JavaScript is disabled in your browser. Please enable JavaScript to view this website.
AB313892

Anti-Plasma Kallikrein 1B antibody [EPR28280-31] - BSA and Azide free

Be the first to review this product! Submit a review

|

(0 Publication)

Rabbit Recombinant Monoclonal Plasma Kallikrein 1B antibody. Carrier free. Suitable for WB, IP, IHC-P, Dot and reacts with Mouse, Rat, Recombinant fragment - Mouse samples.

View Alternative Names

Klk3, Pk, Klkb1, Plasma kallikrein, Fletcher factor, Kininogenin, Plasma prekallikrein

11 Images
Immunohistochemistry (Formalin/PFA-fixed paraffin-embedded sections) - Anti-Plasma Kallikrein 1B antibody [EPR28280-31] - BSA and Azide free (AB313892)
  • IHC-P

Supplier Data

Immunohistochemistry (Formalin/PFA-fixed paraffin-embedded sections) - Anti-Plasma Kallikrein 1B antibody [EPR28280-31] - BSA and Azide free (AB313892)

This data was developed using ab313891, the same antibody clone in a different buffer formulation. Immunohistochemical analysis of paraffin-embedded Rat cerebrum tissue labeling Plasma Kallikrein 1B with ab313891 at 1/500 (1.038 µg/ml) followed by a ready to use LeicaDS9800 (Bond™ Polymer Refine Detection). Low expression : no staining on rat cerebrum. The section was incubated with ab313891 for 30 mins at room temperature. The immunostaining was performed on a Leica Biosystems BOND® RX instrument Counterstained with Hematoxylin. Secondary antibody only control : Secondary antibody is a ready to use LeicaDS9800 (Bond™ Polymer Refine Detection).Heat mediated antigen retrieval was performed with Tris-EDTA buffer (pH 9.0, Epitope Retrieval Solution2) for 20 mins

Immunohistochemistry (Formalin/PFA-fixed paraffin-embedded sections) - Anti-Plasma Kallikrein 1B antibody [EPR28280-31] - BSA and Azide free (AB313892)
  • IHC-P

Supplier Data

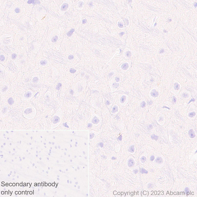
Immunohistochemistry (Formalin/PFA-fixed paraffin-embedded sections) - Anti-Plasma Kallikrein 1B antibody [EPR28280-31] - BSA and Azide free (AB313892)

This data was developed using ab313891, the same antibody clone in a different buffer formulation. Immunohistochemical analysis of paraffin-embedded Mouse cerebrum tissue labeling Plasma Kallikrein 1B with ab313891 at 1/500 (1.038 µg/ml) followed by a ready to use LeicaDS9800 (Bond™ Polymer Refine Detection). Low expression : no staining on mouse cerebrum. The section was incubated with ab313891 for 30 mins at room temperature. The immunostaining was performed on a Leica Biosystems BOND® RX instrument Counterstained with Hematoxylin. Secondary antibody only control : Secondary antibody is a ready to use LeicaDS9800 (Bond™ Polymer Refine Detection).Heat mediated antigen retrieval was performed with Tris-EDTA buffer (pH 9.0, Epitope Retrieval Solution2) for 20 mins

Immunohistochemistry (Formalin/PFA-fixed paraffin-embedded sections) - Anti-Plasma Kallikrein 1B antibody [EPR28280-31] - BSA and Azide free (AB313892)
  • IHC-P

Supplier Data

Immunohistochemistry (Formalin/PFA-fixed paraffin-embedded sections) - Anti-Plasma Kallikrein 1B antibody [EPR28280-31] - BSA and Azide free (AB313892)

This data was developed using ab313891, the same antibody clone in a different buffer formulation. Immunohistochemical analysis of paraffin-embedded Mouse kidney tissue labeling Plasma Kallikrein 1B with ab313891 at 1/500 (1.038 µg/ml) followed by a ready to use LeicaDS9800 (Bond™ Polymer Refine Detection). Positive staining on plasma of mouse kidney. The section was incubated with ab313891 for 30 mins at room temperature. The immunostaining was performed on a Leica Biosystems BOND® RX instrument Counterstained with Hematoxylin. Secondary antibody only control : Secondary antibody is a ready to use LeicaDS9800 (Bond™ Polymer Refine Detection).Heat mediated antigen retrieval was performed with Tris-EDTA buffer (pH 9.0, Epitope Retrieval Solution2) for 20 mins

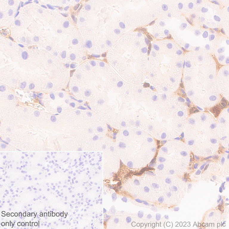
Immunohistochemistry (Formalin/PFA-fixed paraffin-embedded sections) - Anti-Plasma Kallikrein 1B antibody [EPR28280-31] - BSA and Azide free (AB313892)
  • IHC-P

Supplier Data

Immunohistochemistry (Formalin/PFA-fixed paraffin-embedded sections) - Anti-Plasma Kallikrein 1B antibody [EPR28280-31] - BSA and Azide free (AB313892)

This data was developed using ab313891, the same antibody clone in a different buffer formulation. Immunohistochemical analysis of paraffin-embedded Rat kidney tissue labeling Plasma Kallikrein 1B with ab313891 at 1/500 (1.038 µg/ml) followed by a ready to use LeicaDS9800 (Bond™ Polymer Refine Detection). Positive staining on plasma of rat kidney. The section was incubated with ab313891 for 30 mins at room temperature. The immunostaining was performed on a Leica Biosystems BOND® RX instrument Counterstained with Hematoxylin. Secondary antibody only control : Secondary antibody is a ready to use LeicaDS9800 (Bond™ Polymer Refine Detection).Heat mediated antigen retrieval was performed with Tris-EDTA buffer (pH 9.0, Epitope Retrieval Solution2) for 20 mins

Immunohistochemistry (Formalin/PFA-fixed paraffin-embedded sections) - Anti-Plasma Kallikrein 1B antibody [EPR28280-31] - BSA and Azide free (AB313892)
  • IHC-P

Supplier Data

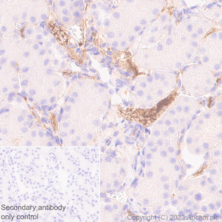
Immunohistochemistry (Formalin/PFA-fixed paraffin-embedded sections) - Anti-Plasma Kallikrein 1B antibody [EPR28280-31] - BSA and Azide free (AB313892)

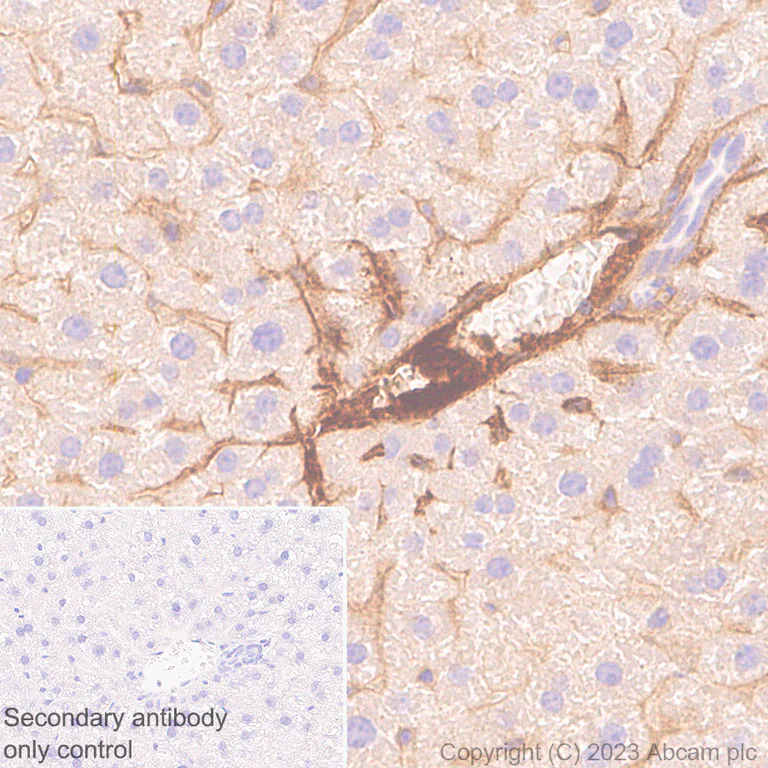
This data was developed using ab313891, the same antibody clone in a different buffer formulation. Immunohistochemical analysis of paraffin-embedded Non-perfused fixed r tissue labeling Plasma Kallikrein 1B with ab313891 at 1/500 (1.038 µg/ml) followed by a ready to use LeicaDS9800 (Bond™ Polymer Refine Detection). Positive staining on non-perfused fixed rat liver. The section was incubated with ab313891 for 30 mins at room temperature. The immunostaining was performed on a Leica Biosystems BOND® RX instrument Counterstained with Hematoxylin. Secondary antibody only control : Secondary antibody is a ready to use LeicaDS9800 (Bond™ Polymer Refine Detection).Heat mediated antigen retrieval was performed with Tris-EDTA buffer (pH 9.0, Epitope Retrieval Solution2) for 20 mins

Immunohistochemistry (Formalin/PFA-fixed paraffin-embedded sections) - Anti-Plasma Kallikrein 1B antibody [EPR28280-31] - BSA and Azide free (AB313892)
  • IHC-P

Supplier Data

Immunohistochemistry (Formalin/PFA-fixed paraffin-embedded sections) - Anti-Plasma Kallikrein 1B antibody [EPR28280-31] - BSA and Azide free (AB313892)

This data was developed using ab313891, the same antibody clone in a different buffer formulation. Immunohistochemical analysis of paraffin-embedded Non-perfused fixed m tissue labeling Plasma Kallikrein 1B with ab313891 at 1/500 (1.038 µg/ml) followed by a ready to use LeicaDS9800 (Bond™ Polymer Refine Detection). Positive staining on non-perfused fixed mouse liver. The section was incubated with ab313891 for 30 mins at room temperature. The immunostaining was performed on a Leica Biosystems BOND® RX instrument Counterstained with Hematoxylin. Secondary antibody only control : Secondary antibody is a ready to use LeicaDS9800 (Bond™ Polymer Refine Detection).Heat mediated antigen retrieval was performed with Tris-EDTA buffer (pH 9.0, Epitope Retrieval Solution2) for 20 mins

Immunoprecipitation - Anti-Plasma Kallikrein 1B antibody [EPR28280-31] - BSA and Azide free (AB313892)
  • IP

Supplier Data

Immunoprecipitation - Anti-Plasma Kallikrein 1B antibody [EPR28280-31] - BSA and Azide free (AB313892)

This data was developed using ab313891, the same antibody clone in a different buffer formulation. Plasma Kallikrein 1B was immunoprecipitated from 0.35 mg Mouse liver tissue lysate with ab313891 at 1/30 dilution (2µg in 0.35mg lysates). Western blot was performed on the immunoprecipitate using ab313891 at 1/1000 dilution. VeriBlot for IP secondary antibody(HRP)(ab131366) was used at 1/5000 dilution. Lane 1 : Mouse liver tissue lysate Lane 2 : ab313891 IP in Mouse liver tissue lysate Lane 3 : Rabbit monoclonal IgG (ab172730) instead of ab313891 in mouse liver tissue lysate. Blocking and dilution buffer and concentration : 5% NFDM/TBST. Exposure time : 180 seconds

All lanes:

Immunoprecipitation - Anti-Plasma Kallikrein 1B antibody [EPR28280-31] (<a href='/en-us/products/primary-antibodies/plasma-kallikrein-1b-antibody-epr28280-31-ab313891'>ab313891</a>) at 1/30 dilution

All lanes:

Mouse liver tissue lysate

Secondary

All lanes:

Immunoprecipitation - VeriBlot for IP Detection Reagent (HRP) (<a href='/en-us/products/reagents/veriblot-for-ip-detection-reagent-hrp-ab131366'>ab131366</a>) at 1/5000 dilution

false

Exposure time: 180s

Western blot - Anti-Plasma Kallikrein 1B antibody [EPR28280-31] - BSA and Azide free (AB313892)
  • WB

Supplier Data

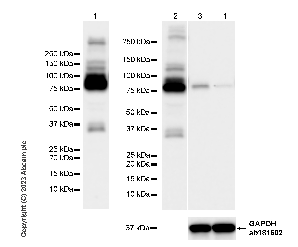
Western blot - Anti-Plasma Kallikrein 1B antibody [EPR28280-31] - BSA and Azide free (AB313892)

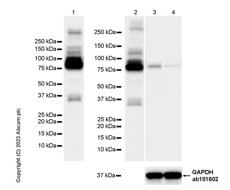
This data was developed using ab313891, the same antibody clone in a different buffer formulation. Blocking and diluting buffer and concentration : 5% NFDM/TBST Low expression : spleen (PMID : 30559188), brain, liver. The expression profile/ molecular weight observed is consistent with what has been described in the literature (PMID : 30559188, 29489063). The identity of the lower MW band at approximately 36 kDa is light chain of Plasma Kallikrein 1B. The bands above 80 kDa are unknown. In Western blot, Anti-GAPDH antibody [EPR16891] - Loading Control (ab181602) staining at 1/200000 dilution. Exposure time : 3.25 seconds

All lanes:

Western blot - Anti-Plasma Kallikrein 1B antibody [EPR28280-31] (<a href='/en-us/products/primary-antibodies/plasma-kallikrein-1b-antibody-epr28280-31-ab313891'>ab313891</a>) at 1/1000 dilution

Lane 1:

Rat serum lysate at 10 µg

Lane 2:

Rat plasma lysate at 10 µg

Lane 3:

Rat spleen lysate at 10 µg

Lane 4:

Rat brain lysate at 10 µg

Lane 5:

Rat liver lysate at 40 µg

Secondary

All lanes:

Goat Anti-Rabbit IgG (HRP) with minimal cross-reactivity with human IgG at 1/2000 dilution

Observed band size: 80 kDa

false

Exposure time: 3.25s

Western blot - Anti-Plasma Kallikrein 1B antibody [EPR28280-31] - BSA and Azide free (AB313892)
  • WB

Supplier Data

Western blot - Anti-Plasma Kallikrein 1B antibody [EPR28280-31] - BSA and Azide free (AB313892)

This data was developed using ab313891, the same antibody clone in a different buffer formulation. Low expression : spleen (PMID : 30559188), brain. The expression profile/ molecular weight observed is consistent with what has been described in the literature (PMID : 30559188, 29489063). The identity of the lower MW band at approximately 36 kDa is light chain of Plasma Kallikrein 1B. The bands above 80 kDa are unknown. In Western blot, Anti-GAPDH antibody [EPR16891] - Loading Control (ab181602) staining at 1/200000 dilution. Exposure time : 3.25 seconds

All lanes:

Western blot - Anti-Plasma Kallikrein 1B antibody [EPR28280-31] (<a href='/en-us/products/primary-antibodies/plasma-kallikrein-1b-antibody-epr28280-31-ab313891'>ab313891</a>) at 1/1000 dilution

Lane 1:

Mouse plasma lysate at 10 µg

Lane 2:

Mouse serum lysate at 10 µg

Lane 3:

Mouse spleen lysate at 10 µg

Lane 4:

Mouse brain lysate at 10 µg

Secondary

All lanes:

Goat Anti-Rabbit IgG (HRP) with minimal cross-reactivity with human IgG at 1/2000 dilution

Observed band size: 80 kDa

false

Exposure time: 3.25s

Western blot - Anti-Plasma Kallikrein 1B antibody [EPR28280-31] - BSA and Azide free (AB313892)
  • WB

Supplier Data

Western blot - Anti-Plasma Kallikrein 1B antibody [EPR28280-31] - BSA and Azide free (AB313892)

This data was developed using ab313891, the same antibody clone in a different buffer formulation. Blocking and diluting buffer and concentration : 5% NFDM/TBST Plasma Kallikrein 1B detected a shift from 80kDa to 75kDa band after deglycosylation treatment. In Western blot, Anti-GAPDH antibody [EPR16891] - Loading Control (ab181602) staining at 1/200000 dilution. Exposure time : 180 seconds

All lanes:

Western blot - Anti-Plasma Kallikrein 1B antibody [EPR28280-31] (<a href='/en-us/products/primary-antibodies/plasma-kallikrein-1b-antibody-epr28280-31-ab313891'>ab313891</a>) at 1/1000 dilution

Lane 1:

Untreated mouse liver tissue lysate at 20 µg

Lane 2:

Mouse liver tissue lysate treated with Protein treated with Peptide:N-glycosidase F (PNGase F) at 20 µg

Secondary

All lanes:

Western blot - Goat Anti-Rabbit IgG H&L (HRP) (<a href='/en-us/products/secondary-antibodies/goat-rabbit-igg-h-l-hrp-ab97051'>ab97051</a>) at 1/100000 dilution

Observed band size: 80 kDa

false

Exposure time: 180s

Dot Blot - Anti-Plasma Kallikrein 1B antibody [EPR28280-31] - BSA and Azide free (AB313892)
  • Dot

Supplier Data

Dot Blot - Anti-Plasma Kallikrein 1B antibody [EPR28280-31] - BSA and Azide free (AB313892)

This data was developed using ab313891, the same antibody clone in a different buffer formulation. Dot blot analysis of Plasma Kallikrein 1B using ab313891 at 1 : 1000 (0.519 ug/ml) followed by a Goat Anti-Rabbit IgG, (H+L), Peroxidase conjugated (ab97051) at 1 : 100,000 dilution. Exposure time : 180 seconds. Blocking and diluting buffer and concentration : 5% NFDM/TBST

  • Unconjugated

    Anti-Plasma Kallikrein 1B antibody [EPR28280-31]

Key facts

Host species

Rabbit

Clonality

Monoclonal

Clone number

EPR28280-31

Isotype

IgG

Carrier free

Yes

Reacts with

Mouse, Rat

Applications

IP, WB, Dot, IHC-P

applications

Immunogen

The exact immunogen used to generate this antibody is proprietary information.

Reactivity data

{ "title": "Reactivity Data", "filters": { "stats": ["", "Species", "Dilution Info", "Notes"], "tabs": { "all-applications": {"fullname" : "All Applications", "shortname": "All Applications"}, "WB" : {"fullname" : "Western blot", "shortname":"WB"}, "IP" : {"fullname" : "Immunoprecipitation", "shortname":"IP"}, "IHCP" : {"fullname" : "Immunohistochemistry (Formalin/PFA-fixed paraffin-embedded sections)", "shortname":"IHC-P"}, "Dot" : {"fullname" : "Dot Blot", "shortname":"Dot"}, "FlowCytIntra" : {"fullname" : "Flow Cytometry (Intracellular)", "shortname":"Flow Cyt (Intra)"}, "IHCFr" : {"fullname" : "Immunohistochemistry (Frozen sections)", "shortname":"IHC-Fr"}, "ICCIF" : {"fullname" : "Immunocytochemistry/ Immunofluorescence", "shortname":"ICC/IF"} }, "product-promise": { "all": "all", "testedAndGuaranteed": "tested", "guaranteed": "expected", "predicted": "predicted", "notRecommended": "not-recommended" } }, "values": { "Human": { "WB-species-checked": "notRecommended", "WB-species-dilution-info": "", "WB-species-notes": "<p></p>", "IP-species-checked": "notRecommended", "IP-species-dilution-info": "", "IP-species-notes": "", "IHCP-species-checked": "notRecommended", "IHCP-species-dilution-info": "", "IHCP-species-notes": "<p></p>", "Dot-species-checked": "notRecommended", "Dot-species-dilution-info": "", "Dot-species-notes": "", "FlowCytIntra-species-checked": "notRecommended", "FlowCytIntra-species-dilution-info": "", "FlowCytIntra-species-notes": "", "IHCFr-species-checked": "notRecommended", "IHCFr-species-dilution-info": "", "IHCFr-species-notes": "", "ICCIF-species-checked": "notRecommended", "ICCIF-species-dilution-info": "", "ICCIF-species-notes": "" }, "Mouse": { "WB-species-checked": "testedAndGuaranteed", "WB-species-dilution-info": "", "WB-species-notes": "<p></p>", "IP-species-checked": "testedAndGuaranteed", "IP-species-dilution-info": "", "IP-species-notes": "<p></p>", "IHCP-species-checked": "testedAndGuaranteed", "IHCP-species-dilution-info": "", "IHCP-species-notes": "<p></p>", "Dot-species-checked": "guaranteed", "Dot-species-dilution-info": "", "Dot-species-notes": "", "FlowCytIntra-species-checked": "notRecommended", "FlowCytIntra-species-dilution-info": "", "FlowCytIntra-species-notes": "<p></p>", "IHCFr-species-checked": "notRecommended", "IHCFr-species-dilution-info": "", "IHCFr-species-notes": "<p></p>", "ICCIF-species-checked": "notRecommended", "ICCIF-species-dilution-info": "", "ICCIF-species-notes": "<p></p>" }, "Rat": { "WB-species-checked": "testedAndGuaranteed", "WB-species-dilution-info": "", "WB-species-notes": "<p></p>", "IP-species-checked": "guaranteed", "IP-species-dilution-info": "", "IP-species-notes": "", "IHCP-species-checked": "testedAndGuaranteed", "IHCP-species-dilution-info": "", "IHCP-species-notes": "<p></p>", "Dot-species-checked": "guaranteed", "Dot-species-dilution-info": "", "Dot-species-notes": "", "FlowCytIntra-species-checked": "notRecommended", "FlowCytIntra-species-dilution-info": "", "FlowCytIntra-species-notes": "", "IHCFr-species-checked": "notRecommended", "IHCFr-species-dilution-info": "", "IHCFr-species-notes": "<p></p>", "ICCIF-species-checked": "notRecommended", "ICCIF-species-dilution-info": "", "ICCIF-species-notes": "" }, "Recombinant fragment - Mouse": { "WB-species-checked": "notRecommended", "WB-species-dilution-info": "", "WB-species-notes": "", "IP-species-checked": "notRecommended", "IP-species-dilution-info": "", "IP-species-notes": "", "IHCP-species-checked": "notRecommended", "IHCP-species-dilution-info": "", "IHCP-species-notes": "", "Dot-species-checked": "testedAndGuaranteed", "Dot-species-dilution-info": "", "Dot-species-notes": "<p></p>", "FlowCytIntra-species-checked": "notRecommended", "FlowCytIntra-species-dilution-info": "", "FlowCytIntra-species-notes": "", "IHCFr-species-checked": "notRecommended", "IHCFr-species-dilution-info": "", "IHCFr-species-notes": "", "ICCIF-species-checked": "notRecommended", "ICCIF-species-dilution-info": "", "ICCIF-species-notes": "" } } }

Product details

ab313892 is the carrier-free version of ab313891.

Patented technology
Our RabMAb® technology is a patented hybridoma-based technology for making rabbit monoclonal antibodies. For details on our patents, please refer to RabMAb® patents.

What are the advantages of a recombinant monoclonal antibody?
This product is a recombinant monoclonal antibody, which offers several advantages including:

  • - High batch-to-batch consistency and reproducibility
  • - Improved sensitivity and specificity
  • - Long-term security of supply
  • - Animal-free batch production

For more information, read more on recombinant antibodies.

Conjugation ready
Our carrier-free antibodies are typically supplied in a PBS-only formulation, purified and free of BSA, sodium azide and glycerol. This conjugation-ready format is designed for use with fluorochromes, metal isotopes, oligonucleotides, and enzymes, which makes them ideal for antibody labelling, functional and cell-based assays, flow-based assays (e.g. mass cytometry) and Multiplex Imaging applications.

Use our conjugation kits for antibody conjugates that are ready-to-use in as little as 20 minutes with 1 minute hands-on-time and 100% antibody recovery: available for fluorescent dyes, HRP, biotin and gold.

Compatibility
This product is compatible with the Maxpar® Antibody Labeling Kit from Fluidigm, without the need for antibody preparation. Maxpar® is a trademark of Fluidigm Canada Inc.

Properties and storage information

Form
Liquid
Purification technique
Affinity purification Protein A
Storage buffer
pH: 7.2 - 7.4 Constituents: PBS
Shipped at conditions
Blue Ice
Appropriate short-term storage conditions
+4°C
Appropriate long-term storage conditions
+4°C

Supplementary information

This supplementary information is collated from multiple sources and compiled automatically.

Plasma Kallikrein 1B also known as PKK or KLKB1 is a serine protease enzyme with an approximate mass of 88 kDa. It is important for the blood coagulation process. This protein is mainly expressed in the liver and circulates in the blood as the inactive precursor prekallikrein. Through cleavage prekallikrein converts into its active form plasma kallikrein. Plasma kallikrein exhibits various proteolytic activities influencing multiple substrates involved in hemostatic and inflammatory responses.
Biological function summary

Plasma Kallikrein 1B plays significant roles in the kinin-kallikrein system. Within this system it cleaves high-molecular-weight kininogen to release bradykinin a potent vasodilator. This enzyme is not part of a larger protein complex but operates independently to modulate various physiological responses. Plasma kallikrein's activity influences processes like pain vasodilation and inflammation making it important in homeostasis and acute-phase responses.

Pathways

Plasma Kallikrein 1B participates actively in the kallikrein-kinin and the contact activation pathways. In the kallikrein-kinin system it works alongside high-molecular-weight kininogen and factor XII which plays an important role in the intrinsic pathway of coagulation. Plasma kallikrein's enzymatic activities lead to the production of bradykinin and other peptides impacting blood pressure and inflammatory processes.

Plasma Kallikrein 1B associates strongly with hereditary angioedema and diabetic retinopathy. In hereditary angioedema its dysregulation leads to excessive bradykinin production causing episodes of swelling. In diabetic retinopathy elevated plasma kallikrein activity can exacerbate vascular complications. Plasma kallikrein's disorderly activities also connect it to other proteins like C1 inhibitor in these pathological conditions highlighting its importance in clinical studies.

Product protocols

For this product, it's our understanding that no specific protocols are required. You can visit:

Target data

The enzyme cleaves Lys-Arg and Arg-Ser bonds. It activates, in a reciprocal reaction, factor XII after its binding to a negatively charged surface. It also releases bradykinin from HMW kininogen and may also play a role in the renin-angiotensin system by converting prorenin into renin.
See full target information Klkb1

Product promise

We are committed to supporting your work with high-quality reagents, and we're here for you every step of the way. In the unlikely event that one of our products does not perform as expected, you're protected by our Product Promise.
For full details, please see our Terms & Conditions

Please note: All products are 'FOR RESEARCH USE ONLY. NOT FOR USE IN DIAGNOSTIC OR THERAPEUTIC PROCEDURES'.

For licensing inquiries, please contact partnerships@abcam.com