JavaScript is disabled in your browser. Please enable JavaScript to view this website.
AB243731

Anti-Placental alkaline phosphatase (PLAP) antibody

Be the first to review this product! Submit a review

|

(1 Publication)

Rabbit Polyclonal PPB1 antibody. Suitable for IHC-P, WB, ICC/IF and reacts with Human samples. Cited in 1 publication. Immunogen corresponding to Recombinant Fragment Protein within Human ALPP aa 150-250.

View Alternative Names

PLAP, ALPP, Alkaline phosphatase Regan isozyme, Placental alkaline phosphatase 1, PLAP-1

3 Images
Immunocytochemistry/ Immunofluorescence - Anti-Placental alkaline phosphatase (PLAP) antibody (AB243731)
  • ICC/IF

Supplier Data

Immunocytochemistry/ Immunofluorescence - Anti-Placental alkaline phosphatase (PLAP) antibody (AB243731)

PFA fixed, Triton X-100 permeabilized HeLa (human epithelial cell line from cervix adenocarcinoma) cells labeling Placental alkaline phosphatase (PLAP) using ab243731 at 4 μg/ml (green) in ICC/IF.

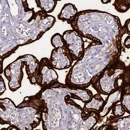
Immunohistochemistry (Formalin/PFA-fixed paraffin-embedded sections) - Anti-Placental alkaline phosphatase (PLAP) antibody (AB243731)
  • IHC-P

Supplier Data

Immunohistochemistry (Formalin/PFA-fixed paraffin-embedded sections) - Anti-Placental alkaline phosphatase (PLAP) antibody (AB243731)

Formalin-fixed, paraffin-embedded human placenta tissue stained for Placental alkaline phosphatase (PLAP) with ab243731 at a 1/50 dilution in immunohistochemical analysis.

Western blot - Anti-Placental alkaline phosphatase (PLAP) antibody (AB243731)
  • WB

Supplier Data

Western blot - Anti-Placental alkaline phosphatase (PLAP) antibody (AB243731)

All lanes:

Western blot - Anti-Placental alkaline phosphatase (PLAP) antibody (ab243731) at 0.4 µg/mL

All lanes:

Human placenta tissue lysate

Predicted band size: 58 kDa

false

Key facts

Host species

Rabbit

Clonality

Polyclonal

Isotype

IgG

Carrier free

No

Reacts with

Human

Applications

IHC-P, WB, ICC/IF

applications

Immunogen

Recombinant Fragment Protein within Human ALPP aa 150-250. The exact immunogen used to generate this antibody is proprietary information.

P05187

Reactivity data

{ "title": "Reactivity Data", "filters": { "stats": ["", "Species", "Dilution Info", "Notes"], "tabs": { "all-applications": {"fullname" : "All Applications", "shortname": "All Applications"}, "IHCP" : {"fullname" : "Immunohistochemistry (Formalin/PFA-fixed paraffin-embedded sections)", "shortname":"IHC-P"}, "WB" : {"fullname" : "Western blot", "shortname":"WB"}, "ICCIF" : {"fullname" : "Immunocytochemistry/ Immunofluorescence", "shortname":"ICC/IF"} }, "product-promise": { "all": "all", "testedAndGuaranteed": "tested", "guaranteed": "expected", "predicted": "predicted", "notRecommended": "not-recommended" } }, "values": { "Human": { "IHCP-species-checked": "testedAndGuaranteed", "IHCP-species-dilution-info": "1/50 - 1/200", "IHCP-species-notes": "<p></p> Perform heat-mediated antigen retrieval with citrate buffer pH 6 before commencing with IHC staining protocol.", "WB-species-checked": "testedAndGuaranteed", "WB-species-dilution-info": "0.04-0.4 µg/mL", "WB-species-notes": "<p></p>", "ICCIF-species-checked": "testedAndGuaranteed", "ICCIF-species-dilution-info": "0.25-2 µg/mL", "ICCIF-species-notes": "<p>Fixation/Permeabilization: PFA/Triton X-100</p>" } } }

Properties and storage information

Form
Liquid
Purification technique
Affinity purification Immunogen
Storage buffer
pH: 7.2 Preservative: 0.02% Sodium azide Constituents: PBS, 40% Glycerol (glycerin, glycerine)
Shipped at conditions
Blue Ice
Appropriate short-term storage duration
1-2 weeks
Appropriate short-term storage conditions
+4°C
Appropriate long-term storage conditions
-20°C
Aliquoting information
Upon delivery aliquot
Storage information
Avoid freeze / thaw cycle

Supplementary information

This supplementary information is collated from multiple sources and compiled automatically.

Placental alkaline phosphatase (PLAP) also known by names like alkaline phosphatase/PLAP protein or ALPP functions as an enzyme that removes phosphate groups from molecules. It typically appears in tissues such as the placenta and is known to be active during pregnancy. PLAP has a molecular mass of approximately 66 kDa. Normally found expressed in the placenta this enzyme shares similarities with other alkaline phosphatases but is distinct due to its specific expression and function during gestation.
Biological function summary

PLAP shows importance in bone mineralization and fetal development. It participates in the hydrolysis of phosphate esters influencing nutrient availability and metabolism. PLAP is not a part of major protein complexes; however its enzymatic activity directly affects local phosphate concentrations which are critical for processes like bone formation and tissue regeneration during pregnancy.

Pathways

PLAP expression and activity intersect significantly with phosphate metabolism and fetal development pathways. The alkaline phosphatase family plays central roles in these pathways and PLAP shares functions with other isoenzymes in the family such as the tissue nonspecific alkaline phosphatase. These enzymes regulate phosphate turnover and contribute to essential developmental processes.

PLAP connects primarily to certain types of cancers and gestational disorders. Elevated levels of PLAP link to testicular germ cell tumors and ovarian cancer where it serves as a biomarker. In gestational trophoblastic disease PLAP expression provides valuable diagnostic information. Interactions with proteins like hCG (human chorionic gonadotropin) also offer insights into potential disease mechanisms especially in reproductive health challenges.

Product protocols

For this product, it's our understanding that no specific protocols are required. You can visit:

Target data

Alkaline phosphatase that can hydrolyze various phosphate compounds.
See full target information ALPP

Publications (1)

Recent publications for all applications. Explore the full list and refine your search

Placenta 160:118-125 PubMed39793469

2025

Placental alkaline phosphatase (PLAP): Is it exclusively placental?

Applications

Unspecified application

Species

Unspecified reactive species

Awanit Kumar,Sourabh Sharma,Maged M Costantine,Kara Rood,Rheanna Urrabaz-Garza,Jeena Jacob,Lauren S Richardson,Ananth Kumar Kammala,Ramkumar Menon
View all publications

Product promise

We are committed to supporting your work with high-quality reagents, and we're here for you every step of the way. In the unlikely event that one of our products does not perform as expected, you're protected by our Product Promise.
For full details, please see our Terms & Conditions

Please note: All products are 'FOR RESEARCH USE ONLY. NOT FOR USE IN DIAGNOSTIC OR THERAPEUTIC PROCEDURES'.

For licensing inquiries, please contact partnerships@abcam.com