JavaScript is disabled in your browser. Please enable JavaScript to view this website.
AB131479

Anti-PKC theta/PRKCQ (phospho S676) antibody

Be the first to review this product! Submit a review

|

(3 Publications)

Rabbit Polyclonal PKC theta/PRKCQ phospho S676 antibody. Suitable for WB, IHC-P, ICC/IF and reacts with Rat, Human samples. Cited in 3 publications. Immunogen corresponding to Synthetic Peptide within Human PRKCQ phospho S676 conjugated to Keyhole Limpet Haemocyanin.

View Alternative Names

PRKCT, PRKCQ, Protein kinase C theta type, nPKC-theta

3 Images
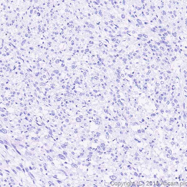
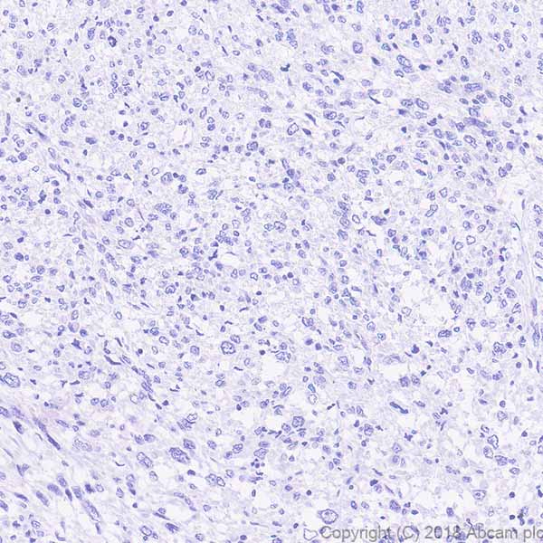
Immunohistochemistry (Formalin/PFA-fixed paraffin-embedded sections) - Anti-PKC theta/PRKCQ (phospho S676) antibody (AB131479)
  • IHC-P

Unknown

Immunohistochemistry (Formalin/PFA-fixed paraffin-embedded sections) - Anti-PKC theta/PRKCQ (phospho S676) antibody (AB131479)

Immunohistochemical analysis of paraffin-embedded Human lung carcinoma tissue labelling PKC theta/PRKCQ (phospho S676) with ab131479 at 1/50 dilution (left) or ab131479 preincubated with blocking peptide (right).

Immunocytochemistry/ Immunofluorescence - Anti-PKC theta/PRKCQ (phospho S676) antibody (AB131479)
  • ICC/IF

Unknown

Immunocytochemistry/ Immunofluorescence - Anti-PKC theta/PRKCQ (phospho S676) antibody (AB131479)

Immunofluorescent analysis of methanol-fixed HeLa cells labelling PKC theta/PRKCQ (phospho S676) with ab131479 at 1/100 dilution.

Western blot - Anti-PKC theta/PRKCQ (phospho S676) antibody (AB131479)
  • WB

Unknown

Western blot - Anti-PKC theta/PRKCQ (phospho S676) antibody (AB131479)

All lanes:

Western blot - Anti-PKC theta/PRKCQ (phospho S676) antibody (ab131479) at 1/500 dilution

Lane 1:

PC12 cell extract

Lane 2:

PC12 cell extract treated with PMA

Predicted band size: 82 kDa

false

Key facts

Host species

Rabbit

Clonality

Polyclonal

Isotype

IgG

Carrier free

No

Reacts with

Rat, Human

Applications

WB, IHC-P, ICC/IF

applications

Immunogen

Synthetic Peptide within Human PRKCQ phospho S676 conjugated to Keyhole Limpet Haemocyanin. The exact immunogen used to generate this antibody is proprietary information.

Q04759

Reactivity data

{ "title": "Reactivity Data", "filters": { "stats": ["", "Species", "Dilution Info", "Notes"], "tabs": { "all-applications": {"fullname" : "All Applications", "shortname": "All Applications"}, "WB" : {"fullname" : "Western blot", "shortname":"WB"}, "IHCP" : {"fullname" : "Immunohistochemistry (Formalin/PFA-fixed paraffin-embedded sections)", "shortname":"IHC-P"}, "ICCIF" : {"fullname" : "Immunocytochemistry/ Immunofluorescence", "shortname":"ICC/IF"} }, "product-promise": { "all": "all", "testedAndGuaranteed": "tested", "guaranteed": "expected", "predicted": "predicted", "notRecommended": "not-recommended" } }, "values": { "Human": { "WB-species-checked": "guaranteed", "WB-species-dilution-info": "", "WB-species-notes": "", "IHCP-species-checked": "testedAndGuaranteed", "IHCP-species-dilution-info": "1/50 - 1/100", "IHCP-species-notes": "<p></p>", "ICCIF-species-checked": "testedAndGuaranteed", "ICCIF-species-dilution-info": "1/100 - 1/200", "ICCIF-species-notes": "<p></p>" }, "Rat": { "WB-species-checked": "testedAndGuaranteed", "WB-species-dilution-info": "1/500 - 1/1000", "WB-species-notes": "<p></p>", "IHCP-species-checked": "guaranteed", "IHCP-species-dilution-info": "", "IHCP-species-notes": "", "ICCIF-species-checked": "guaranteed", "ICCIF-species-dilution-info": "", "ICCIF-species-notes": "" } } }

Properties and storage information

Form
Liquid
Purification technique
Affinity purification Immunogen
Purification notes
ab131479 was purified by affinity-chromatography using epitope-specific phosphopeptide. Non-phospho specific antibodies were removed by chromatography using non-phosphopeptide.
Storage buffer
pH: 7.4 Preservative: 0.02% Sodium azide Constituents: PBS, 50% Glycerol (glycerin, glycerine), 0.88% Sodium chloride
Shipped at conditions
Blue Ice
Appropriate short-term storage conditions
+4°C
Appropriate long-term storage conditions
-20°C
Storage information
Stable for 12 months at -20°C

Supplementary information

This supplementary information is collated from multiple sources and compiled automatically.

PKC theta also known as PRKCQ is a protein kinase involved in signal transduction. The mass of PKC theta is approximately 85 kDa. It is a member of the protein kinase C (PKC) family which has distinctive roles in cellular processes. PKC theta specifically localizes in T-cells and is an important player in immune system functions. It is expressed predominantly in lymphoid tissues such as the spleen and thymus where T-cell activation and differentiation are significant.
Biological function summary

PKC theta participates in T-cell receptor signaling involved in the formation of immune synapses. It is an essential component of the multiprotein complex that includes molecules like LAT SLP-76 and Lck. PKC theta's activation allows the transmission of activation signals leading to the production of cytokines like IL-2. This function is integral to ensuring an effective immune response and the maintenance of immune homeostasis.

Pathways

PKC theta is central in the NF-kB pathway which transmits signals from T-cell receptors to the nucleus promoting gene transcription. It also plays a role in the AP-1 pathway collaborating with proteins such as CARMA1 and BCL10. These pathways underpin the immune response coordinating T-cell activation proliferation and survival linking PKC theta function to several immunological processes.

PKC theta has connections with autoimmune conditions such as rheumatoid arthritis and type 1 diabetes. In these disorders its role in T-cell signaling becomes dysregulated. This can lead to the overactive immune response against the body's tissues. Additionally PKC theta may interact with proteins involved in inflammatory signaling like NF-kB exacerbating inflammation and tissue damage. Understanding these relationships is important for developing therapies targeting immune dysregulation.

Product protocols

For this product, it's our understanding that no specific protocols are required. You can visit:

Target data

Calcium-independent, phospholipid- and diacylglycerol (DAG)-dependent serine/threonine-protein kinase that mediates non-redundant functions in T-cell receptor (TCR) signaling, including T-cells activation, proliferation, differentiation and survival, by mediating activation of multiple transcription factors such as NF-kappa-B, JUN, NFATC1 and NFATC2. In TCR-CD3/CD28-co-stimulated T-cells, is required for the activation of NF-kappa-B and JUN, which in turn are essential for IL2 production, and participates in the calcium-dependent NFATC1 and NFATC2 transactivation (PubMed : 21964608). Mediates the activation of the canonical NF-kappa-B pathway (NFKB1) by direct phosphorylation of CARD11 on several serine residues, inducing CARD11 association with lipid rafts and recruitment of the BCL10-MALT1 complex, which then activates IKK complex, resulting in nuclear translocation and activation of NFKB1. May also play an indirect role in activation of the non-canonical NF-kappa-B (NFKB2) pathway. In the signaling pathway leading to JUN activation, acts by phosphorylating the mediator STK39/SPAK and may not act through MAP kinases signaling. Plays a critical role in TCR/CD28-induced NFATC1 and NFATC2 transactivation by participating in the regulation of reduced inositol 1,4,5-trisphosphate generation and intracellular calcium mobilization. After costimulation of T-cells through CD28 can phosphorylate CBLB and is required for the ubiquitination and subsequent degradation of CBLB, which is a prerequisite for the activation of TCR. During T-cells differentiation, plays an important role in the development of T-helper 2 (Th2) cells following immune and inflammatory responses, and, in the development of inflammatory autoimmune diseases, is necessary for the activation of IL17-producing Th17 cells. May play a minor role in Th1 response. Upon TCR stimulation, mediates T-cell protective survival signal by phosphorylating BAD, thus protecting T-cells from BAD-induced apoptosis, and by up-regulating BCL-X(L)/BCL2L1 levels through NF-kappa-B and JUN pathways. In platelets, regulates signal transduction downstream of the ITGA2B, CD36/GP4, F2R/PAR1 and F2RL3/PAR4 receptors, playing a positive role in 'outside-in' signaling and granule secretion signal transduction. May relay signals from the activated ITGA2B receptor by regulating the uncoupling of WASP and WIPF1, thereby permitting the regulation of actin filament nucleation and branching activity of the Arp2/3 complex. May mediate inhibitory effects of free fatty acids on insulin signaling by phosphorylating IRS1, which in turn blocks IRS1 tyrosine phosphorylation and downstream activation of the PI3K/AKT pathway. Phosphorylates MSN (moesin) in the presence of phosphatidylglycerol or phosphatidylinositol. Phosphorylates PDPK1 at 'Ser-504' and 'Ser-532' and negatively regulates its ability to phosphorylate PKB/AKT1. Phosphorylates CCDC88A/GIV and inhibits its guanine nucleotide exchange factor activity (PubMed : 23509302). Phosphorylates and activates LRRK1, which phosphorylates RAB proteins involved in intracellular trafficking (PubMed : 36040231).
See full target information PRKCQ phospho S676

Publications (3)

Recent publications for all applications. Explore the full list and refine your search

Annals of translational medicine 9:1738 PubMed35071432

2022

Thrombospondin-1 aggravates colonic mucosal inflammatory injuries via promoting the differentiation of CD11c macrophages with lysosomal activity limited in colitis.

Applications

Unspecified application

Species

Unspecified reactive species

Ping Tao,Beiping Zhang,Jiang Lin,Shiying Wang

International journal of molecular sciences 20: PubMed30871020

2019

Muscle-Saturated Bioactive Lipids Are Increased with Aging and Influenced by High-Intensity Interval Training.

Applications

Unspecified application

Species

Unspecified reactive species

Ditte Søgaard,Marcin Baranowski,Steen Larsen,Michael Taulo Lund,Cathrine Munk Scheuer,Carina Vestergaard Abildskov,Sofie Greve Dideriksen,Flemming Dela,Jørn Wulff Helge

Journal of diabetes research 2016:2372741 PubMed27777958

2016

Training Does Not Alter Muscle Ceramide and Diacylglycerol in Offsprings of Type 2 Diabetic Patients Despite Improved Insulin Sensitivity.

Applications

Unspecified application

Species

Unspecified reactive species

Ditte Søgaard,Torben Østergård,Agnieszka U Blachnio-Zabielska,Marcin Baranowski,Andreas Hansen Vigelsø,Jesper Løvind Andersen,Flemming Dela,Jørn Wulff Helge
View all publications

Product promise

We are committed to supporting your work with high-quality reagents, and we're here for you every step of the way. In the unlikely event that one of our products does not perform as expected, you're protected by our Product Promise.
For full details, please see our Terms & Conditions

Please note: All products are 'FOR RESEARCH USE ONLY. NOT FOR USE IN DIAGNOSTIC OR THERAPEUTIC PROCEDURES'.

For licensing inquiries, please contact partnerships@abcam.com