JavaScript is disabled in your browser. Please enable JavaScript to view this website.
AB222229

Anti-PKC delta antibody [EPR17075] - BSA and Azide free

Be the first to review this product! Submit a review

|

(1 Publication)

Rabbit Recombinant Monoclonal PKC delta antibody. Carrier free. Suitable for WB, ICC/IF, Flow Cyt (Intra), IHC-P and reacts with Human, Mouse, Rat samples. Cited in 1 publication.

View Alternative Names

PKCD, PRKCD, Protein kinase C delta type, Tyrosine-protein kinase PRKCD, nPKC-delta

12 Images
Flow Cytometry (Intracellular) - Anti-PKC delta antibody [EPR17075] - BSA and Azide free (AB222229)
  • Flow Cyt (Intra)

Lab

Flow Cytometry (Intracellular) - Anti-PKC delta antibody [EPR17075] - BSA and Azide free (AB222229)

Intracellular Flow Cytometry analysis of HeLa (human cervix adenocarcinoma) cells labeling PKC delta with purified ab182126 at 1/250 dilution (10ug/mL) (red). Cells were fixed with 4% paraformaldehyde and permeabilised with 90% methanol. A Goat anti rabbit IgG (Alexa Fluor® 488) (1/2000 dilution) was used as the secondary antibody. Rabbit monoclonal IgG (Black) was used as the isotype control, cells without incubation with primary antibody and secondary antibody (Blue) were used as the unlabeled control.

This data was developed using the same antibody clone in a different buffer formulation containing PBS, BSA, glycerol, and sodium azide (ab182126).

Immunohistochemistry (Formalin/PFA-fixed paraffin-embedded sections) - Anti-PKC delta antibody [EPR17075] - BSA and Azide free (AB222229)
  • IHC-P

Supplier Data

Immunohistochemistry (Formalin/PFA-fixed paraffin-embedded sections) - Anti-PKC delta antibody [EPR17075] - BSA and Azide free (AB222229)

Immunohistochemical analysis of paraffin-embedded Human spleen tissue labeling PKC delta with ab182126 at 1/2000 dilution, followed by Anti-Rabbit HRP (ab97051) at 1/500 dilution. Cytoplasmic and nucleus staining on lymphocytes of Human spleen is detected. The negative control utilised PBS instead of primary antibody. Counter stained with Hematoxylin.

This data was developed using the same antibody clone in a different buffer formulation containing PBS, BSA, glycerol, and sodium azide (ab182126).

Perform heat mediated antigen retrieval with Tris/EDTA buffer pH 9.0 before commencing with IHC staining protocol.

Immunocytochemistry/ Immunofluorescence - Anti-PKC delta antibody [EPR17075] - BSA and Azide free (AB222229)
  • ICC/IF

Lab

Immunocytochemistry/ Immunofluorescence - Anti-PKC delta antibody [EPR17075] - BSA and Azide free (AB222229)

ab182126 staining PKCδ in 10nM PMA-treated wild-type HAP1 cells (top panel) and PKCδ in 10nM PMA-treated knockout HAP1 cells (bottom panel). The cells were treated with 10nM PMA for 10 minutes to induce translocation of PKCδ to the cell membrane. The cells were then fixed with 4% formaldehyde (10min), permeabilized with 0.1% Triton X-100 for 5 minutes and then blocked with 1% BSA/10% normal goat serum/0.3M glycine in 0.1% PBS-Tween for 1h. The cells were then incubated with ab182126 at 1/200 dilution and ab7291 at 1ug/ml concentration overnight at +4°C, followed by a further incubation at room temperature for 1h with a goat secondary antibody to Rabbit IgG (Alexa Fluor® 488) (ab150081) at 2 μg/ml (shown in green) and a goat secondary antibody to Mouse IgG (Alexa Fluor® 594) (ab150117) at 2ug/ml (shown in pseudo-color red). Nuclear DNA was labelled in blue with DAPI.

This product also gave a positive signal under the same testing conditions in HAP1 cells fixed with 100% methanol (5 min).

Image was taken with a confocal microscope (Leica-Microsystems, TCS SP8).

This data was developed using the same antibody clone in a different buffer formulation containing PBS, BSA, glycerol, and sodium azide (ab182126).

Immunocytochemistry/ Immunofluorescence - Anti-PKC delta antibody [EPR17075] - BSA and Azide free (AB222229)
  • ICC/IF

Lab

Immunocytochemistry/ Immunofluorescence - Anti-PKC delta antibody [EPR17075] - BSA and Azide free (AB222229)

ab182126 staining PKCδ in untreated wild-type HAP1 cells (top panel) and PKCδ untreated knockout HAP1 cells (bottom panel). Untreated cells show PKCδ being expressed in the cytoplasm. The cells were fixed with 4% formaldehyde (10min), permeabilized with 0.1% Triton X-100 for 5 minutes and then blocked with 1% BSA/10% normal goat serum/0.3M glycine in 0.1% PBS-Tween for 1h. The cells were then incubated with ab182126 at 1/200 dilution and ab7291 at 1ug/ml concentration overnight at +4°C, followed by a further incubation at room temperature for 1h with a goat secondary antibody to Rabbit IgG (Alexa Fluor® 488) (ab150081) at 2 μg/ml (shown in green) and a goat secondary antibody to Mouse IgG (Alexa Fluor® 594) (ab150117) at 2ug/ml (shown in pseudo-color red). Nuclear DNA was labelled in blue with DAPI.

This product also gave a positive signal under the same testing conditions in HAP1 cells fixed with 100% methanol (5 min).

Image was taken with a confocal microscope (Leica-Microsystems, TCS SP8).

This data was developed using the same antibody clone in a different buffer formulation containing PBS, BSA, glycerol, and sodium azide (ab182126).

Immunocytochemistry/ Immunofluorescence - Anti-PKC delta antibody [EPR17075] - BSA and Azide free (AB222229)
  • ICC/IF

Supplier Data

Immunocytochemistry/ Immunofluorescence - Anti-PKC delta antibody [EPR17075] - BSA and Azide free (AB222229)

Immunofluorescent analysis of 4% paraformaldehyde-fixed HeLa (Human epithelial cells from cervix adenocarcinoma) cells labeling PKC delta with ab182126 at 1/100 dilution. The cells were permeabilised with 0.1% Triton X-100. Goat anti-rabbit IAlexa Fluor® 488 (IgG) (ab150077) at 1/400 dilution was used as the secondary antibody (green). The confocal image shows both cytoplasmic and nuclear staining on HeLa cells. The nuclear counter stain is DAPI (blue). Tubulin is detected with ab7291 (anti-Tubulin mouse mAb) at 1/500 and ab150120 (goat anti-mouse AlexaFluor® 594 secondary antibody) at 1/500 dilution (red).
The negative controls are as follows;
1. ab182126 at 1/100 dilution followed by ab150120 (Alexa Fluor® 594 Goat anti-Mouse secondary) at 1/500 dilution.
2. ab7291 (anti-Tubulin mouse mAb) at 1/500 dilution followed by ab150077 (Alexa Fluor® 488 Goat Anti-Rabbit IgG H&L) at 1/400 dilution.

This data was developed using the same antibody clone in a different buffer formulation containing PBS, BSA, glycerol, and sodium azide (ab182126).

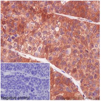
Immunohistochemistry (Formalin/PFA-fixed paraffin-embedded sections) - Anti-PKC delta antibody [EPR17075] - BSA and Azide free (AB222229)
  • IHC-P

Supplier Data

Immunohistochemistry (Formalin/PFA-fixed paraffin-embedded sections) - Anti-PKC delta antibody [EPR17075] - BSA and Azide free (AB222229)

Immunohistochemical analysis of paraffin-embedded Human transitional cell carcinoma of bladder tissue labeling PKC delta with ab182126 at 1/2000 dilution, followed by Anti-Rabbit HRP (ab97051) at 1/500 dilution. Cytoplasmic and weak nuclear staining on cancer cells of bladder transitional cell carcinoma is detected. The negative control utilised PBS instead of primary antibody. Counter stained with Hematoxylin.

This data was developed using the same antibody clone in a different buffer formulation containing PBS, BSA, glycerol, and sodium azide (ab182126).

Perform heat mediated antigen retrieval with Tris/EDTA buffer pH 9.0 before commencing with IHC staining protocol.

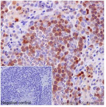
Immunohistochemistry (Formalin/PFA-fixed paraffin-embedded sections) - Anti-PKC delta antibody [EPR17075] - BSA and Azide free (AB222229)
  • IHC-P

Supplier Data

Immunohistochemistry (Formalin/PFA-fixed paraffin-embedded sections) - Anti-PKC delta antibody [EPR17075] - BSA and Azide free (AB222229)

Immunohistochemical analysis of paraffin-embedded Mouse liver tissue labeling PKC delta with ab182126 at 1/2000 dilution, followed by Anti-Rabbit HRP (ab97051) at 1/500 dilution. Cytoplasmic and nuclear staining on kupffer cells of Mouse liver is detected. The negative control utilised PBS instead of primary antibody. Counter stained with Hematoxylin.

This data was developed using the same antibody clone in a different buffer formulation containing PBS, BSA, glycerol, and sodium azide (ab182126).

Perform heat mediated antigen retrieval with Tris/EDTA buffer pH 9.0 before commencing with IHC staining protocol.

Immunohistochemistry (Formalin/PFA-fixed paraffin-embedded sections) - Anti-PKC delta antibody [EPR17075] - BSA and Azide free (AB222229)
  • IHC-P

Supplier Data

Immunohistochemistry (Formalin/PFA-fixed paraffin-embedded sections) - Anti-PKC delta antibody [EPR17075] - BSA and Azide free (AB222229)

Immunohistochemical analysis of paraffin-embedded rat testis tissue labeling PKC delta with ab182126 at 1/2000 dilution, followed by Anti-Rabbit HRP (ab97051) at 1/500 dilution. Cytoplasmic and weak nuclear staining on cells in the seminiferous tubule of rat testis is detected. The negative control utilised PBS instead of primary antibody. Counter stained with Hematoxylin.

This data was developed using the same antibody clone in a different buffer formulation containing PBS, BSA, glycerol, and sodium azide (ab182126).

Perform heat mediated antigen retrieval with Tris/EDTA buffer pH 9.0 before commencing with IHC staining protocol.

Western blot - Anti-PKC delta antibody [EPR17075] - BSA and Azide free (AB222229)
  • WB

Lab

Western blot - Anti-PKC delta antibody [EPR17075] - BSA and Azide free (AB222229)

This data was developed using ab182126, the same antibody clone in a different buffer formulation.

Western blot : Anti-PRKCD antibody [EPR17075] (ab182126) staining at 1/5000 dilution, shown in green; Mouse anti-GAPDH antibody [6C5] (ab8245) loading control staining at 1/20000 dilution, shown in magenta. In Western blot, ab182126 was shown to bind specifically to PRKCD. A band was observed at 75-80 kDa in wild-type U-87 MG cell lysates with no signal observed at this size in PRKCD knockout cell line. To generate this image, wild-type and PRKCD knockout U-87 MG cell lysates were analysed. First, samples were run on an SDS-PAGE gel then transferred onto a nitrocellulose membrane. Membranes were blocked in 3 % milk in TBS-0.1 % Tween® 20 (TBS-T) before incubation with primary antibodies overnight at 4 °C. Blots were washed four times in TBS-T, incubated with secondary antibodies for 1 h at room temperature, washed again four times then imaged. Secondary antibodies used were Goat anti-Rabbit IgG H&L 800CW and Goat anti-Mouse IgG H&L 680RD at 1/20000 dilution.

All lanes:

Western blot - Anti-PKC delta antibody [EPR17075] (<a href='/en-us/products/primary-antibodies/pkc-delta-antibody-epr17075-ab182126'>ab182126</a>) at 1/5000 dilution

Lane 1:

Wild-type U-87 MG cell lysate at 20 µg

Lane 2:

Western blot - Human PRKCD knockout U-87 MG cell line (<a href='/en-us/products/cell-lines/human-prkcd-knockout-u-87-mg-cell-line-ab306756'>ab306756</a>)

Lane 2:

PRKCD knockout U-87 MG cell lysate at 20 µg

Secondary

Lanes 1 - 2:

Goat anti-Rabbit IgG H&L 800CW at 1/20000 dilution

Lanes 1 - 2:

Goat anti-Mouse IgG H&L 680RD at 1/20000 dilution

Observed band size: 75-80 kDa

false

Western blot - Anti-PKC delta antibody [EPR17075] - BSA and Azide free (AB222229)
  • WB

Lab

Western blot - Anti-PKC delta antibody [EPR17075] - BSA and Azide free (AB222229)

This data was developed using the same antibody clone in a different buffer formulation (ab182126).

Lanes 1- 2 : Merged signal (red and green). Green - ab182126 observed at 80 kDa. Red - Anti-GAPDH antibody [6C5] - Loading Control (ab8245) observed at 37 kDa.

ab182126 was shown to react with PKC delta in wild-type HeLa cells in western blot. Loss of signal was observed when knockout cell line ab265721 (knockout cell lysate ab257043) was used. Wild-type HeLa and PRKCD knockout HeLa cell lysates were subjected to SDS-PAGE. Membrane was blocked for 1 hour at room temperature in 0.1% TBST with 3% non-fat dried milk. ab182126 and Anti-GAPDH antibody [6C5] - Loading Control (ab8245) overnight at 4°C at a 1 in 5000 dilution and a 1 in 20000 dilution respectively. Blots were developed with Goat anti-Rabbit IgG H&L (IRDye®800CW) preadsorbed (ab216773) and Goat anti-Mouse IgG H&L (IRDye®680RD) preadsorbed (ab216776) secondary antibodies at 1 in 20000 dilution for 1 hour at room temperature before imaging.

All lanes:

Western blot - Anti-PKC delta antibody [EPR17075] (<a href='/en-us/products/primary-antibodies/pkc-delta-antibody-epr17075-ab182126'>ab182126</a>) at 1/5000 dilution

Lane 1:

Wild-type HeLa cell lysate at 20 µg

Lane 2:

PRKCD knockout HeLa cell lysate at 20 µg

Predicted band size: 78 kDa

Observed band size: 80 kDa

false

Western blot - Anti-PKC delta antibody [EPR17075] - BSA and Azide free (AB222229)
  • WB

Lab

Western blot - Anti-PKC delta antibody [EPR17075] - BSA and Azide free (AB222229)

This data was developed using the same antibody clone in a different buffer formulation (ab182126).

Lanes 1 - 2 : Merged signal (red and green). Green - ab182126 observed at 78 kDa. Red - loading control, ab8245 (Mouse anti-GAPDH antibody [6C5]) observed at 37kDa.

ab182126 was shown to react with PKC in wild-type HEK-293T cells in western blot. The bands observed in PRKCD CRISPR/Cas9 edited cell line ab266143 (PRKCD CRISPR/Cas9 edited cell lysate ab257042) below 78kDa may represent truncated forms and cleaved fragments. This has not been investigated further. Wild-type and PRKCD CRISPR/Cas9 edited HEK-293T cell lysates were subjected to SDS-PAGE. Membranes were blocked in 3% milk in TBS-T (0.1% Tween®) before incubation with ab182126 and ab8245 (Mouse anti-GAPDH antibody [6C5]) overnight at 4<sup>&

176;</sup>C at a 1 in 5000 dilution and a 1 in 20000 dilution respectively. Blots were incubated with Goat anti-Rabbit IgG H&L (IRDye® 800CW) preabsorbed (ab216773) and Goat anti-Mouse IgG H&L (IRDye® 680RD) preabsorbed (ab216776) secondary antibodies at 1 in 20000 dilution for 1 hour at room temperature before imaging.

All lanes:

Western blot - Anti-PKC delta antibody [EPR17075] (<a href='/en-us/products/primary-antibodies/pkc-delta-antibody-epr17075-ab182126'>ab182126</a>) at 1/5000 dilution

Lane 1:

Wild-type HEK-293T cell lysate at 20 µg

Lane 2:

PRKCD CRISPR/Cas9 edited HEK-293T cell lysate at 20 µg

Lane 2:

Western blot - Human PRKCD (PKC delta) knockout HEK-293T cell line (<a href='/en-us/products/cell-lines/human-prkcd-pkc-delta-knockout-hek-293t-cell-line-ab266143'>ab266143</a>)

Predicted band size: 78 kDa

Observed band size: 78 kDa

false

Western blot - Anti-PKC delta antibody [EPR17075] - BSA and Azide free (AB222229)
  • WB

Lab

Western blot - Anti-PKC delta antibody [EPR17075] - BSA and Azide free (AB222229)

This data was developed using the same antibody clone in a different buffer formulation (ab182126).

Lanes 1 - 4 : Merged signal (red and green). Green - ab182126 observed at 78 kDa. Red - loading control, ab8226, observed at 42 kDa.

ab182126 was shown to specifically react with PKC delta when PKC delta knockout samples were used. Wild-type and PKC delta knockout samples were subjected to SDS-PAGE. ab182126 and ab8226 (loading control to beta Actin) were diluted to 1/5000 and 1/1000 respectively and incubated overnight at 4°C. Blots were developed with Goat anti-Rabbit IgG H&L (IRDye® 800CW) preadsorbed (ab216773) and Goat anti-Mouse IgG H&L (IRDye® 680RD) preadsorbed (ab216776) secondary antibodies at 1/10 000 dilution for 1 h at room temperature before imaging.

All lanes:

Western blot - Anti-PKC delta antibody [EPR17075] - BSA and Azide free (ab222229) at 1/5000 dilution

Lane 1:

Wild-type HAP1 cell lysate at 20 µg

Lane 2:

PKC delta knockout HAP1 cell lysate at 20 µg

Lane 3:

Jurkat cell lysate at 20 µg

Lane 4:

HeLa cell lysate at 20 µg

Predicted band size: 78 kDa

false

  • Unconjugated

    Anti-PKC delta antibody [EPR17075]

  • 660 APC

    APC Anti-PKC delta antibody [EPR17075]

  • 578 PE

    PE Anti-PKC delta antibody [EPR17075]

  • 519 Alexa Fluor® 488

    Alexa Fluor® 488 Anti-PKC delta antibody [EPR17075]

  • 665 Alexa Fluor® 647

    Alexa Fluor® 647 Anti-PKC delta antibody [EPR17075]

Key facts

Host species

Rabbit

Clonality

Monoclonal

Clone number

EPR17075

Isotype

IgG

Carrier free

Yes

Reacts with

Mouse, Rat, Human

Applications

WB, Flow Cyt (Intra), ICC/IF, IHC-P

applications

Immunogen

The exact immunogen used to generate this antibody is proprietary information.

Reactivity data

{ "title": "Reactivity Data", "filters": { "stats": ["", "Species", "Dilution Info", "Notes"], "tabs": { "all-applications": {"fullname" : "All Applications", "shortname": "All Applications"}, "WB" : {"fullname" : "Western blot", "shortname":"WB"}, "ICCIF" : {"fullname" : "Immunocytochemistry/ Immunofluorescence", "shortname":"ICC/IF"}, "FlowCytIntra" : {"fullname" : "Flow Cytometry (Intracellular)", "shortname":"Flow Cyt (Intra)"}, "IHCP" : {"fullname" : "Immunohistochemistry (Formalin/PFA-fixed paraffin-embedded sections)", "shortname":"IHC-P"} }, "product-promise": { "all": "all", "testedAndGuaranteed": "tested", "guaranteed": "expected", "predicted": "predicted", "notRecommended": "not-recommended" } }, "values": { "Human": { "WB-species-checked": "testedAndGuaranteed", "WB-species-dilution-info": "", "WB-species-notes": "<p></p>", "ICCIF-species-checked": "testedAndGuaranteed", "ICCIF-species-dilution-info": "", "ICCIF-species-notes": "<p>Treatment with 10nM PMA for 10 min induces translocation of PKCδ to the membrane.</p>", "FlowCytIntra-species-checked": "testedAndGuaranteed", "FlowCytIntra-species-dilution-info": "", "FlowCytIntra-species-notes": "<p><a href='/en-us/products/primary-antibodies/rabbit-igg-monoclonal-epr25a-isotype-control-low-endotoxin-azide-free-ab199376'>ab199376</a> - Rabbit monoclonal IgG, is suitable for use as an isotype control with this antibody.</p>", "IHCP-species-checked": "testedAndGuaranteed", "IHCP-species-dilution-info": "", "IHCP-species-notes": "<p></p>" }, "Mouse": { "WB-species-checked": "testedAndGuaranteed", "WB-species-dilution-info": "", "WB-species-notes": "<p></p>", "ICCIF-species-checked": "guaranteed", "ICCIF-species-dilution-info": "", "ICCIF-species-notes": "", "FlowCytIntra-species-checked": "guaranteed", "FlowCytIntra-species-dilution-info": "", "FlowCytIntra-species-notes": "", "IHCP-species-checked": "testedAndGuaranteed", "IHCP-species-dilution-info": "", "IHCP-species-notes": "<p></p>" }, "Rat": { "WB-species-checked": "testedAndGuaranteed", "WB-species-dilution-info": "", "WB-species-notes": "<p></p>", "ICCIF-species-checked": "guaranteed", "ICCIF-species-dilution-info": "", "ICCIF-species-notes": "", "FlowCytIntra-species-checked": "guaranteed", "FlowCytIntra-species-dilution-info": "", "FlowCytIntra-species-notes": "", "IHCP-species-checked": "testedAndGuaranteed", "IHCP-species-dilution-info": "", "IHCP-species-notes": "<p></p>" } } }

Product details

ab222229 is the carrier-free version of ab182126.

Patented technology
Our RabMAb® technology is a patented hybridoma-based technology for making rabbit monoclonal antibodies. For details on our patents, please refer to RabMAb® patents.

What are the advantages of a recombinant monoclonal antibody?
This product is a recombinant monoclonal antibody, which offers several advantages including:

  • - High batch-to-batch consistency and reproducibility
  • - Improved sensitivity and specificity
  • - Long-term security of supply
  • - Animal-free batch production

For more information, read more on recombinant antibodies.

Conjugation ready
Our carrier-free antibodies are typically supplied in a PBS-only formulation, purified and free of BSA, sodium azide and glycerol. This conjugation-ready format is designed for use with fluorochromes, metal isotopes, oligonucleotides, and enzymes, which makes them ideal for antibody labelling, functional and cell-based assays, flow-based assays (e.g. mass cytometry) and Multiplex Imaging applications.

Use our conjugation kits for antibody conjugates that are ready-to-use in as little as 20 minutes with 1 minute hands-on-time and 100% antibody recovery: available for fluorescent dyes, HRP, biotin and gold.

Compatibility
This product is compatible with the Maxpar® Antibody Labeling Kit from Fluidigm, without the need for antibody preparation. Maxpar® is a trademark of Fluidigm Canada Inc.

Properties and storage information

Form
Liquid
Purification technique
Affinity purification Protein A
Storage buffer
pH: 7.2 - 7.4 Constituents: PBS
Shipped at conditions
Blue Ice
Appropriate short-term storage conditions
+4°C
Appropriate long-term storage conditions
+4°C
Storage information
Do Not Freeze

Supplementary information

This supplementary information is collated from multiple sources and compiled automatically.

Protein kinase C delta (PKC delta) often called PKCδ belongs to the novel PKC subfamily. It weighs approximately 78 kDa and functions in various cellular processes. This enzyme exhibits serine/threonine kinase activity and is expressed across numerous tissues including the brain heart and lymphoid organs. PKC delta activation mainly relies on diacylglycerol and phospholipids though it does not require calcium for activation. This target has multiple known phosphorylation sites such as delta 1485 and delta 647 that modulate its enzymatic activity and localization.
Biological function summary

PKC delta influences cell growth apoptosis and differentiation through its kinase activity. It acts as an important regulator in the signaling pathways that control these processes. PKC delta is not a part of a traditional complex but interacts with several proteins influencing signaling cascades. In cellular contexts PKC delta positively influences tumor necrosis factor-related pathways and also initiates apoptosis in response to DNA damage.

Pathways

PKC delta plays an essential role in the regulation of mitogen-activated protein kinase (MAPK) and Janus kinase (JAK) pathways. Within the MAPK pathway PKC delta interacts with proteins like c-Jun N-terminal kinase (JNK) facilitating stress-responsive pathways related to cell death and survival. In the JAK pathway its regulation can impact cytokine signaling and immune responses. PKC delta's function within these pathways positions it as an important mediator and influencer of diverse cellular responses.

PKC delta has significant implications for cancer and cardiovascular diseases. PKC delta promotes tumor cell proliferation in some cancers by altering cell cycle regulation and resist apoptosis. In cardiovascular disorders this protein mediates cardiac hypertrophy and heart failure through its influence on myocyte apoptosis and fibrosis. PKC delta’s interaction with specific proteins like Bcl-2 in cancer and troponin in cardiac conditions highlights its role in pathophysiological processes making it a significant target for therapeutic intervention.

Product protocols

For this product, it's our understanding that no specific protocols are required. You can visit:

Target data

Calcium-independent, phospholipid- and diacylglycerol (DAG)-dependent serine/threonine-protein kinase that plays contrasting roles in cell death and cell survival by functioning as a pro-apoptotic protein during DNA damage-induced apoptosis, but acting as an anti-apoptotic protein during cytokine receptor-initiated cell death, is involved in tumor suppression as well as survival of several cancers, is required for oxygen radical production by NADPH oxidase and acts as positive or negative regulator in platelet functional responses (PubMed : 21406692, PubMed : 21810427). Negatively regulates B cell proliferation and also has an important function in self-antigen induced B cell tolerance induction (By similarity). Upon DNA damage, activates the promoter of the death-promoting transcription factor BCLAF1/Btf to trigger BCLAF1-mediated p53/TP53 gene transcription and apoptosis (PubMed : 21406692, PubMed : 21810427). In response to oxidative stress, interact with and activate CHUK/IKKA in the nucleus, causing the phosphorylation of p53/TP53 (PubMed : 21406692, PubMed : 21810427). In the case of ER stress or DNA damage-induced apoptosis, can form a complex with the tyrosine-protein kinase ABL1 which trigger apoptosis independently of p53/TP53 (PubMed : 21406692, PubMed : 21810427). In cytosol can trigger apoptosis by activating MAPK11 or MAPK14, inhibiting AKT1 and decreasing the level of X-linked inhibitor of apoptosis protein (XIAP), whereas in nucleus induces apoptosis via the activation of MAPK8 or MAPK9. Upon ionizing radiation treatment, is required for the activation of the apoptosis regulators BAX and BAK, which trigger the mitochondrial cell death pathway. Can phosphorylate MCL1 and target it for degradation which is sufficient to trigger for BAX activation and apoptosis. Is required for the control of cell cycle progression both at G1/S and G2/M phases. Mediates phorbol 12-myristate 13-acetate (PMA)-induced inhibition of cell cycle progression at G1/S phase by up-regulating the CDK inhibitor CDKN1A/p21 and inhibiting the cyclin CCNA2 promoter activity. In response to UV irradiation can phosphorylate CDK1, which is important for the G2/M DNA damage checkpoint activation (By similarity). Can protect glioma cells from the apoptosis induced by TNFSF10/TRAIL, probably by inducing increased phosphorylation and subsequent activation of AKT1 (PubMed : 15774464). Is highly expressed in a number of cancer cells and promotes cell survival and resistance against chemotherapeutic drugs by inducing cyclin D1 (CCND1) and hyperphosphorylation of RB1, and via several pro-survival pathways, including NF-kappa-B, AKT1 and MAPK1/3 (ERK1/2). Involved in antifungal immunity by mediating phosphorylation and activation of CARD9 downstream of C-type lectin receptors activation, promoting interaction between CARD9 and BCL10, followed by activation of NF-kappa-B and MAP kinase p38 pathways (By similarity). Can also act as tumor suppressor upon mitogenic stimulation with PMA or TPA. In N-formyl-methionyl-leucyl-phenylalanine (fMLP)-treated cells, is required for NCF1 (p47-phox) phosphorylation and activation of NADPH oxidase activity, and regulates TNF-elicited superoxide anion production in neutrophils, by direct phosphorylation and activation of NCF1 or indirectly through MAPK1/3 (ERK1/2) signaling pathways (PubMed : 19801500). May also play a role in the regulation of NADPH oxidase activity in eosinophil after stimulation with IL5, leukotriene B4 or PMA (PubMed : 11748588). In collagen-induced platelet aggregation, acts a negative regulator of filopodia formation and actin polymerization by interacting with and negatively regulating VASP phosphorylation (PubMed : 16940418). Downstream of PAR1, PAR4 and CD36/GP4 receptors, regulates differentially platelet dense granule secretion; acts as a positive regulator in PAR-mediated granule secretion, whereas it negatively regulates CD36/GP4-mediated granule release (PubMed : 19587372). Phosphorylates MUC1 in the C-terminal and regulates the interaction between MUC1 and beta-catenin (PubMed : 11877440). The catalytic subunit phosphorylates 14-3-3 proteins (YWHAB, YWHAZ and YWHAH) in a sphingosine-dependent fashion (By similarity). Phosphorylates ELAVL1 in response to angiotensin-2 treatment (PubMed : 18285462). Phosphorylates mitochondrial phospholipid scramblase 3 (PLSCR3), resulting in increased cardiolipin expression on the mitochondrial outer membrane which facilitates apoptosis (PubMed : 12649167). Phosphorylates SMPD1 which induces SMPD1 secretion (PubMed : 17303575).
See full target information PRKCD

Publications (1)

Recent publications for all applications. Explore the full list and refine your search

Journal of neurochemistry 136:958-70 PubMed26640965

2015

Anti-inflammatory properties of tianeptine on lipopolysaccharide-induced changes in microglial cells involve toll-like receptor-related pathways.

Applications

Unspecified application

Species

Unspecified reactive species

Joanna Slusarczyk,Ewa Trojan,Katarzyna Glombik,Anna Piotrowska,Boguslawa Budziszewska,Marta Kubera,Katarzyna Popiolek-Barczyk,Wladyslaw Lason,Joanna Mika,Agnieszka Basta-Kaim
View all publications

Product promise

We are committed to supporting your work with high-quality reagents, and we're here for you every step of the way. In the unlikely event that one of our products does not perform as expected, you're protected by our Product Promise.
For full details, please see our Terms & Conditions

Please note: All products are 'FOR RESEARCH USE ONLY. NOT FOR USE IN DIAGNOSTIC OR THERAPEUTIC PROCEDURES'.

For licensing inquiries, please contact partnerships@abcam.com