JavaScript is disabled in your browser. Please enable JavaScript to view this website.
AB246493

Anti-PKD2 (phospho S876) antibody [EP1496Y] - BSA and Azide free

Be the first to review this product! Submit a review

|

(1 Publication)

Rabbit Recombinant Monoclonal PKD2 phospho S876 antibody. Carrier free. Suitable for IP, WB and reacts with Mouse, Human, Rat samples. Cited in 1 publication.

View Alternative Names

PKD2, HSPC187, PRKD2, Serine/threonine-protein kinase D2, nPKC-D2

4 Images
Immunoprecipitation - Anti-PKD2 (phospho S876) antibody [EP1496Y] - BSA and Azide free (AB246493)
  • IP

Lab

Immunoprecipitation - Anti-PKD2 (phospho S876) antibody [EP1496Y] - BSA and Azide free (AB246493)

This data was developed using ab51251, the same antibody clone in a different buffer formulation.PKD2 was immunoprecipitated from 0.35 mg HeLa (Human cervix adenocarcinoma epithelial cell) starve overnight, then treated with TPA(200nM 4h) whole cell lysate 10 µg with ab51251 at 1/20 dilution (0.6µg). VeriBlot for IP Detection Reagent (HRP)(ab131366) was used at 1/5000 dilution.

Lane 1 : HeLa (Human cervix adenocarcinoma epithelial cell) starve overnight, then treated with TPA(200nM 4h) whole cell lysate 10 µg

Lane 2 : abab51251 IP in HeLa starve overnight, then treated with TPA(200nM 4h) whole cell lysate

Lane 3 : Rabbit monoclonal IgG (ab172730) instead of ab51251 in HeLa starve overnight, then treated with TPA(200nM 4h) whole cell lysate

Blocking and dilution buffer and concentration : 5% NFDM/TBST.

All lanes:

Immunoprecipitation - Anti-PKD2 (phospho S876) antibody [EP1496Y] - BSA and Azide free (ab246493)

Predicted band size: 97 kDa

false

Immunoprecipitation - Anti-PKD2 (phospho S876) antibody [EP1496Y] - BSA and Azide free (AB246493)
  • IP

Lab

Immunoprecipitation - Anti-PKD2 (phospho S876) antibody [EP1496Y] - BSA and Azide free (AB246493)

This data was developed using abab246493, the same antibody clone in a different buffer formulation.
Purified ab246493 at 1 : 20 dilution (0.6μh) immunoprecipitating PKD2 in HEK-293 (Human embryonic kidney epithelial cell) treated with 50nM Calyculin A for 3 hours whole cell lysate.
Lane 1 (input) : HEK-293 (Human embryonic kidney epithelial cell) treated with 50nM Calyculin A for 3 hours whole cell lysate 10μg
Lane 2 (+) : ab246493 + HEK-293 (Human embryonic kidney epithelial cell) treated with 50nM Calyculin A for 3 hours whole cell lysate.
Lane 3 (-) : Rabbit monoclonal IgG (ab172730) instead of ab51251 in HEK-293 treated with 50nM Calyculin A for 3 hours whole cell lysate.
VeriBlot for IP Detection Reagent (HRP)™(ab131366) (1 : 1000 dilution) was used for Western blotting.
Blocking Buffer and concentration : 5% NFDM/TBST.
Diluting buffer and concentration : 5% NFDM/TBST.
Observed band size : 105 kDa

All lanes:

Immunoprecipitation - Anti-PKD2 (phospho S876) antibody [EP1496Y] (<a href='/en-us/products/primary-antibodies/pkd2-phospho-s876-antibody-ep1496y-ab51251'>ab51251</a>)

Predicted band size: 97 kDa

false

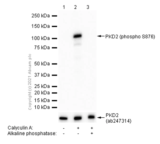
Western blot - Anti-PKD2 (phospho S876) antibody [EP1496Y] - BSA and Azide free (AB246493)
  • WB

Unknown

Western blot - Anti-PKD2 (phospho S876) antibody [EP1496Y] - BSA and Azide free (AB246493)

All lanes:

Western blot - Anti-PKD2 (phospho S876) antibody [EP1496Y] (<a href='/en-us/products/primary-antibodies/pkd2-phospho-s876-antibody-ep1496y-ab51251'>ab51251</a>) at 1/1000 dilution

Lane 1:

untreated HeLa (Human cervix adenocarcinoma epithelial cell) whole cell lysate

Lane 2:

HeLa (Human cervix adenocarcinoma epithelial cell) starved overnight and treated with 100nM calyculin A for 60 minutes whole cell lysate

Lane 3:

HeLa (Human cervix adenocarcinoma epithelial cell) starved overnight and treated with 100nM calyculin A for 60 minutes whole cell lysate, then the membrane treated with Alkaline Phosphatase for 1 hour

Secondary

All lanes:

Western blot - Goat Anti-Rabbit IgG H&L (HRP) (<a href='/en-us/products/secondary-antibodies/goat-rabbit-igg-h-l-hrp-ab97051'>ab97051</a>) at 1/20000 dilution

Predicted band size: 97 kDa

Observed band size: 105 kDa

false

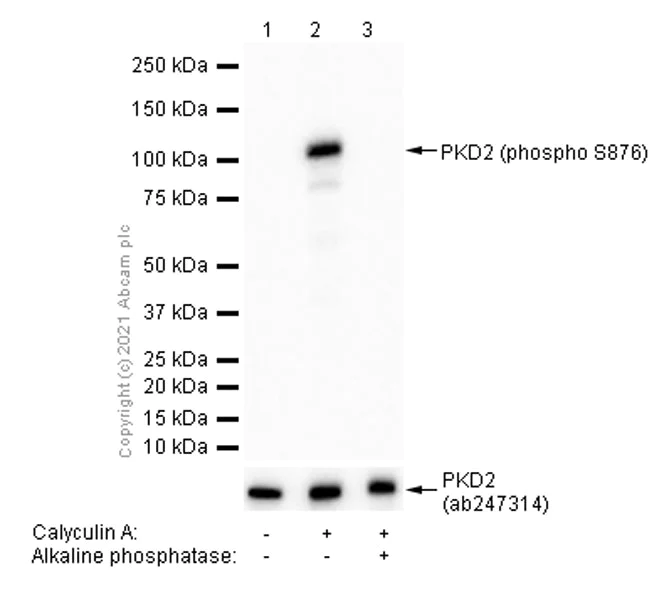
Western blot - Anti-PKD2 (phospho S876) antibody [EP1496Y] - BSA and Azide free (AB246493)
  • WB

Unknown

Western blot - Anti-PKD2 (phospho S876) antibody [EP1496Y] - BSA and Azide free (AB246493)

All lanes:

Western blot - Anti-PKD2 (phospho S876) antibody [EP1496Y] (<a href='/en-us/products/primary-antibodies/pkd2-phospho-s876-antibody-ep1496y-ab51251'>ab51251</a>) at 1/1000 dilution

Lane 1:

untreated HEK-293 (Human embryonic kidney epithelial cell) whole cell lysate

Lane 2:

HEK-293 (Human embryonic kidney epithelial cell) starved overnight and treated with 100nM calyculin A for 60 minutes, whole cell lysate

Lane 3:

HEK-293 (Human embryonic kidney epithelial cell) starved overnight and treated with 100nM calyculin A for 60 minutes whole cell lysate, then the membrane treated with Alkaline Phosphatase for 1 hour

Secondary

All lanes:

Western blot - Goat Anti-Rabbit IgG H&L (HRP) (<a href='/en-us/products/secondary-antibodies/goat-rabbit-igg-h-l-hrp-ab97051'>ab97051</a>) at 1/20000 dilution

Predicted band size: 97 kDa

Observed band size: 105 kDa

false

Key facts

Host species

Rabbit

Clonality

Monoclonal

Clone number

EP1496Y

Isotype

IgG

Carrier free

Yes

Reacts with

Human, Mouse, Rat

Applications

IP, WB

applications

Immunogen

The exact immunogen used to generate this antibody is proprietary information.

Reactivity data

{ "title": "Reactivity Data", "filters": { "stats": ["", "Species", "Dilution Info", "Notes"], "tabs": { "all-applications": {"fullname" : "All Applications", "shortname": "All Applications"}, "IP" : {"fullname" : "Immunoprecipitation", "shortname":"IP"}, "FlowCyt" : {"fullname" : "Flow Cytometry", "shortname":"Flow Cyt"}, "WB" : {"fullname" : "Western blot", "shortname":"WB"}, "ICCIF" : {"fullname" : "Immunocytochemistry/ Immunofluorescence", "shortname":"ICC/IF"} }, "product-promise": { "all": "all", "testedAndGuaranteed": "tested", "guaranteed": "expected", "predicted": "predicted", "notRecommended": "not-recommended" } }, "values": { "Human": { "IP-species-checked": "testedAndGuaranteed", "IP-species-dilution-info": "", "IP-species-notes": "<p></p>", "FlowCyt-species-checked": "notRecommended", "FlowCyt-species-dilution-info": "", "FlowCyt-species-notes": "<p></p>", "WB-species-checked": "testedAndGuaranteed", "WB-species-dilution-info": "", "WB-species-notes": "<p></p>", "ICCIF-species-checked": "notRecommended", "ICCIF-species-dilution-info": "", "ICCIF-species-notes": "<p></p>" }, "Mouse": { "IP-species-checked": "testedAndGuaranteed", "IP-species-dilution-info": "", "IP-species-notes": "<p></p>", "FlowCyt-species-checked": "notRecommended", "FlowCyt-species-dilution-info": "", "FlowCyt-species-notes": "<p></p>", "WB-species-checked": "guaranteed", "WB-species-dilution-info": "", "WB-species-notes": "", "ICCIF-species-checked": "notRecommended", "ICCIF-species-dilution-info": "", "ICCIF-species-notes": "<p></p>" }, "Rat": { "IP-species-checked": "predicted", "IP-species-dilution-info": "", "IP-species-notes": "", "FlowCyt-species-checked": "notRecommended", "FlowCyt-species-dilution-info": "", "FlowCyt-species-notes": "<p></p>", "WB-species-checked": "guaranteed", "WB-species-dilution-info": "", "WB-species-notes": "<p></p>", "ICCIF-species-checked": "notRecommended", "ICCIF-species-dilution-info": "", "ICCIF-species-notes": "<p></p>" } } }

Product details

ab246493 is the carrier-free version of ab51251.

We are constantly working hard to ensure we provide our customers with best in class antibodies. As a result of this work we are pleased to now offer this antibody in purified format. We are in the process of updating our datasheets. The purified format is designated 'PUR' on our product labels. If you have any questions regarding this update, please contact our Scientific Support team.

Species reactivity
Mouse, Rat: We have preliminary internal testing data to indicate this antibody may not react with these species.
Please contact us for more information.

Patented technology
Our RabMAb® technology is a patented hybridoma-based technology for making rabbit monoclonal antibodies. For details on our patents, please refer to RabMAb® patents.

What are the advantages of a recombinant monoclonal antibody?
This product is a recombinant monoclonal antibody, which offers several advantages including:

  • - High batch-to-batch consistency and reproducibility
  • - Improved sensitivity and specificity
  • - Long-term security of supply
  • - Animal-free batch production

For more information, read more on recombinant antibodies.

Conjugation ready
Our carrier-free antibodies are typically supplied in a PBS-only formulation, purified and free of BSA, sodium azide and glycerol. This conjugation-ready format is designed for use with fluorochromes, metal isotopes, oligonucleotides, and enzymes, which makes them ideal for antibody labelling, functional and cell-based assays, flow-based assays (e.g. mass cytometry) and Multiplex Imaging applications.

Use our conjugation kits for antibody conjugates that are ready-to-use in as little as 20 minutes with 1 minute hands-on-time and 100% antibody recovery: available for fluorescent dyes, HRP, biotin and gold.

Compatibility
This product is compatible with the Maxpar® Antibody Labeling Kit from Fluidigm, without the need for antibody preparation. Maxpar® is a trademark of Fluidigm Canada Inc.

Properties and storage information

Form
Liquid
Purification technique
Affinity purification Protein A
Storage buffer
pH: 7.2 - 7.4 Constituents: PBS
Shipped at conditions
Blue Ice
Appropriate short-term storage conditions
+4°C
Appropriate long-term storage conditions
+4°C
Storage information
Do Not Freeze

Supplementary information

This supplementary information is collated from multiple sources and compiled automatically.

PKD2 also known as Polycystin-2 or TRPP2 is a calcium-permeable cation channel with an approximate mass of 97 kDa. It is part of the transient receptor potential polycystic (TRPP) subfamily. PKD2 primarily localizes to the endoplasmic reticulum membrane but also found at plasma membranes and cilia. This protein is widely expressed in different tissues including kidney heart brain and muscles reflecting its diverse role in cellular physiology.
Biological function summary

PKD2 plays a significant role in maintaining calcium ion homeostasis and cellular signal transduction. PKD2 functions together with PKD1 forming a complex that is essential in mechanosensation and ciliary signaling. When part of this complex PKD2 helps regulate cellular responses to mechanical stimuli which are important in tissue architecture and integrity. Furthermore PKD2 influences various cellular processes by modulating ion fluxes and intracellular signaling pathways.

Pathways

PKD2 is involved in the polycystic kidney disease pathway and the Wnt signaling pathway. These pathways are integral to cell proliferation differentiation and tissue maintenance. In the polycystic kidney disease pathway PKD2 interacts with PKD1 affecting cellular processes related to cyst formation. Additionally PKD2's role in the Wnt pathway which is vital for cellular communication and development highlights its cooperation with other signaling proteins like beta-catenin linking it to cellular growth and morphology.

Mutations in the PKD2 gene are directly linked to autosomal dominant polycystic kidney disease (ADPKD) which leads to the formation of multiple cysts in the kidneys disrupting normal function. PKD2 protein's interaction with PKD1 is critical in ADPKD pathogenesis indicating that PKD1 and PKD2 mutations cumulatively affect disease severity. Additionally aberrant PKD2 expression has an association with cardiac conditions such as cardiac hypertrophy reflecting its importance in maintaining cardiovascular health.

Product protocols

For this product, it's our understanding that no specific protocols are required. You can visit:

Target data

Serine/threonine-protein kinase that converts transient diacylglycerol (DAG) signals into prolonged physiological effects downstream of PKC, and is involved in the regulation of cell proliferation via MAPK1/3 (ERK1/2) signaling, oxidative stress-induced NF-kappa-B activation, inhibition of HDAC7 transcriptional repression, signaling downstream of T-cell antigen receptor (TCR) and cytokine production, and plays a role in Golgi membrane trafficking, angiogenesis, secretory granule release and cell adhesion (PubMed : 14743217, PubMed : 15604256, PubMed : 16928771, PubMed : 17077180, PubMed : 17951978, PubMed : 17962809, PubMed : 18262756, PubMed : 19001381, PubMed : 19192391, PubMed : 23503467, PubMed : 28428613). May potentiate mitogenesis induced by the neuropeptide bombesin by mediating an increase in the duration of MAPK1/3 (ERK1/2) signaling, which leads to accumulation of immediate-early gene products including FOS that stimulate cell cycle progression (By similarity). In response to oxidative stress, is phosphorylated at Tyr-438 and Tyr-717 by ABL1, which leads to the activation of PRKD2 without increasing its catalytic activity, and mediates activation of NF-kappa-B (PubMed : 15604256, PubMed : 28428613). In response to the activation of the gastrin receptor CCKBR, is phosphorylated at Ser-244 by CSNK1D and CSNK1E, translocates to the nucleus, phosphorylates HDAC7, leading to nuclear export of HDAC7 and inhibition of HDAC7 transcriptional repression of NR4A1/NUR77 (PubMed : 17962809). Upon TCR stimulation, is activated independently of ZAP70, translocates from the cytoplasm to the nucleus and is required for interleukin-2 (IL2) promoter up-regulation (PubMed : 17077180). During adaptive immune responses, is required in peripheral T-lymphocytes for the production of the effector cytokines IL2 and IFNG after TCR engagement and for optimal induction of antibody responses to antigens (By similarity). In epithelial cells stimulated with lysophosphatidic acid (LPA), is activated through a PKC-dependent pathway and mediates LPA-stimulated interleukin-8 (IL8) secretion via a NF-kappa-B-dependent pathway (PubMed : 16928771). During TCR-induced T-cell activation, interacts with and is activated by the tyrosine kinase LCK, which results in the activation of the NFAT transcription factors (PubMed : 19192391). In the trans-Golgi network (TGN), regulates the fission of transport vesicles that are on their way to the plasma membrane and in polarized cells is involved in the transport of proteins from the TGN to the basolateral membrane (PubMed : 14743217). Plays an important role in endothelial cell proliferation and migration prior to angiogenesis, partly through modulation of the expression of KDR/VEGFR2 and FGFR1, two key growth factor receptors involved in angiogenesis (PubMed : 19001381). In secretory pathway, is required for the release of chromogranin-A (CHGA)-containing secretory granules from the TGN (PubMed : 18262756). Downstream of PRKCA, plays important roles in angiotensin-2-induced monocyte adhesion to endothelial cells (PubMed : 17951978). Plays a regulatory role in angiogenesis and tumor growth by phosphorylating a downstream mediator CIB1 isoform 2, resulting in vascular endothelial growth factor A (VEGFA) secretion (PubMed : 23503467).
See full target information PRKD2 phospho S876

Publications (1)

Recent publications for all applications. Explore the full list and refine your search

International immunopharmacology 120:110240 PubMed37182445

2023

Small molecule inhibitor CRT0066101 inhibits cytokine storm syndrome in a mouse model of lung injury.

Applications

Unspecified application

Species

Unspecified reactive species

Bomiao Cui,Yiying Liu,Jiao Chen,Hongli Chen,Yun Feng,Ping Zhang
View all publications

Product promise

We are committed to supporting your work with high-quality reagents, and we're here for you every step of the way. In the unlikely event that one of our products does not perform as expected, you're protected by our Product Promise.
For full details, please see our Terms & Conditions

Please note: All products are 'FOR RESEARCH USE ONLY. NOT FOR USE IN DIAGNOSTIC OR THERAPEUTIC PROCEDURES'.

For licensing inquiries, please contact partnerships@abcam.com