JavaScript is disabled in your browser. Please enable JavaScript to view this website.
AB230972

Anti-PKC theta/PRKCQ antibody [EPR22281]

Be the first to review this product! Submit a review

|

(1 Publication)

Rabbit Recombinant Monoclonal PKC theta/PRKCQ antibody. Suitable for WB, Flow Cyt (Intra), IHC-P and reacts with Human samples. Cited in 1 publication.

View Alternative Names

PRKCT, PRKCQ, Protein kinase C theta type, nPKC-theta

6 Images
Flow Cytometry (Intracellular) - Anti-PKC theta/PRKCQ antibody [EPR22281] (AB230972)
  • Flow Cyt (Intra)

Unknown

Flow Cytometry (Intracellular) - Anti-PKC theta/PRKCQ antibody [EPR22281] (AB230972)

Intracellular flow cytometric analysis of 4% paraformaldehyde-fixed, 90% methanol-permeabilized K562 (human chronic myelogenous leukemia cell line from bone marrow) cell line labeling PKC theta/PRKCQ with ab230972 at 1/50 (red) compared with a Rabbit IgG, monoclonal [EPR25A] - Isotype Control (ab172730) (black) and an unlabeled control (cells without incubation with primary antibody and secondary antibody) (blue). Goat Anti-Rabbit IgG H&L (Alexa Fluor� 488) (ab150077), at 1/2000 dilution was used as the secondary antibody.

Immunohistochemistry (Formalin/PFA-fixed paraffin-embedded sections) - Anti-PKC theta/PRKCQ antibody [EPR22281] (AB230972)
  • IHC-P

Unknown

Immunohistochemistry (Formalin/PFA-fixed paraffin-embedded sections) - Anti-PKC theta/PRKCQ antibody [EPR22281] (AB230972)

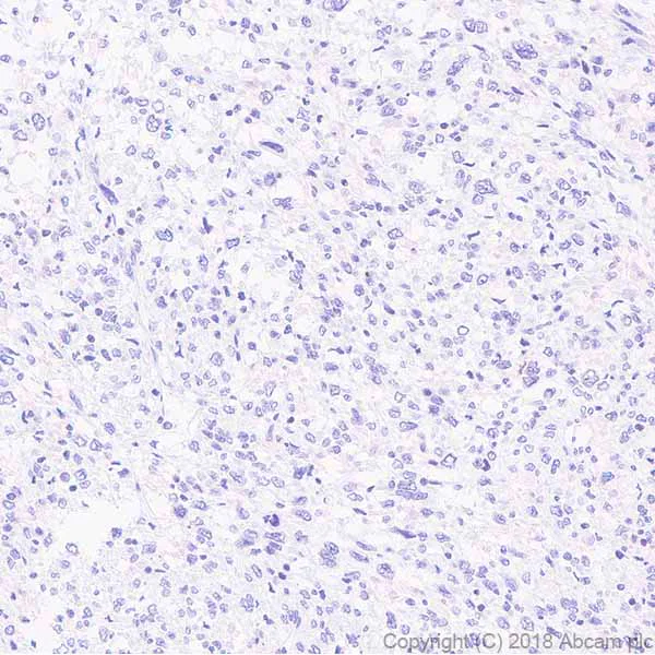
Immunohistochemical analysis of paraffin-embedded human leiomyosarcoma tissue labeling PKC theta/PRKCQ with ab230972 at 1/1000 dilution, followed by Goat Anti-Rabbit IgG H&L (HRP) ready to use. Negative control : No staining in human leiomyosarcoma (PMID : 15289315) is observed. Counter stained with hematoxylin.

Secondary antibody only control : Used PBS instead of primary antibody, secondary antibody is Goat Anti-Rabbit IgG H&L (HRP) ready to use.

Heat mediated antigen retrieval using ab93684 (Tris/EDTA buffer, pH 9.0).

Immunohistochemistry (Formalin/PFA-fixed paraffin-embedded sections) - Anti-PKC theta/PRKCQ antibody [EPR22281] (AB230972)
  • IHC-P

Unknown

Immunohistochemistry (Formalin/PFA-fixed paraffin-embedded sections) - Anti-PKC theta/PRKCQ antibody [EPR22281] (AB230972)

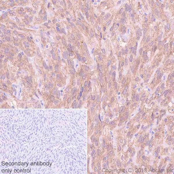
Immunohistochemical analysis of paraffin-embedded human gastrointestinal stromal tumor tissue labeling PKC theta/PRKCQ with ab230972 at 1/1000 dilution, followed by Goat Anti-Rabbit IgG H&L (HRP) ready to use. Cytoplasmic staining in human gastrointestinal stromal tumor (PMID : 15289315) is observed. Counter stained with hematoxylin.
Secondary antibody only control : Used PBS instead of primary antibody, secondary antibody is Goat Anti-Rabbit IgG H&L (HRP) ready to use.

Heat mediated antigen retrieval using ab93684 (Tris/EDTA buffer, pH 9.0).

Flow Cytometry (Intracellular) - Anti-PKC theta/PRKCQ antibody [EPR22281] (AB230972)
  • Flow Cyt (Intra)

Unknown

Flow Cytometry (Intracellular) - Anti-PKC theta/PRKCQ antibody [EPR22281] (AB230972)

Intracellular flow cytometric analysis of 4% paraformaldehyde-fixed, 90% methanol-permeabilized Jurkat (human T cell leukemia cell line from peripheral blood) cell line labeling PKC theta/PRKCQ with ab230972 at 1/500 (red) compared with a Rabbit IgG, monoclonal [EPR25A] - Isotype Control (ab172730) (black) and an unlabeled control (cells without incubation with primary antibody and secondary antibody) (blue). Goat Anti-Rabbit IgG H&L (Alexa Fluor�488) (ab150077), at 1/2000 dilution was used as the secondary antibody.

Immunohistochemistry (Formalin/PFA-fixed paraffin-embedded sections) - Anti-PKC theta/PRKCQ antibody [EPR22281] (AB230972)
  • IHC-P

Unknown

Immunohistochemistry (Formalin/PFA-fixed paraffin-embedded sections) - Anti-PKC theta/PRKCQ antibody [EPR22281] (AB230972)

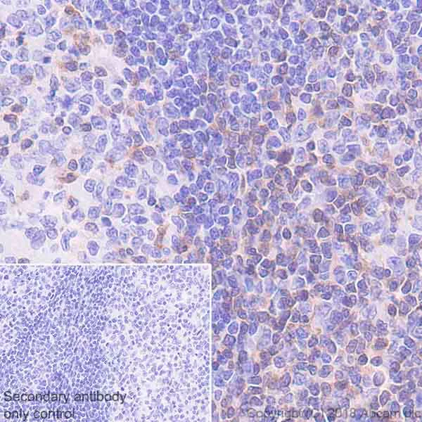
Immunohistochemical analysis of paraffin-embedded human tonsil tissue labeling PKC theta/PRKCQ with ab230972 at 1/1000 dilution, followed by Goat Anti-Rabbit IgG H&L (HRP) ready to use. Cytoplasmic and nuclear staining in T lymphocytes of tonsil (PMID : 27149922) is observed. Counter stained with hematoxylin.
Secondary antibody only control : Used PBS instead of primary antibody, secondary antibody is Goat Anti-Rabbit IgG H&L (HRP) ready to use.

Heat mediated antigen retrieval using ab93684 (Tris/EDTA buffer, pH 9.0).

Western blot - Anti-PKC theta/PRKCQ antibody [EPR22281] (AB230972)
  • WB

Unknown

Western blot - Anti-PKC theta/PRKCQ antibody [EPR22281] (AB230972)

Blocking and dilution buffer : 5% NFDM/TBST.

The molecular weight observed is consistent with what has been described in the literature, the 40kDa band is a cleaved form (PMID : 9252332, PMID : 24924627).

All lanes:

Western blot - Anti-PKC theta/PRKCQ antibody [EPR22281] (ab230972) at 1/1000 dilution

Lane 1:

Jurkat (human T cell leukemia cell line from peripheral blood) whole cell lysate at 20 µg

Lane 2:

MOLT-4 (human lymphoblastic leukemia cell line) whole cell lysate at 20 µg

Secondary

All lanes:

Western blot - Goat Anti-Rabbit IgG H&L (HRP) (<a href='/en-us/products/secondary-antibodies/goat-rabbit-igg-h-l-hrp-ab97051'>ab97051</a>) at 1/100000 dilution

Predicted band size: 82 kDa

Observed band size: 40 kDa,75 kDa

false

Exposure time: 3min

  • Carrier free

    Anti-PKC theta/PRKCQ antibody [EPR22281] - BSA and Azide free

Key facts

Host species

Rabbit

Clonality

Monoclonal

Clone number

EPR22281

Isotype

IgG

Carrier free

No

Reacts with

Human

Applications

WB, Flow Cyt (Intra), IHC-P

applications

Immunogen

The exact immunogen used to generate this antibody is proprietary information.

Reactivity data

{ "title": "Reactivity Data", "filters": { "stats": ["", "Species", "Dilution Info", "Notes"], "tabs": { "all-applications": {"fullname" : "All Applications", "shortname": "All Applications"}, "IP" : {"fullname" : "Immunoprecipitation", "shortname":"IP"}, "WB" : {"fullname" : "Western blot", "shortname":"WB"}, "ICCIF" : {"fullname" : "Immunocytochemistry/ Immunofluorescence", "shortname":"ICC/IF"}, "FlowCytIntra" : {"fullname" : "Flow Cytometry (Intracellular)", "shortname":"Flow Cyt (Intra)"}, "IHCP" : {"fullname" : "Immunohistochemistry (Formalin/PFA-fixed paraffin-embedded sections)", "shortname":"IHC-P"} }, "product-promise": { "all": "all", "testedAndGuaranteed": "tested", "guaranteed": "expected", "predicted": "predicted", "notRecommended": "not-recommended" } }, "values": { "Human": { "IP-species-checked": "notRecommended", "IP-species-dilution-info": "", "IP-species-notes": "<p></p>", "WB-species-checked": "testedAndGuaranteed", "WB-species-dilution-info": "1/1000", "WB-species-notes": "<p></p>", "ICCIF-species-checked": "notRecommended", "ICCIF-species-dilution-info": "", "ICCIF-species-notes": "<p></p>", "FlowCytIntra-species-checked": "testedAndGuaranteed", "FlowCytIntra-species-dilution-info": "1/50", "FlowCytIntra-species-notes": "<p></p>", "IHCP-species-checked": "testedAndGuaranteed", "IHCP-species-dilution-info": "1/2000", "IHCP-species-notes": "<p></p> Perform heat-mediated antigen retrieval with Tris/EDTA buffer pH 9.0 before commencing with IHC staining protocol." } } }

Product details

Patented technology
Our RabMAb® technology is a patented hybridoma-based technology for making rabbit monoclonal antibodies. For details on our patents, please refer to RabMAb® patents.

What are the advantages of a recombinant monoclonal antibody?
This product is a recombinant monoclonal antibody, which offers several advantages including:

  • - High batch-to-batch consistency and reproducibility
  • - Improved sensitivity and specificity
  • - Long-term security of supply
  • - Animal-free batch production

For more information, read more on recombinant antibodies.

Properties and storage information

Form
Liquid
Purification technique
Affinity purification Protein A
Storage buffer
pH: 7.2 - 7.4 Preservative: 0.01% Sodium azide Constituents: PBS, 40% Glycerol (glycerin, glycerine), 0.05% BSA
Shipped at conditions
Blue Ice
Appropriate short-term storage duration
1-2 weeks
Appropriate short-term storage conditions
+4°C
Appropriate long-term storage conditions
-20°C
Aliquoting information
Upon delivery aliquot
Storage information
Avoid freeze / thaw cycle

Supplementary information

This supplementary information is collated from multiple sources and compiled automatically.

PKC theta also known as PRKCQ is a protein kinase involved in signal transduction. The mass of PKC theta is approximately 85 kDa. It is a member of the protein kinase C (PKC) family which has distinctive roles in cellular processes. PKC theta specifically localizes in T-cells and is an important player in immune system functions. It is expressed predominantly in lymphoid tissues such as the spleen and thymus where T-cell activation and differentiation are significant.
Biological function summary

PKC theta participates in T-cell receptor signaling involved in the formation of immune synapses. It is an essential component of the multiprotein complex that includes molecules like LAT SLP-76 and Lck. PKC theta's activation allows the transmission of activation signals leading to the production of cytokines like IL-2. This function is integral to ensuring an effective immune response and the maintenance of immune homeostasis.

Pathways

PKC theta is central in the NF-kB pathway which transmits signals from T-cell receptors to the nucleus promoting gene transcription. It also plays a role in the AP-1 pathway collaborating with proteins such as CARMA1 and BCL10. These pathways underpin the immune response coordinating T-cell activation proliferation and survival linking PKC theta function to several immunological processes.

PKC theta has connections with autoimmune conditions such as rheumatoid arthritis and type 1 diabetes. In these disorders its role in T-cell signaling becomes dysregulated. This can lead to the overactive immune response against the body's tissues. Additionally PKC theta may interact with proteins involved in inflammatory signaling like NF-kB exacerbating inflammation and tissue damage. Understanding these relationships is important for developing therapies targeting immune dysregulation.

Product protocols

For this product, it's our understanding that no specific protocols are required. You can visit:

Target data

Calcium-independent, phospholipid- and diacylglycerol (DAG)-dependent serine/threonine-protein kinase that mediates non-redundant functions in T-cell receptor (TCR) signaling, including T-cells activation, proliferation, differentiation and survival, by mediating activation of multiple transcription factors such as NF-kappa-B, JUN, NFATC1 and NFATC2. In TCR-CD3/CD28-co-stimulated T-cells, is required for the activation of NF-kappa-B and JUN, which in turn are essential for IL2 production, and participates in the calcium-dependent NFATC1 and NFATC2 transactivation (PubMed : 21964608). Mediates the activation of the canonical NF-kappa-B pathway (NFKB1) by direct phosphorylation of CARD11 on several serine residues, inducing CARD11 association with lipid rafts and recruitment of the BCL10-MALT1 complex, which then activates IKK complex, resulting in nuclear translocation and activation of NFKB1. May also play an indirect role in activation of the non-canonical NF-kappa-B (NFKB2) pathway. In the signaling pathway leading to JUN activation, acts by phosphorylating the mediator STK39/SPAK and may not act through MAP kinases signaling. Plays a critical role in TCR/CD28-induced NFATC1 and NFATC2 transactivation by participating in the regulation of reduced inositol 1,4,5-trisphosphate generation and intracellular calcium mobilization. After costimulation of T-cells through CD28 can phosphorylate CBLB and is required for the ubiquitination and subsequent degradation of CBLB, which is a prerequisite for the activation of TCR. During T-cells differentiation, plays an important role in the development of T-helper 2 (Th2) cells following immune and inflammatory responses, and, in the development of inflammatory autoimmune diseases, is necessary for the activation of IL17-producing Th17 cells. May play a minor role in Th1 response. Upon TCR stimulation, mediates T-cell protective survival signal by phosphorylating BAD, thus protecting T-cells from BAD-induced apoptosis, and by up-regulating BCL-X(L)/BCL2L1 levels through NF-kappa-B and JUN pathways. In platelets, regulates signal transduction downstream of the ITGA2B, CD36/GP4, F2R/PAR1 and F2RL3/PAR4 receptors, playing a positive role in 'outside-in' signaling and granule secretion signal transduction. May relay signals from the activated ITGA2B receptor by regulating the uncoupling of WASP and WIPF1, thereby permitting the regulation of actin filament nucleation and branching activity of the Arp2/3 complex. May mediate inhibitory effects of free fatty acids on insulin signaling by phosphorylating IRS1, which in turn blocks IRS1 tyrosine phosphorylation and downstream activation of the PI3K/AKT pathway. Phosphorylates MSN (moesin) in the presence of phosphatidylglycerol or phosphatidylinositol. Phosphorylates PDPK1 at 'Ser-504' and 'Ser-532' and negatively regulates its ability to phosphorylate PKB/AKT1. Phosphorylates CCDC88A/GIV and inhibits its guanine nucleotide exchange factor activity (PubMed : 23509302). Phosphorylates and activates LRRK1, which phosphorylates RAB proteins involved in intracellular trafficking (PubMed : 36040231).
See full target information PRKCQ

Publications (1)

Recent publications for all applications. Explore the full list and refine your search

Cell death & disease 15:410 PubMed38866787

2024

Human gastric cancer progression and stabilization of ATG2B through RNF5 binding facilitated by autophagy-associated CircDHX8.

Applications

Unspecified application

Species

Unspecified reactive species

Guanxin Wei,Xiang Chen,Tuo Ruan,Xianxiong Ma,Xiuxian Zhu,Wenhao Wen,Danzeng He,Kaixiong Tao,Chuanqing Wu
View all publications

Product promise

We are committed to supporting your work with high-quality reagents, and we're here for you every step of the way. In the unlikely event that one of our products does not perform as expected, you're protected by our Product Promise.
For full details, please see our Terms & Conditions

Please note: All products are 'FOR RESEARCH USE ONLY. NOT FOR USE IN DIAGNOSTIC OR THERAPEUTIC PROCEDURES'.

For licensing inquiries, please contact partnerships@abcam.com