JavaScript is disabled in your browser. Please enable JavaScript to view this website.
AB236104

Anti-Plastin L antibody

Be the first to review this product! Submit a review

|

(1 Publication)

Rabbit Polyclonal Plastin L antibody. Suitable for IP, WB, IHC-P and reacts with Human, Mouse samples. Cited in 1 publication. Immunogen corresponding to Recombinant Full Length Protein corresponding to Human LCP1.

View Alternative Names

PLS2, LCP1, Plastin-2, L-plastin, LC64P, Lymphocyte cytosolic protein 1, LCP-1

3 Images
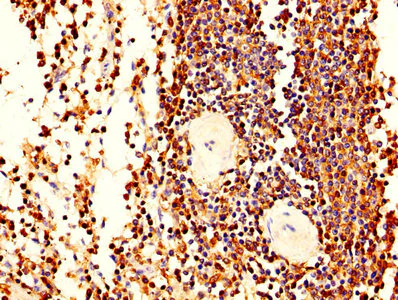
Immunohistochemistry (Formalin/PFA-fixed paraffin-embedded sections) - Anti-Plastin L antibody (AB236104)
  • IHC-P

Supplier Data

Immunohistochemistry (Formalin/PFA-fixed paraffin-embedded sections) - Anti-Plastin L antibody (AB236104)

Paraffin-embedded human spleen tissue stained for Plastin L using ab236104 at 1/400 dilution in immunohistochemical analysis.

After dewaxing and hydration, antigen retrieval was mediated by high pressure in a citrate buffer (pH 6.0). Section was blocked with 10% normal goat serum 30 minutes at RT. Then primary antibody (1% BSA) was incubated at 4°C overnight. The primary is detected by a biotinylated secondary antibody and visualized tissue using an HRP conjugated SP system.

Western blot - Anti-Plastin L antibody (AB236104)
  • WB

Supplier Data

Western blot - Anti-Plastin L antibody (AB236104)

All lanes:

Western blot - Anti-Plastin L antibody (ab236104) at 1/1000 dilution

Lane 1:

HL-60 (human promyelocytic leukemia cell line) whole cell lysate

Lane 2:

THP-1 (human monocytic leukemia cell line) whole cell lysate

Lane 3:

K562 (human chronic myelogenous leukemia cell line from bone marrow) whole cell lysate

Lane 4:

Jurkat (human T cell leukemia cell line from peripheral blood) whole cell lysate

Lane 5:

HeLa (human epithelial cell line from cervix adenocarcinoma) whole cell lysate

Lane 6:

NIH/3T3 (mouse embryo fibroblast cell line) whole cell lysate

Secondary

All lanes:

Goat polyclonal to rabbit IgG at 1/10000 dilution

Predicted band size: 70 kDa

false

Immunoprecipitation - Anti-Plastin L antibody (AB236104)
  • IP

Supplier Data

Immunoprecipitation - Anti-Plastin L antibody (AB236104)

Plastin L was immunoprecipitated from Jurkat (human T cell leukemia cell line from peripheral blood) whole cell lysate using ab236104 at 1/200 dilution.

Lane 1 : Rabbit control IgG in Jurkat whole cell lysate.

Lane 2 : ab236104 in Jurkat whole cell lysate.

Lane 3 : Jurkat whole cell lysate (20 μg input).

For western blotting an HRP-conjugated Protein G antibody was used as the secondary antibody at 1/2000 dilution.

All lanes:

Immunoprecipitation - Anti-Plastin L antibody (ab236104)

Predicted band size: 70 kDa

false

Key facts

Host species

Rabbit

Clonality

Polyclonal

Isotype

IgG

Carrier free

No

Reacts with

Mouse, Human

Applications

IHC-P, IP, WB

applications

Immunogen

Recombinant Full Length Protein corresponding to Human LCP1.

P13796

Reactivity data

{ "title": "Reactivity Data", "filters": { "stats": ["", "Species", "Dilution Info", "Notes"], "tabs": { "all-applications": {"fullname" : "All Applications", "shortname": "All Applications"}, "IP" : {"fullname" : "Immunoprecipitation", "shortname":"IP"}, "WB" : {"fullname" : "Western blot", "shortname":"WB"}, "IHCP" : {"fullname" : "Immunohistochemistry (Formalin/PFA-fixed paraffin-embedded sections)", "shortname":"IHC-P"} }, "product-promise": { "all": "all", "testedAndGuaranteed": "tested", "guaranteed": "expected", "predicted": "predicted", "notRecommended": "not-recommended" } }, "values": { "Human": { "IP-species-checked": "testedAndGuaranteed", "IP-species-dilution-info": "1/200 - 1/2000", "IP-species-notes": "<p></p>", "WB-species-checked": "testedAndGuaranteed", "WB-species-dilution-info": "1/1000 - 1/5000", "WB-species-notes": "<p></p>", "IHCP-species-checked": "testedAndGuaranteed", "IHCP-species-dilution-info": "1/200 - 1/500", "IHCP-species-notes": "<p></p>" }, "Mouse": { "IP-species-checked": "guaranteed", "IP-species-dilution-info": "", "IP-species-notes": "", "WB-species-checked": "testedAndGuaranteed", "WB-species-dilution-info": "1/1000 - 1/5000", "WB-species-notes": "<p></p>", "IHCP-species-checked": "guaranteed", "IHCP-species-dilution-info": "", "IHCP-species-notes": "" } } }

Properties and storage information

Form
Liquid
Purification technique
Affinity purification Protein G
Purification notes
Purity >95%.
Storage buffer
pH: 7.4 Preservative: 0.03% Proclin 300 Constituents: PBS, 50% Glycerol (glycerin, glycerine)
Shipped at conditions
Blue Ice
Appropriate short-term storage duration
1-2 weeks
Appropriate short-term storage conditions
+4°C
Appropriate long-term storage conditions
-20°C
Aliquoting information
Upon delivery aliquot
Storage information
Avoid freeze / thaw cycle

Supplementary information

This supplementary information is collated from multiple sources and compiled automatically.

Plastin L also known as L-Plastin or plastine is a type of actin-bundling protein involved in regulating cytoskeletal rearrangements. This protein has a mass of approximately 70 kDa and serves an essential role in maintaining cell structure and mobility by cross-linking actin filaments. It is predominantly found in hematopoietic cells such as leukocytes but also expressed in certain non-hematopoietic cells. In zebrafish studies plastin L has been important for understanding its conservation and function across species.
Biological function summary

Plastin L participates in cellular processes such as phagocytosis cell motility and immune responses by stabilizing actin filaments. It does not form part of a larger protein complex but interacts with actin to perform its functions. As an actin-binding protein it helps in the formation and maintenance of the cytoskeleton impacting the cell's mechanical properties and response to external stimuli.

Pathways

Plastin L plays significant roles in immune cell signaling and cytoskeletal rearrangements. It is involved in pathways such as the immune response and cell adhesion where it contributes to leukocyte emigration and inflammation. Plastin L is functionally related to proteins like talin and paxillin which are key in mediating signal transduction resulting in cytoskeletal remodeling.

Plastin L is associated with cancer and immune system disorders. Overexpression of plastin L correlates with various forms of cancer highlighting its role in tumor cell invasion and metastasis. Additionally it shows a connection with autoimmune conditions where deregulation of actin polymerization affects immune cell function. In these contexts proteins like cofilin interact with plastin L to modulate actin dynamics and cellular responses.

Product protocols

For this product, it's our understanding that no specific protocols are required. You can visit:

Target data

Actin-binding protein (PubMed : 16636079, PubMed : 17294403, PubMed : 28493397). Plays a role in the activation of T-cells in response to costimulation through TCR/CD3 and CD2 or CD28 (PubMed : 17294403). Modulates the cell surface expression of IL2RA/CD25 and CD69 (PubMed : 17294403).
See full target information LCP1

Publications (1)

Recent publications for all applications. Explore the full list and refine your search

Journal of cellular and molecular medicine 29:e70388 PubMed39988987

2025

Baicalin Prevents Chronic β-AR Agonist-Induced Heart Failure via Preventing Oxidative Stress and Overactivation of the NADPH Oxidase NOX2.

Applications

Unspecified application

Species

Unspecified reactive species

Yixuan Ge,En Ma,Xiaowei Guo,Qing Wang,Weidong Zhu,Dan-Ni Ren,Da Wo
View all publications

Product promise

We are committed to supporting your work with high-quality reagents, and we're here for you every step of the way. In the unlikely event that one of our products does not perform as expected, you're protected by our Product Promise.
For full details, please see our Terms & Conditions

Please note: All products are 'FOR RESEARCH USE ONLY. NOT FOR USE IN DIAGNOSTIC OR THERAPEUTIC PROCEDURES'.

For licensing inquiries, please contact partnerships@abcam.com