JavaScript is disabled in your browser. Please enable JavaScript to view this website.
AB206130

Anti-PKM antibody [EPR10139] - BSA and Azide free

Be the first to review this product! Submit a review

|

(2 Publications)

Rabbit Recombinant Monoclonal KPYM antibody. Carrier free. Suitable for IHC-P, WB and reacts with Human, Mouse, Rat samples. Cited in 2 publications.

View Alternative Names

OIP3, PK2, PK3, PKM2, PKM, Pyruvate kinase PKM, Cytosolic thyroid hormone-binding protein, Opa-interacting protein 3, Pyruvate kinase 2/3, Pyruvate kinase muscle isozyme, Threonine-protein kinase PKM2, Thyroid hormone-binding protein 1, Tumor M2-PK, Tyrosine-protein kinase PKM2, p58, CTHBP, OIP-3, THBP1

6 Images
Immunohistochemistry (Formalin/PFA-fixed paraffin-embedded sections) - Anti-PKM antibody [EPR10139] - BSA and Azide free (AB206130)
  • IHC-P

Unknown

Immunohistochemistry (Formalin/PFA-fixed paraffin-embedded sections) - Anti-PKM antibody [EPR10139] - BSA and Azide free (AB206130)

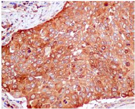
This data was developed using ab154816, the same antibody clone in a different buffer formulation.

Immunohistochemical analysis of paraffin-embedded Human cervical carcinoma, labeling PKM using ab154816 at 1/100 dilution.

Perform heat mediated antigen retrieval with citrate buffer pH 6 before commencing with IHC staining protocol.

Immunohistochemistry (Formalin/PFA-fixed paraffin-embedded sections) - Anti-PKM antibody [EPR10139] - BSA and Azide free (AB206130)
  • IHC-P

Lab

Immunohistochemistry (Formalin/PFA-fixed paraffin-embedded sections) - Anti-PKM antibody [EPR10139] - BSA and Azide free (AB206130)

This data was developed using ab154816, the same antibody clone in a different buffer formulation. Immunohistochemical analysis of paraffin-embedded Mouse cerebrum tissue labeling PKM with ab154816 at 1/10000 (0.103 μg/ml) dilution followed by a ready to use LeicaDS9800 (Bond™ Polymer Refine Detection) was used. The section was counterstained with Hematoxylin. Secondary antibody only control : Secondary antibody is a ready to use LeicaDS9800 (Bond™ Polymer Refine Detection) was used. Heat mediated antigen retrieval was performed with Tris-EDTA buffer (pH 9.0, Epitope Retrieval Solution2) for 20 mins. Positive staining on mouse cerebrum. The section was incubated with ab154816 for 30 mins at room temperature. The immunostaining was performed on a Leica Biosystems BOND® RX instrument.

Immunohistochemistry (Formalin/PFA-fixed paraffin-embedded sections) - Anti-PKM antibody [EPR10139] - BSA and Azide free (AB206130)
  • IHC-P

Lab

Immunohistochemistry (Formalin/PFA-fixed paraffin-embedded sections) - Anti-PKM antibody [EPR10139] - BSA and Azide free (AB206130)

This data was developed using ab154816, the same antibody clone in a different buffer formulation. Immunohistochemical analysis of paraffin-embedded Rat cerebrum tissue labeling PKM with ab154816 at 1/10000 (0.103 μg/ml) dilution followed by a ready to use LeicaDS9800 (Bond™ Polymer Refine Detection) was used. The section was counterstained with Hematoxylin. Secondary antibody only control : Secondary antibody is a ready to use LeicaDS9800 (Bond™ Polymer Refine Detection) was used. Heat mediated antigen retrieval was performed with Tris-EDTA buffer (pH 9.0, Epitope Retrieval Solution2) for 20 mins. Positive staining on rat cerebrum. The section was incubated with ab154816 for 30 mins at room temperature. The immunostaining was performed on a Leica Biosystems BOND® RX instrument.

Western blot - Anti-PKM antibody [EPR10139] - BSA and Azide free (AB206130)
  • WB

Unknown

Western blot - Anti-PKM antibody [EPR10139] - BSA and Azide free (AB206130)

This data was developed using ab154816, the same antibody clone in a different buffer formulation.

All lanes:

Western blot - Anti-PKM antibody [EPR10139] (<a href='/en-us/products/primary-antibodies/pkm-antibody-epr10139-ab154816'>ab154816</a>) at 1/1000 dilution

Lane 1:

Human fetal muscle tissue lysate at 10 µg

Lane 2:

HeLa cell lysate at 10 µg

Lane 3:

A549 cell lysate at 10 µg

Lane 4:

Jurkat cell lysate at 10 µg

Predicted band size: 58 kDa

false

Western blot - Anti-PKM antibody [EPR10139] - BSA and Azide free (AB206130)
  • WB

Lab

Western blot - Anti-PKM antibody [EPR10139] - BSA and Azide free (AB206130)

This data was developed using ab154816, the same antibody clone in a different buffer formulation. Blocking and diluting buffer and concentration : 5% NFDM/TBST. The lysates were freshly made and used for Western Blotting immediately to minimize protein degradation.

All lanes:

Western blot - Anti-PKM antibody [EPR10139] (<a href='/en-us/products/primary-antibodies/pkm-antibody-epr10139-ab154816'>ab154816</a>) at 1/1000 dilution

Lane 1:

Rat brain tissue lysate at 20 µg

Lane 2:

Rat testis tissue lysate at 20 µg

Lane 3:

Rat spleen tissue lysate at 20 µg

Secondary

All lanes:

Western blot - Goat Anti-Rabbit IgG H&L (HRP) (<a href='/en-us/products/secondary-antibodies/goat-rabbit-igg-h-l-hrp-ab97051'>ab97051</a>) at 1/20000 dilution

Predicted band size: 58 kDa

Observed band size: 58 kDa

false

Exposure time: 180s

Western blot - Anti-PKM antibody [EPR10139] - BSA and Azide free (AB206130)
  • WB

Lab

Western blot - Anti-PKM antibody [EPR10139] - BSA and Azide free (AB206130)

This data was developed using ab154816, the same antibody clone in a different buffer formulation. Blocking and diluting buffer and concentration : 5% NFDM/TBST. The lysates were freshly made and used for Western Blotting immediately to minimize protein degradation.

All lanes:

Western blot - Anti-PKM antibody [EPR10139] (<a href='/en-us/products/primary-antibodies/pkm-antibody-epr10139-ab154816'>ab154816</a>) at 1/1000 dilution

Lane 1:

Mouse brain tissue lysate at 20 µg

Lane 2:

Mouse testis tissue lysate at 20 µg

Lane 3:

Mouse spleen tissue lysate at 20 µg

Secondary

All lanes:

Western blot - Goat Anti-Rabbit IgG H&L (HRP) (<a href='/en-us/products/secondary-antibodies/goat-rabbit-igg-h-l-hrp-ab97051'>ab97051</a>) at 1/20000 dilution

Predicted band size: 58 kDa

Observed band size: 58 kDa

false

Exposure time: 180s

Key facts

Host species

Rabbit

Clonality

Monoclonal

Clone number

EPR10139

Isotype

IgG

Carrier free

Yes

Reacts with

Mouse, Rat, Human

Applications

WB, IHC-P

applications

Immunogen

The exact immunogen used to generate this antibody is proprietary information.

Reactivity data

{ "title": "Reactivity Data", "filters": { "stats": ["", "Species", "Dilution Info", "Notes"], "tabs": { "all-applications": {"fullname" : "All Applications", "shortname": "All Applications"}, "IHCP" : {"fullname" : "Immunohistochemistry (Formalin/PFA-fixed paraffin-embedded sections)", "shortname":"IHC-P"}, "IP" : {"fullname" : "Immunoprecipitation", "shortname":"IP"}, "FlowCyt" : {"fullname" : "Flow Cytometry", "shortname":"Flow Cyt"}, "WB" : {"fullname" : "Western blot", "shortname":"WB"}, "ICCIF" : {"fullname" : "Immunocytochemistry/ Immunofluorescence", "shortname":"ICC/IF"} }, "product-promise": { "all": "all", "testedAndGuaranteed": "tested", "guaranteed": "expected", "predicted": "predicted", "notRecommended": "not-recommended" } }, "values": { "Human": { "IHCP-species-checked": "testedAndGuaranteed", "IHCP-species-dilution-info": "", "IHCP-species-notes": "<p></p>", "IP-species-checked": "notRecommended", "IP-species-dilution-info": "", "IP-species-notes": "<p></p>", "FlowCyt-species-checked": "notRecommended", "FlowCyt-species-dilution-info": "", "FlowCyt-species-notes": "<p></p>", "WB-species-checked": "testedAndGuaranteed", "WB-species-dilution-info": "", "WB-species-notes": "<p></p>", "ICCIF-species-checked": "notRecommended", "ICCIF-species-dilution-info": "", "ICCIF-species-notes": "<p></p>" }, "Mouse": { "IHCP-species-checked": "testedAndGuaranteed", "IHCP-species-dilution-info": "", "IHCP-species-notes": "<p></p>", "IP-species-checked": "notRecommended", "IP-species-dilution-info": "", "IP-species-notes": "", "FlowCyt-species-checked": "notRecommended", "FlowCyt-species-dilution-info": "", "FlowCyt-species-notes": "", "WB-species-checked": "testedAndGuaranteed", "WB-species-dilution-info": "", "WB-species-notes": "<p></p>", "ICCIF-species-checked": "notRecommended", "ICCIF-species-dilution-info": "", "ICCIF-species-notes": "" }, "Rat": { "IHCP-species-checked": "testedAndGuaranteed", "IHCP-species-dilution-info": "", "IHCP-species-notes": "<p></p>", "IP-species-checked": "notRecommended", "IP-species-dilution-info": "", "IP-species-notes": "", "FlowCyt-species-checked": "notRecommended", "FlowCyt-species-dilution-info": "", "FlowCyt-species-notes": "", "WB-species-checked": "testedAndGuaranteed", "WB-species-dilution-info": "", "WB-species-notes": "<p></p>", "ICCIF-species-checked": "notRecommended", "ICCIF-species-dilution-info": "", "ICCIF-species-notes": "" } } }

Product details

ab206130 is the carrier-free version of ab154816.

Patented technology
Our RabMAb® technology is a patented hybridoma-based technology for making rabbit monoclonal antibodies. For details on our patents, please refer to RabMAb® patents.

What are the advantages of a recombinant monoclonal antibody?
This product is a recombinant monoclonal antibody, which offers several advantages including:

  • - High batch-to-batch consistency and reproducibility
  • - Improved sensitivity and specificity
  • - Long-term security of supply
  • - Animal-free batch production

For more information, read more on recombinant antibodies.

Conjugation ready
Our carrier-free antibodies are typically supplied in a PBS-only formulation, purified and free of BSA, sodium azide and glycerol. This conjugation-ready format is designed for use with fluorochromes, metal isotopes, oligonucleotides, and enzymes, which makes them ideal for antibody labelling, functional and cell-based assays, flow-based assays (e.g. mass cytometry) and Multiplex Imaging applications.

Use our conjugation kits for antibody conjugates that are ready-to-use in as little as 20 minutes with 1 minute hands-on-time and 100% antibody recovery: available for fluorescent dyes, HRP, biotin and gold.

Compatibility
This product is compatible with the Maxpar® Antibody Labeling Kit from Fluidigm, without the need for antibody preparation. Maxpar® is a trademark of Fluidigm Canada Inc.

Properties and storage information

Form
Liquid
Purification technique
Affinity purification Protein A
Storage buffer
pH: 7.2 - 7.4 Constituents: PBS
Shipped at conditions
Blue Ice
Appropriate short-term storage conditions
+4°C
Appropriate long-term storage conditions
+4°C
Storage information
Do Not Freeze

Supplementary information

This supplementary information is collated from multiple sources and compiled automatically.

PKM also known as pyruvate kinase muscle isozyme (PKM) and PEP is an enzyme that plays an important role in glycolysis by catalysing the conversion of phosphoenolpyruvate (PEP) to pyruvate yielding ATP in the process. The PKM protein has two isoforms PKM1 and PKM2 which result from alternative splicing of the PKM gene. The mass of PKM2 the more studied isoform is approximately 58 kDa. PKM is expressed in various tissues prominently in skeletal muscle heart brain and many tumor cells. Additionally PKM has significant activity in rapidly proliferating cells suggesting its importance in high-energy demanding environments.
Biological function summary

PKM functions not only in catalyzing the last step of glycolysis but also regulates metabolic and transcriptional processes. Specifically PKM2 is a participant in the regulation of gene expression and cellular response to oxidative stress and nutrient availability. It can exist as a dimer or tetramer with the latter being the more active form in glycolytic pathways while the dimeric form can translocate to the nucleus to perform functions unrelated to its glycolytic activity. These transformations make PKM part of a dynamic complex that responds to various cellular signals.

Pathways

PKM integrates into essential metabolic pathways including the glycolytic pathway and influences the pentose phosphate pathway. It works in conjunction with phosphofructokinase-1 (PFK1) another key glycolytic enzyme synchronizing the energy production process in cells. PKM2's non-metabolic roles involve interactions in signaling pathways related to cellular proliferation and survival often interacting with and modulating proteins like HIF-1α which plays a central role in cellular responses to hypoxia.

PKM2 shows strong connections to cancer and metabolic diseases. Tumor cells often exhibit a shift in expression from PKM1 to PKM2 facilitating the altered metabolism known as the Warburg effect characterized by increased aerobic glycolysis. Its interaction with HIF-1α promotes adaptation to low oxygen environments typical in tumorous growth. Furthermore PKM disruptions or aberrations contribute to metabolic disorders such as diabetes where altered glucose metabolism becomes evident. The protein's behavior in these disease conditions indicates potential targets for therapeutic intervention highlighting the importance of PKM in both normal physiology and pathology.

Product protocols

For this product, it's our understanding that no specific protocols are required. You can visit:

Target data

Catalyzes the final rate-limiting step of glycolysis by mediating the transfer of a phosphoryl group from phosphoenolpyruvate (PEP) to ADP, generating ATP (PubMed : 15996096, PubMed : 1854723, PubMed : 20847263). The ratio between the highly active tetrameric form and nearly inactive dimeric form determines whether glucose carbons are channeled to biosynthetic processes or used for glycolytic ATP production (PubMed : 15996096, PubMed : 1854723, PubMed : 20847263). The transition between the 2 forms contributes to the control of glycolysis and is important for tumor cell proliferation and survival (PubMed : 15996096, PubMed : 1854723, PubMed : 20847263).. Isoform M2. Isoform specifically expressed during embryogenesis that has low pyruvate kinase activity by itself and requires allosteric activation by D-fructose 1,6-bisphosphate (FBP) for pyruvate kinase activity (PubMed : 18337823, PubMed : 20847263). In addition to its pyruvate kinase activity in the cytoplasm, also acts as a regulator of transcription in the nucleus by acting as a protein kinase (PubMed : 18191611, PubMed : 21620138, PubMed : 22056988, PubMed : 22306293, PubMed : 22901803, PubMed : 24120661). Translocates into the nucleus in response to various signals, such as EGF receptor activation, and homodimerizes, leading to its conversion into a protein threonine- and tyrosine-protein kinase (PubMed : 22056988, PubMed : 22306293, PubMed : 22901803, PubMed : 24120661, PubMed : 26787900). Catalyzes phosphorylation of STAT3 at 'Tyr-705' and histone H3 at 'Thr-11' (H3T11ph), leading to activate transcription (PubMed : 22306293, PubMed : 22901803, PubMed : 24120661). Its ability to activate transcription plays a role in cancer cells by promoting cell proliferation and promote tumorigenesis (PubMed : 18337823, PubMed : 22901803, PubMed : 26787900). Promotes the expression of the immune checkpoint protein CD274 in BMAL1-deficient macrophages (By similarity). May also act as a translation regulator for a subset of mRNAs, independently of its pyruvate kinase activity : associates with subpools of endoplasmic reticulum-associated ribosomes, binds directly to the mRNAs translated at the endoplasmic reticulum and promotes translation of these endoplasmic reticulum-destined mRNAs (By similarity). Plays a role in caspase independent cell death of tumor cells (PubMed : 17308100).. Isoform M1. Pyruvate kinase isoform expressed in adult tissues, which replaces isoform M2 after birth (PubMed : 18337823). In contrast to isoform M2, has high pyruvate kinase activity by itself and does not require allosteric activation by D-fructose 1,6-bisphosphate (FBP) for activity (PubMed : 20847263).
See full target information PKM

Publications (2)

Recent publications for all applications. Explore the full list and refine your search

Frontiers in pharmacology 11:577108 PubMed33324209

2020

PKM2-Induced the Phosphorylation of Histone H3 Contributes to EGF-Mediated PD-L1 Transcription in HCC.

Applications

Unspecified application

Species

Unspecified reactive species

Xiao Wang,Chao Liang,Xin Yao,Ruo-Han Yang,Zhan-Sheng Zhang,Fan-Ye Liu,Wen-Qi Li,Shu-Hua Pei,Jing Ma,Song-Qiang Xie,Dong Fang

Journal of cellular and molecular medicine : PubMed33147380

2020

Disruption of microRNA-214 during general anaesthesia prevents brain injury and maintains mitochondrial fusion by promoting Mfn2 interaction with Pkm2.

Applications

Unspecified application

Species

Unspecified reactive species

Tiejun Liu,Bin Wang,Gai Li,Xiaoliu Dong,Guannan Yu,Qingzeng Qian,Likun Duan,Hongxia Li,Zhao Jia,Jing Bai
View all publications

Product promise

We are committed to supporting your work with high-quality reagents, and we're here for you every step of the way. In the unlikely event that one of our products does not perform as expected, you're protected by our Product Promise.
For full details, please see our Terms & Conditions

Please note: All products are 'FOR RESEARCH USE ONLY. NOT FOR USE IN DIAGNOSTIC OR THERAPEUTIC PROCEDURES'.

For licensing inquiries, please contact partnerships@abcam.com