JavaScript is disabled in your browser. Please enable JavaScript to view this website.
AB234788

Anti-PLAC8 antibody

Be the first to review this product! Submit a review

|

(1 Publication)

Rabbit Polyclonal PLAC8 antibody. Suitable for IHC-P, ICC/IF and reacts with Human samples. Cited in 1 publication. Immunogen corresponding to Recombinant Fragment Protein within Human PLAC8 aa 1 to C-terminus.

View Alternative Names

BM-004, PLAC8, Placenta-specific gene 8 protein, Protein C15

3 Images
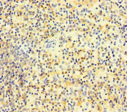
Immunohistochemistry (Formalin/PFA-fixed paraffin-embedded sections) - Anti-PLAC8 antibody (AB234788)
  • IHC-P

Supplier Data

Immunohistochemistry (Formalin/PFA-fixed paraffin-embedded sections) - Anti-PLAC8 antibody (AB234788)

Paraffin-embedded human tonsil tissue stained for PLAC8 using ab234788 at 1/100 dilution in immunohistochemical analysis.

Immunocytochemistry/ Immunofluorescence - Anti-PLAC8 antibody (AB234788)
  • ICC/IF

Supplier Data

Immunocytochemistry/ Immunofluorescence - Anti-PLAC8 antibody (AB234788)

HepG2 (human liver hepatocellular carcinoma cell line) cells stained for PLAC8 using ab234788 at 1/100 dilution in immunofluorescent analysis. Secondary antibody was Alexa Fluor 488-conjugated goat anti-rabbit IgG (H+L).

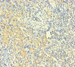
Immunohistochemistry (Formalin/PFA-fixed paraffin-embedded sections) - Anti-PLAC8 antibody (AB234788)
  • IHC-P

Supplier Data

Immunohistochemistry (Formalin/PFA-fixed paraffin-embedded sections) - Anti-PLAC8 antibody (AB234788)

Paraffin-embedded human spleen tissue stained for PLAC8 using ab234788 at 1/100 dilution in immunohistochemical analysis.

Key facts

Host species

Rabbit

Clonality

Polyclonal

Isotype

IgG

Carrier free

No

Reacts with

Human

Applications

IHC-P, ICC/IF

applications

Immunogen

Recombinant Fragment Protein within Human PLAC8 aa 1 to C-terminus. The exact immunogen used to generate this antibody is proprietary information.

Q9NZF1

Reactivity data

{ "title": "Reactivity Data", "filters": { "stats": ["", "Species", "Dilution Info", "Notes"], "tabs": { "all-applications": {"fullname" : "All Applications", "shortname": "All Applications"}, "IHCP" : {"fullname" : "Immunohistochemistry (Formalin/PFA-fixed paraffin-embedded sections)", "shortname":"IHC-P"}, "ICCIF" : {"fullname" : "Immunocytochemistry/ Immunofluorescence", "shortname":"ICC/IF"} }, "product-promise": { "all": "all", "testedAndGuaranteed": "tested", "guaranteed": "expected", "predicted": "predicted", "notRecommended": "not-recommended" } }, "values": { "Human": { "IHCP-species-checked": "testedAndGuaranteed", "IHCP-species-dilution-info": "1/20 - 1/200", "IHCP-species-notes": "<p></p>", "ICCIF-species-checked": "testedAndGuaranteed", "ICCIF-species-dilution-info": "1/50 - 1/200", "ICCIF-species-notes": "<p></p>" }, "Orangutan": { "IHCP-species-checked": "predicted", "IHCP-species-dilution-info": "", "IHCP-species-notes": "", "ICCIF-species-checked": "predicted", "ICCIF-species-dilution-info": "", "ICCIF-species-notes": "" } } }

Properties and storage information

Form
Liquid
Purification technique
Affinity purification Protein G
Storage buffer
pH: 7.4 Preservative: 0.03% Proclin 300 Constituents: PBS, 50% Glycerol (glycerin, glycerine)
Shipped at conditions
Blue Ice
Appropriate short-term storage duration
1-2 weeks
Appropriate short-term storage conditions
+4°C
Appropriate long-term storage conditions
-20°C
Aliquoting information
Upon delivery aliquot
Storage information
Avoid freeze / thaw cycle

Product protocols

For this product, it's our understanding that no specific protocols are required. You can visit:

Publications (1)

Recent publications for all applications. Explore the full list and refine your search

Nature structural & molecular biology 32:2076-2087 PubMed40646309

2025

A heterotrimeric protein complex assembles the metazoan V-ATPase upon dissipation of proton gradients.

Applications

Unspecified application

Species

Unspecified reactive species

Christopher Nardone,Julian Mintseris,Dingwei He,Justine C Rutter,Benjamin L Ebert,Steven P Gygi,Tom Rapoport
View all publications

Product promise

We are committed to supporting your work with high-quality reagents, and we're here for you every step of the way. In the unlikely event that one of our products does not perform as expected, you're protected by our Product Promise.
For full details, please see our Terms & Conditions

Please note: All products are 'FOR RESEARCH USE ONLY. NOT FOR USE IN DIAGNOSTIC OR THERAPEUTIC PROCEDURES'.

For licensing inquiries, please contact partnerships@abcam.com