JavaScript is disabled in your browser. Please enable JavaScript to view this website.
AB32026

Anti-PKC beta 2 antibody [Y125]

4

(6 Reviews)

|

(28 Publications)

Rabbit Recombinant Monoclonal KPCB antibody. Suitable for WB, ICC/IF, Flow Cyt (Intra), IHC-P and reacts with Synthetic peptide - Human, Rat, Human, Mouse samples. Cited in 28 publications.

View Alternative Names

PKCB, PRKCB1, PRKCB, Protein kinase C beta type, PKC-B, PKC-beta

7 Images
Flow Cytometry (Intracellular) - Anti-PKC beta 2 antibody [Y125] (AB32026)
  • Flow Cyt (Intra)

Lab

Flow Cytometry (Intracellular) - Anti-PKC beta 2 antibody [Y125] (AB32026)

Intracellular Flow Cytometry analysis of K-562 (Human chronic myelogenous leukemia lymphoblast) cells labeling PKC beta 2 with purified ab32026 at 1/20 dilution (5 ug/ml) (Red). Cells were fixed with 4% Paraformaldehyde and permeabilised with 90% Methanol. A Goat anti rabbit IgG (Alexa Fluor® 488, ab150081) (1/2000 dilution) was used as the secondary antibody. Rabbit monoclonal IgG (Black) was used as a isotype control. Cell without incubation with primary antibody and secondary antibody (Blue) were used as unlabeled control.

Immunohistochemistry (Formalin/PFA-fixed paraffin-embedded sections) - Anti-PKC beta 2 antibody [Y125] (AB32026)
  • IHC-P

Lab

Immunohistochemistry (Formalin/PFA-fixed paraffin-embedded sections) - Anti-PKC beta 2 antibody [Y125] (AB32026)

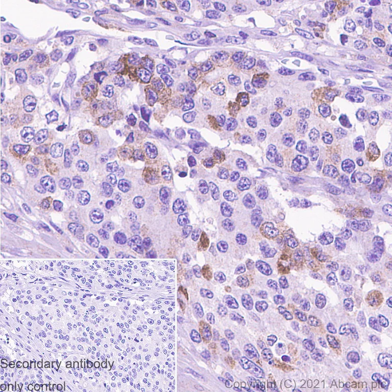
Immunohistochemical analysis of Paraffin-embedded sections human gastric carcinoma tissue labelling PKC beta 2 with ab32026 at 1/300 dilution, followed by a ready to use secondary Rabbit specific IHC polymer detection kit HRP/DAB (ab209101). Staining on human gastric carcinoma tissue is observed. Counter stained with Haematoxylin. Secondary antibody only control : Used PBS instead of primary antibody, secondary antibody is ready to use Rabbit specific IHC polymer detection kit HRP/DAB (ab209101). Heat mediated antigen retrieval using Bond™ Epitope Retrieval Solution 2 (pH 9.0). The immunostaining was performed on a Leica Biosystems BOND® RX instrument.

Immunocytochemistry/ Immunofluorescence - Anti-PKC beta 2 antibody [Y125] (AB32026)
  • ICC/IF

Lab

Immunocytochemistry/ Immunofluorescence - Anti-PKC beta 2 antibody [Y125] (AB32026)

Immunocytochemistry/ Immunofluorescence analysis of HeLa (Human cervix adenocarcinoma epithelial cell) cells labeling PKC beta 2 using ab32026. The cells were fixed with 4% paraformaldehyde then permeabilized with 0.1% Triton X-100. The cells were then incubated with ab32026 at 1 : 50 dilution followed by a further incubation with a Goat anti rabbit IgG (Alexa Fluor® 488, ab150077) at 2 μg/ml (shown in green). Nuclear DNA was labelled in blue with DAPI. Cells were counterstained using ab195889 Anti-alpha Tubulin antibody [DM1A] - Microtubule Marker (Alexa Fluor® 594) at 1 : 200 dilution (shown in red). Secondary antibody only control : PBS instead of the primary antibody.

Immunohistochemistry (Formalin/PFA-fixed paraffin-embedded sections) - Anti-PKC beta 2 antibody [Y125] (AB32026)
  • IHC-P

Lab

Immunohistochemistry (Formalin/PFA-fixed paraffin-embedded sections) - Anti-PKC beta 2 antibody [Y125] (AB32026)

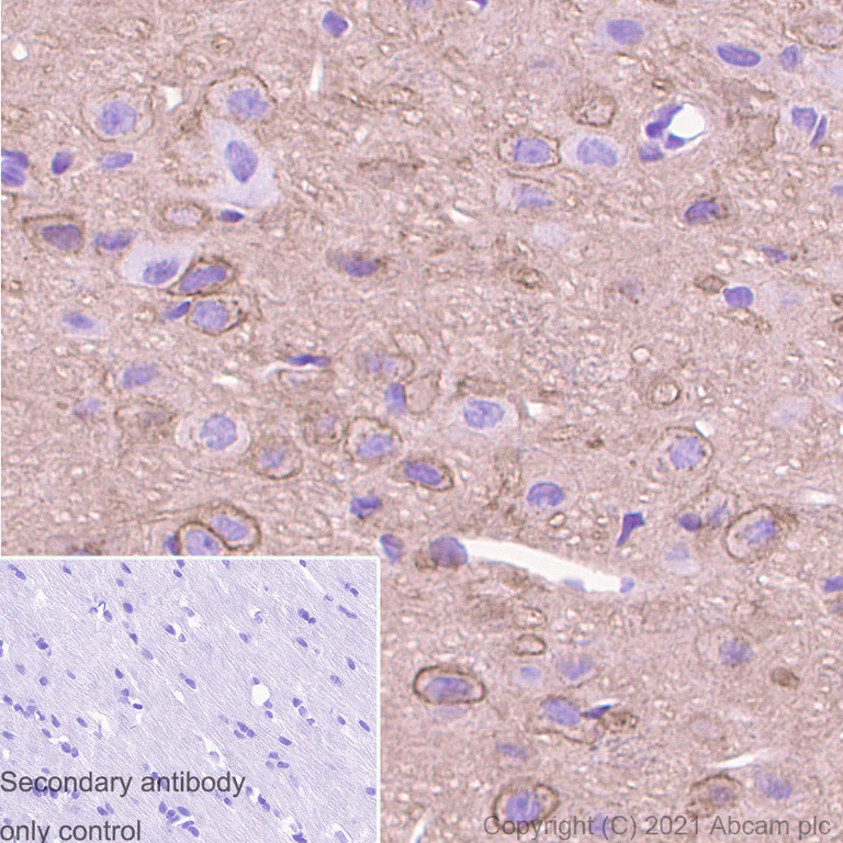
Immunohistochemical analysis of Paraffin-embedded sections mouse cerebrum tissue labelling PKC beta 2 with ab32026 at 1/1000 dilution, followed by a ready to use secondary Rabbit specific IHC polymer detection kit HRP/DAB (ab209101). Staining on mouse cerebrum tissue is observed. Counter stained with Haematoxylin. Secondary antibody only control : Used PBS instead of primary antibody, secondary antibody is ready to use Rabbit specific IHC polymer detection kit HRP/DAB (ab209101). Heat mediated antigen retrieval using Bond™ Epitope Retrieval Solution 2 (pH 9.0). The immunostaining was performed on a Leica Biosystems BOND® RX instrument.

Immunohistochemistry (Formalin/PFA-fixed paraffin-embedded sections) - Anti-PKC beta 2 antibody [Y125] (AB32026)
  • IHC-P

Lab

Immunohistochemistry (Formalin/PFA-fixed paraffin-embedded sections) - Anti-PKC beta 2 antibody [Y125] (AB32026)

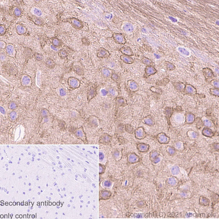
Immunohistochemical analysis of Paraffin-embedded sections rat cerebrum tissue labelling PKC beta 2 with ab32026 at 1/1000 dilution, followed by a ready to use secondary Rabbit specific IHC polymer detection kit HRP/DAB (ab209101). Staining on rat cerebrum tissue is observed. Counter stained with Haematoxylin. Secondary antibody only control : Used PBS instead of primary antibody, secondary antibody is ready to use Rabbit specific IHC polymer detection kit HRP/DAB (ab209101). Heat mediated antigen retrieval using Bond™ Epitope Retrieval Solution 2 (pH 9.0). The immunostaining was performed on a Leica Biosystems BOND® RX instrument.

Western blot - Anti-PKC beta 2 antibody [Y125] (AB32026)
  • WB

Lab

Western blot - Anti-PKC beta 2 antibody [Y125] (AB32026)

Blocking and diluting buffer and concentration : 5% NFDM/TBST. ab181602 was used as GAPDH loading control. We recommend not to boil samples when loading lysate.

All lanes:

Western blot - Anti-PKC beta 2 antibody [Y125] (ab32026) at 1/1000 dilution

Lane 1:

K-562 (Human chronic myelogenous leukemia lymphoblast) whole cell lysate boiled at 20 µg

Lane 2:

K-562 (Human chronic myelogenous leukemia lymphoblast) whole cell lysate unboiled at 20 µg

Lane 3:

Mouse brain lysate boiled at 20 µg

Lane 4:

Mouse brain lysate unboiled at 20 µg

Lane 5:

Rat brain lysate boiled at 20 µg

Lane 6:

Rat brain lysate unboiled at 20 µg

Secondary

All lanes:

Western blot - Goat Anti-Rabbit IgG H&L (HRP) (<a href='/en-us/products/secondary-antibodies/goat-rabbit-igg-h-l-hrp-ab97051'>ab97051</a>) at 1/20000 dilution

Predicted band size: 77 kDa

Observed band size: 77 kDa

false

Western blot - Anti-PKC beta 2 antibody [Y125] (AB32026)
  • WB

Lab

Western blot - Anti-PKC beta 2 antibody [Y125] (AB32026)

Blocking and diluting buffer and concentration : 5% NFDM/TBST. ab235384 was used to detect GST tag.

All lanes:

Western blot - Anti-PKC beta 2 antibody [Y125] (ab32026) at 1/1000 dilution

Lane 1:

Western blot - Recombinant human PKC beta 2 protein (<a href='/en-us/products/proteins-peptides/recombinant-human-pkc-beta-2-protein-ab60841'>ab60841</a>) at 10 ng

Lane 2:

Western blot - Recombinant human PKC beta 1 protein (<a href='/en-us/products/proteins-peptides/recombinant-human-pkc-beta-1-protein-ab60840'>ab60840</a>) at 10 ng

Lane 3:

Western blot - Recombinant human PKC delta protein (<a href='/en-us/products/proteins-peptides/recombinant-human-pkc-delta-protein-ab60844'>ab60844</a>) at 10 ng

Lane 4:

Western blot - Recombinant human PKC eta protein (<a href='/en-us/products/proteins-peptides/recombinant-human-pkc-eta-protein-ab60849'>ab60849</a>) at 10 ng

Lane 5:

Western blot - Recombinant human PKC epsilon protein (<a href='/en-us/products/proteins-peptides/recombinant-human-pkc-epsilon-protein-ab60847'>ab60847</a>) at 10 ng

Lane 6:

Western blot - Recombinant human PKC theta/PRKCQ protein (<a href='/en-us/products/proteins-peptides/recombinant-human-pkc-theta-prkcq-protein-ab56641'>ab56641</a>) at 10 ng

Lane 7:

Western blot - Recombinant human PKC mu/PKD protein (<a href='/en-us/products/proteins-peptides/recombinant-human-pkc-mu-pkd-protein-ab60873'>ab60873</a>) at 10 ng

Lane 8:

Western blot - Recombinant human PKC alpha protein (Active) (<a href='/en-us/products/proteins-peptides/recombinant-human-pkc-alpha-protein-active-ab55672'>ab55672</a>) at 10 ng

Lane 9:

Western blot - Goat Anti-Rabbit IgG H&L (HRP) (<a href='/en-us/products/secondary-antibodies/goat-rabbit-igg-h-l-hrp-ab97051'>ab97051</a>) at 10 ng

Secondary

All lanes:

Western blot - Goat Anti-Rabbit IgG H&L (HRP) (<a href='/en-us/products/secondary-antibodies/goat-rabbit-igg-h-l-hrp-ab97051'>ab97051</a>) at 1/20000 dilution

Predicted band size: 77 kDa

Observed band size: 100 kDa

false

  • 578 PE

    PE Anti-PKC beta 2 antibody [Y125]

  • 665 Alexa Fluor® 647

    Alexa Fluor® 647 Anti-PKC beta 2 antibody [Y125]

  • Carrier free

    Anti-PKC beta 2 antibody [Y125] - BSA and Azide free

  • HRP

    HRP Anti-PKC beta 2 antibody [Y125]

Key facts

Host species

Rabbit

Clonality

Monoclonal

Clone number

Y125

Isotype

IgG

Carrier free

No

Reacts with

Mouse, Rat, Human

Applications

Flow Cyt (Intra), IHC-P, WB, ICC/IF

applications

Immunogen

The exact immunogen used to generate this antibody is proprietary information.

Epitope

ab32026 reacts with an epitope located in the region near the C terminus of PKC beta 2.

Specificity

This antibody recognises PKC beta 2, it does not cross react with human PKC beta 1. Immunogen's homology with PKC alpha is 77.8%. Cross-reactivity with PKC alpha has not been tested.

Reactivity data

{ "title": "Reactivity Data", "filters": { "stats": ["", "Species", "Dilution Info", "Notes"], "tabs": { "all-applications": {"fullname" : "All Applications", "shortname": "All Applications"}, "WB" : {"fullname" : "Western blot", "shortname":"WB"}, "ICCIF" : {"fullname" : "Immunocytochemistry/ Immunofluorescence", "shortname":"ICC/IF"}, "FlowCytIntra" : {"fullname" : "Flow Cytometry (Intracellular)", "shortname":"Flow Cyt (Intra)"}, "IHCP" : {"fullname" : "Immunohistochemistry (Formalin/PFA-fixed paraffin-embedded sections)", "shortname":"IHC-P"} }, "product-promise": { "all": "all", "testedAndGuaranteed": "tested", "guaranteed": "expected", "predicted": "predicted", "notRecommended": "not-recommended" } }, "values": { "Human": { "WB-species-checked": "testedAndGuaranteed", "WB-species-dilution-info": "1/1000 - 1/10000", "WB-species-notes": "<p></p>", "ICCIF-species-checked": "testedAndGuaranteed", "ICCIF-species-dilution-info": "1/250 - 1/500", "ICCIF-species-notes": "<p></p>", "FlowCytIntra-species-checked": "testedAndGuaranteed", "FlowCytIntra-species-dilution-info": "1/50", "FlowCytIntra-species-notes": "<p><a href='/en-us/products/primary-antibodies/rabbit-igg-monoclonal-epr25a-isotype-control-ab172730'>ab172730</a> - Rabbit monoclonal IgG, is suitable for use as an isotype control with this antibody.</p>", "IHCP-species-checked": "testedAndGuaranteed", "IHCP-species-dilution-info": "", "IHCP-species-notes": "<p></p> Perform heat-mediated antigen retrieval with citrate buffer pH 6 before commencing with IHC staining protocol." }, "Mouse": { "WB-species-checked": "testedAndGuaranteed", "WB-species-dilution-info": "1/1000 - 1/10000", "WB-species-notes": "<p></p>", "ICCIF-species-checked": "guaranteed", "ICCIF-species-dilution-info": "", "ICCIF-species-notes": "", "FlowCytIntra-species-checked": "guaranteed", "FlowCytIntra-species-dilution-info": "", "FlowCytIntra-species-notes": "", "IHCP-species-checked": "testedAndGuaranteed", "IHCP-species-dilution-info": "", "IHCP-species-notes": "<p></p> Perform heat-mediated antigen retrieval with citrate buffer pH 6 before commencing with IHC staining protocol." }, "Rat": { "WB-species-checked": "testedAndGuaranteed", "WB-species-dilution-info": "1/1000 - 1/10000", "WB-species-notes": "<p></p>", "ICCIF-species-checked": "guaranteed", "ICCIF-species-dilution-info": "", "ICCIF-species-notes": "", "FlowCytIntra-species-checked": "guaranteed", "FlowCytIntra-species-dilution-info": "", "FlowCytIntra-species-notes": "", "IHCP-species-checked": "testedAndGuaranteed", "IHCP-species-dilution-info": "", "IHCP-species-notes": "<p></p> Perform heat-mediated antigen retrieval with citrate buffer pH 6 before commencing with IHC staining protocol." }, "Cow": { "WB-species-checked": "predicted", "WB-species-dilution-info": "", "WB-species-notes": "", "ICCIF-species-checked": "predicted", "ICCIF-species-dilution-info": "", "ICCIF-species-notes": "", "FlowCytIntra-species-checked": "predicted", "FlowCytIntra-species-dilution-info": "", "FlowCytIntra-species-notes": "", "IHCP-species-checked": "predicted", "IHCP-species-dilution-info": "", "IHCP-species-notes": "" }, "Pig": { "WB-species-checked": "predicted", "WB-species-dilution-info": "", "WB-species-notes": "", "ICCIF-species-checked": "predicted", "ICCIF-species-dilution-info": "", "ICCIF-species-notes": "", "FlowCytIntra-species-checked": "predicted", "FlowCytIntra-species-dilution-info": "", "FlowCytIntra-species-notes": "", "IHCP-species-checked": "predicted", "IHCP-species-dilution-info": "", "IHCP-species-notes": "" }, "Synthetic peptide - Human": { "WB-species-checked": "testedAndGuaranteed", "WB-species-dilution-info": "1/1000 - 1/10000", "WB-species-notes": "<p></p>", "ICCIF-species-checked": "notRecommended", "ICCIF-species-dilution-info": "", "ICCIF-species-notes": "", "FlowCytIntra-species-checked": "notRecommended", "FlowCytIntra-species-dilution-info": "", "FlowCytIntra-species-notes": "", "IHCP-species-checked": "notRecommended", "IHCP-species-dilution-info": "", "IHCP-species-notes": "" } } }

Product details

Patented technology
Our RabMAb® technology is a patented hybridoma-based technology for making rabbit monoclonal antibodies. For details on our patents, please refer to RabMAb® patents.

What are the advantages of a recombinant monoclonal antibody?
This product is a recombinant monoclonal antibody, which offers several advantages including:

  • - High batch-to-batch consistency and reproducibility
  • - Improved sensitivity and specificity
  • - Long-term security of supply
  • - Animal-free batch production

For more information, read more on recombinant antibodies.

Properties and storage information

Form
Liquid
Purification technique
Affinity purification Protein A
Storage buffer
pH: 7.2 - 7.4 Preservative: 0.01% Sodium azide Constituents: PBS, 40% Glycerol (glycerin, glycerine), 0.05% BSA
Shipped at conditions
Blue Ice
Appropriate short-term storage conditions
+4°C
Appropriate long-term storage conditions
-20°C
Aliquoting information
Upon delivery aliquot
Storage information
Avoid freeze / thaw cycle

Supplementary information

This supplementary information is collated from multiple sources and compiled automatically.

Protein kinase C beta 2 also known as PKC beta 2 or PRKCB is an important isoform of the PKC family with a molecular weight of 79 kDa. PKC proteins are a group of serine/threonine kinases involved in various cellular processes. PKC beta 2 expresses in tissues like the spleen lymph nodes and other immune-related tissues. The protein plays a significant role in immune responses and its expression is regulated by various signaling molecules.
Biological function summary

PKC beta 2 acts as an important regulator in the immune system by modulating immune cell activation and proliferation. It functions as part of the PKC protein complex which interacts with lipids and calcium as cofactors. This protein has critical influence on processes such as B-cell activation and phagocyte response. It also regulates several transcription factors impacting gene expression critical for the immune system.

Pathways

PKC beta 2 integrates into multiple signaling pathways including the NF-kB and MAPK pathways. These pathways are essential for transmitting signals from the cell surface to the nucleus affecting gene expression and cell function. PKC beta 2 directly influences protein interactions within these pathways such as with other PKC family members and other proteins like IKK which is critical in the NF-kB signaling pathway.

PKC beta 2 is significantly connected to certain cancers and autoimmune conditions. Aberrant PKC beta 2 activity is linked to chronic lymphocytic leukemia where it affects the survival and proliferation of B cells. It is also involved in diabetic nephropathy contributing to kidney damage through excessive signaling. In these conditions PKC beta 2 interacts with proteins like Bcl-2 in cancer and TGF-beta in diabetic nephropathy influencing the disease courses and potentially serving as targets for therapeutic interventions.

Product protocols

For this product, it's our understanding that no specific protocols are required. You can visit:

Target data

Calcium-activated, phospholipid- and diacylglycerol (DAG)-dependent serine/threonine-protein kinase involved in various cellular processes such as regulation of the B-cell receptor (BCR) signalosome, oxidative stress-induced apoptosis, androgen receptor-dependent transcription regulation, insulin signaling and endothelial cells proliferation. Plays a key role in B-cell activation by regulating BCR-induced NF-kappa-B activation. Mediates the activation of the canonical NF-kappa-B pathway (NFKB1) by direct phosphorylation of CARD11/CARMA1 at 'Ser-559', 'Ser-644' and 'Ser-652'. Phosphorylation induces CARD11/CARMA1 association with lipid rafts and recruitment of the BCL10-MALT1 complex as well as MAP3K7/TAK1, which then activates IKK complex, resulting in nuclear translocation and activation of NFKB1. Plays a direct role in the negative feedback regulation of the BCR signaling, by down-modulating BTK function via direct phosphorylation of BTK at 'Ser-180', which results in the alteration of BTK plasma membrane localization and in turn inhibition of BTK activity (PubMed : 11598012). Involved in apoptosis following oxidative damage : in case of oxidative conditions, specifically phosphorylates 'Ser-36' of isoform p66Shc of SHC1, leading to mitochondrial accumulation of p66Shc, where p66Shc acts as a reactive oxygen species producer. Acts as a coactivator of androgen receptor (AR)-dependent transcription, by being recruited to AR target genes and specifically mediating phosphorylation of 'Thr-6' of histone H3 (H3T6ph), a specific tag for epigenetic transcriptional activation that prevents demethylation of histone H3 'Lys-4' (H3K4me) by LSD1/KDM1A (PubMed : 20228790). In insulin signaling, may function downstream of IRS1 in muscle cells and mediate insulin-dependent DNA synthesis through the RAF1-MAPK/ERK signaling cascade. Participates in the regulation of glucose transport in adipocytes by negatively modulating the insulin-stimulated translocation of the glucose transporter SLC2A4/GLUT4. Phosphorylates SLC2A1/GLUT1, promoting glucose uptake by SLC2A1/GLUT1 (PubMed : 25982116). Under high glucose in pancreatic beta-cells, is probably involved in the inhibition of the insulin gene transcription, via regulation of MYC expression. In endothelial cells, activation of PRKCB induces increased phosphorylation of RB1, increased VEGFA-induced cell proliferation, and inhibits PI3K/AKT-dependent nitric oxide synthase (NOS3/eNOS) regulation by insulin, which causes endothelial dysfunction. Also involved in triglyceride homeostasis (By similarity). Phosphorylates ATF2 which promotes cooperation between ATF2 and JUN, activating transcription (PubMed : 19176525). Phosphorylates KLHL3 in response to angiotensin II signaling, decreasing the interaction between KLHL3 and WNK4 (PubMed : 25313067). Phosphorylates and activates LRRK1, which phosphorylates RAB proteins involved in intracellular trafficking (PubMed : 36040231).
See full target information PRKCB

Publications (28)

Recent publications for all applications. Explore the full list and refine your search

World journal of diabetes 14:1249-1258 PubMed37664479

2023

Impact of bariatric surgery on glucose and lipid metabolism and liver and kidney function in food-induced obese diabetic rats.

Applications

Unspecified application

Species

Unspecified reactive species

Hong Long,Lei Zhao,Zhong-Sheng Xiao,Shu-Xiang Li,Qiu-Lin Huang,Shuai Xiao,Liang-Liang Wu

The Journal of biological chemistry 299:102882 PubMed36623731

2023

The store-operated Ca channel Orai1α is required for agonist-evoked NF-κB activation by a mechanism dependent on PKCβ2.

Applications

Unspecified application

Species

Unspecified reactive species

Joel Nieto-Felipe,Jose Sanchez-Collado,Isaac Jardin,Gines M Salido,Jose J Lopez,Juan A Rosado

Molecular medicine (Cambridge, Mass.) 28:4 PubMed35062863

2022

Dendritic cell-mediated chronic low-grade inflammation is regulated by the RAGE-TLR4-PKCβ signaling pathway in diabetic atherosclerosis.

Applications

Unspecified application

Species

Unspecified reactive species

Liding Zhao,Ya Li,Tian Xu,Qingbo Lv,Xukun Bi,Xianglan Liu,Guosheng Fu,Yunzeng Zou,Junbo Ge,Zhaoyang Chen,Wenbin Zhang

Oncology reports 46: PubMed34608498

2021

Downregulation of matriptase suppresses the PAR‑2/PLCγ2/PKC‑mediated invasion and migration abilities of MCF‑7 breast cancer cells.

Applications

Unspecified application

Species

Unspecified reactive species

Jeong-Mi Kim,Jinny Park,Eun-Mi Noh,Hyun-Kyung Song,Sang Yull Kang,Sung Hoo Jung,Jong-Suk Kim,Hyun Jo Youn,Young-Rae Lee

Oncology reports 45: PubMed33760219

2021

Bruton's agammaglobulinemia tyrosine kinase (Btk) regulates TPA‑induced breast cancer cell invasion via PLCγ2/PKCβ/NF‑κB/AP‑1‑dependent matrix metalloproteinase‑9 activation.

Applications

Unspecified application

Species

Unspecified reactive species

Jeong-Mi Kim,Jinny Park,Eun-Mi Noh,Hyun-Kyung Song,Sang Yull Kang,Sung Hoo Jung,Jong-Suk Kim,Byung-Hyun Park,Young-Rae Lee,Hyun Jo Youn

Frontiers in pharmacology 11:553852 PubMed33584253

2021

Pharmacological Protein Kinase C Modulators Reveal a Pro-hypertrophic Role for Novel Protein Kinase C Isoforms in Human Induced Pluripotent Stem Cell-Derived Cardiomyocytes.

Applications

Unspecified application

Species

Unspecified reactive species

Lotta Pohjolainen,Julia Easton,Reesha Solanki,Heikki Ruskoaho,Virpi Talman

PLoS pathogens 17:e1009088 PubMed33497413

2021

Rapid adaptation to human protein kinase R by a unique genomic rearrangement in rhesus cytomegalovirus.

Applications

Unspecified application

Species

Unspecified reactive species

Stephanie J Child,Alexander L Greninger,Adam P Geballe

American journal of translational research 12:6409-6421 PubMed33194039

2020

PKCβ increases ROS levels leading to vascular endothelial injury in diabetic foot ulcers.

Applications

Unspecified application

Species

Unspecified reactive species

Zhichuan Liu,Ling Hu,Tao Zhang,Hang Xu,Hailin Li,Zhouqian Yang,Mei Zhou,Hendrea Shaniqua Smith,Jing Li,Jianhua Ran,Zhongliang Deng

Annals of translational medicine 8:293 PubMed32355737

2020

Inhibiting PKCβ2 protects HK-2 cells against meglumine diatrizoate and AGEs-induced apoptosis and autophagy.

Applications

Unspecified application

Species

Unspecified reactive species

Wenbing Jiang,Wei Zhao,Fanhao Ye,Shiwei Huang,Youyang Wu,Hao Chen,Rui Zhou,Guosheng Fu

Journal of neuroscience research 98:384-403 PubMed31407399

2019

Regulation of the firing activity by PKA-PKC-Src family kinases in cultured neurons of hypothalamic arcuate nucleus.

Applications

Unspecified application

Species

Unspecified reactive species

Xiao-Dong Sun,Anqi Wang,Peng Ma,Shan Gong,Jin Tao,Xian-Min Yu,Xinghong Jiang
View all publications

Product promise

We are committed to supporting your work with high-quality reagents, and we're here for you every step of the way. In the unlikely event that one of our products does not perform as expected, you're protected by our Product Promise.
For full details, please see our Terms & Conditions

Please note: All products are 'FOR RESEARCH USE ONLY. NOT FOR USE IN DIAGNOSTIC OR THERAPEUTIC PROCEDURES'.

For licensing inquiries, please contact partnerships@abcam.com