JavaScript is disabled in your browser. Please enable JavaScript to view this website.
AB249648

Anti-PKLR antibody [EPR11093] - BSA and Azide free

Be the first to review this product! Submit a review

|

(0 Publication)

Rabbit Recombinant Monoclonal PKLR antibody. Carrier free. Suitable for IHC-P, WB and reacts with Human, Mouse, Rat samples.

View Alternative Names

PK1, PKL, PKLR, Pyruvate kinase PKLR, Pyruvate kinase 1, Pyruvate kinase isozymes L/R, R-type/L-type pyruvate kinase, Red cell/liver pyruvate kinase

9 Images
Immunohistochemistry (Formalin/PFA-fixed paraffin-embedded sections) - Anti-PKLR antibody [EPR11093] - BSA and Azide free (AB249648)
  • IHC-P

Supplier Data

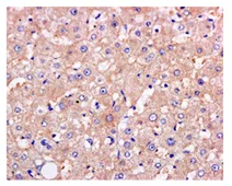
Immunohistochemistry (Formalin/PFA-fixed paraffin-embedded sections) - Anti-PKLR antibody [EPR11093] - BSA and Azide free (AB249648)

This data was developed using ab171744, the same antibody clone in a different buffer formulation.

Immunohistochemistry of paraffin-embedded Human liver tissue labeling PKLR using ab171744 at 1/250 dilution.

Perform heat mediated antigen retrieval with citrate buffer pH 6 before commencing with IHC staining protocol.

Immunohistochemistry (Formalin/PFA-fixed paraffin-embedded sections) - Anti-PKLR antibody [EPR11093] - BSA and Azide free (AB249648)
  • IHC-P

Supplier Data

Immunohistochemistry (Formalin/PFA-fixed paraffin-embedded sections) - Anti-PKLR antibody [EPR11093] - BSA and Azide free (AB249648)

This data was developed using ab171744, the same antibody clone in a different buffer formulation.

Immunohistochemistry of paraffin-embedded Human kidney tissue labeling PKLR using ab171744 at 1/250 dilution.

Perform heat mediated antigen retrieval with citrate buffer pH 6 before commencing with IHC staining protocol.

Immunohistochemistry (Formalin/PFA-fixed paraffin-embedded sections) - Anti-PKLR antibody [EPR11093] - BSA and Azide free (AB249648)
  • IHC-P

Lab

Immunohistochemistry (Formalin/PFA-fixed paraffin-embedded sections) - Anti-PKLR antibody [EPR11093] - BSA and Azide free (AB249648)

This data was developed using ab171744, the same antibody clone in a different buffer formulation. Immunohistochemistry analysis of paraffin-embedded human skeletal muscle tissue sections labeling PKLR with ab171744 at 1/250 dilution, incubated for 30 mins at room temperature followed by Goat Anti-Rabbit IgG H&L (HRP), ready to use. Sections were counterstained with Hematoxylin. Antigen retrieval  was heat mediated with Tris-EDTA buffer (pH 9.0, Epitope Retrieval Solution2) for 20 mins. The immunostaining was performed on a Leica Biosystems BOND® RX instrument. Negative control : no staining on human skeletal muscle.

Immunohistochemistry (Formalin/PFA-fixed paraffin-embedded sections) - Anti-PKLR antibody [EPR11093] - BSA and Azide free (AB249648)
  • IHC-P

Lab

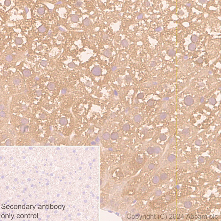
Immunohistochemistry (Formalin/PFA-fixed paraffin-embedded sections) - Anti-PKLR antibody [EPR11093] - BSA and Azide free (AB249648)

This data was developed using ab171744, the same antibody clone in a different buffer formulation. Immunohistochemistry analysis of paraffin-embedded human liver tissue sections labeling PKLR with ab171744 at 1/250 dilution, incubated for 30 mins at room temperature followed by Goat Anti-Rabbit IgG H&L (HRP), ready to use. Sections were counterstained with Hematoxylin. Antigen retrieval  was heat mediated with Tris-EDTA buffer (pH 9.0, Epitope Retrieval Solution2) for 20 mins. The immunostaining was performed on a Leica Biosystems BOND® RX instrument

Immunohistochemistry (Formalin/PFA-fixed paraffin-embedded sections) - Anti-PKLR antibody [EPR11093] - BSA and Azide free (AB249648)
  • IHC-P

Lab

Immunohistochemistry (Formalin/PFA-fixed paraffin-embedded sections) - Anti-PKLR antibody [EPR11093] - BSA and Azide free (AB249648)

This data was developed using ab171744, the same antibody clone in a different buffer formulation. Immunohistochemistry analysis of paraffin-embedded rat cardiac muscle tissue sections labeling PKLR with ab171744 at 1/250 dilution, incubated for 30 mins at room temperature followed by Goat Anti-Rabbit IgG H&L (HRP), ready to use. Sections were counterstained with Hematoxylin. Antigen retrieval  was heat mediated with Tris-EDTA buffer (pH 9.0, Epitope Retrieval Solution2) for 20 mins. The immunostaining was performed on a Leica Biosystems BOND® RX instrument. Negative control : no staining on rat cardiac muscle.

Immunohistochemistry (Formalin/PFA-fixed paraffin-embedded sections) - Anti-PKLR antibody [EPR11093] - BSA and Azide free (AB249648)
  • IHC-P

Lab

Immunohistochemistry (Formalin/PFA-fixed paraffin-embedded sections) - Anti-PKLR antibody [EPR11093] - BSA and Azide free (AB249648)

This data was developed using ab171744, the same antibody clone in a different buffer formulation. Immunohistochemistry analysis of paraffin-embedded mouse skeletal muscle tissue sections labeling PKLR with ab171744 at 1/250 dilution, incubated for 30 mins at room temperature followed by Goat Anti-Rabbit IgG H&L (HRP), ready to use. Sections were counterstained with Hematoxylin. Antigen retrieval  was heat mediated with Tris-EDTA buffer (pH 9.0, Epitope Retrieval Solution2) for 20 mins. The immunostaining was performed on a Leica Biosystems BOND® RX instrument. Negative control : no staining on mouse skeletal muscle.

Immunohistochemistry (Formalin/PFA-fixed paraffin-embedded sections) - Anti-PKLR antibody [EPR11093] - BSA and Azide free (AB249648)
  • IHC-P

Lab

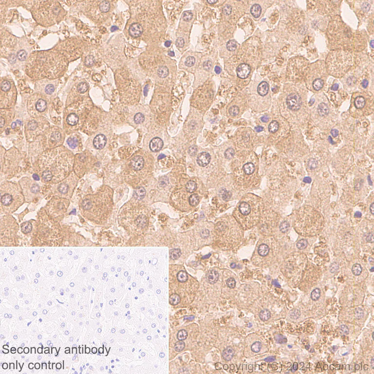
Immunohistochemistry (Formalin/PFA-fixed paraffin-embedded sections) - Anti-PKLR antibody [EPR11093] - BSA and Azide free (AB249648)

This data was developed using ab171744, the same antibody clone in a different buffer formulation. Immunohistochemistry analysis of paraffin-embedded rat liver tissue sections labeling PKLR with ab171744 at 1/250 dilution, incubated for 30 mins at room temperature followed by Goat Anti-Rabbit IgG H&L (HRP), ready to use. Sections were counterstained with Hematoxylin. Antigen retrieval  was heat mediated with Tris-EDTA buffer (pH 9.0, Epitope Retrieval Solution2) for 20 mins. The immunostaining was performed on a Leica Biosystems BOND® RX instrument.

Immunohistochemistry (Formalin/PFA-fixed paraffin-embedded sections) - Anti-PKLR antibody [EPR11093] - BSA and Azide free (AB249648)
  • IHC-P

Lab

Immunohistochemistry (Formalin/PFA-fixed paraffin-embedded sections) - Anti-PKLR antibody [EPR11093] - BSA and Azide free (AB249648)

This data was developed using ab171744, the same antibody clone in a different buffer formulation. Immunohistochemistry analysis of paraffin-embedded mouse liver tissue sections labeling PKLR with ab171744 at 1/250 dilution, incubated for 30 mins at room temperature followed by Goat Anti-Rabbit IgG H&L (HRP), ready to use. Sections were counterstained with Hematoxylin. Antigen retrieval  was heat mediated with Tris-EDTA buffer (pH 9.0, Epitope Retrieval Solution2) for 20 mins. The immunostaining was performed on a Leica Biosystems BOND® RX instrument

Western blot - Anti-PKLR antibody [EPR11093] - BSA and Azide free (AB249648)
  • WB

Supplier Data

Western blot - Anti-PKLR antibody [EPR11093] - BSA and Azide free (AB249648)

This data was developed using ab171744, the same antibody clone in a different buffer formulation.

All lanes:

Western blot - Anti-PKLR antibody [EPR11093] (<a href='/en-us/products/primary-antibodies/pklr-antibody-epr11093-ab171744'>ab171744</a>) at 1/1000 dilution

Lane 1:

HT-29 cell lysate at 10 µg

Lane 2:

HeLa cell lysate at 10 µg

Lane 3:

HepG2 cell lysate at 10 µg

Lane 4:

293T cell lysate at 10 µg

Predicted band size: 62 kDa

false

Key facts

Host species

Rabbit

Clonality

Monoclonal

Clone number

EPR11093

Isotype

IgG

Carrier free

Yes

Reacts with

Mouse, Rat, Human

Applications

WB, IHC-P

applications

Immunogen

The exact immunogen used to generate this antibody is proprietary information.

Reactivity data

{ "title": "Reactivity Data", "filters": { "stats": ["", "Species", "Dilution Info", "Notes"], "tabs": { "all-applications": {"fullname" : "All Applications", "shortname": "All Applications"}, "IHCP" : {"fullname" : "Immunohistochemistry (Formalin/PFA-fixed paraffin-embedded sections)", "shortname":"IHC-P"}, "IP" : {"fullname" : "Immunoprecipitation", "shortname":"IP"}, "FlowCyt" : {"fullname" : "Flow Cytometry", "shortname":"Flow Cyt"}, "WB" : {"fullname" : "Western blot", "shortname":"WB"}, "ICCIF" : {"fullname" : "Immunocytochemistry/ Immunofluorescence", "shortname":"ICC/IF"} }, "product-promise": { "all": "all", "testedAndGuaranteed": "tested", "guaranteed": "expected", "predicted": "predicted", "notRecommended": "not-recommended" } }, "values": { "Human": { "IHCP-species-checked": "testedAndGuaranteed", "IHCP-species-dilution-info": "", "IHCP-species-notes": "<p></p>", "IP-species-checked": "notRecommended", "IP-species-dilution-info": "", "IP-species-notes": "<p></p>", "FlowCyt-species-checked": "notRecommended", "FlowCyt-species-dilution-info": "", "FlowCyt-species-notes": "<p></p>", "WB-species-checked": "testedAndGuaranteed", "WB-species-dilution-info": "", "WB-species-notes": "<p></p>", "ICCIF-species-checked": "notRecommended", "ICCIF-species-dilution-info": "", "ICCIF-species-notes": "<p></p>" }, "Mouse": { "IHCP-species-checked": "testedAndGuaranteed", "IHCP-species-dilution-info": "", "IHCP-species-notes": "<p></p>", "IP-species-checked": "notRecommended", "IP-species-dilution-info": "", "IP-species-notes": "", "FlowCyt-species-checked": "notRecommended", "FlowCyt-species-dilution-info": "", "FlowCyt-species-notes": "", "WB-species-checked": "notRecommended", "WB-species-dilution-info": "", "WB-species-notes": "<p></p>", "ICCIF-species-checked": "notRecommended", "ICCIF-species-dilution-info": "", "ICCIF-species-notes": "" }, "Rat": { "IHCP-species-checked": "testedAndGuaranteed", "IHCP-species-dilution-info": "", "IHCP-species-notes": "<p></p>", "IP-species-checked": "notRecommended", "IP-species-dilution-info": "", "IP-species-notes": "", "FlowCyt-species-checked": "notRecommended", "FlowCyt-species-dilution-info": "", "FlowCyt-species-notes": "", "WB-species-checked": "guaranteed", "WB-species-dilution-info": "", "WB-species-notes": "", "ICCIF-species-checked": "notRecommended", "ICCIF-species-dilution-info": "", "ICCIF-species-notes": "" } } }

Product details

ab249648 is the carrier-free version of ab171744.

Patented technology
Our RabMAb® technology is a patented hybridoma-based technology for making rabbit monoclonal antibodies. For details on our patents, please refer to RabMAb® patents.

What are the advantages of a recombinant monoclonal antibody?
This product is a recombinant monoclonal antibody, which offers several advantages including:

  • - High batch-to-batch consistency and reproducibility
  • - Improved sensitivity and specificity
  • - Long-term security of supply
  • - Animal-free batch production

For more information, read more on recombinant antibodies.

Conjugation ready
Our carrier-free antibodies are typically supplied in a PBS-only formulation, purified and free of BSA, sodium azide and glycerol. This conjugation-ready format is designed for use with fluorochromes, metal isotopes, oligonucleotides, and enzymes, which makes them ideal for antibody labelling, functional and cell-based assays, flow-based assays (e.g. mass cytometry) and Multiplex Imaging applications.

Use our conjugation kits for antibody conjugates that are ready-to-use in as little as 20 minutes with 1 minute hands-on-time and 100% antibody recovery: available for fluorescent dyes, HRP, biotin and gold.

Compatibility
This product is compatible with the Maxpar® Antibody Labeling Kit from Fluidigm, without the need for antibody preparation. Maxpar® is a trademark of Fluidigm Canada Inc.

Properties and storage information

Form
Liquid
Purification technique
Affinity purification Protein A
Storage buffer
pH: 7.2 - 7.4 Constituents: PBS
Shipped at conditions
Blue Ice
Appropriate short-term storage conditions
+4°C
Appropriate long-term storage conditions
+4°C
Storage information
Do Not Freeze

Supplementary information

This supplementary information is collated from multiple sources and compiled automatically.

The PKLR gene encodes the pyruvate kinase liver and red blood cell enzyme also known as PK-LR. This enzyme catalyzes the last step in the glycolytic pathway converting phosphoenolpyruvate (PEP) into pyruvate with the production of ATP. The alternative names for PKLR include R-type pyruvate kinase and L-type pyruvate kinase. The enzyme has a molecular mass of approximately 57 kDa. It is primarily expressed in the liver and red blood cells with some presence in the pancreatic islets supporting its physiological roles in these tissues.
Biological function summary

Pyruvate kinase is important for energy production by regulating glycolysis. It exists as a homo-tetramer forming a complex to execute its enzymatic activity. This complex ensures the efficient conversion of PEP facilitating the flow of carbon through the glycolytic pathway. In the liver PKLR plays a role in gluconeogenesis and lipogenesis while in red blood cells it contributes directly to ATP production essential for maintaining cellular energy and function.

Pathways

The pyruvate kinase enzyme is a significant participant in glycolysis and gluconeogenesis. These pathways are central to energy metabolism linking glucose breakdown with ATP generation. Pyruvate kinase interacts with enzymes like hexokinase and phosphofructokinase within the glycolytic pathway coordinating with these enzymes to regulate energy metabolism. In gluconeogenesis PKLR integrates into the mechanism ensuring the balance between energy production and storage.

PKLR mutations can lead to pyruvate kinase deficiency a condition that causes hemolytic anemia. This disorder results from impaired ATP production in red blood cells causing them to break down prematurely. In liver tissues dysregulation of PKLR activity associates with cancers like hepatocellular carcinoma. This enzyme connects with proteins such as lactate dehydrogenase in cancer metabolism affecting the Warburg effect which is tangled with cancer cell survival and proliferation.

Product protocols

For this product, it's our understanding that no specific protocols are required. You can visit:

Target data

Pyruvate kinase that catalyzes the conversion of phosphoenolpyruvate to pyruvate with the synthesis of ATP, and which plays a key role in glycolysis.
See full target information PKLR

Product promise

We are committed to supporting your work with high-quality reagents, and we're here for you every step of the way. In the unlikely event that one of our products does not perform as expected, you're protected by our Product Promise.
For full details, please see our Terms & Conditions

Please note: All products are 'FOR RESEARCH USE ONLY. NOT FOR USE IN DIAGNOSTIC OR THERAPEUTIC PROCEDURES'.

For licensing inquiries, please contact partnerships@abcam.com