JavaScript is disabled in your browser. Please enable JavaScript to view this website.
AB317315

Anti-PKC gamma antibody [EPR28643-68]

  • BOND RX™ Validated
  • 20ul selling size
  • Recombinant
  • Advanced Validation
  • RabMAb
  • What is this?

Be the first to review this product! Submit a review

|

(1 Publication)

Rabbit Recombinant Monoclonal KPCG antibody. Suitable for mIHC, Dot, WB, IP, IHC-P, IHC-Fr, ICC/IF and reacts with Mouse, Rat, Human, Synthetic peptide - Human samples. Cited in 1 publication.

View Alternative Names

PKCG, PRKCG, Protein kinase C gamma type, PKC-gamma

20 Images
Immunohistochemistry (Formalin/PFA-fixed paraffin-embedded sections) - Anti-PKC gamma antibody [EPR28643-68] (AB317315)
  • IHC-P

Supplier Data

Immunohistochemistry (Formalin/PFA-fixed paraffin-embedded sections) - Anti-PKC gamma antibody [EPR28643-68] (AB317315)

Immunohistochemical analysis of paraffin-embedded Human cerebellum tissue labeling PKC gamma with ab317315 at 1/100 (5.05 ug/ml) dilution, followed by a ready to use LeicaDS9800 (Bond™ Polymer Refine Detection).

Positive staining in human cerebellum.
The section was incubated with ab317315 for 30 mins at room temperature.
The immunostaining was performed on a Leica Biosystems BOND® RX instrument

Counterstained with Hematoxylin.

Secondary antibody only control : Secondary antibody is a ready to use LeicaDS9800 (Bond™ Polymer Refine Detection).

Heat mediated antigen retrieval was performed with Tris-EDTA buffer (pH 9.0, Epitope Retrieval Solution2) for 20 mins

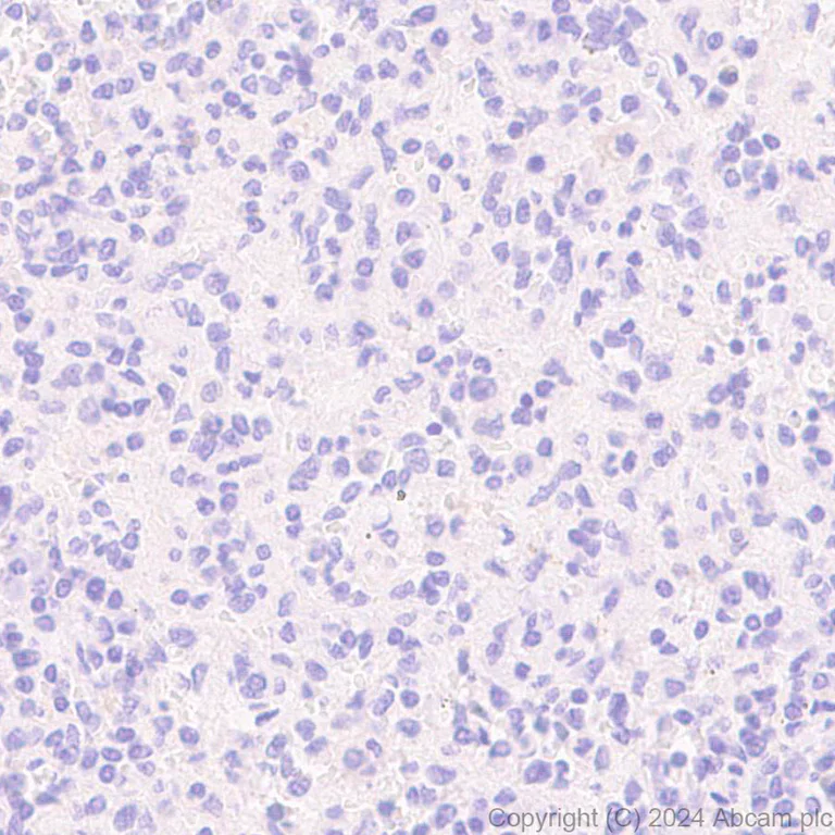
Immunohistochemistry (Formalin/PFA-fixed paraffin-embedded sections) - Anti-PKC gamma antibody [EPR28643-68] (AB317315)
  • IHC-P

Supplier Data

Immunohistochemistry (Formalin/PFA-fixed paraffin-embedded sections) - Anti-PKC gamma antibody [EPR28643-68] (AB317315)

Immunohistochemical analysis of paraffin-embedded Human spleen tissue labeling PKC gamma with ab317315 at 1/100 (5.05 ug/ml) dilution, followed by a ready to use LeicaDS9800 (Bond™ Polymer Refine Detection).

Negative control : No staining in human spleen.
The section was incubated with ab317315 for 30 mins at room temperature.
The immunostaining was performed on a Leica Biosystems BOND® RX instrument

Counterstained with Hematoxylin.

Secondary antibody only control : Secondary antibody is a ready to use LeicaDS9800 (Bond™ Polymer Refine Detection).

Heat mediated antigen retrieval was performed with Tris-EDTA buffer (pH 9.0, Epitope Retrieval Solution2) for 20 mins

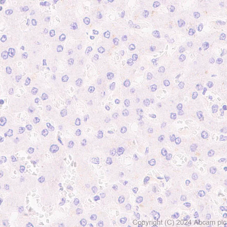
Immunohistochemistry (Formalin/PFA-fixed paraffin-embedded sections) - Anti-PKC gamma antibody [EPR28643-68] (AB317315)
  • IHC-P

Supplier Data

Immunohistochemistry (Formalin/PFA-fixed paraffin-embedded sections) - Anti-PKC gamma antibody [EPR28643-68] (AB317315)

Immunohistochemical analysis of paraffin-embedded Human liver tissue labeling PKC gamma with ab317315 at 1/100 (5.05 ug/ml) dilution, followed by a ready to use LeicaDS9800 (Bond™ Polymer Refine Detection).

Negative control : No staining in human liver.
The section was incubated with ab317315 for 30 mins at room temperature.
The immunostaining was performed on a Leica Biosystems BOND® RX instrument

Counterstained with Hematoxylin.

Secondary antibody only control : Secondary antibody is a ready to use LeicaDS9800 (Bond™ Polymer Refine Detection).

Heat mediated antigen retrieval was performed with Tris-EDTA buffer (pH 9.0, Epitope Retrieval Solution2) for 20 mins

Immunoprecipitation - Anti-PKC gamma antibody [EPR28643-68] (AB317315)
  • IP

Supplier Data

Immunoprecipitation - Anti-PKC gamma antibody [EPR28643-68] (AB317315)

PKC gamma was immunoprecipitated from 0.35 mg Human cerebellum tissue lysate with ab317315 at 1/30 dilution (2ug in 0.35mg lysates). Western blot was performed on the immunoprecipitate using ab317315 at 1/1000 dilution. VeriBlot for IP secondary antibody(HRP)(ab131366) was used at 1/5000 dilution.

Lane 1 : Human cerebellum tissue lysate
Lane 2 : ab317315 IP in Human cerebellum tissue lysate
Lane 3 : Rabbit monoclonal IgG (ab172730) instead of ab317315 in human cerebellum tissue lysate

All lanes:

Immunoprecipitation - Anti-PKC gamma antibody [EPR28643-68] (ab317315) at 1/30 dilution

All lanes:

Human cerebellum tissue lysate

Secondary

All lanes:

Immunoprecipitation - VeriBlot for IP Detection Reagent (HRP) (<a href='/en-us/products/reagents/veriblot-for-ip-detection-reagent-hrp-ab131366'>ab131366</a>) at 1/5000 dilution

false

Exposure time: 180s

Immunohistochemistry (Formalin/PFA-fixed paraffin-embedded sections) - Anti-PKC gamma antibody [EPR28643-68] (AB317315)
  • IHC-P

Supplier Data

Immunohistochemistry (Formalin/PFA-fixed paraffin-embedded sections) - Anti-PKC gamma antibody [EPR28643-68] (AB317315)

Immunohistochemical analysis of paraffin-embedded Rat spleen tissue labeling PKC gamma with ab317315 at 1/2000 (0.253 ug/ml) dilution, followed by a ready to use LeicaDS9800 (Bond™ Polymer Refine Detection).

Negative control : No staining in rat spleen.
The section was incubated with ab317315 for 30 mins at room temperature.
The immunostaining was performed on a Leica Biosystems BOND® RX instrument

Counterstained with Hematoxylin.

Secondary antibody only control : Secondary antibody is a ready to use LeicaDS9800 (Bond™ Polymer Refine Detection).

Heat mediated antigen retrieval was performed with Tris-EDTA buffer (pH 9.0, Epitope Retrieval Solution2) for 20 mins

Immunohistochemistry (Frozen sections) - Anti-PKC gamma antibody [EPR28643-68] (AB317315)
  • IHC-Fr

Supplier Data

Immunohistochemistry (Frozen sections) - Anti-PKC gamma antibody [EPR28643-68] (AB317315)

Immunohistochemical analysis of 4% PFA-fixed, 0.2% Triton X-100 permeabilized frozen Rat heart (fresh frozen) tissue labeling PKC gamma with ab317315 at 1/500 (1.01 ug/ml) dilution followed by ab150081 Goat Anti-Rabbit IgG H&L (Alexa Fluor® 488) preadsorbed at 1/1000 (2 ug/mL) dilution (Green).

Negative control : confocal image showing no staining on rat heart (PMID : 1556149). The nuclear counterstain was DAPI (Blue). The section was incubated with ab317315 for 60 mins at room temperature. The section was then mounted using Fluoromount®.The immunostaining was performed on a Leica Biosystems BOND® RX instrument. Image was taken with a confocal microscope (Leica-Microsystems, TCS SP8).

Secondary antibody control : Secondary antibody is ab150081 Goat Anti-Rabbit IgG H&L (Alexa Fluor® 488) preadsorbedat 1/1000 (2 ug/mL) dilution.

Immunohistochemistry (Frozen sections) - Anti-PKC gamma antibody [EPR28643-68] (AB317315)
  • IHC-Fr

Supplier Data

Immunohistochemistry (Frozen sections) - Anti-PKC gamma antibody [EPR28643-68] (AB317315)

Immunohistochemical analysis of 4% PFA-fixed, 0.2% Triton X-100 permeabilized frozen Mouse heart (fresh frozen) tissue labeling PKC gamma with ab317315 at 1/500 (1.01 ug/ml) dilution followed by ab150081 Goat Anti-Rabbit IgG H&L (Alexa Fluor® 488) preadsorbed at 1/1000 (2 ug/mL) dilution (Green).

Negative control : confocal image showing no staining on mouse heart. The nuclear counterstain was DAPI (Blue). The section was incubated with ab317315 for 60 mins at room temperature. The section was then mounted using Fluoromount®.The immunostaining was performed on a Leica Biosystems BOND® RX instrument. Image was taken with a confocal microscope (Leica-Microsystems, TCS SP8).

Secondary antibody control : Secondary antibody is ab150081 Goat Anti-Rabbit IgG H&L (Alexa Fluor® 488) preadsorbedat 1/1000 (2 ug/mL) dilution.

Multiplex immunohistochemistry - Anti-PKC gamma antibody [EPR28643-68] (AB317315)
  • mIHC

Lab

Multiplex immunohistochemistry - Anti-PKC gamma antibody [EPR28643-68] (AB317315)

Multiplex immunohistochemistry analysis of formalin/PFA-fixed paraffin-embedded Mouse cerebellum tissue staining PKC gamma with ab317315 at a 1 : 5000 (0.1 µg/ml) dilution, KCNA2 with ab316324 at 1 : 4000 (0.124 µg/ml) dilution and KCND2 with ab307710 at a 1 : 2000 (0.266 µg/ml) dilution followed by secondary antibody Opal Polymer HRP Ms + Rb.

Panel A : merged staining of anti-PKC gamma (green; Opal520), anti-KCNA2 (magenta; Opal690) and anti-KCND2 (gray; Opal570) on mouse cerebellum.
Panel B : anti-PKC gamma staining the Purkinje cells and neuropil in mouse cerebellum.
Panel C : anti-KCNA2 staining the basket cells in mouse cerebellum.
Panel D : anti-KCND2 staining the granule cell layer in mouse cerebellum.
Nuclear DNA was labeled with DAPI (shown in blue).

The section was incubated in three rounds of staining : in the order of ab317315, ab313624 and ab307710 for 30 mins at room temperature. Each round was followed by a separate fluorescent tyramide signal amplification system.

The immunostaining was performed on a Leica Biosystems BOND® RX instrument with an Opal 4-color kit. Image acquisition was performed with Leica SP8 confocal microscope.

Heat mediated antigen retrieval with Tris-EDTA buffer (pH 9.0, epitope retrieval solution2) for 20 mins

Multiplex immunohistochemistry - Anti-PKC gamma antibody [EPR28643-68] (AB317315)
  • mIHC

Lab

Multiplex immunohistochemistry - Anti-PKC gamma antibody [EPR28643-68] (AB317315)

Multiplex immunohistochemistry analysis of formalin/PFA-fixed paraffin-embedded Rat cerebellum tissue staining PKC gamma with ab317315 at a 1 : 5000 (0.1 µg/ml) dilution, KCNA2 with ab316324 at 1 : 4000 (0.124 µg/ml) dilution and KCND2 with ab307710 at a 1 : 2000 (0.266 µg/ml) dilution followed by secondary antibody Opal Polymer HRP Ms + Rb.

Panel A : merged staining of anti-PKC gamma (green; Opal520), anti-KCNA2 (magenta; Opal690) and anti-KCND2 (gray; Opal570) on rat cerebellum.
Panel B : anti-PKC gamma staining the Purkinje cells and neuropil in rat cerebellum.
Panel C : anti-KCNA2 staining the basket cells in rat cerebellum.
Panel D : anti-KCND2 staining the granule cell layer in rat cerebellum.
Nuclear DNA was labeled with DAPI (shown in blue).

The section was incubated in three rounds of staining : in the order of ab317315, ab313624 and ab307710 for 30 mins at room temperature. Each round was followed by a separate fluorescent tyramide signal amplification system.

The immunostaining was performed on a Leica Biosystems BOND® RX instrument with an Opal 4-color kit. Image acquisition was performed with Leica SP8 confocal microscope.

Heat mediated antigen retrieval with Tris-EDTA buffer (pH 9.0, epitope retrieval solution2) for 20 mins

Immunohistochemistry (Frozen sections) - Anti-PKC gamma antibody [EPR28643-68] (AB317315)
  • IHC-Fr

Supplier Data

Immunohistochemistry (Frozen sections) - Anti-PKC gamma antibody [EPR28643-68] (AB317315)

Immunohistochemical analysis of 4% PFA-fixed, 0.2% Triton X-100 permeabilized frozen Rat cerebellum (fresh frozen) tissue labeling PKC gamma with ab317315 at 1/500 (1.01 ug/ml) dilution followed by ab150081 Goat Anti-Rabbit IgG H&L (Alexa Fluor® 488) preadsorbed at 1/1000 (2 ug/mL) dilution (Green).

Panel A : merged staining of anti-PKC gamma(ab317315, green), anti-NeuN (ab190565, grey) and anti-GFAP (ab201732, magenta) on rat cerebellum.
Panel B : anti-PKC gamma stained on rat cerebellum.
Panel C : anti-NeuN stained in neurons of rat cerebellum.
Panel D : anti-GFAP stained in astrocytes of rat cerebellum.
The section was incubated in two rounds of staining : in the order of ab317315 and ab190565, ab201732 for 1 hr at room temperature. The nuclear counterstain was DAPI (Blue). The section was then mounted using Fluoromount®.The immunostaining was performed on a Leica Biosystems BOND® RX instrument. Image was taken with a confocal microscope (Leica-Microsystems, TCS SP8).

Secondary antibody control : Secondary antibody is ab150081 Goat Anti-Rabbit IgG H&L (Alexa Fluor® 488) preadsorbedat 1/1000 (2 ug/mL) dilution.

Immunocytochemistry/ Immunofluorescence - Anti-PKC gamma antibody [EPR28643-68] (AB317315)
  • ICC/IF

Supplier Data

Immunocytochemistry/ Immunofluorescence - Anti-PKC gamma antibody [EPR28643-68] (AB317315)

Immunofluorescent analysis of 4% Paraformaldehyde-fixed, 0.1% TritonX-100 permeabilized mouse hippocampal neuron cells labelling PKC gamma with ab317315 at 1/200 (2.525 ug/ml) dilution, followed by ab150081 Goat Anti-Rabbit IgG H&L (Alexa Fluor® 488) preadsorbed antibody at 1/1000 (2 ug/ml) dilution (Green).

Confocal image showing positive staining in mouse hippocampal neuron (shown in green). The counterstain was observed in magenta. Nuclear DNA was labeled with DAPI (shown in blue). Image was taken with a confocal microscope (Leica-Microsystems, TCS SP8).

ab11267 Anti-MAP2 mouse monoclonal antibody was used to counterstain at 1/500 (4 (ug/ml) dilution (Magenta). The Nuclear counterstain was DAPI (Blue).

Secondary antibody only control : Secondary antibody is ab150081 Goat Anti-Rabbit IgG H&L (Alexa Fluor® 488) preadsorbed at 1/1000 (2 ug/ml) dilution.

Immunohistochemistry (Formalin/PFA-fixed paraffin-embedded sections) - Anti-PKC gamma antibody [EPR28643-68] (AB317315)
  • IHC-P

Supplier Data

Immunohistochemistry (Formalin/PFA-fixed paraffin-embedded sections) - Anti-PKC gamma antibody [EPR28643-68] (AB317315)

Immunohistochemical analysis of paraffin-embedded Rat cerebellum tissue labeling PKC gamma with ab317315 at 1/2000 (0.253 ug/ml) dilution, followed by a ready to use LeicaDS9800 (Bond™ Polymer Refine Detection).

Positive staining in rat cerebellum.
The section was incubated with ab317315 for 30 mins at room temperature.
The immunostaining was performed on a Leica Biosystems BOND® RX instrument

Counterstained with Hematoxylin.

Secondary antibody only control : Secondary antibody is a ready to use LeicaDS9800 (Bond™ Polymer Refine Detection).

Heat mediated antigen retrieval was performed with Tris-EDTA buffer (pH 9.0, Epitope Retrieval Solution2) for 20 mins

Immunohistochemistry (Formalin/PFA-fixed paraffin-embedded sections) - Anti-PKC gamma antibody [EPR28643-68] (AB317315)
  • IHC-P

Supplier Data

Immunohistochemistry (Formalin/PFA-fixed paraffin-embedded sections) - Anti-PKC gamma antibody [EPR28643-68] (AB317315)

Immunohistochemical analysis of paraffin-embedded Mouse cerebellum tissue labeling PKC gamma with ab317315 at 1/2000 (0.253 ug/ml) dilution, followed by a ready to use LeicaDS9800 (Bond™ Polymer Refine Detection).

Positive staining in mouse cerebellum.
The section was incubated with ab317315 for 30 mins at room temperature.
The immunostaining was performed on a Leica Biosystems BOND® RX instrument

Counterstained with Hematoxylin.

Secondary antibody only control : Secondary antibody is a ready to use LeicaDS9800 (Bond™ Polymer Refine Detection).

Heat mediated antigen retrieval was performed with Tris-EDTA buffer (pH 9.0, Epitope Retrieval Solution2) for 20 mins

Immunohistochemistry (Frozen sections) - Anti-PKC gamma antibody [EPR28643-68] (AB317315)
  • IHC-Fr

Supplier Data

Immunohistochemistry (Frozen sections) - Anti-PKC gamma antibody [EPR28643-68] (AB317315)

Immunohistochemical analysis of 4% PFA-fixed, 0.2% Triton X-100 permeabilized frozen Mouse cerebellum (fresh frozen) tissue labeling PKC gamma with ab317315 at 1/500 (1.01 ug/ml) dilution followed by ab150081 Goat Anti-Rabbit IgG H&L (Alexa Fluor® 488) preadsorbed at 1/1000 (2 ug/mL) dilution (Green).

Panel A : merged staining of anti-PKC gamma(ab317315, green), anti-NeuN (ab190565, grey) and anti-GFAP (ab201732, magenta) on mouse cerebellum.
Panel B : anti-PKC gamma stained on mouse cerebellum.
Panel C : anti-NeuN stained in neurons of mouse cerebellum.
Panel D : anti-GFAP stained in astrocytes of mouse cerebellum.
The section was incubated in two rounds of staining : in the order of ab317315 and ab190565, ab201732 for 1 hr at room temperature. The nuclear counterstain was DAPI (Blue). The section was then mounted using Fluoromount®.The immunostaining was performed on a Leica Biosystems BOND® RX instrument. Image was taken with a confocal microscope (Leica-Microsystems, TCS SP8).

Secondary antibody control : Secondary antibody is ab150081 Goat Anti-Rabbit IgG H&L (Alexa Fluor® 488) preadsorbedat 1/1000 (2 ug/mL) dilution.

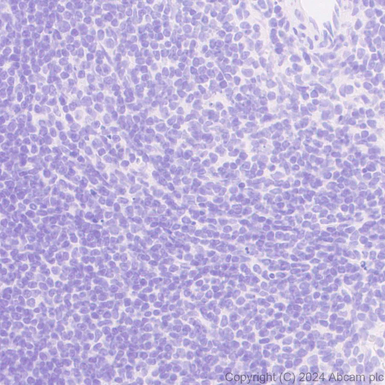
Immunohistochemistry (Formalin/PFA-fixed paraffin-embedded sections) - Anti-PKC gamma antibody [EPR28643-68] (AB317315)
  • IHC-P

Supplier Data

Immunohistochemistry (Formalin/PFA-fixed paraffin-embedded sections) - Anti-PKC gamma antibody [EPR28643-68] (AB317315)

Immunohistochemical analysis of paraffin-embedded Rat liver tissue labeling PKC gamma with ab317315 at 1/2000 (0.253 ug/ml) dilution, followed by a ready to use LeicaDS9800 (Bond™ Polymer Refine Detection).

Negative control : No staining in rat liver.
The section was incubated with ab317315 for 30 mins at room temperature.
The immunostaining was performed on a Leica Biosystems BOND® RX instrument

Counterstained with Hematoxylin.

Secondary antibody only control : Secondary antibody is a ready to use LeicaDS9800 (Bond™ Polymer Refine Detection).

Heat mediated antigen retrieval was performed with Tris-EDTA buffer (pH 9.0, Epitope Retrieval Solution2) for 20 mins

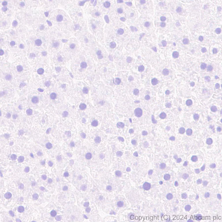
Immunohistochemistry (Formalin/PFA-fixed paraffin-embedded sections) - Anti-PKC gamma antibody [EPR28643-68] (AB317315)
  • IHC-P

Supplier Data

Immunohistochemistry (Formalin/PFA-fixed paraffin-embedded sections) - Anti-PKC gamma antibody [EPR28643-68] (AB317315)

Immunohistochemical analysis of paraffin-embedded Mouse liver tissue labeling PKC gamma with ab317315 at 1/2000 (0.253 ug/ml) dilution, followed by a ready to use LeicaDS9800 (Bond™ Polymer Refine Detection).

Negative control : No staining in mouse liver.
The section was incubated with ab317315 for 30 mins at room temperature.
The immunostaining was performed on a Leica Biosystems BOND® RX instrument

Counterstained with Hematoxylin.

Secondary antibody only control : Secondary antibody is a ready to use LeicaDS9800 (Bond™ Polymer Refine Detection).

Heat mediated antigen retrieval was performed with Tris-EDTA buffer (pH 9.0, Epitope Retrieval Solution2) for 20 mins

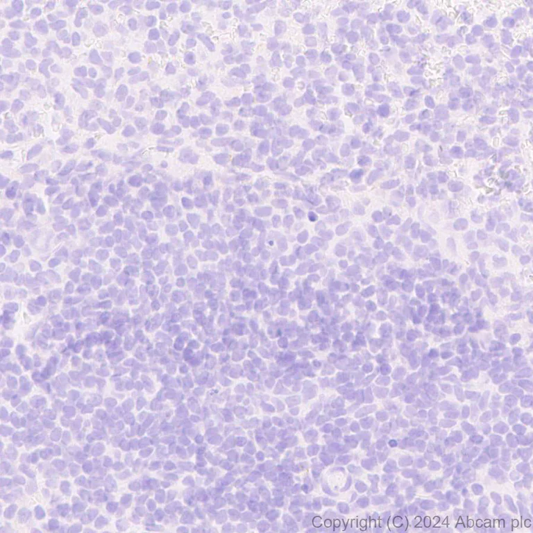
Immunohistochemistry (Formalin/PFA-fixed paraffin-embedded sections) - Anti-PKC gamma antibody [EPR28643-68] (AB317315)
  • IHC-P

Supplier Data

Immunohistochemistry (Formalin/PFA-fixed paraffin-embedded sections) - Anti-PKC gamma antibody [EPR28643-68] (AB317315)

Immunohistochemical analysis of paraffin-embedded Mouse spleen tissue labeling PKC gamma with ab317315 at 1/2000 (0.253 ug/ml) dilution, followed by a ready to use LeicaDS9800 (Bond™ Polymer Refine Detection).

Negative control : No staining in mouse spleen.
The section was incubated with ab317315 for 30 mins at room temperature.
The immunostaining was performed on a Leica Biosystems BOND® RX instrument

Counterstained with Hematoxylin.

Secondary antibody only control : Secondary antibody is a ready to use LeicaDS9800 (Bond™ Polymer Refine Detection).

Heat mediated antigen retrieval was performed with Tris-EDTA buffer (pH 9.0, Epitope Retrieval Solution2) for 20 mins

Western blot - Anti-PKC gamma antibody [EPR28643-68] (AB317315)
  • WB

Supplier Data

Western blot - Anti-PKC gamma antibody [EPR28643-68] (AB317315)

Negative control : spleen(PMID : 1556149)

In Western blot, Anti-GAPDH antibody [EPR16891] - Loading Control (ab181602) staining at 1/200000 dilution.

All lanes:

Western blot - Anti-PKC gamma antibody [EPR28643-68] (ab317315) at 1/1000 dilution

Lane 1:

Human cerebellum tissue lysate at 20 µg

Lane 2:

Human hippocampus tissue lysate at 20 µg

Lane 3:

Human spleen tissue lysate at 20 µg

Secondary

All lanes:

Western blot - Goat Anti-Rabbit IgG H&L (HRP) (<a href='/en-us/products/secondary-antibodies/goat-rabbit-igg-h-l-hrp-ab97051'>ab97051</a>) at 1/100000 dilution

Observed band size: 80 kDa,36 kDa

false

Exposure time: 37s

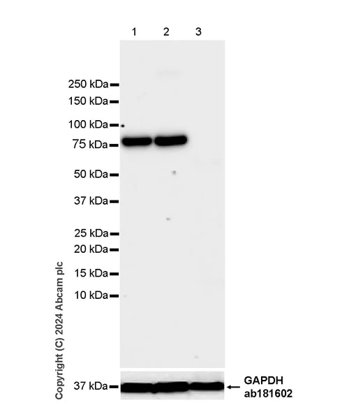
Western blot - Anti-PKC gamma antibody [EPR28643-68] (AB317315)
  • WB

Supplier Data

Western blot - Anti-PKC gamma antibody [EPR28643-68] (AB317315)

Negative control : spleen, liver, heart(PMID : 1556149)

In Western blot, Anti-GAPDH antibody [EPR16891] - Loading Control (ab181602) staining at 1/200000 dilution.

All lanes:

Western blot - Anti-PKC gamma antibody [EPR28643-68] (ab317315) at 1/1000 dilution

Lane 1:

Mouse brain tissue lysate at 20 µg

Lane 2:

Mouse cerebellum tissue lysate at 20 µg

Lane 3:

Mouse spleen tissue lysate at 20 µg

Lane 4:

Mouse liver tissue lysate at 20 µg

Lane 5:

Mouse heart tissue lysate at 20 µg

Lane 6:

Rat brain tissue lysate at 20 µg

Lane 7:

Rat cerebellum tissue lysate at 20 µg

Lane 8:

Rat spleen tissue lysate at 20 µg

Lane 9:

Rat liver tissue lysate at 20 µg

Secondary

All lanes:

Western blot - Goat Anti-Rabbit IgG H&L (HRP) (<a href='/en-us/products/secondary-antibodies/goat-rabbit-igg-h-l-hrp-ab97051'>ab97051</a>) at 1/100000 dilution

Observed band size: 80 kDa,36 kDa

false

Exposure time: 10s

Dot Blot - Anti-PKC gamma antibody [EPR28643-68] (AB317315)
  • Dot

Supplier Data

Dot Blot - Anti-PKC gamma antibody [EPR28643-68] (AB317315)

Dot blot analysis of PKC gamma using ab317315 at 1 : 1000 (0.505 ug/ml) followed by a Goat Anti-Rabbit IgG, (H+L), Peroxidase conjugated (ab97051) at 1 : 100,000 dilution.

Blocking and diluting buffer and concentration : 5% NFDM/TBST.

This antibody doesn't cross react with Human PKC alpha.

All lanes:

Dot Blot - Anti-PKC gamma antibody [EPR28643-68] (ab317315) at 1/1000 dilution

Lane 1:

Human PKC gamma peptide

Lane 2:

His-tagged Human PKC alpha protein

Secondary

All lanes:

Dot Blot at 1/100000 dilution

false

Exposure time: 180s

  • Carrier free

    Anti-PKC gamma antibody [EPR28643-68] - BSA and Azide free

Key facts

Host species

Rabbit

Clonality

Monoclonal

Clone number

EPR28643-68

Isotype

IgG

Carrier free

No

Reacts with

Human, Mouse, Rat

Applications

mIHC, Dot, IHC-P, ICC/IF, WB, IP, IHC-Fr

applications

Immunogen

The exact immunogen used to generate this antibody is proprietary information.

Specificity

Unsuitable for rat ICC.

Reactivity data

{ "title": "Reactivity Data", "filters": { "stats": ["", "Species", "Dilution Info", "Notes"], "tabs": { "all-applications": {"fullname" : "All Applications", "shortname": "All Applications"}, "mIHC" : {"fullname" : "Multiplex immunohistochemistry", "shortname":"mIHC"}, "Dot" : {"fullname" : "Dot Blot", "shortname":"Dot"}, "WB" : {"fullname" : "Western blot", "shortname":"WB"}, "IP" : {"fullname" : "Immunoprecipitation", "shortname":"IP"}, "IHCP" : {"fullname" : "Immunohistochemistry (Formalin/PFA-fixed paraffin-embedded sections)", "shortname":"IHC-P"}, "IHCFr" : {"fullname" : "Immunohistochemistry (Frozen sections)", "shortname":"IHC-Fr"}, "ICCIF" : {"fullname" : "Immunocytochemistry/ Immunofluorescence", "shortname":"ICC/IF"}, "FlowCytIntra" : {"fullname" : "Flow Cytometry (Intracellular)", "shortname":"Flow Cyt (Intra)"} }, "product-promise": { "all": "all", "testedAndGuaranteed": "tested", "guaranteed": "expected", "predicted": "predicted", "notRecommended": "not-recommended" } }, "values": { "Human": { "mIHC-species-checked": "guaranteed", "mIHC-species-dilution-info": "", "mIHC-species-notes": "", "Dot-species-checked": "guaranteed", "Dot-species-dilution-info": "", "Dot-species-notes": "", "WB-species-checked": "testedAndGuaranteed", "WB-species-dilution-info": "1/1000", "WB-species-notes": "<p></p>", "IP-species-checked": "testedAndGuaranteed", "IP-species-dilution-info": "1/30", "IP-species-notes": "<p></p>", "IHCP-species-checked": "testedAndGuaranteed", "IHCP-species-dilution-info": "1/100", "IHCP-species-notes": "<p></p> Perform heat-mediated antigen retrieval with Tris/EDTA buffer pH 9.0 before commencing with IHC staining protocol.", "IHCFr-species-checked": "guaranteed", "IHCFr-species-dilution-info": "", "IHCFr-species-notes": "", "ICCIF-species-checked": "guaranteed", "ICCIF-species-dilution-info": "", "ICCIF-species-notes": "", "FlowCytIntra-species-checked": "notRecommended", "FlowCytIntra-species-dilution-info": "", "FlowCytIntra-species-notes": "<p></p>" }, "Mouse": { "mIHC-species-checked": "testedAndGuaranteed", "mIHC-species-dilution-info": "", "mIHC-species-notes": "<p></p>", "Dot-species-checked": "guaranteed", "Dot-species-dilution-info": "", "Dot-species-notes": "", "WB-species-checked": "testedAndGuaranteed", "WB-species-dilution-info": "1/1000", "WB-species-notes": "<p></p>", "IP-species-checked": "guaranteed", "IP-species-dilution-info": "", "IP-species-notes": "", "IHCP-species-checked": "testedAndGuaranteed", "IHCP-species-dilution-info": "1/2000", "IHCP-species-notes": "<p></p> Perform heat-mediated antigen retrieval with Tris/EDTA buffer pH 9.0 before commencing with IHC staining protocol.", "IHCFr-species-checked": "testedAndGuaranteed", "IHCFr-species-dilution-info": "1/500", "IHCFr-species-notes": "<p></p>", "ICCIF-species-checked": "testedAndGuaranteed", "ICCIF-species-dilution-info": "1/200", "ICCIF-species-notes": "<p></p>", "FlowCytIntra-species-checked": "notRecommended", "FlowCytIntra-species-dilution-info": "", "FlowCytIntra-species-notes": "" }, "Rat": { "mIHC-species-checked": "testedAndGuaranteed", "mIHC-species-dilution-info": "", "mIHC-species-notes": "<p></p>", "Dot-species-checked": "guaranteed", "Dot-species-dilution-info": "", "Dot-species-notes": "", "WB-species-checked": "testedAndGuaranteed", "WB-species-dilution-info": "1/1000", "WB-species-notes": "<p></p>", "IP-species-checked": "guaranteed", "IP-species-dilution-info": "", "IP-species-notes": "", "IHCP-species-checked": "testedAndGuaranteed", "IHCP-species-dilution-info": "1/2000", "IHCP-species-notes": "<p></p> Perform heat-mediated antigen retrieval with Tris/EDTA buffer pH 9.0 before commencing with IHC staining protocol.", "IHCFr-species-checked": "testedAndGuaranteed", "IHCFr-species-dilution-info": "1/500", "IHCFr-species-notes": "<p></p>", "ICCIF-species-checked": "notRecommended", "ICCIF-species-dilution-info": "", "ICCIF-species-notes": "<p></p>", "FlowCytIntra-species-checked": "notRecommended", "FlowCytIntra-species-dilution-info": "", "FlowCytIntra-species-notes": "" }, "Synthetic peptide - Human": { "mIHC-species-checked": "notRecommended", "mIHC-species-dilution-info": "", "mIHC-species-notes": "", "Dot-species-checked": "testedAndGuaranteed", "Dot-species-dilution-info": "1/1000", "Dot-species-notes": "<p></p>", "WB-species-checked": "notRecommended", "WB-species-dilution-info": "", "WB-species-notes": "", "IP-species-checked": "notRecommended", "IP-species-dilution-info": "", "IP-species-notes": "", "IHCP-species-checked": "notRecommended", "IHCP-species-dilution-info": "", "IHCP-species-notes": "", "IHCFr-species-checked": "notRecommended", "IHCFr-species-dilution-info": "", "IHCFr-species-notes": "", "ICCIF-species-checked": "notRecommended", "ICCIF-species-dilution-info": "", "ICCIF-species-notes": "", "FlowCytIntra-species-checked": "notRecommended", "FlowCytIntra-species-dilution-info": "", "FlowCytIntra-species-notes": "" } } }

Product details

Patented technology
Our RabMAb® technology is a patented hybridoma-based technology for making rabbit monoclonal antibodies. For details on our patents, please refer to RabMAb® patents.

What are the advantages of a recombinant monoclonal antibody?
This product is a recombinant monoclonal antibody, which offers several advantages including:

  • - High batch-to-batch consistency and reproducibility
  • - Improved sensitivity and specificity
  • - Long-term security of supply
  • - Animal-free batch production

For more information, read more on recombinant antibodies.

Properties and storage information

Form
Liquid
Purification technique
Affinity purification Protein A
Storage buffer
pH: 7.2 - 7.4 Preservative: 0.01% Sodium azide Constituents: PBS, 40% Glycerol (glycerin, glycerine), 0.05% BSA
Shipped at conditions
Blue Ice
Appropriate short-term storage duration
1-2 weeks
Appropriate short-term storage conditions
+4°C
Appropriate long-term storage conditions
-20°C
Aliquoting information
Upon delivery aliquot
Storage information
Avoid freeze / thaw cycle

Supplementary information

This supplementary information is collated from multiple sources and compiled automatically.

Protein kinase C gamma (PKC gamma) also known as PKCγ is a member of the protein kinase C (PKC) family. This protein has a molecular weight of approximately 78 kDa. Expressed mainly in the central nervous system PKC gamma participates in various signaling pathways. It exists as a serine/threonine kinase and plays a fundamental role in modulating cellular functions in neurons.
Biological function summary

PKC gamma acts in the regulation of neuronal signaling processes and is a component of the synaptic transmission machinery. It associates with other proteins to form complex structures that influence physiological processes. PKC gamma contributes significantly to the functions of the central nervous system by modulating synaptic plasticity which is essential for learning and memory.

Pathways

PKC gamma participates in the MAPK and PI3K signaling pathways which are critical in cell growth and survival. The protein interacts with other PKC isozymes and signaling molecules within these pathways playing a role in phosphorylating specific target proteins. These interactions facilitate the regulation of cell cycle progression and apoptosis indicating its importance in cellular homeostasis.

Abnormal PKC gamma activity associates with spinocerebellar ataxia type 14 and addiction-related behavior. Spinocerebellar ataxia results from mutations affecting PKC gamma which disrupts its normal function and leads to neurodegeneration. Additionally PKC gamma’s interaction with other proteins such as GABAA receptors in addiction highlights potential therapeutic targets for treatment.

Product protocols

For this product, it's our understanding that no specific protocols are required. You can visit:

Target data

Calcium-activated, phospholipid- and diacylglycerol (DAG)-dependent serine/threonine-protein kinase that plays diverse roles in neuronal cells and eye tissues, such as regulation of the neuronal receptors GRIA4/GLUR4 and GRIN1/NMDAR1, modulation of receptors and neuronal functions related to sensitivity to opiates, pain and alcohol, mediation of synaptic function and cell survival after ischemia, and inhibition of gap junction activity after oxidative stress. Binds and phosphorylates GRIA4/GLUR4 glutamate receptor and regulates its function by increasing plasma membrane-associated GRIA4 expression. In primary cerebellar neurons treated with the agonist 3,5-dihyidroxyphenylglycine, functions downstream of the metabotropic glutamate receptor GRM5/MGLUR5 and phosphorylates GRIN1/NMDAR1 receptor which plays a key role in synaptic plasticity, synaptogenesis, excitotoxicity, memory acquisition and learning. May be involved in the regulation of hippocampal long-term potentiation (LTP), but may be not necessary for the process of synaptic plasticity. May be involved in desensitization of mu-type opioid receptor-mediated G-protein activation in the spinal cord, and may be critical for the development and/or maintenance of morphine-induced reinforcing effects in the limbic forebrain. May modulate the functionality of mu-type-opioid receptors by participating in a signaling pathway which leads to the phosphorylation and degradation of opioid receptors. May also contributes to chronic morphine-induced changes in nociceptive processing. Plays a role in neuropathic pain mechanisms and contributes to the maintenance of the allodynia pain produced by peripheral inflammation. Plays an important role in initial sensitivity and tolerance to ethanol, by mediating the behavioral effects of ethanol as well as the effects of this drug on the GABA(A) receptors. During and after cerebral ischemia modulate neurotransmission and cell survival in synaptic membranes, and is involved in insulin-induced inhibition of necrosis, an important mechanism for minimizing ischemic injury. Required for the elimination of multiple climbing fibers during innervation of Purkinje cells in developing cerebellum. Is activated in lens epithelial cells upon hydrogen peroxide treatment, and phosphorylates connexin-43 (GJA1/CX43), resulting in disassembly of GJA1 gap junction plaques and inhibition of gap junction activity which could provide a protective effect against oxidative stress (By similarity). Phosphorylates p53/TP53 and promotes p53/TP53-dependent apoptosis in response to DNA damage. Involved in the phase resetting of the cerebral cortex circadian clock during temporally restricted feeding. Stabilizes the core clock component BMAL1 by interfering with its ubiquitination, thus suppressing its degradation, resulting in phase resetting of the cerebral cortex clock (By similarity). Phosphorylates and activates LRRK1, which phosphorylates RAB proteins involved in intracellular trafficking (PubMed : 36040231).
See full target information PRKCG

Publications (1)

Recent publications for all applications. Explore the full list and refine your search

Cellular and molecular life sciences : CMLS 82:102 PubMed40045019

2025

Temporal characterisation and electrophysiological implications of TBI-induced serine/threonine kinase activity in mouse cortex.

Applications

Unspecified application

Species

Unspecified reactive species

Celine Gallagher,Thomas Mittmann
View all publications

Product promise

We are committed to supporting your work with high-quality reagents, and we're here for you every step of the way. In the unlikely event that one of our products does not perform as expected, you're protected by our Product Promise.
For full details, please see our Terms & Conditions

Please note: All products are 'FOR RESEARCH USE ONLY. NOT FOR USE IN DIAGNOSTIC OR THERAPEUTIC PROCEDURES'.

For licensing inquiries, please contact partnerships@abcam.com