JavaScript is disabled in your browser. Please enable JavaScript to view this website.
AB137099

Anti-Placental lactogen antibody [EPR8265]

Be the first to review this product! Submit a review

|

(2 Publications)

Rabbit Recombinant Monoclonal CSH2 antibody. Suitable for IHC-P, WB and reacts with Human samples. Cited in 2 publications.

View Alternative Names

Chorionic somatomammotropin hormone 2, Choriomammotropin, Lactogen, Placental lactogen, PL, CSH2

2 Images
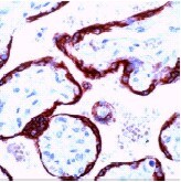
Immunohistochemistry (Formalin/PFA-fixed paraffin-embedded sections) - Anti-Placental lactogen antibody [EPR8265] (AB137099)
  • IHC-P

Unknown

Immunohistochemistry (Formalin/PFA-fixed paraffin-embedded sections) - Anti-Placental lactogen antibody [EPR8265] (AB137099)

Immunohistochemical analysis of paraffin-embedded Human placenta tissue labelling Placental lactogen with ab137099 at 1/250 dilution.

Perform heat mediated antigen retrieval with citrate buffer pH 6 before commencing with IHC staining protocol.

Western blot - Anti-Placental lactogen antibody [EPR8265] (AB137099)
  • WB

Unknown

Western blot - Anti-Placental lactogen antibody [EPR8265] (AB137099)

All lanes:

Western blot - Anti-Placental lactogen antibody [EPR8265] (ab137099) at 1/50000 dilution

All lanes:

Human placenta lysate at 10 µg

Secondary

All lanes:

HRP-labelled Goat anti-Rabbit at 1/2000 dilution

Predicted band size: 25 kDa

false

Key facts

Host species

Rabbit

Clonality

Monoclonal

Clone number

EPR8265

Isotype

IgG

Carrier free

No

Reacts with

Human

Applications

IHC-P, WB

applications

Immunogen

The exact immunogen used to generate this antibody is proprietary information.

Reactivity data

{ "title": "Reactivity Data", "filters": { "stats": ["", "Species", "Dilution Info", "Notes"], "tabs": { "all-applications": {"fullname" : "All Applications", "shortname": "All Applications"}, "ICCIF" : {"fullname" : "Immunocytochemistry/ Immunofluorescence", "shortname":"ICC/IF"}, "IHCP" : {"fullname" : "Immunohistochemistry (Formalin/PFA-fixed paraffin-embedded sections)", "shortname":"IHC-P"}, "WB" : {"fullname" : "Western blot", "shortname":"WB"} }, "product-promise": { "all": "all", "testedAndGuaranteed": "tested", "guaranteed": "expected", "predicted": "predicted", "notRecommended": "not-recommended" } }, "values": { "Human": { "ICCIF-species-checked": "notRecommended", "ICCIF-species-dilution-info": "", "ICCIF-species-notes": "<p></p>", "IHCP-species-checked": "testedAndGuaranteed", "IHCP-species-dilution-info": "1/250 - 1/500", "IHCP-species-notes": "<p></p>", "WB-species-checked": "testedAndGuaranteed", "WB-species-dilution-info": "1/50000 - 1/200000", "WB-species-notes": "<p></p>" } } }

Product details

Species reactivity
Mouse, Rat: We have preliminary internal testing data to indicate this antibody may not react with these species.
Please contact us for more information.

Patented technology
Our RabMAb® technology is a patented hybridoma-based technology for making rabbit monoclonal antibodies. For details on our patents, please refer to RabMAb® patents.

What are the advantages of a recombinant monoclonal antibody?
This product is a recombinant monoclonal antibody, which offers several advantages including:

  • - High batch-to-batch consistency and reproducibility
  • - Improved sensitivity and specificity
  • - Long-term security of supply
  • - Animal-free batch production

For more information, read more on recombinant antibodies.

Properties and storage information

Form
Liquid
Purification technique
Affinity purification Protein A
Storage buffer
pH: 7.2 - 7.4 Preservative: 0.01% Sodium azide Constituents: PBS, 50% Tissue culture supernatant, 40% Glycerol (glycerin, glycerine), 0.05% BSA
Shipped at conditions
Blue Ice
Appropriate short-term storage conditions
+4°C
Appropriate long-term storage conditions
-20°C

Supplementary information

This supplementary information is collated from multiple sources and compiled automatically.

Placental lactogen also known as chorionic somatomammotropin hormone is a glycoprotein hormone with a molecular mass of approximately 22 kDa. The hormone is primarily expressed in the syncytiotrophoblasts of the placenta during pregnancy. It shares structural similarities with other hormones like growth hormone and prolactin due to its polypeptide nature. Placental lactogen influences various physiological processes related to maternal and fetal development.
Biological function summary

Placental lactogen functions to modulate maternal metabolism to support fetal growth and development. It promotes changes in the maternal glucose metabolism ensuring an adequate energy supply to the fetus. This protein also stimulates mammary gland development preparing the mother for lactation. It does not form part of a larger protein complex acting independently in the biological processes it regulates.

Pathways

Researchers have found that placental lactogen plays a role in both the insulin-like growth factor (IGF) pathway and the JAK-STAT signaling pathway. It interacts with the IGF pathway to enhance nutrient uptake and fetal growth. Additionally its role in the JAK-STAT pathway ties it to immune modulation and cell proliferation. Placental lactogen is related to proteins such as the growth hormone and prolactin within these pathways due to their shared structural properties and similar mechanisms of action.

Studies have linked abnormal levels of placental lactogen to gestational diabetes mellitus and pre-eclampsia. Gestational diabetes arises when placental lactogen induces higher insulin resistance impacting maternal glucose regulation. Pre-eclampsia may involve imbalance in placental lactogen expression affecting placental vascular function. Researchers have noted interactions with proteins like leptin and insulin as these relate to glucose metabolism and vascular changes in pregnancy.

Product protocols

For this product, it's our understanding that no specific protocols are required. You can visit:

Target data

Produced only during pregnancy and is involved in stimulating lactation, fetal growth and metabolism. Does not interact with GHR but only activates PRLR through zinc-induced dimerization.
See full target information CSH2

Publications (2)

Recent publications for all applications. Explore the full list and refine your search

Signal transduction and targeted therapy 10:200 PubMed40571693

2025

D-lactate and glycerol as potential biomarkers of sorafenib activity in hepatocellular carcinoma.

Applications

Unspecified application

Species

Unspecified reactive species

Silvia Pedretti,Francesca Palermo,Miriana Braghin,Gabriele Imperato,Pasquale Tomaiuolo,Meral Celikag,Marta Boccazzi,Veronica Vallelonga,Lorenzo Da Dalt,Giuseppe Danilo Norata,Giorgia Marisi,Ilario Giovanni Rapposelli,Andrea Casadei-Gardini,Serena Ghisletti,Maurizio Crestani,Emma De Fabiani,Nico Mitro

Frontiers in cell and developmental biology 11:1080419 PubMed36910147

2023

Associations of maternal and placental extracellular vesicle miRNA with preeclampsia.

Applications

Unspecified application

Species

Unspecified reactive species

Anat Aharon,Annie Rebibo-Sabbah,Rawan Sayed Ahmad,Ayelet Dangot,Tali Hana Bar-Lev,Benjamin Brenner,Adi Halberthal Cohen,Chen Ben David,Zeev Weiner,Ido Solt
View all publications

Product promise

We are committed to supporting your work with high-quality reagents, and we're here for you every step of the way. In the unlikely event that one of our products does not perform as expected, you're protected by our Product Promise.
For full details, please see our Terms & Conditions

Please note: All products are 'FOR RESEARCH USE ONLY. NOT FOR USE IN DIAGNOSTIC OR THERAPEUTIC PROCEDURES'.

For licensing inquiries, please contact partnerships@abcam.com