JavaScript is disabled in your browser. Please enable JavaScript to view this website.
AB81303

Anti-PKR (phospho T451) antibody [EPR2152Y]

1

(1 Review)

|

(33 Publications)

Rabbit Recombinant Monoclonal PKR phospho T451 antibody. Suitable for Dot, WB and reacts with Pig, Human samples. Cited in 33 publications.

View Alternative Names

PKR, PRKR, EIF2AK2, Eukaryotic translation initiation factor 2-alpha kinase 2, Interferon-inducible RNA-dependent protein kinase, P1/eIF-2A protein kinase, Protein kinase RNA-activated, Tyrosine-protein kinase EIF2AK2, p68 kinase, eIF-2A protein kinase 2, Protein kinase R

4 Images
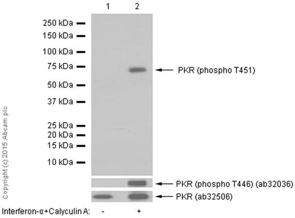
Western blot - Anti-PKR (phospho T451) antibody [EPR2152Y] (AB81303)
  • WB

Supplier Data

Western blot - Anti-PKR (phospho T451) antibody [EPR2152Y] (AB81303)

Purified format.

Blocking buffer : 5% NFDM/TBST

Diluting buffer : 5% NFDM/TBST

All lanes:

Western blot - Anti-PKR (phospho T451) antibody [EPR2152Y] (ab81303) at 1/2000 dilution

Lane 1:

Untreated HeLa (human cervix adenocarcinoma) whole cell lysate at 10 µg

Lane 2:

HeLa (human cervix adenocarcinoma) treated with Interferon-α and Calyculin A whole cell lysate at 10 µg

Secondary

All lanes:

Western blot - Goat Anti-Rabbit IgG H&L (HRP) (<a href='/en-us/products/secondary-antibodies/goat-rabbit-igg-h-l-hrp-ab97051'>ab97051</a>) at 1/100000 dilution

Predicted band size: 62 kDa

false

Western blot - Anti-PKR (phospho T451) antibody [EPR2152Y] (AB81303)
  • WB

Lab

Western blot - Anti-PKR (phospho T451) antibody [EPR2152Y] (AB81303)

Blocking/Diluting Buffer and concentration : 5% NFDM /TBST

All lanes:

Western blot - Anti-PKR (phospho T451) antibody [EPR2152Y] (ab81303) at 0.048 µg/mL

Lane 1:

HeLa (human cervix adenocarcinoma epithelial cell) whole cell lysate at 20 µg

Lane 2:

HeLa treated with 1000U/ml IFN α1 for 18 hours and then treated with 100nM Calyculin A for 15 minutes whole cell lysate at 20 µg

Lane 3:

HeLa treated with 1000U/ml IFN α1 for 18 hours and then treated with 100nM Calyculin A for 15 minutes whole cell lysate. Then the membrane was incubated with alkaline phosphatase. at 20 µg

Secondary

All lanes:

Western blot - Goat Anti-Rabbit IgG H&L (HRP) (<a href='/en-us/products/secondary-antibodies/goat-rabbit-igg-h-l-hrp-ab97051'>ab97051</a>) at 0.01 µg/mL

Predicted band size: 62 kDa

false

Western blot - Anti-PKR (phospho T451) antibody [EPR2152Y] (AB81303)
  • WB

Unknown

Western blot - Anti-PKR (phospho T451) antibody [EPR2152Y] (AB81303)

All lanes:

Western blot - Anti-PKR (phospho T451) antibody [EPR2152Y] (ab81303) at 1/2000 dilution

Lane 1:

HeLa cell lysate un-treated at 10 µg

Lane 2:

HeLa cell lysate treated with IFN-alpha at 10 µg

Secondary

All lanes:

HRP labelled goat anti-rabbit at 1/2000 dilution

Predicted band size: 62 kDa

Observed band size: 68 kDa

false

Dot Blot - Anti-PKR (phospho T451) antibody [EPR2152Y] (AB81303)
  • Dot

Unknown

Dot Blot - Anti-PKR (phospho T451) antibody [EPR2152Y] (AB81303)

Dot blot analysis of PKR (pT451) phospho peptide (Lane 1), PKR non-phospho peptide (Lane 2), labeling PKR (phospho T451) with ab81303 at a dilution of 1/1000. ab97051 (Peroxidase conjugated goat anti-rabbit IgG (H+L)) was used as the secondary antibody at a dilution of 1/100000.

Blocking and dilution buffer : 5% NFDM/TBST.

Exposure time : 3 minutes

  • Carrier free

    Anti-PKR (phospho T451) antibody [EPR2152Y] - BSA and Azide free

Key facts

Host species

Rabbit

Clonality

Monoclonal

Clone number

EPR2152Y

Isotype

IgG

Carrier free

No

Reacts with

Human, Pig

Applications

Dot, WB

applications

Immunogen

The exact immunogen used to generate this antibody is proprietary information.

Reactivity data

{ "title": "Reactivity Data", "filters": { "stats": ["", "Species", "Dilution Info", "Notes"], "tabs": { "all-applications": {"fullname" : "All Applications", "shortname": "All Applications"}, "Dot" : {"fullname" : "Dot Blot", "shortname":"Dot"}, "WB" : {"fullname" : "Western blot", "shortname":"WB"}, "IHCP" : {"fullname" : "Immunohistochemistry (Formalin/PFA-fixed paraffin-embedded sections)", "shortname":"IHC-P"} }, "product-promise": { "all": "all", "testedAndGuaranteed": "tested", "guaranteed": "expected", "predicted": "predicted", "notRecommended": "not-recommended" } }, "values": { "Human": { "Dot-species-checked": "guaranteed", "Dot-species-dilution-info": "", "Dot-species-notes": "", "WB-species-checked": "testedAndGuaranteed", "WB-species-dilution-info": "", "WB-species-notes": "<p></p>", "IHCP-species-checked": "notRecommended", "IHCP-species-dilution-info": "", "IHCP-species-notes": "<p></p>" }, "Pig": { "Dot-species-checked": "testedAndGuaranteed", "Dot-species-dilution-info": "1/1000", "Dot-species-notes": "<p></p>", "WB-species-checked": "guaranteed", "WB-species-dilution-info": "", "WB-species-notes": "", "IHCP-species-checked": "notRecommended", "IHCP-species-dilution-info": "", "IHCP-species-notes": "<p></p>" } } }

Product details

Species reactivity
Mouse, Rat: We have preliminary internal testing data to indicate this antibody may not react with these species.
Please contact us for more information.

Patented technology
Our RabMAb® technology is a patented hybridoma-based technology for making rabbit monoclonal antibodies. For details on our patents, please refer to RabMAb® patents.

What are the advantages of a recombinant monoclonal antibody?
This product is a recombinant monoclonal antibody, which offers several advantages including:

  • - High batch-to-batch consistency and reproducibility
  • - Improved sensitivity and specificity
  • - Long-term security of supply
  • - Animal-free batch production

For more information, read more on recombinant antibodies.

Properties and storage information

Form
Liquid
Purification technique
Affinity purification Protein A
Storage buffer
pH: 7.2 - 7.4 Preservative: 0.01% Sodium azide Constituents: PBS, 40% Glycerol (glycerin, glycerine), 0.05% BSA
Shipped at conditions
Blue Ice
Appropriate short-term storage duration
1-2 weeks
Appropriate short-term storage conditions
+4°C
Appropriate long-term storage conditions
-20°C
Aliquoting information
Upon delivery aliquot
Storage information
Avoid freeze / thaw cycle

Product protocols

For this product, it's our understanding that no specific protocols are required. You can visit:

Target data

IFN-induced dsRNA-dependent serine/threonine-protein kinase that phosphorylates the alpha subunit of eukaryotic translation initiation factor 2 (EIF2S1/eIF-2-alpha) and plays a key role in the innate immune response to viral infection (PubMed : 18835251, PubMed : 19189853, PubMed : 19507191, PubMed : 21072047, PubMed : 21123651, PubMed : 22381929, PubMed : 22948139, PubMed : 23229543). Inhibits viral replication via the integrated stress response (ISR) : EIF2S1/eIF-2-alpha phosphorylation in response to viral infection converts EIF2S1/eIF-2-alpha in a global protein synthesis inhibitor, resulting to a shutdown of cellular and viral protein synthesis, while concomitantly initiating the preferential translation of ISR-specific mRNAs, such as the transcriptional activator ATF4 (PubMed : 19189853, PubMed : 21123651, PubMed : 22948139, PubMed : 23229543). Exerts its antiviral activity on a wide range of DNA and RNA viruses including hepatitis C virus (HCV), hepatitis B virus (HBV), measles virus (MV) and herpes simplex virus 1 (HHV-1) (PubMed : 11836380, PubMed : 19189853, PubMed : 19840259, PubMed : 20171114, PubMed : 21710204, PubMed : 23115276, PubMed : 23399035). Also involved in the regulation of signal transduction, apoptosis, cell proliferation and differentiation : phosphorylates other substrates including p53/TP53, PPP2R5A, DHX9, ILF3, IRS1 and the HHV-1 viral protein US11 (PubMed : 11836380, PubMed : 19229320, PubMed : 22214662). In addition to serine/threonine-protein kinase activity, also has tyrosine-protein kinase activity and phosphorylates CDK1 at 'Tyr-4' upon DNA damage, facilitating its ubiquitination and proteasomal degradation (PubMed : 20395957). Either as an adapter protein and/or via its kinase activity, can regulate various signaling pathways (p38 MAP kinase, NF-kappa-B and insulin signaling pathways) and transcription factors (JUN, STAT1, STAT3, IRF1, ATF3) involved in the expression of genes encoding pro-inflammatory cytokines and IFNs (PubMed : 22948139, PubMed : 23084476, PubMed : 23372823). Activates the NF-kappa-B pathway via interaction with IKBKB and TRAF family of proteins and activates the p38 MAP kinase pathway via interaction with MAP2K6 (PubMed : 10848580, PubMed : 15121867, PubMed : 15229216). Can act as both a positive and negative regulator of the insulin signaling pathway (ISP) (PubMed : 20685959). Negatively regulates ISP by inducing the inhibitory phosphorylation of insulin receptor substrate 1 (IRS1) at 'Ser-312' and positively regulates ISP via phosphorylation of PPP2R5A which activates FOXO1, which in turn up-regulates the expression of insulin receptor substrate 2 (IRS2) (PubMed : 20685959). Can regulate NLRP3 inflammasome assembly and the activation of NLRP3, NLRP1, AIM2 and NLRC4 inflammasomes (PubMed : 22801494). Plays a role in the regulation of the cytoskeleton by binding to gelsolin (GSN), sequestering the protein in an inactive conformation away from actin (By similarity).
See full target information EIF2AK2 phospho T451

Publications (33)

Recent publications for all applications. Explore the full list and refine your search

JCI insight 10: PubMed40626357

2025

ADAR1 expression is associated with cervical cancer progression and negatively regulates NK cell activity.

Applications

Unspecified application

Species

Unspecified reactive species

Valentina Tassinari,Marta Kaciulis,Stefano Petrai,Helena Stabile,Angelina Pernazza,Martina Leopizzi,Valeria Di Maio,Francesca Belleudi,Danilo Ranieri,Vanessa Mancini,Innocenza Palaia,Federica Tanzi,Ludovica Lospinoso Severini,Silvia Ruggeri,Maria Emanuela Greco,Giovanni Bernardini,Alessandra Zingoni,Marco Cippitelli,Cristina Cerboni,Alessandra Soriani

Communications biology 8:589 PubMed40205031

2025

Characterization of exoribonuclease XRN1 as a cancer target and identification of adenosine-3',5'-bisphosphate as a potent enzyme inhibitor.

Applications

Unspecified application

Species

Unspecified reactive species

Gordon J Lockbaum,Maureen M Lynes,Sophie A Shen,Julie Liu,Nicholas Holt,Sunaina P Nayak,Kevin E Knockenhauer,Shihua Yao,E Allen Sickmier,Anugraha Raman,Jie Wu,April Case,Livia Shehaj,Shane M Buker,Simina Grigoriu,Scott Ribich,Stephen J Blakemore,Brian A Sparling,Kenneth W Duncan,Robert A Copeland,Serena J Silver,P Ann Boriack-Sjodin

Molecular cell 84:2935-2948.e7 PubMed39019044

2024

RNA 5-methylcytosine marks mitochondrial double-stranded RNAs for degradation and cytosolic release.

Applications

Unspecified application

Species

Unspecified reactive species

Sujin Kim,Stephanie Tan,Jayoung Ku,Tria Asri Widowati,Doyeong Ku,Keonyong Lee,Kwontae You,Yoosik Kim

PLoS pathogens 20:e1012355 PubMed38935808

2024

The NS2B-PP1α-eIF2α axis: Inhibiting stress granule formation and Boosting Zika virus replication.

Applications

Unspecified application

Species

Unspecified reactive species

Xiaoyan Wu,Linliang Zhang,Cong Liu,Qi Cheng,Wen Zhao,Pu Chen,Yali Qin,Mingzhou Chen

Journal for immunotherapy of cancer 11: PubMed37935565

2023

Loss of ADAR1 in macrophages in combination with interferon gamma suppresses tumor growth by remodeling the tumor microenvironment.

Applications

Unspecified application

Species

Unspecified reactive species

Weiwei Lin,Yikai Luo,Jie Wu,Haowan Zhang,Ge Jin,Chahua Guo,Hang Zhou,Han Liang,Xiaoyan Xu

PLoS pathogens 19:e1011443 PubMed37327222

2023

Regulation of PKR-dependent RNA translation inhibition by TRIM21 upon virus infection or other stress.

Applications

Unspecified application

Species

Unspecified reactive species

Huiyi Li,Shun Liu,Qing Feng,Rilin Deng,Jingjing Wang,Xintao Wang,Renyun Tian,Yan Xu,Shengwen Chen,Qian Liu,Luoling Wang,Xinran Li,Mengyu Wan,Yousong Peng,Songqing Tang,Binbin Xue,Haizhen Zhu

International journal of molecular sciences 23: PubMed36555509

2022

PKR-Mediated Phosphorylation of eIF2a and CHK1 Is Associated with Doxorubicin-Mediated Apoptosis in HCC1143 Triple-Negative Breast Cancer Cells.

Applications

Unspecified application

Species

Unspecified reactive species

Sol Lee,Ha-Yeon Jee,Yoon-Gyeong Lee,Jong-Il Shin,Yong-Joon Jeon,Ji-Beom Kim,Hye-Eun Seo,Ji-Yeon Lee,Kyungho Lee

Communications biology 5:822 PubMed35970927

2022

Long non-coding RNA DARS-AS1 promotes tumor progression by directly suppressing PACT-mediated cellular stress.

Applications

Unspecified application

Species

Unspecified reactive species

Liuqing Yang,Kequan Lin,Lin Zhu,Huili Wang,Shuaishuai Teng,Lijun Huang,Shiyi Zhou,Guanbin Zhang,Zhi John Lu,Dong Wang

Veterinary research 52:148 PubMed34930429

2021

GADD34-mediated dephosphorylation of eIF2α facilitates pseudorabies virus replication by maintaining de novo protein synthesis.

Applications

Unspecified application

Species

Unspecified reactive species

Ting Zhu,Xueli Jiang,Hangkuo Xin,Xiaohui Zheng,Xiaonuan Xue,Ji-Long Chen,Baomin Qi

Nucleic acids research 50:1201-1220 PubMed34671803

2021

Adenovirus prevents dsRNA formation by promoting efficient splicing of viral RNA.

Applications

Unspecified application

Species

Unspecified reactive species

Alexander M Price,Robert T Steinbock,Chao Di,Katharina E Hayer,Yize Li,Christin Herrmann,Nicholas A Parenti,Jillian N Whelan,Susan R Weiss,Matthew D Weitzman
View all publications

Product promise

We are committed to supporting your work with high-quality reagents, and we're here for you every step of the way. In the unlikely event that one of our products does not perform as expected, you're protected by our Product Promise.
For full details, please see our Terms & Conditions

Please note: All products are 'FOR RESEARCH USE ONLY. NOT FOR USE IN DIAGNOSTIC OR THERAPEUTIC PROCEDURES'.

For licensing inquiries, please contact partnerships@abcam.com