JavaScript is disabled in your browser. Please enable JavaScript to view this website.
AB231825

Anti-PLBD2 antibody [EPR21742] - BSA and Azide free

Be the first to review this product! Submit a review

|

(1 Publication)

Rabbit Recombinant Monoclonal PLBD2 antibody. Carrier free. Suitable for WB and reacts with Human, Mouse, Rat samples. Cited in 1 publication.

View Alternative Names

Putative phospholipase B-like 2, 76 kDa protein, LAMA-like protein 2, Lamina ancestor homolog 2, Phospholipase B domain-containing protein 2, p76, PLBD2

1 Images
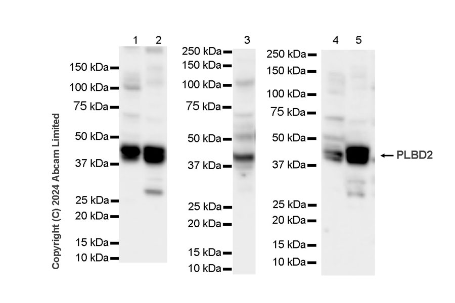
Western blot - Anti-PLBD2 antibody [EPR21742] - BSA and Azide free (AB231825)
  • WB

Supplier Data

Western blot - Anti-PLBD2 antibody [EPR21742] - BSA and Azide free (AB231825)

Blocking and dilution buffer : 5% NFDM/TBST.

Exposure times.

Lanes 1 & 2 : 59 seconds

Lane 3 : 15 seconds.

Lanes 4 & 5 : 3 seconds.

Lanes 6 & 7 : 3 minutes.

Full-length PLBD2 (76 kDa) can be cleaved into N-terminal and C-terminal fragments according to the literature (PMID : 17007843, PMID : 17105447).

This antibody recognizes both full-length and the N-terminal fragment of PLBD2.

This data was developed using the same antibody clone in a different buffer formulation containing PBS, BSA, glycerol, and sodium azide (ab216866).

All lanes:

Western blot - Anti-PLBD2 antibody [EPR21742] - BSA and Azide free (ab231825) at 1/1000 dilution

Lane 1:

U937 (human histiocytic lymphoma cell line) whole cell lysate at 20 µg

Lane 2:

Human fetal spleen tissue lysate at 20 µg

Lane 3:

MCF7 (human breast adenocarcinoma cell line) whole cell lysate at 20 µg

Lane 4:

MEF (mouse embryonic fibroblast cell line) whole cell lysate at 20 µg

Lane 5:

NIH/3T3 (mouse embryo fibroblast cell line) whole cell lysate at 20 µg

Lane 6:

Human fetalkidney tissue lysate at 20 µg

Lane 7:

Human fetal brain tissue lysate at 10 µg

Secondary

All lanes:

Western blot - Goat Anti-Rabbit IgG H&L (HRP) (<a href='/en-us/products/secondary-antibodies/goat-rabbit-igg-h-l-hrp-ab97051'>ab97051</a>) at 1/100000 dilution

Predicted band size: 65 kDa

Observed band size: 28 kDa,32 kDa,76 kDa

true

Key facts

Host species

Rabbit

Clonality

Monoclonal

Clone number

EPR21742

Isotype

IgG

Carrier free

Yes

Reacts with

Mouse, Rat, Human

Applications

WB

applications

Immunogen

The exact immunogen used to generate this antibody is proprietary information.

Reactivity data

{ "title": "Reactivity Data", "filters": { "stats": ["", "Species", "Dilution Info", "Notes"], "tabs": { "all-applications": {"fullname" : "All Applications", "shortname": "All Applications"}, "WB" : {"fullname" : "Western blot", "shortname":"WB"} }, "product-promise": { "all": "all", "testedAndGuaranteed": "tested", "guaranteed": "expected", "predicted": "predicted", "notRecommended": "not-recommended" } }, "values": { "Human": { "WB-species-checked": "testedAndGuaranteed", "WB-species-dilution-info": "", "WB-species-notes": "<p></p>" }, "Mouse": { "WB-species-checked": "testedAndGuaranteed", "WB-species-dilution-info": "", "WB-species-notes": "<p></p>" }, "Rat": { "WB-species-checked": "testedAndGuaranteed", "WB-species-dilution-info": "", "WB-species-notes": "<p></p>" } } }

Product details

ab231825 is the carrier-free version of ab216866.

Patented technology
Our RabMAb® technology is a patented hybridoma-based technology for making rabbit monoclonal antibodies. For details on our patents, please refer to RabMAb® patents.

What are the advantages of a recombinant monoclonal antibody?
This product is a recombinant monoclonal antibody, which offers several advantages including:

  • - High batch-to-batch consistency and reproducibility
  • - Improved sensitivity and specificity
  • - Long-term security of supply
  • - Animal-free batch production

For more information, read more on recombinant antibodies.

Conjugation ready
Our carrier-free antibodies are typically supplied in a PBS-only formulation, purified and free of BSA, sodium azide and glycerol. This conjugation-ready format is designed for use with fluorochromes, metal isotopes, oligonucleotides, and enzymes, which makes them ideal for antibody labelling, functional and cell-based assays, flow-based assays (e.g. mass cytometry) and Multiplex Imaging applications.

Use our conjugation kits for antibody conjugates that are ready-to-use in as little as 20 minutes with 1 minute hands-on-time and 100% antibody recovery: available for fluorescent dyes, HRP, biotin and gold.

Compatibility
This product is compatible with the Maxpar® Antibody Labeling Kit from Fluidigm, without the need for antibody preparation. Maxpar® is a trademark of Fluidigm Canada Inc.

Properties and storage information

Form
Liquid
Purification technique
Affinity purification Protein A
Storage buffer
pH: 7.2 - 7.4 Constituents: PBS
Shipped at conditions
Blue Ice
Appropriate short-term storage conditions
+4°C
Appropriate long-term storage conditions
+4°C
Storage information
Do Not Freeze

Product protocols

For this product, it's our understanding that no specific protocols are required. You can visit:

Target data

Putative phospholipase.
See full target information PLBD2

Publications (1)

Recent publications for all applications. Explore the full list and refine your search

Cell cycle (Georgetown, Tex.) 19:1443-1453 PubMed32378978

2020

miR-296-5p inhibits IL-1β-induced apoptosis and cartilage degradation in human chondrocytes by directly targeting TGF-β1/CTGF/p38MAPK pathway.

Applications

Unspecified application

Species

Unspecified reactive species

Zhilin Cao,Wenguang Liu,Xiaoyi Qu,Haiyong Bi,Xiujiang Sun,Qian Yu,Gong Cheng
View all publications

Product promise

We are committed to supporting your work with high-quality reagents, and we're here for you every step of the way. In the unlikely event that one of our products does not perform as expected, you're protected by our Product Promise.
For full details, please see our Terms & Conditions

Please note: All products are 'FOR RESEARCH USE ONLY. NOT FOR USE IN DIAGNOSTIC OR THERAPEUTIC PROCEDURES'.

For licensing inquiries, please contact partnerships@abcam.com