JavaScript is disabled in your browser. Please enable JavaScript to view this website.
AB245247

Anti-Plasminogen antibody [EPR22406-159]

Be the first to review this product! Submit a review

|

(0 Publication)

Rabbit Recombinant Monoclonal Plasminogen antibody. Suitable for IP, WB and reacts with Mouse samples.

View Alternative Names

Plasminogen, Plg

2 Images
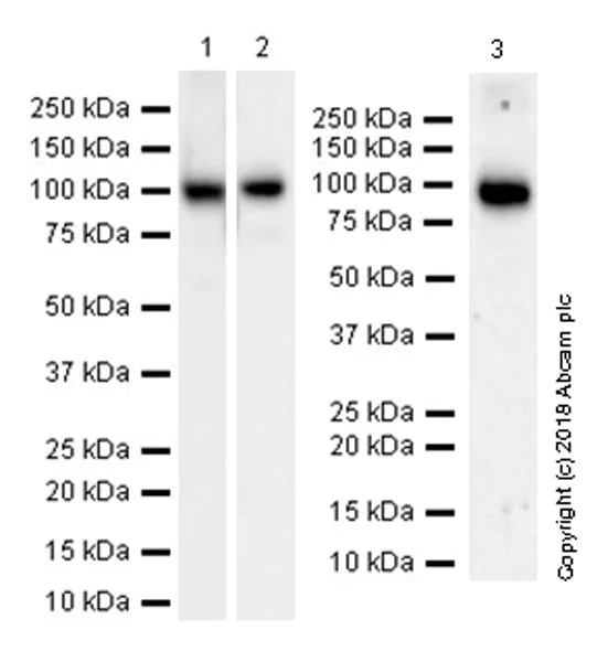
Western blot - Anti-Plasminogen antibody [EPR22406-159] (AB245247)
  • WB

Supplier Data

Western blot - Anti-Plasminogen antibody [EPR22406-159] (AB245247)

Exposure time : Lane 1 : 15 seconds; Lane 2 : 5 seconds; Lane 3 : 3 minutes.

Blocking/Dilution buffer : 5% NFDM/TBST.

All lanes:

Western blot - Anti-Plasminogen antibody [EPR22406-159] (ab245247) at 1/1000 dilution

Lane 1:

Mouse serum at 20 µg

Lane 2:

Mouse plasma at 20 µg

Lane 3:

Mouse liver lysate at 20 µg

Secondary

All lanes:

Western blot - VeriBlot for IP Detection Reagent (HRP) (<a href='/en-us/products/reagents/veriblot-for-ip-detection-reagent-hrp-ab131366'>ab131366</a>) at 1/1000 dilution

Predicted band size: 90 kDa

Observed band size: 97 kDa

false

Immunoprecipitation - Anti-Plasminogen antibody [EPR22406-159] (AB245247)
  • IP

Unknown

Immunoprecipitation - Anti-Plasminogen antibody [EPR22406-159] (AB245247)

Plasminogen was immunoprecipitated from 0.35 mg of mouse liver lysate with ab245247 at 1/30 dilution. Western blot was performed from the immunoprecipitate using ab245247 at 1/1000 dilution. VeriBlot for IP Detection Reagent (HRP) (ab131366), was used for detection at 1/5000 dilution.

Lane 1 : Mouse liver lysate 10 μg (Input).

Lane 2 : ab245247 IP in mouse liver lysate.

Lane 3 : Rabbit monoclonal IgG (ab172730) instead of ab245247 in mouse liver lysate.

Blocking and dilution buffer and concentration : 5% NFDM/TBST.

Exposure time : 30 seconds.

All lanes:

Immunoprecipitation - Anti-Plasminogen antibody [EPR22406-159] (ab245247)

Predicted band size: 90 kDa

Observed band size: 97 kDa

false

  • Carrier free

    Anti-Plasminogen antibody [EPR22406-159] - BSA and Azide free

Key facts

Host species

Rabbit

Clonality

Monoclonal

Clone number

EPR22406-159

Isotype

IgG

Carrier free

No

Reacts with

Mouse

Applications

WB, IP

applications

Immunogen

The exact immunogen used to generate this antibody is proprietary information.

Reactivity data

{ "title": "Reactivity Data", "filters": { "stats": ["", "Species", "Dilution Info", "Notes"], "tabs": { "all-applications": {"fullname" : "All Applications", "shortname": "All Applications"}, "IP" : {"fullname" : "Immunoprecipitation", "shortname":"IP"}, "WB" : {"fullname" : "Western blot", "shortname":"WB"}, "IHCP" : {"fullname" : "Immunohistochemistry (Formalin/PFA-fixed paraffin-embedded sections)", "shortname":"IHC-P"}, "IHCFr" : {"fullname" : "Immunohistochemistry (Frozen sections)", "shortname":"IHC-Fr"} }, "product-promise": { "all": "all", "testedAndGuaranteed": "tested", "guaranteed": "expected", "predicted": "predicted", "notRecommended": "not-recommended" } }, "values": { "Mouse": { "IP-species-checked": "testedAndGuaranteed", "IP-species-dilution-info": "1/30", "IP-species-notes": "<p></p>", "WB-species-checked": "testedAndGuaranteed", "WB-species-dilution-info": "1/1000", "WB-species-notes": "<p></p>", "IHCP-species-checked": "notRecommended", "IHCP-species-dilution-info": "", "IHCP-species-notes": "<p></p>", "IHCFr-species-checked": "notRecommended", "IHCFr-species-dilution-info": "", "IHCFr-species-notes": "<p></p>" } } }

You may be interested in:

AB108905

Tissue type Plasminogen Activator Activity Assay Kit (Colorimetric, Human)

5

1 Reviews

View product

We recommend this product because it’s often used in the same experiment or related research.

We advise that you always check the datasheet to ensure it fits your experiments, or contact ourtechnical teamfor help.

Product details

Patented technology
Our RabMAb® technology is a patented hybridoma-based technology for making rabbit monoclonal antibodies. For details on our patents, please refer to RabMAb® patents.

What are the advantages of a recombinant monoclonal antibody?
This product is a recombinant monoclonal antibody, which offers several advantages including:

  • - High batch-to-batch consistency and reproducibility
  • - Improved sensitivity and specificity
  • - Long-term security of supply
  • - Animal-free batch production

For more information, read more on recombinant antibodies.

Properties and storage information

Form
Liquid
Purification technique
Affinity purification Protein A
Storage buffer
pH: 7.2 - 7.4 Preservative: 0.01% Sodium azide Constituents: PBS, 40% Glycerol (glycerin, glycerine), 0.05% BSA
Shipped at conditions
Blue Ice
Appropriate short-term storage duration
1-2 weeks
Appropriate short-term storage conditions
+4°C
Appropriate long-term storage conditions
-20°C
Aliquoting information
Upon delivery aliquot
Storage information
Avoid freeze / thaw cycle

Supplementary information

This supplementary information is collated from multiple sources and compiled automatically.

Plasminogen also known as PLG is an important protein with a molecular weight of approximately 92 kDa. Plasminogen is a zymogen which means it is an inactive precursor that requires activation to function. It is produced primarily in the liver and circulates in blood plasma. Its expression occurs mainly in the liver but you can detect it in various tissues including the kidney. Plasminogen binds to tissue surfaces and undergoes transformation into plasmin an active enzyme that plays significant roles in many biological processes.
Biological function summary

Plasminogen plays a central role in fibrinolysis which is the breakdown of fibrin clots. This process is essential in wound healing and maintaining normal blood flow. Plasminogen once activated to plasmin acts by degrading fibrin a major component of blood clots. The protein forms part of the fibrinolytic system along with other components like tissue plasminogen activator (tPA). Together they ensure that any clots forming within blood vessels are regulated and dissolved as necessary preventing blockages.

Pathways

Plasminogen is deeply involved in the coagulation and fibrinolytic systems. The conversion of plasminogen to plasmin is a critical step in these pathways requiring activators such as urokinase. Plasminogen has interactions with proteins like alpha-2-antiplasmin and thrombin which help modulate its activity. These interactions ensure a careful balance is maintained between clot formation and dissolution which is vital for normal bodily function.

Plasminogen deficiency is linked with conditions like ligneous conjunctivitis a rare disorder characterized by membranous lesions mainly in the eyes. Reduced plasminogen activity can lead to excessive clot formation contributing to thrombosis risk. Plasminogen's interaction with plasmin and its deficiency can also associate with angioedema a condition that causes sudden swelling in the deeper layers of skin and tissues. Understanding the pathways and the proteins involved in plasminogen's function presents therapeutic potential in managing these disorders.

Product protocols

For this product, it's our understanding that no specific protocols are required. You can visit:

Target data

Plasmin dissolves the fibrin of blood clots and acts as a proteolytic factor in a variety of other processes including embryonic development, tissue remodeling, tumor invasion, and inflammation. In ovulation, weakens the walls of the Graafian follicle. It activates the urokinase-type plasminogen activator, collagenases and several complement zymogens, such as C1 and C5. Cleavage of fibronectin and laminin leads to cell detachment and apoptosis. Also cleaves fibrin, thrombospondin and von Willebrand factor. Its role in tissue remodeling and tumor invasion may be modulated by CSPG4. Binds to cells (By similarity).. Angiostatin is an angiogenesis inhibitor that blocks neovascularization and growth of experimental primary and metastatic tumors in vivo.
See full target information Plg

Product promise

We are committed to supporting your work with high-quality reagents, and we're here for you every step of the way. In the unlikely event that one of our products does not perform as expected, you're protected by our Product Promise.
For full details, please see our Terms & Conditions

Associated Products

Select an associated product type
Alternative Product
Primary Antibodies

AB180046

Anti-Plasminogen antibody

primary-antibodies

plasminogen-antibody-ab180046

0

(0 reviews)

Alternative Product
Primary Antibodies

AB7335

Biotin Anti-Plasminogen antibody

primary-antibodies

biotin-plasminogen-antibody-ab7335

4

(1 reviews)

Alternative Product
Primary Antibodies

AB181635

Anti-Plasminogen antibody

primary-antibodies

plasminogen-antibody-ab181635

0

(0 reviews)

Alternative Product
Primary Antibodies

AB181649

HRP Anti-Plasminogen antibody

primary-antibodies

hrp-plasminogen-antibody-ab181649

0

(0 reviews)

Alternative Product
Primary Antibodies

AB242334

Anti-Plasminogen antibody [EPR22254-115] - BSA and Azide free

primary-antibodies

plasminogen-antibody-epr22254-115-bsa-and-azide-free-ab242334

0

(0 reviews)

Alternative Product
Primary Antibodies

AB232456

Anti-Plasminogen antibody [EPSISR18(2)] - BSA and Azide free

primary-antibodies

plasminogen-antibody-epsisr182-bsa-and-azide-free-ab232456

0

(0 reviews)

Alternative Product
Primary Antibodies

AB242329

Anti-Plasminogen antibody [EPR22254-115]

primary-antibodies

plasminogen-antibody-epr22254-115-ab242329

0

(0 reviews)

Alternative Product
Primary Antibodies

AB154560

Anti-Plasminogen antibody

primary-antibodies

plasminogen-antibody-ab154560

0

(0 reviews)

Alternative Product
Primary Antibodies

AB174285

Anti-Plasminogen antibody [EPSISR18(2)]

primary-antibodies

plasminogen-antibody-epsisr182-ab174285

4

(1 reviews)

Please note: All products are 'FOR RESEARCH USE ONLY. NOT FOR USE IN DIAGNOSTIC OR THERAPEUTIC PROCEDURES'.

For licensing inquiries, please contact partnerships@abcam.com