JavaScript is disabled in your browser. Please enable JavaScript to view this website.
AB188170

Anti-PKC delta (phospho S299) antibody [EPNCI119] - BSA and Azide free

Be the first to review this product! Submit a review

|

(1 Publication)

Rabbit Monoclonal PKC delta phospho S299 antibody. Carrier free. Suitable for IHC-P, WB and reacts with Human samples. Cited in 1 publication.

View Alternative Names

PKCD, PRKCD, Protein kinase C delta type, Tyrosine-protein kinase PRKCD, nPKC-delta

2 Images
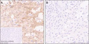
Immunohistochemistry (Formalin/PFA-fixed paraffin-embedded sections) - Anti-PKC delta (phospho S299) antibody [EPNCI119] - BSA and Azide free (AB188170)
  • IHC-P

Supplier Data

Immunohistochemistry (Formalin/PFA-fixed paraffin-embedded sections) - Anti-PKC delta (phospho S299) antibody [EPNCI119] - BSA and Azide free (AB188170)

This data was developed using ab133456, the same antibody clone in a different buffer formulation.

Immunohistochemical analysis of paraffin-embedded Human bladder cancer tissue labeling PKC delta with ab133456 at 1/5000 (0.077 μg/ml). Positive staining on human bladder cancer without alkaline phosphatase treatment (image A). No signal was detected when tissues were treated with alkaline phosphatase (image B). The human bladder cancer sections were performed by Rabbit specific IHC polymer detection kit HRP/DAB (ab209101). The sections were using heat mediated antigen retrieval with Tris-EDTA buffer (pH 9.0, epitope retrieval solution 2) for 20 mins, then labeling ab133456 at 1/5000 dilution for 30 mins at room temperature. Counterstained with hematoxylin. The immunostaining was performed on a Leica Biosystems BOND® RX instrument.

Western blot - Anti-PKC delta (phospho S299) antibody [EPNCI119] - BSA and Azide free (AB188170)
  • WB

Supplier Data

Western blot - Anti-PKC delta (phospho S299) antibody [EPNCI119] - BSA and Azide free (AB188170)

This data was developed using ab133456, the same antibody clone in a different buffer formulation.

All lanes:

Western blot - Anti-PKC delta (phospho S299) antibody [EPNCI119] (<a href='/en-us/products/primary-antibodies/pkc-delta-phospho-s299-antibody-epnci119-ab133456'>ab133456</a>) at 1/5000 dilution

Lane 1:

Untreated MCF7 (Human breast adenocarcinoma epithelial cell) whole cell lysate at 15 µg

Lane 2:

MCF7 treated with 100nM Calyculin A for 30min whole cell lysate at 15 µg

Lane 3:

MCF7 treated with 100nM Calyculin A for 30min whole cell lysate, then the membrane was incubated with phosphatase at 15 µg

Secondary

All lanes:

Western blot - Goat Anti-Rabbit IgG H&L (HRP) (<a href='/en-us/products/secondary-antibodies/goat-rabbit-igg-h-l-hrp-ab97051'>ab97051</a>) at 1/20000 dilution

Predicted band size: 78 kDa

Observed band size: 78 kDa

false

  • Unconjugated

    Anti-PKC delta (phospho S299) antibody [EPNCI119]

Key facts

Host species

Rabbit

Clonality

Monoclonal

Clone number

EPNCI119

Isotype

IgG

Carrier free

Yes

Reacts with

Human

Applications

WB, IHC-P

applications

Immunogen

The exact immunogen used to generate this antibody is proprietary information.

Reactivity data

{ "title": "Reactivity Data", "filters": { "stats": ["", "Species", "Dilution Info", "Notes"], "tabs": { "all-applications": {"fullname" : "All Applications", "shortname": "All Applications"}, "IHCP" : {"fullname" : "Immunohistochemistry (Formalin/PFA-fixed paraffin-embedded sections)", "shortname":"IHC-P"}, "ICCIF" : {"fullname" : "Immunocytochemistry/ Immunofluorescence", "shortname":"ICC/IF"}, "FlowCyt" : {"fullname" : "Flow Cytometry", "shortname":"Flow Cyt"}, "WB" : {"fullname" : "Western blot", "shortname":"WB"} }, "product-promise": { "all": "all", "testedAndGuaranteed": "tested", "guaranteed": "expected", "predicted": "predicted", "notRecommended": "not-recommended" } }, "values": { "Human": { "IHCP-species-checked": "testedAndGuaranteed", "IHCP-species-dilution-info": "", "IHCP-species-notes": "<p></p>", "ICCIF-species-checked": "notRecommended", "ICCIF-species-dilution-info": "", "ICCIF-species-notes": "<p></p>", "FlowCyt-species-checked": "notRecommended", "FlowCyt-species-dilution-info": "", "FlowCyt-species-notes": "<p></p>", "WB-species-checked": "testedAndGuaranteed", "WB-species-dilution-info": "", "WB-species-notes": "<p></p>" } } }

Product details

This product has switched from a hybridoma to recombinant production method on 29th January 2024.

ab188170 is the carrier-free version of ab133456.

This antibody was developed as part of a collaboration between Epitomics, the National Cancer Institutes Center for Cancer Research and the lab of Peter Blumberg. View antibodies from NCI Center for Cancer Research Collaboration.

The auto-phosphorylation of PKC delta at pS299 targeted by ab133456 was identified in the following paper: FEBS Lett. 2007 Jul 24;581(18):3377-81. Novel phosphorylation site markers of protein kinase C delta activation. Durgan J1, Michael N, Totty N, Parker PJ.

Patented technology
Our RabMAb® technology is a patented hybridoma-based technology for making rabbit monoclonal antibodies. For details on our patents, please refer to RabMAb® patents.

Conjugation ready
Our carrier-free antibodies are typically supplied in a PBS-only formulation, purified and free of BSA, sodium azide and glycerol. This conjugation-ready format is designed for use with fluorochromes, metal isotopes, oligonucleotides, and enzymes, which makes them ideal for antibody labelling, functional and cell-based assays, flow-based assays (e.g. mass cytometry) and Multiplex Imaging applications.

Use our conjugation kits for antibody conjugates that are ready-to-use in as little as 20 minutes with 1 minute hands-on-time and 100% antibody recovery: available for fluorescent dyes, HRP, biotin and gold.

Compatibility
This product is compatible with the Maxpar® Antibody Labeling Kit from Fluidigm, without the need for antibody preparation. Maxpar® is a trademark of Fluidigm Canada Inc.

What are the advantages of a recombinant monoclonal antibody?
This product is a recombinant monoclonal antibody, which offers several advantages including:

  • - High batch-to-batch consistency and reproducibility
  • - Improved sensitivity and specificity
  • - Long-term security of supply
  • - Animal-free batch production

For more information, read more on recombinant antibodies.

Species reactivity
Rat: We have preliminary internal testing data to indicate this antibody may not react with this species.
Please contact us for more information.

Properties and storage information

Form
Liquid
Purification technique
Affinity purification Protein A
Storage buffer
pH: 7.2 - 7.4 Constituents: PBS
Shipped at conditions
Blue Ice
Appropriate short-term storage conditions
+4°C
Appropriate long-term storage conditions
+4°C
Storage information
Do Not Freeze

Supplementary information

This supplementary information is collated from multiple sources and compiled automatically.

Protein kinase C delta (PKC delta) often called PKCδ belongs to the novel PKC subfamily. It weighs approximately 78 kDa and functions in various cellular processes. This enzyme exhibits serine/threonine kinase activity and is expressed across numerous tissues including the brain heart and lymphoid organs. PKC delta activation mainly relies on diacylglycerol and phospholipids though it does not require calcium for activation. This target has multiple known phosphorylation sites such as delta 1485 and delta 647 that modulate its enzymatic activity and localization.
Biological function summary

PKC delta influences cell growth apoptosis and differentiation through its kinase activity. It acts as an important regulator in the signaling pathways that control these processes. PKC delta is not a part of a traditional complex but interacts with several proteins influencing signaling cascades. In cellular contexts PKC delta positively influences tumor necrosis factor-related pathways and also initiates apoptosis in response to DNA damage.

Pathways

PKC delta plays an essential role in the regulation of mitogen-activated protein kinase (MAPK) and Janus kinase (JAK) pathways. Within the MAPK pathway PKC delta interacts with proteins like c-Jun N-terminal kinase (JNK) facilitating stress-responsive pathways related to cell death and survival. In the JAK pathway its regulation can impact cytokine signaling and immune responses. PKC delta's function within these pathways positions it as an important mediator and influencer of diverse cellular responses.

PKC delta has significant implications for cancer and cardiovascular diseases. PKC delta promotes tumor cell proliferation in some cancers by altering cell cycle regulation and resist apoptosis. In cardiovascular disorders this protein mediates cardiac hypertrophy and heart failure through its influence on myocyte apoptosis and fibrosis. PKC delta’s interaction with specific proteins like Bcl-2 in cancer and troponin in cardiac conditions highlights its role in pathophysiological processes making it a significant target for therapeutic intervention.

Product protocols

For this product, it's our understanding that no specific protocols are required. You can visit:

Target data

Calcium-independent, phospholipid- and diacylglycerol (DAG)-dependent serine/threonine-protein kinase that plays contrasting roles in cell death and cell survival by functioning as a pro-apoptotic protein during DNA damage-induced apoptosis, but acting as an anti-apoptotic protein during cytokine receptor-initiated cell death, is involved in tumor suppression as well as survival of several cancers, is required for oxygen radical production by NADPH oxidase and acts as positive or negative regulator in platelet functional responses (PubMed : 21406692, PubMed : 21810427). Negatively regulates B cell proliferation and also has an important function in self-antigen induced B cell tolerance induction (By similarity). Upon DNA damage, activates the promoter of the death-promoting transcription factor BCLAF1/Btf to trigger BCLAF1-mediated p53/TP53 gene transcription and apoptosis (PubMed : 21406692, PubMed : 21810427). In response to oxidative stress, interact with and activate CHUK/IKKA in the nucleus, causing the phosphorylation of p53/TP53 (PubMed : 21406692, PubMed : 21810427). In the case of ER stress or DNA damage-induced apoptosis, can form a complex with the tyrosine-protein kinase ABL1 which trigger apoptosis independently of p53/TP53 (PubMed : 21406692, PubMed : 21810427). In cytosol can trigger apoptosis by activating MAPK11 or MAPK14, inhibiting AKT1 and decreasing the level of X-linked inhibitor of apoptosis protein (XIAP), whereas in nucleus induces apoptosis via the activation of MAPK8 or MAPK9. Upon ionizing radiation treatment, is required for the activation of the apoptosis regulators BAX and BAK, which trigger the mitochondrial cell death pathway. Can phosphorylate MCL1 and target it for degradation which is sufficient to trigger for BAX activation and apoptosis. Is required for the control of cell cycle progression both at G1/S and G2/M phases. Mediates phorbol 12-myristate 13-acetate (PMA)-induced inhibition of cell cycle progression at G1/S phase by up-regulating the CDK inhibitor CDKN1A/p21 and inhibiting the cyclin CCNA2 promoter activity. In response to UV irradiation can phosphorylate CDK1, which is important for the G2/M DNA damage checkpoint activation (By similarity). Can protect glioma cells from the apoptosis induced by TNFSF10/TRAIL, probably by inducing increased phosphorylation and subsequent activation of AKT1 (PubMed : 15774464). Is highly expressed in a number of cancer cells and promotes cell survival and resistance against chemotherapeutic drugs by inducing cyclin D1 (CCND1) and hyperphosphorylation of RB1, and via several pro-survival pathways, including NF-kappa-B, AKT1 and MAPK1/3 (ERK1/2). Involved in antifungal immunity by mediating phosphorylation and activation of CARD9 downstream of C-type lectin receptors activation, promoting interaction between CARD9 and BCL10, followed by activation of NF-kappa-B and MAP kinase p38 pathways (By similarity). Can also act as tumor suppressor upon mitogenic stimulation with PMA or TPA. In N-formyl-methionyl-leucyl-phenylalanine (fMLP)-treated cells, is required for NCF1 (p47-phox) phosphorylation and activation of NADPH oxidase activity, and regulates TNF-elicited superoxide anion production in neutrophils, by direct phosphorylation and activation of NCF1 or indirectly through MAPK1/3 (ERK1/2) signaling pathways (PubMed : 19801500). May also play a role in the regulation of NADPH oxidase activity in eosinophil after stimulation with IL5, leukotriene B4 or PMA (PubMed : 11748588). In collagen-induced platelet aggregation, acts a negative regulator of filopodia formation and actin polymerization by interacting with and negatively regulating VASP phosphorylation (PubMed : 16940418). Downstream of PAR1, PAR4 and CD36/GP4 receptors, regulates differentially platelet dense granule secretion; acts as a positive regulator in PAR-mediated granule secretion, whereas it negatively regulates CD36/GP4-mediated granule release (PubMed : 19587372). Phosphorylates MUC1 in the C-terminal and regulates the interaction between MUC1 and beta-catenin (PubMed : 11877440). The catalytic subunit phosphorylates 14-3-3 proteins (YWHAB, YWHAZ and YWHAH) in a sphingosine-dependent fashion (By similarity). Phosphorylates ELAVL1 in response to angiotensin-2 treatment (PubMed : 18285462). Phosphorylates mitochondrial phospholipid scramblase 3 (PLSCR3), resulting in increased cardiolipin expression on the mitochondrial outer membrane which facilitates apoptosis (PubMed : 12649167). Phosphorylates SMPD1 which induces SMPD1 secretion (PubMed : 17303575).
See full target information PRKCD phospho S299

Publications (1)

Recent publications for all applications. Explore the full list and refine your search

Experimental and therapeutic medicine 17:3509-3517 PubMed30988731

2019

Edoxaban improves atrial fibrillation and thromboembolism through regulation of the Wnt-β-induced PI3K/ATK-activated protein C system.

Applications

Unspecified application

Species

Unspecified reactive species

Xuefeng Shan,Zhiqiang Liu,Muhuyati Wulasihan,Songfeng Ma
View all publications

Product promise

We are committed to supporting your work with high-quality reagents, and we're here for you every step of the way. In the unlikely event that one of our products does not perform as expected, you're protected by our Product Promise.
For full details, please see our Terms & Conditions

Please note: All products are 'FOR RESEARCH USE ONLY. NOT FOR USE IN DIAGNOSTIC OR THERAPEUTIC PROCEDURES'.

For licensing inquiries, please contact partnerships@abcam.com