JavaScript is disabled in your browser. Please enable JavaScript to view this website.
AB154816

Anti-PKM antibody [EPR10139]

  • BOND RX™ Validated
  • RabMAb
  • Recombinant
  • 20ul selling size
  • What is this?

Be the first to review this product! Submit a review

|

(4 Publications)

Rabbit Recombinant Monoclonal KPYM antibody. Suitable for IHC-P, WB and reacts with Human, Mouse, Rat samples. Cited in 4 publications.

View Alternative Names

OIP3, PK2, PK3, PKM2, PKM, Pyruvate kinase PKM, Cytosolic thyroid hormone-binding protein, Opa-interacting protein 3, Pyruvate kinase 2/3, Pyruvate kinase muscle isozyme, Threonine-protein kinase PKM2, Thyroid hormone-binding protein 1, Tumor M2-PK, Tyrosine-protein kinase PKM2, p58, CTHBP, OIP-3, THBP1

7 Images
Immunohistochemistry (Formalin/PFA-fixed paraffin-embedded sections) - Anti-PKM antibody [EPR10139] (AB154816)
  • IHC-P

Unknown

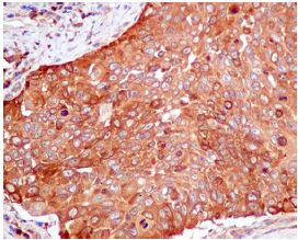
Immunohistochemistry (Formalin/PFA-fixed paraffin-embedded sections) - Anti-PKM antibody [EPR10139] (AB154816)

Immunohistochemical analysis of paraffin-embedded Human cervical carcinoma labeling PKM using ab154816 at 1/100 dilution.

Perform heat mediated antigen retrieval with citrate buffer pH 6 before commencing with IHC staining protocol.

Immunohistochemistry (Formalin/PFA-fixed paraffin-embedded sections) - Anti-PKM antibody [EPR10139] (AB154816)
  • IHC-P

Unknown

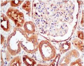
Immunohistochemistry (Formalin/PFA-fixed paraffin-embedded sections) - Anti-PKM antibody [EPR10139] (AB154816)

Immunohistochemical analysis of paraffin-embedded human kidney, labeling PKM using ab154816 at 1/100 dilution.

Perform heat mediated antigen retrieval with citrate buffer pH 6 before commencing with IHC staining protocol.

Immunohistochemistry (Formalin/PFA-fixed paraffin-embedded sections) - Anti-PKM antibody [EPR10139] (AB154816)
  • IHC-P

Lab

Immunohistochemistry (Formalin/PFA-fixed paraffin-embedded sections) - Anti-PKM antibody [EPR10139] (AB154816)

Immunohistochemical analysis of paraffin-embedded Mouse cerebrum tissue labeling PKM with ab154816 at 1/10000 (0.103 μg/ml) dilution followed by a ready to use LeicaDS9800 (Bond™ Polymer Refine Detection) was used. The section was counterstained with Hematoxylin. Secondary antibody only control : Secondary antibody is a ready to use LeicaDS9800 (Bond™ Polymer Refine Detection) was used. Heat mediated antigen retrieval was performed with Tris-EDTA buffer (pH 9.0, Epitope Retrieval Solution2) for 20 mins. Positive staining on mouse cerebrum. The section was incubated with ab154816 for 30 mins at room temperature. The immunostaining was performed on a Leica Biosystems BOND® RX instrument.

Immunohistochemistry (Formalin/PFA-fixed paraffin-embedded sections) - Anti-PKM antibody [EPR10139] (AB154816)
  • IHC-P

Lab

Immunohistochemistry (Formalin/PFA-fixed paraffin-embedded sections) - Anti-PKM antibody [EPR10139] (AB154816)

Immunohistochemical analysis of paraffin-embedded Rat cerebrum tissue labeling PKM with ab154816 at 1/10000 (0.103 μg/ml) dilution followed by a ready to use LeicaDS9800 (Bond™ Polymer Refine Detection) was used. The section was counterstained with Hematoxylin. Secondary antibody only control : Secondary antibody is a ready to use LeicaDS9800 (Bond™ Polymer Refine Detection) was used. Heat mediated antigen retrieval was performed with Tris-EDTA buffer (pH 9.0, Epitope Retrieval Solution2) for 20 mins. Positive staining on rat cerebrum. The section was incubated with ab154816 for 30 mins at room temperature. The immunostaining was performed on a Leica Biosystems BOND® RX instrument.

Western blot - Anti-PKM antibody [EPR10139] (AB154816)
  • WB

Unknown

Western blot - Anti-PKM antibody [EPR10139] (AB154816)

All lanes:

Western blot - Anti-PKM antibody [EPR10139] (ab154816) at 1/1000 dilution

Lane 1:

Human fetal muscle tissue lysate at 10 µg

Lane 2:

HeLa cell lysate at 10 µg

Lane 3:

A549 cell lysate at 10 µg

Lane 4:

Jurkat cell lysate at 10 µg

Predicted band size: 58 kDa

false

Western blot - Anti-PKM antibody [EPR10139] (AB154816)
  • WB

Lab

Western blot - Anti-PKM antibody [EPR10139] (AB154816)

Blocking and diluting buffer and concentration : 5% NFDM/TBST. The lysates were freshly made and used for Western Blotting immediately to minimize protein degradation.

All lanes:

Western blot - Anti-PKM antibody [EPR10139] (ab154816) at 1/1000 dilution

Lane 1:

Rat brain tissue lysate at 20 µg

Lane 2:

Rat testis tissue lysate at 20 µg

Lane 3:

Rat spleen tissue lysate at 20 µg

Secondary

All lanes:

Western blot - Goat Anti-Rabbit IgG H&L (HRP) (<a href='/en-us/products/secondary-antibodies/goat-rabbit-igg-h-l-hrp-ab97051'>ab97051</a>) at 1/20000 dilution

Predicted band size: 58 kDa

Observed band size: 58 kDa

false

Exposure time: 180s

Western blot - Anti-PKM antibody [EPR10139] (AB154816)
  • WB

Lab

Western blot - Anti-PKM antibody [EPR10139] (AB154816)

Blocking and diluting buffer and concentration : 5% NFDM/TBST. The lysates were freshly made and used for Western Blotting immediately to minimize protein degradation.

All lanes:

Western blot - Anti-PKM antibody [EPR10139] (ab154816) at 1/1000 dilution

Lane 1:

Mouse brain tissue lysate at 20 µg

Lane 2:

Mouse testis tissue lysate at 20 µg

Lane 3:

Mouse spleen tissue lysate at 20 µg

Secondary

All lanes:

Western blot - Goat Anti-Rabbit IgG H&L (HRP) (<a href='/en-us/products/secondary-antibodies/goat-rabbit-igg-h-l-hrp-ab97051'>ab97051</a>) at 1/20000 dilution

Predicted band size: 58 kDa

Observed band size: 58 kDa

false

Exposure time: 180s

  • Carrier free

    Anti-PKM antibody [EPR10139] - BSA and Azide free

Key facts

Host species

Rabbit

Clonality

Monoclonal

Clone number

EPR10139

Isotype

IgG

Carrier free

No

Reacts with

Mouse, Rat, Human

Applications

IHC-P, WB

applications

Immunogen

The exact immunogen used to generate this antibody is proprietary information.

Reactivity data

{ "title": "Reactivity Data", "filters": { "stats": ["", "Species", "Dilution Info", "Notes"], "tabs": { "all-applications": {"fullname" : "All Applications", "shortname": "All Applications"}, "IHCP" : {"fullname" : "Immunohistochemistry (Formalin/PFA-fixed paraffin-embedded sections)", "shortname":"IHC-P"}, "IP" : {"fullname" : "Immunoprecipitation", "shortname":"IP"}, "FlowCyt" : {"fullname" : "Flow Cytometry", "shortname":"Flow Cyt"}, "WB" : {"fullname" : "Western blot", "shortname":"WB"}, "ICCIF" : {"fullname" : "Immunocytochemistry/ Immunofluorescence", "shortname":"ICC/IF"} }, "product-promise": { "all": "all", "testedAndGuaranteed": "tested", "guaranteed": "expected", "predicted": "predicted", "notRecommended": "not-recommended" } }, "values": { "Human": { "IHCP-species-checked": "testedAndGuaranteed", "IHCP-species-dilution-info": "1/100 - 1/250", "IHCP-species-notes": "<p></p> Perform heat-mediated antigen retrieval with citrate buffer pH 6 before commencing with IHC staining protocol.", "IP-species-checked": "notRecommended", "IP-species-dilution-info": "", "IP-species-notes": "<p></p>", "FlowCyt-species-checked": "notRecommended", "FlowCyt-species-dilution-info": "", "FlowCyt-species-notes": "<p></p>", "WB-species-checked": "testedAndGuaranteed", "WB-species-dilution-info": "1/1000 - 1/10000", "WB-species-notes": "<p></p>", "ICCIF-species-checked": "notRecommended", "ICCIF-species-dilution-info": "", "ICCIF-species-notes": "<p></p>" }, "Mouse": { "IHCP-species-checked": "testedAndGuaranteed", "IHCP-species-dilution-info": "1/100 - 1/250", "IHCP-species-notes": "<p></p> Perform heat-mediated antigen retrieval with citrate buffer pH 6 before commencing with IHC staining protocol.", "IP-species-checked": "notRecommended", "IP-species-dilution-info": "", "IP-species-notes": "", "FlowCyt-species-checked": "notRecommended", "FlowCyt-species-dilution-info": "", "FlowCyt-species-notes": "", "WB-species-checked": "testedAndGuaranteed", "WB-species-dilution-info": "1/1000 - 1/10000", "WB-species-notes": "<p></p>", "ICCIF-species-checked": "notRecommended", "ICCIF-species-dilution-info": "", "ICCIF-species-notes": "" }, "Rat": { "IHCP-species-checked": "testedAndGuaranteed", "IHCP-species-dilution-info": "1/100 - 1/250", "IHCP-species-notes": "<p></p> Perform heat-mediated antigen retrieval with citrate buffer pH 6 before commencing with IHC staining protocol.", "IP-species-checked": "notRecommended", "IP-species-dilution-info": "", "IP-species-notes": "", "FlowCyt-species-checked": "notRecommended", "FlowCyt-species-dilution-info": "", "FlowCyt-species-notes": "", "WB-species-checked": "testedAndGuaranteed", "WB-species-dilution-info": "1/1000 - 1/10000", "WB-species-notes": "<p></p>", "ICCIF-species-checked": "notRecommended", "ICCIF-species-dilution-info": "", "ICCIF-species-notes": "" } } }

Product details

Patented technology
Our RabMAb® technology is a patented hybridoma-based technology for making rabbit monoclonal antibodies. For details on our patents, please refer to RabMAb® patents.

What are the advantages of a recombinant monoclonal antibody?
This product is a recombinant monoclonal antibody, which offers several advantages including:

  • - High batch-to-batch consistency and reproducibility
  • - Improved sensitivity and specificity
  • - Long-term security of supply
  • - Animal-free batch production

For more information, read more on recombinant antibodies.

Properties and storage information

Form
Liquid
Purification technique
Affinity purification Protein A
Storage buffer
pH: 7.2 - 7.4 Preservative: 0.01% Sodium azide Constituents: PBS, 50% Tissue culture supernatant, 40% Glycerol (glycerin, glycerine), 0.05% BSA
Shipped at conditions
Blue Ice
Appropriate short-term storage conditions
+4°C
Appropriate long-term storage conditions
-20°C

Supplementary information

This supplementary information is collated from multiple sources and compiled automatically.

PKM also known as pyruvate kinase muscle isozyme (PKM) and PEP is an enzyme that plays an important role in glycolysis by catalysing the conversion of phosphoenolpyruvate (PEP) to pyruvate yielding ATP in the process. The PKM protein has two isoforms PKM1 and PKM2 which result from alternative splicing of the PKM gene. The mass of PKM2 the more studied isoform is approximately 58 kDa. PKM is expressed in various tissues prominently in skeletal muscle heart brain and many tumor cells. Additionally PKM has significant activity in rapidly proliferating cells suggesting its importance in high-energy demanding environments.
Biological function summary

PKM functions not only in catalyzing the last step of glycolysis but also regulates metabolic and transcriptional processes. Specifically PKM2 is a participant in the regulation of gene expression and cellular response to oxidative stress and nutrient availability. It can exist as a dimer or tetramer with the latter being the more active form in glycolytic pathways while the dimeric form can translocate to the nucleus to perform functions unrelated to its glycolytic activity. These transformations make PKM part of a dynamic complex that responds to various cellular signals.

Pathways

PKM integrates into essential metabolic pathways including the glycolytic pathway and influences the pentose phosphate pathway. It works in conjunction with phosphofructokinase-1 (PFK1) another key glycolytic enzyme synchronizing the energy production process in cells. PKM2's non-metabolic roles involve interactions in signaling pathways related to cellular proliferation and survival often interacting with and modulating proteins like HIF-1α which plays a central role in cellular responses to hypoxia.

PKM2 shows strong connections to cancer and metabolic diseases. Tumor cells often exhibit a shift in expression from PKM1 to PKM2 facilitating the altered metabolism known as the Warburg effect characterized by increased aerobic glycolysis. Its interaction with HIF-1α promotes adaptation to low oxygen environments typical in tumorous growth. Furthermore PKM disruptions or aberrations contribute to metabolic disorders such as diabetes where altered glucose metabolism becomes evident. The protein's behavior in these disease conditions indicates potential targets for therapeutic intervention highlighting the importance of PKM in both normal physiology and pathology.

Product protocols

For this product, it's our understanding that no specific protocols are required. You can visit:

Target data

Catalyzes the final rate-limiting step of glycolysis by mediating the transfer of a phosphoryl group from phosphoenolpyruvate (PEP) to ADP, generating ATP (PubMed : 15996096, PubMed : 1854723, PubMed : 20847263). The ratio between the highly active tetrameric form and nearly inactive dimeric form determines whether glucose carbons are channeled to biosynthetic processes or used for glycolytic ATP production (PubMed : 15996096, PubMed : 1854723, PubMed : 20847263). The transition between the 2 forms contributes to the control of glycolysis and is important for tumor cell proliferation and survival (PubMed : 15996096, PubMed : 1854723, PubMed : 20847263).. Isoform M2. Isoform specifically expressed during embryogenesis that has low pyruvate kinase activity by itself and requires allosteric activation by D-fructose 1,6-bisphosphate (FBP) for pyruvate kinase activity (PubMed : 18337823, PubMed : 20847263). In addition to its pyruvate kinase activity in the cytoplasm, also acts as a regulator of transcription in the nucleus by acting as a protein kinase (PubMed : 18191611, PubMed : 21620138, PubMed : 22056988, PubMed : 22306293, PubMed : 22901803, PubMed : 24120661). Translocates into the nucleus in response to various signals, such as EGF receptor activation, and homodimerizes, leading to its conversion into a protein threonine- and tyrosine-protein kinase (PubMed : 22056988, PubMed : 22306293, PubMed : 22901803, PubMed : 24120661, PubMed : 26787900). Catalyzes phosphorylation of STAT3 at 'Tyr-705' and histone H3 at 'Thr-11' (H3T11ph), leading to activate transcription (PubMed : 22306293, PubMed : 22901803, PubMed : 24120661). Its ability to activate transcription plays a role in cancer cells by promoting cell proliferation and promote tumorigenesis (PubMed : 18337823, PubMed : 22901803, PubMed : 26787900). Promotes the expression of the immune checkpoint protein CD274 in BMAL1-deficient macrophages (By similarity). May also act as a translation regulator for a subset of mRNAs, independently of its pyruvate kinase activity : associates with subpools of endoplasmic reticulum-associated ribosomes, binds directly to the mRNAs translated at the endoplasmic reticulum and promotes translation of these endoplasmic reticulum-destined mRNAs (By similarity). Plays a role in caspase independent cell death of tumor cells (PubMed : 17308100).. Isoform M1. Pyruvate kinase isoform expressed in adult tissues, which replaces isoform M2 after birth (PubMed : 18337823). In contrast to isoform M2, has high pyruvate kinase activity by itself and does not require allosteric activation by D-fructose 1,6-bisphosphate (FBP) for activity (PubMed : 20847263).
See full target information PKM

Publications (4)

Recent publications for all applications. Explore the full list and refine your search

Oncology letters 29:126 PubMed39807100

2025

inhibits glycolysis and promotes apoptosis of colorectal cancer cells via β‑catenin signaling.

Applications

Unspecified application

Species

Unspecified reactive species

Shengjie Li,Kaifeng Yang,Jiayou Ye,Chengfan Xu,Zhixiang Qin,Ying Chen,Lanjian Yu,Tianyu Zhou,Bin Sun,Jun Xu

Journal of clinical laboratory analysis 36:e24406 PubMed35588431

2022

LINC00941 promoted in vitro progression and glycolysis of laryngocarcinoma by upregulating PKM via activating the PI3K/AKT/mTOR signaling pathway.

Applications

Unspecified application

Species

Unspecified reactive species

Zhihai Li,Qiaozhi Jin,Yana Sun

Cancer communications (London, England) 41:560-575 PubMed33991457

2021

The role of the HIF-1α/ALYREF/PKM2 axis in glycolysis and tumorigenesis of bladder cancer.

Applications

Unspecified application

Species

Unspecified reactive species

Jing-Zi Wang,Wei Zhu,Jie Han,Xiao Yang,Rui Zhou,Hong-Cheng Lu,Hao Yu,Wen-Bo Yuan,Peng-Chao Li,Jun Tao,Qiang Lu,Ji-Fu Wei,Haiwei Yang

Oncotarget 8:67955-67965 PubMed28978087

2017

haplodeficiency promotes splicing to pyruvate kinase M2 in mice thymic lymphoma tissues revealed by six-plex tandem mass tag quantitative proteomic analysis.

Applications

Unspecified application

Species

Unspecified reactive species

Asako Kimura,Kouichi Kitamura,Guzhanuer Ailiken,Mamoru Satoh,Toshinari Minamoto,Nobuko Tanaka,Fumio Nomura,Kazuyuki Matsushita
View all publications

Product promise

We are committed to supporting your work with high-quality reagents, and we're here for you every step of the way. In the unlikely event that one of our products does not perform as expected, you're protected by our Product Promise.
For full details, please see our Terms & Conditions

Please note: All products are 'FOR RESEARCH USE ONLY. NOT FOR USE IN DIAGNOSTIC OR THERAPEUTIC PROCEDURES'.

For licensing inquiries, please contact partnerships@abcam.com