JavaScript is disabled in your browser. Please enable JavaScript to view this website.
AB182127

Anti-PKC delta + PKC theta antibody [EPR17074]

Be the first to review this product! Submit a review

|

(1 Publication)

Rabbit Recombinant Monoclonal PKC theta/PRKCQ antibody. Suitable for WB, ICC/IF, IHC-P and reacts with Mouse, Rat, Human samples. Cited in 1 publication.

View Alternative Names

PRKCT, PRKCQ, Protein kinase C theta type, nPKC-theta, PKCD, PRKCD, Protein kinase C delta type, Tyrosine-protein kinase PRKCD, nPKC-delta

9 Images
Immunocytochemistry/ Immunofluorescence - Anti-PKC delta + PKC theta antibody [EPR17074] (AB182127)
  • ICC/IF

Lab

Immunocytochemistry/ Immunofluorescence - Anti-PKC delta + PKC theta antibody [EPR17074] (AB182127)

Immunofluorescent analysis of 4% paraformaldehyde-fixed 0.1% Triton X-100 permeabilized HeLa (Human epithelial cells from cervix adenocarcinoma) cells labeling PKC delta + PKC theta with ab182127 at 1/200 dilution followed by Goat anti-rabbit IgG (Alexa Fluor® 488) (ab150077) secondary antibody at 1/400 dilution (green). Confocal image showing both cytoplasm and nuclear staining on HeLa cell line is observed. The nuclear counter stain is DAPI (blue). Tubulin is detected with ab7291 (anti-Tubulin mouse mAb) at 1/500 dilution and ab150120 (AlexaFluor®594 Goat anti-Mouse secondary) at 1/500 dilution (red).
The negative controls are as follows :
1. ab182127 at 1/200 dilution followed by ab150120 (AlexaFluor®594 Goat anti-Mouse secondary) at 1/500 dilution.
2. ab7291 (anti-Tubulin mouse mAb) at 1/500 dilution followed by ab150077 (Alexa Fluor®488 Goat Anti-Rabbit IgG H&L) at 1/400 dilution.

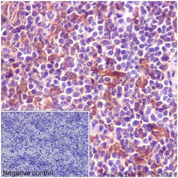
Immunohistochemistry (Formalin/PFA-fixed paraffin-embedded sections) - Anti-PKC delta + PKC theta antibody [EPR17074] (AB182127)
  • IHC-P

Supplier Data

Immunohistochemistry (Formalin/PFA-fixed paraffin-embedded sections) - Anti-PKC delta + PKC theta antibody [EPR17074] (AB182127)

Immunohistochemical analysis of paraffin-embedded human tonsil tissue labeling PKC delta + PKC theta with ab182127 at 1/250 dilution followed by Goat Anti-Rabbit IgG H&L (HRP) (ab97051) secondary antibody at 1/500 dilution. Cytoplasmic and nuclear staining on lymphocytes on germinal center of Human tonsil is observed. Counter stained with Hematoxylin.

Negative control : Used PBS instead of primary antibody secondary antibody is Goat Anti-Rabbit IgG H&L (HRP) (ab97051) at 1/500 dilution.

Perform heat mediated antigen retrieval with Tris/EDTA buffer pH 9.0 before commencing with IHC staining protocol.

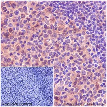
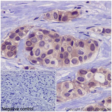
Immunohistochemistry (Formalin/PFA-fixed paraffin-embedded sections) - Anti-PKC delta + PKC theta antibody [EPR17074] (AB182127)
  • IHC-P

Supplier Data

Immunohistochemistry (Formalin/PFA-fixed paraffin-embedded sections) - Anti-PKC delta + PKC theta antibody [EPR17074] (AB182127)

Immunohistochemical analysis of paraffin-embedded human breast cancer tissue labeling PKC delta + PKC theta with ab182127 at 1/250 dilution followed by Goat Anti-Rabbit IgG H&L (HRP) (ab97051) secondary antibody at 1/500 dilution. Cytoplasmic and nuclear staining on cancer cells of Human breast carcinoma is observed. Counter stained with Hematoxylin.

Negative control : Used PBS instead of primary antibody secondary antibody is Goat Anti-Rabbit IgG H&L (HRP) (ab97051) at 1/500 dilution.

Perform heat mediated antigen retrieval with Tris/EDTA buffer pH 9.0 before commencing with IHC staining protocol.

Immunohistochemistry (Formalin/PFA-fixed paraffin-embedded sections) - Anti-PKC delta + PKC theta antibody [EPR17074] (AB182127)
  • IHC-P

Supplier Data

Immunohistochemistry (Formalin/PFA-fixed paraffin-embedded sections) - Anti-PKC delta + PKC theta antibody [EPR17074] (AB182127)

Immunohistochemical analysis of paraffin-embedded rat spleen cancer tissue labeling PKC delta + PKC theta with ab182127 at 1/250 dilution followed by Goat Anti-Rabbit IgG H&L (HRP) (ab97051) secondary antibody at 1/500 dilution. Cytoplasmic and nuclear staining on monocytes and macrophages on rat spleen is observed. Counter stained with Hematoxylin.

Negative control : Used PBS instead of primary antibody secondary antibody is Goat Anti-Rabbit IgG H&L (HRP) (ab97051) at 1/500 dilution.

Perform heat mediated antigen retrieval with Tris/EDTA buffer pH 9.0 before commencing with IHC staining protocol.

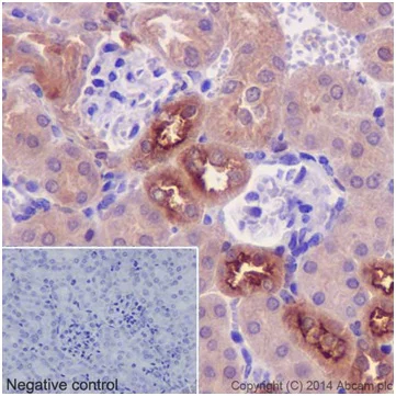
Immunohistochemistry (Formalin/PFA-fixed paraffin-embedded sections) - Anti-PKC delta + PKC theta antibody [EPR17074] (AB182127)
  • IHC-P

Supplier Data

Immunohistochemistry (Formalin/PFA-fixed paraffin-embedded sections) - Anti-PKC delta + PKC theta antibody [EPR17074] (AB182127)

Immunohistochemical analysis of paraffin-embedded mouse kidney cancer tissue labeling PKC delta + PKC theta with ab182127 at 1/250 dilution followed by Goat Anti-Rabbit IgG H&L (HRP) (ab97051) secondary antibody at 1/500 dilution. Cytoplasmic staining on mouse kidney tubules is observed. Counter stained with Hematoxylin.

Negative control : Used PBS instead of primary antibody secondary antibody is Goat Anti-Rabbit IgG H&L (HRP) (ab97051) at 1/500 dilution.

Perform heat mediated antigen retrieval with Tris/EDTA buffer pH 9.0 before commencing with IHC staining protocol.

Western blot - Anti-PKC delta + PKC theta antibody [EPR17074] (AB182127)
  • WB

Supplier Data

Western blot - Anti-PKC delta + PKC theta antibody [EPR17074] (AB182127)

5% NFDM/TBST : Blocking and diluting buffer.

All lanes:

Western blot - Anti-PKC delta + PKC theta antibody [EPR17074] (ab182127) at 1/2000 dilution

Lane 1:

Mouse thymus lysates at 20 µg

Lane 2:

Rat thymus lysates at 20 µg

Lane 3:

Molt4 (Human lymphoblastic leukemia cell line) whole cell lysates at 20 µg

Lane 4:

HeLa (Human epithelial cells from cervix adenocarcinoma) whole cell lysates at 20 µg

Secondary

All lanes:

Goat Anti-Rabbit IgG, (H+L),Peroxidase conjugated at 1/1000 dilution

Predicted band size: 78 kDa,82 kDa

Observed band size: 78 kDa

false

Western blot - Anti-PKC delta + PKC theta antibody [EPR17074] (AB182127)
  • WB

Supplier Data

Western blot - Anti-PKC delta + PKC theta antibody [EPR17074] (AB182127)

5% NFDM/TBST : Blocking and diluting buffer.

Active human PKC alpha full length protein (ab55672) contains aa1-672 with GST-tag; Active human PKC beta 1 full length protein (ab60840) contains aa1-671 with GST-tag; Active human PKC beta 2 full length protein (ab60841) contains aa1-673 with GST-tag; Active human PKC gamma full length protein (ab60842) contains aa1-677 with GST-tag; Active human PKC delta full length protein (ab60844) contains aa1-676 with GST-tag; Active human PKC eta full length protein (ab60849) contains aa1-683 with GST-tag; Active human PKC epsilon full length protein (ab60847) contains aa1-737 with GST-tag; Active human PKC theta full length protein (ab56641) contains aa1-706 with GST-tag; Active human PKC mu full length protein (ab60873) contains aa1-912 with GST-tag.

All lanes:

Western blot - Anti-PKC delta + PKC theta antibody [EPR17074] (ab182127) at 1/2000 dilution

Lane 1:

Active human PKC alpha full length protein at 0.02 µg

Lane 2:

Active human PKC beta 1 full length protein at 0.02 µg

Lane 3:

Active human PKC beta 2 full length protein at 0.02 µg

Lane 4:

Active human PKC gamma full length protein at 0.02 µg

Lane 5:

Active human PKC delta full length protein at 0.02 µg

Lane 6:

Active human PKC eta full length protein at 0.02 µg

Lane 7:

Active human PKC epsilon full length protein at 0.02 µg

Lane 8:

Active human PKC theta full length protein at 0.02 µg

Lane 9:

Active human PKC mu full length protein at 0.02 µg

Secondary

All lanes:

Western blot - Goat Anti-Rabbit IgG H&L (HRP) (<a href='/en-us/products/secondary-antibodies/goat-rabbit-igg-h-l-hrp-ab97051'>ab97051</a>) at 1/50000 dilution

Predicted band size: 78 kDa,82 kDa

false

Exposure time: 5s

Western blot - Anti-PKC delta + PKC theta antibody [EPR17074] (AB182127)
  • WB

Supplier Data

Western blot - Anti-PKC delta + PKC theta antibody [EPR17074] (AB182127)

5% NFDM/TBST : Blocking and diluting buffer.

All lanes:

Western blot - Anti-PKC delta + PKC theta antibody [EPR17074] (ab182127) at 1/2000 dilution

All lanes:

Human fetal brain lysate at 10 µg

Secondary

All lanes:

Anti-Rabbit IgG (HRP), specific to the non-reduced form of IgG at 1/1000 dilution

Predicted band size: 78 kDa,82 kDa

Observed band size: 78 kDa

false

Western blot - Anti-PKC delta + PKC theta antibody [EPR17074] (AB182127)
  • WB

Supplier Data

Western blot - Anti-PKC delta + PKC theta antibody [EPR17074] (AB182127)

5% NFDM/TBST : Blocking and diluting buffer.

All lanes:

Western blot - Anti-PKC delta + PKC theta antibody [EPR17074] (ab182127) at 1/10000 dilution

Lane 1:

Raw264.7 (Mouse macrophage cells transformed with Abelson murine leukemia virus) whole cell lysates at 10 µg

Lane 2:

Rat brain tissue lysate at 10 µg

Lane 3:

Mouse brain tissue lysate at 10 µg

Secondary

All lanes:

Goat Anti-Rabbit IgG, (H+L), Peroxidase conjugated at 1/1000 dilution

Predicted band size: 103 kDa,28 kDa,39 kDa,69 kDa,78 kDa,82 kDa

Observed band size: 104 kDa,28 kDa,40 kDa,70 kDa,78 kDa

false

Key facts

Host species

Rabbit

Clonality

Monoclonal

Clone number

EPR17074

Isotype

IgG

Carrier free

No

Reacts with

Mouse, Rat, Human

Applications

WB, IHC-P, ICC/IF

applications

Immunogen

The exact immunogen used to generate this antibody is proprietary information.

Reactivity data

{ "title": "Reactivity Data", "filters": { "stats": ["", "Species", "Dilution Info", "Notes"], "tabs": { "all-applications": {"fullname" : "All Applications", "shortname": "All Applications"}, "WB" : {"fullname" : "Western blot", "shortname":"WB"}, "ICCIF" : {"fullname" : "Immunocytochemistry/ Immunofluorescence", "shortname":"ICC/IF"}, "IHCP" : {"fullname" : "Immunohistochemistry (Formalin/PFA-fixed paraffin-embedded sections)", "shortname":"IHC-P"} }, "product-promise": { "all": "all", "testedAndGuaranteed": "tested", "guaranteed": "expected", "predicted": "predicted", "notRecommended": "not-recommended" } }, "values": { "Human": { "WB-species-checked": "testedAndGuaranteed", "WB-species-dilution-info": "1/2000", "WB-species-notes": "<p></p>", "ICCIF-species-checked": "testedAndGuaranteed", "ICCIF-species-dilution-info": "1/200", "ICCIF-species-notes": "<p></p>", "IHCP-species-checked": "testedAndGuaranteed", "IHCP-species-dilution-info": "1/250", "IHCP-species-notes": "<p></p>" }, "Mouse": { "WB-species-checked": "testedAndGuaranteed", "WB-species-dilution-info": "1/2000", "WB-species-notes": "<p></p>", "ICCIF-species-checked": "guaranteed", "ICCIF-species-dilution-info": "", "ICCIF-species-notes": "", "IHCP-species-checked": "testedAndGuaranteed", "IHCP-species-dilution-info": "1/250", "IHCP-species-notes": "<p></p>" }, "Rat": { "WB-species-checked": "testedAndGuaranteed", "WB-species-dilution-info": "1/2000", "WB-species-notes": "<p></p>", "ICCIF-species-checked": "guaranteed", "ICCIF-species-dilution-info": "", "ICCIF-species-notes": "", "IHCP-species-checked": "testedAndGuaranteed", "IHCP-species-dilution-info": "1/250", "IHCP-species-notes": "<p></p>" } } }

Product details

Patented technology
Our RabMAb® technology is a patented hybridoma-based technology for making rabbit monoclonal antibodies. For details on our patents, please refer to RabMAb® patents.

What are the advantages of a recombinant monoclonal antibody?
This product is a recombinant monoclonal antibody, which offers several advantages including:

  • - High batch-to-batch consistency and reproducibility
  • - Improved sensitivity and specificity
  • - Long-term security of supply
  • - Animal-free batch production

For more information, read more on recombinant antibodies.

Properties and storage information

Form
Liquid
Purification technique
Affinity purification Protein A
Storage buffer
Preservative: 0.01% Sodium azide Constituents: PBS, 40% Glycerol (glycerin, glycerine), 0.05% BSA
Shipped at conditions
Blue Ice
Appropriate short-term storage duration
1-2 weeks
Appropriate short-term storage conditions
+4°C
Appropriate long-term storage conditions
-20°C
Aliquoting information
Upon delivery aliquot
Storage information
Avoid freeze / thaw cycle

Supplementary information

This supplementary information is collated from multiple sources and compiled automatically.

PKC delta (Protein Kinase C delta) and PKC theta (Protein Kinase C theta) are members of the Protein Kinase C (PKC) family that function as serine/threonine kinases. These proteins with masses of approximately 78 kDa for PKC delta and 82 kDa for PKC theta play key roles in intracellular signaling processes. PKC delta is expressed in various tissues with particular abundance in heart lung and muscle. PKC theta is mainly found in T cells and skeletal muscle. Both proteins require calcium and diacylglycerol for activation and are often associated with lipid membranes where they exert their enzymatic activity.
Biological function summary

PKC delta and PKC theta regulate diverse cellular processes including proliferation differentiation and apoptosis. PKC delta often participates in programmed cell death and is a part of several signaling cascades initiated by external stress signals. PKC theta is largely recognized for its function in immune response regulation particularly in T cell activation. These proteins are critical in forming signaling complexes with other molecules like scaffold proteins which helps in propagating their functional roles within the cell.

Pathways

PKC delta and PKC theta are integral components of the MAPK (Mitogen-Activated Protein Kinase) and NF-kB (Nuclear Factor kappa-light-chain-enhancer of activated B cells) pathways. In the MAPK pathway PKC delta interacts significantly with proteins such as ERK and MEK mediating cell growth responses. PKC theta activates the NF-kB pathway in lymphocytes enhancing immune response and involving interaction with proteins like IkB kinase (IKK). These contributions show their impact on cellular events through precise regulation of signaling pathways.

PKC delta and PKC theta are linked to cancer and autoimmune diseases. PKC delta's regulation of apoptosis makes it a significant player in tumor suppression with alterations in its activity observed in several types of cancer. In autoimmune diseases such as rheumatoid arthritis PKC theta's role in T cell activity and cytokine production connects it to dysregulated immune responses. Both proteins interact with tumor suppressor p53 in cancer contexts revealing their importance in maintaining cellular equilibrium and responses to dysfunction.

Product protocols

For this product, it's our understanding that no specific protocols are required. You can visit:

Target data

Calcium-independent, phospholipid- and diacylglycerol (DAG)-dependent serine/threonine-protein kinase that mediates non-redundant functions in T-cell receptor (TCR) signaling, including T-cells activation, proliferation, differentiation and survival, by mediating activation of multiple transcription factors such as NF-kappa-B, JUN, NFATC1 and NFATC2. In TCR-CD3/CD28-co-stimulated T-cells, is required for the activation of NF-kappa-B and JUN, which in turn are essential for IL2 production, and participates in the calcium-dependent NFATC1 and NFATC2 transactivation (PubMed : 21964608). Mediates the activation of the canonical NF-kappa-B pathway (NFKB1) by direct phosphorylation of CARD11 on several serine residues, inducing CARD11 association with lipid rafts and recruitment of the BCL10-MALT1 complex, which then activates IKK complex, resulting in nuclear translocation and activation of NFKB1. May also play an indirect role in activation of the non-canonical NF-kappa-B (NFKB2) pathway. In the signaling pathway leading to JUN activation, acts by phosphorylating the mediator STK39/SPAK and may not act through MAP kinases signaling. Plays a critical role in TCR/CD28-induced NFATC1 and NFATC2 transactivation by participating in the regulation of reduced inositol 1,4,5-trisphosphate generation and intracellular calcium mobilization. After costimulation of T-cells through CD28 can phosphorylate CBLB and is required for the ubiquitination and subsequent degradation of CBLB, which is a prerequisite for the activation of TCR. During T-cells differentiation, plays an important role in the development of T-helper 2 (Th2) cells following immune and inflammatory responses, and, in the development of inflammatory autoimmune diseases, is necessary for the activation of IL17-producing Th17 cells. May play a minor role in Th1 response. Upon TCR stimulation, mediates T-cell protective survival signal by phosphorylating BAD, thus protecting T-cells from BAD-induced apoptosis, and by up-regulating BCL-X(L)/BCL2L1 levels through NF-kappa-B and JUN pathways. In platelets, regulates signal transduction downstream of the ITGA2B, CD36/GP4, F2R/PAR1 and F2RL3/PAR4 receptors, playing a positive role in 'outside-in' signaling and granule secretion signal transduction. May relay signals from the activated ITGA2B receptor by regulating the uncoupling of WASP and WIPF1, thereby permitting the regulation of actin filament nucleation and branching activity of the Arp2/3 complex. May mediate inhibitory effects of free fatty acids on insulin signaling by phosphorylating IRS1, which in turn blocks IRS1 tyrosine phosphorylation and downstream activation of the PI3K/AKT pathway. Phosphorylates MSN (moesin) in the presence of phosphatidylglycerol or phosphatidylinositol. Phosphorylates PDPK1 at 'Ser-504' and 'Ser-532' and negatively regulates its ability to phosphorylate PKB/AKT1. Phosphorylates CCDC88A/GIV and inhibits its guanine nucleotide exchange factor activity (PubMed : 23509302). Phosphorylates and activates LRRK1, which phosphorylates RAB proteins involved in intracellular trafficking (PubMed : 36040231).
See full target information PRKCQ

Additional targets

PRKCD

Publications (1)

Recent publications for all applications. Explore the full list and refine your search

Stem cell research & therapy 16:447 PubMed40841922

2025

Constraint-induced movement therapy combined with mesenchymal stem cell transplantation promotes myelination and functional recovery by inhibiting PRKCD/MEK/ERK pathway in hemiplegic cerebral palsy rats.

Applications

Unspecified application

Species

Unspecified reactive species

Xiaolin Guo,Liru Liu,Jie Luo,Tingting Peng,You Wang,Shiya Huang,Xiaoli Zeng,Tingting Peng,Aihua Chen,Mengru Zhong,Yage Zhang,Kaishou Xu,Lu He
View all publications

Product promise

We are committed to supporting your work with high-quality reagents, and we're here for you every step of the way. In the unlikely event that one of our products does not perform as expected, you're protected by our Product Promise.
For full details, please see our Terms & Conditions

Please note: All products are 'FOR RESEARCH USE ONLY. NOT FOR USE IN DIAGNOSTIC OR THERAPEUTIC PROCEDURES'.

For licensing inquiries, please contact partnerships@abcam.com