JavaScript is disabled in your browser. Please enable JavaScript to view this website.
AB76181

Anti-PKC delta (phospho Y311) antibody [EPR2609Y]

3

(2 Reviews)

|

(10 Publications)

Rabbit Recombinant Monoclonal PKC delta phospho Y311 antibody. Suitable for IHC-P, IP, Dot, WB and reacts with Human, Synthetic peptide samples. Cited in 10 publications.

View Alternative Names

PKCD, PRKCD, Protein kinase C delta type, Tyrosine-protein kinase PRKCD, nPKC-delta

5 Images
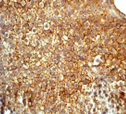
Immunohistochemistry (Formalin/PFA-fixed paraffin-embedded sections) - Anti-PKC delta (phospho Y311) antibody [EPR2609Y] (AB76181)
  • IHC-P

Unknown

Immunohistochemistry (Formalin/PFA-fixed paraffin-embedded sections) - Anti-PKC delta (phospho Y311) antibody [EPR2609Y] (AB76181)

Immunohistochemical analysis of paraffin-embedded human urinary bladder carcinoma with ab76181 at 1/100 dilution.

Perform heat mediated antigen retrieval before commencing with IHC staining protocol.

Immunoprecipitation - Anti-PKC delta (phospho Y311) antibody [EPR2609Y] (AB76181)
  • IP

Lab

Immunoprecipitation - Anti-PKC delta (phospho Y311) antibody [EPR2609Y] (AB76181)

ab76181 at 1/20 immunoprecipitating PKC delta (phospho Y311) in HeLa treated with 10mM H2O2 for 1 hour whole cell lysate.

Lane 1 (input) : HeLa treated with 10mM H2O2 for 1 hour whole cell lysate (10μg)
Lane 2 (+) : ab76181 + HeLa treated with 10mM H2O2 for 1 hour whole cell lysate.
Lane 3 (-) : Rabbit monoclonal IgG (ab172730) instead of ab76181 in HeLa treated with 10mM H2O2 for 1 hour whole cell lysate.

For western blotting, ab76181 was used as a dilution of 1/200 followed by ab131366 VeriBlot for IP (HRP) at a dilution of 1/1000.

Blocking buffer and concentration : 5% NFDM/TBST.
Diluting buffer and concentration : 5% NFDM /TBST.

All lanes:

Immunoprecipitation - Anti-PKC delta (phospho Y311) antibody [EPR2609Y] (ab76181)

Predicted band size: 78 kDa

Observed band size: 78 kDa

false

Exposure time: 5s

Western blot - Anti-PKC delta (phospho Y311) antibody [EPR2609Y] (AB76181)
  • WB

Unknown

Western blot - Anti-PKC delta (phospho Y311) antibody [EPR2609Y] (AB76181)

All lanes:

Western blot - Anti-PKC delta (phospho Y311) antibody [EPR2609Y] (ab76181) at 1/5000 dilution

Lane 1:

U937 cell lysate at 10 µg

Lane 2:

U937 cell lysate treated with TPA at 10 µg

Secondary

All lanes:

Goat anti-rabbit-HRP at 1/2000 dilution

Predicted band size: 78 kDa

Observed band size: 78 kDa

false

Western blot - Anti-PKC delta (phospho Y311) antibody [EPR2609Y] (AB76181)
  • WB

Lab

Western blot - Anti-PKC delta (phospho Y311) antibody [EPR2609Y] (AB76181)

Blocking and diluting buffer and concentration : 5% NFDM/TBST.

All lanes:

Western blot - Anti-PKC delta (phospho Y311) antibody [EPR2609Y] (ab76181) at 1/500 dilution

Lane 1:

HeLa (Human cervix adenocarcinoma epithelial cell) whole cell lysates at 15 µg

Lane 2:

HeLa (Human cervix adenocarcinoma epithelial cell) treated with Phorbol-12-myristate-13-acetate at 200nM for 20 minutes. Whole cell lysates at 15 µg

Lane 3:

HeLa (Human cervix adenocarcinoma epithelial cell) treated with Phorbol-12-myristate-13-acetate at 200nM for 20 minutes. Whole cell lysates. Then the membrane was incubated with phosphatase. at 15 µg

Secondary

All lanes:

Western blot - Goat Anti-Rabbit IgG H&L (HRP) (<a href='/en-us/products/secondary-antibodies/goat-rabbit-igg-h-l-hrp-ab97051'>ab97051</a>) at 1/20000 dilution

Predicted band size: 78 kDa

Observed band size: 78 kDa

false

Exposure time: 3min

Dot Blot - Anti-PKC delta (phospho Y311) antibody [EPR2609Y] (AB76181)
  • Dot

Unknown

Dot Blot - Anti-PKC delta (phospho Y311) antibody [EPR2609Y] (AB76181)

Dot blot analysis of PKC delta (pY311) phospho peptide (Lane 1) and PKC delta non-phospho peptide (Lane 2) using ab76181 at 1/1000 dilution followed by Goat Anti-Rabbit IgG (H+L) Peroxidase conjugated (ab97051) at 1/100000 dilution.

Blocking and Diluting buffer and concentration : 5% NFDM /TBST.

Exposure time : 3 minutes.

  • Carrier free

    Anti-PKC delta (phospho Y311) antibody [EPR2609Y] - BSA and Azide free

Key facts

Host species

Rabbit

Clonality

Monoclonal

Clone number

EPR2609Y

Isotype

IgG

Carrier free

No

Reacts with

Human

Applications

IP, Dot, IHC-P, WB

applications

Immunogen

The exact immunogen used to generate this antibody is proprietary information.

Reactivity data

{ "title": "Reactivity Data", "filters": { "stats": ["", "Species", "Dilution Info", "Notes"], "tabs": { "all-applications": {"fullname" : "All Applications", "shortname": "All Applications"}, "IHCP" : {"fullname" : "Immunohistochemistry (Formalin/PFA-fixed paraffin-embedded sections)", "shortname":"IHC-P"}, "IP" : {"fullname" : "Immunoprecipitation", "shortname":"IP"}, "FlowCyt" : {"fullname" : "Flow Cytometry", "shortname":"Flow Cyt"}, "Dot" : {"fullname" : "Dot Blot", "shortname":"Dot"}, "WB" : {"fullname" : "Western blot", "shortname":"WB"}, "ICCIF" : {"fullname" : "Immunocytochemistry/ Immunofluorescence", "shortname":"ICC/IF"} }, "product-promise": { "all": "all", "testedAndGuaranteed": "tested", "guaranteed": "expected", "predicted": "predicted", "notRecommended": "not-recommended" } }, "values": { "Human": { "IHCP-species-checked": "testedAndGuaranteed", "IHCP-species-dilution-info": "1/100", "IHCP-species-notes": "<p></p> Perform heat-mediated antigen retrieval before commencing with IHC staining protocol.", "IP-species-checked": "testedAndGuaranteed", "IP-species-dilution-info": "1/40", "IP-species-notes": "<p></p>", "FlowCyt-species-checked": "notRecommended", "FlowCyt-species-dilution-info": "", "FlowCyt-species-notes": "<p></p>", "Dot-species-checked": "guaranteed", "Dot-species-dilution-info": "", "Dot-species-notes": "", "WB-species-checked": "testedAndGuaranteed", "WB-species-dilution-info": "1/2500 - 1/5000", "WB-species-notes": "<p></p>", "ICCIF-species-checked": "notRecommended", "ICCIF-species-dilution-info": "", "ICCIF-species-notes": "<p></p>" }, "Mouse": { "IHCP-species-checked": "predicted", "IHCP-species-dilution-info": "", "IHCP-species-notes": "", "IP-species-checked": "predicted", "IP-species-dilution-info": "", "IP-species-notes": "", "FlowCyt-species-checked": "notRecommended", "FlowCyt-species-dilution-info": "", "FlowCyt-species-notes": "", "Dot-species-checked": "predicted", "Dot-species-dilution-info": "", "Dot-species-notes": "", "WB-species-checked": "predicted", "WB-species-dilution-info": "", "WB-species-notes": "", "ICCIF-species-checked": "notRecommended", "ICCIF-species-dilution-info": "", "ICCIF-species-notes": "" }, "Synthetic peptide": { "IHCP-species-checked": "notRecommended", "IHCP-species-dilution-info": "", "IHCP-species-notes": "", "IP-species-checked": "notRecommended", "IP-species-dilution-info": "", "IP-species-notes": "", "FlowCyt-species-checked": "notRecommended", "FlowCyt-species-dilution-info": "", "FlowCyt-species-notes": "", "Dot-species-checked": "testedAndGuaranteed", "Dot-species-dilution-info": "1/1000", "Dot-species-notes": "<p></p>", "WB-species-checked": "notRecommended", "WB-species-dilution-info": "", "WB-species-notes": "", "ICCIF-species-checked": "notRecommended", "ICCIF-species-dilution-info": "", "ICCIF-species-notes": "" } } }

Product details

Patented technology
Our RabMAb® technology is a patented hybridoma-based technology for making rabbit monoclonal antibodies. For details on our patents, please refer to RabMAb® patents.

What are the advantages of a recombinant monoclonal antibody?
This product is a recombinant monoclonal antibody, which offers several advantages including:

  • - High batch-to-batch consistency and reproducibility
  • - Improved sensitivity and specificity
  • - Long-term security of supply
  • - Animal-free batch production

For more information, read more on recombinant antibodies.

Species reactivity
Rat: We have preliminary internal testing data to indicate this antibody may not react with this species.
Please contact us for more information.

Properties and storage information

Form
Liquid
Purification technique
Affinity purification Protein A
Storage buffer
pH: 7.2 - 7.4 Preservative: 0.01% Sodium azide Constituents: PBS, 50% Tissue culture supernatant, 40% Glycerol (glycerin, glycerine), 0.05% BSA
Shipped at conditions
Blue Ice
Appropriate short-term storage conditions
+4°C
Appropriate long-term storage conditions
-20°C
Aliquoting information
Upon delivery aliquot
Storage information
Avoid freeze / thaw cycle

Supplementary information

This supplementary information is collated from multiple sources and compiled automatically.

Protein kinase C delta (PKC delta) often called PKCδ belongs to the novel PKC subfamily. It weighs approximately 78 kDa and functions in various cellular processes. This enzyme exhibits serine/threonine kinase activity and is expressed across numerous tissues including the brain heart and lymphoid organs. PKC delta activation mainly relies on diacylglycerol and phospholipids though it does not require calcium for activation. This target has multiple known phosphorylation sites such as delta 1485 and delta 647 that modulate its enzymatic activity and localization.
Biological function summary

PKC delta influences cell growth apoptosis and differentiation through its kinase activity. It acts as an important regulator in the signaling pathways that control these processes. PKC delta is not a part of a traditional complex but interacts with several proteins influencing signaling cascades. In cellular contexts PKC delta positively influences tumor necrosis factor-related pathways and also initiates apoptosis in response to DNA damage.

Pathways

PKC delta plays an essential role in the regulation of mitogen-activated protein kinase (MAPK) and Janus kinase (JAK) pathways. Within the MAPK pathway PKC delta interacts with proteins like c-Jun N-terminal kinase (JNK) facilitating stress-responsive pathways related to cell death and survival. In the JAK pathway its regulation can impact cytokine signaling and immune responses. PKC delta's function within these pathways positions it as an important mediator and influencer of diverse cellular responses.

PKC delta has significant implications for cancer and cardiovascular diseases. PKC delta promotes tumor cell proliferation in some cancers by altering cell cycle regulation and resist apoptosis. In cardiovascular disorders this protein mediates cardiac hypertrophy and heart failure through its influence on myocyte apoptosis and fibrosis. PKC delta’s interaction with specific proteins like Bcl-2 in cancer and troponin in cardiac conditions highlights its role in pathophysiological processes making it a significant target for therapeutic intervention.

Product protocols

For this product, it's our understanding that no specific protocols are required. You can visit:

Target data

Calcium-independent, phospholipid- and diacylglycerol (DAG)-dependent serine/threonine-protein kinase that plays contrasting roles in cell death and cell survival by functioning as a pro-apoptotic protein during DNA damage-induced apoptosis, but acting as an anti-apoptotic protein during cytokine receptor-initiated cell death, is involved in tumor suppression as well as survival of several cancers, is required for oxygen radical production by NADPH oxidase and acts as positive or negative regulator in platelet functional responses (PubMed : 21406692, PubMed : 21810427). Negatively regulates B cell proliferation and also has an important function in self-antigen induced B cell tolerance induction (By similarity). Upon DNA damage, activates the promoter of the death-promoting transcription factor BCLAF1/Btf to trigger BCLAF1-mediated p53/TP53 gene transcription and apoptosis (PubMed : 21406692, PubMed : 21810427). In response to oxidative stress, interact with and activate CHUK/IKKA in the nucleus, causing the phosphorylation of p53/TP53 (PubMed : 21406692, PubMed : 21810427). In the case of ER stress or DNA damage-induced apoptosis, can form a complex with the tyrosine-protein kinase ABL1 which trigger apoptosis independently of p53/TP53 (PubMed : 21406692, PubMed : 21810427). In cytosol can trigger apoptosis by activating MAPK11 or MAPK14, inhibiting AKT1 and decreasing the level of X-linked inhibitor of apoptosis protein (XIAP), whereas in nucleus induces apoptosis via the activation of MAPK8 or MAPK9. Upon ionizing radiation treatment, is required for the activation of the apoptosis regulators BAX and BAK, which trigger the mitochondrial cell death pathway. Can phosphorylate MCL1 and target it for degradation which is sufficient to trigger for BAX activation and apoptosis. Is required for the control of cell cycle progression both at G1/S and G2/M phases. Mediates phorbol 12-myristate 13-acetate (PMA)-induced inhibition of cell cycle progression at G1/S phase by up-regulating the CDK inhibitor CDKN1A/p21 and inhibiting the cyclin CCNA2 promoter activity. In response to UV irradiation can phosphorylate CDK1, which is important for the G2/M DNA damage checkpoint activation (By similarity). Can protect glioma cells from the apoptosis induced by TNFSF10/TRAIL, probably by inducing increased phosphorylation and subsequent activation of AKT1 (PubMed : 15774464). Is highly expressed in a number of cancer cells and promotes cell survival and resistance against chemotherapeutic drugs by inducing cyclin D1 (CCND1) and hyperphosphorylation of RB1, and via several pro-survival pathways, including NF-kappa-B, AKT1 and MAPK1/3 (ERK1/2). Involved in antifungal immunity by mediating phosphorylation and activation of CARD9 downstream of C-type lectin receptors activation, promoting interaction between CARD9 and BCL10, followed by activation of NF-kappa-B and MAP kinase p38 pathways (By similarity). Can also act as tumor suppressor upon mitogenic stimulation with PMA or TPA. In N-formyl-methionyl-leucyl-phenylalanine (fMLP)-treated cells, is required for NCF1 (p47-phox) phosphorylation and activation of NADPH oxidase activity, and regulates TNF-elicited superoxide anion production in neutrophils, by direct phosphorylation and activation of NCF1 or indirectly through MAPK1/3 (ERK1/2) signaling pathways (PubMed : 19801500). May also play a role in the regulation of NADPH oxidase activity in eosinophil after stimulation with IL5, leukotriene B4 or PMA (PubMed : 11748588). In collagen-induced platelet aggregation, acts a negative regulator of filopodia formation and actin polymerization by interacting with and negatively regulating VASP phosphorylation (PubMed : 16940418). Downstream of PAR1, PAR4 and CD36/GP4 receptors, regulates differentially platelet dense granule secretion; acts as a positive regulator in PAR-mediated granule secretion, whereas it negatively regulates CD36/GP4-mediated granule release (PubMed : 19587372). Phosphorylates MUC1 in the C-terminal and regulates the interaction between MUC1 and beta-catenin (PubMed : 11877440). The catalytic subunit phosphorylates 14-3-3 proteins (YWHAB, YWHAZ and YWHAH) in a sphingosine-dependent fashion (By similarity). Phosphorylates ELAVL1 in response to angiotensin-2 treatment (PubMed : 18285462). Phosphorylates mitochondrial phospholipid scramblase 3 (PLSCR3), resulting in increased cardiolipin expression on the mitochondrial outer membrane which facilitates apoptosis (PubMed : 12649167). Phosphorylates SMPD1 which induces SMPD1 secretion (PubMed : 17303575).
See full target information PRKCD phospho Y311

Publications (10)

Recent publications for all applications. Explore the full list and refine your search

iScience 28:112741 PubMed40546936

2025

PTEN protein phosphatase activity regulates metastasis by targeting PKCδ.

Applications

Unspecified application

Species

Unspecified reactive species

Yanlin Yu,Ming Zhao,Rand Gabriel M Buenaventura,Glenn Merlino

Frontiers in pharmacology 13:809551 PubMed35721186

2022

Design, Synthesis, and Antileukemic Evaluation of a Novel Mikanolide Derivative Through the Ras/Raf/MEK/ERK Pathway.

Applications

Unspecified application

Species

Unspecified reactive species

Qing Rao,Kaiqiang Xie,Krishnapriya M Varier,Lei Huang,Jingrui Song,Jue Yang,Jianfei Qiu,Yubing Huang,Yan Li,Babu Gajendran,Yanmei Li,Sheng Liu

Journal of virology 96:e0134421 PubMed34705559

2021

The CCCH-Type Zinc Finger Antiviral Protein Relieves Immunosuppression of T Cells Induced by Avian Leukosis Virus Subgroup J via the NLP-PKC-δ-NFAT Pathway.

Applications

Unspecified application

Species

Unspecified reactive species

Mingjun Zhu,Jing Zhou,Defang Zhou,Kunmei Yang,Bin Li,Ziqiang Cheng

FASEB journal : official publication of the Federation of American Societies for Experimental Biology 34:8959-8974 PubMed32469452

2020

PTPN22 interacts with EB1 to regulate T-cell receptor signaling.

Applications

Unspecified application

Species

Unspecified reactive species

Xiaonan Zhang,Yang Yu,Bin Bai,Tao Wang,Jiahui Zhao,Na Zhang,Yanjiao Zhao,Xipeng Wang,Bing Wang

The American journal of pathology 190:484-502 PubMed31843498

2019

Src Kinase Is Biphosphorylated at Y416/Y527 and Activates the CUB-Domain Containing Protein 1/Protein Kinase C δ Pathway in a Subset of Triple-Negative Breast Cancers.

Applications

Unspecified application

Species

Unspecified reactive species

Luke J Nelson,Heather J Wright,Nguyen B Dinh,Kevin D Nguyen,Olga V Razorenova,F Scott Heinemann

Artificial cells, nanomedicine, and biotechnology 47:3955-3960 PubMed31571495

2019

Belinostat suppresses cell proliferation by inactivating Wnt/β-catenin pathway and promotes apoptosis through regulating PKC pathway in breast cancer.

Applications

Unspecified application

Species

Unspecified reactive species

Pengwei Lu,Yuanting Gu,Lin Li,Fang Wang,Xue Yang,Yunqing Yang

Medical science monitor : international medical jo 23:6057-6063 PubMed29272263

2017

Baicalin Suppresses Hypoxia-Reoxygenation-Induced Arterial Endothelial Cell Apoptosis via Suppressing PKCδ/p53 Signaling.

Applications

Unspecified application

Species

Unspecified reactive species

Xiaoling Shou,Bozhong Wang,Rongfang Zhou,Lei Wang,Aihua Ren,Shangping Xin,Liyue Zhu

Cellular physiology and biochemistry : internation 40:743-756 PubMed27915349

2016

Roles of 1,25(OH)2D3 and Vitamin D Receptor in the Pathogenesis of Rheumatoid Arthritis and Systemic Lupus Erythematosus by Regulating the Activation of CD4+ T Cells and the PKCδ/ERK Signaling Pathway.

Applications

Unspecified application

Species

Unspecified reactive species

Xiao-Jie He,Yan Ding,Wei Xiang,Xi-Qiang Dang

EMBO molecular medicine 8:527-49 PubMed27006338

2016

Chronic oxidative stress promotes H2AX protein degradation and enhances chemosensitivity in breast cancer patients.

Applications

WB

Species

Unspecified reactive species

Tina Gruosso,Virginie Mieulet,Melissa Cardon,Brigitte Bourachot,Yann Kieffer,Flavien Devun,Thierry Dubois,Marie Dutreix,Anne Vincent-Salomon,Kyle Malcolm Miller,Fatima Mechta-Grigoriou

Molecular & cellular proteomics : MCP 10:O111.011064 PubMed21788404

2011

Online nanoflow multidimensional fractionation for high efficiency phosphopeptide analysis.

Applications

WB

Species

Human

Scott B Ficarro,Yi Zhang,Marlene J Carrasco-Alfonso,Brijesh Garg,Guillaume Adelmant,James T Webber,C John Luckey,Jarrod A Marto
View all publications

Product promise

We are committed to supporting your work with high-quality reagents, and we're here for you every step of the way. In the unlikely event that one of our products does not perform as expected, you're protected by our Product Promise.
For full details, please see our Terms & Conditions

Please note: All products are 'FOR RESEARCH USE ONLY. NOT FOR USE IN DIAGNOSTIC OR THERAPEUTIC PROCEDURES'.

For licensing inquiries, please contact partnerships@abcam.com