JavaScript is disabled in your browser. Please enable JavaScript to view this website.
AB196560

Anti-PKM antibody - N-terminal

Be the first to review this product! Submit a review

|

(1 Publication)

Rabbit Polyclonal KPYM antibody. N-terminal. Suitable for WB, IHC-P, ICC/IF and reacts with Human, Mouse, Rat samples. Cited in 1 publication. Immunogen corresponding to Recombinant Fragment Protein within Human PKM.

View Alternative Names

OIP3, PK2, PK3, PKM2, PKM, Pyruvate kinase PKM, Cytosolic thyroid hormone-binding protein, Opa-interacting protein 3, Pyruvate kinase 2/3, Pyruvate kinase muscle isozyme, Threonine-protein kinase PKM2, Thyroid hormone-binding protein 1, Tumor M2-PK, Tyrosine-protein kinase PKM2, p58, CTHBP, OIP-3, THBP1

5 Images
Immunocytochemistry/ Immunofluorescence - Anti-PKM antibody - N-terminal (AB196560)
  • ICC/IF

Supplier Data

Immunocytochemistry/ Immunofluorescence - Anti-PKM antibody - N-terminal (AB196560)

Immunofluorescence analysis of HeLa cells labeling PKM2 using ab196560, at 1/20 dilution. Lower panel shows DAPI for nuclear staining (Blue).

Immunohistochemistry (Formalin/PFA-fixed paraffin-embedded sections) - Anti-PKM antibody - N-terminal (AB196560)
  • IHC-P

Supplier Data

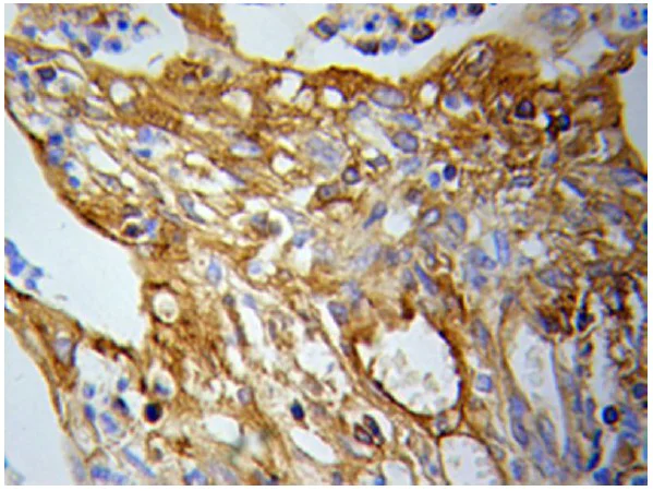
Immunohistochemistry (Formalin/PFA-fixed paraffin-embedded sections) - Anti-PKM antibody - N-terminal (AB196560)

Immunohistochemical analysis of paraffin-embedded human lung tissue labeling PKM2 with ab196560 at 1/50 dilution.

Immunohistochemistry (Formalin/PFA-fixed paraffin-embedded sections) - Anti-PKM antibody - N-terminal (AB196560)
  • IHC-P

Supplier Data

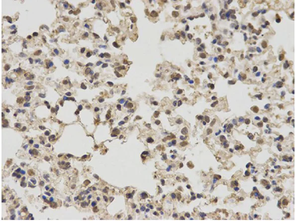
Immunohistochemistry (Formalin/PFA-fixed paraffin-embedded sections) - Anti-PKM antibody - N-terminal (AB196560)

Immunohistochemical analysis of paraffin-embedded rat lung tissue labeling PKM2 with ab196560 at 1/100 dilution.

Immunohistochemistry (Formalin/PFA-fixed paraffin-embedded sections) - Anti-PKM antibody - N-terminal (AB196560)
  • IHC-P

Supplier Data

Immunohistochemistry (Formalin/PFA-fixed paraffin-embedded sections) - Anti-PKM antibody - N-terminal (AB196560)

Immunohistochemical analysis of paraffin-embedded mouse lung tissue labeling PKM2 with ab196560 at 1/100 dilution.

Western blot - Anti-PKM antibody - N-terminal (AB196560)
  • WB

Supplier Data

Western blot - Anti-PKM antibody - N-terminal (AB196560)

All lanes:

Western blot - Anti-PKM antibody - N-terminal (ab196560) at 1/500 dilution

Lane 1:

Jurkat extracts

Lane 2:

HeLa extracts

Lane 3:

A549 extracts

Predicted band size: 58 kDa

false

Key facts

Host species

Rabbit

Clonality

Polyclonal

Isotype

IgG

Carrier free

No

Reacts with

Mouse, Rat, Human

Applications

IHC-P, ICC/IF, WB

applications

Immunogen

Recombinant Fragment Protein within Human PKM. The exact immunogen used to generate this antibody is proprietary information.

P14618

Reactivity data

{ "title": "Reactivity Data", "filters": { "stats": ["", "Species", "Dilution Info", "Notes"], "tabs": { "all-applications": {"fullname" : "All Applications", "shortname": "All Applications"}, "WB" : {"fullname" : "Western blot", "shortname":"WB"}, "IHCP" : {"fullname" : "Immunohistochemistry (Formalin/PFA-fixed paraffin-embedded sections)", "shortname":"IHC-P"}, "ICCIF" : {"fullname" : "Immunocytochemistry/ Immunofluorescence", "shortname":"ICC/IF"} }, "product-promise": { "all": "all", "testedAndGuaranteed": "tested", "guaranteed": "expected", "predicted": "predicted", "notRecommended": "not-recommended" } }, "values": { "Human": { "WB-species-checked": "testedAndGuaranteed", "WB-species-dilution-info": "1/500 - 1/2000", "WB-species-notes": "<p></p>", "IHCP-species-checked": "testedAndGuaranteed", "IHCP-species-dilution-info": "1/50 - 1/200", "IHCP-species-notes": "<p></p>", "ICCIF-species-checked": "testedAndGuaranteed", "ICCIF-species-dilution-info": "1/20 - 1/100", "ICCIF-species-notes": "<p></p>" }, "Mouse": { "WB-species-checked": "guaranteed", "WB-species-dilution-info": "", "WB-species-notes": "", "IHCP-species-checked": "testedAndGuaranteed", "IHCP-species-dilution-info": "1/50 - 1/200", "IHCP-species-notes": "<p></p>", "ICCIF-species-checked": "guaranteed", "ICCIF-species-dilution-info": "", "ICCIF-species-notes": "" }, "Rat": { "WB-species-checked": "guaranteed", "WB-species-dilution-info": "", "WB-species-notes": "", "IHCP-species-checked": "testedAndGuaranteed", "IHCP-species-dilution-info": "1/50 - 1/200", "IHCP-species-notes": "<p></p>", "ICCIF-species-checked": "guaranteed", "ICCIF-species-dilution-info": "", "ICCIF-species-notes": "" } } }

Properties and storage information

Form
Liquid
Purification technique
Affinity purification Immunogen
Storage buffer
pH: 7.4 Preservative: 0.02% Sodium azide Constituents: PBS, 50% Glycerol (glycerin, glycerine), 0.87% Sodium chloride
Shipped at conditions
Blue Ice
Appropriate short-term storage duration
1-2 weeks
Appropriate short-term storage conditions
+4°C
Appropriate long-term storage conditions
-20°C
Aliquoting information
Upon delivery aliquot
Storage information
Avoid freeze / thaw cycle

Supplementary information

This supplementary information is collated from multiple sources and compiled automatically.

PKM also known as pyruvate kinase muscle isozyme (PKM) and PEP is an enzyme that plays an important role in glycolysis by catalysing the conversion of phosphoenolpyruvate (PEP) to pyruvate yielding ATP in the process. The PKM protein has two isoforms PKM1 and PKM2 which result from alternative splicing of the PKM gene. The mass of PKM2 the more studied isoform is approximately 58 kDa. PKM is expressed in various tissues prominently in skeletal muscle heart brain and many tumor cells. Additionally PKM has significant activity in rapidly proliferating cells suggesting its importance in high-energy demanding environments.
Biological function summary

PKM functions not only in catalyzing the last step of glycolysis but also regulates metabolic and transcriptional processes. Specifically PKM2 is a participant in the regulation of gene expression and cellular response to oxidative stress and nutrient availability. It can exist as a dimer or tetramer with the latter being the more active form in glycolytic pathways while the dimeric form can translocate to the nucleus to perform functions unrelated to its glycolytic activity. These transformations make PKM part of a dynamic complex that responds to various cellular signals.

Pathways

PKM integrates into essential metabolic pathways including the glycolytic pathway and influences the pentose phosphate pathway. It works in conjunction with phosphofructokinase-1 (PFK1) another key glycolytic enzyme synchronizing the energy production process in cells. PKM2's non-metabolic roles involve interactions in signaling pathways related to cellular proliferation and survival often interacting with and modulating proteins like HIF-1α which plays a central role in cellular responses to hypoxia.

PKM2 shows strong connections to cancer and metabolic diseases. Tumor cells often exhibit a shift in expression from PKM1 to PKM2 facilitating the altered metabolism known as the Warburg effect characterized by increased aerobic glycolysis. Its interaction with HIF-1α promotes adaptation to low oxygen environments typical in tumorous growth. Furthermore PKM disruptions or aberrations contribute to metabolic disorders such as diabetes where altered glucose metabolism becomes evident. The protein's behavior in these disease conditions indicates potential targets for therapeutic intervention highlighting the importance of PKM in both normal physiology and pathology.

Product protocols

For this product, it's our understanding that no specific protocols are required. You can visit:

Target data

Catalyzes the final rate-limiting step of glycolysis by mediating the transfer of a phosphoryl group from phosphoenolpyruvate (PEP) to ADP, generating ATP (PubMed : 15996096, PubMed : 1854723, PubMed : 20847263). The ratio between the highly active tetrameric form and nearly inactive dimeric form determines whether glucose carbons are channeled to biosynthetic processes or used for glycolytic ATP production (PubMed : 15996096, PubMed : 1854723, PubMed : 20847263). The transition between the 2 forms contributes to the control of glycolysis and is important for tumor cell proliferation and survival (PubMed : 15996096, PubMed : 1854723, PubMed : 20847263).. Isoform M2. Isoform specifically expressed during embryogenesis that has low pyruvate kinase activity by itself and requires allosteric activation by D-fructose 1,6-bisphosphate (FBP) for pyruvate kinase activity (PubMed : 18337823, PubMed : 20847263). In addition to its pyruvate kinase activity in the cytoplasm, also acts as a regulator of transcription in the nucleus by acting as a protein kinase (PubMed : 18191611, PubMed : 21620138, PubMed : 22056988, PubMed : 22306293, PubMed : 22901803, PubMed : 24120661). Translocates into the nucleus in response to various signals, such as EGF receptor activation, and homodimerizes, leading to its conversion into a protein threonine- and tyrosine-protein kinase (PubMed : 22056988, PubMed : 22306293, PubMed : 22901803, PubMed : 24120661, PubMed : 26787900). Catalyzes phosphorylation of STAT3 at 'Tyr-705' and histone H3 at 'Thr-11' (H3T11ph), leading to activate transcription (PubMed : 22306293, PubMed : 22901803, PubMed : 24120661). Its ability to activate transcription plays a role in cancer cells by promoting cell proliferation and promote tumorigenesis (PubMed : 18337823, PubMed : 22901803, PubMed : 26787900). Promotes the expression of the immune checkpoint protein CD274 in BMAL1-deficient macrophages (By similarity). May also act as a translation regulator for a subset of mRNAs, independently of its pyruvate kinase activity : associates with subpools of endoplasmic reticulum-associated ribosomes, binds directly to the mRNAs translated at the endoplasmic reticulum and promotes translation of these endoplasmic reticulum-destined mRNAs (By similarity). Plays a role in caspase independent cell death of tumor cells (PubMed : 17308100).. Isoform M1. Pyruvate kinase isoform expressed in adult tissues, which replaces isoform M2 after birth (PubMed : 18337823). In contrast to isoform M2, has high pyruvate kinase activity by itself and does not require allosteric activation by D-fructose 1,6-bisphosphate (FBP) for activity (PubMed : 20847263).
See full target information PKM

Publications (1)

Recent publications for all applications. Explore the full list and refine your search

Cancer cell international 22:293 PubMed36154921

2022

Exploring the relationship between autophagy and Gefitinib resistance in NSCLC by silencing PDLIM5 using ultrasound-targeted microbubble destruction technology.

Applications

Unspecified application

Species

Unspecified reactive species

Yao Zhang,Wenhao Lv,Hui Li,Tiantian Dong,Hao Wu,Chunhong Su,Hong Shu,Fang Nie
View all publications

Product promise

We are committed to supporting your work with high-quality reagents, and we're here for you every step of the way. In the unlikely event that one of our products does not perform as expected, you're protected by our Product Promise.
For full details, please see our Terms & Conditions

Please note: All products are 'FOR RESEARCH USE ONLY. NOT FOR USE IN DIAGNOSTIC OR THERAPEUTIC PROCEDURES'.

For licensing inquiries, please contact partnerships@abcam.com