JavaScript is disabled in your browser. Please enable JavaScript to view this website.
AB247865

Anti-Plakophilin 3 antibody [EPR5560] - BSA and Azide free

Be the first to review this product! Submit a review

|

(0 Publication)

Rabbit Recombinant Monoclonal Plakophilin 3 antibody. Carrier free. Suitable for IHC-P, WB and reacts with Human samples.

View Alternative Names

Plakophilin-3, PKP3

5 Images
Western blot - Anti-Plakophilin 3 antibody [EPR5560] - BSA and Azide free (AB247865)
  • WB

Unknown

Western blot - Anti-Plakophilin 3 antibody [EPR5560] - BSA and Azide free (AB247865)

This data was developed using ab109441, the same antibody clone in a different buffer formulation.

False colour image of Western blot : Anti-Plakophilin 3 antibody [EPR5560] staining at 1/10000 dilution, shown in green; Mouse anti-GAPDH antibody [6C5] (ab8245) loading control staining at 1/20000 dilution, shown in red. In Western blot, ab109441 was shown to bind specifically to Plakophilin 3. A band was observed at 70 and 80 kDa in wild-type HeLa cell lysates with no signal observed at this size in PKP3 CRISPR-Cas9 edited cell line ab265539 (CRISPR-Cas9 edited cell lysate ab258120). The band observed in the CRISPR-Cas9 edited lysate lane below 70 and 80 kDa is likely to represent a truncated form of Plakophilin 3. This has not been investigated further and the functional properties of the gene product have not been determined. To generate this image, wild-type and PKP3 CRISPR-Cas9 edited HeLa cell lysates were analysed. First, samples were run on an SDS-PAGE gel then transferred onto a nitrocellulose membrane. Membranes were blocked in 3 % milk in TBS-0.1 % Tween® 20 (TBS-T) before incubation with primary antibodies overnight at 4 °C. Blots were washed four times in TBS-T, incubated with secondary antibodies for 1 h at room temperature, washed again four times then imaged.Secondary antibodies used were Goat anti-Rabbit IgG H&L (IRDye® 800CW) preabsorbed (ab216773) and Goat anti-Mouse IgG H&L (IRDye® 680RD) preabsorbed (ab216776) at 1/20000 dilution.

All lanes:

Western blot - Anti-Plakophilin 3 antibody [EPR5560] (<a href='/en-us/products/primary-antibodies/plakophilin-3-antibody-epr5560-ab109441'>ab109441</a>) at 1/10000 dilution

Lane 1:

Wild-type HeLa cell lysate at 20 µg

Lane 2:

PKP3 CRISPR-Cas9 edited HeLa cell lysate at 20 µg

Lane 2:

Western blot - Human PKP3 (Plakophilin 3) knockout HeLa cell lysate (<a href='/en-us/products/cell-lysates/human-pkp3-plakophilin-3-knockout-hela-cell-lysate-ab258120'>ab258120</a>)

Lane 2:

Western blot - Human PKP3 (Plakophilin 3) knockout HeLa cell line (<a href='/en-us/products/cell-lines/human-pkp3-plakophilin-3-knockout-hela-cell-line-ab265539'>ab265539</a>)

Lane 3:

A431 cell lysate at 20 µg

Lane 4:

Jurkat cell lysate at 20 µg

false

Western blot - Anti-Plakophilin 3 antibody [EPR5560] - BSA and Azide free (AB247865)
  • WB

Unknown

Western blot - Anti-Plakophilin 3 antibody [EPR5560] - BSA and Azide free (AB247865)

This data was developed using ab109441, the same antibody clone in a different buffer formulation.

All lanes:

Western blot - Anti-Plakophilin 3 antibody [EPR5560] (<a href='/en-us/products/primary-antibodies/plakophilin-3-antibody-epr5560-ab109441'>ab109441</a>) at 1/10000 dilution

Lane 1:

Caco-2 cell lysate at 10 µg

Lane 2:

HACAT cell lysate at 10 µg

false

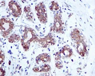
Immunohistochemistry (Formalin/PFA-fixed paraffin-embedded sections) - Anti-Plakophilin 3 antibody [EPR5560] - BSA and Azide free (AB247865)
  • IHC-P

Unknown

Immunohistochemistry (Formalin/PFA-fixed paraffin-embedded sections) - Anti-Plakophilin 3 antibody [EPR5560] - BSA and Azide free (AB247865)

This data was developed using ab109441, the same antibody clone in a different buffer formulation.

ab109441 at 1/100 dilution staining Human paraffin-embedded breast tissue.

Perform heat mediated antigen retrieval via the pressure cooker method before commencing with IHC staining protocol.

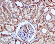
Immunohistochemistry (Formalin/PFA-fixed paraffin-embedded sections) - Anti-Plakophilin 3 antibody [EPR5560] - BSA and Azide free (AB247865)
  • IHC-P

Unknown

Immunohistochemistry (Formalin/PFA-fixed paraffin-embedded sections) - Anti-Plakophilin 3 antibody [EPR5560] - BSA and Azide free (AB247865)

This data was developed using ab109441, the same antibody clone in a different buffer formulation.

ab109441 at 1/100 dilution staining paraffin-embedded Human kidney tissue.

Perform heat mediated antigen retrieval via the pressure cooker method before commencing with IHC staining protocol.

OI-RD Scanning - Anti-Plakophilin 3 antibody [EPR5560] - BSA and Azide free (AB247865)
  • OI-RD Scanning

Unknown

OI-RD Scanning - Anti-Plakophilin 3 antibody [EPR5560] - BSA and Azide free (AB247865)

We have systematically measured KD (the equilibrium dissociation constant between the antibody and its antigen), of more than 840 recombinant antibodies to assess not only their individual KD values but also to see the average affinity of antibody. Based on the comparison with published literature values for mouse monoclonal antibodies, Recombinant antibodies appear to be on average 1-2 order of magnitude higher affinity.

Key facts

Host species

Rabbit

Clonality

Monoclonal

Clone number

EPR5560

Isotype

IgG

Carrier free

Yes

Reacts with

Human

Applications

WB, IHC-P

applications

Immunogen

The exact immunogen used to generate this antibody is proprietary information.

Reactivity data

{ "title": "Reactivity Data", "filters": { "stats": ["", "Species", "Dilution Info", "Notes"], "tabs": { "all-applications": {"fullname" : "All Applications", "shortname": "All Applications"}, "IHCP" : {"fullname" : "Immunohistochemistry (Formalin/PFA-fixed paraffin-embedded sections)", "shortname":"IHC-P"}, "ICCIF" : {"fullname" : "Immunocytochemistry/ Immunofluorescence", "shortname":"ICC/IF"}, "IP" : {"fullname" : "Immunoprecipitation", "shortname":"IP"}, "FlowCyt" : {"fullname" : "Flow Cytometry", "shortname":"Flow Cyt"}, "WB" : {"fullname" : "Western blot", "shortname":"WB"} }, "product-promise": { "all": "all", "testedAndGuaranteed": "tested", "guaranteed": "expected", "predicted": "predicted", "notRecommended": "not-recommended" } }, "values": { "Human": { "IHCP-species-checked": "testedAndGuaranteed", "IHCP-species-dilution-info": "", "IHCP-species-notes": "<p></p> Perform heat-mediated antigen retrieval via the pressure cooker method before commencing with IHC staining protocol.", "ICCIF-species-checked": "notRecommended", "ICCIF-species-dilution-info": "", "ICCIF-species-notes": "<p></p>", "IP-species-checked": "notRecommended", "IP-species-dilution-info": "", "IP-species-notes": "<p></p>", "FlowCyt-species-checked": "notRecommended", "FlowCyt-species-dilution-info": "", "FlowCyt-species-notes": "<p></p>", "WB-species-checked": "testedAndGuaranteed", "WB-species-dilution-info": "", "WB-species-notes": "<p></p>" }, "Mouse": { "IHCP-species-checked": "predicted", "IHCP-species-dilution-info": "", "IHCP-species-notes": "", "ICCIF-species-checked": "notRecommended", "ICCIF-species-dilution-info": "", "ICCIF-species-notes": "", "IP-species-checked": "notRecommended", "IP-species-dilution-info": "", "IP-species-notes": "", "FlowCyt-species-checked": "notRecommended", "FlowCyt-species-dilution-info": "", "FlowCyt-species-notes": "", "WB-species-checked": "predicted", "WB-species-dilution-info": "", "WB-species-notes": "" }, "Rat": { "IHCP-species-checked": "predicted", "IHCP-species-dilution-info": "", "IHCP-species-notes": "", "ICCIF-species-checked": "notRecommended", "ICCIF-species-dilution-info": "", "ICCIF-species-notes": "", "IP-species-checked": "notRecommended", "IP-species-dilution-info": "", "IP-species-notes": "", "FlowCyt-species-checked": "notRecommended", "FlowCyt-species-dilution-info": "", "FlowCyt-species-notes": "", "WB-species-checked": "predicted", "WB-species-dilution-info": "", "WB-species-notes": "" } } }

Product details

ab247865 is the carrier-free version of ab109441.

Patented technology
Our RabMAb® technology is a patented hybridoma-based technology for making rabbit monoclonal antibodies. For details on our patents, please refer to RabMAb® patents.

What are the advantages of a recombinant monoclonal antibody?
This product is a recombinant monoclonal antibody, which offers several advantages including:

  • - High batch-to-batch consistency and reproducibility
  • - Improved sensitivity and specificity
  • - Long-term security of supply
  • - Animal-free batch production

For more information, read more on recombinant antibodies.

Conjugation ready
Our carrier-free antibodies are typically supplied in a PBS-only formulation, purified and free of BSA, sodium azide and glycerol. This conjugation-ready format is designed for use with fluorochromes, metal isotopes, oligonucleotides, and enzymes, which makes them ideal for antibody labelling, functional and cell-based assays, flow-based assays (e.g. mass cytometry) and Multiplex Imaging applications.

Use our conjugation kits for antibody conjugates that are ready-to-use in as little as 20 minutes with 1 minute hands-on-time and 100% antibody recovery: available for fluorescent dyes, HRP, biotin and gold.

Compatibility
This product is compatible with the Maxpar® Antibody Labeling Kit from Fluidigm, without the need for antibody preparation. Maxpar® is a trademark of Fluidigm Canada Inc.

Properties and storage information

Form
Liquid
Purification technique
Affinity purification Protein A
Storage buffer
pH: 7.2 - 7.4 Constituents: PBS
Shipped at conditions
Blue Ice
Appropriate short-term storage conditions
+4°C
Appropriate long-term storage conditions
+4°C
Storage information
Do Not Freeze

Supplementary information

This supplementary information is collated from multiple sources and compiled automatically.

Plakophilin 3 often referred to as PKP3 is a member of the Armadillo family of proteins. PKP3 is a desmosomal plaque protein with a known molecular mass of approximately 84 kDa. It localizes primarily to desmosomes and the nucleus where it contributes to cell-cell adhesion. PKP3 is commonly expressed in epithelial tissues where it helps maintain the structural integrity of epithelial sheets by binding to desmosomal cadherins.
Biological function summary

Plakophilin 3 plays a vital role in stabilizing junctional complexes by anchoring desmosomal components to the cytoskeleton. It usually forms a part of the desmosome a cellular structure composed of desmogleins desmocollins and plakoglobin. Through these interactions PKP3 contributes to the robust mechanical strength of tissue architecture and participates in signaling pathways that regulate cell proliferation and differentiation.

Pathways

Plakophilin 3 integrates into desmosome-related signaling pathways notably the intercellular adhesion pathways and the Wnt signaling pathway. PKP3 associates with proteins such as plakoglobin and β-catenin which are also involved in Wnt signaling influencing cell-cell contact and transcriptional regulation. These pathways are important for maintaining the balance between cell adhesion and cellular signaling ensuring appropriate responses to developmental and environmental cues.

Plakophilin 3 shows a connection to certain forms of cancer including prostate cancer and squamous cell carcinoma. PKP3 expression levels have an association with tumor progression and metastasis. In prostate cancer for instance altered expression of desmosomal components such as PKP3 can influence cancer cell adhesion and mobility. PKP3 interacts with proteins like E-cadherin in these pathological states which can affect adhesion properties and promote malignancy.

Product protocols

For this product, it's our understanding that no specific protocols are required. You can visit:

Target data

A component of desmosome cell-cell junctions which are required for positive regulation of cellular adhesion (PubMed : 24124604). Required for the localization of DSG2, DSP and PKP2 to mature desmosome junctions (PubMed : 20859650). May also play a role in the maintenance of DSG3 protein abundance in keratinocytes (By similarity). Required for the formation of DSP-containing desmosome precursors in the cytoplasm during desmosome assembly (PubMed : 25208567). Also regulates the accumulation of CDH1 to mature desmosome junctions, via cAMP-dependent signaling and its interaction with activated RAP1A (PubMed : 25208567). Positively regulates the stabilization of PKP2 mRNA and therefore protein abundance, via its interaction with FXR1, may also regulate the protein abundance of DSP via the same mechanism (PubMed : 25225333). May also regulate the protein abundance of the desmosome component PKP1 (By similarity). Required for the organization of desmosome junctions at intercellular borders between basal keratinocytes of the epidermis, as a result plays a role in maintenance of the dermal barrier and regulation of the dermal inflammatory response (By similarity). Required during epidermal keratinocyte differentiation for cell adherence at tricellular cell-cell contacts, via regulation of the timely formation of adherens junctions and desmosomes in a calcium-dependent manner, and may also play a role in the organization of the intracellular actin fiber belt (By similarity). Acts as a negative regulator of the inflammatory response in hematopoietic cells of the skin and intestine, via modulation of proinflammatory cytokine production (By similarity). Important for epithelial barrier maintenance in the intestine to reduce intestinal permeability, thereby plays a role in protection from intestinal-derived endotoxemia (By similarity). Required for the development of hair follicles, via a role in the regulation of inner root sheaf length, correct alignment and anterior-posterior polarity of hair follicles (By similarity). Promotes proliferation and cell-cycle G1/S phase transition of keratinocytes (By similarity). Promotes E2F1-driven transcription of G1/S phase promoting genes by acting to release E2F1 from its inhibitory interaction with RB1, via sequestering RB1 and CDKN1A to the cytoplasm and thereby increasing CDK4- and CDK6-driven phosphorylation of RB1 (By similarity). May act as a scaffold protein to facilitate MAPK phosphorylation of RPS6KA protein family members and subsequently promote downstream EGFR signaling (By similarity). May play a role in the positive regulation of transcription of Wnt-mediated TCF-responsive target genes (PubMed : 34058472).
See full target information PKP3

Product promise

We are committed to supporting your work with high-quality reagents, and we're here for you every step of the way. In the unlikely event that one of our products does not perform as expected, you're protected by our Product Promise.
For full details, please see our Terms & Conditions

Please note: All products are 'FOR RESEARCH USE ONLY. NOT FOR USE IN DIAGNOSTIC OR THERAPEUTIC PROCEDURES'.

For licensing inquiries, please contact partnerships@abcam.com