JavaScript is disabled in your browser. Please enable JavaScript to view this website.
AB32506

Anti-PKR antibody [Y117]

4

(3 Reviews)

|

(32 Publications)

Anti-PKR antibody [Y117] (ab32506) is a rabbit monoclonal antibody detecting PKR in Western Blot, Flow Cytometry (Intra), IP, IHC-P, ICC/IF. Suitable for Human.

- KO validated for confirmed specificity
- Biophysical QC for unrivalled batch-batch consistency
- Over 20 publications
- Trusted since 2006

View Alternative Names

PKR, PRKR, EIF2AK2, Eukaryotic translation initiation factor 2-alpha kinase 2, Interferon-inducible RNA-dependent protein kinase, P1/eIF-2A protein kinase, Protein kinase RNA-activated, Tyrosine-protein kinase EIF2AK2, p68 kinase, eIF-2A protein kinase 2, Protein kinase R

11 Images
Flow Cytometry (Intracellular) - Anti-PKR antibody [Y117] (AB32506)
  • Flow Cyt (Intra)

Unknown

Flow Cytometry (Intracellular) - Anti-PKR antibody [Y117] (AB32506)

Intracellular Flow Cytometry analysis of MCF-7 (human breast carcinoma) cells labeling PKR with purified ab32506 at 1/20 dilution (10ug/ml) (red). Cells were fixed with 4% paraformaldehyde and permeabilised with 90% methanol. A Goat anti rabbit IgG (Alexa Fluor® 488) (1/2000 dilution) was used as the secondary antibody. Rabbit monoclonal IgG (Black) was used as the isotype control, cells without incubation with primary antibody and secondary antibody (Blue) were used as the unlabeled control.

Immunocytochemistry/ Immunofluorescence - Anti-PKR antibody [Y117] (AB32506)
  • ICC/IF

Unknown

Immunocytochemistry/ Immunofluorescence - Anti-PKR antibody [Y117] (AB32506)

Immunofluorescent staining of HeLa cells using unpurified ab32506 at 1/250 dilution.

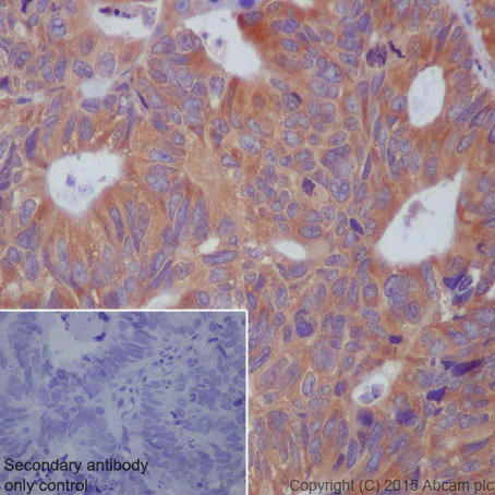
Immunohistochemistry (Formalin/PFA-fixed paraffin-embedded sections) - Anti-PKR antibody [Y117] (AB32506)
  • IHC-P

Unknown

Immunohistochemistry (Formalin/PFA-fixed paraffin-embedded sections) - Anti-PKR antibody [Y117] (AB32506)

ab32506 staining PKR in human liver carcinoma tissue sections by Immunohistochemistry (IHC-P - paraformaldehyde-fixed, paraffin-embedded sections). Tissue was fixed with paraformaldehyde and antigen retrieval was by heat mediation in a EDTA buffer. Samples were incubated with primary antibody at a dilution of 1/100. A goat anti-rabbit IgG H&L (HRP) ab97051 was used as the secondary antibody at a dilution of 1/500.

Negative control 1 : PBS in place of primary antibody.

Immunocytochemistry/ Immunofluorescence - Anti-PKR antibody [Y117] (AB32506)
  • ICC/IF

Unknown

Immunocytochemistry/ Immunofluorescence - Anti-PKR antibody [Y117] (AB32506)

ab32506 staining PKR in wild-type HAP1 cells (top panel) and PKR knockout HAP1 cells (bottom panel). The cells were fixed with 100% methanol (5min), permeabilized with 0.1% Triton X-100 for 5 minutes and then blocked with 1% BSA/10% normal goat serum/0.3M glycine in 0.1% PBS-Tween for 1h. The cells were then incubated with ab32506 at 1/400 dilution and ab7291 at 1ug/ml concentration overnight at +4°C, followed by a further incubation at room temperature for 1h with a goat secondary antibody to Rabbit IgG (Alexa Fluor® 488) (ab150081) at 2 μg/ml (shown in green) and a goat secondary antibody to Mouse IgG (Alexa Fluor® 594) (ab150117) at 2ug/ml (shown in pseudo-color red). Nuclear DNA was labelled in blue with DAPI.

This product also gave a positive signal under the same testing conditions in HAP1 cells fixed with 4% formaldehyde (10 min).

Image was taken with a confocal microscope (Leica-Microsystems, TCS SP8).

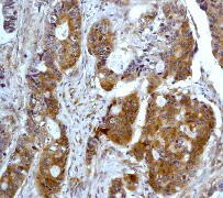
Immunohistochemistry (Formalin/PFA-fixed paraffin-embedded sections) - Anti-PKR antibody [Y117] (AB32506)
  • IHC-P

Unknown

Immunohistochemistry (Formalin/PFA-fixed paraffin-embedded sections) - Anti-PKR antibody [Y117] (AB32506)

Immunohistochemical analysis of paraffin-embedded human colon carcinoma using unpurified ab32506 at 1/100 dilution.

Immunocytochemistry/ Immunofluorescence - Anti-PKR antibody [Y117] (AB32506)
  • ICC/IF

Unknown

Immunocytochemistry/ Immunofluorescence - Anti-PKR antibody [Y117] (AB32506)

ab32506 staining PKR in MCF-7 (human breast carcinoma) cells by ICC/IF (Immunocytochemistry/immunofluorescence). Cells were fixed with 4% Paraformaldehyde and permeabilized with 0.1% Triton X-100. Samples were incubated with primary antibody at a dilution of 1/100. A goat anti rabbit IgG (Alexa Fluor® 488) (ab150077) was used as the secondary antibody. ab7291 and ab150120 were used as counterstains for primary antibody ab32506 and secondary antibody ab150077 respectively and DAPI was used as a nuclear counterstain.

Negative control 1 : Rabbit primary antibody and anti-mouse secondary antibody (ab150120)
Negative control 2 : Mouse primary antibody (ab7291) and anti-rabbit secondary antibody (ab150077)

Immunoprecipitation - Anti-PKR antibody [Y117] (AB32506)
  • IP

Unknown

Immunoprecipitation - Anti-PKR antibody [Y117] (AB32506)

ab32506 immunoprecipitating PKR. 10μg of cell lysate was incubated with primary antibody at a dilution of 1/40 and VeriBlot for IP Detection Reagent (HRP) (ab131366) at a dilution of 1/10000.

Lane 1 : HEK293 (human embryonic kidney) whole cell lysate (10ug)
Lane 2 : HEK293 (human embryonic kidney) whole cell lysate
Lane 3 : Rabbit monoclonal IgG (ab172730) instead of ab32506 in HEK293 (human embryonic kidney) whole cell lysate

All lanes:

Immunoprecipitation - Anti-PKR antibody [Y117] (ab32506)

Predicted band size: 62 kDa

Observed band size: 40 kDa,68 kDa

false

Western blot - Anti-PKR antibody [Y117] (AB32506)
  • WB

Unknown

Western blot - Anti-PKR antibody [Y117] (AB32506)

Lanes 1, 3 and 5 : PKR knockout HAP1 cell lysate (20 μg)
Lanes 2, 4 and 6 : Wild-type HAP1 cell lysate (20 μg)
Lanes 1 and 2 : Green signal from target - ab32506 observed at 62 kDa
Lanes 3 and 4 : Red signal from loading control - ab8245 observed at 37 kDa
Lanes 5 and 6 : Merged (red and green) signal
ab32506 was shown to specifically react with PKR when PKR knockout samples were used. Wild-type and PKR knockout samples were subjected to SDS-PAGE. ab32506 and ab8245 (loading control to GAPDH) were diluted 1/10 000 and 1/2000 respectively and incubated overnight at 4°C. Blots were developed with Goat anti-Rabbit IgG H&L (IRDye® 800CW) preadsorbed (ab216773) and Goat anti-Mouse IgG H&L (IRDye® 680RD) preadsorbed (ab216776) secondary antibodies at 1/10 000 dilution for 1 h at room temperature before imaging.

All lanes:

Western blot - Anti-PKR antibody [Y117] (ab32506)

Predicted band size: 62 kDa

false

Western blot - Anti-PKR antibody [Y117] (AB32506)
  • WB

Lab

Western blot - Anti-PKR antibody [Y117] (AB32506)

Purified format.

All lanes:

Western blot - Anti-PKR antibody [Y117] (ab32506) at 1/20000 dilution

Lane 1:

MCF-7 (human breast carcinoma) whole cell lysates at 20 µg

Lane 2:

HEK293 (human embryonic kidney) whole cell lysates at 20 µg

Secondary

All lanes:

Western blot - Goat Anti-Rabbit IgG H&L (HRP) (<a href='/en-us/products/secondary-antibodies/goat-rabbit-igg-h-l-hrp-ab97051'>ab97051</a>) at 1/100000 dilution

Predicted band size: 62 kDa

Observed band size: 68 kDa

false

Western blot - Anti-PKR antibody [Y117] (AB32506)
  • WB

Unknown

Western blot - Anti-PKR antibody [Y117] (AB32506)

All lanes:

Western blot - Anti-PKR antibody [Y117] (ab32506) at 1/10000 dilution

All lanes:

MCF-7 cell lysate

Predicted band size: 62 kDa

Observed band size: 68 kDa

false

Western blot - Anti-PKR antibody [Y117] (AB32506)
  • WB

CiteAb

Western blot - Anti-PKR antibody [Y117] (AB32506)

PKR western blot using anti-PKR antibody [Y117] ab32506. Publication image and figure legend from Liu, G. & Zhang, W., 2018, Braz J Med Biol Res, PubMed 29898032.

ab32506 was used in this publication in western blot. This may not be the same as the application(s) guaranteed by Abcam. For a full list of applications guaranteed by Abcam for ab32506 please see the product overview.

Effect of HOTAIR on PKR expression; A, qRT-PCRrevealed overexpression of HOTAIR promoted the expression of PKR;B, Western blot analysis revealedoverexpression of HOTAIR promoted the expression of PKR. Data arereported as means±SD. *p<0.05; **p<0.01 (ANOVA). HOTAIR : HOXantisense intergenic RNA; PKR : RNA-dependent protein kinase; qRT-PCR : quantitative real-time polymerase chain reaction.

false

Key facts

Host species

Rabbit

Clonality

Monoclonal

Clone number

Y117

Isotype

IgG

Carrier free

No

Reacts with

Human

Applications

ICC/IF, IHC-P, Flow Cyt (Intra), IP, WB

applications

Immunogen

The exact immunogen used to generate this antibody is proprietary information.

Specificity

This antibody does not cross-react with other GCN2 family members.

Reactivity data

{ "title": "Reactivity Data", "filters": { "stats": ["", "Species", "Dilution Info", "Notes"], "tabs": { "all-applications": {"fullname" : "All Applications", "shortname": "All Applications"}, "IP" : {"fullname" : "Immunoprecipitation", "shortname":"IP"}, "WB" : {"fullname" : "Western blot", "shortname":"WB"}, "ICCIF" : {"fullname" : "Immunocytochemistry/ Immunofluorescence", "shortname":"ICC/IF"}, "FlowCytIntra" : {"fullname" : "Flow Cytometry (Intracellular)", "shortname":"Flow Cyt (Intra)"}, "IHCP" : {"fullname" : "Immunohistochemistry (Formalin/PFA-fixed paraffin-embedded sections)", "shortname":"IHC-P"} }, "product-promise": { "all": "all", "testedAndGuaranteed": "tested", "guaranteed": "expected", "predicted": "predicted", "notRecommended": "not-recommended" } }, "values": { "Human": { "IP-species-checked": "testedAndGuaranteed", "IP-species-dilution-info": "1/80 - 1/100", "IP-species-notes": "<p></p>", "WB-species-checked": "testedAndGuaranteed", "WB-species-dilution-info": "1/5000 - 1/20000", "WB-species-notes": "<p></p>", "ICCIF-species-checked": "testedAndGuaranteed", "ICCIF-species-dilution-info": "1/100", "ICCIF-species-notes": "<p><strong>For unpurified use at 1/250 - 1/500</strong></p>", "FlowCytIntra-species-checked": "testedAndGuaranteed", "FlowCytIntra-species-dilution-info": "", "FlowCytIntra-species-notes": "<p></p>", "IHCP-species-checked": "testedAndGuaranteed", "IHCP-species-dilution-info": "1/100", "IHCP-species-notes": "<p></p>" } } }

Product details

What is this antibody validated in?
Anti-PKR antibody [Y117] (ab32506) is a rabbit recombinant monoclonal antibody and is validated for use in Western Blot (WB), Flow Cytometry (Intra), Flow Cytometry (Flow Cyt), Immunoprecipitation (IP), Immunohistochemistry (IHC-P), Immunocytochemistry/immunofluorescence (ICC/IF) in Human samples.

What is the molecular weight of PKR?
Anti-PKR [Y117] (ab32506) specifically detects a band for PKR (UniProt: P19525) at a molecular weight of 62kDa.

Trusted by the scientific community
Anti-PKR [Y117] (ab32506) was first used in a scientific publication in 2006 and has been cited over 20 times in peer-reviewed journals.

Trial sizes available!
Test your antibody or perform pre-screening before committing to a larger quantity. Sold in 10µl. Discover our selection of trial-size antibodies.

Specificity confirmed
The specificity of Anti-PKR antibody [Y117] (ab32506) has been confirmed by Western blot testing in EIF2AK2 Knockout HAP1 cells.

Other related products
We have a range of other formats of antibody clone [Y117] also available for your convenience: ab32506, Alexa Fluor® 488 - ab207341, Alexa Fluor® 647 - ab207342, Carrier free - ab239817, PE - ab305722, APC - ab305723, HRP - ab305724, Alkaline Phosphatase - ab308756, Alexa Fluor® 594 - ab310471, Alexa Fluor® 555 - ab312001, Alexa Fluor® 568 - ab312477, Alexa Fluor® 750 - ab321606

Species reactivity
Mouse, Rat: We have preliminary internal testing data to indicate this antibody may not react with these species.
Please contact us for more information.

Patented technology
Our RabMAb® technology is a patented hybridoma-based technology for making rabbit monoclonal antibodies. For details on our patents, please refer to RabMAb® patents.

What are the advantages of a recombinant monoclonal antibody?
This product is a recombinant monoclonal antibody, which offers several advantages including:

  • - High batch-to-batch consistency and reproducibility
  • - Improved sensitivity and specificity
  • - Long-term security of supply
  • - Animal-free batch production

For more information, read more on recombinant antibodies.

Properties and storage information

Form
Liquid
Purification technique
Affinity purification Protein A
Storage buffer
pH: 7.2 - 7.4 Preservative: 0.01% Sodium azide Constituents: PBS, 40% Glycerol (glycerin, glycerine), 0.05% BSA
Shipped at conditions
Blue Ice
Appropriate short-term storage duration
1-2 weeks
Appropriate short-term storage conditions
+4°C
Appropriate long-term storage conditions
-20°C
Aliquoting information
Upon delivery aliquot
Storage information
Avoid freeze / thaw cycle

Product protocols

For this product, it's our understanding that no specific protocols are required. You can visit:

Target data

IFN-induced dsRNA-dependent serine/threonine-protein kinase that phosphorylates the alpha subunit of eukaryotic translation initiation factor 2 (EIF2S1/eIF-2-alpha) and plays a key role in the innate immune response to viral infection (PubMed : 18835251, PubMed : 19189853, PubMed : 19507191, PubMed : 21072047, PubMed : 21123651, PubMed : 22381929, PubMed : 22948139, PubMed : 23229543). Inhibits viral replication via the integrated stress response (ISR) : EIF2S1/eIF-2-alpha phosphorylation in response to viral infection converts EIF2S1/eIF-2-alpha in a global protein synthesis inhibitor, resulting to a shutdown of cellular and viral protein synthesis, while concomitantly initiating the preferential translation of ISR-specific mRNAs, such as the transcriptional activator ATF4 (PubMed : 19189853, PubMed : 21123651, PubMed : 22948139, PubMed : 23229543). Exerts its antiviral activity on a wide range of DNA and RNA viruses including hepatitis C virus (HCV), hepatitis B virus (HBV), measles virus (MV) and herpes simplex virus 1 (HHV-1) (PubMed : 11836380, PubMed : 19189853, PubMed : 19840259, PubMed : 20171114, PubMed : 21710204, PubMed : 23115276, PubMed : 23399035). Also involved in the regulation of signal transduction, apoptosis, cell proliferation and differentiation : phosphorylates other substrates including p53/TP53, PPP2R5A, DHX9, ILF3, IRS1 and the HHV-1 viral protein US11 (PubMed : 11836380, PubMed : 19229320, PubMed : 22214662). In addition to serine/threonine-protein kinase activity, also has tyrosine-protein kinase activity and phosphorylates CDK1 at 'Tyr-4' upon DNA damage, facilitating its ubiquitination and proteasomal degradation (PubMed : 20395957). Either as an adapter protein and/or via its kinase activity, can regulate various signaling pathways (p38 MAP kinase, NF-kappa-B and insulin signaling pathways) and transcription factors (JUN, STAT1, STAT3, IRF1, ATF3) involved in the expression of genes encoding pro-inflammatory cytokines and IFNs (PubMed : 22948139, PubMed : 23084476, PubMed : 23372823). Activates the NF-kappa-B pathway via interaction with IKBKB and TRAF family of proteins and activates the p38 MAP kinase pathway via interaction with MAP2K6 (PubMed : 10848580, PubMed : 15121867, PubMed : 15229216). Can act as both a positive and negative regulator of the insulin signaling pathway (ISP) (PubMed : 20685959). Negatively regulates ISP by inducing the inhibitory phosphorylation of insulin receptor substrate 1 (IRS1) at 'Ser-312' and positively regulates ISP via phosphorylation of PPP2R5A which activates FOXO1, which in turn up-regulates the expression of insulin receptor substrate 2 (IRS2) (PubMed : 20685959). Can regulate NLRP3 inflammasome assembly and the activation of NLRP3, NLRP1, AIM2 and NLRC4 inflammasomes (PubMed : 22801494). Plays a role in the regulation of the cytoskeleton by binding to gelsolin (GSN), sequestering the protein in an inactive conformation away from actin (By similarity).
See full target information EIF2AK2

Publications (32)

Recent publications for all applications. Explore the full list and refine your search

Virology journal 22:244 PubMed40665364

2025

Respiratory syncytial virus (RSV) enhances translation of virus-resembling AU-rich host transcripts.

Applications

Unspecified application

Species

Unspecified reactive species

Kyra Kerkhofs,Nicholas R Guydosh,Mark A Bayfield

EMBO reports 25:4488-4514 PubMed39261742

2024

CaMKII suppresses proteotoxicity by phosphorylating BAG3 in response to proteasomal dysfunction.

Applications

Unspecified application

Species

Unspecified reactive species

Chenliang Zhang,Huanji Xu,Qiulin Tang,Yichun Duan,Hongwei Xia,Huixi Huang,Di Ye,Feng Bi

International journal of molecular sciences 24: PubMed38068904

2023

Impact of NLRP3 Depletion on Aging-Related Metaflammation, Cognitive Function, and Social Behavior in Mice.

Applications

Unspecified application

Species

Unspecified reactive species

Elena D Khilazheva,Angelina I Mosiagina,Yulia A Panina,Olga S Belozor,Yulia K Komleva

Nature communications 14:1223 PubMed36869030

2023

Polynucleotide phosphorylase protects against renal tubular injury via blocking mt-dsRNA-PKR-eIF2α axis.

Applications

Unspecified application

Species

Unspecified reactive species

Yujie Zhu,Mingchao Zhang,Weiran Wang,Shuang Qu,Minghui Liu,Weiwei Rong,Wenwen Yang,Hongwei Liang,Caihong Zeng,Xiaodong Zhu,Limin Li,Zhihong Liu,Ke Zen

Journal of virology 96:e0068622 PubMed35638780

2022

Role of Stress Granules in Suppressing Viral Replication by the Infectious Bronchitis Virus Endoribonuclease.

Applications

Unspecified application

Species

Unspecified reactive species

Jing Zhao,Delan Feng,Ye Zhao,Min Huang,Xuehui Zhang,Guozhong Zhang

Nucleic acids research 50:1201-1220 PubMed34671803

2021

Adenovirus prevents dsRNA formation by promoting efficient splicing of viral RNA.

Applications

Unspecified application

Species

Unspecified reactive species

Alexander M Price,Robert T Steinbock,Chao Di,Katharina E Hayer,Yize Li,Christin Herrmann,Nicholas A Parenti,Jillian N Whelan,Susan R Weiss,Matthew D Weitzman

Journal of molecular biology 434:167247 PubMed34537236

2021

FTO Suppresses STAT3 Activation and Modulates Proinflammatory Interferon-Stimulated Gene Expression.

Applications

Unspecified application

Species

Unspecified reactive species

Michael J McFadden,Matthew T Sacco,Kristen A Murphy,Moonhee Park,Nandan S Gokhale,Kim Y Somfleth,Stacy M Horner

Viruses 13: PubMed34578339

2021

Enhancing Therapeutic Efficacy of Oncolytic Herpes Simplex Virus with MEK Inhibitor Trametinib in Some BRAF or KRAS-Mutated Colorectal or Lung Carcinoma Models.

Applications

Unspecified application

Species

Unspecified reactive species

XuSha Zhou,Jing Zhao,Jian V Zhang,Yinglin Wu,Lei Wang,Xiaoqing Chen,Dongmei Ji,Grace Guoying Zhou

PLoS pathogens 17:e1009549 PubMed33984068

2021

Human DICER helicase domain recruits PKR and modulates its antiviral activity.

Applications

Unspecified application

Species

Unspecified reactive species

Thomas C Montavon,Morgane Baldaccini,Mathieu Lefèvre,Erika Girardi,Béatrice Chane-Woon-Ming,Mélanie Messmer,Philippe Hammann,Johana Chicher,Sébastien Pfeffer

Human molecular genetics 30:1020-1029 PubMed33856033

2021

The alternative initiation factor eIF2A plays key role in RAN translation of myotonic dystrophy type 2 CCUG•CAGG repeats.

Applications

Unspecified application

Species

Unspecified reactive species

Solaleh Khoramian Tusi,Lien Nguyen,Kiruphagaran Thangaraju,Jian Li,John D Cleary,Tao Zu,Laura P W Ranum
View all publications

Product promise

We are committed to supporting your work with high-quality reagents, and we're here for you every step of the way. In the unlikely event that one of our products does not perform as expected, you're protected by our Product Promise.
For full details, please see our Terms & Conditions

Please note: All products are 'FOR RESEARCH USE ONLY. NOT FOR USE IN DIAGNOSTIC OR THERAPEUTIC PROCEDURES'.

For licensing inquiries, please contact partnerships@abcam.com