JavaScript is disabled in your browser. Please enable JavaScript to view this website.
AB184257

Anti-PKR antibody [EPR19374]

  • RabMAb
  • Recombinant
  • KO Validated
  • 20ul selling size
  • What is this?

5

(1 Review)

|

(21 Publications)

Anti-PKR antibody [EPR19374] (ab184257) is a rabbit monoclonal antibody detecting PKR in Western Blot, Flow Cytometry (Intra), Flow Cytometry, IP, ICC/IF. Suitable for Human, Mouse, Rat.

- KO validated for confirmed specificity
- Biophysical QC for unrivalled batch-batch consistency
- Over 10 publications

View Alternative Names

PKR, PRKR, EIF2AK2, Eukaryotic translation initiation factor 2-alpha kinase 2, Interferon-inducible RNA-dependent protein kinase, P1/eIF-2A protein kinase, Protein kinase RNA-activated, Tyrosine-protein kinase EIF2AK2, p68 kinase, eIF-2A protein kinase 2, Protein kinase R

12 Images
Flow Cytometry (Intracellular) - Anti-PKR antibody [EPR19374] (AB184257)
  • Flow Cyt (Intra)

Supplier Data

Flow Cytometry (Intracellular) - Anti-PKR antibody [EPR19374] (AB184257)

Intracellular flow cytometric analysis of 4% paraformaldehyde-fixed, 90% methanol permeabilised bEnd.3 (mouse brain endothelial cell) cells labeling PKR with ab184257 at 1/500 dilution (red) compared with a Rabbit monoclonal IgG isotype control (ab172730; black) and an unlabelled control (cells without incubation with primary antibody and secondary antibody; blue). Goat Anti-Rabbit IgG (Alexa Fluor® 488, ab150081) at 1/5000 dilution was used as the secondary antibody.

Immunocytochemistry/ Immunofluorescence - Anti-PKR antibody [EPR19374] (AB184257)
  • ICC/IF

Supplier Data

Immunocytochemistry/ Immunofluorescence - Anti-PKR antibody [EPR19374] (AB184257)

Immunofluorescent analysis of 4% paraformaldehyde-fixed, 0.1% Triton X-100 permeabilized A549 (human lung carcinoma epithelial cell) labeling PKR with ab184257 at 1/50 dilution, followed by Goat Anti-Rabbit IgG H&L (Alexa Fluor® 488) preabsorbed (ab150081) secondary antibody at 1/1000 dilution (green). Anti-alpha Tubulin mouse monoclonal antibody - Microtubule Marker (Alexa Fluor® 594) (ab195889) at 1/200 was used as a counterstain The nuclear counterstain is DAPI (blue) Confocal image showing cytoplasmic and weak nuclear staining in A549 cell line. Image was taken with a confocal microscope(Leica-Microsystems, TCS SP8).

Immunocytochemistry/ Immunofluorescence - Anti-PKR antibody [EPR19374] (AB184257)
  • ICC/IF

Supplier Data

Immunocytochemistry/ Immunofluorescence - Anti-PKR antibody [EPR19374] (AB184257)

Immunofluorescent analysis of 4% paraformaldehyde-fixed, 0.1% Triton X-100 permeabilized bEnd.3 (mouse brain endothelial cell) labeling PKR with ab184257 at 1/50 dilution, followed by Goat Anti-Rabbit IgG H&L (Alexa Fluor® 488) preabsorbed (ab150081) secondary antibody at 1/1000 dilution (green). Anti-alpha Tubulin mouse monoclonal antibody - Microtubule Marker (Alexa Fluor® 594) (ab195889) at 1/200 was used as a counterstain The nuclear counterstain is DAPI (blue) Confocal image showing cytoplasmic and weak nuclear staining in bEnd.3 cell line. Image was taken with a confocal microscope(Leica-Microsystems, TCS SP8).

Immunoprecipitation - Anti-PKR antibody [EPR19374] (AB184257)
  • IP

Supplier Data

Immunoprecipitation - Anti-PKR antibody [EPR19374] (AB184257)

PKR was immunoprecipitated from mouse hippocampus lysate with ab184257 at 1/30 dilution (2μg in 0.35mg lysates). Western blot was performed from the immunoprecipitate using ab184257 at 1/1000 dilution. VeriBlot for IP Detection Reagent (HRP) (ab131366), was used for detection at 1/5000 dilution. Lane 1 : Mouse hippocampus tissue lysate 10 μg (Input). Lane 2 : ab184257 IP in Mouse hippocampus tissue lysate. Lane 3 : Rabbit IgG,monoclonal [EPR19374] - Isotype Control (ab172730) instead of ab184257 in mouse hippocampus tissue lysate. Blocking and dilution buffer and concentration : 5% NFDM/TBST. Exposure time : 31 seconds.

false

Western blot - Anti-PKR antibody [EPR19374] (AB184257)
  • WB

Lab

Western blot - Anti-PKR antibody [EPR19374] (AB184257)

Lanes 1-3 : Merged signal (red and green). Green - ab184257 observed at 70 kDa. Red - loading control ab8245 observed at 36 kDa.

ab184257 Anti-PKR antibody [EPR19374] was shown to specifically react with PKR in wild-type A549 cells. Loss of signal was observed when knockout cell line ab267000 (knockout cell lysate ab256901) was used. Wild-type and PKR knockout samples were subjected to SDS-PAGE. ab184257 and Anti-GAPDH antibody [6C5] - Loading Control (ab8245) were incubated at room temperature for 2. 5 hours at 1 in 1000 dilution and 1 in 20000 dilution respectively. Blots were developed with Goat anti-Rabbit IgG H&L (IRDye® 800CW) preadsorbed (ab216773) and Goat anti-Mouse IgG H&L (IRDye® 680RD) preadsorbed (ab216776) secondary antibodies at 1 in 20000 dilution for 1 hour at room temperature before imaging.

All lanes:

Western blot - Anti-PKR antibody [EPR19374] (ab184257) at 1/1000 dilution

Lane 1:

Wild-type A549 cell lysate at 20 µg

Lane 2:

EIF2AK2 knockout A549 cell lysate at 20 µg

Lane 2:

Western blot - Human EIF2AK2 (PKR) knockout A549 cell line (<a href='/en-us/products/cell-lines/human-eif2ak2-pkr-knockout-a549-cell-line-ab267000'>ab267000</a>)

Lane 3:

K-562 cell lysate at 20 µg

Secondary

All lanes:

Western blot - Goat anti-Rabbit IgG H&L (IRDye® 800CW) preadsorbed (<a href='/en-us/products/secondary-antibodies/goat-rabbit-igg-h-l-irdye-800cw-preadsorbed-ab216773'>ab216773</a>) at 1/10000 dilution

Predicted band size: 62 kDa,86 kDa

Observed band size: 70 kDa,86 kDa

false

Western blot - Anti-PKR antibody [EPR19374] (AB184257)
  • WB

Supplier Data

Western blot - Anti-PKR antibody [EPR19374] (AB184257)

Blocking/Dilution buffer : 5% NFDM/TBST.

All lanes:

Western blot - Anti-PKR antibody [EPR19374] (ab184257) at 1/2000 dilution

Lane 1:

Jurkat (Human T cell leukemia cell line from peripheral blood) whole cell lysate at 20 µg

Lane 2:

HeLa (Human epithelial cell line from cervix adenocarcinoma) whole cell lysate at 20 µg

Lane 3:

MCF7 (Human breast adenocarcinoma cell line) whole cell lysate at 20 µg

Secondary

All lanes:

Goat Anti-Rabbit IgG Peroxidase Conjugate, specific to the non-reduced form of IgG at 1/10000 dilution

Predicted band size: 62 kDa

Observed band size: 58 kDa

false

Exposure time: 3min

Western blot - Anti-PKR antibody [EPR19374] (AB184257)
  • WB

Lab

Western blot - Anti-PKR antibody [EPR19374] (AB184257)

Lanes 1-5 : Merged signal (red and green). Green - ab184257 observed at 70 kDa. Red - loading control ab8245 observed at 36 kDa.

ab184257 Anti-PKR antibody [EPR19374] was shown to specifically react with PKR in wild-type HeLa cells. Loss of signal was observed when knockout cell line ab261824 (knockout cell lysate ab256899) was used. Wild-type and PKR knockout samples were subjected to SDS-PAGE. ab184257 and Anti-GAPDH antibody [6C5] - Loading Control (ab8245) were incubated overnight at 4°C at 1 in 1000 dilution and 1 in 20000 dilution respectively. Blots were developed with Goat anti-Rabbit IgG H&L (IRDye® 800CW) preadsorbed (ab216773) and Goat anti-Mouse IgG H&L (IRDye® 680RD) preadsorbed (ab216776) secondary antibodies at 1 in 20000 dilution for 1 hour at room temperature before imaging.

All lanes:

Western blot - Anti-PKR antibody [EPR19374] (ab184257) at 1/1000 dilution

Lane 1:

Wild-type HeLa (Human epithelial cell line from cervix adenocarcinoma) whole cell lysate at 20 µg

Lane 2:

EIF2AK2 knockout HeLa (Human epithelial cell line from cervix adenocarcinoma) whole cell lysate at 20 µg

Lane 2:

Western blot - Human EIF2AK2 (PKR) knockout HeLa cell line (<a href='/en-us/products/cell-lines/human-eif2ak2-pkr-knockout-hela-cell-line-ab261824'>ab261824</a>)

Lane 3:

Wild-type A549 (Human lung carcinoma cell line) whole cell lysate at 20 µg

Lane 4:

EIF2AK2 knockout A549 (Human lung carcinoma cell line) whole cell lysate at 20 µg

Lane 5:

K562 (Human chronic myelogenous leukemia lymphoblast cell line) whole cell lysate at 20 µg

Secondary

All lanes:

Western blot - Goat anti-Rabbit IgG H&L (IRDye® 800CW) preadsorbed (<a href='/en-us/products/secondary-antibodies/goat-rabbit-igg-h-l-irdye-800cw-preadsorbed-ab216773'>ab216773</a>) at 1/10000 dilution

Predicted band size: 62 kDa

Observed band size: 70 kDa

false

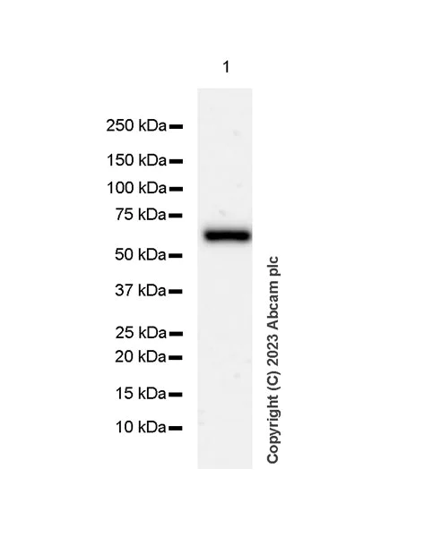
Western blot - Anti-PKR antibody [EPR19374] (AB184257)
  • WB

Lab

Western blot - Anti-PKR antibody [EPR19374] (AB184257)

Lane 1 : Wild type HAP1 whole cell lysate (20 μg)
Lane 2 : EIF2AK2 knockout HAP1 whole cell lysate (20 μg)
Lane 3 : K562 whole cell lysate (20 μg)
Lane 4 : HepG2 whole cell lysate (20 μg)

Lanes 1 - 4 : Merged signal (red and green). Green - ab184257 observed at 70 kDa. Red - loading control, ab9484, observed at 37 kDa.

ab184257 was shown to specifically react with EIF2AK2 when EIF2AK2 knockout samples were used. Wild-type and EIF2AK2 knockout samples were subjected to SDS-PAGE. ab184257 and ab9484 (Mouse anti GAPDH loading control) were incubated overnight at 4°C at 1000 dilution and 1/20000 dilution respectively. Blots were developed with Goat anti-Rabbit IgG H&L (IRDye® 800CW) preabsorbed ab216773 and Goat anti-Mouse IgG H&L (IRDye® 680RD) preabsorbed ab216776 secondary antibodies at 1/20000 dilution for 1 hour at room temperature before imaging.

All lanes:

Western blot - Anti-PKR antibody [EPR19374] (ab184257)

Predicted band size: 62 kDa

false

Western blot - Anti-PKR antibody [EPR19374] (AB184257)
  • WB

Supplier Data

Western blot - Anti-PKR antibody [EPR19374] (AB184257)

Blocking and diluting buffer : 5% NFDM/TBST

All lanes:

Western blot - Anti-PKR antibody [EPR19374] (ab184257) at 1/1000 dilution

All lanes:

bEnd.3 (mouse brain endothelial cell) whole cell lysate at 20 µg

Secondary

All lanes:

Western blot - Goat Anti-Rabbit IgG H&L (HRP) (<a href='/en-us/products/secondary-antibodies/goat-rabbit-igg-h-l-hrp-ab97051'>ab97051</a>) at 1/100000 dilution

Predicted band size: 62 kDa

false

Exposure time: 114s

Western blot - Anti-PKR antibody [EPR19374] (AB184257)
  • WB

Lab

Western blot - Anti-PKR antibody [EPR19374] (AB184257)

Blocking and diluting buffer : 5% NFDM/TBST

Lanes 1 - 2:

Western blot - Anti-CGA/hCG alpha antibody [EP3373] (<a href='/en-us/products/primary-antibodies/cga-hcg-alpha-antibody-ep3373-ab92738'>ab92738</a>) at 1/2000 dilution

Lane 1:

Western blot - Anti-PKR antibody [EPR19374] (ab184257) at 1/1000 dilution

Lane 1:

JAR (Human placenta choriocarcinoma epithelial cell) whole cell lysate

Lane 1:

bEnd.3 (mouse brain endothelial cell) whole cell lysate at 20 µg

Lane 2:

JAR (Human placenta choriocarcinoma epithelial cell) whole cell lysate treated with Hydroxyurea (10mM 24h)

Secondary

Lanes 1 - 2:

Western blot - Goat Anti-Rabbit IgG H&L (HRP) (<a href='/en-us/products/secondary-antibodies/goat-rabbit-igg-h-l-hrp-ab97051'>ab97051</a>) at 1/20000 dilution

Lane 1:

Western blot - Goat Anti-Rabbit IgG H&L (HRP) (<a href='/en-us/products/secondary-antibodies/goat-rabbit-igg-h-l-hrp-ab97051'>ab97051</a>) at 1/100000 dilution

Observed band size: 18 kDa

false

Exposure time: 180s

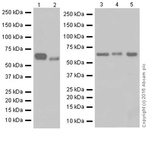
Western blot - Anti-PKR antibody [EPR19374] (AB184257)
  • WB

Supplier Data

Western blot - Anti-PKR antibody [EPR19374] (AB184257)

Blocking/Dilution buffer : 5% NFDM/TBST.

Exposure time : Lane 1 and 2 : 3 minutes; Lane 3,4 and 5 : 5 seconds.

All lanes:

Western blot - Anti-PKR antibody [EPR19374] (ab184257) at 1/2000 dilution

Lane 1:

Mouse brain lysate at 10 µg

Lane 2:

Mouse heart lysate at 10 µg

Lane 3:

Rat brain lysate at 10 µg

Lane 4:

Rat heart lysate at 10 µg

Lane 5:

Rat spleen lysate at 10 µg

Secondary

All lanes:

Western blot - Goat Anti-Rabbit IgG H&L (HRP) (<a href='/en-us/products/secondary-antibodies/goat-rabbit-igg-h-l-hrp-ab97051'>ab97051</a>) at 1/100000 dilution

Predicted band size: 62 kDa

Observed band size: 58 kDa

false

Western blot - Anti-PKR antibody [EPR19374] (AB184257)
  • WB

Supplier Data

Western blot - Anti-PKR antibody [EPR19374] (AB184257)

Blocking/Dilution buffer : 5% NFDM/TBST.

Exposure time : Lane 1,2,3 and 4 : 3 minutes; Lane 5 : 30 seconds; Lane 6,7 and 8 : 10 seconds.

All lanes:

Western blot - Anti-PKR antibody [EPR19374] (ab184257) at 1/2000 dilution

Lane 1:

Mouse brain lysate at 20 µg

Lane 2:

Mouse cerebral cortex lysate at 20 µg

Lane 3:

Mouse hippocampus lysate at 20 µg

Lane 4:

Mouse lung lysate at 20 µg

Lane 5:

Mouse thymus lysate at 20 µg

Lane 6:

Rat brain lysate at 20 µg

Lane 7:

Rat cerebral cortex lysate at 20 µg

Lane 8:

4T1 (Mouse mammary gland carcinoma cell line) whole cell lysate at 20 µg

Secondary

All lanes:

Western blot - Goat Anti-Rabbit IgG H&L (HRP) (<a href='/en-us/products/secondary-antibodies/goat-rabbit-igg-h-l-hrp-ab97051'>ab97051</a>) at 1/100000 dilution

Predicted band size: 62 kDa

false

  • 578 PE

    PE Anti-PKR antibody [EPR19374]

  • Carrier free

    Anti-PKR antibody [EPR19374] - BSA and Azide free

  • 660 APC

    APC Anti-PKR antibody [EPR19374]

Key facts

Host species

Rabbit

Clonality

Monoclonal

Clone number

EPR19374

Isotype

IgG

Carrier free

No

Reacts with

Mouse, Rat, Human

Applications

WB, Flow Cyt (Intra), IP, ICC/IF

applications

Immunogen

The exact immunogen used to generate this antibody is proprietary information.

Reactivity data

{ "title": "Reactivity Data", "filters": { "stats": ["", "Species", "Dilution Info", "Notes"], "tabs": { "all-applications": {"fullname" : "All Applications", "shortname": "All Applications"}, "IP" : {"fullname" : "Immunoprecipitation", "shortname":"IP"}, "WB" : {"fullname" : "Western blot", "shortname":"WB"}, "ICCIF" : {"fullname" : "Immunocytochemistry/ Immunofluorescence", "shortname":"ICC/IF"}, "FlowCytIntra" : {"fullname" : "Flow Cytometry (Intracellular)", "shortname":"Flow Cyt (Intra)"} }, "product-promise": { "all": "all", "testedAndGuaranteed": "tested", "guaranteed": "expected", "predicted": "predicted", "notRecommended": "not-recommended" } }, "values": { "Human": { "IP-species-checked": "guaranteed", "IP-species-dilution-info": "", "IP-species-notes": "", "WB-species-checked": "testedAndGuaranteed", "WB-species-dilution-info": "1/2000", "WB-species-notes": "<p></p>", "ICCIF-species-checked": "testedAndGuaranteed", "ICCIF-species-dilution-info": "1/100", "ICCIF-species-notes": "<p></p>", "FlowCytIntra-species-checked": "guaranteed", "FlowCytIntra-species-dilution-info": "", "FlowCytIntra-species-notes": "" }, "Mouse": { "IP-species-checked": "testedAndGuaranteed", "IP-species-dilution-info": "1/40", "IP-species-notes": "<p></p>", "WB-species-checked": "testedAndGuaranteed", "WB-species-dilution-info": "1/2000", "WB-species-notes": "<p></p>", "ICCIF-species-checked": "testedAndGuaranteed", "ICCIF-species-dilution-info": "1/100", "ICCIF-species-notes": "<p></p>", "FlowCytIntra-species-checked": "testedAndGuaranteed", "FlowCytIntra-species-dilution-info": "1/120", "FlowCytIntra-species-notes": "<p></p>" }, "Rat": { "IP-species-checked": "guaranteed", "IP-species-dilution-info": "", "IP-species-notes": "", "WB-species-checked": "testedAndGuaranteed", "WB-species-dilution-info": "1/2000", "WB-species-notes": "<p></p>", "ICCIF-species-checked": "guaranteed", "ICCIF-species-dilution-info": "", "ICCIF-species-notes": "", "FlowCytIntra-species-checked": "guaranteed", "FlowCytIntra-species-dilution-info": "", "FlowCytIntra-species-notes": "" } } }

Product details

What is this antibody validated in?
Anti-PKR antibody [EPR19374] (ab184257) is a rabbit recombinant monoclonal antibody and is validated for use in Western Blot (WB), Flow Cytometry (Intra), Flow Cytometry (Flow Cyt), Immunoprecipitation (IP), Immunocytochemistry/immunofluorescence (ICC/IF) in Human, Mouse, Rat samples.

What is the molecular weight of PKR?
Anti-PKR [EPR19374] (ab184257) specifically detects a band for PKR (UniProt: Q03963) at a molecular weight of 58kDa.

Trusted by the scientific community
Anti-PKR [EPR19374] (ab184257) was first used in a scientific publication in 2015 and has been cited over 10 times in peer-reviewed journals.

Trial sizes available!
Test your antibody or perform pre-screening before committing to a larger quantity. Sold in 10µl. Discover our selection of trial-size antibodies.

Specificity confirmed
The specificity of Anti-PKR antibody [EPR19374] (ab184257) has been confirmed by Western blot testing in EIF2AK2 Knockout HAP1 cell line, ab266999.

Other related products
We have a range of other formats of antibody clone [EPR19374] also available for your convenience: ab184257, Carrier free - ab224887

Patented technology
Our RabMAb® technology is a patented hybridoma-based technology for making rabbit monoclonal antibodies. For details on our patents, please refer to RabMAb® patents.

What are the advantages of a recombinant monoclonal antibody?
This product is a recombinant monoclonal antibody, which offers several advantages including:

  • - High batch-to-batch consistency and reproducibility
  • - Improved sensitivity and specificity
  • - Long-term security of supply
  • - Animal-free batch production

For more information, read more on recombinant antibodies.

Properties and storage information

Form
Liquid
Purification technique
Affinity purification Protein A
Storage buffer
pH: 7.2 Preservative: 0.01% Sodium azide Constituents: PBS, 40% Glycerol (glycerin, glycerine), 0.05% BSA
Shipped at conditions
Blue Ice
Appropriate short-term storage duration
1-2 weeks
Appropriate short-term storage conditions
+4°C
Appropriate long-term storage conditions
-20°C
Aliquoting information
Upon delivery aliquot
Storage information
Avoid freeze / thaw cycle

Product protocols

For this product, it's our understanding that no specific protocols are required. You can visit:

Target data

IFN-induced dsRNA-dependent serine/threonine-protein kinase that phosphorylates the alpha subunit of eukaryotic translation initiation factor 2 (EIF2S1/eIF-2-alpha) and plays a key role in the innate immune response to viral infection (PubMed : 18835251, PubMed : 19189853, PubMed : 19507191, PubMed : 21072047, PubMed : 21123651, PubMed : 22381929, PubMed : 22948139, PubMed : 23229543). Inhibits viral replication via the integrated stress response (ISR) : EIF2S1/eIF-2-alpha phosphorylation in response to viral infection converts EIF2S1/eIF-2-alpha in a global protein synthesis inhibitor, resulting to a shutdown of cellular and viral protein synthesis, while concomitantly initiating the preferential translation of ISR-specific mRNAs, such as the transcriptional activator ATF4 (PubMed : 19189853, PubMed : 21123651, PubMed : 22948139, PubMed : 23229543). Exerts its antiviral activity on a wide range of DNA and RNA viruses including hepatitis C virus (HCV), hepatitis B virus (HBV), measles virus (MV) and herpes simplex virus 1 (HHV-1) (PubMed : 11836380, PubMed : 19189853, PubMed : 19840259, PubMed : 20171114, PubMed : 21710204, PubMed : 23115276, PubMed : 23399035). Also involved in the regulation of signal transduction, apoptosis, cell proliferation and differentiation : phosphorylates other substrates including p53/TP53, PPP2R5A, DHX9, ILF3, IRS1 and the HHV-1 viral protein US11 (PubMed : 11836380, PubMed : 19229320, PubMed : 22214662). In addition to serine/threonine-protein kinase activity, also has tyrosine-protein kinase activity and phosphorylates CDK1 at 'Tyr-4' upon DNA damage, facilitating its ubiquitination and proteasomal degradation (PubMed : 20395957). Either as an adapter protein and/or via its kinase activity, can regulate various signaling pathways (p38 MAP kinase, NF-kappa-B and insulin signaling pathways) and transcription factors (JUN, STAT1, STAT3, IRF1, ATF3) involved in the expression of genes encoding pro-inflammatory cytokines and IFNs (PubMed : 22948139, PubMed : 23084476, PubMed : 23372823). Activates the NF-kappa-B pathway via interaction with IKBKB and TRAF family of proteins and activates the p38 MAP kinase pathway via interaction with MAP2K6 (PubMed : 10848580, PubMed : 15121867, PubMed : 15229216). Can act as both a positive and negative regulator of the insulin signaling pathway (ISP) (PubMed : 20685959). Negatively regulates ISP by inducing the inhibitory phosphorylation of insulin receptor substrate 1 (IRS1) at 'Ser-312' and positively regulates ISP via phosphorylation of PPP2R5A which activates FOXO1, which in turn up-regulates the expression of insulin receptor substrate 2 (IRS2) (PubMed : 20685959). Can regulate NLRP3 inflammasome assembly and the activation of NLRP3, NLRP1, AIM2 and NLRC4 inflammasomes (PubMed : 22801494). Plays a role in the regulation of the cytoskeleton by binding to gelsolin (GSN), sequestering the protein in an inactive conformation away from actin (By similarity).
See full target information EIF2AK2

Publications (21)

Recent publications for all applications. Explore the full list and refine your search

Proceedings of the National Academy of Sciences of the United States of America 122:e2514837122 PubMed40811463

2025

Stress granule-mediated ZBP1 activation drives necroptotic cell death in non-obstructive azoospermia and testicular aging.

Applications

Unspecified application

Species

Unspecified reactive species

Hongen Lei,Dianrong Li,Jie Chen,Baowen Du,Kaiju Jiang,Tao Xu,Hu Han,Weiliang Fan,Long Tian,Xiaodong Wang

Scientific reports 15:15306 PubMed40312500

2025

The differential impact of HNRNPA1 isoforms on gene expression and their relevance to dsRNA-mediated innate immune response.

Applications

Unspecified application

Species

Unspecified reactive species

Jade-Emmanuelle Deshaies,Valérie Triassi,Andréanne Lacombe,Myriam Gagné,Karen Ling,Asmita Ghosh,Marjorie Labrecque,Frank Rigo,Paymaan Jafar-Nejad,Martine Tétreault,Christine Vande Velde

Frontiers in neuroscience 18:1447304 PubMed39654643

2024

PKR downregulation prevents copper-induced synaptic dysfunction and cognitive impairment in a murine model of Wilson's disease.

Applications

Unspecified application

Species

Unspecified reactive species

Chenchen Xu,Songyang Liu,Nan Cheng,Yongsheng Han,Xinheng Wang

The Journal of general virology 105: PubMed39570665

2024

Why is next-generation sequencing essential in modern virology?

Applications

Unspecified application

Species

Unspecified reactive species

Charlotte Lefèvre,Nerea Irigoyen

Renal failure 46:2403649 PubMed39311631

2024

protein targeted activation of -mediated PANoptosis promotes sepsis-induced acute kidney injury.

Applications

Unspecified application

Species

Unspecified reactive species

Siwei Wei,Lei Wu,Zhen Xiang,Xiaoxiao Yang,Dongjie Pei,Liubing Jiang,Zhen Du

Acta physiologica (Oxford, England) 240:e14142 PubMed38584589

2024

Amyloid precursor protein induces reactive astrogliosis.

Applications

Unspecified application

Species

Unspecified reactive species

Gretsen Velezmoro Jauregui,Dragana Vukić,Isaac G Onyango,Carlos Arias,Jan S Novotný,Kateřina Texlová,Shanshan Wang,Kristina Locker Kovačovicova,Natalie Polakova,Jana Zelinkova,Maria Čarna,Valentina Lacovich,Brian P Head,Daniel Havas,Martin Mistrik,Robert Zorec,Alexei Verkhratsky,Liam Keegan,Mary A O'Connell,Robert Rissman,Gorazd B Stokin

eLife 12: PubMed37073950

2023

Antisense, but not sense, repeat expanded RNAs activate PKR/eIF2α-dependent ISR in FTD/ALS.

Applications

Unspecified application

Species

Unspecified reactive species

Janani Parameswaran,Nancy Zhang,Elke Braems,Kedamawit Tilahun,Devesh C Pant,Keena Yin,Seneshaw Asress,Kara Heeren,Anwesha Banerjee,Emma Davis,Samantha L Schwartz,Graeme L Conn,Gary J Bassell,Ludo Van Den Bosch,Jie Jiang

Immunity 55:2369-2385.e10 PubMed36370712

2022

The transcription factor IRF2 drives interferon-mediated CD8 T cell exhaustion to restrict anti-tumor immunity.

Applications

Unspecified application

Species

Unspecified reactive species

Sabelo Lukhele,Diala Abd Rabbo,Mengdi Guo,Jian Shen,Heidi J Elsaesser,Rene Quevedo,Madeleine Carew,Ramy Gadalla,Laura M Snell,Lawanya Mahesh,M Teresa Ciudad,Bryan E Snow,Annick You-Ten,Jillian Haight,Andrew Wakeham,Pamela S Ohashi,Tak W Mak,Weiguo Cui,Tracy L McGaha,David G Brooks

Antioxidants (Basel, Switzerland) 11: PubMed36290724

2022

Increased Mobile Zinc Regulates Retinal Ganglion Cell Survival via Activating Mitochondrial OMA1 and Integrated Stress Response.

Applications

Unspecified application

Species

Unspecified reactive species

Jiahui Tang,Zhe Liu,Jiaxu Han,Jingfei Xue,Liyan Liu,Jicheng Lin,Caiqing Wu,Qi Zhang,Siting Wu,Canying Liu,Haishun Huang,Yuanyuan Fu,Min Li,Yehong Zhuo,Yiqing Li

Communications biology 5:822 PubMed35970927

2022

Long non-coding RNA DARS-AS1 promotes tumor progression by directly suppressing PACT-mediated cellular stress.

Applications

Unspecified application

Species

Unspecified reactive species

Liuqing Yang,Kequan Lin,Lin Zhu,Huili Wang,Shuaishuai Teng,Lijun Huang,Shiyi Zhou,Guanbin Zhang,Zhi John Lu,Dong Wang
View all publications

Product promise

We are committed to supporting your work with high-quality reagents, and we're here for you every step of the way. In the unlikely event that one of our products does not perform as expected, you're protected by our Product Promise.
For full details, please see our Terms & Conditions

Please note: All products are 'FOR RESEARCH USE ONLY. NOT FOR USE IN DIAGNOSTIC OR THERAPEUTIC PROCEDURES'.

For licensing inquiries, please contact partnerships@abcam.com