JavaScript is disabled in your browser. Please enable JavaScript to view this website.
AB1006

Anti-Plasma Kallikrein 1B antibody [13G11]

4

(3 Reviews)

|

(12 Publications)

Anti-Plasma Kallikrein 1B antibody [13G11] (ab1006) is a mouse monoclonal antibody detecting Plasma Kallikrein 1B in IHC-P. Suitable for Human.

- Over 10 publications
- Trusted since 2002

View Alternative Names

KLK3, KLKB1, Plasma kallikrein, Fletcher factor, Kininogenin, Plasma prekallikrein, PKK

1 Images
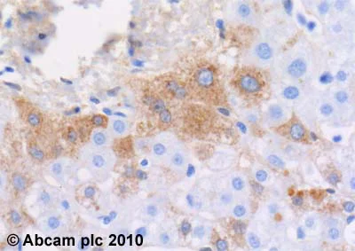
Immunohistochemistry (Formalin/PFA-fixed paraffin-embedded sections) - Anti-Plasma Kallikrein 1B antibody [13G11] (AB1006)
  • IHC-P

Unknown

Immunohistochemistry (Formalin/PFA-fixed paraffin-embedded sections) - Anti-Plasma Kallikrein 1B antibody [13G11] (AB1006)

ab1006 (4μg/ml) staining plasma kallikrein in human liver, using an automated system (DAKO Autostainer Plus). Using this protocol there is weak cytoplasmic staining of a subpopulation of hepatocytes.
Sections were rehydrated and antigen retrieved with the Dako 3 in 1 AR buffer citrate pH6.1 in a DAKO PT link. Slides were peroxidase blocked in 3% H2O2 in methanol for 10 mins. They were then blocked with Dako Protein block for 10 minutes (containing casein 0.25% in PBS) then incubated with primary antibody for 20 min and detected with Dako envision flex amplification kit for 30 minutes. Colorimetric detection was completed with Diaminobenzidine for 5 minutes. Slides were counterstained with Haematoxylin and coverslipped under DePeX. Please note that, for manual staining, optimization of primary antibody concentration and incubation time is recommended. Signal amplification may be required.

This image was generated using the ascites version of the product.

Key facts

Host species

Mouse

Clonality

Monoclonal

Clone number

13G11

Isotype

IgG1

Carrier free

No

Reacts with

Human

Applications

IHC-P

applications

Immunogen

Native Full Length Protein corresponding to Human KLKB1.

P03952

Epitope

The specific epitope, found on the prekallikrein / kallikrein heavy chain is involved in the interaction between prekallikrein and factor XIIa.

Reactivity data

{ "title": "Reactivity Data", "filters": { "stats": ["", "Species", "Dilution Info", "Notes"], "tabs": { "all-applications": {"fullname" : "All Applications", "shortname": "All Applications"}, "IHCP" : {"fullname" : "Immunohistochemistry (Formalin/PFA-fixed paraffin-embedded sections)", "shortname":"IHC-P"} }, "product-promise": { "all": "all", "testedAndGuaranteed": "tested", "guaranteed": "expected", "predicted": "predicted", "notRecommended": "not-recommended" } }, "values": { "Human": { "IHCP-species-checked": "testedAndGuaranteed", "IHCP-species-dilution-info": "4 µg/mL", "IHCP-species-notes": "<p></p> Perform heat-mediated antigen retrieval before commencing with IHC staining protocol." } } }

Product details

What is this antibody validated in?
Anti-Plasma Kallikrein 1B antibody [13G11] (ab1006) is a mouse monoclonal antibody and is validated for use in Immunohistochemistry (IHC-P) in Human samples.

Trusted by the scientific community
Anti-Plasma Kallikrein 1B [13G11] (ab1006) was first used in a scientific publication in 2002 and has been cited over 10 times in peer-reviewed journals.

Properties and storage information

Form
Liquid
Purification technique
Affinity purification Protein G
Purification notes
Purified from TCS
Storage buffer
pH: 7.4
Shipped at conditions
Blue Ice
Appropriate short-term storage conditions
+4°C
Appropriate long-term storage conditions
-20°C
Aliquoting information
Upon delivery aliquot
Storage information
Avoid freeze / thaw cycle

Supplementary information

This supplementary information is collated from multiple sources and compiled automatically.

Plasma Kallikrein 1B also known as PKK or KLKB1 is a serine protease enzyme with an approximate mass of 88 kDa. It is important for the blood coagulation process. This protein is mainly expressed in the liver and circulates in the blood as the inactive precursor prekallikrein. Through cleavage prekallikrein converts into its active form plasma kallikrein. Plasma kallikrein exhibits various proteolytic activities influencing multiple substrates involved in hemostatic and inflammatory responses.
Biological function summary

Plasma Kallikrein 1B plays significant roles in the kinin-kallikrein system. Within this system it cleaves high-molecular-weight kininogen to release bradykinin a potent vasodilator. This enzyme is not part of a larger protein complex but operates independently to modulate various physiological responses. Plasma kallikrein's activity influences processes like pain vasodilation and inflammation making it important in homeostasis and acute-phase responses.

Pathways

Plasma Kallikrein 1B participates actively in the kallikrein-kinin and the contact activation pathways. In the kallikrein-kinin system it works alongside high-molecular-weight kininogen and factor XII which plays an important role in the intrinsic pathway of coagulation. Plasma kallikrein's enzymatic activities lead to the production of bradykinin and other peptides impacting blood pressure and inflammatory processes.

Plasma Kallikrein 1B associates strongly with hereditary angioedema and diabetic retinopathy. In hereditary angioedema its dysregulation leads to excessive bradykinin production causing episodes of swelling. In diabetic retinopathy elevated plasma kallikrein activity can exacerbate vascular complications. Plasma kallikrein's disorderly activities also connect it to other proteins like C1 inhibitor in these pathological conditions highlighting its importance in clinical studies.

Product protocols

For this product, it's our understanding that no specific protocols are required. You can visit:

Target data

Participates in the surface-dependent activation of blood coagulation. Activates, in a reciprocal reaction, coagulation factor XII/F12 after binding to negatively charged surfaces. Releases bradykinin from HMW kininogen and may also play a role in the renin-angiotensin system by converting prorenin into renin.
See full target information KLKB1

Publications (12)

Recent publications for all applications. Explore the full list and refine your search

Journal of neuroinflammation 21:155 PubMed38872149

2024

Delayed plasma kallikrein inhibition fosters post-stroke recovery by reducing thrombo-inflammation.

Applications

Unspecified application

Species

Unspecified reactive species

Steffen Haupeltshofer,Stine Mencl,Rebecca D Szepanowski,Christina Hansmann,Ana I Casas,Hanna Abberger,Wiebke Hansen,Alina Blusch,Cornelius Deuschl,Michael Forsting,Dirk M Hermann,Friederike Langhauser,Christoph Kleinschnitz

Neuroscience 413:294-307 PubMed31181367

2019

A Short Isoform of Coagulation Factor XII mRNA Is Expressed by Neurons in the Human Brain.

Applications

Unspecified application

Species

Unspecified reactive species

Daria Zamolodchikov,Yu Bai,Yajun Tang,John R McWhirter,Lynn E Macdonald,Nicole Alessandri-Haber

International journal of molecular sciences 20: PubMed30791599

2019

Integrated Proteomics and Metabolomic Analyses of Plasma Injury Biomarkers in a Serious Brain Trauma Model in Rats.

Applications

Unspecified application

Species

Unspecified reactive species

Tao Song,Ying Zhu,Peng Zhang,Minzhu Zhao,Dezhang Zhao,Shijia Ding,Shisheng Zhu,Jianbo Li

Current urology 9:192-201 PubMed28413380

2017

Expression of Epidermal Growth Factor Receptor and Transforming Growth Factor Alpha in Cancer Bladder: Schistosomal and Non-Schistosomal.

Applications

Unspecified application

Species

Unspecified reactive species

Afkar A Badawy,Ali El-Hindawi,Olfat Hammam,Mona Moussa,Noha S Helal,Amira Kamel

Annals of neurology 77:784-803 PubMed25628066

2015

Blocking of plasma kallikrein ameliorates stroke by reducing thromboinflammation.

Applications

Unspecified application

Species

Unspecified reactive species

Eva Göb,Stephan Reymann,Friederike Langhauser,Michael K Schuhmann,Peter Kraft,Ina Thielmann,Kerstin Göbel,Marc Brede,György Homola,László Solymosi,Guido Stoll,Christian Geis,Sven G Meuth,Bernhard Nieswandt,Christoph Kleinschnitz

Nature medicine 17:206-10 PubMed21258336

2011

Hyperglycemia-induced cerebral hematoma expansion is mediated by plasma kallikrein.

Applications

FuncS

Species

Rat

Jia Liu,Ben-Bo Gao,Allen C Clermont,Price Blair,Tamie J Chilcote,Sukanto Sinha,Robert Flaumenhaft,Edward P Feener

American journal of physiology. Cell physiology 296:C514-24 PubMed19109528

2008

Autonomic nervous system regulates secretion of anti-inflammatory prohormone SMR1 from rat salivary glands.

Applications

WB

Species

Rat

K E Morris,C D St Laurent,R S Hoeve,P Forsythe,M R Suresh,R D Mathison,A D Befus

Nature medicine 13:181-8 PubMed17259996

2007

Extracellular carbonic anhydrase mediates hemorrhagic retinal and cerebral vascular permeability through prekallikrein activation.

Applications

Unspecified application

Species

Unspecified reactive species

Ben-Bo Gao,Allen Clermont,Susan Rook,Stephanie J Fonda,Vivek J Srinivasan,Maciej Wojtkowski,James G Fujimoto,Robert L Avery,Paul G Arrigg,Sven-Erik Bursell,Lloyd Paul Aiello,Edward P Feener

Immunopharmacology 33:374-6 PubMed8856190

1996

Does resistance to endotoxin in primates correlate with levels of plasma prekallikrein?

Applications

Unspecified application

Species

Unspecified reactive species

D Veloso

Thrombosis and haemostasis 68:526-33 PubMed1455399

1992

Structure, kinetics, and function of human and rhesus plasma prekallikreins are similar.

Applications

Unspecified application

Species

Unspecified reactive species

D Veloso,J I Smith,S Denny,T M Cosgriff
View all publications

Product promise

We are committed to supporting your work with high-quality reagents, and we're here for you every step of the way. In the unlikely event that one of our products does not perform as expected, you're protected by our Product Promise.
For full details, please see our Terms & Conditions

Please note: All products are 'FOR RESEARCH USE ONLY. NOT FOR USE IN DIAGNOSTIC OR THERAPEUTIC PROCEDURES'.

For licensing inquiries, please contact partnerships@abcam.com