP-species-checked": "guaranteed", "IP-species-dilution-info": "", "IP-species-notes": "", "WB-species-checked": "testedAndGuaranteed", "WB-species-dilution-info": "", "WB-species-notes": "<p></p>", "FlowCytIntra-species-checked": "guaranteed", "FlowCytIntra-species-dilution-info": "", "FlowCytIntra-species-notes": "", "IHCP-species-checked": "testedAndGuaranteed", "IHCP-species-dilution-info": "", "IHCP-species-notes": "<p></p> Perform heat-mediated antigen retrieval with Tris/EDTA buffer pH 9.0 before commencing with IHC staining protocol." }, "Recombinant full length protein - Human": { "ICCIF-species-checked": "notRecommended", "ICCIF-species-dilution-info": "", "ICCIF-species-notes": "", "IP-species-checked": "notRecommended", "IP-species-dilution-info": "", "IP-species-notes": "", "WB-species-checked": "testedAndGuaranteed", "WB-species-dilution-info": "", "WB-species-notes": "<p></p>", "FlowCytIntra-species-checked": "notRecommended", "FlowCytIntra-species-dilution-info": "", "FlowCytIntra-species-notes": "", "IHCP-species-checked": "notRecommended", "IHCP-species-dilution-info": "", "IHCP-species-notes": "" } } }

Product details

ab250508 is the carrier-free version of ab181558.

Patented technology
Our RabMAb® technology is a patented hybridoma-based technology for making rabbit monoclonal antibodies. For details on our patents, please refer to RabMAb® patents.

What are the advantages of a recombinant monoclonal antibody?
This product is a recombinant monoclonal antibody, which offers several advantages including:

  • - High batch-to-batch consistency and reproducibility
  • - Improved sensitivity and specificity
  • - Long-term security of supply
  • - Animal-free batch production

For more information, read more on recombinant antibodies.

Conjugation ready
Our carrier-free antibodies are typically supplied in a PBS-only formulation, purified and free of BSA, sodium azide and glycerol. This conjugation-ready format is designed for use with fluorochromes, metal isotopes, oligonucleotides, and enzymes, which makes them ideal for antibody labelling, functional and cell-based assays, flow-based assays (e.g. mass cytometry) and Multiplex Imaging applications.

Use our conjugation kits for antibody conjugates that are ready-to-use in as little as 20 minutes with 1 minute hands-on-time and 100% antibody recovery: available for fluorescent dyes, HRP, biotin and gold.

Compatibility
This product is compatible with the Maxpar® Antibody Labeling Kit from Fluidigm, without the need for antibody preparation. Maxpar® is a trademark of Fluidigm Canada Inc.

Properties and storage information

Form
Liquid
Purification technique
Affinity purification Protein A
Storage buffer
pH: 7.2 - 7.4 Constituents: PBS
Shipped at conditions
Blue Ice
Appropriate short-term storage conditions
+4°C
Appropriate long-term storage conditions
+4°C
Storage information
Do Not Freeze

Supplementary information

This supplementary information is collated from multiple sources and compiled automatically.

Protein kinase C (PKC) comprises a family of serine/threonine kinases with several isoforms such as PKC alpha beta and gamma among others. PKC enzymes play key roles in intracellular signaling particularly in mediating responses to growth factors hormones and other signals. PKC exhibits a molecular weight generally ranging around 77 to 97 kDa depending on the isoform. These enzymes show expression in many tissues but have high concentrations in the brain heart and lung. PKC activation often involves translocation to cellular membranes which is important for their signaling roles.
Biological function summary

PKC influences various cellular processes such as cell proliferation differentiation apoptosis and immune responses. It acts within larger protein complexes serving as a modulator of cellular functions. The activation of PKC leads to its association with different scaffolding proteins impacting a wide array of cell activities. PKC notably affects the function of other kinases and transcription factors demonstrating its integral role in managing cellular behavior and homeostasis.

Pathways

PKC participates in the phosphoinositide signaling pathway and the mitogen-activated protein kinase (MAPK) pathway. In these contexts PKC activation impacts proteins like Ras and Raf kinases which play roles in cellular growth and differentiation. By modulating these pathways PKC becomes an important component in signal transduction cascades influencing cell fate decisions. Understanding the interaction between PKC and these pathways helps in elucidating its role in maintaining normal cellular activities and responses to external stimuli.

PKC is linked to cancer and cardiovascular diseases. In cancer dysregulation of PKC activity often contributes to tumor growth and progression by altering pathways that control cell division and survival. PKC abnormally interacts with proteins like Bcl-2 promoting cell survival. In cardiovascular diseases changes in PKC signaling can impact heart function contributing to conditions like heart failure through interactions with proteins such as troponin. Research on PKC and these diseases can provide insights into developing targeted therapies.

Product protocols

For this product, it's our understanding that no specific protocols are required. You can visit:

Target data

Calcium- and diacylglycerol-independent serine/threonine-protein kinase that functions in phosphatidylinositol 3-kinase (PI3K) pathway and mitogen-activated protein (MAP) kinase cascade, and is involved in NF-kappa-B activation, mitogenic signaling, cell proliferation, cell polarity, inflammatory response and maintenance of long-term potentiation (LTP). Upon lipopolysaccharide (LPS) treatment in macrophages, or following mitogenic stimuli, functions downstream of PI3K to activate MAP2K1/MEK1-MAPK1/ERK2 signaling cascade independently of RAF1 activation. Required for insulin-dependent activation of AKT3, but may function as an adapter rather than a direct activator. Upon insulin treatment may act as a downstream effector of PI3K and contribute to the activation of translocation of the glucose transporter SLC2A4/GLUT4 and subsequent glucose transport in adipocytes. In EGF-induced cells, binds and activates MAP2K5/MEK5-MAPK7/ERK5 independently of its kinase activity and can activate JUN promoter through MEF2C. Through binding with SQSTM1/p62, functions in interleukin-1 signaling and activation of NF-kappa-B with the specific adapters RIPK1 and TRAF6. Participates in TNF-dependent transactivation of NF-kappa-B by phosphorylating and activating IKBKB kinase, which in turn leads to the degradation of NF-kappa-B inhibitors. In migrating astrocytes, forms a cytoplasmic complex with PARD6A and is recruited by CDC42 to function in the establishment of cell polarity along with the microtubule motor and dynein. In association with FEZ1, stimulates neuronal differentiation in PC12 cells. In the inflammatory response, is required for the T-helper 2 (Th2) differentiation process, including interleukin production, efficient activation of JAK1 and the subsequent phosphorylation and nuclear translocation of STAT6. May be involved in development of allergic airway inflammation (asthma), a process dependent on Th2 immune response. In the NF-kappa-B-mediated inflammatory response, can relieve SETD6-dependent repression of NF-kappa-B target genes by phosphorylating the RELA subunit at 'Ser-311'. Phosphorylates VAMP2 in vitro (PubMed : 17313651). Phosphorylates and activates LRRK1, which phosphorylates RAB proteins involved in intracellular trafficking (PubMed : 36040231).. Isoform 2. Involved in late synaptic long term potention phase in CA1 hippocampal cells and long term memory maintenance.
See full target information PRKCZ

Product promise

We are committed to supporting your work with high-quality reagents, and we're here for you every step of the way. In the unlikely event that one of our products does not perform as expected, you're protected by our Product Promise.
For full details, please see our Terms & Conditions

Please note: All products are 'FOR RESEARCH USE ONLY. NOT FOR USE IN DIAGNOSTIC OR THERAPEUTIC PROCEDURES'.

For licensing inquiries, please contact partnerships@abcam.com