JavaScript is disabled in your browser. Please enable JavaScript to view this website.
AB233145

Anti-PLA1A/NMD antibody

Be the first to review this product! Submit a review

|

(1 Publication)

Rabbit Polyclonal PLA1A/NMD antibody. Suitable for WB, IHC-P and reacts with Pig, Recombinant fragment - Human, Human samples. Cited in 1 publication. Immunogen corresponding to Recombinant Fragment Protein within Human PLA1A aa 300 to C-terminus.

View Alternative Names

NMD, PSPLA1, PLA1A, Phospholipase A1 member A, Phosphatidylserine-specific phospholipase A1, PS-PLA1

4 Images
Immunohistochemistry (Formalin/PFA-fixed paraffin-embedded sections) - Anti-PLA1A/NMD antibody (AB233145)
  • IHC-P

Supplier Data

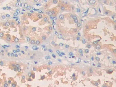
Immunohistochemistry (Formalin/PFA-fixed paraffin-embedded sections) - Anti-PLA1A/NMD antibody (AB233145)

Paraffin-embedded human kidney tissue stained for PLA1A/NMD using ab233145 at 20 μg/ml in immunohistochemical analysis. DAB staining.

Immunohistochemistry (Formalin/PFA-fixed paraffin-embedded sections) - Anti-PLA1A/NMD antibody (AB233145)
  • IHC-P

Supplier Data

Immunohistochemistry (Formalin/PFA-fixed paraffin-embedded sections) - Anti-PLA1A/NMD antibody (AB233145)

Formalin-fixed, paraffin-embedded human lung tissue stained for PLA1A/NMD using ab233145 at 20 μg/ml in immunohistochemical analysis. DAB staining.

Western blot - Anti-PLA1A/NMD antibody (AB233145)
  • WB

Supplier Data

Western blot - Anti-PLA1A/NMD antibody (AB233145)

All lanes:

Western blot - Anti-PLA1A/NMD antibody (ab233145) at 1.5 µg/mL

Lane 1:

HEK-293T (human epithelial cell line from embryonic kidney transformed with large T antigen) cell lysate

Lane 2:

Pig liver lysate

Secondary

All lanes:

HRP-Linked Guinea pig anti-rabbit at 1/1000 dilution

Predicted band size: 50 kDa

false

Western blot - Anti-PLA1A/NMD antibody (AB233145)
  • WB

Supplier Data

Western blot - Anti-PLA1A/NMD antibody (AB233145)

All lanes:

Western blot - Anti-PLA1A/NMD antibody (ab233145) at 2 µg/mL

All lanes:

Recombinant human PLA1A/NMD protein

Predicted band size: 50 kDa

false

Key facts

Host species

Rabbit

Clonality

Polyclonal

Isotype

IgG

Carrier free

No

Reacts with

Human, Pig

Applications

WB, IHC-P

applications

Immunogen

Recombinant Fragment Protein within Human PLA1A aa 300 to C-terminus. The exact immunogen used to generate this antibody is proprietary information.

Q53H76

Reactivity data

{ "title": "Reactivity Data", "filters": { "stats": ["", "Species", "Dilution Info", "Notes"], "tabs": { "all-applications": {"fullname" : "All Applications", "shortname": "All Applications"}, "WB" : {"fullname" : "Western blot", "shortname":"WB"}, "IHCP" : {"fullname" : "Immunohistochemistry (Formalin/PFA-fixed paraffin-embedded sections)", "shortname":"IHC-P"} }, "product-promise": { "all": "all", "testedAndGuaranteed": "tested", "guaranteed": "expected", "predicted": "predicted", "notRecommended": "not-recommended" } }, "values": { "Human": { "WB-species-checked": "testedAndGuaranteed", "WB-species-dilution-info": "0.2-2 µg/mL", "WB-species-notes": "<p></p>", "IHCP-species-checked": "testedAndGuaranteed", "IHCP-species-dilution-info": "5-20 µg/mL", "IHCP-species-notes": "<p></p>" }, "Orangutan": { "WB-species-checked": "predicted", "WB-species-dilution-info": "", "WB-species-notes": "", "IHCP-species-checked": "predicted", "IHCP-species-dilution-info": "", "IHCP-species-notes": "" }, "Pig": { "WB-species-checked": "testedAndGuaranteed", "WB-species-dilution-info": "0.2-2 µg/mL", "WB-species-notes": "<p></p>", "IHCP-species-checked": "guaranteed", "IHCP-species-dilution-info": "", "IHCP-species-notes": "" }, "Recombinant fragment - Human": { "WB-species-checked": "testedAndGuaranteed", "WB-species-dilution-info": "0.2-2 µg/mL", "WB-species-notes": "<p></p>", "IHCP-species-checked": "notRecommended", "IHCP-species-dilution-info": "", "IHCP-species-notes": "" } } }

Properties and storage information

Form
Liquid
Purification technique
Affinity purification Immunogen
Purification notes
ab233145 was purified by antigen-specific affinity chromatography followed by Protein A affinity chromatography.
Storage buffer
pH: 7.4 Preservative: 0.02% Sodium azide Constituents: PBS, 55.77% Glycerol (glycerin, glycerine)
Shipped at conditions
Blue Ice
Appropriate short-term storage duration
1-2 weeks
Appropriate short-term storage conditions
+4°C
Appropriate long-term storage conditions
-20°C
Aliquoting information
Upon delivery aliquot
Storage information
Avoid freeze / thaw cycle

Product protocols

For this product, it's our understanding that no specific protocols are required. You can visit:

Target data

Hydrolyzes the ester bond of the acyl group attached at the sn-1 position of phosphatidylserines (phospholipase A1 activity) and 1-acyl-2-lysophosphatidylserines (lysophospholipase activity) in the pathway of phosphatidylserines acyl chain remodeling (PubMed : 10196188). Cleaves phosphatidylserines exposed on the outer leaflet of the plasma membrane of apoptotic cells producing 2-acyl-1-lysophosphatidylserines, which in turn enhance mast cell activation and histamine production (By similarity). Has no activity toward other glycerophospholipids including phosphatidylcholines, phosphatidylethanolamines, phosphatidic acids or phosphatidylinositols, or glycerolipids such as triolein (By similarity).. Isoform 2. Hydrolyzes lyso-PS but not PS.
See full target information PLA1A

Publications (1)

Recent publications for all applications. Explore the full list and refine your search

Journal of hepatocellular carcinoma 10:2337-2353 PubMed38163053

2024

Hepatitis B Virus-Encoded MicroRNA (HBV-miR-3) Inhibits FIH-1 Expression to Promote Tumor Angiogenesis in HBV-Related Hepatocellular Carcinoma.

Applications

Unspecified application

Species

Unspecified reactive species

Han Chen,Dan Cao,Ning Han,Mingming Zhang,Wei Jiang,Xin Wang,Qinmin Zeng,Hong Tang
View all publications

Product promise

We are committed to supporting your work with high-quality reagents, and we're here for you every step of the way. In the unlikely event that one of our products does not perform as expected, you're protected by our Product Promise.
For full details, please see our Terms & Conditions

Please note: All products are 'FOR RESEARCH USE ONLY. NOT FOR USE IN DIAGNOSTIC OR THERAPEUTIC PROCEDURES'.

For licensing inquiries, please contact partnerships@abcam.com