JavaScript is disabled in your browser. Please enable JavaScript to view this website.
AB150377

Anti-PKM antibody [EPR10138(B)]

3

(3 Reviews)

|

(42 Publications)

Rabbit Recombinant Monoclonal KPYM antibody. Suitable for WB, ICC/IF, Flow Cyt (Intra) and reacts with Mouse, Rat, Human samples. Cited in 42 publications.

View Alternative Names

OIP3, PK2, PK3, PKM2, PKM, Pyruvate kinase PKM, Cytosolic thyroid hormone-binding protein, Opa-interacting protein 3, Pyruvate kinase 2/3, Pyruvate kinase muscle isozyme, Threonine-protein kinase PKM2, Thyroid hormone-binding protein 1, Tumor M2-PK, Tyrosine-protein kinase PKM2, p58, CTHBP, OIP-3, THBP1

4 Images
Flow Cytometry (Intracellular) - Anti-PKM antibody [EPR10138(B)] (AB150377)
  • Flow Cyt (Intra)

Lab

Flow Cytometry (Intracellular) - Anti-PKM antibody [EPR10138(B)] (AB150377)

Flow Cytometry analysis of HeLa (Human cervix adenocarcinoma epithelial cell) cells labelling PKM with Purified ab150377 at 1 : 50 dilution (10 μg/ml) (Red). Cells were fixed with 4% Paraformaldehyde and permeabilised with 90% Methanol. A Goat anti rabbit IgG (Alexa Fluor™ 488, ab150077) secondary antibody was used at 1 : 2000. Isotype control - Rabbit monoclonal IgG (Black). Unlabelled control - Cell without incubation with primary antibody and secondary antibody (Blue).

Immunocytochemistry/ Immunofluorescence - Anti-PKM antibody [EPR10138(B)] (AB150377)
  • ICC/IF

Lab

Immunocytochemistry/ Immunofluorescence - Anti-PKM antibody [EPR10138(B)] (AB150377)

Immunocytochemistry analysis of A549(Human lung carcinoma epithelial cell) cells labeling PKM with Purified ab150377 at 1/50 dilution (10 µg/mL). Cells were fixed in 4% Paraformaldehyde and permeabilized with 0.1% tritonX-100. Cells were counterstained with ab195889 Anti-alpha Tubulin antibody [DM1A+H10 : L10] - Microtubule Marker (Alexa Fluor® 594) 1/200 (2.5 µg/mL). Goat anti rabbit IgG (Alexa Fluor® 488, ab150077) was used as the secondary antibody at 1/1000 (2 µg/mL) dilution. DAPI (blue) was used as nuclear counterstain. PBS instead of the primary antibody was used as the secondary antibody only control.

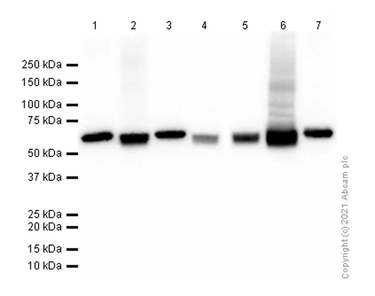
Western blot - Anti-PKM antibody [EPR10138(B)] (AB150377)
  • WB

Unknown

Western blot - Anti-PKM antibody [EPR10138(B)] (AB150377)

All lanes:

Western blot - Anti-PKM antibody [EPR10138(B)] (ab150377) at 1/10000 dilution

Lane 1:

HeLa (Human cervix adenocarcinoma epithelial cell) whole cell lysate at 20 µg

Lane 2:

Jurkat (Human T cell leukemia T lymphocyte) whole cell lysate at 20 µg

Lane 3:

A549 (Human lung carcinoma epithelial cell) whole cell lysate at 20 µg

Lane 4:

Mouse lung lysate at 20 µg

Lane 5:

Human skeletal muscle lysate at 20 µg

Lane 6:

Rat skeletal muscle lysate at 20 µg

Lane 7:

Mouse skeletal muscle lysate at 20 µg

Secondary

All lanes:

Goat Anti-Rabbit IgG (HRP) with minimal cross-reactivity with human IgG at 1/2000 dilution

Predicted band size: 58 kDa

Observed band size: 58 kDa

false

Western blot - Anti-PKM antibody [EPR10138(B)] (AB150377)
  • WB

CiteAb

Western blot - Anti-PKM antibody [EPR10138(B)] (AB150377)

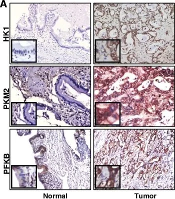
PKM western blot using anti-PKM antibody [EPR10138(B)] ab150377. Publication image and figure legend from Yu, G., Yu, W., et al., 2015, Mol Cancer, PubMed 26576639.

ab150377 was used in this publication in western blot. This may not be the same as the application(s) guaranteed by Abcam. For a full list of applications guaranteed by Abcam for ab150377 please see the product overview.

HK1, PKM2, and PFKB expression and its association with survival durations in patients with HC. a, HK1, PKM2, and PFKB expression in normal bile duct tissue (left panels), tumors (middle panels), and quantitative representations staining (right panels). Original magnification, ×400. b, patients with high HK1 expression had a shorter median time to recurrence than did those with low HK1 expression (12 months versus 39 months). Cum, cumulative. c, patients with high PKM2-expressing tumors had a significantly shorter median time to recurrence than did patients with low PKM2-expressing tumors (11 months versus 32 months). d, the median OS duration was significantly worse in patients with high expression of HK1 (15 months) than in those with low expression of HK1 (46 months). e, the median OS duration was significantly worse in patients with high expression of PKM2 (14 months) than in those with low expression of PKM2 (40 months)

false

  • 578 PE

    PE Anti-PKM antibody [EPR10138(B)]

  • 665 Alexa Fluor® 647

    Alexa Fluor® 647 Anti-PKM antibody [EPR10138(B)]

  • Carrier free

    Anti-PKM antibody [EPR10138(B)] - BSA and Azide free

  • 660 APC

    APC Anti-PKM antibody [EPR10138(B)]

  • 617 Alexa Fluor® 594

    Alexa Fluor® 594 Anti-PKM antibody [EPR10138(B)]

  • 565 Alexa Fluor® 555

    Alexa Fluor® 555 Anti-PKM antibody [EPR10138(B)]

Key facts

Host species

Rabbit

Clonality

Monoclonal

Clone number

EPR10138(B)

Isotype

IgG

Carrier free

No

Reacts with

Mouse, Rat, Human

Applications

Flow Cyt (Intra), ICC/IF, WB

applications

Immunogen

The exact immunogen used to generate this antibody is proprietary information.

Reactivity data

{ "title": "Reactivity Data", "filters": { "stats": ["", "Species", "Dilution Info", "Notes"], "tabs": { "all-applications": {"fullname" : "All Applications", "shortname": "All Applications"}, "WB" : {"fullname" : "Western blot", "shortname":"WB"}, "ICCIF" : {"fullname" : "Immunocytochemistry/ Immunofluorescence", "shortname":"ICC/IF"}, "FlowCytIntra" : {"fullname" : "Flow Cytometry (Intracellular)", "shortname":"Flow Cyt (Intra)"} }, "product-promise": { "all": "all", "testedAndGuaranteed": "tested", "guaranteed": "expected", "predicted": "predicted", "notRecommended": "not-recommended" } }, "values": { "Human": { "WB-species-checked": "testedAndGuaranteed", "WB-species-dilution-info": "1/10000", "WB-species-notes": "<p></p>", "ICCIF-species-checked": "testedAndGuaranteed", "ICCIF-species-dilution-info": "1/50", "ICCIF-species-notes": "<p></p>", "FlowCytIntra-species-checked": "testedAndGuaranteed", "FlowCytIntra-species-dilution-info": "1/50", "FlowCytIntra-species-notes": "<p><a href='/en-us/products/primary-antibodies/rabbit-igg-monoclonal-epr25a-isotype-control-ab172730'>ab172730</a> - Rabbit monoclonal IgG, is suitable for use as an isotype control with this antibody.</p>" }, "Mouse": { "WB-species-checked": "testedAndGuaranteed", "WB-species-dilution-info": "1/10000", "WB-species-notes": "<p></p>", "ICCIF-species-checked": "guaranteed", "ICCIF-species-dilution-info": "", "ICCIF-species-notes": "", "FlowCytIntra-species-checked": "guaranteed", "FlowCytIntra-species-dilution-info": "", "FlowCytIntra-species-notes": "" }, "Rat": { "WB-species-checked": "testedAndGuaranteed", "WB-species-dilution-info": "1/10000", "WB-species-notes": "<p></p>", "ICCIF-species-checked": "guaranteed", "ICCIF-species-dilution-info": "", "ICCIF-species-notes": "", "FlowCytIntra-species-checked": "guaranteed", "FlowCytIntra-species-dilution-info": "", "FlowCytIntra-species-notes": "" }, "Pig": { "WB-species-checked": "predicted", "WB-species-dilution-info": "", "WB-species-notes": "", "ICCIF-species-checked": "predicted", "ICCIF-species-dilution-info": "", "ICCIF-species-notes": "", "FlowCytIntra-species-checked": "predicted", "FlowCytIntra-species-dilution-info": "", "FlowCytIntra-species-notes": "" } } }

Product details

We are constantly working hard to ensure we provide our customers with best in class antibodies. As a result of this work we are pleased to now offer this antibody in purified format. We are in the process of updating our datasheets. The purified format is designated 'PUR' on our product labels. If you have any questions regarding this update, please contact our Scientific Support team.

Patented technology
Our RabMAb® technology is a patented hybridoma-based technology for making rabbit monoclonal antibodies. For details on our patents, please refer to RabMAb® patents.

What are the advantages of a recombinant monoclonal antibody?
This product is a recombinant monoclonal antibody, which offers several advantages including:

  • - High batch-to-batch consistency and reproducibility
  • - Improved sensitivity and specificity
  • - Long-term security of supply
  • - Animal-free batch production

For more information, read more on recombinant antibodies.

Properties and storage information

Form
Liquid
Purification technique
Affinity purification Protein A
Storage buffer
pH: 7.2 - 7.4 Preservative: 0.01% Sodium azide Constituents: PBS, 40% Glycerol (glycerin, glycerine), 0.05% BSA
Shipped at conditions
Blue Ice
Appropriate short-term storage conditions
+4°C
Appropriate long-term storage conditions
-20°C
Aliquoting information
Upon delivery aliquot
Storage information
Avoid freeze / thaw cycle

Supplementary information

This supplementary information is collated from multiple sources and compiled automatically.

PKM also known as pyruvate kinase muscle isozyme (PKM) and PEP is an enzyme that plays an important role in glycolysis by catalysing the conversion of phosphoenolpyruvate (PEP) to pyruvate yielding ATP in the process. The PKM protein has two isoforms PKM1 and PKM2 which result from alternative splicing of the PKM gene. The mass of PKM2 the more studied isoform is approximately 58 kDa. PKM is expressed in various tissues prominently in skeletal muscle heart brain and many tumor cells. Additionally PKM has significant activity in rapidly proliferating cells suggesting its importance in high-energy demanding environments.
Biological function summary

PKM functions not only in catalyzing the last step of glycolysis but also regulates metabolic and transcriptional processes. Specifically PKM2 is a participant in the regulation of gene expression and cellular response to oxidative stress and nutrient availability. It can exist as a dimer or tetramer with the latter being the more active form in glycolytic pathways while the dimeric form can translocate to the nucleus to perform functions unrelated to its glycolytic activity. These transformations make PKM part of a dynamic complex that responds to various cellular signals.

Pathways

PKM integrates into essential metabolic pathways including the glycolytic pathway and influences the pentose phosphate pathway. It works in conjunction with phosphofructokinase-1 (PFK1) another key glycolytic enzyme synchronizing the energy production process in cells. PKM2's non-metabolic roles involve interactions in signaling pathways related to cellular proliferation and survival often interacting with and modulating proteins like HIF-1α which plays a central role in cellular responses to hypoxia.

PKM2 shows strong connections to cancer and metabolic diseases. Tumor cells often exhibit a shift in expression from PKM1 to PKM2 facilitating the altered metabolism known as the Warburg effect characterized by increased aerobic glycolysis. Its interaction with HIF-1α promotes adaptation to low oxygen environments typical in tumorous growth. Furthermore PKM disruptions or aberrations contribute to metabolic disorders such as diabetes where altered glucose metabolism becomes evident. The protein's behavior in these disease conditions indicates potential targets for therapeutic intervention highlighting the importance of PKM in both normal physiology and pathology.

Product protocols

For this product, it's our understanding that no specific protocols are required. You can visit:

Target data

Catalyzes the final rate-limiting step of glycolysis by mediating the transfer of a phosphoryl group from phosphoenolpyruvate (PEP) to ADP, generating ATP (PubMed : 15996096, PubMed : 1854723, PubMed : 20847263). The ratio between the highly active tetrameric form and nearly inactive dimeric form determines whether glucose carbons are channeled to biosynthetic processes or used for glycolytic ATP production (PubMed : 15996096, PubMed : 1854723, PubMed : 20847263). The transition between the 2 forms contributes to the control of glycolysis and is important for tumor cell proliferation and survival (PubMed : 15996096, PubMed : 1854723, PubMed : 20847263).. Isoform M2. Isoform specifically expressed during embryogenesis that has low pyruvate kinase activity by itself and requires allosteric activation by D-fructose 1,6-bisphosphate (FBP) for pyruvate kinase activity (PubMed : 18337823, PubMed : 20847263). In addition to its pyruvate kinase activity in the cytoplasm, also acts as a regulator of transcription in the nucleus by acting as a protein kinase (PubMed : 18191611, PubMed : 21620138, PubMed : 22056988, PubMed : 22306293, PubMed : 22901803, PubMed : 24120661). Translocates into the nucleus in response to various signals, such as EGF receptor activation, and homodimerizes, leading to its conversion into a protein threonine- and tyrosine-protein kinase (PubMed : 22056988, PubMed : 22306293, PubMed : 22901803, PubMed : 24120661, PubMed : 26787900). Catalyzes phosphorylation of STAT3 at 'Tyr-705' and histone H3 at 'Thr-11' (H3T11ph), leading to activate transcription (PubMed : 22306293, PubMed : 22901803, PubMed : 24120661). Its ability to activate transcription plays a role in cancer cells by promoting cell proliferation and promote tumorigenesis (PubMed : 18337823, PubMed : 22901803, PubMed : 26787900). Promotes the expression of the immune checkpoint protein CD274 in BMAL1-deficient macrophages (By similarity). May also act as a translation regulator for a subset of mRNAs, independently of its pyruvate kinase activity : associates with subpools of endoplasmic reticulum-associated ribosomes, binds directly to the mRNAs translated at the endoplasmic reticulum and promotes translation of these endoplasmic reticulum-destined mRNAs (By similarity). Plays a role in caspase independent cell death of tumor cells (PubMed : 17308100).. Isoform M1. Pyruvate kinase isoform expressed in adult tissues, which replaces isoform M2 after birth (PubMed : 18337823). In contrast to isoform M2, has high pyruvate kinase activity by itself and does not require allosteric activation by D-fructose 1,6-bisphosphate (FBP) for activity (PubMed : 20847263).
See full target information PKM

Publications (42)

Recent publications for all applications. Explore the full list and refine your search

Translational lung cancer research 14:2771-2787 PubMed40799432

2025

Overexpression of promotes cell metabolism and activates the NOTCH signaling pathway in lung adenocarcinoma.

Applications

Unspecified application

Species

Unspecified reactive species

Guangmin Xi,Caibo Zhang,Cong Yu,Yiya Wang,Jinfeng Fu,Haining Qi,Kenichi Suda,Guoying Wu

Molecular neurobiology 62:13840-13857 PubMed40601220

2025

The Efficacy of Intrathecal Platelet-Rich Plasma Administration in Alleviation of Chronic Neuropathic Pain in Rat Model.

Applications

Unspecified application

Species

Unspecified reactive species

Jaisan Islam,Preeti Kumari Chaudhary,Sanggu Kim,Elina Kc,Young Seok Park,Soochong Kim

Frontiers in immunology 16:1583587 PubMed40356921

2025

study: HIF-1α-dependent glycolysis enhances NETosis in hypoxic conditions.

Applications

Unspecified application

Species

Unspecified reactive species

Yi Ye,Yanjun Wang,Qiying Xu,Juanli Liu,Ziqi Yang,Tana Wuren,Ri-Li Ge

Molecular medicine (Cambridge, Mass.) 31:142 PubMed40251569

2025

HLA-F regulates the proliferation of trophoblast via PKM2-dependent glycolysis in the pathogenesis of preeclampsia.

Applications

Unspecified application

Species

Unspecified reactive species

Ruiling Xu,Yu Huang,Wenchi Xie,Dan Luo,Jie Mei,Xinghui Liu,Fulin Liu,Fangyuan Luo

Cytotechnology 77:5 PubMed39575323

2024

Yinjia pills inhibits the malignant biological behavior of HeLa cells through PKM2-medicated inhibition of JAK/STAT3 pathway.

Applications

Unspecified application

Species

Unspecified reactive species

Ying Shi,Xiaoli Min,Yi Li,Lihua Guo,Zheng Cai,Dongge Li,Xueying Jiang,Ni Feng,Xiaolin Li,Xiaoxia Yang

iScience 27:110462 PubMed39104405

2024

SHP2 mutations promote glycolysis and inhibit apoptosis via PKM2/hnRNPK signaling in colorectal cancer.

Applications

Unspecified application

Species

Unspecified reactive species

Bo Zhou,Zhuoyang Fan,Guodong He,Wei Zhang,Guowei Yang,Lechi Ye,Jianmin Xu,Rong Liu

Mucosal immunology 17:431-449 PubMed38159726

2024

Metabolic fitness of IgA plasma cells in the gut requires DOCK8.

Applications

Unspecified application

Species

Unspecified reactive species

Biyan Zhang,Shuting Chen,Xiangyun Yin,Caleb D McBride,Jake A Gertie,Marina Yurieva,Agata A Bielecka,Brian Hoffmann,J Travis Hinson,Jessica Grassmann,Lan Xu,Emily R Siniscalco,Arielle Soldatenko,Laura Hoyt,Julie Joseph,Elizabeth B Norton,Gowthaman Uthaman,Noah W Palm,Elise Liu,Stephanie C Eisenbarth,Adam Williams

Cancers 15: PubMed38001611

2023

Circular RNA from Tyrosylprotein Sulfotransferase 2 Gene Inhibits Cisplatin Sensitivity in Head and Neck Squamous Cell Carcinoma by Sponging miR-770-5p and Interacting with Nucleolin.

Applications

Unspecified application

Species

Unspecified reactive species

Tianqing Wang,Chuan Xin,Shiyu Zhang,Xin Tian,Yuting Hu,Ying Wang,Jiongke Wang,Ning Ji,Xin Zeng,Jing Li

Cell reports. Medicine 4:101264 PubMed37939712

2023

Targeting the TCA cycle through cuproptosis confers synthetic lethality on ARID1A-deficient hepatocellular carcinoma.

Applications

Unspecified application

Species

Unspecified reactive species

Tao Xing,Li Li,Yiran Chen,Gaoda Ju,Guilan Li,Xiaoyun Zhu,Yubo Ren,Jing Zhao,Zhilei Cheng,Yan Li,Da Xu,Jun Liang

Journal of translational medicine 21:323 PubMed37179292

2023

The PI3K-Akt-mTOR pathway mediates renal pericyte-myofibroblast transition by enhancing glycolysis through HKII.

Applications

Unspecified application

Species

Unspecified reactive species

Liangmei Chen,Xiaofan Li,Yiyao Deng,Jianwen Chen,Mengjie Huang,Fengge Zhu,Zhumei Gao,Lingling Wu,Quan Hong,Zhe Feng,Guangyan Cai,Xuefeng Sun,Xueyuan Bai,Xiangmei Chen
View all publications

Product promise

We are committed to supporting your work with high-quality reagents, and we're here for you every step of the way. In the unlikely event that one of our products does not perform as expected, you're protected by our Product Promise.
For full details, please see our Terms & Conditions

Please note: All products are 'FOR RESEARCH USE ONLY. NOT FOR USE IN DIAGNOSTIC OR THERAPEUTIC PROCEDURES'.

For licensing inquiries, please contact partnerships@abcam.com