JavaScript is disabled in your browser. Please enable JavaScript to view this website.
AB317498

Anti-PKC epsilon antibody [EPR28194-50]

Be the first to review this product! Submit a review

|

(0 Publication)

Rabbit Recombinant Monoclonal KPCE antibody. Suitable for WB and reacts with Recombinant full length protein - Human, Human, Mouse, Rat samples.

View Alternative Names

PKCE, PRKCE, Protein kinase C epsilon type, nPKC-epsilon

4 Images
Western blot - Anti-PKC epsilon antibody [EPR28194-50] (AB317498)
  • WB

Supplier Data

Western blot - Anti-PKC epsilon antibody [EPR28194-50] (AB317498)

The identity of the lower MW band at approximately 26 kDa (in lanes 1-7) are unknown.

The identity of the higher MW band at approximately 240 kDa (only detected in fresh cells) is unknown.

In lanes 1-3, the lysate was stored at -80°C prior to Western Blotting. The bands between 37 kDa and 84 kDa are likely to be degradation products. In lanes 4-7, the lysates were freshly made and used for Western Blotting immediately to minimize protein degradation.

In Western blot, Anti-GAPDH antibody [EPR16891] - Loading Control (ab181602) staining at 1/200000 dilution.

All lanes:

Western blot - Anti-PKC epsilon antibody [EPR28194-50] (ab317498) at 1/1000 dilution

Lane 1:

IMR-32 (human neuroblastoma neuroblast) whole cell lysate at 20 µg

Lanes 2 and 6:

NIH/3T3 (mouse embryonic fibroblast) whole cell lysate at 20 µg

Lanes 3 and 7:

PC-12 (rat adrenal gland pheochromocytoma cell) whole cell lysate at 20 µg

Lane 4:

HeLa (human cervical adenocarcinoma epithelial cell) whole cell lysate at 20 µg

Lane 5:

293T (human embryonic kidney epithelial cell) whole cell lysate at 20 µg

Secondary

All lanes:

Western blot - Goat Anti-Rabbit IgG H&L (HRP) (<a href='/en-us/products/secondary-antibodies/goat-rabbit-igg-h-l-hrp-ab97051'>ab97051</a>) at 1/100000 dilution

Observed band size: 85 kDa,36 kDa

false

Exposure time: 180s

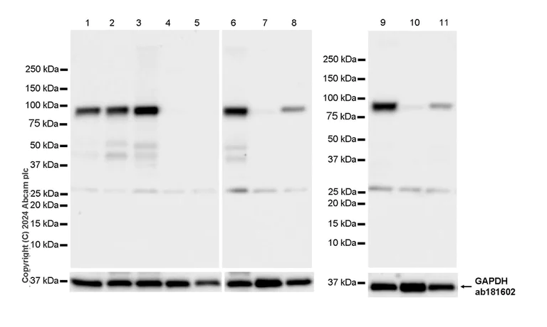
Western blot - Anti-PKC epsilon antibody [EPR28194-50] (AB317498)
  • WB

Supplier Data

Western blot - Anti-PKC epsilon antibody [EPR28194-50] (AB317498)

Low expression : HEL, HepG2.

The identity of the lower MW band at approximately 26 kDa (in lanes 1-3) is unknown.

In Western blot, Anti-GAPDH antibody [EPR16891] - Loading Control (ab181602) staining at 1/200000 dilution.

All lanes:

Western blot - Anti-PKC epsilon antibody [EPR28194-50] (ab317498) at 1/1000 dilution

Lane 1:

U-2 OS (human bone osteosarcoma epithelial cell) whole cell lysate at 20 µg

Lane 2:

HEL (human erythroleukemia erythroblast) whole cell lysate at 20 µg

Lane 3:

HepG2 (human hepatocellar carcinoma epithelial cell) whole cell lysate at 20 µg

Secondary

All lanes:

Western blot - Goat Anti-Rabbit IgG H&L (HRP) (<a href='/en-us/products/secondary-antibodies/goat-rabbit-igg-h-l-hrp-ab97051'>ab97051</a>) at 1/100000 dilution

Observed band size: 85 kDa,36 kDa

false

Exposure time: 15s

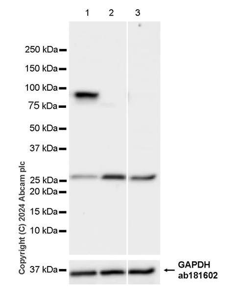
Western blot - Anti-PKC epsilon antibody [EPR28194-50] (AB317498)
  • WB

Supplier Data

Western blot - Anti-PKC epsilon antibody [EPR28194-50] (AB317498)

Low expression : heart (PMID : 1556149), spleen (PMID : 1556149), skeletal muscle.

The identity of the bands between 25 kDa and 50 kDa are unknown.

Lanes 6-11 are applied with Goat Anti-Rabbit IgG, (H+L), Peroxidase conjugated (ab97051) at 1/100000 and lanes 1-5 are applied with Goat Anti-Rabbit IgG (HRP) with minimal cross-reactivity with human IgG at 1/2000.

In Western blot, Anti-GAPDH antibody [EPR16891] - Loading Control (ab181602) staining at 1/200000 dilution.

All lanes:

Western blot - Anti-PKC epsilon antibody [EPR28194-50] (ab317498) at 1/1000 dilution

Lane 1:

Human hypothalamus tissue lysate at 20 µg

Lane 2:

Human cerebellum tissue lysate at 20 µg

Lane 3:

Human hippocampus tissue lysate at 20 µg

Lane 4:

Human skeletal muscle tissue lysate at 20 µg

Lane 5:

Human spleen tissue lysate at 20 µg

Lane 6:

Mouse cerebral cortex tissue lysate at 20 µg

Lane 7:

Mouse skeletal muscle tissue lysate at 20 µg

Lane 8:

Mouse heart tissue lysate at 20 µg

Lane 9:

Rat cerebral cortex tissue lysate at 20 µg

Lane 10:

Rat skeletal muscle tissue lysate at 20 µg

Lane 11:

Rat heart tissue lysate at 20 µg

Secondary

Lanes 1 - 5:

Goat Anti-Rabbit IgG (HRP) with minimal cross-reactivity with human IgG at 1/2000 dilution

Lanes 6 - 11:

Western blot - Goat Anti-Rabbit IgG H&L (HRP) (<a href='/en-us/products/secondary-antibodies/goat-rabbit-igg-h-l-hrp-ab97051'>ab97051</a>) at 1/100000 dilution

Observed band size: 85 kDa,36 kDa

false

Exposure time: 6s

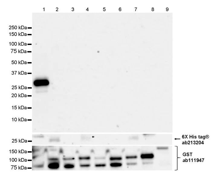
Western blot - Anti-PKC epsilon antibody [EPR28194-50] (AB317498)
  • WB

Supplier Data

Western blot - Anti-PKC epsilon antibody [EPR28194-50] (AB317498)

This antibody does not cross-react with human PKC alpha, PKC beta 1, PKC beta 2, PKC gamma, PKC delta, PKC eta, PKC theta, PKC mu.

In Western blot, Anti-6X His tag® antibody [EPR20547] - ChIP Grade (ab213204) staining at 1/5000 dilution.

All lanes:

Western blot - Anti-PKC epsilon antibody [EPR28194-50] (ab317498) at 1/1000 dilution

Lane 1:

His-tagged Human PKC epsilon fragment at 10 ng

Lane 2:

GST-tagged full-length Human PKC alpha recombinant protein at 10 ng

Lane 3:

GST-tagged full-length Human PKC beta 1 recombinant protein at 10 ng

Lane 4:

GST-tagged full-length Human PKC beta 2 recombinant protein at 10 ng

Lane 5:

GST-tagged full-length Human PKC gamma recombinant protein at 10 ng

Lane 6:

GST-tagged full-length Human PKC delta recombinant protein at 10 ng

Lane 7:

GST-tagged full-length Human PKC eta recombinant protein at 10 ng

Lane 8:

GST-tagged full-length Human PKC theta recombinant protein at 10 ng

Lane 9:

GST-tagged full-length Human PKC mu recombinant protein at 10 ng

Secondary

All lanes:

Western blot - Goat Anti-Rabbit IgG H&L (HRP) (<a href='/en-us/products/secondary-antibodies/goat-rabbit-igg-h-l-hrp-ab97051'>ab97051</a>) at 1/100000 dilution

Observed band size: 26 kDa,85 kDa

false

Exposure time: 180s

  • Carrier free

    Anti-PKC epsilon antibody [EPR28194-50] - BSA and Azide free

Key facts

Host species

Rabbit

Clonality

Monoclonal

Clone number

EPR28194-50

Isotype

IgG

Carrier free

No

Reacts with

Human, Mouse, Rat

Applications

WB

applications

Immunogen

The exact immunogen used to generate this antibody is proprietary information.

Reactivity data

{ "title": "Reactivity Data", "filters": { "stats": ["", "Species", "Dilution Info", "Notes"], "tabs": { "all-applications": {"fullname" : "All Applications", "shortname": "All Applications"}, "WB" : {"fullname" : "Western blot", "shortname":"WB"}, "FlowCytIntra" : {"fullname" : "Flow Cytometry (Intracellular)", "shortname":"Flow Cyt (Intra)"}, "IHCP" : {"fullname" : "Immunohistochemistry (Formalin/PFA-fixed paraffin-embedded sections)", "shortname":"IHC-P"}, "IP" : {"fullname" : "Immunoprecipitation", "shortname":"IP"}, "ICCIF" : {"fullname" : "Immunocytochemistry/ Immunofluorescence", "shortname":"ICC/IF"} }, "product-promise": { "all": "all", "testedAndGuaranteed": "tested", "guaranteed": "expected", "predicted": "predicted", "notRecommended": "not-recommended" } }, "values": { "Human": { "WB-species-checked": "testedAndGuaranteed", "WB-species-dilution-info": "1/1000", "WB-species-notes": "<p></p>", "FlowCytIntra-species-checked": "notRecommended", "FlowCytIntra-species-dilution-info": "", "FlowCytIntra-species-notes": "<p></p>", "IHCP-species-checked": "notRecommended", "IHCP-species-dilution-info": "", "IHCP-species-notes": "<p></p>", "IP-species-checked": "notRecommended", "IP-species-dilution-info": "", "IP-species-notes": "<p></p>", "ICCIF-species-checked": "notRecommended", "ICCIF-species-dilution-info": "", "ICCIF-species-notes": "<p></p>" }, "Mouse": { "WB-species-checked": "testedAndGuaranteed", "WB-species-dilution-info": "1/1000", "WB-species-notes": "<p></p>", "FlowCytIntra-species-checked": "notRecommended", "FlowCytIntra-species-dilution-info": "", "FlowCytIntra-species-notes": "", "IHCP-species-checked": "notRecommended", "IHCP-species-dilution-info": "", "IHCP-species-notes": "<p></p>", "IP-species-checked": "notRecommended", "IP-species-dilution-info": "", "IP-species-notes": "", "ICCIF-species-checked": "notRecommended", "ICCIF-species-dilution-info": "", "ICCIF-species-notes": "" }, "Rat": { "WB-species-checked": "testedAndGuaranteed", "WB-species-dilution-info": "1/1000", "WB-species-notes": "<p></p>", "FlowCytIntra-species-checked": "notRecommended", "FlowCytIntra-species-dilution-info": "", "FlowCytIntra-species-notes": "", "IHCP-species-checked": "notRecommended", "IHCP-species-dilution-info": "", "IHCP-species-notes": "<p></p>", "IP-species-checked": "notRecommended", "IP-species-dilution-info": "", "IP-species-notes": "", "ICCIF-species-checked": "notRecommended", "ICCIF-species-dilution-info": "", "ICCIF-species-notes": "" }, "Recombinant full length protein - Human": { "WB-species-checked": "testedAndGuaranteed", "WB-species-dilution-info": "1/1000", "WB-species-notes": "<p></p>", "FlowCytIntra-species-checked": "notRecommended", "FlowCytIntra-species-dilution-info": "", "FlowCytIntra-species-notes": "", "IHCP-species-checked": "notRecommended", "IHCP-species-dilution-info": "", "IHCP-species-notes": "", "IP-species-checked": "notRecommended", "IP-species-dilution-info": "", "IP-species-notes": "", "ICCIF-species-checked": "notRecommended", "ICCIF-species-dilution-info": "", "ICCIF-species-notes": "" } } }

Product details

Patented technology
Our RabMAb® technology is a patented hybridoma-based technology for making rabbit monoclonal antibodies. For details on our patents, please refer to RabMAb® patents.

What are the advantages of a recombinant monoclonal antibody?
This product is a recombinant monoclonal antibody, which offers several advantages including:

  • - High batch-to-batch consistency and reproducibility
  • - Improved sensitivity and specificity
  • - Long-term security of supply
  • - Animal-free batch production

For more information, read more on recombinant antibodies.

Properties and storage information

Form
Liquid
Purification technique
Affinity purification Protein A
Storage buffer
pH: 7.2 - 7.4 Preservative: 0.01% Sodium azide Constituents: PBS, 40% Glycerol (glycerin, glycerine), 0.05% BSA
Shipped at conditions
Blue Ice
Appropriate short-term storage duration
1-2 weeks
Appropriate short-term storage conditions
+4°C
Appropriate long-term storage conditions
-20°C
Aliquoting information
Upon delivery aliquot
Storage information
Avoid freeze / thaw cycle

Supplementary information

This supplementary information is collated from multiple sources and compiled automatically.

Protein kinase C epsilon (PKC epsilon) also known as PKCε or epsilon protein is an important serine/threonine kinase involved in various cellular processes. It has a molecular weight of about 87 kDa. PKC epsilon is widely expressed in different tissues prominently in the brain heart skeletal muscle and endocrine tissues. It belongs to the novel PKC subfamily that responds to diacylglycerol and phospholipids without requiring calcium for activation.
Biological function summary

PKC epsilon plays roles in regulating cell survival migration and apoptosis. It is involved in forming signalling complexes with proteins such as receptor for activated C kinase (RACK) and frequently associates with scaffolding proteins. PKC epsilon contributes to the modulation of cytoskeletal reorganization exocytosis and neurotransmitter release impacting cellular communication and function significantly.

Pathways

PKC epsilon is integrated into significant signalling cascades including the MAPK/ERK and PI3K/Akt pathways. These pathways influence cell proliferation differentiation and survival. PKC epsilon interacts with proteins like Raf-1 and Akt further modulating signals for cellular responses. Its activity and interactions within these pathways highlight its importance in maintaining cellular homeostasis.

PKC epsilon has connections to cancer and cardiovascular diseases. It plays a part in oncogenic processes such as tumorigenesis and metastasis often working alongside proteins like PI3K in these contexts. In cardiovascular conditions PKC epsilon influences cardiac hypertrophy and ischemic heart damage. Its role associating with proteins such as endothelial nitric oxide synthase (eNOS) illustrates its involvement in disease mechanisms where blood flow and myocardial function are affected.

Product protocols

For this product, it's our understanding that no specific protocols are required. You can visit:

Target data

Calcium-independent, phospholipid- and diacylglycerol (DAG)-dependent serine/threonine-protein kinase that plays essential roles in the regulation of multiple cellular processes linked to cytoskeletal proteins, such as cell adhesion, motility, migration and cell cycle, functions in neuron growth and ion channel regulation, and is involved in immune response, cancer cell invasion and regulation of apoptosis. Mediates cell adhesion to the extracellular matrix via integrin-dependent signaling, by mediating angiotensin-2-induced activation of integrin beta-1 (ITGB1) in cardiac fibroblasts. Phosphorylates MARCKS, which phosphorylates and activates PTK2/FAK, leading to the spread of cardiomyocytes. Involved in the control of the directional transport of ITGB1 in mesenchymal cells by phosphorylating vimentin (VIM), an intermediate filament (IF) protein. In epithelial cells, associates with and phosphorylates keratin-8 (KRT8), which induces targeting of desmoplakin at desmosomes and regulates cell-cell contact. Phosphorylates IQGAP1, which binds to CDC42, mediating epithelial cell-cell detachment prior to migration. In HeLa cells, contributes to hepatocyte growth factor (HGF)-induced cell migration, and in human corneal epithelial cells, plays a critical role in wound healing after activation by HGF. During cytokinesis, forms a complex with YWHAB, which is crucial for daughter cell separation, and facilitates abscission by a mechanism which may implicate the regulation of RHOA. In cardiac myocytes, regulates myofilament function and excitation coupling at the Z-lines, where it is indirectly associated with F-actin via interaction with COPB1. During endothelin-induced cardiomyocyte hypertrophy, mediates activation of PTK2/FAK, which is critical for cardiomyocyte survival and regulation of sarcomere length. Plays a role in the pathogenesis of dilated cardiomyopathy via persistent phosphorylation of troponin I (TNNI3). Involved in nerve growth factor (NFG)-induced neurite outgrowth and neuron morphological change independently of its kinase activity, by inhibition of RHOA pathway, activation of CDC42 and cytoskeletal rearrangement. May be involved in presynaptic facilitation by mediating phorbol ester-induced synaptic potentiation. Phosphorylates gamma-aminobutyric acid receptor subunit gamma-2 (GABRG2), which reduces the response of GABA receptors to ethanol and benzodiazepines and may mediate acute tolerance to the intoxicating effects of ethanol. Upon PMA treatment, phosphorylates the capsaicin- and heat-activated cation channel TRPV1, which is required for bradykinin-induced sensitization of the heat response in nociceptive neurons. Is able to form a complex with PDLIM5 and N-type calcium channel, and may enhance channel activities and potentiates fast synaptic transmission by phosphorylating the pore-forming alpha subunit CACNA1B (CaV2.2). In prostate cancer cells, interacts with and phosphorylates STAT3, which increases DNA-binding and transcriptional activity of STAT3 and seems to be essential for prostate cancer cell invasion. Downstream of TLR4, plays an important role in the lipopolysaccharide (LPS)-induced immune response by phosphorylating and activating TICAM2/TRAM, which in turn activates the transcription factor IRF3 and subsequent cytokines production. In differentiating erythroid progenitors, is regulated by EPO and controls the protection against the TNFSF10/TRAIL-mediated apoptosis, via BCL2. May be involved in the regulation of the insulin-induced phosphorylation and activation of AKT1. Phosphorylates NLRP5/MATER and may thereby modulate AKT pathway activation in cumulus cells (PubMed : 19542546). Phosphorylates and activates LRRK1, which phosphorylates RAB proteins involved in intracellular trafficking (PubMed : 36040231).
See full target information PRKCE

Product promise

We are committed to supporting your work with high-quality reagents, and we're here for you every step of the way. In the unlikely event that one of our products does not perform as expected, you're protected by our Product Promise.
For full details, please see our Terms & Conditions

Please note: All products are 'FOR RESEARCH USE ONLY. NOT FOR USE IN DIAGNOSTIC OR THERAPEUTIC PROCEDURES'.

For licensing inquiries, please contact partnerships@abcam.com