JavaScript is disabled in your browser. Please enable JavaScript to view this website.
AB59364

Anti-PKC zeta antibody

5

(5 Reviews)

|

(34 Publications)

Rabbit Polyclonal KPCZ antibody. Suitable for IP, ELISA, WB, IHC-P, ICC/IF and reacts with Mouse, Rat, African green monkey, Xenopus laevis, Human, Vervet monkey samples. Cited in 34 publications. Immunogen corresponding to Synthetic Peptide within Human PRKCZ aa 500 to C-terminus.

View Alternative Names

PKC2, PRKCZ, Protein kinase C zeta type, nPKC-zeta

6 Images
Immunohistochemistry (Formalin/PFA-fixed paraffin-embedded sections) - Anti-PKC zeta antibody (AB59364)
  • IHC-P

Unknown

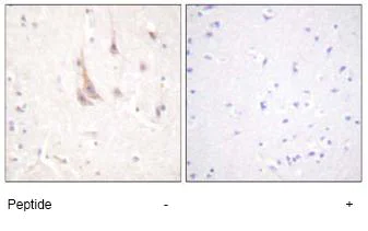
Immunohistochemistry (Formalin/PFA-fixed paraffin-embedded sections) - Anti-PKC zeta antibody (AB59364)

ab59364 at a 1/50 dilution staining PKC zeta in formalin/PFA fixed paraffin-embedded human brain tissue using Immunohistochemistry.

Left panel : Without immunizing peptide.

Right image : Plus immunizing peptide.

Immunohistochemistry (Formalin/PFA-fixed paraffin-embedded sections) - Anti-PKC zeta antibody (AB59364)
  • IHC-P

PubMed

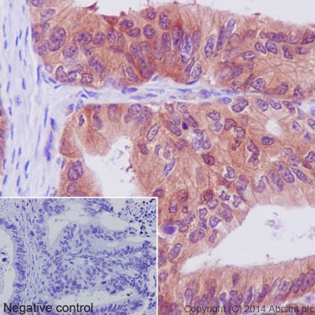
Immunohistochemistry (Formalin/PFA-fixed paraffin-embedded sections) - Anti-PKC zeta antibody (AB59364)

Immunohistochemical analysis of human proliferative endometrial tissue, staining PKC zeta with ab59364.

Antigen retrieval was performed by heat mediation in a citrate buffer. Tissue was blocked with blocking solution before incubating with primary antibody (1/100) overnight at 4°C. Staining was detected using DAB.

Image from Rivero R et al., Reproductive Biology and Endocrinology 2012, 10:17, 5 March 2012. Fig 1.; doi: 10.1186/1477-7827-10-17.

Immunocytochemistry/ Immunofluorescence - Anti-PKC zeta antibody (AB59364)
  • ICC/IF

Supplier Data

Immunocytochemistry/ Immunofluorescence - Anti-PKC zeta antibody (AB59364)

Immunofluorescence analysis of NIH/3T3 cells using PKC zeta at dilution of 1 : 100.

Western blot - Anti-PKC zeta antibody (AB59364)
  • WB

AbReview13786****

Western blot - Anti-PKC zeta antibody (AB59364)

Lane 1:

Western blot - Anti-PKC zeta antibody (ab59364)

Lanes 2 - 4:

Western blot - Anti-PKC zeta antibody (ab59364) at 1/500 dilution

Lanes 1 - 2:

Rat hippocampus lysate at 40 µg

Lanes 3 - 4:

Rat hippocampus lysate at 20 µg

Secondary

All lanes:

Anti-Rabbit IR800-linked conjugation: IRDye® 800CW

Predicted band size: 68 kDa

false

Exposure time: 5min

This image is courtesy of an Abreview submitted by Mr Richard D'Mello

Western blot - Anti-PKC zeta antibody (AB59364)
  • WB

AbReview29225****

Western blot - Anti-PKC zeta antibody (AB59364)

All lanes:

Western blot - Anti-PKC zeta antibody (ab59364) at 1/500 dilution

All lanes:

Xenopus laevis cytoplasmic egg extract at 40 µg

Secondary

All lanes:

Goat polyclonal - IRDye® 800CW at 1/10000 dilution

Predicted band size: 68 kDa

false

Exposure time: 5s

Verified Customer

Western blot - Anti-PKC zeta antibody (AB59364)
  • WB

Supplier Data

Western blot - Anti-PKC zeta antibody (AB59364)

All lanes:

Western blot - Anti-PKC zeta antibody (ab59364) at 1/500 dilution

Lane 1:

Extracts from COS-7 (African green monkey kidney fibroblast-like cell line) cells, treated with PMA (125 ng/ml, 30mins), without immunizing peptide

Lane 2:

Extracts from COS7 (African green monkey kidney fibroblast-like cell line)cells, treated with PMA (125 ng/ml, 30mins), plus immunizing peptide

Predicted band size: 68 kDa

Observed band size: 80 kDa

false

Key facts

Host species

Rabbit

Clonality

Polyclonal

Isotype

IgG

Carrier free

No

Reacts with

Mouse, Human, African green monkey, Rat, Xenopus laevis

Applications

IP, IHC-P, ELISA, ICC/IF, WB

applications

Immunogen

Synthetic Peptide within Human PRKCZ aa 500 to C-terminus. The exact immunogen used to generate this antibody is proprietary information.

Q05513

Specificity

ab59364 detects endogenous levels of total PKC zeta protein. The immunogen used for this product shares 89% homology with PKC iota/lambda. Cross-reactivity with this protein has not been confirmed experimentally.

Reactivity data

{ "title": "Reactivity Data", "filters": { "stats": ["", "Species", "Dilution Info", "Notes"], "tabs": { "all-applications": {"fullname" : "All Applications", "shortname": "All Applications"}, "IP" : {"fullname" : "Immunoprecipitation", "shortname":"IP"}, "ELISA" : {"fullname" : "ELISA", "shortname":"ELISA"}, "WB" : {"fullname" : "Western blot", "shortname":"WB"}, "IHCP" : {"fullname" : "Immunohistochemistry (Formalin/PFA-fixed paraffin-embedded sections)", "shortname":"IHC-P"}, "ICCIF" : {"fullname" : "Immunocytochemistry/ Immunofluorescence", "shortname":"ICC/IF"} }, "product-promise": { "all": "all", "testedAndGuaranteed": "tested", "guaranteed": "expected", "predicted": "predicted", "notRecommended": "not-recommended" } }, "values": { "Human": { "IP-species-checked": "guaranteed", "IP-species-dilution-info": "", "IP-species-notes": "<p></p>", "ELISA-species-checked": "guaranteed", "ELISA-species-dilution-info": "", "ELISA-species-notes": "<p></p>", "WB-species-checked": "guaranteed", "WB-species-dilution-info": "", "WB-species-notes": "", "IHCP-species-checked": "testedAndGuaranteed", "IHCP-species-dilution-info": "1/50 - 1/100", "IHCP-species-notes": "<p></p>", "ICCIF-species-checked": "guaranteed", "ICCIF-species-dilution-info": "", "ICCIF-species-notes": "" }, "Mouse": { "IP-species-checked": "guaranteed", "IP-species-dilution-info": "", "IP-species-notes": "<p></p>", "ELISA-species-checked": "guaranteed", "ELISA-species-dilution-info": "", "ELISA-species-notes": "<p></p>", "WB-species-checked": "guaranteed", "WB-species-dilution-info": "", "WB-species-notes": "", "IHCP-species-checked": "guaranteed", "IHCP-species-dilution-info": "", "IHCP-species-notes": "", "ICCIF-species-checked": "testedAndGuaranteed", "ICCIF-species-dilution-info": "1/100 - 1/500", "ICCIF-species-notes": "<p></p>" }, "Rat": { "IP-species-checked": "guaranteed", "IP-species-dilution-info": "", "IP-species-notes": "<p></p>", "ELISA-species-checked": "guaranteed", "ELISA-species-dilution-info": "", "ELISA-species-notes": "<p></p>", "WB-species-checked": "predicted", "WB-species-dilution-info": "", "WB-species-notes": "", "IHCP-species-checked": "predicted", "IHCP-species-dilution-info": "", "IHCP-species-notes": "", "ICCIF-species-checked": "predicted", "ICCIF-species-dilution-info": "", "ICCIF-species-notes": "" }, "African green monkey": { "IP-species-checked": "guaranteed", "IP-species-dilution-info": "", "IP-species-notes": "<p></p>", "ELISA-species-checked": "guaranteed", "ELISA-species-dilution-info": "", "ELISA-species-notes": "<p></p>", "WB-species-checked": "predicted", "WB-species-dilution-info": "", "WB-species-notes": "", "IHCP-species-checked": "predicted", "IHCP-species-dilution-info": "", "IHCP-species-notes": "", "ICCIF-species-checked": "predicted", "ICCIF-species-dilution-info": "", "ICCIF-species-notes": "" }, "Vervet monkey": { "IP-species-checked": "notRecommended", "IP-species-dilution-info": "", "IP-species-notes": "", "ELISA-species-checked": "notRecommended", "ELISA-species-dilution-info": "", "ELISA-species-notes": "", "WB-species-checked": "testedAndGuaranteed", "WB-species-dilution-info": "", "WB-species-notes": "<p></p>", "IHCP-species-checked": "guaranteed", "IHCP-species-dilution-info": "", "IHCP-species-notes": "", "ICCIF-species-checked": "guaranteed", "ICCIF-species-dilution-info": "", "ICCIF-species-notes": "" }, "Xenopus laevis": { "IP-species-checked": "guaranteed", "IP-species-dilution-info": "", "IP-species-notes": "<p></p>", "ELISA-species-checked": "guaranteed", "ELISA-species-dilution-info": "", "ELISA-species-notes": "<p></p>", "WB-species-checked": "predicted", "WB-species-dilution-info": "", "WB-species-notes": "", "IHCP-species-checked": "predicted", "IHCP-species-dilution-info": "", "IHCP-species-notes": "", "ICCIF-species-checked": "predicted", "ICCIF-species-dilution-info": "", "ICCIF-species-notes": "" } } }

Properties and storage information

Form
Liquid
Purification technique
Affinity purification Immunogen
Storage buffer
pH: 7.4 Preservative: 0.02% Sodium azide Constituents: PBS, 50% Glycerol (glycerin, glycerine), 0.87% Sodium chloride
Shipped at conditions
Blue Ice
Appropriate short-term storage duration
1-2 weeks
Appropriate short-term storage conditions
+4°C
Appropriate long-term storage conditions
-20°C
Aliquoting information
Upon delivery aliquot
Storage information
Avoid freeze / thaw cycle

Supplementary information

This supplementary information is collated from multiple sources and compiled automatically.

PKC zeta also known as Protein Kinase C zeta is a member of the atypical protein kinase C family. This enzyme plays an important role in various cellular processes. PKC zeta has a molecular mass of about 55 kDa and is expressed in many tissues including brain and immune cells. Unlike conventional PKC enzymes PKC zeta does not respond to calcium or diacylglycerol which influences its unique regulatory roles.
Biological function summary

PKC zeta participates in regulating cell proliferation survival and differentiation. It often functions as part of signaling complexes that include other proteins like PDK1 and is involved in transducing signals from cell surface receptors to the nucleus. Its activity influences cellular responses to hormones growth factors and cytokines contributing to diverse cellular events.

Pathways

PKC zeta plays a critical role in the NF-kappaB and PI3K/Akt signaling pathways. In the NF-kappaB pathway PKC zeta helps in the activation of this transcription factor affecting genes related to inflammation and immune response. In the PI3K/Akt pathway it is involved in cell growth and survival interacting with kinases such as Akt and PDK1 which further modulate downstream effectors.

PKC zeta has associations with cancer and insulin resistance-related conditions. In cancer dysregulation of PKC zeta can lead to unchecked cellular proliferation due to its involvement in survival pathways and it often interacts with oncogenic proteins like Akt. In insulin resistance PKC zeta misregulation impacts glucose metabolism highlighting its role in diabetes-related pathways alongside insulin receptor substrates.

Product protocols

For this product, it's our understanding that no specific protocols are required. You can visit:

Target data

Calcium- and diacylglycerol-independent serine/threonine-protein kinase that functions in phosphatidylinositol 3-kinase (PI3K) pathway and mitogen-activated protein (MAP) kinase cascade, and is involved in NF-kappa-B activation, mitogenic signaling, cell proliferation, cell polarity, inflammatory response and maintenance of long-term potentiation (LTP). Upon lipopolysaccharide (LPS) treatment in macrophages, or following mitogenic stimuli, functions downstream of PI3K to activate MAP2K1/MEK1-MAPK1/ERK2 signaling cascade independently of RAF1 activation. Required for insulin-dependent activation of AKT3, but may function as an adapter rather than a direct activator. Upon insulin treatment may act as a downstream effector of PI3K and contribute to the activation of translocation of the glucose transporter SLC2A4/GLUT4 and subsequent glucose transport in adipocytes. In EGF-induced cells, binds and activates MAP2K5/MEK5-MAPK7/ERK5 independently of its kinase activity and can activate JUN promoter through MEF2C. Through binding with SQSTM1/p62, functions in interleukin-1 signaling and activation of NF-kappa-B with the specific adapters RIPK1 and TRAF6. Participates in TNF-dependent transactivation of NF-kappa-B by phosphorylating and activating IKBKB kinase, which in turn leads to the degradation of NF-kappa-B inhibitors. In migrating astrocytes, forms a cytoplasmic complex with PARD6A and is recruited by CDC42 to function in the establishment of cell polarity along with the microtubule motor and dynein. In association with FEZ1, stimulates neuronal differentiation in PC12 cells. In the inflammatory response, is required for the T-helper 2 (Th2) differentiation process, including interleukin production, efficient activation of JAK1 and the subsequent phosphorylation and nuclear translocation of STAT6. May be involved in development of allergic airway inflammation (asthma), a process dependent on Th2 immune response. In the NF-kappa-B-mediated inflammatory response, can relieve SETD6-dependent repression of NF-kappa-B target genes by phosphorylating the RELA subunit at 'Ser-311'. Phosphorylates VAMP2 in vitro (PubMed : 17313651). Phosphorylates and activates LRRK1, which phosphorylates RAB proteins involved in intracellular trafficking (PubMed : 36040231).. Isoform 2. Involved in late synaptic long term potention phase in CA1 hippocampal cells and long term memory maintenance.
See full target information PRKCZ

Publications (34)

Recent publications for all applications. Explore the full list and refine your search

Nature communications 15:10541 PubMed39627191

2024

Cell polarity proteins promote macropinocytosis in response to metabolic stress.

Applications

Unspecified application

Species

Unspecified reactive species

Guillem Lambies,Szu-Wei Lee,Karen Duong-Polk,Pedro Aza-Blanc,Swetha Maganti,Cheska M Galapate,Anagha Deshpande,Aniruddha J Deshpande,David A Scott,David W Dawson,Cosimo Commisso

Developmental cell 59:1972-1987.e8 PubMed38815584

2024

Epithelial aPKC deficiency leads to stem cell loss preceding metaplasia in colorectal cancer initiation.

Applications

Unspecified application

Species

Unspecified reactive species

Hiroto Kinoshita,Anxo Martinez-Ordoñez,Tania Cid-Diaz,Qixiu Han,Angeles Duran,Yu Muta,Xiao Zhang,Juan F Linares,Yuki Nakanishi,Hiroaki Kasashima,Masakazu Yashiro,Kiyoshi Maeda,Ana Albaladejo-Gonzalez,Daniel Torres-Moreno,José García-Solano,Pablo Conesa-Zamora,Giorgio Inghirami,Maria T Diaz-Meco,Jorge Moscat

Nature communications 14:8075 PubMed38092754

2023

Enhanced SREBP2-driven cholesterol biosynthesis by PKCλ/ι deficiency in intestinal epithelial cells promotes aggressive serrated tumorigenesis.

Applications

Unspecified application

Species

Unspecified reactive species

Yu Muta,Juan F Linares,Anxo Martinez-Ordoñez,Angeles Duran,Tania Cid-Diaz,Hiroto Kinoshita,Xiao Zhang,Qixiu Han,Yuki Nakanishi,Naoko Nakanishi,Thekla Cordes,Gurpreet K Arora,Marc Ruiz-Martinez,Miguel Reina-Campos,Hiroaki Kasashima,Masakazu Yashiro,Kiyoshi Maeda,Ana Albaladejo-Gonzalez,Daniel Torres-Moreno,José García-Solano,Pablo Conesa-Zamora,Giorgio Inghirami,Christian M Metallo,Timothy F Osborne,Maria T Diaz-Meco,Jorge Moscat

Scientific reports 13:20384 PubMed37990053

2023

Phosphodiesterase 4 inhibition after retrieval switches the memory fate favoring extinction instead of reconsolidation.

Applications

Unspecified application

Species

Unspecified reactive species

Jeferson Machado Batista Sohn,Nathalie Carla Cardoso,Ana Maria Raymundi,Jos Prickaerts,Cristina Aparecida Jark Stern

eNeuro 10: PubMed36941060

2023

Environment Enrichment Facilitates Long-Term Memory Consolidation through Behavioral Tagging.

Applications

Unspecified application

Species

Unspecified reactive species

Medha Kaushik,Pooja Kaushik,Siddharth Panwar,Shiv Dutt Joshi,Suhel Parvez

Cancer cell 41:252-271.e9 PubMed36525970

2022

Hyaluronan driven by epithelial aPKC deficiency remodels the microenvironment and creates a vulnerability in mesenchymal colorectal cancer.

Applications

Unspecified application

Species

Unspecified reactive species

Anxo Martinez-Ordoñez,Angeles Duran,Marc Ruiz-Martinez,Tania Cid-Diaz,Xiao Zhang,Qixiu Han,Hiroto Kinoshita,Yu Muta,Juan F Linares,Hiroaki Kasashima,Yuki Nakanishi,Mohamed Omar,Sadaaki Nishimura,Leandro Avila,Masakazu Yashiro,Kiyoshi Maeda,Tania Pannellini,Alessio Pigazzi,Giorgio Inghirami,Luigi Marchionni,Darren Sigal,Maria T Diaz-Meco,Jorge Moscat

Frontiers in genetics 13:1034889 PubMed36330442

2022

G3BP1 regulates breast cancer cell proliferation and metastasis by modulating PKCζ.

Applications

Unspecified application

Species

Unspecified reactive species

Shuang Liu,Shaoping Tian,Tianyu Lin,Xin He,Justin Eze Ideozu,Rui Wang,Yong Wang,Dan Yue,Hua Geng

Frontiers in neuroscience 16:843396 PubMed35600618

2022

Contribution of Amygdala Histone Acetylation in Early Life Stress-Induced Visceral Hypersensitivity and Emotional Comorbidity.

Applications

Unspecified application

Species

Unspecified reactive species

Le Guan,Xi Shi,Ying Tang,Yan Yan,Liang Chen,Yu Chen,Guangcheng Gao,Chun Lin,Aiqin Chen

Cell reports 38:110375 PubMed35172155

2022

LGL1 binds to Integrin β1 and inhibits downstream signaling to promote epithelial branching in the mammary gland.

Applications

Unspecified application

Species

Unspecified reactive species

Rongze Ma,Difei Gong,Huanyang You,Chongshen Xu,Yunzhe Lu,Gabriele Bergers,Zena Werb,Ophir D Klein,Claudia K Petritsch,Pengfei Lu

Developmental biology 481:148-159 PubMed34599906

2021

CARMIL3 is important for cell migration and morphogenesis during early development in zebrafish.

Applications

Unspecified application

Species

Unspecified reactive species

Benjamin C Stark,Yuanyuan Gao,Diane S Sepich,Lakyn Belk,Matthew A Culver,Bo Hu,Marlene Mekel,Wyndham Ferris,Jimann Shin,Lilianna Solnica-Krezel,Fang Lin,John A Cooper
View all publications

Product promise

We are committed to supporting your work with high-quality reagents, and we're here for you every step of the way. In the unlikely event that one of our products does not perform as expected, you're protected by our Product Promise.
For full details, please see our Terms & Conditions

Please note: All products are 'FOR RESEARCH USE ONLY. NOT FOR USE IN DIAGNOSTIC OR THERAPEUTIC PROCEDURES'.

For licensing inquiries, please contact partnerships@abcam.com