JavaScript is disabled in your browser. Please enable JavaScript to view this website.
AB220315

Anti-ALPP+ALPG+ALPI antibody [EPR6141] - BSA and Azide free

Be the first to review this product! Submit a review

|

(1 Publication)

Rabbit Recombinant Monoclonal PPB1 antibody. Carrier free. Suitable for IHC-P, WB and reacts with Human samples. Cited in 1 publication.

View Alternative Names

PLAP, ALPP, Alkaline phosphatase Regan isozyme, Placental alkaline phosphatase 1, PLAP-1

9 Images
Immunohistochemistry (Formalin/PFA-fixed paraffin-embedded sections) - Anti-ALPP+ALPG+ALPI antibody [EPR6141] - BSA and Azide free (AB220315)
  • IHC-P

Unknown

Immunohistochemistry (Formalin/PFA-fixed paraffin-embedded sections) - Anti-ALPP+ALPG+ALPI antibody [EPR6141] - BSA and Azide free (AB220315)

ab133602 showing positive staining in Seminoma tissue.

This data was developed using the same antibody clone in a different buffer formulation containing PBS, BSA, glycerol, and sodium azide (ab133602).

Perform heat mediated antigen retrieval before commencing with IHC staining protocol.

Immunohistochemistry (Formalin/PFA-fixed paraffin-embedded sections) - Anti-ALPP+ALPG+ALPI antibody [EPR6141] - BSA and Azide free (AB220315)
  • IHC-P

Unknown

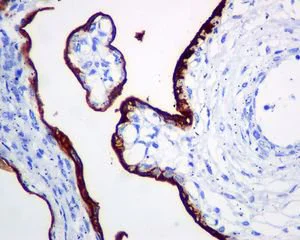
Immunohistochemistry (Formalin/PFA-fixed paraffin-embedded sections) - Anti-ALPP+ALPG+ALPI antibody [EPR6141] - BSA and Azide free (AB220315)

Immunohistochemical analysis of paraffin-embedded Human placenta tissue labelling Placental alkaline phosphatase (PLAP) with ab133602 at 1/250.

This data was developed using the same antibody clone in a different buffer formulation containing PBS, BSA, glycerol, and sodium azide (ab133602).

Perform heat mediated antigen retrieval before commencing with IHC staining protocol.

Immunohistochemistry (Formalin/PFA-fixed paraffin-embedded sections) - Anti-ALPP+ALPG+ALPI antibody [EPR6141] - BSA and Azide free (AB220315)
  • IHC-P

Unknown

Immunohistochemistry (Formalin/PFA-fixed paraffin-embedded sections) - Anti-ALPP+ALPG+ALPI antibody [EPR6141] - BSA and Azide free (AB220315)

ab133602 showing negative staining in Normal tonsil tissue.

This data was developed using the same antibody clone in a different buffer formulation containing PBS, BSA, glycerol, and sodium azide (ab133602).

Perform heat mediated antigen retrieval before commencing with IHC staining protocol.

Immunohistochemistry (Formalin/PFA-fixed paraffin-embedded sections) - Anti-ALPP+ALPG+ALPI antibody [EPR6141] - BSA and Azide free (AB220315)
  • IHC-P

Unknown

Immunohistochemistry (Formalin/PFA-fixed paraffin-embedded sections) - Anti-ALPP+ALPG+ALPI antibody [EPR6141] - BSA and Azide free (AB220315)

ab133602 showing positive staining in Normal placenta tissue.

This data was developed using the same antibody clone in a different buffer formulation containing PBS, BSA, glycerol, and sodium azide (ab133602).

Perform heat mediated antigen retrieval before commencing with IHC staining protocol.

Immunohistochemistry (Formalin/PFA-fixed paraffin-embedded sections) - Anti-ALPP+ALPG+ALPI antibody [EPR6141] - BSA and Azide free (AB220315)
  • IHC-P

Unknown

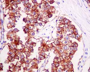
Immunohistochemistry (Formalin/PFA-fixed paraffin-embedded sections) - Anti-ALPP+ALPG+ALPI antibody [EPR6141] - BSA and Azide free (AB220315)

Immunohistochemical analysis of paraffin-embedded Human dysgerminoma tissue labelling Placental alkaline phosphatase (PLAP) with ab133602 at 1/250.

This data was developed using the same antibody clone in a different buffer formulation containing PBS, BSA, glycerol, and sodium azide (ab133602).

Perform heat mediated antigen retrieval before commencing with IHC staining protocol.

Immunohistochemistry (Formalin/PFA-fixed paraffin-embedded sections) - Anti-ALPP+ALPG+ALPI antibody [EPR6141] - BSA and Azide free (AB220315)
  • IHC-P

Unknown

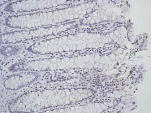
Immunohistochemistry (Formalin/PFA-fixed paraffin-embedded sections) - Anti-ALPP+ALPG+ALPI antibody [EPR6141] - BSA and Azide free (AB220315)

ab133602 showing negative staining in Normal colon tissue.

This data was developed using the same antibody clone in a different buffer formulation containing PBS, BSA, glycerol, and sodium azide (ab133602).

Perform heat mediated antigen retrieval before commencing with IHC staining protocol.

Immunohistochemistry (Formalin/PFA-fixed paraffin-embedded sections) - Anti-ALPP+ALPG+ALPI antibody [EPR6141] - BSA and Azide free (AB220315)
  • IHC-P

Unknown

Immunohistochemistry (Formalin/PFA-fixed paraffin-embedded sections) - Anti-ALPP+ALPG+ALPI antibody [EPR6141] - BSA and Azide free (AB220315)

ab133602 showing negative staining in Normal brain tissue.

This data was developed using the same antibody clone in a different buffer formulation containing PBS, BSA, glycerol, and sodium azide (ab133602).

Perform heat mediated antigen retrieval before commencing with IHC staining protocol.

Immunohistochemistry (Formalin/PFA-fixed paraffin-embedded sections) - Anti-ALPP+ALPG+ALPI antibody [EPR6141] - BSA and Azide free (AB220315)
  • IHC-P

Unknown

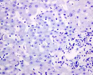
Immunohistochemistry (Formalin/PFA-fixed paraffin-embedded sections) - Anti-ALPP+ALPG+ALPI antibody [EPR6141] - BSA and Azide free (AB220315)

ab133602 showing negative staining in Normal liver tissue.

This data was developed using the same antibody clone in a different buffer formulation containing PBS, BSA, glycerol, and sodium azide (ab133602).

Perform heat mediated antigen retrieval before commencing with IHC staining protocol.

OI-RD Scanning - Anti-ALPP+ALPG+ALPI antibody [EPR6141] - BSA and Azide free (AB220315)
  • OI-RD Scanning

Unknown

OI-RD Scanning - Anti-ALPP+ALPG+ALPI antibody [EPR6141] - BSA and Azide free (AB220315)

We have systematically measured KD (the equilibrium dissociation constant between the antibody and its antigen), of more than 840 recombinant antibodies to assess not only their individual KD values but also to see the average affinity of antibody. Based on the comparison with published literature values for mouse monoclonal antibodies, Recombinant antibodies appear to be on average 1-2 order of magnitude higher affinity.

  • Unconjugated

    Anti-ALPP+ALPG+ALPI antibody [EPR6141]

  • 519 Alexa Fluor® 488

    Alexa Fluor® 488 Anti-ALPP+ALPG+ALPI antibody [EPR6141]

  • 565 Alexa Fluor® 555

    Alexa Fluor® 555 Anti-ALPP+ALPG+ALPI antibody [EPR6141]

  • 617 Alexa Fluor® 594

    Alexa Fluor® 594 Anti-ALPP+ALPG+ALPI antibody [EPR6141]

  • 665 Alexa Fluor® 647

    Alexa Fluor® 647 Anti-ALPP+ALPG+ALPI antibody [EPR6141]

  • 578 PE

    PE Anti-ALPP+ALPG+ALPI antibody [EPR6141]

  • 660 APC

    APC Anti-ALPP+ALPG+ALPI antibody [EPR6141]

  • 775 Alexa Fluor® 750

    Alexa Fluor® 750 Anti-ALPP+ALPG+ALPI antibody [EPR6141]

  • HRP

    HRP Anti-ALPP+ALPG+ALPI antibody [EPR6141]

Key facts

Host species

Rabbit

Clonality

Monoclonal

Clone number

EPR6141

Isotype

IgG

Carrier free

Yes

Reacts with

Human

Applications

WB, IHC-P

applications

Immunogen

The exact immunogen used to generate this antibody is proprietary information.

Reactivity data

{ "title": "Reactivity Data", "filters": { "stats": ["", "Species", "Dilution Info", "Notes"], "tabs": { "all-applications": {"fullname" : "All Applications", "shortname": "All Applications"}, "IHCP" : {"fullname" : "Immunohistochemistry (Formalin/PFA-fixed paraffin-embedded sections)", "shortname":"IHC-P"}, "ICCIF" : {"fullname" : "Immunocytochemistry/ Immunofluorescence", "shortname":"ICC/IF"}, "IP" : {"fullname" : "Immunoprecipitation", "shortname":"IP"}, "FlowCyt" : {"fullname" : "Flow Cytometry", "shortname":"Flow Cyt"}, "WB" : {"fullname" : "Western blot", "shortname":"WB"} }, "product-promise": { "all": "all", "testedAndGuaranteed": "tested", "guaranteed": "expected", "predicted": "predicted", "notRecommended": "not-recommended" } }, "values": { "Human": { "IHCP-species-checked": "testedAndGuaranteed", "IHCP-species-dilution-info": "", "IHCP-species-notes": "<p><a href='/en-us/products/primary-antibodies/rabbit-igg-monoclonal-epr25a-isotype-control-low-endotoxin-azide-free-ab199376'>ab199376</a> - Rabbit monoclonal IgG, is suitable for use as an isotype control with this antibody.</p>", "ICCIF-species-checked": "notRecommended", "ICCIF-species-dilution-info": "", "ICCIF-species-notes": "<p></p>", "IP-species-checked": "notRecommended", "IP-species-dilution-info": "", "IP-species-notes": "<p></p>", "FlowCyt-species-checked": "notRecommended", "FlowCyt-species-dilution-info": "", "FlowCyt-species-notes": "<p></p>", "WB-species-checked": "testedAndGuaranteed", "WB-species-dilution-info": "", "WB-species-notes": "<p></p>" } } }

Product details

ab220315 is the carrier-free version of ab133602.

Species reactivity
Mouse, Rat: We have preliminary internal testing data to indicate this antibody may not react with these species.
Please contact us for more information.

Patented technology
Our RabMAb® technology is a patented hybridoma-based technology for making rabbit monoclonal antibodies. For details on our patents, please refer to RabMAb® patents.

What are the advantages of a recombinant monoclonal antibody?
This product is a recombinant monoclonal antibody, which offers several advantages including:

  • - High batch-to-batch consistency and reproducibility
  • - Improved sensitivity and specificity
  • - Long-term security of supply
  • - Animal-free batch production

For more information, read more on recombinant antibodies.

Conjugation ready
Our carrier-free antibodies are typically supplied in a PBS-only formulation, purified and free of BSA, sodium azide and glycerol. This conjugation-ready format is designed for use with fluorochromes, metal isotopes, oligonucleotides, and enzymes, which makes them ideal for antibody labelling, functional and cell-based assays, flow-based assays (e.g. mass cytometry) and Multiplex Imaging applications.

Use our conjugation kits for antibody conjugates that are ready-to-use in as little as 20 minutes with 1 minute hands-on-time and 100% antibody recovery: available for fluorescent dyes, HRP, biotin and gold.

Compatibility
This product is compatible with the Maxpar® Antibody Labeling Kit from Fluidigm, without the need for antibody preparation. Maxpar® is a trademark of Fluidigm Canada Inc.

Properties and storage information

Form
Liquid
Purification technique
Affinity purification Protein A
Storage buffer
pH: 7.2 - 7.4 Constituents: PBS
Shipped at conditions
Blue Ice
Appropriate short-term storage conditions
+4°C
Appropriate long-term storage conditions
+4°C
Storage information
Do Not Freeze

Supplementary information

This supplementary information is collated from multiple sources and compiled automatically.

Placental alkaline phosphatase (PLAP) also known by names like alkaline phosphatase/PLAP protein or ALPP functions as an enzyme that removes phosphate groups from molecules. It typically appears in tissues such as the placenta and is known to be active during pregnancy. PLAP has a molecular mass of approximately 66 kDa. Normally found expressed in the placenta this enzyme shares similarities with other alkaline phosphatases but is distinct due to its specific expression and function during gestation.
Biological function summary

PLAP shows importance in bone mineralization and fetal development. It participates in the hydrolysis of phosphate esters influencing nutrient availability and metabolism. PLAP is not a part of major protein complexes; however its enzymatic activity directly affects local phosphate concentrations which are critical for processes like bone formation and tissue regeneration during pregnancy.

Pathways

PLAP expression and activity intersect significantly with phosphate metabolism and fetal development pathways. The alkaline phosphatase family plays central roles in these pathways and PLAP shares functions with other isoenzymes in the family such as the tissue nonspecific alkaline phosphatase. These enzymes regulate phosphate turnover and contribute to essential developmental processes.

PLAP connects primarily to certain types of cancers and gestational disorders. Elevated levels of PLAP link to testicular germ cell tumors and ovarian cancer where it serves as a biomarker. In gestational trophoblastic disease PLAP expression provides valuable diagnostic information. Interactions with proteins like hCG (human chorionic gonadotropin) also offer insights into potential disease mechanisms especially in reproductive health challenges.

Product protocols

For this product, it's our understanding that no specific protocols are required. You can visit:

Target data

Alkaline phosphatase that can hydrolyze various phosphate compounds.
See full target information ALPP

Additional targets

ALPG,ALPI

Publications (1)

Recent publications for all applications. Explore the full list and refine your search

Nature immunology 25:2152-2165 PubMed39438660

2024

A longitudinal single-cell atlas of anti-tumour necrosis factor treatment in inflammatory bowel disease.

Applications

Unspecified application

Species

Unspecified reactive species

Tom Thomas,Matthias Friedrich,Charlotte Rich-Griffin,Mathilde Pohin,Devika Agarwal,Julia Pakpoor,Carl Lee,Ruchi Tandon,Aniko Rendek,Dominik Aschenbrenner,Ashwin Jainarayanan,Alexandru Voda,Jacqueline H Y Siu,Raphael Sanches-Peres,Eloise Nee,Dharshan Sathananthan,Dylan Kotliar,Peter Todd,Maria Kiourlappou,Lisa Gartner,Nicholas Ilott,Fadi Issa,Joanna Hester,Jason Turner,Saba Nayar,Jonas Mackerodt,Fan Zhang,Anna Jonsson,Michael Brenner,Soumya Raychaudhuri,Ruth Kulicke,Danielle Ramsdell,Nicolas Stransky,Ray Pagliarini,Piotr Bielecki,Noah Spies,Brian Marsden,Stephen Taylor,Allon Wagner,Paul Klenerman,Alissa Walsh,Mark Coles,Luke Jostins-Dean,Fiona M Powrie,Andrew Filer,Simon Travis,Holm H Uhlig,Calliope A Dendrou,Christopher D Buckley
View all publications

Product promise

We are committed to supporting your work with high-quality reagents, and we're here for you every step of the way. In the unlikely event that one of our products does not perform as expected, you're protected by our Product Promise.
For full details, please see our Terms & Conditions

Please note: All products are 'FOR RESEARCH USE ONLY. NOT FOR USE IN DIAGNOSTIC OR THERAPEUTIC PROCEDURES'.

For licensing inquiries, please contact partnerships@abcam.com