JavaScript is disabled in your browser. Please enable JavaScript to view this website.
AB133522

Anti-PLCG 2 antibody [EPR5914-34]

Be the first to review this product! Submit a review

|

(2 Publications)

Knockout Tested Rabbit Recombinant Monoclonal PLCG 2 antibody. Suitable for IP, IHC-P, WB, Flow Cyt (Intra) and reacts with Human samples. Cited in 2 publications.

View Alternative Names

Phosphoinositide phospholipase C-gamma-2, Phospholipase C-IV, Phospholipase C-gamma-2, PLC-IV, PLC-gamma-2, PLCG2

7 Images
Flow Cytometry (Intracellular) - Anti-PLCG 2 antibody [EPR5914-34] (AB133522)
  • Flow Cyt (Intra)

Lab

Flow Cytometry (Intracellular) - Anti-PLCG 2 antibody [EPR5914-34] (AB133522)

Flow Cytometry analysis of Human Peripheral Blood Mononuclear Cell (PBMC) cells labeling PLCG 2 with purified ab133522 at 1/1000 dilution (1 μg/mL) (Red). Cells were fixed with 2% Paraformaldehyde and permeabilised with 0.1% Tween-20. A Goat anti rabbit IgG (Alexa Fluor® 488, ab150081) secondary antibody was used at 1/2000. Isotype control - Rabbit monoclonal IgG (Left).
Cells were surface stained with anti-CD19 conjugated to PE/Cy7, then fixed with 2% PFA followed by intracellularly stained with rabbit IgG or ab133522. Gated on lymphocytes.

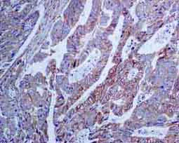
Immunohistochemistry (Formalin/PFA-fixed paraffin-embedded sections) - Anti-PLCG 2 antibody [EPR5914-34] (AB133522)
  • IHC-P

Unknown

Immunohistochemistry (Formalin/PFA-fixed paraffin-embedded sections) - Anti-PLCG 2 antibody [EPR5914-34] (AB133522)

Immunohistochemistry analysis of Paraffin Embedded Human gastric adenocarcinoma tissue labelling PLCG2 with ab133522 at 1/100 dilution.

Perform heat mediated antigen retrieval with citrate buffer pH 6 before commencing with IHC staining protocol.

Immunoprecipitation - Anti-PLCG 2 antibody [EPR5914-34] (AB133522)
  • IP

Lab

Immunoprecipitation - Anti-PLCG 2 antibody [EPR5914-34] (AB133522)

This data was developed using ab248535, the same antibody clone in a different buffer formulation. Western blot : antibody description (ab248535) staining at 10,000 dilution, shown in Black. In Western blot, ab248535 was shown to bind specifically to PLCG2. An enriched band was observed at 160 kDa in samples pulled down with ab248535 with no band observed in Isotype control sample. Following IP, samples were run on an SDS-PAGE gel then transferred onto a nitrocellulose membrane. Membranes were blocked in 3 % milk in TBS-0.1 % Tween$®$ 20 (TBS-T) before incubation with primary antibodies overnight at 4 °C. Blots were washed four times in TBS-T, incubated with secondary antibodies for 1 h at room temperature, washed again four times before development with a high-sensitivity ECL substrate kit and imaged. Secondary antibodies used was VeriBlot for IP Detection Reagent (HRP) (ab131366) at 1/1000 dilution.

Lanes 1 - 2:

Immunoprecipitation - Anti-PLCG 2 antibody [EPR5914-34] - BSA and Azide free (<a href='/en-us/products/primary-antibodies/plcg-2-antibody-epr5914-34-bsa-and-azide-free-ab248535'>ab248535</a>) at 1/10000 dilution

Lanes 1 - 2:

Immunoprecipitation - Anti-PLCG 2 antibody [EPR5914-34] (ab133522)

Lane 1:

HAP1 Input cell lysate at 10 µg

Lane 2:

HAP1 pulldown with <a href='/en-us/products/primary-antibodies/plcg-2-antibody-epr5914-34-bsa-and-azide-free-ab248535'>ab248535</a> at 10 µg

Lane 3:

HAP1 pulldown with <a href='/en-us/products/primary-antibodies/rabbit-igg-monoclonal-epr25a-isotype-control-ab172730'>ab172730</a> Isotype control at 10 µg

Secondary

All lanes:

Immunoprecipitation - VeriBlot for IP Detection Reagent (HRP) (<a href='/en-us/products/reagents/veriblot-for-ip-detection-reagent-hrp-ab131366'>ab131366</a>) at 1/1000 dilution

Observed band size: 160 kDa

true

Exposure time: 4min

Western blot - Anti-PLCG 2 antibody [EPR5914-34] (AB133522)
  • WB

Lab

Western blot - Anti-PLCG 2 antibody [EPR5914-34] (AB133522)

Anti-PLCG2 antibody [EPR5914-34] (ab133522) staining at 1/10000 dilution, shown in green; Mouse anti-CANX [CANX/1543] (ab238078) loading control staining at 1/20000 dilution, shown in red. In Western blot, ab133522 was shown to bind specifically to PLCG2. A band was observed at 148 kDa in wild-type HAP1 cell lysates with no signal observed at this size in PLCG2 knockout cell line. To generate this image, wild-type and PLCG2 knockout HAP1 cell lysates were analysed. First, samples were run on an SDS-PAGE gel then transferred onto a nitrocellulose membrane. Membranes were blocked in 3 % milk in TBS-0.1 % Tween® 20 (TBS-T) before incubation with primary antibodies overnight at 4 °C. Blots were washed four times in TBS-T, incubated with secondary antibodies for 1 h at room temperature, washed again four times then imaged. Secondary antibodies used were Goat anti-Rabbit IgG H&L 800CW and Goat anti-Mouse IgG H&L 680RD at 1/20000 dilution.

All lanes:

Western blot - Anti-PLCG 2 antibody [EPR5914-34] (ab133522) at 1/10000 dilution

All lanes:

Western blot at 20 µg

Secondary

All lanes:

Goat anti-Rabbit IgG H&L 800CW and Goat anti-Mouse IgG H&L 680RD at 1/20000 dilution

Predicted band size: 148 kDa

Observed band size: 148 kDa

false

Western blot - Anti-PLCG 2 antibody [EPR5914-34] (AB133522)
  • WB

Lab

Western blot - Anti-PLCG 2 antibody [EPR5914-34] (AB133522)

Western blot : Anti-PLCG2 antibody [EPR5914-34] (ab133522) staining at 1/10000 dilution, shown in green; Mouse anti-Alpha Tubulin [DM1A] (ab7291) loading control staining at 1/20000 dilution, shown in magenta. In Western blot, ab133522 was shown to bind specifically to PLCG2. A band was observed at 150 kDa in wild-type HCT 116 cell lysates with no signal observed at this size in PLCG2 knockout cell line. To generate this image, wild-type and PLCG2 knockout HCT 116 cell lysates were analysed. First, samples were run on an SDS-PAGE gel then transferred onto a nitrocellulose membrane. Membranes were blocked in 3 % milk in TBS-0.1 % Tween® 20 (TBS-T) before incubation with primary antibodies overnight at 4 °C. Blots were washed four times in TBS-T, incubated with secondary antibodies for 1 h at room temperature, washed again four times then imaged. Secondary antibodies used were Goat anti-Rabbit IgG H&L 800CW and Goat anti-Mouse IgG H&L 680RD at 1/20000 dilution.

All lanes:

Western blot - Anti-PLCG 2 antibody [EPR5914-34] (ab133522) at 1/10000 dilution

Lane 1:

Wild-type HCT 116 cell lysate at 20 µg

Lane 2:

Western blot - Human PLCG2 knockout HCT116 cell line (<a href='/en-us/products/cell-lines/human-plcg2-knockout-hct116-cell-line-ab301166'>ab301166</a>)

Lane 2:

PLCG2 knockout HCT 116 cell lysate at 20 µg

Secondary

Lanes 1 - 2:

Goat anti-Rabbit IgG H&L 800CW at 1/20000 dilution

Lanes 1 - 2:

Goat anti-Mouse IgG H&L 680RD at 1/20000 dilution

Observed band size: 150 kDa

false

Western blot - Anti-PLCG 2 antibody [EPR5914-34] (AB133522)
  • WB

Lab

Western blot - Anti-PLCG 2 antibody [EPR5914-34] (AB133522)

All lanes:

Western blot - Anti-PLCG 2 antibody [EPR5914-34] (ab133522) at 1/10000 dilution

Lane 1:

Raji cell lysates at 10 µg

Lane 2:

Ramos cell lysates at 10 µg

Secondary

All lanes:

HRP-labelled Goat anti-Rabbit at 1/2000 dilution

Predicted band size: 148 kDa

false

OI-RD Scanning - Anti-PLCG 2 antibody [EPR5914-34] (AB133522)
  • OI-RD Scanning

Unknown

OI-RD Scanning - Anti-PLCG 2 antibody [EPR5914-34] (AB133522)

We have systematically measured KD (the equilibrium dissociation constant between the antibody and its antigen), of more than 840 recombinant antibodies to assess not only their individual KD values but also to see the average affinity of antibody. Based on the comparison with published literature values for mouse monoclonal antibodies, Recombinant antibodies appear to be on average 1-2 order of magnitude higher affinity.

  • Carrier free

    Anti-PLCG 2 antibody [EPR5914-34] - BSA and Azide free

Key facts

Host species

Rabbit

Clonality

Monoclonal

Clone number

EPR5914-34

Isotype

IgG

Carrier free

No

Reacts with

Human

Applications

IP, WB, Flow Cyt (Intra), IHC-P

applications

Immunogen

The exact immunogen used to generate this antibody is proprietary information.

Reactivity data

{ "title": "Reactivity Data", "filters": { "stats": ["", "Species", "Dilution Info", "Notes"], "tabs": { "all-applications": {"fullname" : "All Applications", "shortname": "All Applications"}, "IP" : {"fullname" : "Immunoprecipitation", "shortname":"IP"}, "IHCP" : {"fullname" : "Immunohistochemistry (Formalin/PFA-fixed paraffin-embedded sections)", "shortname":"IHC-P"}, "ICCIF" : {"fullname" : "Immunocytochemistry/ Immunofluorescence", "shortname":"ICC/IF"}, "WB" : {"fullname" : "Western blot", "shortname":"WB"}, "FlowCytIntra" : {"fullname" : "Flow Cytometry (Intracellular)", "shortname":"Flow Cyt (Intra)"} }, "product-promise": { "all": "all", "testedAndGuaranteed": "tested", "guaranteed": "expected", "predicted": "predicted", "notRecommended": "not-recommended" } }, "values": { "Human": { "IP-species-checked": "testedAndGuaranteed", "IP-species-dilution-info": "1/10000", "IP-species-notes": "<p></p>", "IHCP-species-checked": "testedAndGuaranteed", "IHCP-species-dilution-info": "1/100 - 1/250", "IHCP-species-notes": "<p></p> Perform heat-mediated antigen retrieval with citrate buffer pH 6 before commencing with IHC staining protocol.", "ICCIF-species-checked": "notRecommended", "ICCIF-species-dilution-info": "", "ICCIF-species-notes": "<p></p>", "WB-species-checked": "testedAndGuaranteed", "WB-species-dilution-info": "1/10000 - 1/50000", "WB-species-notes": "<p></p>", "FlowCytIntra-species-checked": "testedAndGuaranteed", "FlowCytIntra-species-dilution-info": "1/1000", "FlowCytIntra-species-notes": "<p></p>" } } }

Product details

Species reactivity
Mouse, Rat: We have preliminary internal testing data to indicate this antibody may not react with these species.
Please contact us for more information.

Patented technology
Our RabMAb® technology is a patented hybridoma-based technology for making rabbit monoclonal antibodies. For details on our patents, please refer to RabMAb® patents.

What are the advantages of a recombinant monoclonal antibody?
This product is a recombinant monoclonal antibody, which offers several advantages including:

  • - High batch-to-batch consistency and reproducibility
  • - Improved sensitivity and specificity
  • - Long-term security of supply
  • - Animal-free batch production

For more information, read more on recombinant antibodies.

Properties and storage information

Form
Liquid
Purification technique
Affinity purification Protein A
Storage buffer
pH: 7.2 - 7.4 Preservative: 0.05% Sodium azide Constituents: 50% Tissue culture supernatant, 40% Glycerol (glycerin, glycerine), 9.85% Tris glycine
Shipped at conditions
Blue Ice
Appropriate short-term storage conditions
+4°C
Appropriate long-term storage conditions
-20°C
Storage information
Stable for 12 months at -20°C

Product protocols

For this product, it's our understanding that no specific protocols are required. You can visit:

Target data

The production of the second messenger molecules diacylglycerol (DAG) and inositol 1,4,5-trisphosphate (IP3) is mediated by activated phosphatidylinositol-specific phospholipase C enzymes. It is a crucial enzyme in transmembrane signaling.
See full target information PLCG2

Publications (2)

Recent publications for all applications. Explore the full list and refine your search

Stem cell research & therapy 15:465 PubMed39639398

2024

Using magnetic resonance relaxometry to evaluate the safety and quality of induced pluripotent stem cell-derived spinal cord progenitor cells.

Applications

Unspecified application

Species

Unspecified reactive species

Jerome Tan,Jiahui Chen,Daniel Roxby,Wai Hon Chooi,Tan Dai Nguyen,Shi Yan Ng,Jongyoon Han,Sing Yian Chew

F1000Research 13:77 PubMed39429638

2024

A guide to selecting high-performing antibodies for PLC-gamma-2 for use in Western Blot, immunoprecipitation and immunofluorescence.

Applications

WB, IP

Species

Human, Human

Vera Ruíz Moleón,Maryam Fotouhi,Charles Alende,Riham Ayoubi,Logan M Bedford,Kathleen Southern,Timothy I Richardson,Carl Laflamme
View all publications

Product promise

We are committed to supporting your work with high-quality reagents, and we're here for you every step of the way. In the unlikely event that one of our products does not perform as expected, you're protected by our Product Promise.
For full details, please see our Terms & Conditions

Please note: All products are 'FOR RESEARCH USE ONLY. NOT FOR USE IN DIAGNOSTIC OR THERAPEUTIC PROCEDURES'.

For licensing inquiries, please contact partnerships@abcam.com