JavaScript is disabled in your browser. Please enable JavaScript to view this website.
AB211490

Anti-PLA2R antibody [12-6-5]

Be the first to review this product! Submit a review

|

(7 Publications)

Anti-PLA2R antibody [12-6-5] (ab211490) is a mouse monoclonal antibody detecting PLA2R in Western Blot, Flow Cytometry, IHC-P, ICC/IF. Suitable for Human.

View Alternative Names

CLEC13C, PLA2R1, Secretory phospholipase A2 receptor, PLA2-R, PLA2R, 180 kDa secretory phospholipase A2 receptor, C-type lectin domain family 13 member C, M-type receptor

6 Images
Western blot - Anti-PLA2R antibody [12-6-5] (AB211490)
  • WB

Supplier Data

Western blot - Anti-PLA2R antibody [12-6-5] (AB211490)

All lanes:

Western blot - Anti-PLA2R antibody [12-6-5] (ab211490) at 1/10000 dilution

Lane 1:

Recombinant extracellular domain of human PLA2R (NC8) at 10 µg

Lane 2:

Recombinant N-terminus fragment of human PLA2R (NC3) at 10 µg

Predicted band size: 169 kDa

false

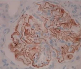
Immunohistochemistry (Formalin/PFA-fixed paraffin-embedded sections) - Anti-PLA2R antibody [12-6-5] (AB211490)
  • IHC-P

Supplier Data

Immunohistochemistry (Formalin/PFA-fixed paraffin-embedded sections) - Anti-PLA2R antibody [12-6-5] (AB211490)

Immunohistochemical analysis of membranous nephropathy kidney tissue labeling PLA2R at 1/5000 dilution followed by DAB detection.

Immunohistochemistry (Formalin/PFA-fixed paraffin-embedded sections) - Anti-PLA2R antibody [12-6-5] (AB211490)
  • IHC-P

Supplier Data

Immunohistochemistry (Formalin/PFA-fixed paraffin-embedded sections) - Anti-PLA2R antibody [12-6-5] (AB211490)

Immunohistochemical analysis of normal human kidney tissue labeling PLA2R at 1/5000 dilution followed by DAB detection.

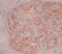
Immunohistochemistry (Formalin/PFA-fixed paraffin-embedded sections) - Anti-PLA2R antibody [12-6-5] (AB211490)
  • IHC-P

Supplier Data

Immunohistochemistry (Formalin/PFA-fixed paraffin-embedded sections) - Anti-PLA2R antibody [12-6-5] (AB211490)

Immunohistochemical analysis of normal human kidney tissue labeling PLA2R at 1/5000 dilution followed by DAB detection.

Immunocytochemistry/ Immunofluorescence - Anti-PLA2R antibody [12-6-5] (AB211490)
  • ICC/IF

Supplier Data

Immunocytochemistry/ Immunofluorescence - Anti-PLA2R antibody [12-6-5] (AB211490)

Immunofluorescent analysis of PLA2R over-expressing podocytes labeling PLA2R at 1/400 dilution (green).

Flow Cytometry - Anti-PLA2R antibody [12-6-5] (AB211490)
  • Flow Cyt

Supplier Data

Flow Cytometry - Anti-PLA2R antibody [12-6-5] (AB211490)

Flow cytometry analysis of wild type (dark blue line) and over-expressing PLA2R podocytes (low expressor, green line; high expressor, red line) labeling PLA2R using ab211490 at 1/200 dilution. Negative controls were unlabelled cells (turquoise line) and mouse IgG (grey line).

Key facts

Host species

Mouse

Clonality

Monoclonal

Clone number

12-6-5

Isotype

IgG2b

Carrier free

No

Reacts with

Human

Applications

Flow Cyt, WB, IHC-P, ICC/IF

applications

Immunogen

Recombinant Fragment Protein within Human PLA2R1 aa 1-700. The exact immunogen used to generate this antibody is proprietary information.

Q13018

Reactivity data

{ "title": "Reactivity Data", "filters": { "stats": ["", "Species", "Dilution Info", "Notes"], "tabs": { "all-applications": {"fullname" : "All Applications", "shortname": "All Applications"}, "FlowCyt" : {"fullname" : "Flow Cytometry", "shortname":"Flow Cyt"}, "WB" : {"fullname" : "Western blot", "shortname":"WB"}, "IHCP" : {"fullname" : "Immunohistochemistry (Formalin/PFA-fixed paraffin-embedded sections)", "shortname":"IHC-P"}, "ICCIF" : {"fullname" : "Immunocytochemistry/ Immunofluorescence", "shortname":"ICC/IF"} }, "product-promise": { "all": "all", "testedAndGuaranteed": "tested", "guaranteed": "expected", "predicted": "predicted", "notRecommended": "not-recommended" } }, "values": { "Human": { "FlowCyt-species-checked": "testedAndGuaranteed", "FlowCyt-species-dilution-info": "1/200", "FlowCyt-species-notes": "<p></p>", "WB-species-checked": "testedAndGuaranteed", "WB-species-dilution-info": "1/5000 - 1/10000", "WB-species-notes": "<p></p>", "IHCP-species-checked": "testedAndGuaranteed", "IHCP-species-dilution-info": "1/5000 - 1/20000", "IHCP-species-notes": "<p>Perform heat mediated antigen retrieval at pH 8 before commencing with IHC staining protocol. See attached document for protocol details.</p>", "ICCIF-species-checked": "testedAndGuaranteed", "ICCIF-species-dilution-info": "1/400", "ICCIF-species-notes": "<p></p>" } } }

Product details

What is this antibody validated in?
Anti-PLA2R antibody [12-6-5] (ab211490) is a mouse monoclonal antibody and is validated for use in Western Blot (WB), Flow Cytometry (Flow Cyt), Immunohistochemistry (IHC-P), Immunocytochemistry/immunofluorescence (ICC/IF) in Human samples.

What is the molecular weight of PLA2R?
Anti-PLA2R [12-6-5] (ab211490) specifically detects a band for PLA2R (UniProt: Q13018) at a molecular weight of 169kDa.

Properties and storage information

Form
Liquid
Purification technique
Affinity purification Protein G
Storage buffer
Preservative: 0.02% Sodium azide Constituents: PBS
Shipped at conditions
Blue Ice
Appropriate short-term storage duration
1-2 weeks
Appropriate short-term storage conditions
+4°C
Appropriate long-term storage conditions
-20°C
Aliquoting information
Upon delivery aliquot
Storage information
Avoid freeze / thaw cycle

Product protocols

For this product, it's our understanding that no specific protocols are required. You can visit:

Target data

Receptor for secretory phospholipase A2 (sPLA2). Acts as a receptor for phospholipase sPLA2-IB/PLA2G1B but not sPLA2-IIA/PLA2G2A. Also able to bind to snake PA2-like toxins. Although its precise function remains unclear, binding of sPLA2 to its receptor participates in both positive and negative regulation of sPLA2 functions as well as clearance of sPLA2. Binding of sPLA2-IB/PLA2G1B induces various effects depending on the cell type, such as activation of the mitogen-activated protein kinase (MAPK) cascade to induce cell proliferation, the production of lipid mediators, selective release of arachidonic acid in bone marrow-derived mast cells. In neutrophils, binding of sPLA2-IB/PLA2G1B can activate p38 MAPK to stimulate elastase release and cell adhesion. May be involved in responses in pro-inflammatory cytokine productions during endotoxic shock. Also has endocytic properties and rapidly internalizes sPLA2 ligands, which is particularly important for the clearance of extracellular sPLA2s to protect their potent enzymatic activities. The soluble secretory phospholipase A2 receptor form is circulating and acts as a negative regulator of sPLA2 functions by blocking the biological functions of sPLA2-IB/PLA2G1B (PubMed : 15611272, PubMed : 7721806). In podocytes, binding of sPLA2-IB/PLA2G1B can regulate podocyte survival and glomerular homeostasis (PubMed : 25335547).
See full target information PLA2R1

Publications (7)

Recent publications for all applications. Explore the full list and refine your search

Frontiers in pharmacology 15:1516111 PubMed39744137

2025

PM2.5-induced oxidative stress upregulates PLA2R expression in the lung and is involved in the pathogenesis of membranous nephropathy through extracellular vesicles.

Applications

Unspecified application

Species

Unspecified reactive species

Wang Zhang,Jiating Chen,Ye Yuan,Jiao Luo,Zhanmei Zhou,Guobao Wang

Journal of extracellular vesicles 13:e12460 PubMed38853287

2024

Quantification of urinary podocyte-derived migrasomes for the diagnosis of kidney disease.

Applications

Unspecified application

Species

Unspecified reactive species

Rong Yang,Heng Zhang,Si Chen,Kaibin Lou,Meng Zhou,Mingchao Zhang,Rui Lu,Chunxia Zheng,Limin Li,Qihan Chen,Zhihong Liu,Ke Zen,Yanggang Yuan,Hongwei Liang

Frontiers in immunology 15:1335998 PubMed38469301

2024

Bi-specific autoantigen-T cell engagers as targeted immunotherapy for autoreactive B cell depletion in autoimmune diseases.

Applications

Unspecified application

Species

Unspecified reactive species

Luca Perico,Federica Casiraghi,Fabiane Sônego,Marta Todeschini,Daniela Corna,Domenico Cerullo,Anna Pezzotta,Patricia Isnard-Petit,Silvia Faravelli,Federico Forneris,Kader Thiam,Ariela Benigni,Giuseppe Remuzzi

Renal failure 45:2264939 PubMed37814415

2023

The application of podocyte antigen PLA2R and anti-PLA2R antibody in the diagnosis and treatment of membranous nephropathy.

Applications

Unspecified application

Species

Unspecified reactive species

Yang Chen,Ying Xu,Siyu Chen,Yedong Yu,Xueling Zhu,Jianghua Chen

Nephrology, dialysis, transplantation : official p : PubMed33236093

2020

Seropositive PLA2R-associated membranous nephropathy but biopsy-negative PLA2R staining.

Applications

Unspecified application

Species

Unspecified reactive species

Jiao Luo,Wang Zhang,Cailing Su,Zhanmei Zhou,Guobao Wang

American journal of physiology. Cell physiology 315:C398-C408 PubMed29791208

2018

Human soluble phospholipase A receptor is an inhibitor of the integrin-mediated cell migratory response to collagen-I.

Applications

Unspecified application

Species

Unspecified reactive species

Kazunori Watanabe,Kazuhiro Watanabe,Yosuke Watanabe,Daisuke Fujioka,Takamitsu Nakamura,Kazuto Nakamura,Jun-Ei Obata,Kiyotaka Kugiyama

Scientific reports 7:6876 PubMed28761153

2017

PLAR binds to the annexin A2-S100A10 complex in human podocytes.

Applications

WB, ICC/IF

Species

Human, Human

Maryline Fresquet,Thomas A Jowitt,Edward A McKenzie,Matthew D Ball,Michael J Randles,Rachel Lennon,Paul E Brenchley
View all publications

Product promise

We are committed to supporting your work with high-quality reagents, and we're here for you every step of the way. In the unlikely event that one of our products does not perform as expected, you're protected by our Product Promise.
For full details, please see our Terms & Conditions

Please note: All products are 'FOR RESEARCH USE ONLY. NOT FOR USE IN DIAGNOSTIC OR THERAPEUTIC PROCEDURES'.

For licensing inquiries, please contact partnerships@abcam.com