JavaScript is disabled in your browser. Please enable JavaScript to view this website.
AB51250

Anti-PRKD2 antibody [EP1495Y]

5

(12 Reviews)

|

(10 Publications)

Rabbit Recombinant Monoclonal PRKD2 antibody. Suitable for WB, IHC-P, ICC/IF and reacts with Human, Mouse samples. Cited in 10 publications.

View Alternative Names

PKD2, HSPC187, PRKD2, Serine/threonine-protein kinase D2, nPKC-D2

5 Images
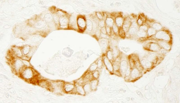
Immunohistochemistry (Formalin/PFA-fixed paraffin-embedded sections) - Anti-PRKD2 antibody [EP1495Y] (AB51250)
  • IHC-P

Unknown

Immunohistochemistry (Formalin/PFA-fixed paraffin-embedded sections) - Anti-PRKD2 antibody [EP1495Y] (AB51250)

ab51250 (1 : 100) staining human PKD2 in human breast carcinoma tissue by immunohistochemistry using paraffin embedded tissue.

Perform heat mediated antigen retrieval with citrate buffer pH 6 before commencing with IHC staining protocol.

Immunocytochemistry/ Immunofluorescence - Anti-PRKD2 antibody [EP1495Y] (AB51250)
  • ICC/IF

Unknown

Immunocytochemistry/ Immunofluorescence - Anti-PRKD2 antibody [EP1495Y] (AB51250)

ICC/IF image of ab51250 stained HeLa cells. The cells were 4% Formaldehyde fixed (10 mins) and then incubated in 1%BSA / 10% normal goat serum / 0.3M glycine in 0.1% PBS-Tween for 1h to permeabilise the cells and block non-specific protein-protein interactions. The cells were then incubated with the antibody (ab51250 10μg/ml) overnight at +4°C. The secondary antibody (green) was ab96899 DyLight® 488 goat anti-rabbit IgG (H+L) used at a 1/250 dilution for 1h. Alexa Fluor® 594 WGA was used to label plasma membranes (red) at a 1/200 dilution for 1h. DAPI was used to stain the cell nuclei (blue) at a concentration of 1.43μM.

Western blot - Anti-PRKD2 antibody [EP1495Y] (AB51250)
  • WB

Unknown

Western blot - Anti-PRKD2 antibody [EP1495Y] (AB51250)

All lanes:

Western blot - Anti-PRKD2 antibody [EP1495Y] (ab51250) at 1/500 dilution

All lanes:

HeLa cell lysate at 10 µg

Secondary

All lanes:

Goat anti-rabbit HRP labeled at 1/2000 dilution

Predicted band size: 97 kDa

Observed band size: 105 kDa

false

Western blot - Anti-PRKD2 antibody [EP1495Y] (AB51250)
  • WB

Lab

Western blot - Anti-PRKD2 antibody [EP1495Y] (AB51250)

Lane 1 : Wild-type HAP1 cell lysate (40 μg)
Lane 2 : PKD2 knockout HAP1 cell lysate (40 μg)
Lane 3 : HeLa cell lysate (20 μg)
Lane 4 : HEK293 cell lysate (20 μg)
Lanes 1 - 4 : Merged signal (red and green). Green - ab51250 observed at 110 kDa. Red - loading control, ab8245, observed at 37 kDa.

ab51250 was shown to recognize PKD2 when PKD2 knockout samples were used, along with additional cross-reactive bands. Wild-type and PKD2 knockout samples were subjected to SDS-PAGE. ab51250 and ab8245 (loading control to GAPDH) were diluted at 1/500 and 1 : 10,000 dilution respectively and incubated overnight at 4C. Blots were developed with Goat anti-Rabbit IgG H&L (IRDye® 800CW) preadsorbed (ab216773) and Goat anti-Mouse IgG H&L (IRDye® 680RD) preadsorbed (ab216776) secondary antibodies at 1 : 10,000 dilution for 1 hour at room temperature before imaging.

All lanes:

Western blot - Anti-PRKD2 antibody [EP1495Y] (ab51250)

Predicted band size: 97 kDa

false

Western blot - Anti-PRKD2 antibody [EP1495Y] (AB51250)
  • WB

Lab

Western blot - Anti-PRKD2 antibody [EP1495Y] (AB51250)

Western blot : Anti-PRKD2 antibody [EP1495Y] (ab51250) staining at 1/500 dilution, shown in green; Mouse anti-CANX [CANX/1543] (ab238078) loading control staining at 1/20000 dilution, shown in magenta. In Western blot, ab51250 was shown to bind specifically to PRKD2. A band was observed at 105 kDa in wild-type A549 cell lysates with no signal observed at this size in PRKD2 knockout cell line. To generate this image, wild-type and PRKD2 knockout A549 cell lysates were analysed. First, samples were run on an SDS-PAGE gel then transferred onto a nitrocellulose membrane. Membranes were blocked in 3 % milk in TBS-0.1 % Tween® 20 (TBS-T) before incubation with primary antibodies overnight at 4 °C. Blots were washed four times in TBS-T, incubated with secondary antibodies for 1 h at room temperature, washed again four times then imaged. Secondary antibodies used were Goat anti-Rabbit IgG H&L 800CW and Goat anti-Mouse IgG H&L 680RD at 1/20000 dilution.

All lanes:

Western blot - Anti-PRKD2 antibody [EP1495Y] (ab51250) at 1/500 dilution

Lane 1:

Wild-type A549 cell lysate at 20 µg

Lane 2:

PRKD2 knockout A549 cell lysate at 20 µg

Secondary

All lanes:

Goat anti-Rabbit IgG H&L 800CW and Goat anti-Mouse IgG H&L 680RD at 1/20000 dilution

Observed band size: 105 kDa

false

  • Carrier free

    Anti-PRKD2 antibody [EP1495Y] - BSA and Azide free

Key facts

Host species

Rabbit

Clonality

Monoclonal

Clone number

EP1495Y

Isotype

IgG

Carrier free

No

Reacts with

Mouse, Human

Applications

IHC-P, ICC/IF, WB

applications

Immunogen

The exact immunogen used to generate this antibody is proprietary information.

Reactivity data

{ "title": "Reactivity Data", "filters": { "stats": ["", "Species", "Dilution Info", "Notes"], "tabs": { "all-applications": {"fullname" : "All Applications", "shortname": "All Applications"}, "WB" : {"fullname" : "Western blot", "shortname":"WB"}, "IHCP" : {"fullname" : "Immunohistochemistry (Formalin/PFA-fixed paraffin-embedded sections)", "shortname":"IHC-P"}, "ICCIF" : {"fullname" : "Immunocytochemistry/ Immunofluorescence", "shortname":"ICC/IF"}, "IP" : {"fullname" : "Immunoprecipitation", "shortname":"IP"} }, "product-promise": { "all": "all", "testedAndGuaranteed": "tested", "guaranteed": "expected", "predicted": "predicted", "notRecommended": "not-recommended" } }, "values": { "Human": { "WB-species-checked": "testedAndGuaranteed", "WB-species-dilution-info": "1/500", "WB-species-notes": "<p></p>", "IHCP-species-checked": "testedAndGuaranteed", "IHCP-species-dilution-info": "", "IHCP-species-notes": "<p></p>", "ICCIF-species-checked": "testedAndGuaranteed", "ICCIF-species-dilution-info": "1/100 - 1/250", "ICCIF-species-notes": "<p></p>", "IP-species-checked": "notRecommended", "IP-species-dilution-info": "", "IP-species-notes": "<p></p>" }, "Mouse": { "WB-species-checked": "guaranteed", "WB-species-dilution-info": "1/500", "WB-species-notes": "<p></p>", "IHCP-species-checked": "guaranteed", "IHCP-species-dilution-info": "", "IHCP-species-notes": "<p></p>", "ICCIF-species-checked": "guaranteed", "ICCIF-species-dilution-info": "1/100 - 1/250", "ICCIF-species-notes": "<p></p>", "IP-species-checked": "notRecommended", "IP-species-dilution-info": "", "IP-species-notes": "<p></p>" } } }

Product details

This product was previously labelled as PKD2; the name has been updated to PRKD2 to avoid nomenclature confusion, with no change to the product’s target or specificity.

Patented technology
Our RabMAb® technology is a patented hybridoma-based technology for making rabbit monoclonal antibodies. For details on our patents, please refer to RabMAb® patents.

What are the advantages of a recombinant monoclonal antibody?
This product is a recombinant monoclonal antibody, which offers several advantages including:

  • - High batch-to-batch consistency and reproducibility
  • - Improved sensitivity and specificity
  • - Long-term security of supply
  • - Animal-free batch production

For more information, read more on recombinant antibodies.

Species reactivity
Rat: We have preliminary internal testing data to indicate this antibody may not react with this species.
Please contact us for more information.

Properties and storage information

Form
Liquid
Purification technique
Affinity purification Protein A
Storage buffer
pH: 7.2 - 7.4 Preservative: 0.01% Sodium azide Constituents: PBS, 50% Glycerol (glycerin, glycerine), 0.05% BSA
Shipped at conditions
Blue Ice
Appropriate short-term storage conditions
+4°C
Appropriate long-term storage conditions
-20°C
Aliquoting information
Upon delivery aliquot
Storage information
Avoid freeze / thaw cycle

Product protocols

For this product, it's our understanding that no specific protocols are required. You can visit:

Target data

Serine/threonine-protein kinase that converts transient diacylglycerol (DAG) signals into prolonged physiological effects downstream of PKC, and is involved in the regulation of cell proliferation via MAPK1/3 (ERK1/2) signaling, oxidative stress-induced NF-kappa-B activation, inhibition of HDAC7 transcriptional repression, signaling downstream of T-cell antigen receptor (TCR) and cytokine production, and plays a role in Golgi membrane trafficking, angiogenesis, secretory granule release and cell adhesion (PubMed : 14743217, PubMed : 15604256, PubMed : 16928771, PubMed : 17077180, PubMed : 17951978, PubMed : 17962809, PubMed : 18262756, PubMed : 19001381, PubMed : 19192391, PubMed : 23503467, PubMed : 28428613). May potentiate mitogenesis induced by the neuropeptide bombesin by mediating an increase in the duration of MAPK1/3 (ERK1/2) signaling, which leads to accumulation of immediate-early gene products including FOS that stimulate cell cycle progression (By similarity). In response to oxidative stress, is phosphorylated at Tyr-438 and Tyr-717 by ABL1, which leads to the activation of PRKD2 without increasing its catalytic activity, and mediates activation of NF-kappa-B (PubMed : 15604256, PubMed : 28428613). In response to the activation of the gastrin receptor CCKBR, is phosphorylated at Ser-244 by CSNK1D and CSNK1E, translocates to the nucleus, phosphorylates HDAC7, leading to nuclear export of HDAC7 and inhibition of HDAC7 transcriptional repression of NR4A1/NUR77 (PubMed : 17962809). Upon TCR stimulation, is activated independently of ZAP70, translocates from the cytoplasm to the nucleus and is required for interleukin-2 (IL2) promoter up-regulation (PubMed : 17077180). During adaptive immune responses, is required in peripheral T-lymphocytes for the production of the effector cytokines IL2 and IFNG after TCR engagement and for optimal induction of antibody responses to antigens (By similarity). In epithelial cells stimulated with lysophosphatidic acid (LPA), is activated through a PKC-dependent pathway and mediates LPA-stimulated interleukin-8 (IL8) secretion via a NF-kappa-B-dependent pathway (PubMed : 16928771). During TCR-induced T-cell activation, interacts with and is activated by the tyrosine kinase LCK, which results in the activation of the NFAT transcription factors (PubMed : 19192391). In the trans-Golgi network (TGN), regulates the fission of transport vesicles that are on their way to the plasma membrane and in polarized cells is involved in the transport of proteins from the TGN to the basolateral membrane (PubMed : 14743217). Plays an important role in endothelial cell proliferation and migration prior to angiogenesis, partly through modulation of the expression of KDR/VEGFR2 and FGFR1, two key growth factor receptors involved in angiogenesis (PubMed : 19001381). In secretory pathway, is required for the release of chromogranin-A (CHGA)-containing secretory granules from the TGN (PubMed : 18262756). Downstream of PRKCA, plays important roles in angiotensin-2-induced monocyte adhesion to endothelial cells (PubMed : 17951978). Plays a regulatory role in angiogenesis and tumor growth by phosphorylating a downstream mediator CIB1 isoform 2, resulting in vascular endothelial growth factor A (VEGFA) secretion (PubMed : 23503467).
See full target information PRKD2

Publications (10)

Recent publications for all applications. Explore the full list and refine your search

NPJ Parkinson's disease 11:254 PubMed40847026

2025

A brain-shuttled antibody targeting alpha synuclein aggregates for the treatment of synucleinopathies.

Applications

Unspecified application

Species

Unspecified reactive species

Sungwon An,John J McInnis,Dongin Kim,Yihang Li,Ozge Tasdemir-Yilmaz,Jinhyung Ahn,Brian C Mackness,Seung-Hwan Kwon,Julia Maeve Bonner,Miran Yoo,Simon Dujardin,Donghwan Kim,Jinyoung Park,Hyesu Yun,Yi Tang,Laurent Pradier,Sumin Hyeon,Daehae Song,Byungje Sung,Rajaraman Krishnan,Brian Spencer,Robert A Rissman,Jagdeep K Sandhu,Arsalan S Haqqani,Jung-Won Shin,Donghwan B Kim,Hyeran Lee,Jinwon Jung,Weon-Kyoo You,Alexandra T Star,Christie E Delaney,Danica B Stanimirovic,Sergio Pablo Sardi,Sang Hoon Lee,Can Kayatekin

Nutrition, metabolism, and cardiovascular diseases : NMCD 32:2655-2668 PubMed36058761

2022

Quercetin ameliorated insulin resistance via regulating METTL3-mediated N6-methyladenosine modification of PRKD2 mRNA in skeletal muscle and C2C12 myocyte cell line.

Applications

Unspecified application

Species

Unspecified reactive species

Yang Jiao,Albert Williams,Ning Wei

Development (Cambridge, England) 147: PubMed32747433

2020

Inhibition of protein kinase D by CID755673 promotes maintenance of the pluripotency of embryonic stem cells.

Applications

Unspecified application

Species

Unspecified reactive species

Zhenhua Zhu,Yan Zhang,Xiaoxiao Wang,Xiaohu Wang,Shou-Dong Ye

International journal of molecular sciences 21: PubMed32033440

2020

Regulation of Osteoclast Differentiation at Multiple Stages by Protein Kinase D Family Kinases.

Applications

Unspecified application

Species

Unspecified reactive species

Amanda C Leightner,Carina Mello Guimaraes Meyers,Michael D Evans,Kim C Mansky,Rajaram Gopalakrishnan,Eric D Jensen

PloS one 13:e0195864 PubMed29652915

2018

Protein kinase D3 modulates MMP1 and MMP13 expression in human chondrocytes.

Applications

Unspecified application

Species

Unspecified reactive species

Jonathan Baker,Adrian M D Falconer,David J Wilkinson,G Nicholas Europe-Finner,Gary J Litherland,Andrew D Rowan

Journal of neuroinflammation 14:253 PubMed29258556

2017

Lysophosphatidic acid via LPA-receptor 5/protein kinase D-dependent pathways induces a motile and pro-inflammatory microglial phenotype.

Applications

Unspecified application

Species

Unspecified reactive species

I Plastira,E Bernhart,M Goeritzer,T DeVaney,H Reicher,A Hammer,B Lohberger,A Wintersperger,B Zucol,W F Graier,D Kratky,E Malle,W Sattler

Cancer research 74:7125-36 PubMed25297628

2014

HSP90 supports tumor growth and angiogenesis through PRKD2 protein stabilization.

Applications

Unspecified application

Species

Unspecified reactive species

Ninel Azoitei,Kristina Diepold,Cornelia Brunner,Arefeh Rouhi,Felicitas Genze,Alexander Becher,Hans Kestler,Johan van Lint,Gabriela Chiosis,John Koren,Stefan Fröhling,Claudia Scholl,Thomas Seufferlein

Neuro-oncology 13:710-24 PubMed21727210

2011

Protein kinase D2 is a novel regulator of glioblastoma growth and tumor formation.

Applications

WB, IHC-P, WB, IHC-P

Species

Chicken, Human, Human, Chicken

Ninel Azoitei,Alexander Kleger,Nina Schoo,Dietmar Rudolf Thal,Cornelia Brunner,Ganesh Varma Pusapati,Alina Filatova,Felicitas Genze,Peter Möller,Til Acker,Rainer Kuefer,Johan Van Lint,Heinrich Baust,Guido Adler,Thomas Seufferlein

Biochemical pharmacology 82:720-7 PubMed21736870

2011

Protein kinase Cδ mediates the activation of protein kinase D2 in platelets.

Applications

WB, WB

Species

Mouse, Human

Dheeraj Bhavanasi,Soochong Kim,Lawrence E Goldfinger,Satya P Kunapuli

Gut 59:1316-30 PubMed20732914

2010

Protein kinase D2 is a crucial regulator of tumour cell-endothelial cell communication in gastrointestinal tumours.

Applications

Unspecified application

Species

Unspecified reactive species

Ninel Azoitei,Ganesh Varma Pusapati,Alexander Kleger,Peter Möller,Rainer Küfer,Felicitas Genze,Martin Wagner,Johan van Lint,Peter Carmeliet,Guido Adler,Thomas Seufferlein
View all publications

Product promise

We are committed to supporting your work with high-quality reagents, and we're here for you every step of the way. In the unlikely event that one of our products does not perform as expected, you're protected by our Product Promise.
For full details, please see our Terms & Conditions

Please note: All products are 'FOR RESEARCH USE ONLY. NOT FOR USE IN DIAGNOSTIC OR THERAPEUTIC PROCEDURES'.

For licensing inquiries, please contact partnerships@abcam.com